JavaScript is disabled in your browser. Please enable JavaScript to view this website.
AB75822

Anti-hnRNP C1/C2 antibody [EP3034Y]

Be the first to review this product! Submit a review

|

(3 Publications)

Rabbit Monoclonal hnRNP C1 + C2/HNRNPC antibody. Suitable for IHC-P, WB and reacts with Human, Mouse, Rat samples. Cited in 3 publications.

View Alternative Names

HNRPC, HNRNPC, Heterogeneous nuclear ribonucleoproteins C1/C2, hnRNP C1/C2

5 Images
Immunohistochemistry (Formalin/PFA-fixed paraffin-embedded sections) - Anti-hnRNP C1/C2 antibody [EP3034Y] (AB75822)
  • IHC-P

Supplier Data

Immunohistochemistry (Formalin/PFA-fixed paraffin-embedded sections) - Anti-hnRNP C1/C2 antibody [EP3034Y] (AB75822)

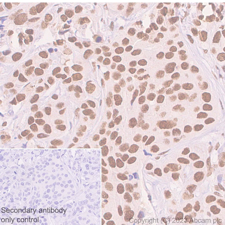
Immunohistochemical analysis of paraffin-embedded Human breast cancer labeling hnRNP C1/C2 with ab75822 at 1/800 dilution (0.589 µg/ml) followed by a ready to use LeicaDS9800 (Bond™ Polymer Refine Detection). The section was incubated with ab75822 for 30 mins at room temperature. The immunostaining was performed on a Leica Biosystems BOND® RX instrument. Counterstained with Hematoxylin. Heat mediated antigen retrieval was performed with Tris-EDTA buffer (pH 9.0, epitope retrieval solution 2) for 20 mins.

Immunohistochemistry (Formalin/PFA-fixed paraffin-embedded sections) - Anti-hnRNP C1/C2 antibody [EP3034Y] (AB75822)
  • IHC-P

Supplier Data

Immunohistochemistry (Formalin/PFA-fixed paraffin-embedded sections) - Anti-hnRNP C1/C2 antibody [EP3034Y] (AB75822)

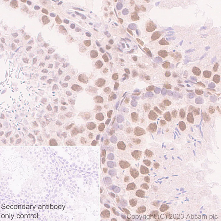
Immunohistochemical analysis of paraffin-embedded Rat testis tissue labeling hnRNP C1/C2 with ab75822 at 1/800 dilution (0.589 µg/ml) followed by a ready to use LeicaDS9800 (Bond™ Polymer Refine Detection). The section was incubated with ab75822 for 30 mins at room temperature. The immunostaining was performed on a Leica Biosystems BOND® RX instrument. Counterstained with Hematoxylin. Heat mediated antigen retrieval was performed with Tris-EDTA buffer (pH 9.0, epitope retrieval solution 2) for 20 mins.

Immunohistochemistry (Formalin/PFA-fixed paraffin-embedded sections) - Anti-hnRNP C1/C2 antibody [EP3034Y] (AB75822)
  • IHC-P

Supplier Data

Immunohistochemistry (Formalin/PFA-fixed paraffin-embedded sections) - Anti-hnRNP C1/C2 antibody [EP3034Y] (AB75822)

Immunohistochemical analysis of paraffin-embedded Mouse testis tissue labeling hnRNP C1/C2 with ab75822 at 1/800 dilution (0.589 µg/ml) followed by a ready to use LeicaDS9800 (Bond™ Polymer Refine Detection). The section was incubated with ab75822 for 30 mins at room temperature. The immunostaining was performed on a Leica Biosystems BOND® RX instrument. Counterstained with Hematoxylin. Heat mediated antigen retrieval was performed with Tris-EDTA buffer (pH 9.0, epitope retrieval solution 2) for 20 mins.

Western blot - Anti-hnRNP C1/C2 antibody [EP3034Y] (AB75822)
  • WB

Supplier Data

Western blot - Anti-hnRNP C1/C2 antibody [EP3034Y] (AB75822)

Blocking and diluting buffer and concentration : 5% NFDM/TBST.

Exposure time : Lane 1, 60 seconds; Lane 2, 5 seconds; Lane 3, 3 seconds.

All lanes:

Western blot - Anti-hnRNP C1/C2 antibody [EP3034Y] (ab75822) at 1/10000 dilution

Lane 1:

Mouse brain lysate at 15 µg

Lane 2:

Rat brain lysate at 15 µg

Lane 3:

HeLa (Human cervix adenocarcinoma epithelial cell) whole lysate at 15 µg

Secondary

All lanes:

Western blot - Goat Anti-Rabbit IgG H&L (HRP) (<a href='/en-us/products/secondary-antibodies/goat-rabbit-igg-h-l-hrp-ab97051'>ab97051</a>) at 1/20000 dilution

Predicted band size: 34 kDa

Observed band size: 34 kDa

false

Western blot - Anti-hnRNP C1/C2 antibody [EP3034Y] (AB75822)
  • WB

Supplier Data

Western blot - Anti-hnRNP C1/C2 antibody [EP3034Y] (AB75822)

Blocking and diluting buffer and concentration : 5% NFDM/TBST.

All lanes:

Western blot - Anti-hnRNP C1/C2 antibody [EP3034Y] (ab75822) at 1/100000 dilution

All lanes:

MCF7(Human breast adenocarcinoma epithelial cell) whole lysate at 15 µg

Secondary

All lanes:

Western blot - Goat Anti-Rabbit IgG H&L (HRP) (<a href='/en-us/products/secondary-antibodies/goat-rabbit-igg-h-l-hrp-ab97051'>ab97051</a>) at 1/20000 dilution

Predicted band size: 34 kDa

Observed band size: 34 kDa

false

Exposure time: 180s

  • Carrier free

    Anti-hnRNP C1/C2 antibody [EP3034Y] - BSA and Azide free

Key facts

Host species

Rabbit

Clonality

Monoclonal

Clone number

EP3034Y

Isotype

IgG

Carrier free

No

Reacts with

Mouse, Rat, Human

Applications

WB, IHC-P

applications

Immunogen

The exact immunogen used to generate this antibody is proprietary information.

Reactivity data

{ "title": "Reactivity Data", "filters": { "stats": ["", "Species", "Dilution Info", "Notes"], "tabs": { "all-applications": {"fullname" : "All Applications", "shortname": "All Applications"}, "IHCP" : {"fullname" : "Immunohistochemistry (Formalin/PFA-fixed paraffin-embedded sections)", "shortname":"IHC-P"}, "WB" : {"fullname" : "Western blot", "shortname":"WB"}, "FlowCyt" : {"fullname" : "Flow Cytometry", "shortname":"Flow Cyt"}, "IP" : {"fullname" : "Immunoprecipitation", "shortname":"IP"} }, "product-promise": { "all": "all", "testedAndGuaranteed": "tested", "guaranteed": "expected", "predicted": "predicted", "notRecommended": "not-recommended" } }, "values": { "Human": { "IHCP-species-checked": "testedAndGuaranteed", "IHCP-species-dilution-info": "1/800", "IHCP-species-notes": "<p></p> Perform heat-mediated antigen retrieval before commencing with IHC staining protocol.", "WB-species-checked": "testedAndGuaranteed", "WB-species-dilution-info": "1/10000", "WB-species-notes": "<p></p>", "FlowCyt-species-checked": "notRecommended", "FlowCyt-species-dilution-info": "", "FlowCyt-species-notes": "<p></p>", "IP-species-checked": "notRecommended", "IP-species-dilution-info": "", "IP-species-notes": "<p></p>" }, "Mouse": { "IHCP-species-checked": "testedAndGuaranteed", "IHCP-species-dilution-info": "1/800", "IHCP-species-notes": "<p></p>", "WB-species-checked": "testedAndGuaranteed", "WB-species-dilution-info": "1/10000", "WB-species-notes": "<p></p>", "FlowCyt-species-checked": "notRecommended", "FlowCyt-species-dilution-info": "", "FlowCyt-species-notes": "", "IP-species-checked": "notRecommended", "IP-species-dilution-info": "", "IP-species-notes": "" }, "Rat": { "IHCP-species-checked": "testedAndGuaranteed", "IHCP-species-dilution-info": "1/800", "IHCP-species-notes": "<p></p>", "WB-species-checked": "testedAndGuaranteed", "WB-species-dilution-info": "1/10000", "WB-species-notes": "<p></p>", "FlowCyt-species-checked": "notRecommended", "FlowCyt-species-dilution-info": "", "FlowCyt-species-notes": "", "IP-species-checked": "notRecommended", "IP-species-dilution-info": "", "IP-species-notes": "" } } }

Product details

This product has switched from a hybridoma to recombinant production method on 23rd February 2024.

Patented technology
Our RabMAb® technology is a patented hybridoma-based technology for making rabbit monoclonal antibodies. For details on our patents, please refer to RabMAb® patents.

What are the advantages of a recombinant monoclonal antibody?
This product is a recombinant monoclonal antibody, which offers several advantages including:

  • - High batch-to-batch consistency and reproducibility
  • - Improved sensitivity and specificity
  • - Long-term security of supply
  • - Animal-free batch production

For more information, read more on recombinant antibodies.

Properties and storage information

Form
Liquid
Purification technique
Affinity purification Protein A
Storage buffer
pH: 7.2 - 7.4 Preservative: 0.01% Sodium azide Constituents: PBS, 40% Glycerol (glycerin, glycerine), 0.05% BSA
Shipped at conditions
Blue Ice
Appropriate short-term storage conditions
+4°C
Appropriate long-term storage conditions
-20°C
Storage information
Stable for 12 months at -20°C

Supplementary information

This supplementary information is collated from multiple sources and compiled automatically.

HnRNP C1/C2 also known as heterogeneous nuclear ribonucleoprotein C comprises two alternatively spliced proteins C1 protein and C2 protein which have molecular weights of approximately 39 kDa and 41 kDa respectively. These proteins function mainly in the nucleus and are expressed ubiquitously in various tissues. They play a fundamental role in mRNA processing including pre-mRNA splicing polyadenylation and stabilization. As components of the hnRNP complex they bind to nascent RNA transcripts to regulate their maturation and transport.
Biological function summary

HnRNP C1/C2 participates in the assembly of large ribonucleoprotein complexes that are essential for mRNA metabolism. It acts as a core component of the spliceosome machinery where it influences the alternative splicing of pre-mRNA. Apart from its structural role hnRNP C1/C2 may contribute to the proper assembly and functioning of splicing factors and other proteins such as 4f4 within the nucleus suggesting its important role in gene expression regulation.

Pathways

HnRNP C1/C2 is involved in the RNA processing pathway directly impacting mRNA export and stability. By interacting with other proteins such as serine/arginine-rich splicing factors it modulates the splicing accuracy and efficiency of various transcripts. This participation in the spliceosome pathway emphasizes its importance in ensuring efficient gene expression and processing. hnRNP C1/C2 might also interact with various transcription machinery components linking RNA processing to transcriptional regulation.

HnRNP C1/C2 links to neurological diseases and certain cancers. In neurological disorders misregulation of hnRNP C1/C2 can result in aberrant mRNA splicing which may contribute to the pathogenesis of diseases like spinal muscular atrophy. Its involvement in cancer is related to its ability to modulate gene expression and cellular proliferation often observed in tumors with disrupted mRNA processing pathways. HnRNP C1/C2 interactions with proteins such as the tumor suppressor p53 may influence cell cycle regulation and contribute to tumor progression.

Product protocols

For this product, it's our understanding that no specific protocols are required. You can visit:

Target data

Binds pre-mRNA and nucleates the assembly of 40S hnRNP particles (PubMed : 8264621). Interacts with poly-U tracts in the 3'-UTR or 5'-UTR of mRNA and modulates the stability and the level of translation of bound mRNA molecules (PubMed : 12509468, PubMed : 16010978, PubMed : 7567451, PubMed : 8264621). Single HNRNPC tetramers bind 230-240 nucleotides. Trimers of HNRNPC tetramers bind 700 nucleotides (PubMed : 8264621). May play a role in the early steps of spliceosome assembly and pre-mRNA splicing. N6-methyladenosine (m6A) has been shown to alter the local structure in mRNAs and long non-coding RNAs (lncRNAs) via a mechanism named 'm(6)A-switch', facilitating binding of HNRNPC, leading to regulation of mRNA splicing (PubMed : 25719671).
See full target information HNRNPC

Publications (3)

Recent publications for all applications. Explore the full list and refine your search

Cell death & disease 12:764 PubMed34344861

2021

Alternatively spliced ANLN isoforms synergistically contribute to the progression of head and neck squamous cell carcinoma.

Applications

Unspecified application

Species

Unspecified reactive species

Erliang Guo,Xionghui Mao,Xueying Wang,Lunhua Guo,Changming An,Cong Zhang,Kaibin Song,Guohui Wang,Chunbin Duan,Xiwei Zhang,Xianguang Yang,Zhennan Yuan,Ji Sun,Xiaomei Li,Weiwei Yang,Hongxue Meng,Susheng Miao

PloS one 13:e0201103 PubMed30048492

2018

T cell LFA-1-induced proinflammatory mRNA stabilization is mediated by the p38 pathway kinase MK2 in a process regulated by hnRNPs C, H1 and K.

Applications

Unspecified application

Species

Unspecified reactive species

Gautham K Rao,Albert Wong,Mark Collinge,Joseph Sarhan,Timur O Yarovinsky,Vinod S Ramgolam,Matthias Gaestel,Ruggero Pardi,Jeffrey R Bender

Journal of virology 86:7180-91 PubMed22514352

2012

Evasion of the innate immune response: the Old World alphavirus nsP2 protein induces rapid degradation of Rpb1, a catalytic subunit of RNA polymerase II.

Applications

WB

Species

Unspecified reactive species

Ivan Akhrymuk,Sergey V Kulemzin,Elena I Frolova
View all publications

Product promise

We are committed to supporting your work with high-quality reagents, and we're here for you every step of the way. In the unlikely event that one of our products does not perform as expected, you're protected by our Product Promise.
For full details, please see our Terms & Conditions

Please note: All products are 'FOR RESEARCH USE ONLY. NOT FOR USE IN DIAGNOSTIC OR THERAPEUTIC PROCEDURES'.

For licensing inquiries, please contact partnerships@abcam.com