JavaScript is disabled in your browser. Please enable JavaScript to view this website.
AB219610

Anti-HNF-4-alpha antibody [EPR16885] - ChIP Grade - BSA and Azide free

Be the first to review this product! Submit a review

|

(2 Publications)

Rabbit Recombinant Monoclonal HNF-4-alpha antibody. Carrier free. Suitable for ChIC/CUT&RUN-seq, IP, ChIP, WB, IHC-P and reacts with Human, Mouse, Rat samples. Cited in 2 publications.

View Alternative Names

HNF4, NR2A1, TCF14, HNF4A, Hepatocyte nuclear factor 4-alpha, HNF-4-alpha, Nuclear receptor subfamily 2 group A member 1, Transcription factor 14, Transcription factor HNF-4, TCF-14

7 Images
Immunohistochemistry (Formalin/PFA-fixed paraffin-embedded sections) - Anti-HNF-4-alpha antibody [EPR16885] - ChIP Grade - BSA and Azide free (AB219610)
  • IHC-P

Supplier Data

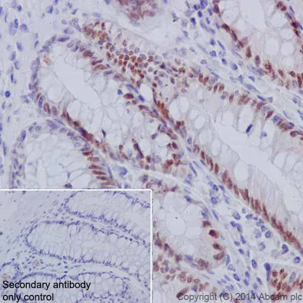
Immunohistochemistry (Formalin/PFA-fixed paraffin-embedded sections) - Anti-HNF-4-alpha antibody [EPR16885] - ChIP Grade - BSA and Azide free (AB219610)

Immunohistochemical analysis of paraffin-embedded Human colon tissue labeling HNF-4-alpha with ab181604 at 1/2000 dilution, followed by Goat Anti-Rabbit IgG H&L (HRP) (ab97051) secondary antibody at 1/500 dilution. Nuclear staining on epithelial cells of Human colon is observed. Counter stained with Hematoxylin.

Secondary antibody only control : Used PBS instead of primary antibody, secondary antibody is Goat Anti-Rabbit IgG H&L (HRP) (ab97051) at 1/500 dilution.

This data was developed using the same antibody clone in a different buffer formulation containing PBS, BSA, glycerol, and sodium azide (ab181604).

Perform heat mediated antigen retrieval with Tris/EDTA buffer pH 9.0 before commencing with IHC staining protocol.

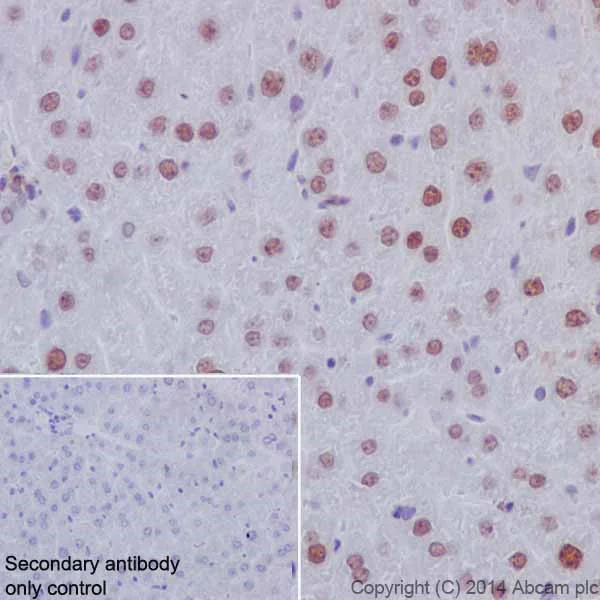
Immunohistochemistry (Formalin/PFA-fixed paraffin-embedded sections) - Anti-HNF-4-alpha antibody [EPR16885] - ChIP Grade - BSA and Azide free (AB219610)
  • IHC-P

Supplier Data

Immunohistochemistry (Formalin/PFA-fixed paraffin-embedded sections) - Anti-HNF-4-alpha antibody [EPR16885] - ChIP Grade - BSA and Azide free (AB219610)

Immunohistochemical analysis of paraffin-embedded Human liver tissue labeling HNF-4-alpha with ab181604 at 1/2000 dilution, followed by Goat Anti-Rabbit IgG H&L (HRP) (ab97051) secondary antibody at 1/500 dilution. Nucleus staining on Human liver is observed. Counter stained with Hematoxylin.

Secondary antibody only control : Used PBS instead of primary antibody, secondary antibody is Goat Anti-Rabbit IgG H&L (HRP) (ab97051) at 1/500 dilution.

This data was developed using the same antibody clone in a different buffer formulation containing PBS, BSA, glycerol, and sodium azide (ab181604).

Perform heat mediated antigen retrieval with Tris/EDTA buffer pH 9.0 before commencing with IHC staining protocol.

ChIP - Anti-HNF-4-alpha antibody [EPR16885] - ChIP Grade - BSA and Azide free (AB219610)
  • ChIP

Supplier Data

ChIP - Anti-HNF-4-alpha antibody [EPR16885] - ChIP Grade - BSA and Azide free (AB219610)

Chromatin was prepared from HepG2 (Human liver hepatocellular carcinoma) cells according to the Abcam X-ChIP protocol. Cells were fixed with formaldehyde for 10 minutes. The ChIP was performed with 25µg of chromatin, 2µg of ab181604 (blue), and 20µl of Anti rabbit IgG sepharose beads. 2μg of rabbit normal IgG was added to the beads control (yellow). The immunoprecipitated DNA was quantified by real time PCR (Sybr green approach).

ABCC6_NC1 is negative control

This data was developed using the same antibody clone in a different buffer formulation containing PBS, BSA, glycerol, and sodium azide (ab181604).

Immunoprecipitation - Anti-HNF-4-alpha antibody [EPR16885] - ChIP Grade - BSA and Azide free (AB219610)
  • IP

Supplier Data

Immunoprecipitation - Anti-HNF-4-alpha antibody [EPR16885] - ChIP Grade - BSA and Azide free (AB219610)

HNF-4 alpha was immunoprecipitated from 1mg of HepG2 (Human liver hepatocellular carcinoma) whole cell extract with ab181604 at 1/70 dilution. Western blot was performed from the immunoprecipitate using ab181604 at 1/5000 dilution. Anti-Rabbit IgG (HRP), specific to the non-reduced form of IgG, was used as secondary antibody at 1/1500 dilution.

Lane 1 : HepG2 whole cell extract 10 µg (Input).

Lane 2 : ab181604 IP in HepG2 whole cell extract.

Lane 3 : Rabbit monoclonal IgG (ab172730) instead of ab181604 in HepG2 whole cell extract.

Blocking and dilution buffer and concentration : 5% NFDM/TBST.

This data was developed using the same antibody clone in a different buffer formulation containing PBS, BSA, glycerol, and sodium azide (ab181604).

All lanes:

Immunoprecipitation - Anti-HNF-4-alpha antibody [EPR16885] - ChIP Grade (<a href='/en-us/products/primary-antibodies/hnf-4-alpha-antibody-epr16885-chip-grade-ab181604'>ab181604</a>)

Predicted band size: 53 kDa

Observed band size: 53 kDa

false

Exposure time: 5s

Immunohistochemistry (Formalin/PFA-fixed paraffin-embedded sections) - Anti-HNF-4-alpha antibody [EPR16885] - ChIP Grade - BSA and Azide free (AB219610)
  • IHC-P

Supplier Data

Immunohistochemistry (Formalin/PFA-fixed paraffin-embedded sections) - Anti-HNF-4-alpha antibody [EPR16885] - ChIP Grade - BSA and Azide free (AB219610)

Immunohistochemical analysis of paraffin-embedded Mouse liver tissue labeling HNF-4-alpha with ab181604 at 1/2000 dilution, followed by Goat Anti-Rabbit IgG H&L (HRP) (ab97051) secondary antibody at 1/500 dilution. Nuclear staining on mouse liver is observed. Counter stained with Hematoxylin.

Secondary antibody only control : Used PBS instead of primary antibody, secondary antibody is Goat Anti-Rabbit IgG H&L (HRP) (ab97051) at 1/500 dilution.

This data was developed using the same antibody clone in a different buffer formulation containing PBS, BSA, glycerol, and sodium azide (ab181604).

Perform heat mediated antigen retrieval with Tris/EDTA buffer pH 9.0 before commencing with IHC staining protocol.

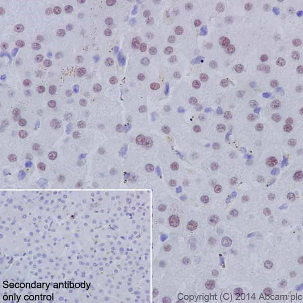
Immunohistochemistry (Formalin/PFA-fixed paraffin-embedded sections) - Anti-HNF-4-alpha antibody [EPR16885] - ChIP Grade - BSA and Azide free (AB219610)
  • IHC-P

Supplier Data

Immunohistochemistry (Formalin/PFA-fixed paraffin-embedded sections) - Anti-HNF-4-alpha antibody [EPR16885] - ChIP Grade - BSA and Azide free (AB219610)

Immunohistochemical analysis of paraffin-embedded Rat colon tissue labeling HNF-4-alpha with ab181604 at 1/2000 dilution, followed by Goat Anti-Rabbit IgG H&L (HRP) (ab97051) secondary antibody at 1/500 dilution. Nuclear staining on epithelial cells of rat colon is observed. Counter stained with Hematoxylin.

Secondary antibody only control : Used PBS instead of primary antibody, secondary antibody is Goat Anti-Rabbit IgG H&L (HRP) (ab97051) at 1/500 dilution.

This data was developed using the same antibody clone in a different buffer formulation containing PBS, BSA, glycerol, and sodium azide (ab181604).

Perform heat mediated antigen retrieval with Tris/EDTA buffer pH 9.0 before commencing with IHC staining protocol.

ChIC/CUT&RUN sequencing - Anti-HNF-4-alpha antibody [EPR16885] - ChIP Grade - BSA and Azide free (AB219610)
  • ChIC/CUT&RUN-seq

Supplier Data

ChIC/CUT&RUN sequencing - Anti-HNF-4-alpha antibody [EPR16885] - ChIP Grade - BSA and Azide free (AB219610)

ChIC/CUT&RUN was performed using a pAG-MNAse at a final concentration of 700 ng/mL, 2.5 x 10^5 HepG2 (Human liver hepatocellular carcinoma cell line) cells and 5 µg of ab181604 [EPR16885]. The resulting DNA was sequenced on the Illumina NovaSeq 6000 to a depth of 10 million reads. The negative IgG control ab172730 is also shown. Additional screenshots of mapped reads can be downloaded here. The University of Geneva owns patents relevant to ChIC (Chromatin Immuno-Cleavage) methods. This data was developed using the same antibody clone in a different buffer formulation containing PBS, BSA, glycerol, and sodium azide (ab181604).

  • Unconjugated

    Anti-HNF-4-alpha antibody [EPR16885] - ChIP Grade

Key facts

Host species

Rabbit

Clonality

Monoclonal

Clone number

EPR16885

Isotype

IgG

Carrier free

Yes

Reacts with

Mouse, Rat, Human

Applications

ChIC/CUT&RUN-seq, WB, IP, ChIP, IHC-P

applications

Immunogen

The exact immunogen used to generate this antibody is proprietary information.

Reactivity data

{ "title": "Reactivity Data", "filters": { "stats": ["", "Species", "Dilution Info", "Notes"], "tabs": { "all-applications": {"fullname" : "All Applications", "shortname": "All Applications"}, "ChICCUTRUNseq" : {"fullname" : "ChIC/CUT&RUN sequencing", "shortname":"ChIC/CUT&RUN-seq"}, "IP" : {"fullname" : "Immunoprecipitation", "shortname":"IP"}, "ChIP" : {"fullname" : "ChIP", "shortname":"ChIP"}, "WB" : {"fullname" : "Western blot", "shortname":"WB"}, "IHCP" : {"fullname" : "Immunohistochemistry (Formalin/PFA-fixed paraffin-embedded sections)", "shortname":"IHC-P"} }, "product-promise": { "all": "all", "testedAndGuaranteed": "tested", "guaranteed": "expected", "predicted": "predicted", "notRecommended": "not-recommended" } }, "values": { "Human": { "ChICCUTRUNseq-species-checked": "testedAndGuaranteed", "ChICCUTRUNseq-species-dilution-info": "", "ChICCUTRUNseq-species-notes": "<p></p>", "IP-species-checked": "testedAndGuaranteed", "IP-species-dilution-info": "", "IP-species-notes": "<p></p>", "ChIP-species-checked": "testedAndGuaranteed", "ChIP-species-dilution-info": "", "ChIP-species-notes": "<p></p>", "WB-species-checked": "testedAndGuaranteed", "WB-species-dilution-info": "", "WB-species-notes": "<p></p>", "IHCP-species-checked": "testedAndGuaranteed", "IHCP-species-dilution-info": "", "IHCP-species-notes": "<p></p>" }, "Mouse": { "ChICCUTRUNseq-species-checked": "guaranteed", "ChICCUTRUNseq-species-dilution-info": "", "ChICCUTRUNseq-species-notes": "", "IP-species-checked": "guaranteed", "IP-species-dilution-info": "", "IP-species-notes": "", "ChIP-species-checked": "guaranteed", "ChIP-species-dilution-info": "", "ChIP-species-notes": "", "WB-species-checked": "testedAndGuaranteed", "WB-species-dilution-info": "", "WB-species-notes": "<p></p>", "IHCP-species-checked": "testedAndGuaranteed", "IHCP-species-dilution-info": "", "IHCP-species-notes": "<p></p>" }, "Rat": { "ChICCUTRUNseq-species-checked": "guaranteed", "ChICCUTRUNseq-species-dilution-info": "", "ChICCUTRUNseq-species-notes": "", "IP-species-checked": "guaranteed", "IP-species-dilution-info": "", "IP-species-notes": "", "ChIP-species-checked": "guaranteed", "ChIP-species-dilution-info": "", "ChIP-species-notes": "", "WB-species-checked": "testedAndGuaranteed", "WB-species-dilution-info": "", "WB-species-notes": "<p></p>", "IHCP-species-checked": "testedAndGuaranteed", "IHCP-species-dilution-info": "", "IHCP-species-notes": "<p></p>" } } }

Product details

ab219610 is the carrier-free version of ab181604.

Patented technology
Our RabMAb® technology is a patented hybridoma-based technology for making rabbit monoclonal antibodies. For details on our patents, please refer to RabMAb® patents.

What are the advantages of a recombinant monoclonal antibody?
This product is a recombinant monoclonal antibody, which offers several advantages including:

  • - High batch-to-batch consistency and reproducibility
  • - Improved sensitivity and specificity
  • - Long-term security of supply
  • - Animal-free batch production

For more information, read more on recombinant antibodies.

Conjugation ready
Our carrier-free antibodies are typically supplied in a PBS-only formulation, purified and free of BSA, sodium azide and glycerol. This conjugation-ready format is designed for use with fluorochromes, metal isotopes, oligonucleotides, and enzymes, which makes them ideal for antibody labelling, functional and cell-based assays, flow-based assays (e.g. mass cytometry) and Multiplex Imaging applications.

Use our conjugation kits for antibody conjugates that are ready-to-use in as little as 20 minutes with 1 minute hands-on-time and 100% antibody recovery: available for fluorescent dyes, HRP, biotin and gold.

Compatibility
This product is compatible with the Maxpar® Antibody Labeling Kit from Fluidigm, without the need for antibody preparation. Maxpar® is a trademark of Fluidigm Canada Inc.

Properties and storage information

Form
Liquid
Purification technique
Affinity purification Protein A
Storage buffer
pH: 7.2 - 7.4 Constituents: PBS
Shipped at conditions
Blue Ice
Appropriate short-term storage conditions
+4°C
Appropriate long-term storage conditions
+4°C
Storage information
Do Not Freeze

Supplementary information

This supplementary information is collated from multiple sources and compiled automatically.

HNF-4-alpha also known as hepatocyte nuclear factor 4-alpha (HNF4A) is a nuclear protein that functions as a transcription factor. It plays an important role in regulating gene expression in the liver kidney and intestine. HNF-4-alpha has a molecular mass of about 54 kDa and is expressed in tissues where it maintains cellular differentiation and metabolic homeostasis. In cellular assays such as ELISA and CHIP detection of HNF-4-alpha provides insights into its expression levels and activity in various biological contexts.
Biological function summary

HNF-4-alpha influences the expression of genes involved in liver and pancreatic function. It acts as a transcriptional regulator that controls fatty acid oxidation gluconeogenesis and insulin secretion. HNF-4-alpha interacts with other proteins to form transcriptional complexes that fine-tune the expression of metabolic enzymes and transport proteins. This protein is key to ensuring that metabolic genes are expressed in a coordinated manner which is essential for maintaining normal metabolic processes.

Pathways

HNF-4-alpha participates in the insulin signaling and lipid metabolism pathways. Through these pathways it interacts with other transcription factors such as HNF-1-alpha and PPAR-alpha which coordinate the regulation of genes involved in glucose metabolism and fatty acid oxidation. HNF-4-alpha plays a critical role by modulating the expression of enzymes like gluconeogenic enzymes in response to metabolic needs which connects it to key metabolic pathways influencing overall energy homeostasis.

HNF-4-alpha is linked to maturity-onset diabetes of the young (MODY1) and certain types of liver diseases. Mutations or dysregulation in HNF-4-alpha can affect the expression of genes essential for insulin production and glucose metabolism leading to disorders like diabetes. Additionally HNF-4-alpha interacts with other proteins and transcription factors implicated in these conditions such as HNF-1-alpha. Understanding the role of HNF-4-alpha in these diseases can provide insights into potential therapeutic targets and intervention strategies.

Product protocols

For this product, it's our understanding that no specific protocols are required. You can visit:

Target data

Transcriptional regulator which controls the expression of hepatic genes during the transition of endodermal cells to hepatic progenitor cells, facilitating the recruitment of RNA pol II to the promoters of target genes (PubMed : 30597922). Activates the transcription of CYP2C38 (By similarity). Represses the CLOCK-BMAL1 transcriptional activity and is essential for circadian rhythm maintenance and period regulation in the liver and colon cells (PubMed : 30530698).
See full target information HNF4A

Publications (2)

Recent publications for all applications. Explore the full list and refine your search

Stem cell research & therapy 11:379 PubMed32883340

2020

The anti-fibrotic effect of human fetal skin-derived stem cell secretome on the liver fibrosis.

Applications

Unspecified application

Species

Unspecified reactive species

Xia Yao,Jing Wang,Jiajing Zhu,Xiaoli Rong

Cell death & disease 11:251 PubMed32312970

2020

Drp1 regulates mitochondrial dysfunction and dysregulated metabolism in ischemic injury via Clec16a-, BAX-, and GSH- pathways.

Applications

Unspecified application

Species

Unspecified reactive species

Chenyang Duan,Lei Kuang,Xinming Xiang,Jie Zhang,Yu Zhu,Yue Wu,Qingguang Yan,Liangming Liu,Tao Li
View all publications
chicCutRunSequencingBooklet
en

Product promise

We are committed to supporting your work with high-quality reagents, and we're here for you every step of the way. In the unlikely event that one of our products does not perform as expected, you're protected by our Product Promise.
For full details, please see our Terms & Conditions

Please note: All products are 'FOR RESEARCH USE ONLY. NOT FOR USE IN DIAGNOSTIC OR THERAPEUTIC PROCEDURES'.

For licensing inquiries, please contact partnerships@abcam.com