JavaScript is disabled in your browser. Please enable JavaScript to view this website.
AB201460

Anti-HNF-4-alpha antibody [EPR16885-99]

4

(2 Reviews)

|

(37 Publications)

Anti-HNF-4-alpha antibody [EPR16885-99] (ab201460) is a rabbit monoclonal antibody detecting HNF-4-alpha in Western Blot, Flow Cytometry (Intra), Flow Cytometry, IHC-P, ICC/IF. Suitable for Human, Mouse, Rat.

- Biophysical QC for unrivalled batch-batch consistency
- Over 10 publications

View Alternative Names

HNF4, NR2A1, TCF14, HNF4A, Hepatocyte nuclear factor 4-alpha, HNF-4-alpha, Nuclear receptor subfamily 2 group A member 1, Transcription factor 14, Transcription factor HNF-4, TCF-14

12 Images
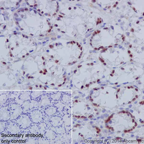
Immunohistochemistry (Formalin/PFA-fixed paraffin-embedded sections) - Anti-HNF-4-alpha antibody [EPR16885-99] (AB201460)
  • IHC-P

Supplier Data

Immunohistochemistry (Formalin/PFA-fixed paraffin-embedded sections) - Anti-HNF-4-alpha antibody [EPR16885-99] (AB201460)

Immunohistochemical analysis of paraffin-embedded Human colon tissue labeling HNF-4-alpha with ab201460 at 1/2000 dilution, followed by Goat Anti-Rabbit IgG H&L (HRP) (ab97051) secondary antibody at 1/500 dilution.

Nuclear staining on Human colon tissue is observed. Counter stained with Hematoxylin.

Secondary antibody only control : Used PBS instead of primary antibody, secondary antibody is Goat Anti-Rabbit IgG H&L (HRP) (ab97051) at 1/500 dilution.

Perform heat mediated antigen retrieval with Tris/EDTA buffer pH 9.0 before commencing with IHC staining protocol.

Immunocytochemistry/ Immunofluorescence - Anti-HNF-4-alpha antibody [EPR16885-99] (AB201460)
  • ICC/IF

Lab

Immunocytochemistry/ Immunofluorescence - Anti-HNF-4-alpha antibody [EPR16885-99] (AB201460)

Immunofluorescent analysis of 4% paraformaldehyde-fixed, 0.1% Triton-X100 permeabilized HepG2 (Human liver hepatocellular carcinoma) cells labeling HNF-4-alpha with ab201460 at 1/2000 dilution, followed by AlexaFluor®488 Goat anti-Rabbit secondary antibody (ab150077) at 1/500 dilution (green).

Confocal image showing nuclear staining on HT-29 cell line.

The nuclear counter stain is DAPI (blue). Tubulin is stained with ab7291 anti-Tubulin (mouse mAb) at 1/1000 dilution, followed by AlexaFluor®594 Goat anti-Mouse secondary antibody (ab150120) at 1/500 dilution (red).
-ve control 1 : ab201460 at 1/2000 dilution followed by AlexaFluor®594 Goat anti-Mouse secondary antibody (ab150120) at 1/500 dilution.
-ve control 2 : ab7291 anti-Tubulin (mouse mAb) at 1/1000 dilution, followed by AlexaFluor®488 Goat anti-Rabbit secondary antibody (ab150077) at 1/500 dilution.

Flow Cytometry (Intracellular) - Anti-HNF-4-alpha antibody [EPR16885-99] (AB201460)
  • Flow Cyt (Intra)

Unknown

Flow Cytometry (Intracellular) - Anti-HNF-4-alpha antibody [EPR16885-99] (AB201460)

Intracellular Flow Cytometry analysis of HepG2 (human hepatocellular carcinoma) labelling CDKN2A/p16INK4a with purified ab201460 at 1/1000 (red). Cells were fixed with 4% paraformaldehyde and permeabilised with 90% methanol. A Alexa Fluor® 488 goat anti-rabbit IgG (1/2000) was used as the secondary antibody. Black - Isotype control, rabbit monoclonal IgG. Blue - Unlabelled control, cells without incubation with primary and secondary antibodies.

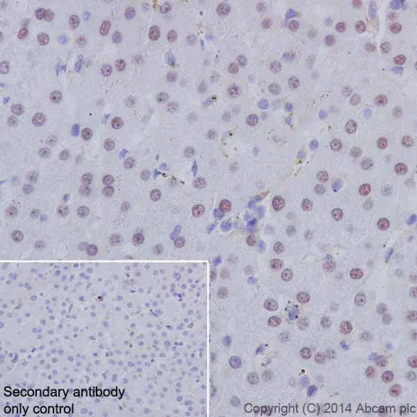
Immunohistochemistry (Formalin/PFA-fixed paraffin-embedded sections) - Anti-HNF-4-alpha antibody [EPR16885-99] (AB201460)
  • IHC-P

Supplier Data

Immunohistochemistry (Formalin/PFA-fixed paraffin-embedded sections) - Anti-HNF-4-alpha antibody [EPR16885-99] (AB201460)

Immunohistochemical analysis of paraffin-embedded Human liver tissue labeling HNF-4-alpha with ab201460 at 1/2000 dilution, followed by Goat Anti-Rabbit IgG H&L (HRP) (ab97051) secondary antibody at 1/500 dilution.

Nuclear staining on Human liver tissue is observed. Counter stained with Hematoxylin.

Secondary antibody only control : Used PBS instead of primary antibody, secondary antibody is Goat Anti-Rabbit IgG H&L (HRP) (ab97051) at 1/500 dilution.

Perform heat mediated antigen retrieval with Tris/EDTA buffer pH 9.0 before commencing with IHC staining protocol.

Immunocytochemistry/ Immunofluorescence - Anti-HNF-4-alpha antibody [EPR16885-99] (AB201460)
  • ICC/IF

Lab

Immunocytochemistry/ Immunofluorescence - Anti-HNF-4-alpha antibody [EPR16885-99] (AB201460)

Immunofluorescent analysis of 4% paraformaldehyde-fixed, 0.1% Triton-X100 permeabilized HT-29 (Human colorectal adenocarcinoma cells) cells labeling HNF-4-alpha with ab201460 at 1/2000 dilution, followed by AlexaFluor®488 Goat anti-Rabbit secondary antibody (ab150077) at 1/500 dilution (green).

Confocal image showing nuclear staining on HT-29 cell line.

The nuclear counter stain is DAPI (blue). Tubulin is stained with ab7291 anti-Tubulin (mouse mAb) at 1/1000 dilution, followed by AlexaFluor®594 Goat anti-Mouse secondary antibody (ab150120) at 1/500 dilution (red).
-ve control 1 : ab201460 at 1/2000 dilution followed by AlexaFluor®594 Goat anti-Mouse secondary antibody (ab150120) at 1/500 dilution.
-ve control 2 : ab7291 anti-Tubulin (mouse mAb) at 1/1000 dilution, followed by AlexaFluor®488 Goat anti-Rabbit secondary antibody (ab150077) at 1/500 dilution.

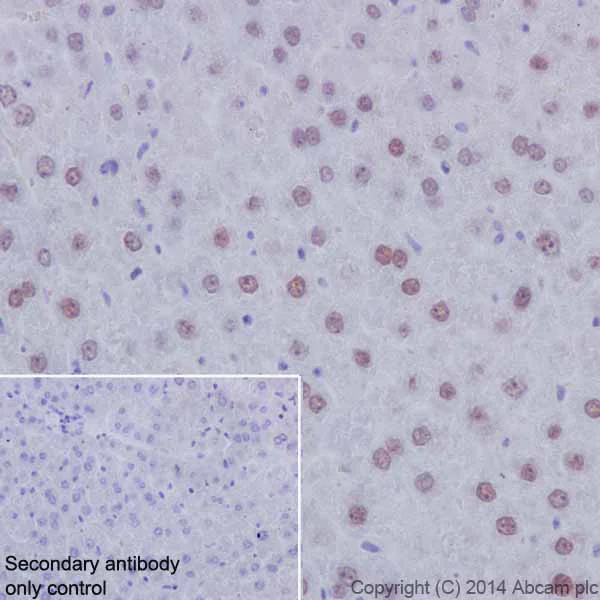
Immunohistochemistry (Formalin/PFA-fixed paraffin-embedded sections) - Anti-HNF-4-alpha antibody [EPR16885-99] (AB201460)
  • IHC-P

Supplier Data

Immunohistochemistry (Formalin/PFA-fixed paraffin-embedded sections) - Anti-HNF-4-alpha antibody [EPR16885-99] (AB201460)

Immunohistochemical analysis of paraffin-embedded Mouse liver tissue labeling HNF-4-alpha with ab201460 at 1/2000 dilution, followed by Goat Anti-Rabbit IgG H&L (HRP) (ab97051) secondary antibody at 1/500 dilution.

Nuclear staining on mouse liver tissue is observed. Counter stained with Hematoxylin.

Secondary antibody only control : Used PBS instead of primary antibody, secondary antibody is Goat Anti-Rabbit IgG H&L (HRP) (ab97051) at 1/500 dilution.

Perform heat mediated antigen retrieval with Tris/EDTA buffer pH 9.0 before commencing with IHC staining protocol.

Immunohistochemistry (Formalin/PFA-fixed paraffin-embedded sections) - Anti-HNF-4-alpha antibody [EPR16885-99] (AB201460)
  • IHC-P

Supplier Data

Immunohistochemistry (Formalin/PFA-fixed paraffin-embedded sections) - Anti-HNF-4-alpha antibody [EPR16885-99] (AB201460)

Immunohistochemical analysis of paraffin-embedded Rat colon tissue labeling HNF-4-alpha with ab201460 at 1/2000 dilution, followed by Goat Anti-Rabbit IgG H&L (HRP) (ab97051) secondary antibody at 1/500 dilution.

Nuclear staining on rat colon tissue is observed. Counter stained with Hematoxylin.

Secondary antibody only control : Used PBS instead of primary antibody, secondary antibody is Goat Anti-Rabbit IgG H&L (HRP) (ab97051) at 1/500 dilution.

Perform heat mediated antigen retrieval with Tris/EDTA buffer pH 9.0 before commencing with IHC staining protocol.

Western blot - Anti-HNF-4-alpha antibody [EPR16885-99] (AB201460)
  • WB

Supplier Data

Western blot - Anti-HNF-4-alpha antibody [EPR16885-99] (AB201460)

Blocking/Dilution buffer : 5% NFDM/TBST.

All lanes:

Western blot - Anti-HNF-4-alpha antibody [EPR16885-99] (ab201460) at 1/1000 dilution

All lanes:

Caco-2 (Human colorectal adenocarcinoma cells) whole cell lysate at 10 µg

Secondary

All lanes:

Goat Anti-Rabbit IgG, (H+L),Peroxidase conjugated at 1/1000 dilution

Predicted band size: 53 kDa

Observed band size: 53 kDa

false

Exposure time: 15s

Western blot - Anti-HNF-4-alpha antibody [EPR16885-99] (AB201460)
  • WB

Unknown

Western blot - Anti-HNF-4-alpha antibody [EPR16885-99] (AB201460)

Blocking/Dilution buffer : 5% NFDM/TBST.

All lanes:

Western blot - Anti-HNF-4-alpha antibody [EPR16885-99] (ab201460) at 1/1000 dilution

Lane 1:

Human colon lysate at 10 µg

Lane 2:

Human fetal kidney lysate at 10 µg

Secondary

All lanes:

Anti-Rabbit IgG (HRP), specific to the non-reduced form of IgG at 1/1000 dilution

Predicted band size: 53 kDa

Observed band size: 53 kDa

false

Exposure time: 1min

Western blot - Anti-HNF-4-alpha antibody [EPR16885-99] (AB201460)
  • WB

Supplier Data

Western blot - Anti-HNF-4-alpha antibody [EPR16885-99] (AB201460)

Blocking/Dilution buffer : 5% NFDM/TBST.

All lanes:

Western blot - Anti-HNF-4-alpha antibody [EPR16885-99] (ab201460) at 1/10000 dilution

All lanes:

HepG2 (Human liver hepatocellular carcinoma) whole cell lysate at 10 µg

Secondary

All lanes:

Goat Anti-Rabbit IgG, (H+L),Peroxidase conjugated at 1/1000 dilution

Predicted band size: 53 kDa

Observed band size: 53 kDa

false

ChIC/CUT&RUN sequencing - Anti-HNF-4-alpha antibody [EPR16885-99] (AB201460)
  • ChIC/CUT&RUN-seq

Supplier Data

ChIC/CUT&RUN sequencing - Anti-HNF-4-alpha antibody [EPR16885-99] (AB201460)

ChIC/CUT&RUN was performed using a pAG-MNAse at a final concentration of 700 ng/mL, 2.5 x 10^5 HepG2 (Human liver hepatocellular carcinoma cell line) cells and 5 µg of ab201460 [EPR16885-99)]. The resulting DNA was sequenced on the Illumina NovaSeq 6000 to a depth of 10 million reads. The negative IgG control ab172730 is also shown. Additional screenshots of mapped reads can be found in the Protocol booklet in the Product Protocol section. The University of Geneva owns patents relevant to ChIC (Chromatin Immuno-Cleavage) methods.

Western blot - Anti-HNF-4-alpha antibody [EPR16885-99] (AB201460)
  • WB

Supplier Data

Western blot - Anti-HNF-4-alpha antibody [EPR16885-99] (AB201460)

Blocking/Dilution buffer : 5% NFDM/TBST.

Based on sequence analysis of the immunogen, ab201460 shares 72% homology with HNF4 gamma. The levels of XR were tested in the accompanying recombinant protein, WB experiment.

All lanes:

Western blot - Anti-HNF-4-alpha antibody [EPR16885-99] (ab201460) at 1/1000 dilution

All lanes:

Full length mouse HNF-4-gamma recombinant protein at 10 µg

Secondary

All lanes:

Goat Anti-Rabbit IgG, (H+L),Peroxidase conjugated at 1/1000 dilution

Predicted band size: 53 kDa

false

Exposure time: 3min

Key facts

Host species

Rabbit

Clonality

Monoclonal

Clone number

EPR16885-99

Isotype

IgG

Carrier free

No

Reacts with

Mouse, Rat, Human

Applications

WB, ICC/IF, IHC-P, Flow Cyt (Intra), ChIC/CUT&RUN-seq

applications

Immunogen

The exact immunogen used to generate this antibody is proprietary information.

Specificity

Mouse species are recommended based on IHC result. This antibody is unsuitable to be used in WB on mouse.

Reactivity data

{ "title": "Reactivity Data", "filters": { "stats": ["", "Species", "Dilution Info", "Notes"], "tabs": { "all-applications": {"fullname" : "All Applications", "shortname": "All Applications"}, "ChICCUTRUNseq" : {"fullname" : "ChIC/CUT&RUN sequencing", "shortname":"ChIC/CUT&RUN-seq"}, "WB" : {"fullname" : "Western blot", "shortname":"WB"}, "ICCIF" : {"fullname" : "Immunocytochemistry/ Immunofluorescence", "shortname":"ICC/IF"}, "FlowCytIntra" : {"fullname" : "Flow Cytometry (Intracellular)", "shortname":"Flow Cyt (Intra)"}, "IHCP" : {"fullname" : "Immunohistochemistry (Formalin/PFA-fixed paraffin-embedded sections)", "shortname":"IHC-P"} }, "product-promise": { "all": "all", "testedAndGuaranteed": "tested", "guaranteed": "expected", "predicted": "predicted", "notRecommended": "not-recommended" } }, "values": { "Human": { "ChICCUTRUNseq-species-checked": "testedAndGuaranteed", "ChICCUTRUNseq-species-dilution-info": "5 µg", "ChICCUTRUNseq-species-notes": "<p></p>", "WB-species-checked": "testedAndGuaranteed", "WB-species-dilution-info": "1/1000", "WB-species-notes": "<p></p>", "ICCIF-species-checked": "testedAndGuaranteed", "ICCIF-species-dilution-info": "1/2000", "ICCIF-species-notes": "<p></p>", "FlowCytIntra-species-checked": "testedAndGuaranteed", "FlowCytIntra-species-dilution-info": "1/1000", "FlowCytIntra-species-notes": "<p><a href='/en-us/products/primary-antibodies/rabbit-igg-monoclonal-epr25a-isotype-control-ab172730'>ab172730</a> - Rabbit monoclonal IgG, is suitable for use as an isotype control with this antibody.</p>", "IHCP-species-checked": "testedAndGuaranteed", "IHCP-species-dilution-info": "1/2000", "IHCP-species-notes": "<p></p>" }, "Mouse": { "ChICCUTRUNseq-species-checked": "guaranteed", "ChICCUTRUNseq-species-dilution-info": "", "ChICCUTRUNseq-species-notes": "", "WB-species-checked": "testedAndGuaranteed", "WB-species-dilution-info": "1/1000", "WB-species-notes": "<p></p>", "ICCIF-species-checked": "guaranteed", "ICCIF-species-dilution-info": "1/2000", "ICCIF-species-notes": "<p></p>", "FlowCytIntra-species-checked": "guaranteed", "FlowCytIntra-species-dilution-info": "1/1000", "FlowCytIntra-species-notes": "<p><a href='/en-us/products/primary-antibodies/rabbit-igg-monoclonal-epr25a-isotype-control-ab172730'>ab172730</a> - Rabbit monoclonal IgG, is suitable for use as an isotype control with this antibody.</p>", "IHCP-species-checked": "testedAndGuaranteed", "IHCP-species-dilution-info": "1/2000", "IHCP-species-notes": "<p></p>" }, "Rat": { "ChICCUTRUNseq-species-checked": "predicted", "ChICCUTRUNseq-species-dilution-info": "", "ChICCUTRUNseq-species-notes": "", "WB-species-checked": "guaranteed", "WB-species-dilution-info": "1/1000", "WB-species-notes": "<p></p>", "ICCIF-species-checked": "guaranteed", "ICCIF-species-dilution-info": "1/2000", "ICCIF-species-notes": "<p></p>", "FlowCytIntra-species-checked": "guaranteed", "FlowCytIntra-species-dilution-info": "1/1000", "FlowCytIntra-species-notes": "<p><a href='/en-us/products/primary-antibodies/rabbit-igg-monoclonal-epr25a-isotype-control-ab172730'>ab172730</a> - Rabbit monoclonal IgG, is suitable for use as an isotype control with this antibody.</p>", "IHCP-species-checked": "predicted", "IHCP-species-dilution-info": "", "IHCP-species-notes": "" } } }

Product details

What is this antibody validated in?
Anti-HNF-4-alpha antibody [EPR16885-99] (ab201460) is a rabbit recombinant monoclonal antibody and is validated for use in Western Blot (WB), Flow Cytometry (Intra), Flow Cytometry (Flow Cyt), Immunohistochemistry (IHC-P), Immunocytochemistry/immunofluorescence (ICC/IF) in Human, Mouse, Rat samples.

What is the molecular weight of HNF-4-alpha?
Anti-HNF-4-alpha [EPR16885-99] (ab201460) specifically detects a band for HNF-4-alpha (UniProt: P49698) at a molecular weight of 53kDa.

Trusted by the scientific community
Anti-HNF-4-alpha [EPR16885-99] (ab201460) was first used in a scientific publication in 2015 and has been cited over 10 times in peer-reviewed journals.

Trial sizes available!
Test your antibody or perform pre-screening before committing to a larger quantity. Sold in 10µl. Discover our selection of trial-size antibodies.

Other related products
We have a range of other formats of antibody clone [EPR16885-99] also available for your convenience: ab201460, Carrier free - ab231167, Alexa Fluor® 555 - ab320111, Alexa Fluor® 594 - ab320112, Alexa Fluor® 647 - ab320113, Alexa Fluor® 488 - ab320698

Patented technology
Our RabMAb® technology is a patented hybridoma-based technology for making rabbit monoclonal antibodies. For details on our patents, please refer to RabMAb® patents.

What are the advantages of a recombinant monoclonal antibody?
This product is a recombinant monoclonal antibody, which offers several advantages including:

  • - High batch-to-batch consistency and reproducibility
  • - Improved sensitivity and specificity
  • - Long-term security of supply
  • - Animal-free batch production

For more information, read more on recombinant antibodies.

Properties and storage information

Form
Liquid
Purification technique
Affinity purification Protein A
Storage buffer
pH: 7.2 - 7.4 Preservative: 0.01% Sodium azide Constituents: PBS, 40% Glycerol (glycerin, glycerine), 0.05% BSA
Shipped at conditions
Blue Ice
Appropriate short-term storage duration
1-2 weeks
Appropriate short-term storage conditions
+4°C
Appropriate long-term storage conditions
-20°C
Aliquoting information
Upon delivery aliquot
Storage information
Avoid freeze / thaw cycle

Supplementary information

This supplementary information is collated from multiple sources and compiled automatically.

HNF-4-alpha also known as hepatocyte nuclear factor 4-alpha (HNF4A) is a nuclear protein that functions as a transcription factor. It plays an important role in regulating gene expression in the liver kidney and intestine. HNF-4-alpha has a molecular mass of about 54 kDa and is expressed in tissues where it maintains cellular differentiation and metabolic homeostasis. In cellular assays such as ELISA and CHIP detection of HNF-4-alpha provides insights into its expression levels and activity in various biological contexts.
Biological function summary

HNF-4-alpha influences the expression of genes involved in liver and pancreatic function. It acts as a transcriptional regulator that controls fatty acid oxidation gluconeogenesis and insulin secretion. HNF-4-alpha interacts with other proteins to form transcriptional complexes that fine-tune the expression of metabolic enzymes and transport proteins. This protein is key to ensuring that metabolic genes are expressed in a coordinated manner which is essential for maintaining normal metabolic processes.

Pathways

HNF-4-alpha participates in the insulin signaling and lipid metabolism pathways. Through these pathways it interacts with other transcription factors such as HNF-1-alpha and PPAR-alpha which coordinate the regulation of genes involved in glucose metabolism and fatty acid oxidation. HNF-4-alpha plays a critical role by modulating the expression of enzymes like gluconeogenic enzymes in response to metabolic needs which connects it to key metabolic pathways influencing overall energy homeostasis.

HNF-4-alpha is linked to maturity-onset diabetes of the young (MODY1) and certain types of liver diseases. Mutations or dysregulation in HNF-4-alpha can affect the expression of genes essential for insulin production and glucose metabolism leading to disorders like diabetes. Additionally HNF-4-alpha interacts with other proteins and transcription factors implicated in these conditions such as HNF-1-alpha. Understanding the role of HNF-4-alpha in these diseases can provide insights into potential therapeutic targets and intervention strategies.

Product protocols

For this product, it's our understanding that no specific protocols are required. You can visit:

Target data

Transcriptional regulator which controls the expression of hepatic genes during the transition of endodermal cells to hepatic progenitor cells, facilitating the recruitment of RNA pol II to the promoters of target genes (PubMed : 30597922). Activates the transcription of CYP2C38 (By similarity). Represses the CLOCK-BMAL1 transcriptional activity and is essential for circadian rhythm maintenance and period regulation in the liver and colon cells (PubMed : 30530698).
See full target information HNF4A

Publications (37)

Recent publications for all applications. Explore the full list and refine your search

Nature communications 16:7455 PubMed40796541

2025

Dual-targeted siRubicon delivery strategy triggers hepatocellular lipophagy for mitigating liver steatosis.

Applications

Unspecified application

Species

Unspecified reactive species

Tingting Lan,Qiushi Li,Mingxing Yu,Xu Duan,Tao Ming,Shuo Li,Chunjiong Wang,Yi Zhu,Zhongyang Shen,Deling Kong,Yang Liu

Hepatology communications 9: PubMed40366121

2025

Single-cell transcription reveals hepatocyte-to-cholangiocyte reprogramming and biliary gene profile in biliary atresia.

Applications

Unspecified application

Species

Unspecified reactive species

Lingdu Meng,Min Du,Haodong Li,Fanyang Kong,Jiajian Yang,Rui Dong,Shan Zheng,Gong Chen,Zhen Shen,Junfeng Wang

Cell death & disease 16:361 PubMed40325003

2025

CXCL13 suppresses liver regeneration through the negative regulation of HGF signaling.

Applications

Unspecified application

Species

Unspecified reactive species

Qun Zhao,Jingyi Wu,Mengyuan Feng,Anjie Zhang,Liwei Fu,Jinglin Chen,Lian Li,Fangzhou Li,Tingting Li,Shu Jin,Shengbao Li,Xianjun Yu

JCI insight 10: PubMed40327401

2025

Tumor suppressors in Sox2-mediated lung cancers promote distinct cell-intrinsic and immunologic remodeling.

Applications

Unspecified application

Species

Unspecified reactive species

Nisitha Sengottuvel,Kristina M Whately,Jennifer L Modliszewski,Rani S Sellers,William D Green,Weida Gong,Allison T Woods,Eric W Livingston,Katerina D Fagan-Solis,Gabrielle Cannon,Lincy Edatt,Hong Yuan,Aaron C Chack,Yazmin Sanchez,Katherine Zhou,Alyaa Dawoud,Jarred M Green,Virginia Godfrey,J Justin Milner,Gaorav P Gupta,Chad V Pecot

iScience 28:111671 PubMed39868030

2025

Primitive to visceral endoderm maturation is essential for mouse epiblast survival beyond implantation.

Applications

Unspecified application

Species

Unspecified reactive species

Antonia Weberling,Dylan Siriwardena,Christopher Penfold,Neophytos Christodoulou,Thorsten E Boroviak,Magdalena Zernicka-Goetz

Hepatology communications 8: PubMed39761008

2025

FAK inhibition delays liver repair after acetaminophen-induced acute liver injury by suppressing hepatocyte proliferation and macrophage recruitment.

Applications

Unspecified application

Species

Unspecified reactive species

Qing Li,Qi Xu,Jialin Shi,Wei Dong,Junfei Jin,Chong Zhang

Disease models & mechanisms 17: PubMed39397390

2024

Sex hormone receptors, calcium-binding protein and Yap1 signaling regulate sex-dependent liver cell proliferation following partial hepatectomy.

Applications

Unspecified application

Species

Unspecified reactive species

Mingkai Zhu,Yan Li,Qiaosen Shen,Zhiyuan Gong,Dong Liu

Scientific reports 14:22927 PubMed39358473

2024

Sustained alterations in proximal tubule gene expression in primary culture associate with HNF4A loss.

Applications

Unspecified application

Species

Unspecified reactive species

Asha C Telang,Jenna T Ference-Salo,Madison C McElliott,Mahboob Chowdhury,Jeffrey A Beamish

Cancers 16: PubMed38791872

2024

Partial Hepatectomy Promotes the Development of KRASG12V-Induced Hepatocellular Carcinoma in Zebrafish.

Applications

Unspecified application

Species

Unspecified reactive species

Mingkai Zhu,Yan Li,Dong Liu,Zhiyuan Gong

Nature communications 15:4034 PubMed38740814

2024

Mapping of mitogen and metabolic sensitivity in organoids defines requirements for human hepatocyte growth.

Applications

Unspecified application

Species

Unspecified reactive species

Delilah Hendriks,Benedetta Artegiani,Thanasis Margaritis,Iris Zoutendijk,Susana Chuva de Sousa Lopes,Hans Clevers
View all publications
chicCutRunSequencingBooklet
en

Product promise

We are committed to supporting your work with high-quality reagents, and we're here for you every step of the way. In the unlikely event that one of our products does not perform as expected, you're protected by our Product Promise.
For full details, please see our Terms & Conditions

Please note: All products are 'FOR RESEARCH USE ONLY. NOT FOR USE IN DIAGNOSTIC OR THERAPEUTIC PROCEDURES'.

For licensing inquiries, please contact partnerships@abcam.com