JavaScript is disabled in your browser. Please enable JavaScript to view this website.
AB31645

Anti-hnRNP A2B1 antibody

5

(5 Reviews)

|

(37 Publications)

Rabbit Polyclonal hnRNP A2B1 antibody. Suitable for IHC-P, ICC, IP, WB and reacts with Human samples. Cited in 37 publications.

View Alternative Names

HNRPA2B1, HNRNPA2B1, Heterogeneous nuclear ribonucleoproteins A2/B1, hnRNP A2/B1

6 Images
Immunocytochemistry/ Immunofluorescence - Anti-hnRNP A2B1 antibody (AB31645)
  • ICC/IF

Lab

Immunocytochemistry/ Immunofluorescence - Anti-hnRNP A2B1 antibody (AB31645)

ab31645 staining hnRNP A2B1 in HeLa cells. The cells were fixed with 100% methanol (5 min), permeabilized with 0.1% PBS-Triton X-100 for 5 minutes and then blocked with 1% BSA/10% normal goat serum/0.3M glycine in 0.1%PBS-Tween for 1h. The cells were then incubated overnight at 4°C with ab31645 at 5µg/ml and ab7291, Mouse monoclonal [DM1A] to alpha Tubulin - Loading Control. Cells were then incubated with ab150081, Goat polyclonal Secondary Antibody to Rabbit IgG - H&L (Alexa Fluor® 488), pre-adsorbed at 1/1000 dilution (shown in green) and ab150120, Goat polyclonal Secondary Antibody to Mouse IgG - H&L (Alexa Fluor® 594), pre-adsorbed at 1/1000 dilution (shown in pseudocolour red). Nuclear DNA was labelled with DAPI (shown in blue).

Image was acquired with a high-content analyser (Operetta CLS, Perkin Elmer) and a maximum intensity projection of confocal sections is shown.

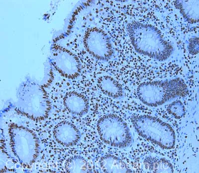
Immunohistochemistry (Formalin/PFA-fixed paraffin-embedded sections) - Anti-hnRNP A2B1 antibody (AB31645)
  • IHC-P

Unknown

Immunohistochemistry (Formalin/PFA-fixed paraffin-embedded sections) - Anti-hnRNP A2B1 antibody (AB31645)

IHC image of ab31645 staining in human colon formalin fixed paraffin embedded tissue section, performed on a Leica BondTM system using the standard protocol F. The section was pre-treated using heat mediated antigen retrieval with sodium citrate buffer (pH6, epitope retrieval solution 1) for 20 mins. The section was then incubated with ab31645, 1µg/ml, for 15 mins at room temperature and detected using an HRP conjugated compact polymer system. DAB was used as the chromogen. The section was then counterstained with haematoxylin and mounted with DPX.

For other IHC staining systems (automated and non-automated) customers should optimize variable parameters such as antigen retrieval conditions, primary antibody concentration and antibody incubation times.

Immunoprecipitation - Anti-hnRNP A2B1 antibody (AB31645)
  • IP

Unknown

Immunoprecipitation - Anti-hnRNP A2B1 antibody (AB31645)

hnRNP A2B1 was immunoprecipitated using 0.5mg Hela whole cell extract, 5µg of Rabbit polyclonal to hnRNP A2B1 and 50µl of protein G magnetic beads (+). No antibody was added to the control (-).
The antibody was incubated under agitation with Protein G beads for 10min, Hela whole cell extract lysate diluted in RIPA buffer was added to each sample and incubated for a further 10min under agitation.
Proteins were eluted by addition of 40µl SDS loading buffer and incubated for 10min at 70oC; 10µl of each sample was separated on a SDS PAGE gel, transferred to a nitrocellulose membrane, blocked with 5% BSA and probed with ab31645.
Secondary : Mouse monoclonal [SB62a] Secondary Antibody to Rabbit IgG light chain (HRP) (ab99697).
Band : 35kDa : hnRNP A2B1.

All lanes:

Immunoprecipitation - Anti-hnRNP A2B1 antibody (ab31645)

Predicted band size: 37 kDa

false

Western blot - Anti-hnRNP A2B1 antibody (AB31645)
  • WB

Lab

Western blot - Anti-hnRNP A2B1 antibody (AB31645)

Lanes 1-3 : Merged signal (red and green). Green - ab31645 observed at 37 kDa. Red - loading control, ab7291 observed at 50 kDa.

ab31645 Anti-hnRNP A2B1 antibody was shown to specifically react with hnRNP A2B1 in wild-type HEK293T cells. Loss of signal was observed when knockout cell line ab266404 (knockout cell lysate ab257224) was used. Wild-type and hnRNP A2B1 knockout samples were subjected to SDS-PAGE. ab31645 and Anti-alpha Tubulin antibody [DM1A] - Loading Control (ab7291) were incubated overnight at 4°C at 1 in 500 dilution and 1 in 20000 dilution respectively. Blots were developed with Goat anti- Rabbit IgG H&L (IRDye® 800CW) preadsorbed (ab216773) and Goat anti- Mouse IgG H&L (IRDye® 680RD) preadsorbed (ab216776) secondary antibodies at 1 in 10000 dilution for 1 hour at room temperature before imaging.

All lanes:

Western blot - Anti-hnRNP A2B1 antibody (ab31645) at 1/500 dilution

Lane 1:

Wild-type HEK293T cell lysate at 20 µg

Lane 2:

HNRNPA2B1 knockout HEK293T cell lysate at 20 µg

Lane 3:

A549 cell lysate at 20 µg

Predicted band size: 37 kDa

Observed band size: 37 kDa

false

Western blot - Anti-hnRNP A2B1 antibody (AB31645)
  • WB

Lab

Western blot - Anti-hnRNP A2B1 antibody (AB31645)

Lanes 1-3 : Merged signal (red and green). Green - ab31645 observed at 37 kDa. Red - loading control, ab7291 observed at 50 kDa.

ab31645 Anti-hnRNP A2B1 antibody was shown to specifically react with hnRNP A2B1 in wild-type HEK293T cells. Loss of signal was observed when knockout cell line ab266404 (knockout cell lysate ab257224) was used. Wild-type and hnRNP A2B1 knockout samples were subjected to SDS-PAGE. ab31645 and Anti-alpha Tubulin antibody [DM1A] - Loading Control (ab7291) were incubated overnight at 4°C at 1 in 500 dilution and 1 in 20000 dilution respectively. Blots were developed with Goat anti- Rabbit IgG H&L (IRDye® 800CW) preadsorbed (ab216773) and Goat anti- Mouse IgG H&L (IRDye® 680RD) preadsorbed (ab216776) secondary antibodies at 1 in 10000 dilution for 1 hour at room temperature before imaging.

All lanes:

Western blot - Anti-hnRNP A2B1 antibody (ab31645) at 1/500 dilution

Lane 1:

Wild-type HEK293T cell lysate

Lane 2:

HNRNPA2B1 knockout HEK293T cell lysate

Lane 2:

Western blot - Human HNRNPA2B1 knockout HEK-293T cell line (<a href='/en-us/products/cell-lines/human-hnrnpa2b1-knockout-hek-293t-cell-line-ab266404'>ab266404</a>)

Lane 3:

A549 cell lysate at 20 µg

Predicted band size: 37 kDa

Observed band size: 37 kDa

false

Western blot - Anti-hnRNP A2B1 antibody (AB31645)
  • WB

Unknown

Western blot - Anti-hnRNP A2B1 antibody (AB31645)

ab31645 is expected to recognize isoform hnrnp A2 and hnrnp B1. The antibody detects bands at approximately 35 and 38 kDa which are of the correct size to correspond to the predicted molecular weight of these isoforms.

All lanes:

Western blot - Anti-hnRNP A2B1 antibody (ab31645) at 1 µg/mL

All lanes:

HeLa (Human epithelial carcinoma cell line) Whole Cell Lysate at 20 µg

Secondary

All lanes:

Goat polyclonal to Rabbit IgG (Alexa Fluor® 680) at 1/10000 dilution

Predicted band size: 37 kDa

Observed band size: 35 kDa,38 kDa

false

Key facts

Host species

Rabbit

Clonality

Polyclonal

Isotype

IgG

Carrier free

No

Reacts with

Human

Applications

IHC-P, IP, ICC, WB

applications

Immunogen

The exact immunogen used to generate this antibody is proprietary information.

Specificity

The peptide used as the immunogen for this antibody is found within isoform A2 and B1 of the protein and should thus recognize a doublet around 35/37 kDa. From Jan 2024, QC testing of replenishment batches of this polyclonal changed. All tested and expected application and reactive species combinations are still covered by our Abcam product promise. However, we no longer test all applications. For more information on a specific batch, please contact our Scientific Support who will be happy to help.

Reactivity data

{ "title": "Reactivity Data", "filters": { "stats": ["", "Species", "Dilution Info", "Notes"], "tabs": { "all-applications": {"fullname" : "All Applications", "shortname": "All Applications"}, "IHCP" : {"fullname" : "Immunohistochemistry (Formalin/PFA-fixed paraffin-embedded sections)", "shortname":"IHC-P"}, "ICC" : {"fullname" : "Immunocytochemistry", "shortname":"ICC"}, "IP" : {"fullname" : "Immunoprecipitation", "shortname":"IP"}, "WB" : {"fullname" : "Western blot", "shortname":"WB"} }, "product-promise": { "all": "all", "testedAndGuaranteed": "tested", "guaranteed": "expected", "predicted": "predicted", "notRecommended": "not-recommended" } }, "values": { "Human": { "IHCP-species-checked": "guaranteed", "IHCP-species-dilution-info": "1 µg/mL", "IHCP-species-notes": "<p></p> Perform heat-mediated antigen retrieval before commencing with IHC staining protocol.", "ICC-species-checked": "guaranteed", "ICC-species-dilution-info": "5 µg/mL", "ICC-species-notes": "<p></p>", "IP-species-checked": "guaranteed", "IP-species-dilution-info": "", "IP-species-notes": "<p></p>", "WB-species-checked": "testedAndGuaranteed", "WB-species-dilution-info": "1-5 µg/mL", "WB-species-notes": "<p></p>" }, "Mouse": { "IHCP-species-checked": "predicted", "IHCP-species-dilution-info": "", "IHCP-species-notes": "", "ICC-species-checked": "predicted", "ICC-species-dilution-info": "", "ICC-species-notes": "", "IP-species-checked": "predicted", "IP-species-dilution-info": "", "IP-species-notes": "", "WB-species-checked": "predicted", "WB-species-dilution-info": "", "WB-species-notes": "" }, "Rat": { "IHCP-species-checked": "predicted", "IHCP-species-dilution-info": "", "IHCP-species-notes": "", "ICC-species-checked": "predicted", "ICC-species-dilution-info": "", "ICC-species-notes": "", "IP-species-checked": "predicted", "IP-species-dilution-info": "", "IP-species-notes": "", "WB-species-checked": "predicted", "WB-species-dilution-info": "", "WB-species-notes": "" }, "Chicken": { "IHCP-species-checked": "predicted", "IHCP-species-dilution-info": "", "IHCP-species-notes": "", "ICC-species-checked": "predicted", "ICC-species-dilution-info": "", "ICC-species-notes": "", "IP-species-checked": "predicted", "IP-species-dilution-info": "", "IP-species-notes": "", "WB-species-checked": "predicted", "WB-species-dilution-info": "", "WB-species-notes": "" }, "Dog": { "IHCP-species-checked": "predicted", "IHCP-species-dilution-info": "", "IHCP-species-notes": "", "ICC-species-checked": "predicted", "ICC-species-dilution-info": "", "ICC-species-notes": "", "IP-species-checked": "predicted", "IP-species-dilution-info": "", "IP-species-notes": "", "WB-species-checked": "predicted", "WB-species-dilution-info": "", "WB-species-notes": "" }, "Xenopus laevis": { "IHCP-species-checked": "predicted", "IHCP-species-dilution-info": "", "IHCP-species-notes": "", "ICC-species-checked": "predicted", "ICC-species-dilution-info": "", "ICC-species-notes": "", "IP-species-checked": "predicted", "IP-species-dilution-info": "", "IP-species-notes": "", "WB-species-checked": "predicted", "WB-species-dilution-info": "", "WB-species-notes": "" } } }

Properties and storage information

Form
Liquid
Purification technique
Affinity purification Immunogen
Storage buffer
pH: 7.4 Preservative: 0.02% Sodium azide Constituents: PBS, 1% BSA
Shipped at conditions
Blue Ice
Appropriate short-term storage duration
1-2 weeks
Appropriate short-term storage conditions
+4°C
Appropriate long-term storage conditions
-20°C
Aliquoting information
Upon delivery aliquot
Storage information
Avoid freeze / thaw cycle

Supplementary information

This supplementary information is collated from multiple sources and compiled automatically.

HnRNP A2B1 sometimes referred to as heterogeneous nuclear ribonucleoprotein A2/B1 is a multifunctional protein involved in RNA binding and processing. It has a molecular mass of about 38-43 kDa. The protein is expressed in various tissues with high expression levels observed in the brain and liver. hnRNP A2B1 participates in a range of RNA-related processes playing a significant role in mRNA metabolism and transport.
Biological function summary

HnRNP A2B1 contributes to alternative splicing RNA stability and translational regulation. This protein typically associates with complex assemblies that manage RNA processing and transport mechanisms. It interacts with other proteins within the heterogeneous nuclear ribonucleoprotein family collaborating in the regulation of mRNA cycling between the nucleus and cytoplasm affecting gene expression patterns.

Pathways

HnRNP A2B1 exhibits critical involvement in the mRNA splicing pathway and RNA transport pathways. It frequently interacts with proteins such as hnRNP A1 and hnRNP C where they collectively influence pre-mRNA processing and splicing dictating proper RNA maturation and cell function. These pathways are important for maintaining cellular homeostasis and responding to cellular signals.

HnRNP A2B1 is linked to neurodegenerative diseases and certain cancers. Abnormal expression or mutations of hnRNP A2B1 are associated with Alzheimer's disease implicating the protein in amyloid precursor protein processing. Additionally dysregulation of this protein shows correlation with breast cancer progression. Proteins like tau and other hnRNPs connect with hnRNP A2B1 in these conditions suggesting a significant role in pathological states.

Product protocols

For this product, it's our understanding that no specific protocols are required. You can visit:

Target data

Heterogeneous nuclear ribonucleoprotein (hnRNP) that associates with nascent pre-mRNAs, packaging them into hnRNP particles. The hnRNP particle arrangement on nascent hnRNA is non-random and sequence-dependent and serves to condense and stabilize the transcripts and minimize tangling and knotting. Packaging plays a role in various processes such as transcription, pre-mRNA processing, RNA nuclear export, subcellular location, mRNA translation and stability of mature mRNAs (PubMed : 19099192). Forms hnRNP particles with at least 20 other different hnRNP and heterogeneous nuclear RNA in the nucleus. Involved in transport of specific mRNAs to the cytoplasm in oligodendrocytes and neurons : acts by specifically recognizing and binding the A2RE (21 nucleotide hnRNP A2 response element) or the A2RE11 (derivative 11 nucleotide oligonucleotide) sequence motifs present on some mRNAs, and promotes their transport to the cytoplasm (PubMed : 10567417). Specifically binds single-stranded telomeric DNA sequences, protecting telomeric DNA repeat against endonuclease digestion (By similarity). Also binds other RNA molecules, such as primary miRNA (pri-miRNAs) : acts as a nuclear 'reader' of the N6-methyladenosine (m6A) mark by specifically recognizing and binding a subset of nuclear m6A-containing pri-miRNAs. Binding to m6A-containing pri-miRNAs promotes pri-miRNA processing by enhancing binding of DGCR8 to pri-miRNA transcripts (PubMed : 26321680). Involved in miRNA sorting into exosomes following sumoylation, possibly by binding (m6A)-containing pre-miRNAs (PubMed : 24356509). Acts as a regulator of efficiency of mRNA splicing, possibly by binding to m6A-containing pre-mRNAs (PubMed : 26321680). Plays a role in the splicing of pyruvate kinase PKM by binding repressively to sequences flanking PKM exon 9, inhibiting exon 9 inclusion and resulting in exon 10 inclusion and production of the PKM M2 isoform (PubMed : 20010808). Also plays a role in the activation of the innate immune response (PubMed : 31320558). Mechanistically, senses the presence of viral DNA in the nucleus, homodimerizes and is demethylated by JMJD6 (PubMed : 31320558). In turn, translocates to the cytoplasm where it activates the TBK1-IRF3 pathway, leading to interferon alpha/beta production (PubMed : 31320558).. (Microbial infection) Involved in the transport of HIV-1 genomic RNA out of the nucleus, to the microtubule organizing center (MTOC), and then from the MTOC to the cytoplasm : acts by specifically recognizing and binding the A2RE (21 nucleotide hnRNP A2 response element) sequence motifs present on HIV-1 genomic RNA, and promotes its transport.
See full target information HNRNPA2B1

Publications (37)

Recent publications for all applications. Explore the full list and refine your search

Journal of experimental & clinical cancer research : CR 44:188 PubMed40611320

2025

Extracellular vesicle-mediated transmission of circPDLIM5 promotes lymphatic metastasis in prostate cancer.

Applications

Unspecified application

Species

Unspecified reactive species

Tao He,Wen Tao,Jie Zhang,Tao-Lin Xia,Bin Xu,Liao-Yuan Li

NPJ precision oncology 9:80 PubMed40119070

2025

ARRB2 promotes cervical cancer progression via stabilizing CDC25A mRNA through m6A-IGF2BP1-dependent manner.

Applications

Unspecified application

Species

Unspecified reactive species

Lijie Li,Jie Zeng,Mengying Liu,Hui Cheng,Yuyin He,Sili He,Chen Wang

Journal of nanobiotechnology 22:761 PubMed39695778

2024

Exosome-delivered NR2F1-AS1 and NR2F1 drive phenotypic transition from dormancy to proliferation in treatment-resistant prostate cancer via stabilizing hormonal receptors.

Applications

Unspecified application

Species

Unspecified reactive species

Wenbin Chen,Yiyou Mao,YiYuan Zhan,Wenfeng Li,Jun Wu,Xiangming Mao,Bin Xu,Fangpeng Shu

Cell reports 43:114369 PubMed38878288

2024

m6A modification inhibits miRNAs' intracellular function, favoring their extracellular export for intercellular communication.

Applications

Unspecified application

Species

Unspecified reactive species

Sabrina Garbo,Daniel D'Andrea,Alessio Colantoni,Francesco Fiorentino,Antonello Mai,Andres Ramos,Gian Gaetano Tartaglia,Andrea Tancredi,Marco Tripodi,Cecilia Battistelli

Molecular cancer 23:40 PubMed38383439

2024

The therapeutically actionable long non-coding RNA 'T-RECS' is essential to cancer cells' survival in NRAS/MAPK-driven melanoma.

Applications

Unspecified application

Species

Unspecified reactive species

Valentin Feichtenschlager,Linan Chen,Yixuan James Zheng,Wilson Ho,Martina Sanlorenzo,Igor Vujic,Eleanor Fewings,Albert Lee,Christopher Chen,Ciara Callanan,Kevin Lin,Tiange Qu,Dasha Hohlova,Marin Vujic,Yeonjoo Hwang,Kevin Lai,Stephanie Chen,Thuan Nguyen,Denise P Muñoz,Yoshinori Kohwi,Christian Posch,Adil Daud,Klemens Rappersberger,Terumi Kohwi-Shigematsu,Jean-Philippe Coppé,Susana Ortiz-Urda

IUBMB life 76:437-450 PubMed38265150

2024

HNRNPA2B1 promotes oral squamous cell carcinogenesis via mA-dependent stabilization of FOXQ1 mRNA stability.

Applications

Unspecified application

Species

Unspecified reactive species

Xi Wang,Min Zhi,Wei Zhao,Jiayin Deng

Journal of medical virology 96:e29379 PubMed38235617

2024

Vertical mother-to-infant transmission of herpes simplex virus 2 is correlated with tropism due to mutations in viral UL13.

Applications

Unspecified application

Species

Unspecified reactive species

Kimiyasu Shiraki,Tohru Daikoku,Mark N Prichard,Koma Matsuo,Tomoko Okuda,Yoshihiro Yoshida,Masaya Takemoto,Kenji Takeuchi,Kiyonao Sada,Richard Whitley,Takashi Kawana

Molecular cancer 22:117 PubMed37481520

2023

Extracellular vesicle-circEHD2 promotes the progression of renal cell carcinoma by activating cancer-associated fibroblasts.

Applications

Unspecified application

Species

Unspecified reactive species

Tao He,Qiansheng Zhang,Peng Xu,Wen Tao,Fuyang Lin,Renfei Liu,Mingzhao Li,Xiaolu Duan,Chao Cai,Di Gu,Guohua Zeng,Yongda Liu

Cellular and molecular life sciences : CMLS 80:156 PubMed37208565

2023

CSNK1D-mediated phosphorylation of HNRNPA2B1 induces miR-25-3p/miR-93-5p maturation to promote prostate cancer cell proliferation and migration through mA-dependent manner.

Applications

Unspecified application

Species

Unspecified reactive species

Feng Qi,Wenyi Shen,Xiyi Wei,Yifei Cheng,Fan Xu,Yuxiao Zheng,Lu Li,Chao Qin,Xiao Li

Molecular medicine (Cambridge, Mass.) 29:1 PubMed36604626

2023

LINC00963 promotes the malignancy and metastasis of lung adenocarcinoma by stabilizing Zeb1 and exosomes-induced M2 macrophage polarization.

Applications

Unspecified application

Species

Unspecified reactive species

Ronghang Hu,Baobin Xu,Jiajun Ma,Linfeng Li,Liming Zhang,Li Wang,Jiebo Zhu,Tao Guo,Heng Zhang,Shaoqiang Wang
View all publications

Product promise

We are committed to supporting your work with high-quality reagents, and we're here for you every step of the way. In the unlikely event that one of our products does not perform as expected, you're protected by our Product Promise.
For full details, please see our Terms & Conditions

Please note: All products are 'FOR RESEARCH USE ONLY. NOT FOR USE IN DIAGNOSTIC OR THERAPEUTIC PROCEDURES'.

For licensing inquiries, please contact partnerships@abcam.com