JavaScript is disabled in your browser. Please enable JavaScript to view this website.
AB240196

Anti-hnRNP A1 antibody [EPR12768] - BSA and Azide free

Be the first to review this product! Submit a review

|

(1 Publication)

Rabbit Recombinant Monoclonal hnRNP A1 antibody. Carrier free. Suitable for IHC-P, WB, ICC/IF, Flow Cyt (Intra) and reacts with Human samples. Cited in 1 publication.

View Alternative Names

HNRPA1, HNRNPA1, Heterogeneous nuclear ribonucleoprotein A1, hnRNP A1, Helix-destabilizing protein, Single-strand RNA-binding protein, hnRNP core protein A1

5 Images
Immunocytochemistry/ Immunofluorescence - Anti-hnRNP A1 antibody [EPR12768] - BSA and Azide free (AB240196)
  • ICC/IF

Unknown

Immunocytochemistry/ Immunofluorescence - Anti-hnRNP A1 antibody [EPR12768] - BSA and Azide free (AB240196)

Immunofluorescent analysis of HepG2 cells labeling hnRNP A1 with ab177152 at 1/100 dilution.

This data was developed using the same antibody clone in a different buffer formulation containing PBS, BSA, glycerol, and sodium azide (ab177152).

Immunohistochemistry (Formalin/PFA-fixed paraffin-embedded sections) - Anti-hnRNP A1 antibody [EPR12768] - BSA and Azide free (AB240196)
  • IHC-P

Unknown

Immunohistochemistry (Formalin/PFA-fixed paraffin-embedded sections) - Anti-hnRNP A1 antibody [EPR12768] - BSA and Azide free (AB240196)

Immunohistochemical analysis of paraffin-embedded Human clear cell carcinoma tissue labeling hnRNP A1 with ab177152 at 1/50 dilution.

This data was developed using the same antibody clone in a different buffer formulation containing PBS, BSA, glycerol, and sodium azide (ab177152).

Perform heat mediated antigen retrieval before commencing with IHC staining protocol.

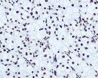
Immunohistochemistry (Formalin/PFA-fixed paraffin-embedded sections) - Anti-hnRNP A1 antibody [EPR12768] - BSA and Azide free (AB240196)
  • IHC-P

Unknown

Immunohistochemistry (Formalin/PFA-fixed paraffin-embedded sections) - Anti-hnRNP A1 antibody [EPR12768] - BSA and Azide free (AB240196)

Immunohistochemical analysis of paraffin-embedded Human breast carcinoma tissue labeling hnRNP A1 with ab177152 at 1/50 dilution.

This data was developed using the same antibody clone in a different buffer formulation containing PBS, BSA, glycerol, and sodium azide (ab177152).

Perform heat mediated antigen retrieval before commencing with IHC staining protocol.

Flow Cytometry (Intracellular) - Anti-hnRNP A1 antibody [EPR12768] - BSA and Azide free (AB240196)
  • Flow Cyt (Intra)

Supplier Data

Flow Cytometry (Intracellular) - Anti-hnRNP A1 antibody [EPR12768] - BSA and Azide free (AB240196)

Intracellular flow cytometric analysis of permeabilized Jurkat cells labeling hnRNP A1 with ab177152 at 1/10 dilution (red), or a rabbit IgG (negative) (green).

This data was developed using the same antibody clone in a different buffer formulation containing PBS, BSA, glycerol, and sodium azide (ab177152).

Western blot - Anti-hnRNP A1 antibody [EPR12768] - BSA and Azide free (AB240196)
  • WB

Lab

Western blot - Anti-hnRNP A1 antibody [EPR12768] - BSA and Azide free (AB240196)

This data was developed using the same antibody clone in a different buffer formulation (ab177152).

Lanes 1-3 : Merged signal (red and green). Green - ab177152 observed at 37 kDa. Red - loading control ab8245 observed at 36 kDa.

ab177152 Anti-hnRNP A1 antibody [EPR12768] was shown to specifically react with hnRNP A1 in wild-type HEK293T cells. Loss of signal was observed when knockout cell line ab266193 (knockout cell lysate ab256942) was used. Wild-type and hnRNP A1 knockout samples were subjected to SDS-PAGE. ab177152 and Anti-GAPDH antibody [6C5] - Loading Control (ab8245) were incubated overnight at 4°C at 1 in 1000 dilution and 1 in 20000 dilution respectively. Blots were developed with Goat anti-Rabbit IgG H&L (IRDye® 800CW) preadsorbed (ab216773) and Goat anti-Mouse IgG H&L (IRDye® 680RD) preadsorbed (ab216776) secondary antibodies at 1 in 20000 dilution for 1 hour at room temperature before imaging.

All lanes:

Western blot - Anti-hnRNP A1 antibody [EPR12768] (<a href='/en-us/products/primary-antibodies/hnrnp-a1-antibody-epr12768-ab177152'>ab177152</a>) at 1/1000 dilution

Lane 1:

Wild-type HEK293T cell lysate at 20 µg

Lane 2:

HNRNPA1 knockout HEK293T cell lysate at 20 µg

Lane 2:

Western blot - Human HNRNPA1 knockout HEK-293T cell line (<a href='/en-us/products/cell-lines/human-hnrnpa1-knockout-hek-293t-cell-line-ab266193'>ab266193</a>)

Lane 3:

HeLa cell lysate at 20 µg

Secondary

All lanes:

Western blot - Goat anti-Rabbit IgG H&L (IRDye® 800CW) preadsorbed (<a href='/en-us/products/secondary-antibodies/goat-rabbit-igg-h-l-irdye-800cw-preadsorbed-ab216773'>ab216773</a>) at 1/10000 dilution

Predicted band size: 23 kDa,25 kDa,33 kDa,38 kDa,53 kDa,72 kDa

Observed band size: 25 kDa,27 kDa,37 kDa,38 kDa,58 kDa,72 kDa

false

Key facts

Host species

Rabbit

Clonality

Monoclonal

Clone number

EPR12768

Isotype

IgG

Carrier free

Yes

Reacts with

Human

Applications

IHC-P, Flow Cyt (Intra), ICC/IF, WB

applications

Immunogen

The exact immunogen used to generate this antibody is proprietary information.

Reactivity data

{ "title": "Reactivity Data", "filters": { "stats": ["", "Species", "Dilution Info", "Notes"], "tabs": { "all-applications": {"fullname" : "All Applications", "shortname": "All Applications"}, "IHCP" : {"fullname" : "Immunohistochemistry (Formalin/PFA-fixed paraffin-embedded sections)", "shortname":"IHC-P"}, "IP" : {"fullname" : "Immunoprecipitation", "shortname":"IP"}, "WB" : {"fullname" : "Western blot", "shortname":"WB"}, "ICCIF" : {"fullname" : "Immunocytochemistry/ Immunofluorescence", "shortname":"ICC/IF"}, "FlowCytIntra" : {"fullname" : "Flow Cytometry (Intracellular)", "shortname":"Flow Cyt (Intra)"} }, "product-promise": { "all": "all", "testedAndGuaranteed": "tested", "guaranteed": "expected", "predicted": "predicted", "notRecommended": "not-recommended" } }, "values": { "Human": { "IHCP-species-checked": "testedAndGuaranteed", "IHCP-species-dilution-info": "", "IHCP-species-notes": "<p></p>", "IP-species-checked": "notRecommended", "IP-species-dilution-info": "", "IP-species-notes": "<p></p>", "WB-species-checked": "testedAndGuaranteed", "WB-species-dilution-info": "", "WB-species-notes": "<p></p>", "ICCIF-species-checked": "testedAndGuaranteed", "ICCIF-species-dilution-info": "", "ICCIF-species-notes": "<p></p>", "FlowCytIntra-species-checked": "testedAndGuaranteed", "FlowCytIntra-species-dilution-info": "", "FlowCytIntra-species-notes": "<p><a href='/en-us/products/primary-antibodies/rabbit-igg-monoclonal-epr25a-isotype-control-low-endotoxin-azide-free-ab199376'>ab199376</a> - Rabbit monoclonal IgG, is suitable for use as an isotype control with this antibody.</p>" }, "Mouse": { "IHCP-species-checked": "predicted", "IHCP-species-dilution-info": "", "IHCP-species-notes": "", "IP-species-checked": "notRecommended", "IP-species-dilution-info": "", "IP-species-notes": "", "WB-species-checked": "predicted", "WB-species-dilution-info": "", "WB-species-notes": "", "ICCIF-species-checked": "predicted", "ICCIF-species-dilution-info": "", "ICCIF-species-notes": "", "FlowCytIntra-species-checked": "predicted", "FlowCytIntra-species-dilution-info": "", "FlowCytIntra-species-notes": "" }, "Rat": { "IHCP-species-checked": "predicted", "IHCP-species-dilution-info": "", "IHCP-species-notes": "", "IP-species-checked": "notRecommended", "IP-species-dilution-info": "", "IP-species-notes": "", "WB-species-checked": "predicted", "WB-species-dilution-info": "", "WB-species-notes": "", "ICCIF-species-checked": "predicted", "ICCIF-species-dilution-info": "", "ICCIF-species-notes": "", "FlowCytIntra-species-checked": "predicted", "FlowCytIntra-species-dilution-info": "", "FlowCytIntra-species-notes": "" } } }

Product details

ab240196 is the carrier-free version of ab177152.

Patented technology
Our RabMAb® technology is a patented hybridoma-based technology for making rabbit monoclonal antibodies. For details on our patents, please refer to RabMAb® patents.

What are the advantages of a recombinant monoclonal antibody?
This product is a recombinant monoclonal antibody, which offers several advantages including:

  • - High batch-to-batch consistency and reproducibility
  • - Improved sensitivity and specificity
  • - Long-term security of supply
  • - Animal-free batch production

For more information, read more on recombinant antibodies.

Conjugation ready
Our carrier-free antibodies are typically supplied in a PBS-only formulation, purified and free of BSA, sodium azide and glycerol. This conjugation-ready format is designed for use with fluorochromes, metal isotopes, oligonucleotides, and enzymes, which makes them ideal for antibody labelling, functional and cell-based assays, flow-based assays (e.g. mass cytometry) and Multiplex Imaging applications.

Use our conjugation kits for antibody conjugates that are ready-to-use in as little as 20 minutes with 1 minute hands-on-time and 100% antibody recovery: available for fluorescent dyes, HRP, biotin and gold.

Compatibility
This product is compatible with the Maxpar® Antibody Labeling Kit from Fluidigm, without the need for antibody preparation. Maxpar® is a trademark of Fluidigm Canada Inc.

Properties and storage information

Form
Liquid
Purification technique
Affinity purification Protein A
Storage buffer
pH: 7.2 - 7.4 Constituents: PBS
Shipped at conditions
Blue Ice
Appropriate short-term storage conditions
+4°C
Appropriate long-term storage conditions
+4°C
Storage information
Do Not Freeze

Supplementary information

This supplementary information is collated from multiple sources and compiled automatically.

Heterogeneous nuclear ribonucleoprotein A1 (hnRNP A1) also known just as hnRNP A1 is a multifunctional protein that plays important roles in RNA processing mechanisms. It is a member of the hnRNP protein family involved in the packaging of nascent pre-mRNA. hnRNP A1 has a molecular mass of approximately 34-38 kDa and shows a widespread expression in various cells and tissues. This protein is recognized for its ability to bind to RNA molecules contributing to their proper processing splicing and transport within the cellular context.
Biological function summary

HnRNP A1 is involved in RNA binding and splicing contributing to the formation of spliceosomes the complexes responsible for pre-mRNA splicing. The protein aids in alternative splicing influencing mRNA diversity and stability. hnRNP A1 interacts with other proteins in the hnRNP family remodeling ribonucleoprotein complexes and affecting their functions. These interactions ensure proper mRNA maturation impacting gene expression regulation within the cell.

Pathways

HnRNP A1 is integral to critical cellular mechanisms such as the regulation of mRNA transport and splicing. It influences the DNA damage response pathway by modulating gene expression required for cellular repair and stability. hnRNP A1 also cooperates with other RNA binding proteins like the splicing factors SR proteins to orchestrate the splicing machinery. These interactions are pivotal in maintaining cellular homeostasis and response to stress.

HnRNP A1 is notably related to neurodegenerative diseases like Amyotrophic Lateral Sclerosis (ALS) and certain types of cancer. Abnormalities in its expression or mutations can lead to disrupted cellular processes contributing to disease pathology. In ALS dysregulation of hnRNP A1 affects neuronal RNA metabolism and is associated with the TDP-43 protein a marker of neurodegeneration. In cancer hnRNP A1 influences tumor development through its role in alternative splicing and gene expression modification linking it to oncogenic signaling pathways.

Product protocols

For this product, it's our understanding that no specific protocols are required. You can visit:

Target data

Involved in the packaging of pre-mRNA into hnRNP particles, transport of poly(A) mRNA from the nucleus to the cytoplasm and modulation of splice site selection (PubMed : 17371836). Plays a role in the splicing of pyruvate kinase PKM by binding repressively to sequences flanking PKM exon 9, inhibiting exon 9 inclusion and resulting in exon 10 inclusion and production of the PKM M2 isoform (PubMed : 20010808). Binds to the IRES and thereby inhibits the translation of the apoptosis protease activating factor APAF1 (PubMed : 31498791). May bind to specific miRNA hairpins (PubMed : 28431233).. (Microbial infection) May play a role in HCV RNA replication.. (Microbial infection) Cleavage by Enterovirus 71 protease 3C results in increased translation of apoptosis protease activating factor APAF1, leading to apoptosis.
See full target information HNRNPA1

Publications (1)

Recent publications for all applications. Explore the full list and refine your search

International journal of oncology 54:77-86 PubMed30431069

2018

Long non-coding RNA HOTAIR mediates the switching of histone H3 lysine 27 acetylation to methylation to promote epithelial-to-mesenchymal transition in gastric cancer.

Applications

Unspecified application

Species

Unspecified reactive species

Yue Song,Rui Wang,Li-Wei Li,Xi Liu,Yun-Fei Wang,Qi-Xue Wang,Qingyu Zhang
View all publications

Product promise

We are committed to supporting your work with high-quality reagents, and we're here for you every step of the way. In the unlikely event that one of our products does not perform as expected, you're protected by our Product Promise.
For full details, please see our Terms & Conditions

Please note: All products are 'FOR RESEARCH USE ONLY. NOT FOR USE IN DIAGNOSTIC OR THERAPEUTIC PROCEDURES'.

For licensing inquiries, please contact partnerships@abcam.com