JavaScript is disabled in your browser. Please enable JavaScript to view this website.
AB78356

Anti-HNF-4-alpha (phospho S313) antibody

Be the first to review this product! Submit a review

|

(1 Publication)

Rabbit Polyclonal HNF-4-alpha phospho S313 antibody. Suitable for WB, IHC-P, ICC/IF and reacts with Human samples. Cited in 1 publication. Immunogen corresponding to Synthetic Peptide within Human HNF4A phospho S313.

View Alternative Names

HNF4, NR2A1, TCF14, HNF4A, Hepatocyte nuclear factor 4-alpha, HNF-4-alpha, Nuclear receptor subfamily 2 group A member 1, Transcription factor 14, Transcription factor HNF-4, TCF-14

3 Images
Western blot - Anti-HNF-4-alpha (phospho S313) antibody (AB78356)
  • WB

Unknown

Western blot - Anti-HNF-4-alpha (phospho S313) antibody (AB78356)

All lanes:

Western blot - Anti-HNF-4-alpha (phospho S313) antibody (ab78356) at 1/500 dilution

Lane 1:

Extracts from HUVEC cells, treated with EGF (200ng/ml, 30mins) at 30 µg

Lane 2:

Extracts from HUVEC cells, treated with EGF (200ng/ml, 30mins) at 30 µg with immunising peptide

Predicted band size: 53 kDa

Observed band size: 54 kDa

false

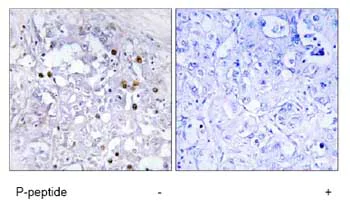
Immunohistochemistry (Formalin/PFA-fixed paraffin-embedded sections) - Anti-HNF-4-alpha (phospho S313) antibody (AB78356)
  • IHC-P

Unknown

Immunohistochemistry (Formalin/PFA-fixed paraffin-embedded sections) - Anti-HNF-4-alpha (phospho S313) antibody (AB78356)

Immunohistochemistry analysis of paraffin-embedded human liver carcinoma tissue using ab78356 at a 1/50 dilution.
Left image un-treated.
Right image treated with immunizing peptide.

Immunocytochemistry/ Immunofluorescence - Anti-HNF-4-alpha (phospho S313) antibody (AB78356)
  • ICC/IF

Unknown

Immunocytochemistry/ Immunofluorescence - Anti-HNF-4-alpha (phospho S313) antibody (AB78356)

Immunofluorescence analysis of LOVO cells using ab78356 at a 1/500 dilution.
Left image un-treated.
Right image treated with immunizing peptide.

Key facts

Host species

Rabbit

Clonality

Polyclonal

Isotype

IgG

Carrier free

No

Reacts with

Human

Applications

ICC/IF, WB, IHC-P

applications

Immunogen

Synthetic Peptide within Human HNF4A phospho S313. The exact immunogen used to generate this antibody is proprietary information.

P41235

Reactivity data

{ "title": "Reactivity Data", "filters": { "stats": ["", "Species", "Dilution Info", "Notes"], "tabs": { "all-applications": {"fullname" : "All Applications", "shortname": "All Applications"}, "WB" : {"fullname" : "Western blot", "shortname":"WB"}, "IHCP" : {"fullname" : "Immunohistochemistry (Formalin/PFA-fixed paraffin-embedded sections)", "shortname":"IHC-P"}, "ICCIF" : {"fullname" : "Immunocytochemistry/ Immunofluorescence", "shortname":"ICC/IF"} }, "product-promise": { "all": "all", "testedAndGuaranteed": "tested", "guaranteed": "expected", "predicted": "predicted", "notRecommended": "not-recommended" } }, "values": { "Human": { "WB-species-checked": "testedAndGuaranteed", "WB-species-dilution-info": "1/500 - 1/1000", "WB-species-notes": "<p></p>", "IHCP-species-checked": "testedAndGuaranteed", "IHCP-species-dilution-info": "1/50 - 1/100", "IHCP-species-notes": "<p></p>", "ICCIF-species-checked": "testedAndGuaranteed", "ICCIF-species-dilution-info": "1/500 - 1/1000", "ICCIF-species-notes": "<p></p>" }, "Mouse": { "WB-species-checked": "predicted", "WB-species-dilution-info": "", "WB-species-notes": "", "IHCP-species-checked": "predicted", "IHCP-species-dilution-info": "", "IHCP-species-notes": "", "ICCIF-species-checked": "predicted", "ICCIF-species-dilution-info": "", "ICCIF-species-notes": "" }, "Rat": { "WB-species-checked": "predicted", "WB-species-dilution-info": "", "WB-species-notes": "", "IHCP-species-checked": "predicted", "IHCP-species-dilution-info": "", "IHCP-species-notes": "", "ICCIF-species-checked": "predicted", "ICCIF-species-dilution-info": "", "ICCIF-species-notes": "" } } }

Properties and storage information

Form
Liquid
Purification technique
Affinity purification Immunogen
Purification notes
The antibody was affinity-purified from rabbit antiserum by affinity-chromatography using epitope-specific phosphopeptide. The antibody against non-phosphopeptide was removed by chromatography using non-phosphopeptide corresponding to the phosphorylation site.
Storage buffer
pH: 7.4 Preservative: 0.02% Sodium azide Constituents: PBS, 50% Glycerol (glycerin, glycerine), 0.87% Sodium chloride
Shipped at conditions
Blue Ice
Appropriate short-term storage conditions
+4°C
Appropriate long-term storage conditions
-20°C
Aliquoting information
Upon delivery aliquot
Storage information
Avoid freeze / thaw cycle

Supplementary information

This supplementary information is collated from multiple sources and compiled automatically.

HNF-4-alpha also known as hepatocyte nuclear factor 4-alpha (HNF4A) is a nuclear protein that functions as a transcription factor. It plays an important role in regulating gene expression in the liver kidney and intestine. HNF-4-alpha has a molecular mass of about 54 kDa and is expressed in tissues where it maintains cellular differentiation and metabolic homeostasis. In cellular assays such as ELISA and CHIP detection of HNF-4-alpha provides insights into its expression levels and activity in various biological contexts.
Biological function summary

HNF-4-alpha influences the expression of genes involved in liver and pancreatic function. It acts as a transcriptional regulator that controls fatty acid oxidation gluconeogenesis and insulin secretion. HNF-4-alpha interacts with other proteins to form transcriptional complexes that fine-tune the expression of metabolic enzymes and transport proteins. This protein is key to ensuring that metabolic genes are expressed in a coordinated manner which is essential for maintaining normal metabolic processes.

Pathways

HNF-4-alpha participates in the insulin signaling and lipid metabolism pathways. Through these pathways it interacts with other transcription factors such as HNF-1-alpha and PPAR-alpha which coordinate the regulation of genes involved in glucose metabolism and fatty acid oxidation. HNF-4-alpha plays a critical role by modulating the expression of enzymes like gluconeogenic enzymes in response to metabolic needs which connects it to key metabolic pathways influencing overall energy homeostasis.

HNF-4-alpha is linked to maturity-onset diabetes of the young (MODY1) and certain types of liver diseases. Mutations or dysregulation in HNF-4-alpha can affect the expression of genes essential for insulin production and glucose metabolism leading to disorders like diabetes. Additionally HNF-4-alpha interacts with other proteins and transcription factors implicated in these conditions such as HNF-1-alpha. Understanding the role of HNF-4-alpha in these diseases can provide insights into potential therapeutic targets and intervention strategies.

Product protocols

For this product, it's our understanding that no specific protocols are required. You can visit:

Target data

Transcriptional regulator which controls the expression of hepatic genes during the transition of endodermal cells to hepatic progenitor cells, facilitating the recruitment of RNA pol II to the promoters of target genes (PubMed : 30597922). Activates the transcription of CYP2C38 (By similarity). Represses the CLOCK-BMAL1 transcriptional activity and is essential for circadian rhythm maintenance and period regulation in the liver and colon cells (PubMed : 30530698).
See full target information HNF4A phospho S313

Publications (1)

Recent publications for all applications. Explore the full list and refine your search

The American journal of pathology 190:2251-2266 PubMed32712019

2020

Knockout of the Tachykinin Receptor 1 in the Mdr2 (Abcb4) Mouse Model of Primary Sclerosing Cholangitis Reduces Biliary Damage and Liver Fibrosis.

Applications

Unspecified application

Species

Unspecified reactive species

Ludovica Ceci,Heather Francis,Tianhao Zhou,Thao Giang,Zhihong Yang,Fanyin Meng,Nan Wu,Lindsey Kennedy,Konstantina Kyritsi,Vik Meadows,Chaodong Wu,Suthat Liangpunsakul,Antonio Franchitto,Amelia Sybenga,Burcin Ekser,Romina Mancinelli,Paolo Onori,Eugenio Gaudio,Shannon Glaser,Gianfranco Alpini
View all publications

Product promise

We are committed to supporting your work with high-quality reagents, and we're here for you every step of the way. In the unlikely event that one of our products does not perform as expected, you're protected by our Product Promise.
For full details, please see our Terms & Conditions

Associated Products

Select an associated product type
Alternative Product
Primary Antibodies

AB217073

Alexa Fluor® 647 Anti-HNF-4-alpha antibody [EPR3648]

primary-antibodies

alexa-fluor-647-hnf-4-alpha-antibody-epr3648-ab217073

0

(0 reviews)

Alternative Product
Primary Antibodies

AB201460

Anti-HNF-4-alpha antibody [EPR16885-99]

primary-antibodies

hnf-4-alpha-antibody-epr16885-99-ab201460

4

(1 reviews)

Alternative Product
Primary Antibodies

AB200142

Anti-HNF-4-alpha antibody [EPR19265-130] - ChIP Grade

primary-antibodies

hnf-4-alpha-antibody-epr19265-130-chip-grade-ab200142

0

(1 reviews)

Alternative Product
Primary Antibodies

AB199431

Anti-HNF-4-alpha antibody [EPR16786] - N-terminal

primary-antibodies

hnf-4-alpha-antibody-epr16786-n-terminal-ab199431

0

(0 reviews)

Alternative Product
Primary Antibodies

AB231167

Anti-HNF-4-alpha antibody [EPR16885-99] - BSA and Azide free

primary-antibodies

hnf-4-alpha-antibody-epr16885-99-bsa-and-azide-free-ab231167

0

(0 reviews)

Alternative Product
Primary Antibodies

AB92378

Anti-HNF-4-alpha antibody [EPR3648]

primary-antibodies

hnf-4-alpha-antibody-epr3648-ab92378

5

(4 reviews)

Alternative Product
Primary Antibodies

AB181604

Anti-HNF-4-alpha antibody [EPR16885] - ChIP Grade

primary-antibodies

hnf-4-alpha-antibody-epr16885-chip-grade-ab181604

5

(4 reviews)

Please note: All products are 'FOR RESEARCH USE ONLY. NOT FOR USE IN DIAGNOSTIC OR THERAPEUTIC PROCEDURES'.

For licensing inquiries, please contact partnerships@abcam.com