JavaScript is disabled in your browser. Please enable JavaScript to view this website.
AB208030

Anti-hnRNP A1 (citrulline R140) antibody [EPR20178]

Be the first to review this product! Submit a review

|

(1 Publication)

Rabbit Recombinant Monoclonal hnRNP A1 citrulline R140 antibody. Suitable for Dot, WB and reacts with Synthetic peptide - Human, Recombinant fragment - Human samples. Cited in 1 publication.

View Alternative Names

HNRPA1, HNRNPA1, Heterogeneous nuclear ribonucleoprotein A1, hnRNP A1, Helix-destabilizing protein, Single-strand RNA-binding protein, hnRNP core protein A1

2 Images
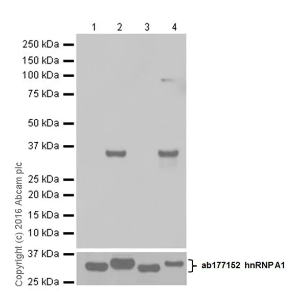
Western blot - Anti-hnRNP A1 (citrulline R140) antibody [EPR20178] (AB208030)
  • WB

Supplier Data

Western blot - Anti-hnRNP A1 (citrulline R140) antibody [EPR20178] (AB208030)

Blocking/Dilution buffer : 5% NFDM/TBST.

All lanes:

Western blot - Anti-hnRNP A1 (citrulline R140) antibody [EPR20178] (ab208030) at 1/1000 dilution

Lane 1:

Empty vector (vector control) transfected HEK-293T (human epithelial cell line from embryonic kidney transformed with large T antigen) whole cell lysate at 10 µg

Lane 2:

HEK-293T whole cell lysate transfected with GFP tagged PADI2 and treated with 10mM CaCl2 for 2h, then 10uM Ionomycin for 2h at 10 µg

Lane 3:

Empty vector (vector control) transfected HEK-293T whole cell lysate at 10 µg

Lane 4:

HEK-293T whole cell lysate transfected with GFP tagged PADI4 and treated with 10mM CaCl2 for 2h, then 10uM Ionomycin for 2h at 10 µg

Secondary

All lanes:

Western blot - Goat Anti-Rabbit IgG H&L (HRP) (<a href='/en-us/products/secondary-antibodies/goat-rabbit-igg-h-l-hrp-ab97051'>ab97051</a>) at 1/100000 dilution

Predicted band size: 38 kDa

Observed band size: 34 kDa

true

Exposure time: 5s

Dot Blot - Anti-hnRNP A1 (citrulline R140) antibody [EPR20178] (AB208030)
  • Dot

Supplier Data

Dot Blot - Anti-hnRNP A1 (citrulline R140) antibody [EPR20178] (AB208030)

Dot blot analysis of hnRNP A1 (citrulline R140) labeled with ab208030 at 1/1000 dilution.

Lane 1 : hnRNP A1 (citrulline R140) peptide.

Lane 2 : hnRNP A1 (citrulline R140) noncitrulline peptide.

Goat Anti-Rabbit IgG H&L (HRP) (ab97051) at 1/100000 dilution was used as secondary antibody.

Blocking and dilution buffer : 5% NFDM/TBST.

Exposure time : 3 minutes.

  • Carrier free

    Anti-hnRNP A1 (citrulline R140) antibody [EPR20178] - BSA and Azide free

Key facts

Host species

Rabbit

Clonality

Monoclonal

Clone number

EPR20178

Isotype

IgG

Carrier free

No

Applications

WB, Dot

applications

Immunogen

The exact immunogen used to generate this antibody is proprietary information.

Specificity

Based on sequence homology, we predict that this antibody may react with HNRNPA1L2.

Reactivity data

{ "title": "Reactivity Data", "filters": { "stats": ["", "Species", "Dilution Info", "Notes"], "tabs": { "all-applications": {"fullname" : "All Applications", "shortname": "All Applications"}, "Dot" : {"fullname" : "Dot Blot", "shortname":"Dot"}, "WB" : {"fullname" : "Western blot", "shortname":"WB"} }, "product-promise": { "all": "all", "testedAndGuaranteed": "tested", "guaranteed": "expected", "predicted": "predicted", "notRecommended": "not-recommended" } }, "values": { "Recombinant fragment - Human": { "Dot-species-checked": "notRecommended", "Dot-species-dilution-info": "", "Dot-species-notes": "", "WB-species-checked": "testedAndGuaranteed", "WB-species-dilution-info": "1/1000", "WB-species-notes": "<p></p>" }, "Synthetic peptide - Human": { "Dot-species-checked": "testedAndGuaranteed", "Dot-species-dilution-info": "1/1000", "Dot-species-notes": "<p></p>", "WB-species-checked": "notRecommended", "WB-species-dilution-info": "", "WB-species-notes": "" } } }

Product details

Patented technology
Our RabMAb® technology is a patented hybridoma-based technology for making rabbit monoclonal antibodies. For details on our patents, please refer to RabMAb® patents.

What are the advantages of a recombinant monoclonal antibody?
This product is a recombinant monoclonal antibody, which offers several advantages including:

  • - High batch-to-batch consistency and reproducibility
  • - Improved sensitivity and specificity
  • - Long-term security of supply
  • - Animal-free batch production

For more information, read more on recombinant antibodies.

Properties and storage information

Form
Liquid
Purification technique
Affinity purification Protein A
Storage buffer
pH: 7.2 - 7.4 Preservative: 0.01% Sodium azide Constituents: PBS, 40% Glycerol (glycerin, glycerine), 0.05% BSA
Shipped at conditions
Blue Ice
Appropriate short-term storage duration
1-2 weeks
Appropriate short-term storage conditions
+4°C
Appropriate long-term storage conditions
-20°C
Aliquoting information
Upon delivery aliquot
Storage information
Avoid freeze / thaw cycle

Supplementary information

This supplementary information is collated from multiple sources and compiled automatically.

Heterogeneous nuclear ribonucleoprotein A1 (hnRNP A1) also known just as hnRNP A1 is a multifunctional protein that plays important roles in RNA processing mechanisms. It is a member of the hnRNP protein family involved in the packaging of nascent pre-mRNA. hnRNP A1 has a molecular mass of approximately 34-38 kDa and shows a widespread expression in various cells and tissues. This protein is recognized for its ability to bind to RNA molecules contributing to their proper processing splicing and transport within the cellular context.
Biological function summary

HnRNP A1 is involved in RNA binding and splicing contributing to the formation of spliceosomes the complexes responsible for pre-mRNA splicing. The protein aids in alternative splicing influencing mRNA diversity and stability. hnRNP A1 interacts with other proteins in the hnRNP family remodeling ribonucleoprotein complexes and affecting their functions. These interactions ensure proper mRNA maturation impacting gene expression regulation within the cell.

Pathways

HnRNP A1 is integral to critical cellular mechanisms such as the regulation of mRNA transport and splicing. It influences the DNA damage response pathway by modulating gene expression required for cellular repair and stability. hnRNP A1 also cooperates with other RNA binding proteins like the splicing factors SR proteins to orchestrate the splicing machinery. These interactions are pivotal in maintaining cellular homeostasis and response to stress.

HnRNP A1 is notably related to neurodegenerative diseases like Amyotrophic Lateral Sclerosis (ALS) and certain types of cancer. Abnormalities in its expression or mutations can lead to disrupted cellular processes contributing to disease pathology. In ALS dysregulation of hnRNP A1 affects neuronal RNA metabolism and is associated with the TDP-43 protein a marker of neurodegeneration. In cancer hnRNP A1 influences tumor development through its role in alternative splicing and gene expression modification linking it to oncogenic signaling pathways.

Product protocols

For this product, it's our understanding that no specific protocols are required. You can visit:

Target data

Involved in the packaging of pre-mRNA into hnRNP particles, transport of poly(A) mRNA from the nucleus to the cytoplasm and modulation of splice site selection (PubMed : 17371836). Plays a role in the splicing of pyruvate kinase PKM by binding repressively to sequences flanking PKM exon 9, inhibiting exon 9 inclusion and resulting in exon 10 inclusion and production of the PKM M2 isoform (PubMed : 20010808). Binds to the IRES and thereby inhibits the translation of the apoptosis protease activating factor APAF1 (PubMed : 31498791). May bind to specific miRNA hairpins (PubMed : 28431233).. (Microbial infection) May play a role in HCV RNA replication.. (Microbial infection) Cleavage by Enterovirus 71 protease 3C results in increased translation of apoptosis protease activating factor APAF1, leading to apoptosis.
See full target information HNRNPA1 citrulline R140

Publications (1)

Recent publications for all applications. Explore the full list and refine your search

Bladder cancer (Amsterdam, Netherlands) 9:29-40 PubMed38994477

2023

SH3BP5-AS1/IGF2BP2/VDAC2 Axis Promotes the Apoptosis and Ferroptosis of Bladder Cancer Cells.

Applications

Unspecified application

Species

Unspecified reactive species

Yong Shao,Yunhui Chan,Rong Zhao
View all publications

Product promise

We are committed to supporting your work with high-quality reagents, and we're here for you every step of the way. In the unlikely event that one of our products does not perform as expected, you're protected by our Product Promise.
For full details, please see our Terms & Conditions

Please note: All products are 'FOR RESEARCH USE ONLY. NOT FOR USE IN DIAGNOSTIC OR THERAPEUTIC PROCEDURES'.

For licensing inquiries, please contact partnerships@abcam.com