JavaScript is disabled in your browser. Please enable JavaScript to view this website.
AB248575

Anti-hnRNP C1/C2 antibody [EPNCIR152] - BSA and Azide free

Be the first to review this product! Submit a review

|

(1 Publication)

Rabbit Recombinant Monoclonal hnRNP C1 + C2/HNRNPC antibody. Carrier free. Suitable for IHC-P, ICC/IF, WB and reacts with Human samples. Cited in 1 publication.

View Alternative Names

HNRPC, HNRNPC, Heterogeneous nuclear ribonucleoproteins C1/C2, hnRNP C1/C2

4 Images
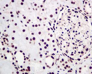
Immunohistochemistry (Formalin/PFA-fixed paraffin-embedded sections) - Anti-hnRNP C1/C2 antibody [EPNCIR152] - BSA and Azide free (AB248575)
  • IHC-P

Unknown

Immunohistochemistry (Formalin/PFA-fixed paraffin-embedded sections) - Anti-hnRNP C1/C2 antibody [EPNCIR152] - BSA and Azide free (AB248575)

This data was developed using ab133607, the same antibody clone in a different buffer formulation.Immunohistochemical analysis of paraffin embedded Human kidney tissue labelling hnRNP C1/C2 with ab133607 antibody at a dilution of 1/250. Perform heat mediated antigen retrieval with citrate buffer pH 6 before commencing with IHC staining protocol.

Immunohistochemistry (Formalin/PFA-fixed paraffin-embedded sections) - Anti-hnRNP C1/C2 antibody [EPNCIR152] - BSA and Azide free (AB248575)
  • IHC-P

Unknown

Immunohistochemistry (Formalin/PFA-fixed paraffin-embedded sections) - Anti-hnRNP C1/C2 antibody [EPNCIR152] - BSA and Azide free (AB248575)

This data was developed using ab133607, the same antibody clone in a different buffer formulation.Immunohistochemical analysis of paraffin embedded Human thyroid carcinoma tissue labelling hnRNP C1/C2 with ab133607 antibody at a dilution of 1/250. Perform heat mediated antigen retrieval with citrate buffer pH 6 before commencing with IHC staining protocol.

Immunocytochemistry/ Immunofluorescence - Anti-hnRNP C1/C2 antibody [EPNCIR152] - BSA and Azide free (AB248575)
  • ICC/IF

Lab

Immunocytochemistry/ Immunofluorescence - Anti-hnRNP C1/C2 antibody [EPNCIR152] - BSA and Azide free (AB248575)

This data was developed using ab133607, the same antibody clone in a different buffer formulation. Immunofluorescence staining of MCF-7 cells with purified ab133607 at a working dilution of 1/500, counter-stained with DAPI. The secondary antibody was an Alexa Fluor® 488 conjugated goat anti-rabbit (ab150077), used at a dilution of 1/1000. The cells were fixed in 4% PFA and permeabilized using 0.1% Triton X 100. The negative control is shown in bottom right hand panel - for the negative control, PBS was used instead of the primary antibody.

Western blot - Anti-hnRNP C1/C2 antibody [EPNCIR152] - BSA and Azide free (AB248575)
  • WB

Unknown

Western blot - Anti-hnRNP C1/C2 antibody [EPNCIR152] - BSA and Azide free (AB248575)

This data was developed using ab133607, the same antibody clone in a different buffer formulation.

Actual band size : 42 kDa.

All lanes:

Western blot - Anti-hnRNP C1/C2 antibody [EPNCIR152] (<a href='/en-us/products/primary-antibodies/hnrnp-c1-c2-antibody-epncir152-ab133607'>ab133607</a>) at 1/10000 dilution

Lane 1:

HeLa cell lysate at 10 µg

Lane 2:

MCF7 cell lysate at 10 µg

Lane 3:

HepG2 cell lysate at 10 µg

Lane 4:

K562 cell lysate at 10 µg

Lane 5:

293T cell lysate at 10 µg

Secondary

All lanes:

HRP labelled goat anti-rabbit at 1/2000 dilution

Predicted band size: 33 kDa

false

Key facts

Host species

Rabbit

Clonality

Monoclonal

Clone number

EPNCIR152

Isotype

IgG

Carrier free

Yes

Reacts with

Human

Applications

ICC/IF, IHC-P, WB

applications

Immunogen

The exact immunogen used to generate this antibody is proprietary information.

Specificity

This antibody is specific to isoform C2.

Reactivity data

{ "title": "Reactivity Data", "filters": { "stats": ["", "Species", "Dilution Info", "Notes"], "tabs": { "all-applications": {"fullname" : "All Applications", "shortname": "All Applications"}, "IHCP" : {"fullname" : "Immunohistochemistry (Formalin/PFA-fixed paraffin-embedded sections)", "shortname":"IHC-P"}, "ICCIF" : {"fullname" : "Immunocytochemistry/ Immunofluorescence", "shortname":"ICC/IF"}, "WB" : {"fullname" : "Western blot", "shortname":"WB"} }, "product-promise": { "all": "all", "testedAndGuaranteed": "tested", "guaranteed": "expected", "predicted": "predicted", "notRecommended": "not-recommended" } }, "values": { "Human": { "IHCP-species-checked": "testedAndGuaranteed", "IHCP-species-dilution-info": "", "IHCP-species-notes": "<p></p>", "ICCIF-species-checked": "testedAndGuaranteed", "ICCIF-species-dilution-info": "", "ICCIF-species-notes": "<p></p>", "WB-species-checked": "testedAndGuaranteed", "WB-species-dilution-info": "", "WB-species-notes": "<p></p>" }, "Mouse": { "IHCP-species-checked": "predicted", "IHCP-species-dilution-info": "", "IHCP-species-notes": "", "ICCIF-species-checked": "predicted", "ICCIF-species-dilution-info": "", "ICCIF-species-notes": "", "WB-species-checked": "predicted", "WB-species-dilution-info": "", "WB-species-notes": "" }, "Rat": { "IHCP-species-checked": "predicted", "IHCP-species-dilution-info": "", "IHCP-species-notes": "", "ICCIF-species-checked": "predicted", "ICCIF-species-dilution-info": "", "ICCIF-species-notes": "", "WB-species-checked": "predicted", "WB-species-dilution-info": "", "WB-species-notes": "" } } }

Product details

ab248575 is the carrier-free version of ab133607.

This antibody was developed as part of a collaboration between the National Cancer Institute's Center for Cancer Research and the lab of Mirit Aladjem. View antibodies from NCI Center for Cancer Research Collaboration.

Patented technology
Our RabMAb® technology is a patented hybridoma-based technology for making rabbit monoclonal antibodies. For details on our patents, please refer to RabMAb® patents.

What are the advantages of a recombinant monoclonal antibody?
This product is a recombinant monoclonal antibody, which offers several advantages including:

  • - High batch-to-batch consistency and reproducibility
  • - Improved sensitivity and specificity
  • - Long-term security of supply
  • - Animal-free batch production

For more information, read more on recombinant antibodies.

Conjugation ready
Our carrier-free antibodies are typically supplied in a PBS-only formulation, purified and free of BSA, sodium azide and glycerol. This conjugation-ready format is designed for use with fluorochromes, metal isotopes, oligonucleotides, and enzymes, which makes them ideal for antibody labelling, functional and cell-based assays, flow-based assays (e.g. mass cytometry) and Multiplex Imaging applications.

Use our conjugation kits for antibody conjugates that are ready-to-use in as little as 20 minutes with 1 minute hands-on-time and 100% antibody recovery: available for fluorescent dyes, HRP, biotin and gold.

Compatibility
This product is compatible with the Maxpar® Antibody Labeling Kit from Fluidigm, without the need for antibody preparation. Maxpar® is a trademark of Fluidigm Canada Inc.

Properties and storage information

Form
Liquid
Purification technique
Affinity purification Protein A
Storage buffer
pH: 7.2 - 7.4 Constituents: PBS
Shipped at conditions
Blue Ice
Appropriate short-term storage conditions
+4°C
Appropriate long-term storage conditions
+4°C
Storage information
Do Not Freeze

Supplementary information

This supplementary information is collated from multiple sources and compiled automatically.

HnRNP C1/C2 also known as heterogeneous nuclear ribonucleoprotein C comprises two alternatively spliced proteins C1 protein and C2 protein which have molecular weights of approximately 39 kDa and 41 kDa respectively. These proteins function mainly in the nucleus and are expressed ubiquitously in various tissues. They play a fundamental role in mRNA processing including pre-mRNA splicing polyadenylation and stabilization. As components of the hnRNP complex they bind to nascent RNA transcripts to regulate their maturation and transport.
Biological function summary

HnRNP C1/C2 participates in the assembly of large ribonucleoprotein complexes that are essential for mRNA metabolism. It acts as a core component of the spliceosome machinery where it influences the alternative splicing of pre-mRNA. Apart from its structural role hnRNP C1/C2 may contribute to the proper assembly and functioning of splicing factors and other proteins such as 4f4 within the nucleus suggesting its important role in gene expression regulation.

Pathways

HnRNP C1/C2 is involved in the RNA processing pathway directly impacting mRNA export and stability. By interacting with other proteins such as serine/arginine-rich splicing factors it modulates the splicing accuracy and efficiency of various transcripts. This participation in the spliceosome pathway emphasizes its importance in ensuring efficient gene expression and processing. hnRNP C1/C2 might also interact with various transcription machinery components linking RNA processing to transcriptional regulation.

HnRNP C1/C2 links to neurological diseases and certain cancers. In neurological disorders misregulation of hnRNP C1/C2 can result in aberrant mRNA splicing which may contribute to the pathogenesis of diseases like spinal muscular atrophy. Its involvement in cancer is related to its ability to modulate gene expression and cellular proliferation often observed in tumors with disrupted mRNA processing pathways. HnRNP C1/C2 interactions with proteins such as the tumor suppressor p53 may influence cell cycle regulation and contribute to tumor progression.

Product protocols

For this product, it's our understanding that no specific protocols are required. You can visit:

Target data

Binds pre-mRNA and nucleates the assembly of 40S hnRNP particles (PubMed : 8264621). Interacts with poly-U tracts in the 3'-UTR or 5'-UTR of mRNA and modulates the stability and the level of translation of bound mRNA molecules (PubMed : 12509468, PubMed : 16010978, PubMed : 7567451, PubMed : 8264621). Single HNRNPC tetramers bind 230-240 nucleotides. Trimers of HNRNPC tetramers bind 700 nucleotides (PubMed : 8264621). May play a role in the early steps of spliceosome assembly and pre-mRNA splicing. N6-methyladenosine (m6A) has been shown to alter the local structure in mRNAs and long non-coding RNAs (lncRNAs) via a mechanism named 'm(6)A-switch', facilitating binding of HNRNPC, leading to regulation of mRNA splicing (PubMed : 25719671).
See full target information HNRNPC

Publications (1)

Recent publications for all applications. Explore the full list and refine your search

Oncology reports 46: PubMed34528699

2021

Quantitative global proteome and phosphorylome analyses reveal potential biomarkers in kidney cancer.

Applications

Unspecified application

Species

Unspecified reactive species

Liwei Xu,Zeyi Lu,Shicheng Yu,Gonghui Li,Yuanlei Chen
View all publications

Product promise

We are committed to supporting your work with high-quality reagents, and we're here for you every step of the way. In the unlikely event that one of our products does not perform as expected, you're protected by our Product Promise.
For full details, please see our Terms & Conditions

Please note: All products are 'FOR RESEARCH USE ONLY. NOT FOR USE IN DIAGNOSTIC OR THERAPEUTIC PROCEDURES'.

For licensing inquiries, please contact partnerships@abcam.com