JavaScript is disabled in your browser. Please enable JavaScript to view this website.
AB181604

Anti-HNF-4-alpha antibody [EPR16885] - ChIP Grade

5

(4 Reviews)

|

(70 Publications)

Anti-HNF-4-alpha antibody [EPR16885] - ChIP Grade (ab181604) is a rabbit monoclonal antibody detecting HNF-4-alpha in Western Blot, IP, IHC-P, ChIP. Suitable for Human, Mouse, Rat.

- Biophysical QC for unrivalled batch-batch consistency
- Over 40 publications

View Alternative Names

HNF4, NR2A1, TCF14, HNF4A, Hepatocyte nuclear factor 4-alpha, HNF-4-alpha, Nuclear receptor subfamily 2 group A member 1, Transcription factor 14, Transcription factor HNF-4, TCF-14

13 Images
Immunohistochemistry (Formalin/PFA-fixed paraffin-embedded sections) - Anti-HNF-4-alpha antibody [EPR16885] - ChIP Grade (AB181604)
  • IHC-P

Supplier Data

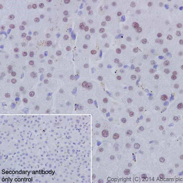
Immunohistochemistry (Formalin/PFA-fixed paraffin-embedded sections) - Anti-HNF-4-alpha antibody [EPR16885] - ChIP Grade (AB181604)

Immunohistochemical analysis of paraffin-embedded Human liver tissue labeling HNF-4-alpha with ab181604 at 1/2000 dilution, followed by Goat Anti-Rabbit IgG H&L (HRP) (ab97051) secondary antibody at 1/500 dilution. Nucleus staining on Human liver is observed. Counter stained with Hematoxylin.

Secondary antibody only control : Used PBS instead of primary antibody, secondary antibody is Goat Anti-Rabbit IgG H&L (HRP) (ab97051) at 1/500 dilution.

Perform heat mediated antigen retrieval with Tris/EDTA buffer pH 9.0 before commencing with IHC staining protocol.

Immunohistochemistry (Formalin/PFA-fixed paraffin-embedded sections) - Anti-HNF-4-alpha antibody [EPR16885] - ChIP Grade (AB181604)
  • IHC-P

Supplier Data

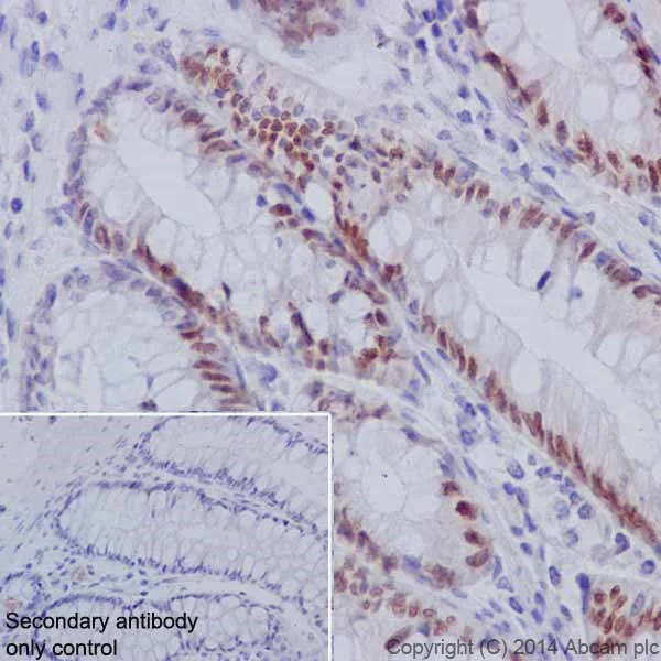
Immunohistochemistry (Formalin/PFA-fixed paraffin-embedded sections) - Anti-HNF-4-alpha antibody [EPR16885] - ChIP Grade (AB181604)

Immunohistochemical analysis of paraffin-embedded Human colon tissue labeling HNF-4-alpha with ab181604 at 1/2000 dilution, followed by Goat Anti-Rabbit IgG H&L (HRP) (ab97051) secondary antibody at 1/500 dilution. Nuclear staining on epithelial cells of Human colon is observed. Counter stained with Hematoxylin.

Secondary antibody only control : Used PBS instead of primary antibody, secondary antibody is Goat Anti-Rabbit IgG H&L (HRP) (ab97051) at 1/500 dilution.

Perform heat mediated antigen retrieval with Tris/EDTA buffer pH 9.0 before commencing with IHC staining protocol.

Immunoprecipitation - Anti-HNF-4-alpha antibody [EPR16885] - ChIP Grade (AB181604)
  • IP

Supplier Data

Immunoprecipitation - Anti-HNF-4-alpha antibody [EPR16885] - ChIP Grade (AB181604)

HNF-4 alpha was immunoprecipitated from 1mg of HepG2 (Human liver hepatocellular carcinoma) whole cell extract with ab181604 at 1/70 dilution. Western blot was performed from the immunoprecipitate using ab181604 at 1/5000 dilution. Anti-Rabbit IgG (HRP), specific to the non-reduced form of IgG, was used as secondary antibody at 1/1500 dilution.

Lane 1 : HepG2 whole cell extract 10 μg (Input).

Lane 2 : ab181604 IP in HepG2 whole cell extract.

Lane 3 : Rabbit monoclonal IgG (ab172730) instead of ab181604 in HepG2 whole cell extract.

Blocking and dilution buffer and concentration : 5% NFDM/TBST.

All lanes:

Immunoprecipitation - Anti-HNF-4-alpha antibody [EPR16885] - ChIP Grade (ab181604)

Predicted band size: 53 kDa

Observed band size: 53 kDa

false

Exposure time: 5s

ChIP - Anti-HNF-4-alpha antibody [EPR16885] - ChIP Grade (AB181604)
  • ChIP

Supplier Data

ChIP - Anti-HNF-4-alpha antibody [EPR16885] - ChIP Grade (AB181604)

Chromatin was prepared from HepG2 (Human liver hepatocellular carcinoma) cells according to the Abcam X-ChIP protocol. Cells were fixed with formaldehyde for 10 minutes. The ChIP was performed with 25μg of chromatin, 2μg of ab181604 (blue), and 20μl of Anti rabbit IgG sepharose beads. 2μg of rabbit normal IgG was added to the beads control (yellow). The immunoprecipitated DNA was quantified by real time PCR (Sybr green approach).

ABCC6_NC1 is negative control

Immunohistochemistry (Formalin/PFA-fixed paraffin-embedded sections) - Anti-HNF-4-alpha antibody [EPR16885] - ChIP Grade (AB181604)
  • IHC-P

Supplier Data

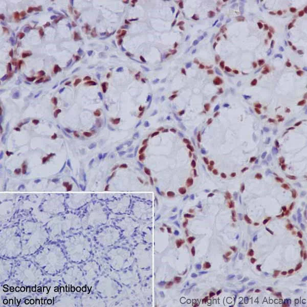
Immunohistochemistry (Formalin/PFA-fixed paraffin-embedded sections) - Anti-HNF-4-alpha antibody [EPR16885] - ChIP Grade (AB181604)

Immunohistochemical analysis of paraffin-embedded Rat colon tissue labeling HNF-4-alpha with ab181604 at 1/2000 dilution, followed by Goat Anti-Rabbit IgG H&L (HRP) (ab97051) secondary antibody at 1/500 dilution. Nuclear staining on epithelial cells of rat colon is observed. Counter stained with Hematoxylin.

Secondary antibody only control : Used PBS instead of primary antibody, secondary antibody is Goat Anti-Rabbit IgG H&L (HRP) (ab97051) at 1/500 dilution.

Perform heat mediated antigen retrieval with Tris/EDTA buffer pH 9.0 before commencing with IHC staining protocol.

Immunohistochemistry (Formalin/PFA-fixed paraffin-embedded sections) - Anti-HNF-4-alpha antibody [EPR16885] - ChIP Grade (AB181604)
  • IHC-P

Supplier Data

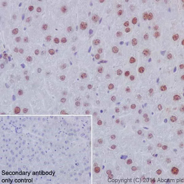
Immunohistochemistry (Formalin/PFA-fixed paraffin-embedded sections) - Anti-HNF-4-alpha antibody [EPR16885] - ChIP Grade (AB181604)

Immunohistochemical analysis of paraffin-embedded Mouse liver tissue labeling HNF-4-alpha with ab181604 at 1/2000 dilution, followed by Goat Anti-Rabbit IgG H&L (HRP) (ab97051) secondary antibody at 1/500 dilution. Nuclear staining on mouse liver is observed. Counter stained with Hematoxylin.

Secondary antibody only control : Used PBS instead of primary antibody, secondary antibody is Goat Anti-Rabbit IgG H&L (HRP) (ab97051) at 1/500 dilution.

Perform heat mediated antigen retrieval with Tris/EDTA buffer pH 9.0 before commencing with IHC staining protocol.

Western blot - Anti-HNF-4-alpha antibody [EPR16885] - ChIP Grade (AB181604)
  • WB

Supplier Data

Western blot - Anti-HNF-4-alpha antibody [EPR16885] - ChIP Grade (AB181604)

Blocking/Dilution buffer : 5% NFDM/TBST.

All lanes:

Western blot - Anti-HNF-4-alpha antibody [EPR16885] - ChIP Grade (ab181604) at 1/1000 dilution

Lane 1:

Human fetal liver lysate at 10 µg

Lane 2:

Human colon lysate at 10 µg

Lane 3:

Human fetal kidney lysate at 10 µg

Secondary

All lanes:

Anti-Rabbit IgG (HRP), specific to the non-reduced form of IgG at 1/1000 dilution

Predicted band size: 53 kDa

Observed band size: 53 kDa

false

Exposure time: 1min

Western blot - Anti-HNF-4-alpha antibody [EPR16885] - ChIP Grade (AB181604)
  • WB

Supplier Data

Western blot - Anti-HNF-4-alpha antibody [EPR16885] - ChIP Grade (AB181604)

This antibody can recognize 2 isoforms in mouse and rat. The predicted MW are 53KDa and 52 KDa.

Blocking/Dilution buffer : 5% NFDM/TBST.

All lanes:

Western blot - Anti-HNF-4-alpha antibody [EPR16885] - ChIP Grade (ab181604) at 1/1000 dilution

Lane 1:

Mouse liver lysate at 10 µg

Lane 2:

Rat liver lysate at 10 µg

Secondary

All lanes:

Goat Anti-Rabbit IgG, (H+L),Peroxidase conjugated at 1/1000 dilution

Predicted band size: 53 kDa

false

Exposure time: 15s

Western blot - Anti-HNF-4-alpha antibody [EPR16885] - ChIP Grade (AB181604)
  • WB

Supplier Data

Western blot - Anti-HNF-4-alpha antibody [EPR16885] - ChIP Grade (AB181604)

Blocking/Dilution buffer : 5% NFDM/TBST.

All lanes:

Western blot - Anti-HNF-4-alpha antibody [EPR16885] - ChIP Grade (ab181604) at 1/1000 dilution

All lanes:

SW480 (Human colon adenocarcinoma cell line) whole cell lysate at 10 µg

Secondary

All lanes:

Goat Anti-Rabbit IgG, (H+L),Peroxidase conjugated at 1/1000 dilution

Predicted band size: 53 kDa

Observed band size: 53 kDa

false

Exposure time: 5s

Western blot - Anti-HNF-4-alpha antibody [EPR16885] - ChIP Grade (AB181604)
  • WB

Supplier Data

Western blot - Anti-HNF-4-alpha antibody [EPR16885] - ChIP Grade (AB181604)

Blocking/Dilution buffer : 5% NFDM/TBST.

All lanes:

Western blot - Anti-HNF-4-alpha antibody [EPR16885] - ChIP Grade (ab181604) at 1/10000 dilution

All lanes:

HepG2 (Human liver hepatocellular carcinoma) whole cell lysate at 10 µg

Secondary

All lanes:

Goat Anti-Rabbit IgG, (H+L),Peroxidase conjugated at 1/1000 dilution

Predicted band size: 53 kDa

Observed band size: 53 kDa

false

ChIC/CUT&RUN sequencing - Anti-HNF-4-alpha antibody [EPR16885] - ChIP Grade (AB181604)
  • ChIC/CUT&RUN-seq

Supplier Data

ChIC/CUT&RUN sequencing - Anti-HNF-4-alpha antibody [EPR16885] - ChIP Grade (AB181604)

ChIC/CUT&RUN was performed using a pAG-MNAse at a final concentration of 700 ng/mL, 2.5 x 10^5 HepG2 (Human liver hepatocellular carcinoma cell line) cells and 5 µg of ab181604 [EPR16885]. The resulting DNA was sequenced on the Illumina NovaSeq 6000 to a depth of 10 million reads. The negative IgG control ab172730 is also shown. Additional screenshots of mapped reads can be downloaded here. The University of Geneva owns patents relevant to ChIC (Chromatin Immuno-Cleavage) methods.

Western blot - Anti-HNF-4-alpha antibody [EPR16885] - ChIP Grade (AB181604)
  • WB

Supplier Data

Western blot - Anti-HNF-4-alpha antibody [EPR16885] - ChIP Grade (AB181604)

Blocking/Dilution buffer : 5% NFDM/TBST.

All lanes:

Western blot - Anti-HNF-4-alpha antibody [EPR16885] - ChIP Grade (ab181604) at 1/1000 dilution

All lanes:

Full length mouse HNF-4-gamma recombinant protein at 10 µg

Secondary

All lanes:

Goat Anti-Rabbit IgG, (H+L),Peroxidase conjugated at 1/1000 dilution

Predicted band size: 45 kDa,53 kDa

Observed band size: 38 kDa,39 kDa

false

Exposure time: 3min

Western blot - Anti-HNF-4-alpha antibody [EPR16885] - ChIP Grade (AB181604)
  • WB

Lab

Western blot - Anti-HNF-4-alpha antibody [EPR16885] - ChIP Grade (AB181604)

This blot was produced using a 4-12% Bis-Tris gel under the MOPS buffer system. The gel was run at 200V for 60 minutes before being transferred onto a nitrocellulose membrane at 30V for 70 minutes. The membrane was blocked for an hour before being incubated with ab181604 (rabbit monoclonal [EPR16885] to HNF-4-alpha; dilution 1 : 10000) and loading control ab18058 (mouse monoclonal [SPM227] to Vinculin; dilution 1 : 10000) at 4°C overnight. Antibody binding was detected with ab216773 (Goat anti-Rabbit IgG H&L (IRDye® 800CW); green; dilution 1 : 20000) and ab216776 (Goat anti-Mouse IgG H&L (IRDye® 680RD), red; dilution 1 : 20000) for 1 hour at room temperature before imaging.

All lanes:

Western blot - Anti-HNF-4-alpha antibody [EPR16885] - ChIP Grade (ab181604) at 1/10000 dilution

Lane 1:

HepG2 whole cell lysate at 20 µg

Lane 2:

HEK293 whole cell lysate at 20 µg

Lane 3:

Mouse liver lysate at 20 µg

Secondary

All lanes:

Western blot - Goat anti-Rabbit IgG H&L (IRDye® 800CW) preadsorbed (<a href='/en-us/products/secondary-antibodies/goat-rabbit-igg-h-l-irdye-800cw-preadsorbed-ab216773'>ab216773</a>) at 1/20000 dilution

Predicted band size: 53 kDa

false

  • Carrier free

    Anti-HNF-4-alpha antibody [EPR16885] - ChIP Grade - BSA and Azide free

Key facts

Host species

Rabbit

Clonality

Monoclonal

Clone number

EPR16885

Isotype

IgG

Carrier free

No

Reacts with

Mouse, Rat, Human

Applications

ChIC/CUT&RUN-seq, IHC-P, IP, WB, ChIP

applications

Immunogen

The exact immunogen used to generate this antibody is proprietary information.

Reactivity data

{ "title": "Reactivity Data", "filters": { "stats": ["", "Species", "Dilution Info", "Notes"], "tabs": { "all-applications": {"fullname" : "All Applications", "shortname": "All Applications"}, "ChICCUTRUNseq" : {"fullname" : "ChIC/CUT&RUN sequencing", "shortname":"ChIC/CUT&RUN-seq"}, "IP" : {"fullname" : "Immunoprecipitation", "shortname":"IP"}, "ChIP" : {"fullname" : "ChIP", "shortname":"ChIP"}, "WB" : {"fullname" : "Western blot", "shortname":"WB"}, "IHCP" : {"fullname" : "Immunohistochemistry (Formalin/PFA-fixed paraffin-embedded sections)", "shortname":"IHC-P"} }, "product-promise": { "all": "all", "testedAndGuaranteed": "tested", "guaranteed": "expected", "predicted": "predicted", "notRecommended": "not-recommended" } }, "values": { "Human": { "ChICCUTRUNseq-species-checked": "testedAndGuaranteed", "ChICCUTRUNseq-species-dilution-info": "5 µg", "ChICCUTRUNseq-species-notes": "<p></p>", "IP-species-checked": "testedAndGuaranteed", "IP-species-dilution-info": "1/70", "IP-species-notes": "<p></p>", "ChIP-species-checked": "testedAndGuaranteed", "ChIP-species-dilution-info": "2 µg for 25 µg chromatin", "ChIP-species-notes": "<p></p>", "WB-species-checked": "testedAndGuaranteed", "WB-species-dilution-info": "1/1000", "WB-species-notes": "<p></p>", "IHCP-species-checked": "testedAndGuaranteed", "IHCP-species-dilution-info": "1/2000", "IHCP-species-notes": "<p></p>" }, "Mouse": { "ChICCUTRUNseq-species-checked": "guaranteed", "ChICCUTRUNseq-species-dilution-info": "", "ChICCUTRUNseq-species-notes": "", "IP-species-checked": "guaranteed", "IP-species-dilution-info": "", "IP-species-notes": "", "ChIP-species-checked": "guaranteed", "ChIP-species-dilution-info": "", "ChIP-species-notes": "", "WB-species-checked": "testedAndGuaranteed", "WB-species-dilution-info": "1/1000", "WB-species-notes": "<p></p>", "IHCP-species-checked": "testedAndGuaranteed", "IHCP-species-dilution-info": "1/2000", "IHCP-species-notes": "<p></p>" }, "Rat": { "ChICCUTRUNseq-species-checked": "guaranteed", "ChICCUTRUNseq-species-dilution-info": "", "ChICCUTRUNseq-species-notes": "", "IP-species-checked": "guaranteed", "IP-species-dilution-info": "", "IP-species-notes": "", "ChIP-species-checked": "guaranteed", "ChIP-species-dilution-info": "", "ChIP-species-notes": "", "WB-species-checked": "testedAndGuaranteed", "WB-species-dilution-info": "1/1000", "WB-species-notes": "<p></p>", "IHCP-species-checked": "testedAndGuaranteed", "IHCP-species-dilution-info": "1/2000", "IHCP-species-notes": "<p></p>" } } }

Product details

What is this antibody validated in?
Anti-HNF-4-alpha antibody [EPR16885] - ChIP Grade (ab181604) is a rabbit recombinant monoclonal antibody and is validated for use in Western Blot (WB), Immunoprecipitation (IP), Immunohistochemistry (IHC-P), ChIP in Human, Mouse, Rat samples.

What is the molecular weight of HNF-4-alpha?
Anti-HNF-4-alpha [EPR16885] - ChIP Grade (ab181604) specifically detects a band for HNF-4-alpha (UniProt: P49698) at a molecular weight of 53kDa.

Trusted by the scientific community
Anti-HNF-4-alpha [EPR16885] - ChIP Grade (ab181604) was first used in a scientific publication in 2015 and has been cited over 40 times in peer-reviewed journals.

Trial sizes available!
Test your antibody or perform pre-screening before committing to a larger quantity. Sold in 10µl. Discover our selection of trial-size antibodies.

Other related products
We have a range of other formats of antibody clone [EPR16885] also available for your convenience: ab181604, Carrier free - ab219610

Patented technology
Our RabMAb® technology is a patented hybridoma-based technology for making rabbit monoclonal antibodies. For details on our patents, please refer to RabMAb® patents.

What are the advantages of a recombinant monoclonal antibody?
This product is a recombinant monoclonal antibody, which offers several advantages including:

  • - High batch-to-batch consistency and reproducibility
  • - Improved sensitivity and specificity
  • - Long-term security of supply
  • - Animal-free batch production

For more information, read more on recombinant antibodies.

Properties and storage information

Form
Liquid
Purification technique
Affinity purification Protein A
Storage buffer
Preservative: 0.01% Sodium azide Constituents: PBS, 40% Glycerol (glycerin, glycerine), 0.05% BSA
Shipped at conditions
Blue Ice
Appropriate short-term storage duration
1-2 weeks
Appropriate short-term storage conditions
+4°C
Appropriate long-term storage conditions
-20°C
Aliquoting information
Upon delivery aliquot
Storage information
Avoid freeze / thaw cycle

Supplementary information

This supplementary information is collated from multiple sources and compiled automatically.

HNF-4-alpha also known as hepatocyte nuclear factor 4-alpha (HNF4A) is a nuclear protein that functions as a transcription factor. It plays an important role in regulating gene expression in the liver kidney and intestine. HNF-4-alpha has a molecular mass of about 54 kDa and is expressed in tissues where it maintains cellular differentiation and metabolic homeostasis. In cellular assays such as ELISA and CHIP detection of HNF-4-alpha provides insights into its expression levels and activity in various biological contexts.
Biological function summary

HNF-4-alpha influences the expression of genes involved in liver and pancreatic function. It acts as a transcriptional regulator that controls fatty acid oxidation gluconeogenesis and insulin secretion. HNF-4-alpha interacts with other proteins to form transcriptional complexes that fine-tune the expression of metabolic enzymes and transport proteins. This protein is key to ensuring that metabolic genes are expressed in a coordinated manner which is essential for maintaining normal metabolic processes.

Pathways

HNF-4-alpha participates in the insulin signaling and lipid metabolism pathways. Through these pathways it interacts with other transcription factors such as HNF-1-alpha and PPAR-alpha which coordinate the regulation of genes involved in glucose metabolism and fatty acid oxidation. HNF-4-alpha plays a critical role by modulating the expression of enzymes like gluconeogenic enzymes in response to metabolic needs which connects it to key metabolic pathways influencing overall energy homeostasis.

HNF-4-alpha is linked to maturity-onset diabetes of the young (MODY1) and certain types of liver diseases. Mutations or dysregulation in HNF-4-alpha can affect the expression of genes essential for insulin production and glucose metabolism leading to disorders like diabetes. Additionally HNF-4-alpha interacts with other proteins and transcription factors implicated in these conditions such as HNF-1-alpha. Understanding the role of HNF-4-alpha in these diseases can provide insights into potential therapeutic targets and intervention strategies.

Product protocols

For this product, it's our understanding that no specific protocols are required. You can visit:

Target data

Transcriptional regulator which controls the expression of hepatic genes during the transition of endodermal cells to hepatic progenitor cells, facilitating the recruitment of RNA pol II to the promoters of target genes (PubMed : 30597922). Activates the transcription of CYP2C38 (By similarity). Represses the CLOCK-BMAL1 transcriptional activity and is essential for circadian rhythm maintenance and period regulation in the liver and colon cells (PubMed : 30530698).
See full target information HNF4A

Publications (70)

Recent publications for all applications. Explore the full list and refine your search

Genesis (New York, N.Y. : 2000) 63:e70022 PubMed40631533

2025

Development of a Hepatocyte-Specific Temporal Genetic Mouse Model Using Albumin Promoter-Driven FlpER2 Expression.

Applications

Unspecified application

Species

Unspecified reactive species

Bin Wang,Jiale Wang,Yang Liu,Gordon He,Yasmin Jahan-Mihan,Yuxi Wang,Jie Hu,Audrey Li,Faheem Muhammad,Yan Bi,Baoan Ji

Clinical and experimental medicine 25:205 PubMed40517212

2025

HNF4A promotes tumor progression in gastric cancer by transcriptional activation of KIF2C.

Applications

Unspecified application

Species

Unspecified reactive species

Hao Lu,Jin-Heng Gan,Li-Qiang Zhou,Yi-Wu Yuan,Qi Zhou,Lin Xin

Cancer communications (London, England) 45:1038-1071 PubMed40443016

2025

Simvastatin overcomes the pPCK1-pLDHA-SPRINGlac axis-mediated ferroptosis and chemo-immunotherapy resistance in AKT-hyperactivated intrahepatic cholangiocarcinoma.

Applications

Unspecified application

Species

Unspecified reactive species

Jinghan Zhu,Yixiao Xiong,Yuxin Zhang,Huifang Liang,Kun Cheng,Yuanxiang Lu,Guangzhen Cai,Yang Wu,Yunhui Fan,Xiaoping Chen,Hong Zhu,Zeyang Ding,Wanguang Zhang

Biology methods & protocols 10:bpaf023 PubMed40241741

2025

Optimized immunofluorescence for liver structure analysis: Enhancing 3D resolution and minimizing tissue autofluorescence.

Applications

Unspecified application

Species

Unspecified reactive species

Elena Zoppolato,Hasse Mol,Carlos Estrella-García,Nicole Vizcaino-Rodríguez,Diana Sanchez,Nicole Procel,Isabel Baroja,Leticia Sansores-Garcia,Iván M Moya

Nature genetics 57:668-679 PubMed39948437

2025

Active repression of cell fate plasticity by PROX1 safeguards hepatocyte identity and prevents liver tumorigenesis.

Applications

Unspecified application

Species

Unspecified reactive species

Bryce Lim,Aryan Kamal,Borja Gomez Ramos,Juan M Adrian Segarra,Ignacio L Ibarra,Lennart Dignas,Tim Kindinger,Kai Volz,Mohammad Rahbari,Nuh Rahbari,Eric Poisel,Kanela Kafetzopoulou,Lio Böse,Marco Breinig,Danijela Heide,Suchira Gallage,Jose E Barragan Avila,Hendrik Wiethoff,Ivan Berest,Sarah Schnabellehner,Martin Schneider,Jonas Becker,Dominic Helm,Dirk Grimm,Taija Mäkinen,Darjus F Tschaharganeh,Mathias Heikenwalder,Judith B Zaugg,Moritz Mall

Translational oncology 53:102290 PubMed39864343

2025

HNF4α inhibits the malignancy of intrahepatic cholangiocarcinoma by suppressing the Wnt signaling pathway.

Applications

Unspecified application

Species

Unspecified reactive species

Bo-Nan Xu,Cheng-Hong Ding,Yi-Long Liu,Yuan-Yuan Luo,Juan Deng,Shu-Qing Liu,Meng-Chao Xiao,Nan Jiang,Xin Zhang,Wen-Ping Xu,Wei-Fen Xie

Discover oncology 15:752 PubMed39638897

2024

Cell-permeated peptide P-T3H2 inhibits malignancy on hepatocellular carcinoma through stabilizing HNF4α protein.

Applications

Unspecified application

Species

Unspecified reactive species

Si-Han Wu,Meng-Chao Xiao,Fang Liu,Huan-Yu Hong,Chen-Hong Ding,Xin Zhang,Wei-Fen Xie

eLife 13: PubMed39535280

2024

Metastasis of colon cancer requires Dickkopf-2 to generate cancer cells with Paneth cell properties.

Applications

Unspecified application

Species

Unspecified reactive species

Jae Hun Shin,Jooyoung Park,Jaechul Lim,Jaekwang Jeong,Ravi K Dinesh,Stephen E Maher,Jeonghyun Kim,Soyeon Park,Jun Young Hong,John Wysolmerski,Jungmin Choi,Alfred L M Bothwell

Cell regeneration (London, England) 13:19 PubMed39347883

2024

Expression levels and stoichiometry of Hnf1β, Emx2, Pax8 and Hnf4 influence direct reprogramming of induced renal tubular epithelial cells.

Applications

Unspecified application

Species

Unspecified reactive species

Xueli Hu,Jianjian Sun,Meng Wan,Bianhong Zhang,Linhui Wang,Tao P Zhong

eLife 13: PubMed39320349

2024

A enhancer transcriptionally regulates Wnt signaling dosage to balance homeostasis and tumorigenesis of intestinal epithelia.

Applications

Unspecified application

Species

Unspecified reactive species

Xiaojiao Hua,Chen Zhao,Jianbo Tian,Junbao Wang,Xiaoping Miao,Gen Zheng,Min Wu,Mei Ye,Ying Liu,Yan Zhou
View all publications
chicCutRunSequencingBooklet
en

Product promise

We are committed to supporting your work with high-quality reagents, and we're here for you every step of the way. In the unlikely event that one of our products does not perform as expected, you're protected by our Product Promise.
For full details, please see our Terms & Conditions

Please note: All products are 'FOR RESEARCH USE ONLY. NOT FOR USE IN DIAGNOSTIC OR THERAPEUTIC PROCEDURES'.

For licensing inquiries, please contact partnerships@abcam.com