JavaScript is disabled in your browser. Please enable JavaScript to view this website.
AB199431

Anti-HNF-4-alpha antibody [EPR16786] - N-terminal

Be the first to review this product! Submit a review

|

(4 Publications)

Rabbit Recombinant Monoclonal HNF-4-alpha antibody. N-terminal. Suitable for ChIC/CUT&RUN-seq, ChIP-seq, WB, ICC/IF, IHC-P and reacts with Human, Mouse, Rat samples. Cited in 4 publications.

View Alternative Names

HNF4, NR2A1, TCF14, HNF4A, Hepatocyte nuclear factor 4-alpha, HNF-4-alpha, Nuclear receptor subfamily 2 group A member 1, Transcription factor 14, Transcription factor HNF-4, TCF-14

6 Images
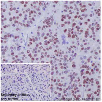
Immunohistochemistry (Formalin/PFA-fixed paraffin-embedded sections) - Anti-HNF-4-alpha antibody [EPR16786] - N-terminal (AB199431)
  • IHC-P

Supplier Data

Immunohistochemistry (Formalin/PFA-fixed paraffin-embedded sections) - Anti-HNF-4-alpha antibody [EPR16786] - N-terminal (AB199431)

Immunohistochemical analysis of paraffin-embedded Human hepatocellular carcinoma tissue labeling HNF-4-alpha with ab199431 at 1/400 dilution followed by Goat Anti-Rabbit IgG H&L (HRP) (ab97051) at 1/500 dilution. Nucleus staining on Human hepatocellular carcinoma tissue is observed. Counter stained with Hematoxylin.
Negative control : Used PBS instead of primary antibody secondary antibody is Goat Anti-Rabbit IgG H&L (HRP) (ab97051).

Perform heat mediated antigen retrieval with Tris/EDTA buffer pH 9.0 before commencing with IHC staining protocol.

ChIP-sequencing - Anti-HNF-4-alpha antibody [EPR16786] - N-terminal (AB199431)
  • ChIP-seq

Supplier Data

ChIP-sequencing - Anti-HNF-4-alpha antibody [EPR16786] - N-terminal (AB199431)

Chromatin was prepared from HepG2 (Human liver hepatocellular carcinoma cell line) cells. ChIP was performed with 10^7 HepG2 cells and 8 µg of ab199431 [EPR16786]. ChIP DNA was sequenced on the Illumina NovaSeq 6000 to a depth of 30 million reads.

ChIC/CUT&RUN sequencing - Anti-HNF-4-alpha antibody [EPR16786] - N-terminal (AB199431)
  • ChIC/CUT&RUN-seq

Supplier Data

ChIC/CUT&RUN sequencing - Anti-HNF-4-alpha antibody [EPR16786] - N-terminal (AB199431)

ChIC/CUT&RUN was performed using a pAG-MNAse at a final concentration of 700 ng/mL, 2 x 10^5 HepG2 (Human liver hepatocellular carcinoma cell line) cells and 5 µg of ab199431 [EPR16786]. The resulting DNA was sequenced on the Illumina NovaSeq 6000 to a depth of 10 million reads. The negative IgG control ab172730 is also shown. The ChIP data was conducted on chromatin prepared from HepG2 cells. ChIP was performed with 10^7 HepG2 cells and 8 µg of ab199431 [EPR16786]. ChIP DNA was sequenced on the Illumina NovaSeq 6000 to a depth of 30 million reads. Additional screenshots of mapped reads can be found in the Protocol booklet in the Product Protocol section. The University of Geneva owns patents relevant to ChIC (Chromatin Immuno-Cleavage) methods.

Immunocytochemistry/ Immunofluorescence - Anti-HNF-4-alpha antibody [EPR16786] - N-terminal (AB199431)
  • ICC/IF

Supplier Data

Immunocytochemistry/ Immunofluorescence - Anti-HNF-4-alpha antibody [EPR16786] - N-terminal (AB199431)

Immunofluorescent analysis of 4% paraformaldehyde-fixed 0.1% Triton X-100 permeabilized HepG2 (Human liver hepatocellular carcinoma) cells labeling HNF-4-alpha with ab199431 at 1/250 dilution followed by Goat anti-rabbit IgG (Alexa Fluor® 488) (ab150077) secondary antibody at 1/500 dilution (green). Nuclear staining on HepG2 cell line is observed. The nuclear counterstain is DAPI (blue). Tubulin is detected with ab7291 (anti-Tubulin mouse mAb) at 1/1000 dilution and ab150120 (AlexaFluor®594 Goat anti-Mouse secondary) at 1/500 dilution (red).
The negative controls are as follows : -
-ve control 1 - ab199431 at 1/250 dilution followed by ab150120 (AlexaFluor®594 Goat anti-Mouse secondary) at 1/500 dilution.
-ve control 2. - ab7291 (anti-Tubulin mouse mAb) at 1/1000 dilution followed by ab150077 (Alexa Fluor®488 Goat Anti-Rabbit IgG H&L) at 1/500 dilution.

Western blot - Anti-HNF-4-alpha antibody [EPR16786] - N-terminal (AB199431)
  • WB

Supplier Data

Western blot - Anti-HNF-4-alpha antibody [EPR16786] - N-terminal (AB199431)

This antibody can recognize 3 isoforms. The predicted MW are 53KDa, 52 KDa and 47KDa, respectively.

Blocking/dilution buffer : 5% NFDM/TBST.

All lanes:

Western blot - Anti-HNF-4-alpha antibody [EPR16786] - N-terminal (ab199431) at 1/10000 dilution

Lane 1:

Mouse liver tissue lysate at 10 µg

Lane 2:

Rat liver tissue lysate at 10 µg

Lane 3:

Human fetal liver tissue lysate at 10 µg

Lane 4:

Human stomach tissue lysate at 10 µg

Secondary

All lanes:

Anti-Rabbit IgG (HRP), specific to the non-reduced form of IgG at 1/1000 dilution

Predicted band size: 53 kDa,84 kDa

Observed band size: 47 kDa,53 kDa

false

Exposure time: 3min

Western blot - Anti-HNF-4-alpha antibody [EPR16786] - N-terminal (AB199431)
  • WB

Supplier Data

Western blot - Anti-HNF-4-alpha antibody [EPR16786] - N-terminal (AB199431)

This antibody can recognize 3 isoforms. The predicted MW are 53KDa, 52 KDa and 47KDa, respectively.

Blocking/dilution buffer : 5% NFDM/TBST.

All lanes:

Western blot - Anti-HNF-4-alpha antibody [EPR16786] - N-terminal (ab199431) at 1/10000 dilution

All lanes:

HepG2 (Human liver hepatocellular carcinoma) whole cell lysate at 10 µg

Secondary

All lanes:

Goat Anti-Rabbit IgG, (H+L), Peroxidase conjugated at 1/1000 dilution

Predicted band size: 53 kDa

Observed band size: 47 kDa,53 kDa

false

Exposure time: 1min

  • HRP

    HRP Anti-HNF-4-alpha antibody [EPR16786] - N-terminal

  • 565 Alexa Fluor® 555

    Alexa Fluor® 555 Anti-HNF-4-alpha antibody [EPR16786] - N-terminal

  • Carrier free

    Anti-HNF-4-alpha antibody [EPR16786] - BSA and Azide free

  • 617 Alexa Fluor® 594

    Alexa Fluor® 594 Anti-HNF-4-alpha antibody [EPR16786] - N-terminal

Key facts

Host species

Rabbit

Clonality

Monoclonal

Clone number

EPR16786

Isotype

IgG

Carrier free

No

Reacts with

Mouse, Rat, Human

Applications

ChIC/CUT&RUN-seq, WB, ChIP-seq, ICC/IF, IHC-P

applications

Immunogen

The exact immunogen used to generate this antibody is proprietary information.

Reactivity data

{ "title": "Reactivity Data", "filters": { "stats": ["", "Species", "Dilution Info", "Notes"], "tabs": { "all-applications": {"fullname" : "All Applications", "shortname": "All Applications"}, "ChICCUTRUNseq" : {"fullname" : "ChIC/CUT&RUN sequencing", "shortname":"ChIC/CUT&RUN-seq"}, "ChIPseq" : {"fullname" : "ChIP-sequencing", "shortname":"ChIP-seq"}, "WB" : {"fullname" : "Western blot", "shortname":"WB"}, "ICCIF" : {"fullname" : "Immunocytochemistry/ Immunofluorescence", "shortname":"ICC/IF"}, "IHCP" : {"fullname" : "Immunohistochemistry (Formalin/PFA-fixed paraffin-embedded sections)", "shortname":"IHC-P"} }, "product-promise": { "all": "all", "testedAndGuaranteed": "tested", "guaranteed": "expected", "predicted": "predicted", "notRecommended": "not-recommended" } }, "values": { "Human": { "ChICCUTRUNseq-species-checked": "testedAndGuaranteed", "ChICCUTRUNseq-species-dilution-info": "5 µg", "ChICCUTRUNseq-species-notes": "<p></p>", "ChIPseq-species-checked": "testedAndGuaranteed", "ChIPseq-species-dilution-info": "", "ChIPseq-species-notes": "<p></p>", "WB-species-checked": "testedAndGuaranteed", "WB-species-dilution-info": "1/10000", "WB-species-notes": "<p></p>", "ICCIF-species-checked": "testedAndGuaranteed", "ICCIF-species-dilution-info": "1/250", "ICCIF-species-notes": "<p></p>", "IHCP-species-checked": "testedAndGuaranteed", "IHCP-species-dilution-info": "1/400", "IHCP-species-notes": "<p></p> Perform heat-mediated antigen retrieval with Tris/EDTA buffer pH 9.0 before commencing with IHC staining protocol." }, "Mouse": { "ChICCUTRUNseq-species-checked": "guaranteed", "ChICCUTRUNseq-species-dilution-info": "5 µg", "ChICCUTRUNseq-species-notes": "<p></p>", "ChIPseq-species-checked": "guaranteed", "ChIPseq-species-dilution-info": "", "ChIPseq-species-notes": "", "WB-species-checked": "testedAndGuaranteed", "WB-species-dilution-info": "1/10000", "WB-species-notes": "<p></p> Perform heat-mediated antigen retrieval with Tris/EDTA buffer pH 9.0 before commencing with IHC staining protocol.", "ICCIF-species-checked": "guaranteed", "ICCIF-species-dilution-info": "", "ICCIF-species-notes": "", "IHCP-species-checked": "guaranteed", "IHCP-species-dilution-info": "", "IHCP-species-notes": "" }, "Rat": { "ChICCUTRUNseq-species-checked": "guaranteed", "ChICCUTRUNseq-species-dilution-info": "5 µg", "ChICCUTRUNseq-species-notes": "<p></p>", "ChIPseq-species-checked": "guaranteed", "ChIPseq-species-dilution-info": "", "ChIPseq-species-notes": "", "WB-species-checked": "testedAndGuaranteed", "WB-species-dilution-info": "1/10000", "WB-species-notes": "<p></p>", "ICCIF-species-checked": "guaranteed", "ICCIF-species-dilution-info": "", "ICCIF-species-notes": "", "IHCP-species-checked": "guaranteed", "IHCP-species-dilution-info": "", "IHCP-species-notes": "" } } }

Product details

Patented technology
Our RabMAb® technology is a patented hybridoma-based technology for making rabbit monoclonal antibodies. For details on our patents, please refer to RabMAb® patents.

What are the advantages of a recombinant monoclonal antibody?
This product is a recombinant monoclonal antibody, which offers several advantages including:

  • - High batch-to-batch consistency and reproducibility
  • - Improved sensitivity and specificity
  • - Long-term security of supply
  • - Animal-free batch production

For more information, read more on recombinant antibodies.

Properties and storage information

Form
Liquid
Purification technique
Affinity purification Protein A
Storage buffer
pH: 7.2 - 7.4 Preservative: 0.01% Sodium azide Constituents: 59% PBS, 40% Glycerol (glycerin, glycerine), 0.05% BSA
Shipped at conditions
Blue Ice
Appropriate short-term storage duration
1-2 weeks
Appropriate short-term storage conditions
+4°C
Appropriate long-term storage conditions
-20°C
Aliquoting information
Upon delivery aliquot
Storage information
Avoid freeze / thaw cycle

Supplementary information

This supplementary information is collated from multiple sources and compiled automatically.

HNF-4-alpha also known as hepatocyte nuclear factor 4-alpha (HNF4A) is a nuclear protein that functions as a transcription factor. It plays an important role in regulating gene expression in the liver kidney and intestine. HNF-4-alpha has a molecular mass of about 54 kDa and is expressed in tissues where it maintains cellular differentiation and metabolic homeostasis. In cellular assays such as ELISA and CHIP detection of HNF-4-alpha provides insights into its expression levels and activity in various biological contexts.
Biological function summary

HNF-4-alpha influences the expression of genes involved in liver and pancreatic function. It acts as a transcriptional regulator that controls fatty acid oxidation gluconeogenesis and insulin secretion. HNF-4-alpha interacts with other proteins to form transcriptional complexes that fine-tune the expression of metabolic enzymes and transport proteins. This protein is key to ensuring that metabolic genes are expressed in a coordinated manner which is essential for maintaining normal metabolic processes.

Pathways

HNF-4-alpha participates in the insulin signaling and lipid metabolism pathways. Through these pathways it interacts with other transcription factors such as HNF-1-alpha and PPAR-alpha which coordinate the regulation of genes involved in glucose metabolism and fatty acid oxidation. HNF-4-alpha plays a critical role by modulating the expression of enzymes like gluconeogenic enzymes in response to metabolic needs which connects it to key metabolic pathways influencing overall energy homeostasis.

HNF-4-alpha is linked to maturity-onset diabetes of the young (MODY1) and certain types of liver diseases. Mutations or dysregulation in HNF-4-alpha can affect the expression of genes essential for insulin production and glucose metabolism leading to disorders like diabetes. Additionally HNF-4-alpha interacts with other proteins and transcription factors implicated in these conditions such as HNF-1-alpha. Understanding the role of HNF-4-alpha in these diseases can provide insights into potential therapeutic targets and intervention strategies.

Product protocols

For this product, it's our understanding that no specific protocols are required. You can visit:

Target data

Transcriptional regulator which controls the expression of hepatic genes during the transition of endodermal cells to hepatic progenitor cells, facilitating the recruitment of RNA pol II to the promoters of target genes (PubMed : 30597922). Activates the transcription of CYP2C38 (By similarity). Represses the CLOCK-BMAL1 transcriptional activity and is essential for circadian rhythm maintenance and period regulation in the liver and colon cells (PubMed : 30530698).
See full target information HNF4A

Publications (4)

Recent publications for all applications. Explore the full list and refine your search

International journal of molecular sciences 24: PubMed36982757

2023

HPF Modulates the Differentiation of BMSCs into HLCs and Promotes the Recovery of Acute Liver Injury in Mice.

Applications

Unspecified application

Species

Unspecified reactive species

Bin Yang,Qiu-Lin Luo,Nan Wang,Yan-Ting Hu,Wen-Xin Zheng,Hong Li,Maimaitituxun Maierziya,Jian Gu,Qin Wang

Nucleic acids research 50:7959-7971 PubMed35871292

2022

Decoding YAP dependent transcription in the liver.

Applications

Unspecified application

Species

Unspecified reactive species

Francesca Biagioni,Ottavio Croci,Silvia Sberna,Elisa Donato,Arianna Sabò,Andrea Bisso,Laura Curti,Arianna Chiesa,Stefano Campaner

Journal of cellular physiology 233:4770-4782 PubMed29150932

2018

High fat diet-induced oxidative stress blocks hepatocyte nuclear factor 4α and leads to hepatic steatosis in mice.

Applications

Unspecified application

Species

Unspecified reactive species

Dongsheng Yu,Gang Chen,Minglin Pan,Jia Zhang,Wenping He,Yang Liu,Xue Nian,Liang Sheng,Bin Xu

The American journal of pathology 187:2775-2787 PubMed28919113

2017

Hepatic Tmem30a Deficiency Causes Intrahepatic Cholestasis by Impairing Expression and Localization of Bile Salt Transporters.

Applications

Unspecified application

Species

Unspecified reactive species

Leiming Liu,Lingling Zhang,Lin Zhang,Fan Yang,Xudong Zhu,Zhongjie Lu,Yeming Yang,Haiqi Lu,Lifeng Feng,Zhuo Wang,Hui Chen,Sheng Yan,Lin Wang,Zhenyu Ju,Hongchuan Jin,Xianjun Zhu
View all publications
chicCutRunSequencingBooklet
en

Product promise

We are committed to supporting your work with high-quality reagents, and we're here for you every step of the way. In the unlikely event that one of our products does not perform as expected, you're protected by our Product Promise.
For full details, please see our Terms & Conditions

Please note: All products are 'FOR RESEARCH USE ONLY. NOT FOR USE IN DIAGNOSTIC OR THERAPEUTIC PROCEDURES'.

For licensing inquiries, please contact partnerships@abcam.com