JavaScript is disabled in your browser. Please enable JavaScript to view this website.
AB251313

Anti-HNF-4-alpha antibody [EPR16787] - BSA and Azide free

Be the first to review this product! Submit a review

|

(1 Publication)

Rabbit Recombinant Monoclonal HNF-4-alpha antibody. Carrier free. Suitable for ICC/IF, WB, IHC-P and reacts with Human samples. Cited in 1 publication.

View Alternative Names

HNF4, NR2A1, TCF14, HNF4A, Hepatocyte nuclear factor 4-alpha, HNF-4-alpha, Nuclear receptor subfamily 2 group A member 1, Transcription factor 14, Transcription factor HNF-4, TCF-14

5 Images
Immunocytochemistry/ Immunofluorescence - Anti-HNF-4-alpha antibody [EPR16787] - BSA and Azide free (AB251313)
  • ICC/IF

Supplier Data

Immunocytochemistry/ Immunofluorescence - Anti-HNF-4-alpha antibody [EPR16787] - BSA and Azide free (AB251313)

This data was developed using ab200654, the same antibody clone in a different buffer formulation.

Immunofluorescent analysis of 4% paraformaldehyde-fixed, 0.1% Triton X-100 permeabilized HepG2 (Human liver hepatocellular carcinoma) cells labeling HNF-4-alpha with ab200654 at 1/2000 dilution, followed by Goat anti-rabbit IgG (Alexa Fluor® 488) (ab150077) secondary antibody at 1/500 dilution (green).

Nuclear and weakly cytoplasmic staining on HepG2 cell line is observed.

The nuclear counter stain is DAPI (blue).

Tubulin is detected with ab7291 (anti-Tubulin mouse mAb) at 1/1000 dilution and ab150120 (AlexaFluor®594 Goat anti-Mouse secondary) at 1/500 dilution (red).
The negative controls are as follows :
-ve control 1 : ab200654 at 1/2000 dilution followed by ab150120 (AlexaFluor®594 Goat anti-Mouse secondary) at 1/500 dilution.
-ve control 2 : ab7291 (anti-Tubulin mouse mAb) at 1/1000 dilution followed by ab150077 (Alexa Fluor®488 Goat Anti-Rabbit IgG H&L) at 1/500 dilution.

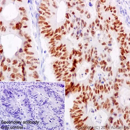
Immunohistochemistry (Formalin/PFA-fixed paraffin-embedded sections) - Anti-HNF-4-alpha antibody [EPR16787] - BSA and Azide free (AB251313)
  • IHC-P

Supplier Data

Immunohistochemistry (Formalin/PFA-fixed paraffin-embedded sections) - Anti-HNF-4-alpha antibody [EPR16787] - BSA and Azide free (AB251313)

This data was developed using ab200654, the same antibody clone in a different buffer formulation.

Immunohistochemical analysis of paraffin-embedded Human hepatocellular carcinoma tissue labeling HNF-4-alpha with ab200654 at 1/2000 dilution, followed by Goat Anti-Rabbit IgG H&L (HRP) (ab97051) secondary antibody at 1/500 dilution.

Nuclear staining on Human hepatocellular carcinoma tissue is observed.

Counter stained with Hematoxylin.

Secondary antibody only control : Used PBS instead of primary antibody, secondary antibody is Goat Anti-Rabbit IgG H&L (HRP) (ab97051) at 1/500 dilution.

Perform heat mediated antigen retrieval with Tris/EDTA buffer pH 9.0 before commencing with IHC staining protocol.

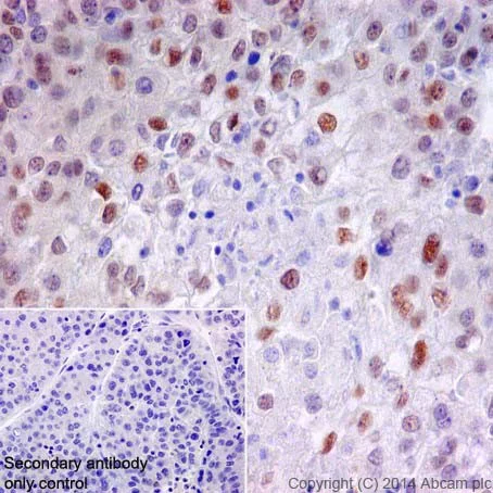
Immunohistochemistry (Formalin/PFA-fixed paraffin-embedded sections) - Anti-HNF-4-alpha antibody [EPR16787] - BSA and Azide free (AB251313)
  • IHC-P

Supplier Data

Immunohistochemistry (Formalin/PFA-fixed paraffin-embedded sections) - Anti-HNF-4-alpha antibody [EPR16787] - BSA and Azide free (AB251313)

This data was developed using ab200654, the same antibody clone in a different buffer formulation.

Immunohistochemical analysis of paraffin-embedded Human colonic carcinoma tissue labeling HNF-4-alpha with ab200654 at 1/2000 dilution, followed by Goat Anti-Rabbit IgG H&L (HRP) (ab97051) secondary antibody at 1/500 dilution.

Nuclear staining on Human colonic carcinoma tissue is observed.

Counter stained with Hematoxylin.

Secondary antibody only control : Used PBS instead of primary antibody, secondary antibody is Goat Anti-Rabbit IgG H&L (HRP) (ab97051) at 1/500 dilution.

Perform heat mediated antigen retrieval with Tris/EDTA buffer pH 9.0 before commencing with IHC staining protocol.

Western blot - Anti-HNF-4-alpha antibody [EPR16787] - BSA and Azide free (AB251313)
  • WB

Supplier Data

Western blot - Anti-HNF-4-alpha antibody [EPR16787] - BSA and Azide free (AB251313)

This data was developed using ab200654, the same antibody clone in a different buffer formulation.

Blocking and dilution buffer : 5% NFDM/TBST.

All lanes:

Western blot - Anti-HNF-4-alpha antibody [EPR16787] (<a href='/en-us/products/primary-antibodies/hnf-4-alpha-antibody-epr16787-ab200654'>ab200654</a>) at 1/10000 dilution

Lane 1:

SW480 (Human colon adenocarcinoma cell line) whole cell lysate at 10 µg

Lane 2:

HepG2 (Human liver hepatocellular carcinoma) whole cell lysate at 10 µg

Secondary

All lanes:

Goat Anti-Rabbit IgG, (H+L), Peroxidase conjugated at 1/1000 dilution

Predicted band size: 53 kDa

Observed band size: 50 kDa

false

Exposure time: 3min

Western blot - Anti-HNF-4-alpha antibody [EPR16787] - BSA and Azide free (AB251313)
  • WB

Supplier Data

Western blot - Anti-HNF-4-alpha antibody [EPR16787] - BSA and Azide free (AB251313)

This data was developed using ab200654, the same antibody clone in a different buffer formulation.

Blocking and dilution buffer : 5% NFDM/TBST.

All lanes:

Western blot - Anti-HNF-4-alpha antibody [EPR16787] (<a href='/en-us/products/primary-antibodies/hnf-4-alpha-antibody-epr16787-ab200654'>ab200654</a>) at 1/1000 dilution

All lanes:

Human colon cancer tissue lysate at 10 µg

Secondary

All lanes:

Anti-Rabbit IgG (HRP), specific to the non-reduced form of IgG at 1/1000 dilution

Predicted band size: 53 kDa

Observed band size: 50 kDa

false

Exposure time: 3min

Key facts

Host species

Rabbit

Clonality

Monoclonal

Clone number

EPR16787

Isotype

IgG

Carrier free

Yes

Reacts with

Human

Applications

IHC-P, WB, ICC/IF

applications

Immunogen

The exact immunogen used to generate this antibody is proprietary information.

Specificity

This product is an antibody that recognizes sequences corresponding to P41235-5, -6, -7.

Reactivity data

{ "title": "Reactivity Data", "filters": { "stats": ["", "Species", "Dilution Info", "Notes"], "tabs": { "all-applications": {"fullname" : "All Applications", "shortname": "All Applications"}, "ICCIF" : {"fullname" : "Immunocytochemistry/ Immunofluorescence", "shortname":"ICC/IF"}, "WB" : {"fullname" : "Western blot", "shortname":"WB"}, "IHCP" : {"fullname" : "Immunohistochemistry (Formalin/PFA-fixed paraffin-embedded sections)", "shortname":"IHC-P"} }, "product-promise": { "all": "all", "testedAndGuaranteed": "tested", "guaranteed": "expected", "predicted": "predicted", "notRecommended": "not-recommended" } }, "values": { "Human": { "ICCIF-species-checked": "testedAndGuaranteed", "ICCIF-species-dilution-info": "", "ICCIF-species-notes": "<p></p>", "WB-species-checked": "testedAndGuaranteed", "WB-species-dilution-info": "", "WB-species-notes": "<p></p>", "IHCP-species-checked": "testedAndGuaranteed", "IHCP-species-dilution-info": "", "IHCP-species-notes": "<p></p>" } } }

Product details

ab251313 is the carrier-free version of ab200654.

Patented technology
Our RabMAb® technology is a patented hybridoma-based technology for making rabbit monoclonal antibodies. For details on our patents, please refer to RabMAb® patents.

What are the advantages of a recombinant monoclonal antibody?
This product is a recombinant monoclonal antibody, which offers several advantages including:

  • - High batch-to-batch consistency and reproducibility
  • - Improved sensitivity and specificity
  • - Long-term security of supply
  • - Animal-free batch production

For more information, read more on recombinant antibodies.

Conjugation ready
Our carrier-free antibodies are typically supplied in a PBS-only formulation, purified and free of BSA, sodium azide and glycerol. This conjugation-ready format is designed for use with fluorochromes, metal isotopes, oligonucleotides, and enzymes, which makes them ideal for antibody labelling, functional and cell-based assays, flow-based assays (e.g. mass cytometry) and Multiplex Imaging applications.

Use our conjugation kits for antibody conjugates that are ready-to-use in as little as 20 minutes with 1 minute hands-on-time and 100% antibody recovery: available for fluorescent dyes, HRP, biotin and gold.

Compatibility
This product is compatible with the Maxpar® Antibody Labeling Kit from Fluidigm, without the need for antibody preparation. Maxpar® is a trademark of Fluidigm Canada Inc.

Properties and storage information

Form
Liquid
Purification technique
Affinity purification Protein A
Storage buffer
pH: 7.2 - 7.4 Constituents: PBS
Shipped at conditions
Blue Ice
Appropriate short-term storage conditions
+4°C
Appropriate long-term storage conditions
+4°C
Storage information
Do Not Freeze

Supplementary information

This supplementary information is collated from multiple sources and compiled automatically.

HNF-4-alpha also known as hepatocyte nuclear factor 4-alpha (HNF4A) is a nuclear protein that functions as a transcription factor. It plays an important role in regulating gene expression in the liver kidney and intestine. HNF-4-alpha has a molecular mass of about 54 kDa and is expressed in tissues where it maintains cellular differentiation and metabolic homeostasis. In cellular assays such as ELISA and CHIP detection of HNF-4-alpha provides insights into its expression levels and activity in various biological contexts.
Biological function summary

HNF-4-alpha influences the expression of genes involved in liver and pancreatic function. It acts as a transcriptional regulator that controls fatty acid oxidation gluconeogenesis and insulin secretion. HNF-4-alpha interacts with other proteins to form transcriptional complexes that fine-tune the expression of metabolic enzymes and transport proteins. This protein is key to ensuring that metabolic genes are expressed in a coordinated manner which is essential for maintaining normal metabolic processes.

Pathways

HNF-4-alpha participates in the insulin signaling and lipid metabolism pathways. Through these pathways it interacts with other transcription factors such as HNF-1-alpha and PPAR-alpha which coordinate the regulation of genes involved in glucose metabolism and fatty acid oxidation. HNF-4-alpha plays a critical role by modulating the expression of enzymes like gluconeogenic enzymes in response to metabolic needs which connects it to key metabolic pathways influencing overall energy homeostasis.

HNF-4-alpha is linked to maturity-onset diabetes of the young (MODY1) and certain types of liver diseases. Mutations or dysregulation in HNF-4-alpha can affect the expression of genes essential for insulin production and glucose metabolism leading to disorders like diabetes. Additionally HNF-4-alpha interacts with other proteins and transcription factors implicated in these conditions such as HNF-1-alpha. Understanding the role of HNF-4-alpha in these diseases can provide insights into potential therapeutic targets and intervention strategies.

Product protocols

For this product, it's our understanding that no specific protocols are required. You can visit:

Target data

Transcriptional regulator which controls the expression of hepatic genes during the transition of endodermal cells to hepatic progenitor cells, facilitating the recruitment of RNA pol II to the promoters of target genes (PubMed : 30597922). Activates the transcription of CYP2C38 (By similarity). Represses the CLOCK-BMAL1 transcriptional activity and is essential for circadian rhythm maintenance and period regulation in the liver and colon cells (PubMed : 30530698).
See full target information HNF4A

Publications (1)

Recent publications for all applications. Explore the full list and refine your search

Nutrients 16: PubMed38732558

2024

Differential Modulation by Eicosapentaenoic Acid (EPA) and Docosahexaenoic Acid (DHA) of Mesenteric Fat and Macrophages and T Cells in Adipose Tissue of Obese / Zucker Rats.

Applications

Unspecified application

Species

Unspecified reactive species

Lena Hong,Peter Zahradka,Carla G Taylor
View all publications

Product promise

We are committed to supporting your work with high-quality reagents, and we're here for you every step of the way. In the unlikely event that one of our products does not perform as expected, you're protected by our Product Promise.
For full details, please see our Terms & Conditions

Please note: All products are 'FOR RESEARCH USE ONLY. NOT FOR USE IN DIAGNOSTIC OR THERAPEUTIC PROCEDURES'.

For licensing inquiries, please contact partnerships@abcam.com