JavaScript is disabled in your browser. Please enable JavaScript to view this website.
AB61193

Anti-hnRNP D/AUF1 antibody

Be the first to review this product! Submit a review

|

(32 Publications)

Rabbit Polyclonal hnRNP D/AUF1 antibody. Suitable for IP, ELISA, WB, IHC-P, ICC/IF and reacts with Mouse, Rat, Human samples. Cited in 32 publications. Immunogen corresponding to Synthetic Peptide within Human HNRNPD.

View Alternative Names

AUF1, HNRPD, HNRNPD, Heterogeneous nuclear ribonucleoprotein D0, hnRNP D0, AU-rich element RNA-binding protein 1

4 Images
Immunocytochemistry/ Immunofluorescence - Anti-hnRNP D/AUF1 antibody (AB61193)
  • ICC/IF

Unknown

Immunocytochemistry/ Immunofluorescence - Anti-hnRNP D/AUF1 antibody (AB61193)

ICC/IF image of ab61193 stained Hek293 cells. The cells were 4% PFA fixed (10 min) and then incubated in 1%BSA / 10% normal goat serum / 0.3M glycine in 0.1% PBS-Tween for 1h to permeabilise the cells and block non-specific protein-protein interactions. The cells were then incubated with the antibody (ab61193, 1µg/ml) overnight at +4°C. The secondary antibody (green) was Alexa Fluor® 488 goat anti-rabbit IgG (H+L) used at a 1/1000 dilution for 1h. Alexa Fluor® 594 WGA was used to label plasma membranes (red) at a 1/200 dilution for 1h. DAPI was used to stain the cell nuclei (blue) at a concentration of 1.43µM.

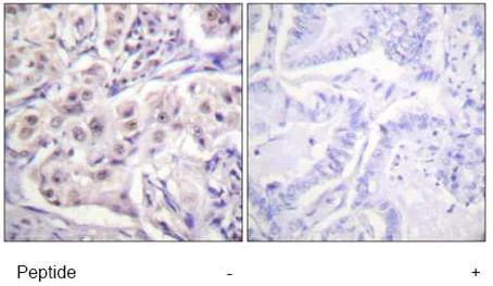
Immunohistochemistry (Formalin/PFA-fixed paraffin-embedded sections) - Anti-hnRNP D/AUF1 antibody (AB61193)
  • IHC-P

Unknown

Immunohistochemistry (Formalin/PFA-fixed paraffin-embedded sections) - Anti-hnRNP D/AUF1 antibody (AB61193)

Immunohistochemical analysis of paraffin embedded human lung carcinoma tissue using ab61193 at 1/50-1/100 dilution. Samples were treated -/+ peptide.

Western blot - Anti-hnRNP D/AUF1 antibody (AB61193)
  • WB

Unknown

Western blot - Anti-hnRNP D/AUF1 antibody (AB61193)

All lanes:

Western blot - Anti-hnRNP D/AUF1 antibody (ab61193) at 1/500 dilution

Lane 1:

293 cell extract

Lane 2:

293 cell extract with immunizing peptide

Predicted band size: 38 kDa

Observed band size: 38 kDa

false

Western blot - Anti-hnRNP D/AUF1 antibody (AB61193)
  • WB

CiteAb

Western blot - Anti-hnRNP D/AUF1 antibody (AB61193)

hnRNP D/AUF1 western blot using anti-hnRNP D/AUF1 antibody ab61193. Publication image and figure legend from Masuda, K., Marasa, B., et al., 2009, Aging (Albany NY), PubMed 20157551.

ab61193 was used in this publication in western blot. This may not be the same as the application(s) guaranteed by Abcam. For a full list of applications guaranteed by Abcam for ab61193 please see the product overview.

TTR-RBP expression in WI-38 human diploid fibroblasts (HDFs). WI-38 HDFs were cultured for extended population doublings (pdls), until they reached senescence at ~pdl 52. The abundance of TTR-RBPs HuR, AUF1 (all four isoforms indicated), TIA-1, and TTP was assessed by Western blot analysis. GAPDH signals were included as a loading control.

false

Key facts

Host species

Rabbit

Clonality

Polyclonal

Isotype

IgG

Carrier free

No

Reacts with

Human, Mouse, Rat

Applications

IP, IHC-P, ELISA, ICC/IF, WB

applications

Immunogen

Synthetic Peptide within Human HNRNPD. The exact immunogen used to generate this antibody is proprietary information.

Q14103

Reactivity data

{ "title": "Reactivity Data", "filters": { "stats": ["", "Species", "Dilution Info", "Notes"], "tabs": { "all-applications": {"fullname" : "All Applications", "shortname": "All Applications"}, "IP" : {"fullname" : "Immunoprecipitation", "shortname":"IP"}, "ELISA" : {"fullname" : "ELISA", "shortname":"ELISA"}, "WB" : {"fullname" : "Western blot", "shortname":"WB"}, "IHCP" : {"fullname" : "Immunohistochemistry (Formalin/PFA-fixed paraffin-embedded sections)", "shortname":"IHC-P"}, "ICCIF" : {"fullname" : "Immunocytochemistry/ Immunofluorescence", "shortname":"ICC/IF"} }, "product-promise": { "all": "all", "testedAndGuaranteed": "tested", "guaranteed": "expected", "predicted": "predicted", "notRecommended": "not-recommended" } }, "values": { "Human": { "IP-species-checked": "guaranteed", "IP-species-dilution-info": "", "IP-species-notes": "<p></p>", "ELISA-species-checked": "guaranteed", "ELISA-species-dilution-info": "", "ELISA-species-notes": "<p></p>", "WB-species-checked": "testedAndGuaranteed", "WB-species-dilution-info": "1/500 - 1/1000", "WB-species-notes": "<p></p>", "IHCP-species-checked": "testedAndGuaranteed", "IHCP-species-dilution-info": "1/50 - 1/100", "IHCP-species-notes": "<p></p>", "ICCIF-species-checked": "testedAndGuaranteed", "ICCIF-species-dilution-info": "1/500 - 1/1000", "ICCIF-species-notes": "<p></p>" }, "Mouse": { "IP-species-checked": "guaranteed", "IP-species-dilution-info": "", "IP-species-notes": "<p></p>", "ELISA-species-checked": "guaranteed", "ELISA-species-dilution-info": "", "ELISA-species-notes": "<p></p>", "WB-species-checked": "predicted", "WB-species-dilution-info": "", "WB-species-notes": "", "IHCP-species-checked": "predicted", "IHCP-species-dilution-info": "", "IHCP-species-notes": "", "ICCIF-species-checked": "predicted", "ICCIF-species-dilution-info": "", "ICCIF-species-notes": "" }, "Rat": { "IP-species-checked": "guaranteed", "IP-species-dilution-info": "", "IP-species-notes": "<p></p>", "ELISA-species-checked": "guaranteed", "ELISA-species-dilution-info": "", "ELISA-species-notes": "<p></p>", "WB-species-checked": "predicted", "WB-species-dilution-info": "", "WB-species-notes": "", "IHCP-species-checked": "predicted", "IHCP-species-dilution-info": "", "IHCP-species-notes": "", "ICCIF-species-checked": "predicted", "ICCIF-species-dilution-info": "", "ICCIF-species-notes": "" } } }

Properties and storage information

Form
Liquid
Purification technique
Affinity purification Immunogen
Storage buffer
pH: 7.4 Preservative: 0.02% Sodium azide Constituents: PBS, 50% Glycerol (glycerin, glycerine), 0.87% Sodium chloride
Shipped at conditions
Blue Ice
Appropriate short-term storage conditions
+4°C
Appropriate long-term storage conditions
-20°C
Storage information
Stable for 12 months at -20°C

Supplementary information

This supplementary information is collated from multiple sources and compiled automatically.

The hnRNP D/AUF1 protein also known as heterogeneous nuclear ribonucleoprotein D has a molecular mass of approximately 37-40 kDa. It plays a significant role in the cellular machinery by binding to RNA molecules mainly impacting mRNA stability and turnover. The protein is expressed ubiquitously in various tissues throughout the body indicating its importance in numerous cellular functions. It is one of the hnRNP family members involved in the post-transcriptional regulation of gene expression.
Biological function summary

HnRNP D/AUF1 regulates the degradation of mRNA by binding to AU-rich elements (AREs) found in the 3' untranslated region of many genes. It is an integral part of RNA-protein complexes that are important for controlling the half-life of mRNAs. Besides mRNA decay hnRNP D/AUF1 participates in other processes like mRNA splicing and transport. Its interactions within the ribonucleoprotein complexes highlight its versatile role in RNA metabolism.

Pathways

HnRNP D/AUF1 operates within important biological processes such as the mRNA decay pathway and the stress response pathway. It interacts closely with other proteins involved in mRNA decay such as tristetraprolin and members of the poly-A binding protein family. hnRNP D/AUF1 influences the decay rate of different transcripts contributing to cellular responses to environmental stimuli and maintaining homeostasis.

HnRNP D/AUF1 links to inflammatory conditions and some types of cancer. Altered expression levels of AUF1 have been associated with chronic inflammation where its role in mRNA stability impacts the expression of cytokines. In cancer dysregulation of AUF1 can lead to incorrect mRNA turnover of tumor suppressors or oncogenes linking it to proteins like p53 in the context of tumorigenesis. These associations make hnRNP D/AUF1 a potential target for therapeutic interventions in related diseases.

Product protocols

For this product, it's our understanding that no specific protocols are required. You can visit:

Target data

Binds with high affinity to RNA molecules that contain AU-rich elements (AREs) found within the 3'-UTR of many proto-oncogenes and cytokine mRNAs. Also binds to double- and single-stranded DNA sequences in a specific manner and functions a transcription factor. Each of the RNA-binding domains specifically can bind solely to a single-stranded non-monotonous 5'-UUAG-3' sequence and also weaker to the single-stranded 5'-TTAGGG-3' telomeric DNA repeat. Binds RNA oligonucleotides with 5'-UUAGGG-3' repeats more tightly than the telomeric single-stranded DNA 5'-TTAGGG-3' repeats. Binding of RRM1 to DNA inhibits the formation of DNA quadruplex structure which may play a role in telomere elongation. May be involved in translationally coupled mRNA turnover. Implicated with other RNA-binding proteins in the cytoplasmic deadenylation/translational and decay interplay of the FOS mRNA mediated by the major coding-region determinant of instability (mCRD) domain. May play a role in the regulation of the rhythmic expression of circadian clock core genes. Directly binds to the 3'UTR of CRY1 mRNA and induces CRY1 rhythmic translation. May also be involved in the regulation of PER2 translation.
See full target information HNRNPD

Publications (32)

Recent publications for all applications. Explore the full list and refine your search

Discover oncology 16:798 PubMed40382532

2025

Silencing hnRNPD inhibits gastric cancer growth by increasing TXNIP-mediated oxidative stress.

Applications

Unspecified application

Species

Unspecified reactive species

Xuan Zou,Jin Li,Junshuo Zhou,Qiulei Ren,Kelong Wang,Xiaoyan Wang

Molecular carcinogenesis 64:279-289 PubMed39513659

2024

MicroRNA-505-5p/-3p Regulates the Proliferation, Invasion, Apoptosis, and Temozolomide Resistance in Mesenchymal Glioma Stem Cells by Targeting AUF1.

Applications

Unspecified application

Species

Unspecified reactive species

Souichi Oe,Rio Kakizaki,Sumika Sakamoto,Teruhide Sato,Mikio Hayashi,Haruna Isozaki,Masahiro Nonaka,Hikaru Iwashita,Shinichi Hayashi,Taro Koike,Ryohei Seki-Omura,Yousuke Nakano,Yuki Sato,Yukie Hirahara,Masaaki Kitada

Journal of experimental & clinical cancer research : CR 43:274 PubMed39350250

2024

Copy number amplification-induced overexpression of lncRNA LOC101927668 facilitates colorectal cancer progression by recruiting hnRNPD to disrupt RBM47/p53/p21 signaling.

Applications

Unspecified application

Species

Unspecified reactive species

Zaozao Wang,Haibo Han,Chenghai Zhang,Chenxin Wu,Jiabo Di,Pu Xing,Xiaowen Qiao,Kai Weng,Hao Hao,Xinying Yang,Yifan Hou,Beihai Jiang,Xiangqian Su

Molecular medicine (Cambridge, Mass.) 29:162 PubMed38041015

2023

The linear ANRIL transcript P14AS regulates the NF-κB signaling to promote colon cancer progression.

Applications

Unspecified application

Species

Unspecified reactive species

Wanru Ma,Junhua Hu

Journal of virology 97:e0104423 PubMed37905837

2023

HIV-1 Tat commandeers nuclear export of Rev-viral RNA complex by controlling hnRNPA2-mediated splicing.

Applications

Unspecified application

Species

Unspecified reactive species

Sriram Yandrapally,Satarupa Sarkar,Sharmistha Banerjee

FEBS open bio 12:82-94 PubMed34480525

2021

Cpeb1 expression is post-transcriptionally regulated by AUF1, CPEB1, and microRNAs.

Applications

Unspecified application

Species

Unspecified reactive species

Souichi Oe,Shinichi Hayashi,Susumu Tanaka,Taro Koike,Yukie Hirahara,Rio Kakizaki,Sumika Sakamoto,Yasuko Noda,Hisao Yamada,Masaaki Kitada

Cell reports 35:109156 PubMed34077726

2021

Inhibiting an RBM39/MLL1 epigenomic regulatory complex with dominant-negative peptides disrupts cancer cell transcription and proliferation.

Applications

Unspecified application

Species

Unspecified reactive species

Pavan Kumar Puvvula,Yao Yu,Kaelan Renaldo Sullivan,Henok Eyob,Julian Rosenberg,Alana Welm,Chad Huff,Anne M Moon

Frontiers in oncology 11:621825 PubMed33859938

2021

Novel Cell-Penetrating Peptides Derived From Scaffold-Attachment- Factor A Inhibits Cancer Cell Proliferation and Survival.

Applications

Unspecified application

Species

Unspecified reactive species

Pavan Kumar Puvvula,Anne M Moon

International journal of molecular sciences 21: PubMed33297405

2020

Regulation of Fetal Genes by Transitions among RNA-Binding Proteins during Liver Development.

Applications

Unspecified application

Species

Unspecified reactive species

Toru Suzuki,Shungo Adachi,Chisato Kikuguchi,Shinsuke Shibata,Saori Nishijima,Yurie Kawamoto,Yusuke Iizuka,Haruhiko Koseki,Hideyuki Okano,Tohru Natsume,Tadashi Yamamoto

Molecular therapy : the journal of the American Society of Gene Therapy 28:2488-2502 PubMed32735773

2020

lncRNA ZNF649-AS1 Induces Trastuzumab Resistance by Promoting ATG5 Expression and Autophagy.

Applications

Unspecified application

Species

Unspecified reactive species

Mingli Han,Xueke Qian,Hui Cao,Fang Wang,Xiangke Li,Na Han,Xue Yang,Yunqing Yang,Dongwei Dou,Jianguo Hu,Wei Wang,Jing Han,Fan Zhang,Huaying Dong
View all publications

Product promise

We are committed to supporting your work with high-quality reagents, and we're here for you every step of the way. In the unlikely event that one of our products does not perform as expected, you're protected by our Product Promise.
For full details, please see our Terms & Conditions

Please note: All products are 'FOR RESEARCH USE ONLY. NOT FOR USE IN DIAGNOSTIC OR THERAPEUTIC PROCEDURES'.

For licensing inquiries, please contact partnerships@abcam.com