JavaScript is disabled in your browser. Please enable JavaScript to view this website.
AB272693

Anti-HNF1 alpha antibody [EPR23054-108]

  • BOND RX™ Validated
  • Recombinant
  • KO Validated
  • Advanced Validation
  • RabMAb
  • What is this?

Be the first to review this product! Submit a review

|

(3 Publications)

Rabbit Recombinant Monoclonal HNF1 alpha antibody. Suitable for ChIC/CUT&RUN-seq, WB, ICC/IF, Flow Cyt (Intra), IHC-P and reacts with Human, Mouse, Rat samples. Cited in 3 publications.

View Alternative Names

TCF1, HNF1A, Hepatocyte nuclear factor 1-alpha, HNF-1-alpha, HNF-1A, Liver-specific transcription factor LF-B1, Transcription factor 1, LFB1, TCF-1

8 Images
Immunocytochemistry/ Immunofluorescence - Anti-HNF1 alpha antibody [EPR23054-108] (AB272693)
  • ICC/IF

Unknown

Immunocytochemistry/ Immunofluorescence - Anti-HNF1 alpha antibody [EPR23054-108] (AB272693)

Immunofluorescent analysis of 100% methanol-fixed, 0.1% Triton X-100 permeabilized HepG2 and HeLa cells labelling HNF1 alpha with ab272693 at 1/1000 dilution, followed by ab150077 Goat Anti-Rabbit IgG H&L (Alexa Fluor® 488) antibody at 1/1000 dilution (Green). Confocal image showing nuclear staining in HepG2 cells. 100% methanol fixation is recommended. Negative control : HeLa (PMID : 10677375). ab195889 Anti-alpha Tubulin antibody (Alexa Fluor® 594) was used to counterstain tubulin at 1/200 dilution (Red). The Nuclear counterstain was DAPI (Blue).

Secondary antibody only control : Secondary antibody is ab150077 Goat Anti-Rabbit IgG H&L (Alexa Fluor® 488) at 1/1000 dilution.

Immunohistochemistry (Formalin/PFA-fixed paraffin-embedded sections) - Anti-HNF1 alpha antibody [EPR23054-108] (AB272693)
  • IHC-P

Unknown

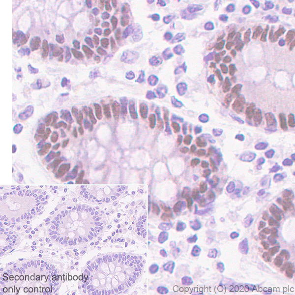
Immunohistochemistry (Formalin/PFA-fixed paraffin-embedded sections) - Anti-HNF1 alpha antibody [EPR23054-108] (AB272693)

Immunohistochemical analysis of paraffin-embedded Human colon tissue labeling HNF1 alpha with ab272693 at 1/2000 dilution followed by a ready to use Rabbit specific IHC polymer detection kit HRP/DAB (ab209101). Nuclear staining on human colon. The section was incubated with ab272693 for 30 mins at room temperature. The immunostaining was performed on a Leica Biosystems BOND® RX instrument. Counterstained with Hematoxylin.

Secondary antibody only control : Secondary antibody is a ready to use Rabbit specific IHC polymer detection kit HRP/DAB (ab209101).

Heat mediated antigen retrieval with Tris-EDTA buffer (pH 9.0, epitope retrieval solution2) for 20 mins.

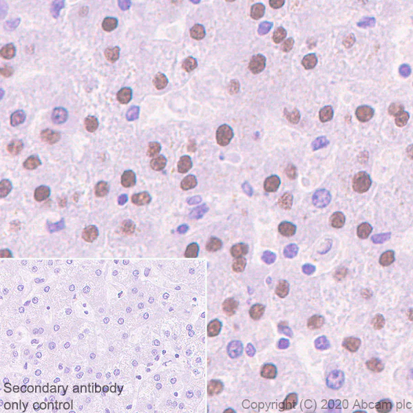
Immunohistochemistry (Formalin/PFA-fixed paraffin-embedded sections) - Anti-HNF1 alpha antibody [EPR23054-108] (AB272693)
  • IHC-P

Unknown

Immunohistochemistry (Formalin/PFA-fixed paraffin-embedded sections) - Anti-HNF1 alpha antibody [EPR23054-108] (AB272693)

Immunohistochemical analysis of paraffin-embedded Human liver tissue labeling HNF1 alpha with ab272693 at 1/2000 dilution followed by a ready to use Rabbit specific IHC polymer detection kit HRP/DAB (ab209101). Nuclear staining on human liver. The section was incubated with ab272693 for 30 mins at room temperature. The immunostaining was performed on a Leica Biosystems BOND® RX instrument. Counterstained with Hematoxylin.

Secondary antibody only control : Secondary antibody is a ready to use Rabbit specific IHC polymer detection kit HRP/DAB (ab209101).

Heat mediated antigen retrieval with Tris-EDTA buffer (pH 9.0, epitope retrieval solution2) for 20 mins.

Flow Cytometry (Intracellular) - Anti-HNF1 alpha antibody [EPR23054-108] (AB272693)
  • Flow Cyt (Intra)

Unknown

Flow Cytometry (Intracellular) - Anti-HNF1 alpha antibody [EPR23054-108] (AB272693)

Intracellular flow cytometric analysis of 4% paraformaldehyde fixed, 90% methanol permeabilized HeLa (Human cervix adenocarcinoma epithelial cell, Left) / HepG2 (Human hepatocellular carcinoma epithelial cell, Right) cells labelling HNF1 alpha with ab272693 at 1/500 dilution (0.1ug) (Red) compared with a Rabbit monoclonal IgG (ab172730) (Black) isotype control and an unlabelled control (cells without incubation with primary antibody and secondary antibody) (Blue). A Goat anti rabbit IgG (Alexa Fluor® 488, ab150077) at 1/2000 dilution was used as the secondary antibody.

Negative control : HeLa (PMID : 10677375).

Western blot - Anti-HNF1 alpha antibody [EPR23054-108] (AB272693)
  • WB

Lab

Western blot - Anti-HNF1 alpha antibody [EPR23054-108] (AB272693)

Western blot : Anti-HNF1A antibody [EPR23054-108] (ab272693) staining at 1/1000 dilution, shown in green; Mouse anti-Alpha Tubulin [DM1A] (ab7291) loading control staining at 1/20000 dilution, shown in magenta. In Western blot, ab272693 was shown to bind specifically to HNF1A. A band was observed at 75-80 kDa in wild-type A549 cell lysates with no signal observed at this size in HNF1A knockout cell line. To generate this image, wild-type and HNF1A knockout A549 cell lysates were analysed. First, samples were run on an SDS-PAGE gel then transferred onto a nitrocellulose membrane. Membranes were blocked in 3 % milk in TBS-0.1 % Tween® 20 (TBS-T) before incubation with primary antibodies overnight at 4 °C. Blots were washed four times in TBS-T, incubated with secondary antibodies for 1 h at room temperature, washed again four times then imaged. Secondary antibodies used were Goat anti-Rabbit IgG H&L 800CW and Goat anti-Mouse IgG H&L 680RD at 1/20000 dilution.

All lanes:

Western blot - Anti-HNF1 alpha antibody [EPR23054-108] (ab272693) at 1/1000 dilution

Lane 1:

Wild-type A549 cell lysate at 20 µg

Lane 2:

HNF1A knockout A549 cell lysate at 20 µg

Lane 3:

HepG2 cell lysate at 20 µg

Lane 4:

U-2 OS cell lysate at 20 µg

Secondary

All lanes:

Goat anti-Rabbit IgG H&L 800CW and Goat anti-Mouse IgG H&L 680RD at 1/20000 dilution

Observed band size: 75 kDa,80 kDa

false

ChIC/CUT&RUN sequencing - Anti-HNF1 alpha antibody [EPR23054-108] (AB272693)
  • ChIC/CUT&RUN-seq

Supplier Data

ChIC/CUT&RUN sequencing - Anti-HNF1 alpha antibody [EPR23054-108] (AB272693)

ChIC/CUT&RUN was performed using a pAG-MNAse at a final concentration of 700 ng/mL, 2.5 x 10^5 HepG2 (Human liver hepatocellular carcinoma cell line)cells and 5µg of ab272693 [EPR23054-108]. The resulting DNA was sequenced on the Illumina NovaSeq 6000 to a depth of 10 million reads. The negative IgG control ab172730 is also shown. Additional screenshots of mapped reads can be downloaded here. The University of Geneva owns patents relevant to ChIC (Chromatin Immuno-Cleavage) methods.

Western blot - Anti-HNF1 alpha antibody [EPR23054-108] (AB272693)
  • WB

Lab

Western blot - Anti-HNF1 alpha antibody [EPR23054-108] (AB272693)

Blocking and diluting buffer and concentration : 5% NFDM/TBST.

Exposure time : 3 minutes.

All lanes:

Western blot - Anti-HNF1 alpha antibody [EPR23054-108] (ab272693) at 1/1000 dilution

Lane 1:

Mouse liver tissue lysate at 20 µg

Lane 2:

Rat liver tissue lysate at 20 µg

Secondary

All lanes:

Goat Anti-Rabbit IgG, (H+L), Peroxidase conjugated (<a href='/en-us/products/secondary-antibodies/goat-rabbit-igg-h-l-hrp-ab97051'>ab97051</a>) at 1/100000 dilution

Predicted band size: 67 kDa

Observed band size: 81 kDa

false

Western blot - Anti-HNF1 alpha antibody [EPR23054-108] (AB272693)
  • WB

Lab

Western blot - Anti-HNF1 alpha antibody [EPR23054-108] (AB272693)

Blocking and diluting buffer and concentration : 5% NFDM/TBST.

Lysates were made freshly and used in WB immediately to minimize protein degradation.

The molecular weight observed is consistent with what has been described in the literature (PMID : 31145732).

Negative control : HeLa (PMID : 10677375).

Exposure time : Lanes 1-3 : 10 seconds; Lane 4 : 3 minutes.

All lanes:

Western blot - Anti-HNF1 alpha antibody [EPR23054-108] (ab272693) at 1/1000 dilution

Lane 1:

HepG2 (human hepatocellular carcinoma epithelial cell) whole cell lysate at 20 µg

Lane 2:

HeLa (human cervix adenocarcinoma epithelial cell) whole cell lysate at 20 µg

Lane 3:

Caco-2 (human colorectal adenocarcinoma epithelial cell) whole cell lysate at 20 µg

Lane 4:

Hepa1-6 (mouse hepatoma epithelial cell) whole cell lysate at 20 µg

Secondary

All lanes:

Goat Anti-Rabbit IgG, (H+L), Peroxidase conjugated (<a href='/en-us/products/secondary-antibodies/goat-rabbit-igg-h-l-hrp-ab97051'>ab97051</a>) at 1/50000 dilution

Predicted band size: 67 kDa

Observed band size: 81 kDa

false

  • Carrier free

    Anti-HNF1 alpha antibody [EPR23054-108] - BSA and Azide free

Key facts

Host species

Rabbit

Clonality

Monoclonal

Clone number

EPR23054-108

Isotype

IgG

Carrier free

No

Reacts with

Mouse, Rat, Human

Applications

IHC-P, Flow Cyt (Intra), ChIC/CUT&RUN-seq, WB, ICC/IF

applications

Immunogen

The exact immunogen used to generate this antibody is proprietary information.

Reactivity data

{ "title": "Reactivity Data", "filters": { "stats": ["", "Species", "Dilution Info", "Notes"], "tabs": { "all-applications": {"fullname" : "All Applications", "shortname": "All Applications"}, "ChICCUTRUNseq" : {"fullname" : "ChIC/CUT&RUN sequencing", "shortname":"ChIC/CUT&RUN-seq"}, "IP" : {"fullname" : "Immunoprecipitation", "shortname":"IP"}, "ChIP" : {"fullname" : "ChIP", "shortname":"ChIP"}, "WB" : {"fullname" : "Western blot", "shortname":"WB"}, "ICCIF" : {"fullname" : "Immunocytochemistry/ Immunofluorescence", "shortname":"ICC/IF"}, "FlowCytIntra" : {"fullname" : "Flow Cytometry (Intracellular)", "shortname":"Flow Cyt (Intra)"}, "IHCP" : {"fullname" : "Immunohistochemistry (Formalin/PFA-fixed paraffin-embedded sections)", "shortname":"IHC-P"} }, "product-promise": { "all": "all", "testedAndGuaranteed": "tested", "guaranteed": "expected", "predicted": "predicted", "notRecommended": "not-recommended" } }, "values": { "Human": { "ChICCUTRUNseq-species-checked": "testedAndGuaranteed", "ChICCUTRUNseq-species-dilution-info": "5 µg", "ChICCUTRUNseq-species-notes": "<p></p>", "IP-species-checked": "notRecommended", "IP-species-dilution-info": "", "IP-species-notes": "<p></p>", "ChIP-species-checked": "notRecommended", "ChIP-species-dilution-info": "", "ChIP-species-notes": "<p></p>", "WB-species-checked": "testedAndGuaranteed", "WB-species-dilution-info": "1/1000", "WB-species-notes": "<p></p>", "ICCIF-species-checked": "testedAndGuaranteed", "ICCIF-species-dilution-info": "1/1000", "ICCIF-species-notes": "<p></p>", "FlowCytIntra-species-checked": "testedAndGuaranteed", "FlowCytIntra-species-dilution-info": "1/500", "FlowCytIntra-species-notes": "<p></p>", "IHCP-species-checked": "testedAndGuaranteed", "IHCP-species-dilution-info": "1/2000", "IHCP-species-notes": "<p></p>" }, "Mouse": { "ChICCUTRUNseq-species-checked": "guaranteed", "ChICCUTRUNseq-species-dilution-info": "", "ChICCUTRUNseq-species-notes": "", "IP-species-checked": "notRecommended", "IP-species-dilution-info": "", "IP-species-notes": "", "ChIP-species-checked": "notRecommended", "ChIP-species-dilution-info": "", "ChIP-species-notes": "", "WB-species-checked": "testedAndGuaranteed", "WB-species-dilution-info": "1/1000", "WB-species-notes": "<p></p>", "ICCIF-species-checked": "guaranteed", "ICCIF-species-dilution-info": "", "ICCIF-species-notes": "", "FlowCytIntra-species-checked": "guaranteed", "FlowCytIntra-species-dilution-info": "", "FlowCytIntra-species-notes": "", "IHCP-species-checked": "notRecommended", "IHCP-species-dilution-info": "1/2000", "IHCP-species-notes": "<p></p>" }, "Rat": { "ChICCUTRUNseq-species-checked": "guaranteed", "ChICCUTRUNseq-species-dilution-info": "", "ChICCUTRUNseq-species-notes": "", "IP-species-checked": "notRecommended", "IP-species-dilution-info": "", "IP-species-notes": "", "ChIP-species-checked": "notRecommended", "ChIP-species-dilution-info": "", "ChIP-species-notes": "", "WB-species-checked": "testedAndGuaranteed", "WB-species-dilution-info": "1/1000", "WB-species-notes": "<p></p>", "ICCIF-species-checked": "guaranteed", "ICCIF-species-dilution-info": "", "ICCIF-species-notes": "", "FlowCytIntra-species-checked": "guaranteed", "FlowCytIntra-species-dilution-info": "", "FlowCytIntra-species-notes": "", "IHCP-species-checked": "notRecommended", "IHCP-species-dilution-info": "1/2000", "IHCP-species-notes": "<p></p>" } } }

Product details

Patented technology
Our RabMAb® technology is a patented hybridoma-based technology for making rabbit monoclonal antibodies. For details on our patents, please refer to RabMAb® patents.

What are the advantages of a recombinant monoclonal antibody?
This product is a recombinant monoclonal antibody, which offers several advantages including:

  • - High batch-to-batch consistency and reproducibility
  • - Improved sensitivity and specificity
  • - Long-term security of supply
  • - Animal-free batch production

For more information, read more on recombinant antibodies.

Properties and storage information

Form
Liquid
Purification technique
Affinity purification Protein A
Storage buffer
pH: 7.2 - 7.4 Preservative: 0.01% Sodium azide Constituents: PBS, 40% Glycerol (glycerin, glycerine), 0.05% BSA
Shipped at conditions
Blue Ice
Appropriate short-term storage duration
1-2 weeks
Appropriate short-term storage conditions
+4°C
Appropriate long-term storage conditions
-20°C
Aliquoting information
Upon delivery aliquot
Storage information
Avoid freeze / thaw cycle

Supplementary information

This supplementary information is collated from multiple sources and compiled automatically.

The HNF1 alpha also known as hepatocyte nuclear factor 1 alpha is a transcription factor that has an important role in regulating gene expression. It has a mass of approximately 67 kDa. Predominantly HNF1 alpha appears in the liver kidney intestines and pancreas. It binds to enhancer elements of target genes affecting the transcriptional activity. The protein is also vital for cellular differentiation and maintenance in tissues where it is expressed.
Biological function summary

The HNF1 alpha functions as part of the dimeric HNF1 protein complex often partnering with HNF1 beta. It governs a wide array of genes including those involved in carbohydrate and lipid metabolism. By influencing the gene expression HNF1 alpha assists in maintaining normal metabolic processes. Its activity is critical for proper liver function and insulin secretion from pancreatic beta cells.

Pathways

HNF1 alpha actively integrates into key metabolic pathways such as the gluconeogenesis and the cholesterol biosynthesis pathways. In these pathways it works alongside other proteins like HNF4 alpha and PGC-1 alpha contributing significantly to glucose and lipid homeostasis. The transcription factor impacts the metabolic pathway reinforcing its integral role in maintaining energy balance and metabolic health.

HNF1 alpha is importantly linked to maturity-onset diabetes of the young (MODY) and certain forms of liver disease. Mutations or dysregulation in HNF1 alpha can cause MODY3 a subtype of diabetes characterized by an autosomal dominant pattern of inheritance. Additionally the abnormal activity of HNF1 alpha may contribute to liver dysfunction often in conjunction with HNF4 alpha disruptions. These associations highlight the importance of HNF1 alpha in both metabolic pathway integrity and disease pathology.

Product protocols

For this product, it's our understanding that no specific protocols are required. You can visit:

Target data

Transcriptional activator that regulates the tissue specific expression of multiple genes, especially in pancreatic islet cells and in liver (By similarity). Binds to the inverted palindrome 5'-GTTAATNATTAAC-3' (PubMed : 10966642, PubMed : 12453420). Activates the transcription of CYP1A2, CYP2E1 and CYP3A11 (By similarity).. (Microbial infection) Plays a crucial role for hepatitis B virus gene transcription and DNA replication. Mechanistically, synergistically cooperates with NR5A2 to up-regulate the activity of one of the critical cis-elements in the hepatitis B virus genome enhancer II (ENII).
See full target information HNF1A

Publications (3)

Recent publications for all applications. Explore the full list and refine your search

Molecular medicine reports 31: PubMed39611479

2024

Study on the molecular mechanisms of rifaximin in the treatment of non‑alcoholic steatohepatitis based on the ‑DCA‑Fxr‑Hnf1α signalling pathway.

Applications

Unspecified application

Species

Unspecified reactive species

Yi-Peng Wan,Shuang Li,Dan Li,Xiao-Mei Huang,Jian-Hua Wu,Jie Jian

Cell research 33:585-603 PubMed37337030

2023

An invasive zone in human liver cancer identified by Stereo-seq promotes hepatocyte-tumor cell crosstalk, local immunosuppression and tumor progression.

Applications

Unspecified application

Species

Unspecified reactive species

Liang Wu,Jiayan Yan,Yinqi Bai,Feiyu Chen,Xuanxuan Zou,Jiangshan Xu,Ao Huang,Liangzhen Hou,Yu Zhong,Zehua Jing,Qichao Yu,Xiaorui Zhou,Zhifeng Jiang,Chunqing Wang,Mengnan Cheng,Yuan Ji,Yingyong Hou,Rongkui Luo,Qinqin Li,Liang Wu,Jianwen Cheng,Pengxiang Wang,Dezhen Guo,Waidong Huang,Junjie Lei,Shang Liu,Yizhen Yan,Yiling Chen,Sha Liao,Yuxiang Li,Haixiang Sun,Na Yao,Xiangyu Zhang,Shiyu Zhang,Xi Chen,Yang Yu,Yao Li,Fengming Liu,Zheng Wang,Shaolai Zhou,Huanming Yang,Shuang Yang,Xun Xu,Longqi Liu,Qiang Gao,Zhaoyou Tang,Xiangdong Wang,Jian Wang,Jia Fan,Shiping Liu,Xinrong Yang,Ao Chen,Jian Zhou

Cellular signalling 100:110458 PubMed36055565

2022

Mechanism of paracrine communications between hepatic progenitor cells and endothelial cells.

Applications

Unspecified application

Species

Unspecified reactive species

Sanghoon Lee,Rebekah Karns,Soona Shin
View all publications
chicCutRunSequencingBooklet
en

Product promise

We are committed to supporting your work with high-quality reagents, and we're here for you every step of the way. In the unlikely event that one of our products does not perform as expected, you're protected by our Product Promise.
For full details, please see our Terms & Conditions

Please note: All products are 'FOR RESEARCH USE ONLY. NOT FOR USE IN DIAGNOSTIC OR THERAPEUTIC PROCEDURES'.

For licensing inquiries, please contact partnerships@abcam.com