JavaScript is disabled in your browser. Please enable JavaScript to view this website.
AB283592

Anti-hnRNP A2B1 antibody [EPR24002-81] - BSA and Azide free

  • BOND RX™ Validated
  • RabMAb
  • Recombinant
  • KO Validated
  • What is this?

Be the first to review this product! Submit a review

|

(2 Publications)

Rabbit Recombinant Monoclonal hnRNP A2B1 antibody. Carrier free. Suitable for IHC-Fr, IHC-P, WB, ICC/IF, Flow Cyt (Intra) and reacts with Mouse, Human, Rat samples. Cited in 2 publications.

View Alternative Names

HNRPA2B1, HNRNPA2B1, Heterogeneous nuclear ribonucleoproteins A2/B1, hnRNP A2/B1

13 Images
Immunohistochemistry (Frozen sections) - Anti-hnRNP A2B1 antibody [EPR24002-81] - BSA and Azide free (AB283592)
  • IHC-Fr

Lab

Immunohistochemistry (Frozen sections) - Anti-hnRNP A2B1 antibody [EPR24002-81] - BSA and Azide free (AB283592)

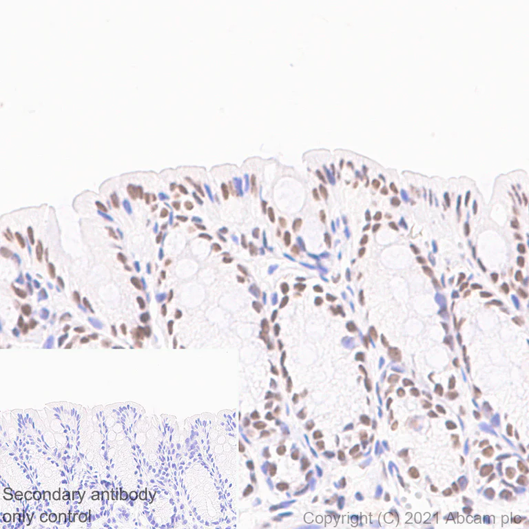
IHC image of hnRNP A2B1 staining in a section of frozen normal human uterus performed on a Leica Biosystems BOND® RX instrument using the standard protocol. The section was fixed in 10% paraformaldehyde (10 min) prior to staining. The section was incubated with ab259894, 0.05 μg/ml, for 15 mins at room temperature and detected using an HRP conjugated compact polymer system. DAB was used as the chromogen. The section was then counterstained with haematoxylin and mounted with DPX. The inset secondary-only control image is taken from an identical assay without primary antibody. For other IHC staining systems (automated and non-automated) customers should optimize variable parameters such as antigen retrieval conditions, primary antibody concentration and antibody incubation times. Tissue obtained from the Human Research Tissue Bank, supported by the NIHR Cambridge Biomedical Research Centre. This data was developed using ab259894, the same antibody clone in a different buffer formulation.

Immunohistochemistry (Formalin/PFA-fixed paraffin-embedded sections) - Anti-hnRNP A2B1 antibody [EPR24002-81] - BSA and Azide free (AB283592)
  • IHC-P

Supplier Data

Immunohistochemistry (Formalin/PFA-fixed paraffin-embedded sections) - Anti-hnRNP A2B1 antibody [EPR24002-81] - BSA and Azide free (AB283592)

This data was developed using ab259894, the same antibody clone in a different buffer formulation.

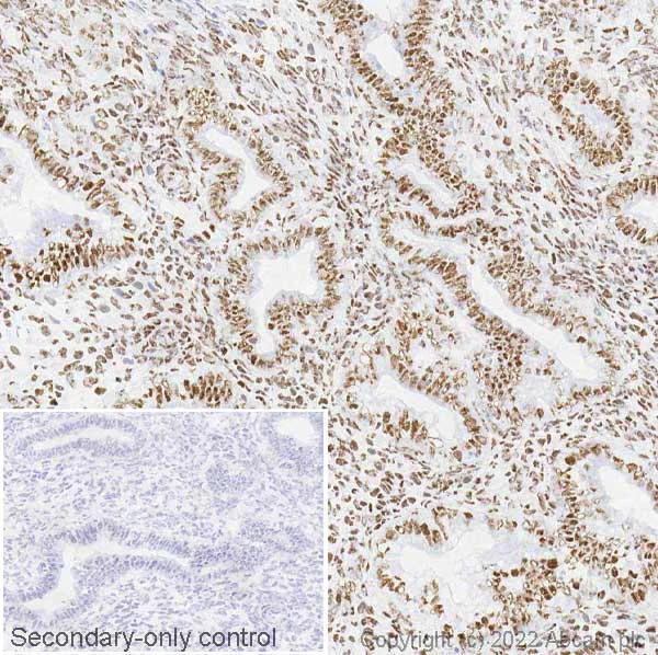
Immunohistochemical analysis of paraffin-embedded Human colon tissue labelling hnRNP A2B1 with ab259894 at 1/5000 (0.105 ug/ml) dilution followed by a ready to use LeicaDS9800 (Bond™ Polymer Refine Detection). Nuclear staining on human colon. The section was incubated with ab259894 for 10 mins at room temperature. The immunostaining was performed on a Leica Biosystems BOND® RX instrument Counterstained with Hematoxylin.

Secondary antibody only control : Secondary antibody is a ready to use LeicaDS9800 (Bond™ Polymer Refine Detection).

Heat mediated antigen retrieval with Citrate buffer (pH 6.0, epitope retrieval solution 1) for 10 mins

Flow Cytometry (Intracellular) - Anti-hnRNP A2B1 antibody [EPR24002-81] - BSA and Azide free (AB283592)
  • Flow Cyt (Intra)

Supplier Data

Flow Cytometry (Intracellular) - Anti-hnRNP A2B1 antibody [EPR24002-81] - BSA and Azide free (AB283592)

This data was developed using ab259894, the same antibody clone in a different buffer formulation.

Flow cytometric analysis of 4% paraformaldehyde fixed 90% methanol permeabilized Wild-type HEK-293T (human embryonic kidney epithelial cell) (Right) and hnRNP A2B1 knockout HEK-293T cells (Left) cells labelling hnRNP A2B1 with ab259894 at 1/500 dilution (0.1ug) (Red) compared with a Rabbit monoclonal IgG (ab172730) (Black) isotype control and an unlabelled control (cells without incubation with primary antibody and secondary antibody) (Blue). A Goat F(ab')2 Anti-Rabbit IgG (DyLight® 488, ab98507) at 1/500 dilution was used as the secondary antibody. Positive staining on 293T cells (ab255449), while no staining on hnRNP A2B1 knockout HEK-293T cells (ab266404).

Immunocytochemistry/ Immunofluorescence - Anti-hnRNP A2B1 antibody [EPR24002-81] - BSA and Azide free (AB283592)
  • ICC/IF

Supplier Data

Immunocytochemistry/ Immunofluorescence - Anti-hnRNP A2B1 antibody [EPR24002-81] - BSA and Azide free (AB283592)

This data was developed using ab259894, the same antibody clone in a different buffer formulation.

Immunofluorescent analysis of 4% Paraformaldehyde-fixed, 0.1% TritonX-100 permeabilized 293T cells labelling hnRNP A2B1 with ab259894 at 1/1000 (0.525 ug/mL) dilution, followed by Goat Anti-Rabbit IgG H&L (Alexa Fluor® 488) (ab150081) preadsorbed antibody at 1/1000 (2 ug/mL) dilution (Green). Confocal image showing nuclear staining in 293T cells and nearly no staining in HNRNPA2B1 knockout 293T cells. ab195889 Anti-alpha Tubulin mouse monoclonal antibody - Microtubule Marker (Alexa Fluor® 594) was used to counterstain tubulin at 1/200 (2.5 ug/mL) dilution (Red). The Nuclear counterstain was DAPI (Blue).

Secondary antibody only control : Secondary antibody is Goat Anti-Rabbit IgG H&L (Alexa Fluor® 488) (ab150081) preadsorbed at 1/1000 (2 ug/mL) dilution.

Immunohistochemistry (Frozen sections) - Anti-hnRNP A2B1 antibody [EPR24002-81] - BSA and Azide free (AB283592)
  • IHC-Fr

Lab

Immunohistochemistry (Frozen sections) - Anti-hnRNP A2B1 antibody [EPR24002-81] - BSA and Azide free (AB283592)

IHC image of hnRNP A2B1 staining in a section of frozen normal human colon performed on a Leica Biosystems BOND® RX instrument using the standard protocol. The section was fixed in 10% paraformaldehyde (10 min) prior to staining. The section was incubated with ab259894, 0.05 μg/ml, for 15 mins at room temperature and detected using an HRP conjugated compact polymer system. DAB was used as the chromogen. The section was then counterstained with haematoxylin and mounted with DPX. The inset secondary-only control image is taken from an identical assay without primary antibody. For other IHC staining systems (automated and non-automated) customers should optimize variable parameters such as antigen retrieval conditions, primary antibody concentration and antibody incubation times. This data was developed using ab259894, the same antibody clone in a different buffer formulation.

Immunohistochemistry (Frozen sections) - Anti-hnRNP A2B1 antibody [EPR24002-81] - BSA and Azide free (AB283592)
  • IHC-Fr

Lab

Immunohistochemistry (Frozen sections) - Anti-hnRNP A2B1 antibody [EPR24002-81] - BSA and Azide free (AB283592)

IHC image of hnRNP A2B1 staining in a section of frozen normal mouse large intestine performed on a Leica Biosystems BOND® RX instrument using the standard protocol. The section was fixed in 10% paraformaldehyde (10 min) prior to staining. The section was incubated with ab259894, 0.05 μg/ml, for 15 mins at room temperature and detected using an HRP conjugated compact polymer system. DAB was used as the chromogen. The section was then counterstained with haematoxylin and mounted with DPX. The inset secondary-only control image is taken from an identical assay without primary antibody. For other IHC staining systems (automated and non-automated) customers should optimize variable parameters such as antigen retrieval conditions, primary antibody concentration and antibody incubation times. This data was developed using ab259894, the same antibody clone in a different buffer formulation.

Immunohistochemistry (Frozen sections) - Anti-hnRNP A2B1 antibody [EPR24002-81] - BSA and Azide free (AB283592)
  • IHC-Fr

Lab

Immunohistochemistry (Frozen sections) - Anti-hnRNP A2B1 antibody [EPR24002-81] - BSA and Azide free (AB283592)

IHC image of hnRNP A2B1 staining in a section of frozen normal mouse testis performed on a Leica Biosystems BOND® RX instrument using the standard protocol. The section was fixed in 10% paraformaldehyde (10 min) prior to staining. The section was incubated with ab259894, 0.05 μg/ml, for 15 mins at room temperature and detected using an HRP conjugated compact polymer system. DAB was used as the chromogen. The section was then counterstained with haematoxylin and mounted with DPX. The inset secondary-only control image is taken from an identical assay without primary antibody. For other IHC staining systems (automated and non-automated) customers should optimize variable parameters such as antigen retrieval conditions, primary antibody concentration and antibody incubation times. This data was developed using ab259894, the same antibody clone in a different buffer formulation.

Immunohistochemistry (Formalin/PFA-fixed paraffin-embedded sections) - Anti-hnRNP A2B1 antibody [EPR24002-81] - BSA and Azide free (AB283592)
  • IHC-P

Supplier Data

Immunohistochemistry (Formalin/PFA-fixed paraffin-embedded sections) - Anti-hnRNP A2B1 antibody [EPR24002-81] - BSA and Azide free (AB283592)

This data was developed using ab259894, the same antibody clone in a different buffer formulation.

Immunohistochemical analysis of paraffin-embedded Rat colon tissue labelling hnRNP A2B1 with ab259894 at 1/5000 (0.105 ug/ml) dilution followed by a ready to use LeicaDS9800 (Bond™ Polymer Refine Detection). Nuclear staining on rat colon. The section was incubated with ab259894 for 10 mins at room temperature. The immunostaining was performed on a Leica Biosystems BOND® RX instrument Counterstained with Hematoxylin.

Secondary antibody only control : Secondary antibody is a ready to use LeicaDS9800 (Bond™ Polymer Refine Detection).

Heat mediated antigen retrieval with Citrate buffer (pH 6.0, epitope retrieval solution 1) for 10 mins

Immunocytochemistry/ Immunofluorescence - Anti-hnRNP A2B1 antibody [EPR24002-81] - BSA and Azide free (AB283592)
  • ICC/IF

Supplier Data

Immunocytochemistry/ Immunofluorescence - Anti-hnRNP A2B1 antibody [EPR24002-81] - BSA and Azide free (AB283592)

This data was developed using ab259894, the same antibody clone in a different buffer formulation.

Immunofluorescent analysis of 4% Paraformaldehyde-fixed, 0.1% TritonX-100 permeabilized NIH/3T3 cells labelling hnRNP A2B1 with ab259894 at 1/1000 (0.525 ug/mL) dilution, followed by Goat Anti-Rabbit IgG H&L (Alexa Fluor® 488) (ab150081) preadsorbed antibody at 1/1000 (2 ug/mL) dilution (Green). Confocal image showing nuclear staining in NIH/3T3 cells. ab195889 Anti-alpha Tubulin mouse monoclonal antibody - Microtubule Marker (Alexa Fluor® 594) was used to counterstain tubulin at 1/200 (2.5 ug/mL) dilution (Red). The Nuclear counterstain was DAPI (Blue).

Secondary antibody only control : Secondary antibody is Goat Anti-Rabbit IgG H&L (Alexa Fluor® 488) (ab150081) preadsorbed at 1/1000 (2 ug/mL) dilution.

Flow Cytometry (Intracellular) - Anti-hnRNP A2B1 antibody [EPR24002-81] - BSA and Azide free (AB283592)
  • Flow Cyt (Intra)

Supplier Data

Flow Cytometry (Intracellular) - Anti-hnRNP A2B1 antibody [EPR24002-81] - BSA and Azide free (AB283592)

This data was developed using ab259894, the same antibody clone in a different buffer formulation.

Flow cytometric analysis of 4% paraformaldehyde fixed 90% methanol permeabilized NIH/3T3 (Mouse embryonic fibroblast) cells labelling hnRNP A2B1 with ab259894 at 1/500 dilution (0.1ug) (Red) compared with a Rabbit monoclonal IgG (ab172730) (Black) isotype control and an unlabelled control (cells without incubation with primary antibody and secondary antibody) (Blue). A Goat F(ab')2 Anti-Rabbit IgG(DyLight® 488, ab98507) at 1/500 dilution was used as the secondary antibody.

Immunohistochemistry (Formalin/PFA-fixed paraffin-embedded sections) - Anti-hnRNP A2B1 antibody [EPR24002-81] - BSA and Azide free (AB283592)
  • IHC-P

Supplier Data

Immunohistochemistry (Formalin/PFA-fixed paraffin-embedded sections) - Anti-hnRNP A2B1 antibody [EPR24002-81] - BSA and Azide free (AB283592)

This data was developed using ab259894, the same antibody clone in a different buffer formulation.

Immunohistochemical analysis of paraffin-embedded Mouse colon tissue labelling hnRNP A2B1 with ab259894 at 1/5000 (0.105 ug/ml) dilution followed by a ready to use LeicaDS9800 (Bond™ Polymer Refine Detection). Nuclear staining on mouse colon. The section was incubated with ab259894 for 10 mins at room temperature. The immunostaining was performed on a Leica Biosystems BOND® RX instrument Counterstained with Hematoxylin.

Secondary antibody only control : Secondary antibody is a ready to use LeicaDS9800 (Bond™ Polymer Refine Detection).

Heat mediated antigen retrieval with Citrate buffer (pH 6.0, epitope retrieval solution 1) for 10 mins

Western blot - Anti-hnRNP A2B1 antibody [EPR24002-81] - BSA and Azide free (AB283592)
  • WB

Lab

Western blot - Anti-hnRNP A2B1 antibody [EPR24002-81] - BSA and Azide free (AB283592)

This data was developed using ab259894, the same antibody clone in a different buffer formulation.

Blocking and diluting buffer and concentration : 5% NFDM/TBST

Exposure time : 26 seconds

All lanes:

Western blot - Anti-hnRNP A2B1 antibody [EPR24002-81] (<a href='/en-us/products/primary-antibodies/hnrnp-a2b1-antibody-epr24002-81-ab259894'>ab259894</a>) at 1/1000 dilution

Lane 1:

HeLa (human cervix adenocarcinoma epithelial cell), whole cell lysate at 20 µg

Lane 2:

A431 (human epidermoid carcinoma epithelial cell), whole cell lysate at 20 µg

Lane 3:

MCF7 (human breast adenocarcinoma epithelial cell), whole cell lysate at 20 µg

Lane 4:

K562 (human chronic myelogenous leukemia lymphoblast), whole cell lysate at 20 µg

Lane 5:

HepG2 (human hepatocellar carcinoma epithelial cell), whole cell lysate at 20 µg

Lane 6:

NIH/3T3 (mouse embryonic fibroblast), whole cell lysate at 20 µg

Lane 7:

RAW264.7 (mouse Abelson murine leukemia virus-induced tumor macrophage), whole cell lysate at 20 µg

Lane 8:

PC-12 (rat adrenal gland pheochromocytoma), whole cell lysate at 20 µg

Secondary

All lanes:

Goat Anti-Rabbit IgG, (H+L), Peroxidase conjugated (<a href='/en-us/products/secondary-antibodies/goat-rabbit-igg-h-l-hrp-ab97051'>ab97051</a>) at 1/100000 dilution

Predicted band size: 37 kDa

Observed band size: 36 kDa,38 kDa

false

Western blot - Anti-hnRNP A2B1 antibody [EPR24002-81] - BSA and Azide free (AB283592)
  • WB

Lab

Western blot - Anti-hnRNP A2B1 antibody [EPR24002-81] - BSA and Azide free (AB283592)

This data was developed using ab259894, the same antibody clone in a different buffer formulation.

Blocking and diluting buffer and concentration : Intercept® (TBS) Blocking Buffer diluted with an equal volume of 0.1% TBS

Lanes 1- 4 : Merged signal (red and green). Green - ab259894 observed at 36/38kDa. Red - loading control ab7291 (Mouse monoclonal [DM1A] to alpha Tubulin) observed at 50 kDa.

Lanes 1-2 : ab259894 Anti-hnRNP A2B1 antibody was shown to react with hnRNP A2B1 in HEK-293T cells in Western blot. Loss of signal was observed when hnRNP A2B1 knockout cell line ab266404 (knockout cell lysate ab257224) was used. Wild-type and hnRNP A2B1 knockout samples were subjected to SDS-PAGE.

ab259894 and Anti-alpha Tubulin antibody [DM1A] - Loading Control (ab7291) were incubated at 4°C overnight at 1 in 1000 dilution and 1 in 20000 dilution respectively. Blots were developed with Goat Anti-Rabbit IgG H&L (IRDye® 800CW) (ab216773) and Goat Anti-Mouse IgG H&L (IRDye® 680RD) (ab216776) secondary antibodies at 1 in 10000 dilution for 1 hour at room temperature before imaging.

All lanes:

Western blot - Anti-hnRNP A2B1 antibody [EPR24002-81] (<a href='/en-us/products/primary-antibodies/hnrnp-a2b1-antibody-epr24002-81-ab259894'>ab259894</a>) at 1/1000 dilution

Lane 1:

Wild-type HEK-293T (human embryonic kidney epithelial cell), whole cell lysate at 20 µg

Lane 2:

hnRNP A2B1 knockout HEK-293T (human embryonic kidney epithelial cell), whole cell lysate at 20 µg

Lane 2:

Western blot - Human HNRNPA2B1 knockout HEK-293T cell line (<a href='/en-us/products/cell-lines/human-hnrnpa2b1-knockout-hek-293t-cell-line-ab266404'>ab266404</a>)

Lane 3:

HeLa (human cervix adenocarcinoma epithelial cell), whole cell lysate at 20 µg

Lane 4:

A431 (human epidermoid carcinoma epithelial cell), whole cell lysate at 20 µg

Lane 5:

K562 (human chronic myelogenous leukemia lymphoblast), whole cell lysate at 20 µg

Secondary

All lanes:

Goat Anti-Rabbit IgG H&L (IRDye® 800CW) (<a href='/en-us/products/secondary-antibodies/goat-rabbit-igg-h-l-irdye-800cw-preadsorbed-ab216773'>ab216773</a>) and Goat Anti-Mouse IgG H&L (IRDye® 680RD) (<a href='/en-us/products/secondary-antibodies/goat-mouse-igg-h-l-irdye-680rd-preadsorbed-ab216776'>ab216776</a>) at 1/10000 dilution

Predicted band size: 37 kDa

Observed band size: 36 kDa,38 kDa

false

Key facts

Host species

Rabbit

Clonality

Monoclonal

Clone number

EPR24002-81

Isotype

IgG

Carrier free

Yes

Reacts with

Rat, Mouse, Human

Applications

IHC-Fr, ICC/IF, WB, Flow Cyt (Intra), IHC-P

applications

Immunogen

The exact immunogen used to generate this antibody is proprietary information.

Reactivity data

{ "title": "Reactivity Data", "filters": { "stats": ["", "Species", "Dilution Info", "Notes"], "tabs": { "all-applications": {"fullname" : "All Applications", "shortname": "All Applications"}, "IHCFr" : {"fullname" : "Immunohistochemistry (Frozen sections)", "shortname":"IHC-Fr"}, "IHCP" : {"fullname" : "Immunohistochemistry (Formalin/PFA-fixed paraffin-embedded sections)", "shortname":"IHC-P"}, "IP" : {"fullname" : "Immunoprecipitation", "shortname":"IP"}, "WB" : {"fullname" : "Western blot", "shortname":"WB"}, "ICCIF" : {"fullname" : "Immunocytochemistry/ Immunofluorescence", "shortname":"ICC/IF"}, "FlowCytIntra" : {"fullname" : "Flow Cytometry (Intracellular)", "shortname":"Flow Cyt (Intra)"} }, "product-promise": { "all": "all", "testedAndGuaranteed": "tested", "guaranteed": "expected", "predicted": "predicted", "notRecommended": "not-recommended" } }, "values": { "Human": { "IHCFr-species-checked": "testedAndGuaranteed", "IHCFr-species-dilution-info": "", "IHCFr-species-notes": "<p></p>", "IHCP-species-checked": "testedAndGuaranteed", "IHCP-species-dilution-info": "", "IHCP-species-notes": "<p></p>", "IP-species-checked": "notRecommended", "IP-species-dilution-info": "", "IP-species-notes": "<p></p>", "WB-species-checked": "testedAndGuaranteed", "WB-species-dilution-info": "", "WB-species-notes": "<p></p>", "ICCIF-species-checked": "testedAndGuaranteed", "ICCIF-species-dilution-info": "", "ICCIF-species-notes": "<p></p>", "FlowCytIntra-species-checked": "testedAndGuaranteed", "FlowCytIntra-species-dilution-info": "", "FlowCytIntra-species-notes": "<p></p>" }, "Mouse": { "IHCFr-species-checked": "testedAndGuaranteed", "IHCFr-species-dilution-info": "", "IHCFr-species-notes": "<p></p>", "IHCP-species-checked": "testedAndGuaranteed", "IHCP-species-dilution-info": "", "IHCP-species-notes": "<p></p>", "IP-species-checked": "notRecommended", "IP-species-dilution-info": "", "IP-species-notes": "<p></p>", "WB-species-checked": "testedAndGuaranteed", "WB-species-dilution-info": "", "WB-species-notes": "<p></p>", "ICCIF-species-checked": "testedAndGuaranteed", "ICCIF-species-dilution-info": "", "ICCIF-species-notes": "<p></p>", "FlowCytIntra-species-checked": "testedAndGuaranteed", "FlowCytIntra-species-dilution-info": "", "FlowCytIntra-species-notes": "<p></p>" }, "Rat": { "IHCFr-species-checked": "guaranteed", "IHCFr-species-dilution-info": "", "IHCFr-species-notes": "", "IHCP-species-checked": "testedAndGuaranteed", "IHCP-species-dilution-info": "", "IHCP-species-notes": "<p></p>", "IP-species-checked": "notRecommended", "IP-species-dilution-info": "", "IP-species-notes": "", "WB-species-checked": "testedAndGuaranteed", "WB-species-dilution-info": "", "WB-species-notes": "<p></p>", "ICCIF-species-checked": "guaranteed", "ICCIF-species-dilution-info": "", "ICCIF-species-notes": "", "FlowCytIntra-species-checked": "guaranteed", "FlowCytIntra-species-dilution-info": "", "FlowCytIntra-species-notes": "" } } }

Product details

ab283592 is the carrier-free version of ab259894.

Patented technology
Our RabMAb® technology is a patented hybridoma-based technology for making rabbit monoclonal antibodies. For details on our patents, please refer to RabMAb® patents.

What are the advantages of a recombinant monoclonal antibody?
This product is a recombinant monoclonal antibody, which offers several advantages including:

  • - High batch-to-batch consistency and reproducibility
  • - Improved sensitivity and specificity
  • - Long-term security of supply
  • - Animal-free batch production

For more information, read more on recombinant antibodies.

Conjugation ready
Our carrier-free antibodies are typically supplied in a PBS-only formulation, purified and free of BSA, sodium azide and glycerol. This conjugation-ready format is designed for use with fluorochromes, metal isotopes, oligonucleotides, and enzymes, which makes them ideal for antibody labelling, functional and cell-based assays, flow-based assays (e.g. mass cytometry) and Multiplex Imaging applications.

Use our conjugation kits for antibody conjugates that are ready-to-use in as little as 20 minutes with 1 minute hands-on-time and 100% antibody recovery: available for fluorescent dyes, HRP, biotin and gold.

Compatibility
This product is compatible with the Maxpar® Antibody Labeling Kit from Fluidigm, without the need for antibody preparation. Maxpar® is a trademark of Fluidigm Canada Inc.

Properties and storage information

Form
Liquid
Purification technique
Affinity purification Protein A
Storage buffer
pH: 7.2 - 7.4 Constituents: PBS
Shipped at conditions
Blue Ice
Appropriate short-term storage conditions
+4°C
Appropriate long-term storage conditions
+4°C

Supplementary information

This supplementary information is collated from multiple sources and compiled automatically.

HnRNP A2B1 sometimes referred to as heterogeneous nuclear ribonucleoprotein A2/B1 is a multifunctional protein involved in RNA binding and processing. It has a molecular mass of about 38-43 kDa. The protein is expressed in various tissues with high expression levels observed in the brain and liver. hnRNP A2B1 participates in a range of RNA-related processes playing a significant role in mRNA metabolism and transport.
Biological function summary

HnRNP A2B1 contributes to alternative splicing RNA stability and translational regulation. This protein typically associates with complex assemblies that manage RNA processing and transport mechanisms. It interacts with other proteins within the heterogeneous nuclear ribonucleoprotein family collaborating in the regulation of mRNA cycling between the nucleus and cytoplasm affecting gene expression patterns.

Pathways

HnRNP A2B1 exhibits critical involvement in the mRNA splicing pathway and RNA transport pathways. It frequently interacts with proteins such as hnRNP A1 and hnRNP C where they collectively influence pre-mRNA processing and splicing dictating proper RNA maturation and cell function. These pathways are important for maintaining cellular homeostasis and responding to cellular signals.

HnRNP A2B1 is linked to neurodegenerative diseases and certain cancers. Abnormal expression or mutations of hnRNP A2B1 are associated with Alzheimer's disease implicating the protein in amyloid precursor protein processing. Additionally dysregulation of this protein shows correlation with breast cancer progression. Proteins like tau and other hnRNPs connect with hnRNP A2B1 in these conditions suggesting a significant role in pathological states.

Product protocols

For this product, it's our understanding that no specific protocols are required. You can visit:

Target data

Heterogeneous nuclear ribonucleoprotein (hnRNP) that associates with nascent pre-mRNAs, packaging them into hnRNP particles. The hnRNP particle arrangement on nascent hnRNA is non-random and sequence-dependent and serves to condense and stabilize the transcripts and minimize tangling and knotting. Packaging plays a role in various processes such as transcription, pre-mRNA processing, RNA nuclear export, subcellular location, mRNA translation and stability of mature mRNAs (PubMed : 19099192). Forms hnRNP particles with at least 20 other different hnRNP and heterogeneous nuclear RNA in the nucleus. Involved in transport of specific mRNAs to the cytoplasm in oligodendrocytes and neurons : acts by specifically recognizing and binding the A2RE (21 nucleotide hnRNP A2 response element) or the A2RE11 (derivative 11 nucleotide oligonucleotide) sequence motifs present on some mRNAs, and promotes their transport to the cytoplasm (PubMed : 10567417). Specifically binds single-stranded telomeric DNA sequences, protecting telomeric DNA repeat against endonuclease digestion (By similarity). Also binds other RNA molecules, such as primary miRNA (pri-miRNAs) : acts as a nuclear 'reader' of the N6-methyladenosine (m6A) mark by specifically recognizing and binding a subset of nuclear m6A-containing pri-miRNAs. Binding to m6A-containing pri-miRNAs promotes pri-miRNA processing by enhancing binding of DGCR8 to pri-miRNA transcripts (PubMed : 26321680). Involved in miRNA sorting into exosomes following sumoylation, possibly by binding (m6A)-containing pre-miRNAs (PubMed : 24356509). Acts as a regulator of efficiency of mRNA splicing, possibly by binding to m6A-containing pre-mRNAs (PubMed : 26321680). Plays a role in the splicing of pyruvate kinase PKM by binding repressively to sequences flanking PKM exon 9, inhibiting exon 9 inclusion and resulting in exon 10 inclusion and production of the PKM M2 isoform (PubMed : 20010808). Also plays a role in the activation of the innate immune response (PubMed : 31320558). Mechanistically, senses the presence of viral DNA in the nucleus, homodimerizes and is demethylated by JMJD6 (PubMed : 31320558). In turn, translocates to the cytoplasm where it activates the TBK1-IRF3 pathway, leading to interferon alpha/beta production (PubMed : 31320558).. (Microbial infection) Involved in the transport of HIV-1 genomic RNA out of the nucleus, to the microtubule organizing center (MTOC), and then from the MTOC to the cytoplasm : acts by specifically recognizing and binding the A2RE (21 nucleotide hnRNP A2 response element) sequence motifs present on HIV-1 genomic RNA, and promotes its transport.
See full target information HNRNPA2B1

Publications (2)

Recent publications for all applications. Explore the full list and refine your search

Journal of translational medicine 22:995 PubMed39497094

2024

PTBP1 crotonylation promotes colorectal cancer progression through alternative splicing-mediated upregulation of the PKM2 gene.

Applications

Unspecified application

Species

Unspecified reactive species

Jia-Yi Hou,Xiao-Ling Wang,Hai-Jiao Chang,Xi-Xing Wang,Shu-Lan Hao,Yu Gao,Gang Li,Li-Juan Gao,Fu-Peng Zhang,Zhi-Jie Wang,Jian-Yun Shi,Ning Li,Ji-Min Cao

Cell death discovery 10:115 PubMed38448424

2024

LSD1 modulates the bone metastasis of breast cancer cells through hnRNPA2B1-mediated sorting of exosomal miRNAs.

Applications

Unspecified application

Species

Unspecified reactive species

Ziyu Liu,Benkai Xin,Nan Zhang,Peipei An,Yueru Shi,Jingtong Yang,Youzhong Wan,Yuquan He,Xin Hu
View all publications

Product promise

We are committed to supporting your work with high-quality reagents, and we're here for you every step of the way. In the unlikely event that one of our products does not perform as expected, you're protected by our Product Promise.
For full details, please see our Terms & Conditions

Please note: All products are 'FOR RESEARCH USE ONLY. NOT FOR USE IN DIAGNOSTIC OR THERAPEUTIC PROCEDURES'.

For licensing inquiries, please contact partnerships@abcam.com