JavaScript is disabled in your browser. Please enable JavaScript to view this website.
AB200142

Anti-HNF-4-alpha antibody [EPR19265-130] - ChIP Grade

  • KO Validated
  • RabMAb
  • Advanced Validation
  • Recombinant
  • 20ul selling size
  • What is this?

0

(1 Review)

|

(3 Publications)

Knockout Tested Rabbit Recombinant Monoclonal HNF-4-alpha antibody. Suitable for ChIC/CUT&RUN-seq, IP, ChIP, WB, ICC/IF, Flow Cyt (Intra) and reacts with Human samples. Cited in 3 publications.

View Alternative Names

HNF4, NR2A1, TCF14, HNF4A, Hepatocyte nuclear factor 4-alpha, HNF-4-alpha, Nuclear receptor subfamily 2 group A member 1, Transcription factor 14, Transcription factor HNF-4, TCF-14

8 Images
Immunocytochemistry/ Immunofluorescence - Anti-HNF-4-alpha antibody [EPR19265-130] - ChIP Grade (AB200142)
  • ICC/IF

Supplier Data

Immunocytochemistry/ Immunofluorescence - Anti-HNF-4-alpha antibody [EPR19265-130] - ChIP Grade (AB200142)

Immunofluorescent analysis of 4% paraformaldehyde-fixed, 0.1% Triton X-100 permeabilized SW480 (human colorectal adenocarcinoma cell line) cells labeling HNF-4-alpha with ab200142 at 1/100 dilution, followed by ab150077 AlexaFluor®488 Goat anti-Rabbit secondary at 1/1000 dilution (green). Confocal image showing nuclear staining on SW480 cell line.

The nuclear counter stain is DAPI (blue). Tubulin is detected with Anti-alpha Tubulin antibody [DM1A] - Microtubule Marker (Alexa Fluor® 594) (ab195889) (red) at 1/200 dilution.

Secondary antibody only control : Used PBS instead of primary antibody, secondary antibody is Goat Anti-Rabbit IgG H&L (Alexa Fluor® 488) (ab150077) secondary antibody at 1/1000 dilution.

Immunocytochemistry/ Immunofluorescence - Anti-HNF-4-alpha antibody [EPR19265-130] - ChIP Grade (AB200142)
  • ICC/IF

Supplier Data

Immunocytochemistry/ Immunofluorescence - Anti-HNF-4-alpha antibody [EPR19265-130] - ChIP Grade (AB200142)

Immunofluorescent analysis of 4% paraformaldehyde-fixed, 0.1% Triton X-100 permeabilized HepG2 (human liver hepatocellular carcinoma cell line) cells labeling HNF-4-alpha with ab200142 at 1/100 dilution, followed by ab150077 AlexaFluor®488 Goat anti-Rabbit secondary at 1/1000 dilution (green). Confocal image showing nuclear staining on HepG2 cell line.

The nuclear counter stain is DAPI (blue). Tubulin is detected with Anti-alpha Tubulin antibody [DM1A] - Microtubule Marker (Alexa Fluor® 594) (ab195889) (red) at 1/200 dilution.

Secondary antibody only control : Used PBS instead of primary antibody, secondary antibody is Goat Anti-Rabbit IgG H&L (Alexa Fluor® 488) (ab150077) secondary antibody at 1/1000 dilution.

Flow Cytometry (Intracellular) - Anti-HNF-4-alpha antibody [EPR19265-130] - ChIP Grade (AB200142)
  • Flow Cyt (Intra)

Supplier Data

Flow Cytometry (Intracellular) - Anti-HNF-4-alpha antibody [EPR19265-130] - ChIP Grade (AB200142)

Intracellular flow cytometric analysis of4% paraformaldehyde-fixed, 90% methanol-permeabilized HepG2 (human liver hepatocellular carcinoma cell line) cell line labeling HNF-4-alpha with ab200142 at 1/600 (red) compared with Rabbit IgG, monoclonal [EPR25A] - Isotype Control (ab172730) (black) and an unlabeled control (cells without incubation with primary antibody and secondary antibody) (blue). Goat Anti-Rabbit IgG H&L (Alexa Fluor® 488) (ab150077) at 1/2000 dilution was used as the secondary antibody.

Immunoprecipitation - Anti-HNF-4-alpha antibody [EPR19265-130] - ChIP Grade (AB200142)
  • IP

Supplier Data

Immunoprecipitation - Anti-HNF-4-alpha antibody [EPR19265-130] - ChIP Grade (AB200142)

HNF-4-alpha was immunoprecipitated from 0.35 mg HepG2 (human hepatocellular carcinoma epithelial cell) whole cell lysate with ab200142 at 1/30 dilution. Western blot was performed from the immunoprecipitate using ab200142 at 1/1000 dilution. VeriBlot for IP Detection Reagent (HRP) (ab131366), was used for detection at 1/10000 dilution.
Lane 1 : HepG2 (human hepatocellular carcinoma epithelial cell) 10 μg (Input).
Lane 2 : ab200142 IP in HepG2 whole cell lysate (+).
Lane 3 : Rabbit monoclonal IgG (ab172730) instead of ab200142 in HepG2 whole cell lysate (-).
Blocking and dilution buffer and concentration : 5% NFDM/TBST.
Exposure time : 3 minutes.

All lanes:

Immunoprecipitation - Anti-HNF-4-alpha antibody [EPR19265-130] - ChIP Grade (ab200142)

Predicted band size: 53 kDa

Observed band size: 53 kDa

true

ChIP - Anti-HNF-4-alpha antibody [EPR19265-130] - ChIP Grade (AB200142)
  • ChIP

Supplier Data

ChIP - Anti-HNF-4-alpha antibody [EPR19265-130] - ChIP Grade (AB200142)

Chromatin was prepared from HepG2 (human hepatocellular carcinoma epithelial cell) cells according to the Abcam X-ChIP protocol. Cells were fixed with formaldehyde for 10 minutes. The ChIP was performed with 25 μg of chromatin, 5 μg of ab200142 (blue), and 20 μl of Protein A/G sepharose beads. 5 μg of rabbit normal IgG was added to the beads control (yellow). The immunoprecipitated DNA was quantified by real time PCR (SYBR approach).

ChIP was performed according to the literature (PMID : 18850323).

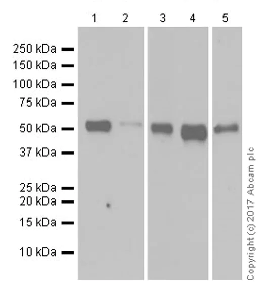
Western blot - Anti-HNF-4-alpha antibody [EPR19265-130] - ChIP Grade (AB200142)
  • WB

Supplier Data

Western blot - Anti-HNF-4-alpha antibody [EPR19265-130] - ChIP Grade (AB200142)

Exposure times : Lanes 1 and 2 : 3 minutes; Lanes 3 and 4 : 15 seconds; Lane 5 : 3 minutes.

Blocking/Dilution buffer : 5% NFDM/TBST.

All lanes:

Western blot - Anti-HNF-4-alpha antibody [EPR19265-130] - ChIP Grade (ab200142) at 1/2000 dilution

Lane 1:

Human colon lysate at 20 µg

Lane 2:

Human fetal liver lysate at 20 µg

Lane 3:

HepG2 (human liver hepatocellular carcinoma cell line) whole cell lysate at 20 µg

Lane 4:

Caco-2 (human colorectal adenocarcinoma cell line) whole cell lysate at 20 µg

Lane 5:

SW480 (human colorectal adenocarcinoma cell line) whole cell lysate at 20 µg

Secondary

All lanes:

Western blot - VeriBlot for IP Detection Reagent (HRP) (<a href='/en-us/products/reagents/veriblot-for-ip-detection-reagent-hrp-ab131366'>ab131366</a>) at 1/2000 dilution

Predicted band size: 53 kDa

Observed band size: 53 kDa

true

Western blot - Anti-HNF-4-alpha antibody [EPR19265-130] - ChIP Grade (AB200142)
  • WB

Lab

Western blot - Anti-HNF-4-alpha antibody [EPR19265-130] - ChIP Grade (AB200142)

Western blot : Anti-HNF4A antibody [EPR19265-130] (ab200142) staining at 1/1000 dilution, shown in green; Mouse anti-GAPDH antibody [6C5] (ab8245) loading control staining at 1/20000 dilution, shown in magenta. In Western blot, ab200142 was shown to bind specifically to HNF4A. A band was observed at 50-55 kDa in wild-type A549 cell lysates with no signal observed at this size in HNF4A knockout cell line. To generate this image, wild-type and HNF4A knockout A549 cell lysates were analysed. First, samples were run on an SDS-PAGE gel then transferred onto a nitrocellulose membrane. Membranes were blocked in 3 % milk in TBS-0.1 % Tween® 20 (TBS-T) before incubation with primary antibodies overnight at 4 °C. Blots were washed four times in TBS-T, incubated with secondary antibodies for 1 h at room temperature, washed again four times then imaged. Secondary antibodies used were Goat anti-Rabbit IgG H&L 800CW and Goat anti-Mouse IgG H&L 680RD at 1/20000 dilution.

All lanes:

Western blot - Anti-HNF-4-alpha antibody [EPR19265-130] - ChIP Grade (ab200142) at 1/1000 dilution

Lane 1:

Wild-type A549 cell lysate at 20 µg

Lane 2:

HNF4A knockout A549 cell lysate at 20 µg

Lane 3:

HepG2 cell lysate at 20 µg

Lane 4:

HEK-293 cell lysate at 20 µg

Secondary

All lanes:

Goat anti-Rabbit IgG H&L 800CW and Goat anti-Mouse IgG H&L 680RD at 1/20000 dilution

Observed band size: 50 kDa,55 kDa

false

ChIC/CUT&RUN sequencing - Anti-HNF-4-alpha antibody [EPR19265-130] - ChIP Grade (AB200142)
  • ChIC/CUT&RUN-seq

Supplier Data

ChIC/CUT&RUN sequencing - Anti-HNF-4-alpha antibody [EPR19265-130] - ChIP Grade (AB200142)

ChIC/CUT&RUN was performed using a pAG-MNAse at a final concentration of 700 ng/mL, 2 x 10^5 HepG2 (Human liver hepatocellular carcinoma cell line) cells and 5 µg of ab200142 [EPR19265-130]. The resulting DNA was sequenced on the Illumina NovaSeq 6000 to a depth of 10 million reads. The negative IgG control ab172730 is also shown. Additional screenshots of mapped reads can be found in the Protocol booklet in the Product Protocol section. The University of Geneva owns patents relevant to ChIC (Chromatin Immuno-Cleavage) methods.

  • Carrier free

    Anti-HNF-4-alpha antibody [EPR19265-130] - ChIP Grade - BSA and Azide free

  • Carrier free

    Anti-HNF-4-alpha antibody [EPR19265-130] - BSA and Azide free (Detector)

Key facts

Host species

Rabbit

Clonality

Monoclonal

Clone number

EPR19265-130

Isotype

IgG

Carrier free

No

Reacts with

Human

Applications

ICC/IF, Flow Cyt (Intra), ChIC/CUT&RUN-seq, ChIP, IP, WB

applications

Immunogen

The exact immunogen used to generate this antibody is proprietary information.

Reactivity data

{ "title": "Reactivity Data", "filters": { "stats": ["", "Species", "Dilution Info", "Notes"], "tabs": { "all-applications": {"fullname" : "All Applications", "shortname": "All Applications"}, "ChICCUTRUNseq" : {"fullname" : "ChIC/CUT&RUN sequencing", "shortname":"ChIC/CUT&RUN-seq"}, "IP" : {"fullname" : "Immunoprecipitation", "shortname":"IP"}, "ChIP" : {"fullname" : "ChIP", "shortname":"ChIP"}, "WB" : {"fullname" : "Western blot", "shortname":"WB"}, "ICCIF" : {"fullname" : "Immunocytochemistry/ Immunofluorescence", "shortname":"ICC/IF"}, "FlowCytIntra" : {"fullname" : "Flow Cytometry (Intracellular)", "shortname":"Flow Cyt (Intra)"} }, "product-promise": { "all": "all", "testedAndGuaranteed": "tested", "guaranteed": "expected", "predicted": "predicted", "notRecommended": "not-recommended" } }, "values": { "Human": { "ChICCUTRUNseq-species-checked": "testedAndGuaranteed", "ChICCUTRUNseq-species-dilution-info": "5 µg", "ChICCUTRUNseq-species-notes": "<p></p>", "IP-species-checked": "testedAndGuaranteed", "IP-species-dilution-info": "1/30", "IP-species-notes": "<p></p>", "ChIP-species-checked": "testedAndGuaranteed", "ChIP-species-dilution-info": "5 µg for 25 µg chromatin", "ChIP-species-notes": "<p></p>", "WB-species-checked": "testedAndGuaranteed", "WB-species-dilution-info": "1/1000", "WB-species-notes": "<p></p>", "ICCIF-species-checked": "testedAndGuaranteed", "ICCIF-species-dilution-info": "1/100", "ICCIF-species-notes": "<p></p>", "FlowCytIntra-species-checked": "testedAndGuaranteed", "FlowCytIntra-species-dilution-info": "1/600", "FlowCytIntra-species-notes": "<p></p>" } } }

Product details

Patented technology
Our RabMAb® technology is a patented hybridoma-based technology for making rabbit monoclonal antibodies. For details on our patents, please refer to RabMAb® patents.

What are the advantages of a recombinant monoclonal antibody?
This product is a recombinant monoclonal antibody, which offers several advantages including:

  • - High batch-to-batch consistency and reproducibility
  • - Improved sensitivity and specificity
  • - Long-term security of supply
  • - Animal-free batch production

For more information, read more on recombinant antibodies.

Properties and storage information

Form
Liquid
Purification technique
Affinity purification Protein A
Storage buffer
pH: 7.2 - 7.4 Preservative: 0.01% Sodium azide Constituents: PBS, 40% Glycerol (glycerin, glycerine), 0.05% BSA
Shipped at conditions
Blue Ice
Appropriate short-term storage duration
1-2 weeks
Appropriate short-term storage conditions
+4°C
Appropriate long-term storage conditions
-20°C
Aliquoting information
Upon delivery aliquot
Storage information
Avoid freeze / thaw cycle

Supplementary information

This supplementary information is collated from multiple sources and compiled automatically.

HNF-4-alpha also known as hepatocyte nuclear factor 4-alpha (HNF4A) is a nuclear protein that functions as a transcription factor. It plays an important role in regulating gene expression in the liver kidney and intestine. HNF-4-alpha has a molecular mass of about 54 kDa and is expressed in tissues where it maintains cellular differentiation and metabolic homeostasis. In cellular assays such as ELISA and CHIP detection of HNF-4-alpha provides insights into its expression levels and activity in various biological contexts.
Biological function summary

HNF-4-alpha influences the expression of genes involved in liver and pancreatic function. It acts as a transcriptional regulator that controls fatty acid oxidation gluconeogenesis and insulin secretion. HNF-4-alpha interacts with other proteins to form transcriptional complexes that fine-tune the expression of metabolic enzymes and transport proteins. This protein is key to ensuring that metabolic genes are expressed in a coordinated manner which is essential for maintaining normal metabolic processes.

Pathways

HNF-4-alpha participates in the insulin signaling and lipid metabolism pathways. Through these pathways it interacts with other transcription factors such as HNF-1-alpha and PPAR-alpha which coordinate the regulation of genes involved in glucose metabolism and fatty acid oxidation. HNF-4-alpha plays a critical role by modulating the expression of enzymes like gluconeogenic enzymes in response to metabolic needs which connects it to key metabolic pathways influencing overall energy homeostasis.

HNF-4-alpha is linked to maturity-onset diabetes of the young (MODY1) and certain types of liver diseases. Mutations or dysregulation in HNF-4-alpha can affect the expression of genes essential for insulin production and glucose metabolism leading to disorders like diabetes. Additionally HNF-4-alpha interacts with other proteins and transcription factors implicated in these conditions such as HNF-1-alpha. Understanding the role of HNF-4-alpha in these diseases can provide insights into potential therapeutic targets and intervention strategies.

Product protocols

For this product, it's our understanding that no specific protocols are required. You can visit:

Target data

Transcriptional regulator which controls the expression of hepatic genes during the transition of endodermal cells to hepatic progenitor cells, facilitating the recruitment of RNA pol II to the promoters of target genes (PubMed : 30597922). Activates the transcription of CYP2C38 (By similarity). Represses the CLOCK-BMAL1 transcriptional activity and is essential for circadian rhythm maintenance and period regulation in the liver and colon cells (PubMed : 30530698).
See full target information HNF4A

Publications (3)

Recent publications for all applications. Explore the full list and refine your search

Nature protocols 16:919-936 PubMed33432231

2021

Engineering human hepato-biliary-pancreatic organoids from pluripotent stem cells.

Applications

Unspecified application

Species

Unspecified reactive species

Hiroyuki Koike,Kentaro Iwasawa,Rie Ouchi,Mari Maezawa,Masaki Kimura,Asuka Kodaka,Shozo Nishii,Wendy L Thompson,Takanori Takebe

Methods in cell biology 159:47-68 PubMed32586449

2020

Generation of multi-cellular human liver organoids from pluripotent stem cells.

Applications

Unspecified application

Species

Unspecified reactive species

Wendy L Thompson,Takanori Takebe

Scientific reports 6:25302 PubMed27143441

2016

MiR-125b regulates endometrial receptivity by targeting MMP26 in women undergoing IVF-ET with elevated progesterone on HCG priming day.

Applications

Unspecified application

Species

Unspecified reactive species

Cheng Chen,Yue Zhao,Yang Yu,Rong Li,Jie Qiao
View all publications
chicCutRunSequencingBooklet
en

Product promise

We are committed to supporting your work with high-quality reagents, and we're here for you every step of the way. In the unlikely event that one of our products does not perform as expected, you're protected by our Product Promise.
For full details, please see our Terms & Conditions

Please note: All products are 'FOR RESEARCH USE ONLY. NOT FOR USE IN DIAGNOSTIC OR THERAPEUTIC PROCEDURES'.

For licensing inquiries, please contact partnerships@abcam.com