JavaScript is disabled in your browser. Please enable JavaScript to view this website.
AB231167

Anti-HNF-4-alpha antibody [EPR16885-99] - BSA and Azide free

Be the first to review this product! Submit a review

|

(0 Publication)

Rabbit Recombinant Monoclonal HNF-4-alpha antibody. Carrier free. Suitable for ChIC/CUT&RUN-seq, WB, ICC/IF, Flow Cyt (Intra), IHC-P and reacts with Human, Mouse, Rat samples.

View Alternative Names

HNF4, NR2A1, TCF14, HNF4A, Hepatocyte nuclear factor 4-alpha, HNF-4-alpha, Nuclear receptor subfamily 2 group A member 1, Transcription factor 14, Transcription factor HNF-4, TCF-14

8 Images
Immunocytochemistry/ Immunofluorescence - Anti-HNF-4-alpha antibody [EPR16885-99] - BSA and Azide free (AB231167)
  • ICC/IF

Lab

Immunocytochemistry/ Immunofluorescence - Anti-HNF-4-alpha antibody [EPR16885-99] - BSA and Azide free (AB231167)

Immunofluorescent analysis of 4% paraformaldehyde-fixed, 0.1% Triton-X100 permeabilized HepG2 (Human liver hepatocellular carcinoma) cells labeling HNF-4-alpha with ab201460 at 1/2000 dilution, followed by AlexaFluor®488 Goat anti-Rabbit secondary antibody (ab150077) at 1/500 dilution (green).

Confocal image showing nuclear staining on HT-29 cell line.

The nuclear counter stain is DAPI (blue). Tubulin is stained with ab7291 anti-Tubulin (mouse mAb) at 1/1000 dilution, followed by AlexaFluor®594 Goat anti-Mouse secondary antibody (ab150120) at 1/500 dilution (red).
-ve control 1 : ab201460 at 1/2000 dilution followed by AlexaFluor®594 Goat anti-Mouse secondary antibody (ab150120) at 1/500 dilution.
-ve control 2 : ab7291 anti-Tubulin (mouse mAb) at 1/1000 dilution, followed by AlexaFluor®488 Goat anti-Rabbit secondary antibody (ab150077) at 1/500 dilution.

This data was developed using the same antibody clone in a different buffer formulation containing PBS, BSA, glycerol, and sodium azide (ab201460).

Flow Cytometry (Intracellular) - Anti-HNF-4-alpha antibody [EPR16885-99] - BSA and Azide free (AB231167)
  • Flow Cyt (Intra)

Unknown

Flow Cytometry (Intracellular) - Anti-HNF-4-alpha antibody [EPR16885-99] - BSA and Azide free (AB231167)

Intracellular Flow Cytometry analysis of HepG2 (human hepatocellular carcinoma) labelling CDKN2A/p16INK4a with purified ab201460 at 1/1000 (red). Cells were fixed with 4% paraformaldehyde and permeabilised with 90% methanol. A Alexa Fluor® 488 goat anti-rabbit IgG (1/2000) was used as the secondary antibody. Black - Isotype control, rabbit monoclonal IgG. Blue - Unlabelled control, cells without incubation with primary and secondary antibodies.

This data was developed using the same antibody clone in a different buffer formulation containing PBS, BSA, glycerol, and sodium azide (ab201460).

Immunohistochemistry (Formalin/PFA-fixed paraffin-embedded sections) - Anti-HNF-4-alpha antibody [EPR16885-99] - BSA and Azide free (AB231167)
  • IHC-P

Supplier Data

Immunohistochemistry (Formalin/PFA-fixed paraffin-embedded sections) - Anti-HNF-4-alpha antibody [EPR16885-99] - BSA and Azide free (AB231167)

This IHC data was generated using the same anti-HNF4 antibody clone, EPR16885-99, in a different buffer formulation (cat# ab201460).

Immunohistochemical analysis of paraffin-embedded Human colon tissue labeling HNF-4-alpha with ab201460 at 1/2000 dilution, followed by Goat Anti-Rabbit IgG H&L (HRP) (ab97051) secondary antibody at 1/500 dilution.

Nuclear staining on Human colon tissue is observed. Counter stained with Hematoxylin.

Secondary antibody only control : Used PBS instead of primary antibody, secondary antibody is Goat Anti-Rabbit IgG H&L (HRP) (ab97051) at 1/500 dilution.

Heat mediated antigen retrieval was performed with Tris/EDTA buffer pH 9.0 before commencing with IHC staining protocol.

Immunohistochemistry (Formalin/PFA-fixed paraffin-embedded sections) - Anti-HNF-4-alpha antibody [EPR16885-99] - BSA and Azide free (AB231167)
  • IHC-P

Supplier Data

Immunohistochemistry (Formalin/PFA-fixed paraffin-embedded sections) - Anti-HNF-4-alpha antibody [EPR16885-99] - BSA and Azide free (AB231167)

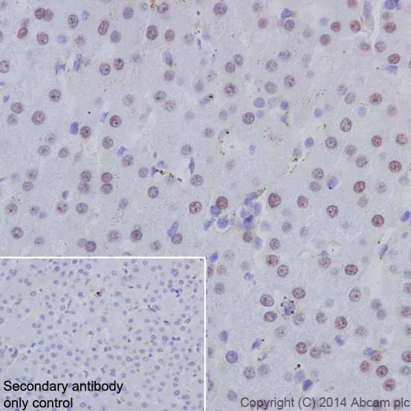
Immunohistochemical analysis of paraffin-embedded Human liver tissue labeling HNF-4-alpha with ab201460 at 1/2000 dilution, followed by Goat Anti-Rabbit IgG H&L (HRP) (ab97051) secondary antibody at 1/500 dilution.

Nuclear staining on Human liver tissue is observed. Counter stained with Hematoxylin.

Secondary antibody only control : Used PBS instead of primary antibody, secondary antibody is Goat Anti-Rabbit IgG H&L (HRP) (ab97051) at 1/500 dilution.

This data was developed using the same antibody clone in a different buffer formulation containing PBS, BSA, glycerol, and sodium azide (ab201460).

Heat mediated antigen retrieval was performed with Tris/EDTA buffer pH 9.0 before commencing with IHC staining protocol.

Immunocytochemistry/ Immunofluorescence - Anti-HNF-4-alpha antibody [EPR16885-99] - BSA and Azide free (AB231167)
  • ICC/IF

Lab

Immunocytochemistry/ Immunofluorescence - Anti-HNF-4-alpha antibody [EPR16885-99] - BSA and Azide free (AB231167)

Immunofluorescent analysis of 4% paraformaldehyde-fixed, 0.1% Triton-X100 permeabilized HT-29 (Human colorectal adenocarcinoma cells) cells labeling HNF-4-alpha with ab201460 at 1/2000 dilution, followed by AlexaFluor®488 Goat anti-Rabbit secondary antibody (ab150077) at 1/500 dilution (green).

Confocal image showing nuclear staining on HT-29 cell line.

The nuclear counter stain is DAPI (blue). Tubulin is stained with ab7291 anti-Tubulin (mouse mAb) at 1/1000 dilution, followed by AlexaFluor®594 Goat anti-Mouse secondary antibody (ab150120) at 1/500 dilution (red).
-ve control 1 : ab201460 at 1/2000 dilution followed by AlexaFluor®594 Goat anti-Mouse secondary antibody (ab150120) at 1/500 dilution.
-ve control 2 : ab7291 anti-Tubulin (mouse mAb) at 1/1000 dilution, followed by AlexaFluor®488 Goat anti-Rabbit secondary antibody (ab150077) at 1/500 dilution.

This data was developed using the same antibody clone in a different buffer formulation containing PBS, BSA, glycerol, and sodium azide (ab201460).

Immunohistochemistry (Formalin/PFA-fixed paraffin-embedded sections) - Anti-HNF-4-alpha antibody [EPR16885-99] - BSA and Azide free (AB231167)
  • IHC-P

Supplier Data

Immunohistochemistry (Formalin/PFA-fixed paraffin-embedded sections) - Anti-HNF-4-alpha antibody [EPR16885-99] - BSA and Azide free (AB231167)

This IHC data was generated using the same anti-HNF4 antibody clone, EPR16885-99, in a different buffer formulation (cat# ab201460).

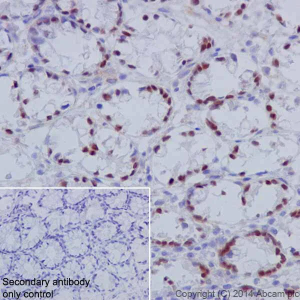
Immunohistochemical analysis of paraffin-embedded Rat colon tissue labeling HNF-4-alpha with ab201460 at 1/2000 dilution, followed by Goat Anti-Rabbit IgG H&L (HRP) (ab97051) secondary antibody at 1/500 dilution.

Nuclear staining on rat colon tissue is observed. Counter stained with Hematoxylin.

Secondary antibody only control : Used PBS instead of primary antibody, secondary antibody is Goat Anti-Rabbit IgG H&L (HRP) (ab97051) at 1/500 dilution.

Heat mediated antigen retrieval was performed with Tris/EDTA buffer pH 9.0 before commencing with IHC staining protocol.

Immunohistochemistry (Formalin/PFA-fixed paraffin-embedded sections) - Anti-HNF-4-alpha antibody [EPR16885-99] - BSA and Azide free (AB231167)
  • IHC-P

Supplier Data

Immunohistochemistry (Formalin/PFA-fixed paraffin-embedded sections) - Anti-HNF-4-alpha antibody [EPR16885-99] - BSA and Azide free (AB231167)

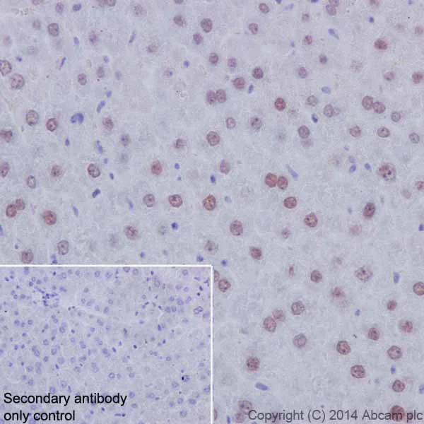
Immunohistochemical analysis of paraffin-embedded Mouse liver tissue labeling HNF-4-alpha with ab201460 at 1/2000 dilution, followed by Goat Anti-Rabbit IgG H&L (HRP) (ab97051) secondary antibody at 1/500 dilution.

Nuclear staining on mouse liver tissue is observed. Counter stained with Hematoxylin.

Secondary antibody only control : Used PBS instead of primary antibody, secondary antibody is Goat Anti-Rabbit IgG H&L (HRP) (ab97051) at 1/500 dilution.

This data was developed using the same antibody clone in a different buffer formulation containing PBS, BSA, glycerol, and sodium azide (ab201460).

Heat mediated antigen retrieval was performed with Tris/EDTA buffer pH 9.0 before commencing with IHC staining protocol.

ChIC/CUT&RUN sequencing - Anti-HNF-4-alpha antibody [EPR16885-99] - BSA and Azide free (AB231167)
  • ChIC/CUT&RUN-seq

Supplier Data

ChIC/CUT&RUN sequencing - Anti-HNF-4-alpha antibody [EPR16885-99] - BSA and Azide free (AB231167)

ChIC/CUT&RUN was performed using a pAG-MNAse at a final concentration of 700 ng/mL, 2.5 x 10^5 HepG2 (Human liver hepatocellular carcinoma cell line) cells and 5 µg of ab201460 [EPR16885-99)]. The resulting DNA was sequenced on the Illumina NovaSeq 6000 to a depth of 10 million reads. The negative IgG control ab172730 is also shown. Additional screenshots of mapped reads can be found in the Protocol booklet in the Product Protocol section. The University of Geneva owns patents relevant to ChIC (Chromatin Immuno-Cleavage) methods. This data was developed using the same antibody clone in a different buffer formulation containing PBS, BSA, glycerol, and sodium azide (ab201460).

Key facts

Host species

Rabbit

Clonality

Monoclonal

Clone number

EPR16885-99

Isotype

IgG

Carrier free

Yes

Reacts with

Mouse, Rat, Human

Applications

ICC/IF, ChIC/CUT&RUN-seq, Flow Cyt (Intra), IHC-P, WB

applications

Immunogen

The exact immunogen used to generate this antibody is proprietary information.

Specificity

Mouse species are recommended based on IHC result. This antibody is unsuitable to be used in WB on mouse.

Reactivity data

{ "title": "Reactivity Data", "filters": { "stats": ["", "Species", "Dilution Info", "Notes"], "tabs": { "all-applications": {"fullname" : "All Applications", "shortname": "All Applications"}, "ChICCUTRUNseq" : {"fullname" : "ChIC/CUT&RUN sequencing", "shortname":"ChIC/CUT&RUN-seq"}, "WB" : {"fullname" : "Western blot", "shortname":"WB"}, "ICCIF" : {"fullname" : "Immunocytochemistry/ Immunofluorescence", "shortname":"ICC/IF"}, "FlowCytIntra" : {"fullname" : "Flow Cytometry (Intracellular)", "shortname":"Flow Cyt (Intra)"}, "IHCP" : {"fullname" : "Immunohistochemistry (Formalin/PFA-fixed paraffin-embedded sections)", "shortname":"IHC-P"} }, "product-promise": { "all": "all", "testedAndGuaranteed": "tested", "guaranteed": "expected", "predicted": "predicted", "notRecommended": "not-recommended" } }, "values": { "Human": { "ChICCUTRUNseq-species-checked": "testedAndGuaranteed", "ChICCUTRUNseq-species-dilution-info": "", "ChICCUTRUNseq-species-notes": "<p></p>", "WB-species-checked": "testedAndGuaranteed", "WB-species-dilution-info": "", "WB-species-notes": "<p></p>", "ICCIF-species-checked": "testedAndGuaranteed", "ICCIF-species-dilution-info": "", "ICCIF-species-notes": "<p></p>", "FlowCytIntra-species-checked": "testedAndGuaranteed", "FlowCytIntra-species-dilution-info": "", "FlowCytIntra-species-notes": "<p><a href='/en-us/products/primary-antibodies/rabbit-igg-monoclonal-epr25a-isotype-control-low-endotoxin-azide-free-ab199376'>ab199376</a> - Rabbit monoclonal IgG (Low endotoxin, Azide free), is suitable for use as an isotype control with this antibody.</p>", "IHCP-species-checked": "testedAndGuaranteed", "IHCP-species-dilution-info": "", "IHCP-species-notes": "<p></p>" }, "Mouse": { "ChICCUTRUNseq-species-checked": "guaranteed", "ChICCUTRUNseq-species-dilution-info": "", "ChICCUTRUNseq-species-notes": "<p></p>", "WB-species-checked": "guaranteed", "WB-species-dilution-info": "", "WB-species-notes": "", "ICCIF-species-checked": "guaranteed", "ICCIF-species-dilution-info": "", "ICCIF-species-notes": "", "FlowCytIntra-species-checked": "guaranteed", "FlowCytIntra-species-dilution-info": "", "FlowCytIntra-species-notes": "", "IHCP-species-checked": "testedAndGuaranteed", "IHCP-species-dilution-info": "", "IHCP-species-notes": "<p></p>" }, "Rat": { "ChICCUTRUNseq-species-checked": "guaranteed", "ChICCUTRUNseq-species-dilution-info": "", "ChICCUTRUNseq-species-notes": "<p></p>", "WB-species-checked": "guaranteed", "WB-species-dilution-info": "", "WB-species-notes": "", "ICCIF-species-checked": "guaranteed", "ICCIF-species-dilution-info": "", "ICCIF-species-notes": "", "FlowCytIntra-species-checked": "guaranteed", "FlowCytIntra-species-dilution-info": "", "FlowCytIntra-species-notes": "", "IHCP-species-checked": "testedAndGuaranteed", "IHCP-species-dilution-info": "", "IHCP-species-notes": "<p></p>" } } }

Product details

ab231167 is the carrier-free version of ab201460.

Conjugation ready
Our carrier-free antibodies are typically supplied in a PBS-only formulation, purified and free of BSA, sodium azide and glycerol. This conjugation-ready format is designed for use with fluorochromes, metal isotopes, oligonucleotides, and enzymes, which makes them ideal for antibody labelling, functional and cell-based assays, flow-based assays (e.g. mass cytometry) and Multiplex Imaging applications.

Use our conjugation kits for antibody conjugates that are ready-to-use in as little as 20 minutes with 1 minute hands-on-time and 100% antibody recovery: available for fluorescent dyes, HRP, biotin and gold.

Compatibility
This product is compatible with the Maxpar® Antibody Labeling Kit from Fluidigm, without the need for antibody preparation. Maxpar® is a trademark of Fluidigm Canada Inc.

Properties and storage information

Form
Liquid
Purification technique
Affinity purification Protein A
Storage buffer
pH: 7.2 - 7.4 Constituents: PBS
Shipped at conditions
Blue Ice
Appropriate short-term storage conditions
+4°C
Appropriate long-term storage conditions
+4°C
Storage information
Do Not Freeze

Supplementary information

This supplementary information is collated from multiple sources and compiled automatically.

HNF-4-alpha also known as hepatocyte nuclear factor 4-alpha (HNF4A) is a nuclear protein that functions as a transcription factor. It plays an important role in regulating gene expression in the liver kidney and intestine. HNF-4-alpha has a molecular mass of about 54 kDa and is expressed in tissues where it maintains cellular differentiation and metabolic homeostasis. In cellular assays such as ELISA and CHIP detection of HNF-4-alpha provides insights into its expression levels and activity in various biological contexts.
Biological function summary

HNF-4-alpha influences the expression of genes involved in liver and pancreatic function. It acts as a transcriptional regulator that controls fatty acid oxidation gluconeogenesis and insulin secretion. HNF-4-alpha interacts with other proteins to form transcriptional complexes that fine-tune the expression of metabolic enzymes and transport proteins. This protein is key to ensuring that metabolic genes are expressed in a coordinated manner which is essential for maintaining normal metabolic processes.

Pathways

HNF-4-alpha participates in the insulin signaling and lipid metabolism pathways. Through these pathways it interacts with other transcription factors such as HNF-1-alpha and PPAR-alpha which coordinate the regulation of genes involved in glucose metabolism and fatty acid oxidation. HNF-4-alpha plays a critical role by modulating the expression of enzymes like gluconeogenic enzymes in response to metabolic needs which connects it to key metabolic pathways influencing overall energy homeostasis.

HNF-4-alpha is linked to maturity-onset diabetes of the young (MODY1) and certain types of liver diseases. Mutations or dysregulation in HNF-4-alpha can affect the expression of genes essential for insulin production and glucose metabolism leading to disorders like diabetes. Additionally HNF-4-alpha interacts with other proteins and transcription factors implicated in these conditions such as HNF-1-alpha. Understanding the role of HNF-4-alpha in these diseases can provide insights into potential therapeutic targets and intervention strategies.

Product protocols

For this product, it's our understanding that no specific protocols are required. You can visit:

Target data

Transcriptional regulator which controls the expression of hepatic genes during the transition of endodermal cells to hepatic progenitor cells, facilitating the recruitment of RNA pol II to the promoters of target genes (PubMed : 30597922). Activates the transcription of CYP2C38 (By similarity). Represses the CLOCK-BMAL1 transcriptional activity and is essential for circadian rhythm maintenance and period regulation in the liver and colon cells (PubMed : 30530698).
See full target information HNF4A
chicCutRunSequencingBooklet
en

Product promise

We are committed to supporting your work with high-quality reagents, and we're here for you every step of the way. In the unlikely event that one of our products does not perform as expected, you're protected by our Product Promise.
For full details, please see our Terms & Conditions

Please note: All products are 'FOR RESEARCH USE ONLY. NOT FOR USE IN DIAGNOSTIC OR THERAPEUTIC PROCEDURES'.

For licensing inquiries, please contact partnerships@abcam.com