JavaScript is disabled in your browser. Please enable JavaScript to view this website.
AB267350

Anti-HNF1 alpha antibody [EPR23054-142] - BSA and Azide free

  • BOND RX™ Validated
  • RabMAb
  • Recombinant
  • Advanced Validation
  • What is this?

Be the first to review this product! Submit a review

|

(0 Publication)

Rabbit Recombinant Monoclonal HNF1 alpha antibody. Carrier free. Suitable for ChIC/CUT&RUN-seq, WB, IHC-P and reacts with Human samples.

View Alternative Names

TCF1, HNF1A, Hepatocyte nuclear factor 1-alpha, HNF-1-alpha, HNF-1A, Liver-specific transcription factor LF-B1, Transcription factor 1, LFB1, TCF-1

3 Images
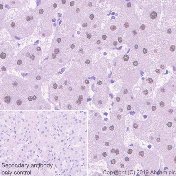
Immunohistochemistry (Formalin/PFA-fixed paraffin-embedded sections) - Anti-HNF1 alpha antibody [EPR23054-142] - BSA and Azide free (AB267350)
  • IHC-P

Unknown

Immunohistochemistry (Formalin/PFA-fixed paraffin-embedded sections) - Anti-HNF1 alpha antibody [EPR23054-142] - BSA and Azide free (AB267350)

Immunohistochemical analysis of paraffin-embedded Human liver tissue labeling HNF1A with ab242140 at 1/2000 dilution followed by a ready to use Rabbit specific IHC polymer detection kit HRP/DAB (ab209101). Nuclear staining on human liver (PMID : 26169608). The section was incubated with ab242140 for 15 mins at RT. The immunostaining staining was performed on a Leica Biosystems BOND® RX instrument Counterstained with Hematoxylin.

Secondary antibody only control : Secondary antibody is a ready to use Rabbit specific IHC polymer detection kit HRP/DAB (ab209101).

Heat mediated antigen retrieval with Tris-EDTA buffer (pH 9.0, epitope retrieval solution 2) for 20 mins.

This data was developed using the same antibody clone in a different buffer formulation containing PBS, BSA, glycerol, and sodium azide (ab242140).

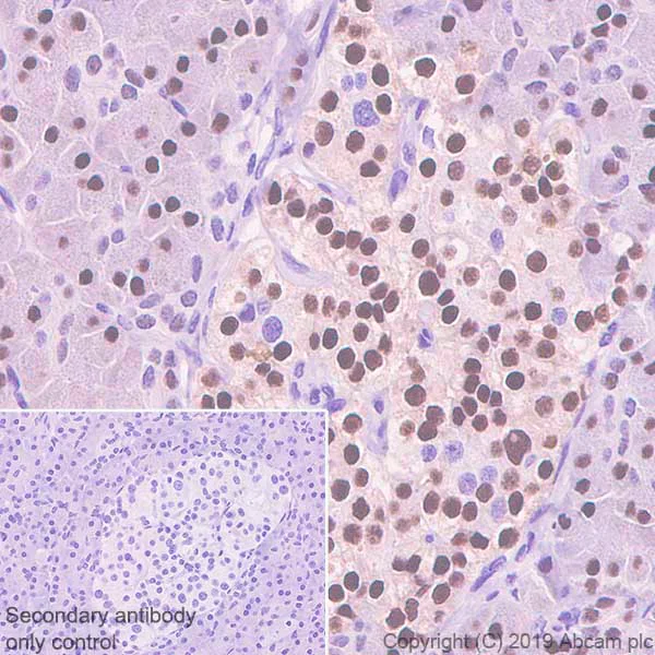
Immunohistochemistry (Formalin/PFA-fixed paraffin-embedded sections) - Anti-HNF1 alpha antibody [EPR23054-142] - BSA and Azide free (AB267350)
  • IHC-P

Unknown

Immunohistochemistry (Formalin/PFA-fixed paraffin-embedded sections) - Anti-HNF1 alpha antibody [EPR23054-142] - BSA and Azide free (AB267350)

Immunohistochemical analysis of paraffin-embedded Human pancreas tissue labeling HNF1A with ab242140 at 1/2000 followed by a ready to use Rabbit specific IHC polymer detection kit HRP/DAB (ab209101). Positive staining on human pancreas (PMID : 25793983) is observed. The section was incubated with ab242140 for 15 mins at RT. The immunostaining staining was performed on a Leica Biosystems BOND® RX instrument Counterstained with Hematoxylin.

Secondary antibody only control : Secondary antibody is a ready to use Rabbit specific IHC polymer detection kit HRP/DAB (ab209101).

Heat mediated antigen retrieval with Tris-EDTA buffer (pH 9.0, epitope retrieval solution 2) for 20 mins.

This data was developed using the same antibody clone in a different buffer formulation containing PBS, BSA, glycerol, and sodium azide (ab242140).

ChIC/CUT&RUN sequencing - Anti-HNF1 alpha antibody [EPR23054-142] - BSA and Azide free (AB267350)
  • ChIC/CUT&RUN-seq

Supplier Data

ChIC/CUT&RUN sequencing - Anti-HNF1 alpha antibody [EPR23054-142] - BSA and Azide free (AB267350)

ChIC/CUT&RUN was performed using a pAG-MNAse at a final concentration of 700 ng/mL, 2.5 x 10^5 HepG2 (Human liver hepatocellular carcinoma cell line) cells and 5µg of ab242140 [EPR23054-142]. The resulting DNA was sequenced on the Illumina NovaSeq 6000 to a depth of 10 million reads. The negative IgG control ab172730 is also shown. Additional screenshots of mapped reads can be found in the Protocol booklet in the Product Protocol section. The University of Geneva owns patents relevant to ChIC (Chromatin Immuno-Cleavage) methods. This data was developed using the same antibody clone in a different buffer formulation containing PBS, BSA, glycerol, and sodium azide (ab242140).

Key facts

Host species

Rabbit

Clonality

Monoclonal

Clone number

EPR23054-142

Isotype

IgG

Carrier free

Yes

Reacts with

Human

Applications

IHC-P, WB, ChIC/CUT&RUN-seq

applications

Immunogen

The exact immunogen used to generate this antibody is proprietary information.

Reactivity data

{ "title": "Reactivity Data", "filters": { "stats": ["", "Species", "Dilution Info", "Notes"], "tabs": { "all-applications": {"fullname" : "All Applications", "shortname": "All Applications"}, "ChICCUTRUNseq" : {"fullname" : "ChIC/CUT&RUN sequencing", "shortname":"ChIC/CUT&RUN-seq"}, "IP" : {"fullname" : "Immunoprecipitation", "shortname":"IP"}, "WB" : {"fullname" : "Western blot", "shortname":"WB"}, "IHCP" : {"fullname" : "Immunohistochemistry (Formalin/PFA-fixed paraffin-embedded sections)", "shortname":"IHC-P"}, "ICCIF" : {"fullname" : "Immunocytochemistry/ Immunofluorescence", "shortname":"ICC/IF"} }, "product-promise": { "all": "all", "testedAndGuaranteed": "tested", "guaranteed": "expected", "predicted": "predicted", "notRecommended": "not-recommended" } }, "values": { "Human": { "ChICCUTRUNseq-species-checked": "testedAndGuaranteed", "ChICCUTRUNseq-species-dilution-info": "", "ChICCUTRUNseq-species-notes": "<p></p>", "IP-species-checked": "notRecommended", "IP-species-dilution-info": "", "IP-species-notes": "<p></p>", "WB-species-checked": "testedAndGuaranteed", "WB-species-dilution-info": "", "WB-species-notes": "<p></p>", "IHCP-species-checked": "testedAndGuaranteed", "IHCP-species-dilution-info": "", "IHCP-species-notes": "<p></p>", "ICCIF-species-checked": "notRecommended", "ICCIF-species-dilution-info": "", "ICCIF-species-notes": "<p></p>" } } }

You may be interested in:

AB65333

Glucose Assay Kit

0

0 Reviews

View product

We recommend this product because it’s often used in the same experiment or related research.

We advise that you always check the datasheet to ensure it fits your experiments, or contact ourtechnical teamfor help.

Product details

ab267350 is the carrier-free version of ab242140.

Patented technology
Our RabMAb® technology is a patented hybridoma-based technology for making rabbit monoclonal antibodies. For details on our patents, please refer to RabMAb® patents.

What are the advantages of a recombinant monoclonal antibody?
This product is a recombinant monoclonal antibody, which offers several advantages including:

  • - High batch-to-batch consistency and reproducibility
  • - Improved sensitivity and specificity
  • - Long-term security of supply
  • - Animal-free batch production

For more information, read more on recombinant antibodies.

Conjugation ready
Our carrier-free antibodies are typically supplied in a PBS-only formulation, purified and free of BSA, sodium azide and glycerol. This conjugation-ready format is designed for use with fluorochromes, metal isotopes, oligonucleotides, and enzymes, which makes them ideal for antibody labelling, functional and cell-based assays, flow-based assays (e.g. mass cytometry) and Multiplex Imaging applications.

Use our conjugation kits for antibody conjugates that are ready-to-use in as little as 20 minutes with 1 minute hands-on-time and 100% antibody recovery: available for fluorescent dyes, HRP, biotin and gold.

Compatibility
This product is compatible with the Maxpar® Antibody Labeling Kit from Fluidigm, without the need for antibody preparation. Maxpar® is a trademark of Fluidigm Canada Inc.

Properties and storage information

Form
Liquid
Purification technique
Affinity purification Protein A
Storage buffer
pH: 7.2 - 7.4 Constituents: PBS
Shipped at conditions
Blue Ice
Appropriate short-term storage conditions
+4°C
Appropriate long-term storage conditions
+4°C
Storage information
Do Not Freeze

Supplementary information

This supplementary information is collated from multiple sources and compiled automatically.

The HNF1 alpha also known as hepatocyte nuclear factor 1 alpha is a transcription factor that has an important role in regulating gene expression. It has a mass of approximately 67 kDa. Predominantly HNF1 alpha appears in the liver kidney intestines and pancreas. It binds to enhancer elements of target genes affecting the transcriptional activity. The protein is also vital for cellular differentiation and maintenance in tissues where it is expressed.
Biological function summary

The HNF1 alpha functions as part of the dimeric HNF1 protein complex often partnering with HNF1 beta. It governs a wide array of genes including those involved in carbohydrate and lipid metabolism. By influencing the gene expression HNF1 alpha assists in maintaining normal metabolic processes. Its activity is critical for proper liver function and insulin secretion from pancreatic beta cells.

Pathways

HNF1 alpha actively integrates into key metabolic pathways such as the gluconeogenesis and the cholesterol biosynthesis pathways. In these pathways it works alongside other proteins like HNF4 alpha and PGC-1 alpha contributing significantly to glucose and lipid homeostasis. The transcription factor impacts the metabolic pathway reinforcing its integral role in maintaining energy balance and metabolic health.

HNF1 alpha is importantly linked to maturity-onset diabetes of the young (MODY) and certain forms of liver disease. Mutations or dysregulation in HNF1 alpha can cause MODY3 a subtype of diabetes characterized by an autosomal dominant pattern of inheritance. Additionally the abnormal activity of HNF1 alpha may contribute to liver dysfunction often in conjunction with HNF4 alpha disruptions. These associations highlight the importance of HNF1 alpha in both metabolic pathway integrity and disease pathology.

Product protocols

For this product, it's our understanding that no specific protocols are required. You can visit:

Target data

Transcriptional activator that regulates the tissue specific expression of multiple genes, especially in pancreatic islet cells and in liver (By similarity). Binds to the inverted palindrome 5'-GTTAATNATTAAC-3' (PubMed : 10966642, PubMed : 12453420). Activates the transcription of CYP1A2, CYP2E1 and CYP3A11 (By similarity).. (Microbial infection) Plays a crucial role for hepatitis B virus gene transcription and DNA replication. Mechanistically, synergistically cooperates with NR5A2 to up-regulate the activity of one of the critical cis-elements in the hepatitis B virus genome enhancer II (ENII).
See full target information HNF1A

Product promise

We are committed to supporting your work with high-quality reagents, and we're here for you every step of the way. In the unlikely event that one of our products does not perform as expected, you're protected by our Product Promise.
For full details, please see our Terms & Conditions
chicCutRunSequencingBooklet
en

Associated Products

Select an associated product type
Alternative Product
Primary Antibodies

AB268239

Anti-HNF1 alpha antibody [HNF1A/2087] - BSA and Azide free

primary-antibodies

hnf1-alpha-antibody-hnf1a-2087-bsa-and-azide-free-ab268239

0

(0 reviews)

Alternative Product
Primary Antibodies

AB268116

Anti-HNF1 alpha antibody [HNF1A/2087]

primary-antibodies

hnf1-alpha-antibody-hnf1a-2087-ab268116

0

(0 reviews)

Alternative Product
Primary Antibodies

AB96777

Anti-HNF1 alpha antibody

primary-antibodies

hnf1-alpha-antibody-ab96777

2

(1 reviews)

Alternative Product
Primary Antibodies

AB204306

Anti-HNF1 alpha antibody

primary-antibodies

hnf1-alpha-antibody-ab204306

5

(1 reviews)

Alternative Product
Primary Antibodies

AB203092

Anti-HNF1 alpha antibody

primary-antibodies

hnf1-alpha-antibody-ab203092

0

(0 reviews)

Please note: All products are 'FOR RESEARCH USE ONLY. NOT FOR USE IN DIAGNOSTIC OR THERAPEUTIC PROCEDURES'.

For licensing inquiries, please contact partnerships@abcam.com