JavaScript is disabled in your browser. Please enable JavaScript to view this website.
AB259895

Anti-hnRNP D/AUF1 antibody [EPR24001-12]

  • BOND RX™ Validated
  • 20ul selling size
  • RabMAb
  • Recombinant
  • KO Validated
  • What is this?

Be the first to review this product! Submit a review

|

(7 Publications)

Rabbit Recombinant Monoclonal hnRNP D/AUF1 antibody. Suitable for ICC/IF, IP, Flow Cyt (Intra), WB, IHC-P and reacts with Mouse, Human, Rat samples. Cited in 7 publications.

View Alternative Names

AUF1, HNRPD, HNRNPD, Heterogeneous nuclear ribonucleoprotein D0, hnRNP D0, AU-rich element RNA-binding protein 1

12 Images
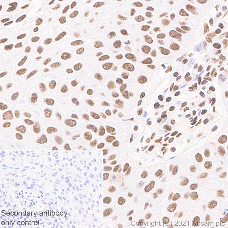
Immunohistochemistry (Formalin/PFA-fixed paraffin-embedded sections) - Anti-hnRNP D/AUF1 antibody [EPR24001-12] (AB259895)
  • IHC-P

Supplier Data

Immunohistochemistry (Formalin/PFA-fixed paraffin-embedded sections) - Anti-hnRNP D/AUF1 antibody [EPR24001-12] (AB259895)

Immunohistochemical analysis of paraffin-embedded Human lung carcinoma tissue labelling hnRNP D/AUF1 with ab259895 at 1/100 (5.59 ug/ml) dilution followed by a ready to use LeicaDS9800 (Bond™ Polymer Refine Detection). Nuclear staining on human lung carcinoma. The section was incubated with ab259895 for 30 mins at room temperature. The immunostaining was performed on a Leica Biosystems BOND® RX instrument Counterstained with Hematoxylin.

Secondary antibody only control : Secondary antibody is a ready to use LeicaDS9800 (Bond™ Polymer Refine Detection).

Heat mediated antigen retrieval with Tris-EDTA buffer (pH 9.0, epitope retrieval solution2) for 20 mins

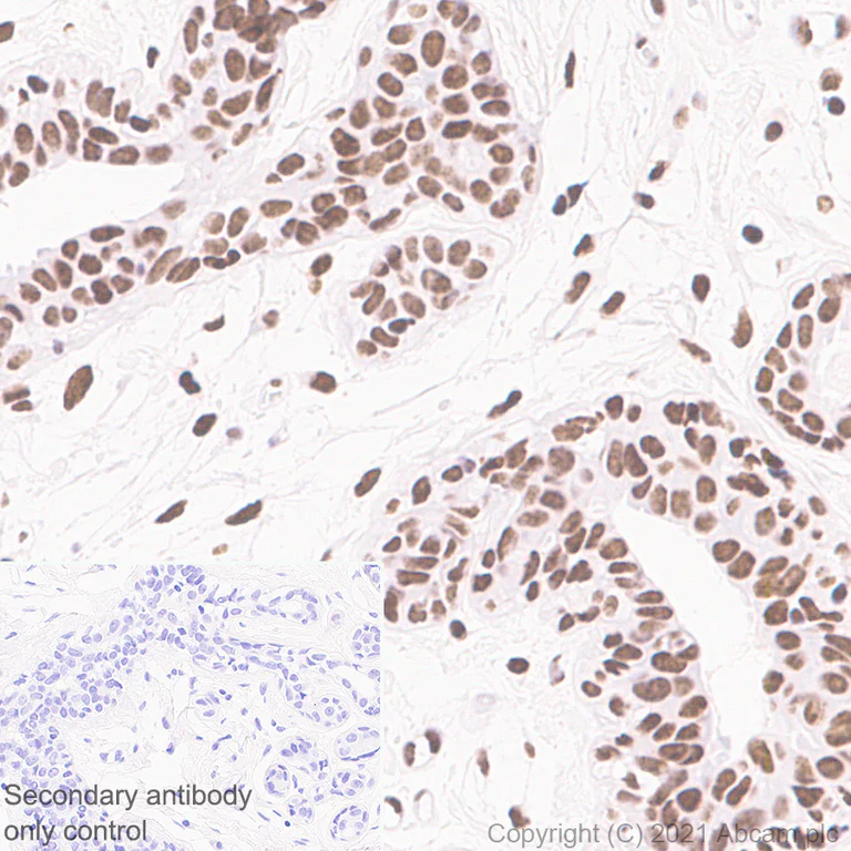
Immunohistochemistry (Formalin/PFA-fixed paraffin-embedded sections) - Anti-hnRNP D/AUF1 antibody [EPR24001-12] (AB259895)
  • IHC-P

Supplier Data

Immunohistochemistry (Formalin/PFA-fixed paraffin-embedded sections) - Anti-hnRNP D/AUF1 antibody [EPR24001-12] (AB259895)

Immunohistochemical analysis of paraffin-embedded Human breast tissue labelling hnRNP D/AUF1 with ab259895 at 1/100 (5.59 ug/ml) dilution followed by a ready to use LeicaDS9800 (Bond™ Polymer Refine Detection). Nuclear staining on human breast. The section was incubated with ab259895 for 30 mins at room temperature. The immunostaining was performed on a Leica Biosystems BOND® RX instrument Counterstained with Hematoxylin.

Secondary antibody only control : Secondary antibody is a ready to use LeicaDS9800 (Bond™ Polymer Refine Detection).

Heat mediated antigen retrieval with Tris-EDTA buffer (pH 9.0, epitope retrieval solution2) for 20 mins

Immunocytochemistry/ Immunofluorescence - Anti-hnRNP D/AUF1 antibody [EPR24001-12] (AB259895)
  • ICC/IF

Supplier Data

Immunocytochemistry/ Immunofluorescence - Anti-hnRNP D/AUF1 antibody [EPR24001-12] (AB259895)

Immunofluorescent analysis of 4% Paraformaldehyde-fixed, 0.1% TritonX-100 permeabilized HeLa cells labelling hnRNP D/AUF1 with ab259895 at 1/50 (11.18 ug/ml) dilution, followed by ab150077 Goat Anti-Rabbit IgG H&L (Alexa Fluor® 488) antibody at 1/1000 dilution (Green) Confocal image showing nuclear staining in HeLa cells is observed. ab195889 Anti-alpha Tubulin mouse monoclonal antibody - Microtubule Marker (Alexa Fluor® 594) was used to counterstain tubulin at 1/200 dilution (Red). The Nuclear counterstain was DAPI (Blue). Secondary antibody only control : Secondary antibody is ab150077 Goat Anti-Rabbit IgG H&L (Alexa Fluor® 488) at 1/1000 dilution.

Flow Cytometry (Intracellular) - Anti-hnRNP D/AUF1 antibody [EPR24001-12] (AB259895)
  • Flow Cyt (Intra)

Supplier Data

Flow Cytometry (Intracellular) - Anti-hnRNP D/AUF1 antibody [EPR24001-12] (AB259895)

Flow cytometric analysis of 4% paraformaldehyde fixed 90% methanol permeabilized HeLa (Human cervix adenocarcinoma cell) cells labelling hnRNP D/AUF1 with ab259895 at 1/500 dilution (0.1ug)/ (Red) compared with a Rabbit monoclonal IgG (ab172730) (Black) isotype control and an unlabelled control (cells without incubation with primary antibody and secondary antibody) (Blue). A Goat anti rabbit IgG (Alexa Fluor® 488, ab150077) at 1/2000 dilution was used as the secondary antibody.

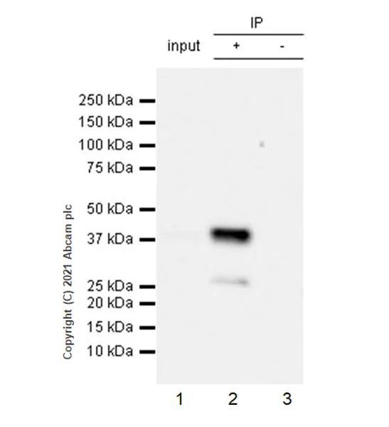
Immunoprecipitation - Anti-hnRNP D/AUF1 antibody [EPR24001-12] (AB259895)
  • IP

Supplier Data

Immunoprecipitation - Anti-hnRNP D/AUF1 antibody [EPR24001-12] (AB259895)

hnRNP D/AUF1 was immunoprecipitated from 0.35 mg HeLa (human cervix adenocarcinoma epithelial cell) whole cell lysate 10 ug with ab259895 at 1/30 dilution (2ug in 0.35mg lysates). Western blot was performed on the immunoprecipitate using ab259895 at 1/1000 dilution. VeriBlot for IP secondary antibody(HRP)(ab131366) was used at 1/5000 dilution.

Lane 1 : HeLa (human cervix adenocarcinoma epithelial cell) whole cell lysate 10 ug

Lane 2 : ab259895 IP in HeLa (human cervix adenocarcinoma epithelial cell) whole cell lysate

Lane 3 : Rabbit monoclonal IgG (ab172730) instead of ab259895 in HeLa whole cell lysate

Blocking and dilution buffer and concentration : 5% NFDM/TBST.

Exposure time : 10 seconds

All lanes:

Immunoprecipitation - Anti-hnRNP D/AUF1 antibody [EPR24001-12] (ab259895)

Predicted band size: 38 kDa

Observed band size: 42 kDa

false

Immunohistochemistry (Formalin/PFA-fixed paraffin-embedded sections) - Anti-hnRNP D/AUF1 antibody [EPR24001-12] (AB259895)
  • IHC-P

Supplier Data

Immunohistochemistry (Formalin/PFA-fixed paraffin-embedded sections) - Anti-hnRNP D/AUF1 antibody [EPR24001-12] (AB259895)

Immunohistochemical analysis of paraffin-embedded Mouse cerebrum tissue labelling hnRNP D/AUF1 with ab259895 at 1/100 (5.59 ug/ml) dilution followed by a ready to use LeicaDS9800 (Bond™ Polymer Refine Detection). Nuclear staining on mouse cerebrum. The section was incubated with ab259895 for 30 mins at room temperature. The immunostaining was performed on a Leica Biosystems BOND® RX instrument Counterstained with Hematoxylin.

Secondary antibody only control : Secondary antibody is a ready to use LeicaDS9800 (Bond™ Polymer Refine Detection).

Heat mediated antigen retrieval with Tris-EDTA buffer (pH 9.0, epitope retrieval solution2) for 20 mins

Immunocytochemistry/ Immunofluorescence - Anti-hnRNP D/AUF1 antibody [EPR24001-12] (AB259895)
  • ICC/IF

Supplier Data

Immunocytochemistry/ Immunofluorescence - Anti-hnRNP D/AUF1 antibody [EPR24001-12] (AB259895)

Immunofluorescent analysis of 4% Paraformaldehyde-fixed, 0.1% TritonX-100 permeabilized NIH/3T3 cells labelling hnRNP D/AUF1 with ab259895 at 1/50 (11.18 ug/ml) dilution, followed by ab150077 Goat Anti-Rabbit IgG H&L (Alexa Fluor® 488) antibody at 1/1000 dilution (Green) Confocal image showing nuclear staining in NIH/3T3 cells is observed. ab195889 Anti-alpha Tubulin mouse monoclonal antibody - Microtubule Marker (Alexa Fluor® 594) was used to counterstain tubulin at 1/200 dilution (Red). The Nuclear counterstain was DAPI (Blue). Secondary antibody only control : Secondary antibody is ab150077 Goat Anti-Rabbit IgG H&L (Alexa Fluor® 488) at 1/1000 dilution.

Flow Cytometry (Intracellular) - Anti-hnRNP D/AUF1 antibody [EPR24001-12] (AB259895)
  • Flow Cyt (Intra)

Supplier Data

Flow Cytometry (Intracellular) - Anti-hnRNP D/AUF1 antibody [EPR24001-12] (AB259895)

Flow cytometric analysis of 4% paraformaldehyde fixed 90% methanol permeabilized NIH/3T3 (Mouse embryonic fibroblast) cells labelling hnRNP D/AUF1 with ab259895 at 1/500 dilution (0.1ug)/(Red) compared with a Rabbit monoclonal IgG (ab172730) (Black) isotype control and an unlabelled control (cells without incubation with primary antibody and secondary antibody) (Blue). A Goat anti rabbit IgG (Alexa Fluor® 488, ab150077) at 1/2000 dilution was used as the secondary antibody.

Immunoprecipitation - Anti-hnRNP D/AUF1 antibody [EPR24001-12] (AB259895)
  • IP

Supplier Data

Immunoprecipitation - Anti-hnRNP D/AUF1 antibody [EPR24001-12] (AB259895)

hnRNP D/AUF1 was immunoprecipitated from 0.35 mg NIH/3T3 (mouse embryonic fibroblast) whole cell lysate 10 ug with ab259895 at 1/30 dilution (2ug in 0.35mg lysates). Western blot was performed on the immunoprecipitate using ab259895 at 1/1000 dilution. VeriBlot for IP secondary antibody(HRP)(ab131366) was used at 1/5000 dilution.

Lane 1 : NIH/3T3 (mouse embryonic fibroblast) whole cell lysate 10 ug

Lane 2 : ab259895 IP in NIH/3T3 (mouse embryonic fibroblast) whole cell lysate

Lane 3 : Rabbit monoclonal IgG (ab172730) instead of ab259895 in NIH/3T3 whole cell lysate

Blocking and dilution buffer and concentration : 5% NFDM/TBST.

Exposure time : 3 minutes

All lanes:

Immunoprecipitation - Anti-hnRNP D/AUF1 antibody [EPR24001-12] (ab259895)

Predicted band size: 38 kDa

Observed band size: 42 kDa

false

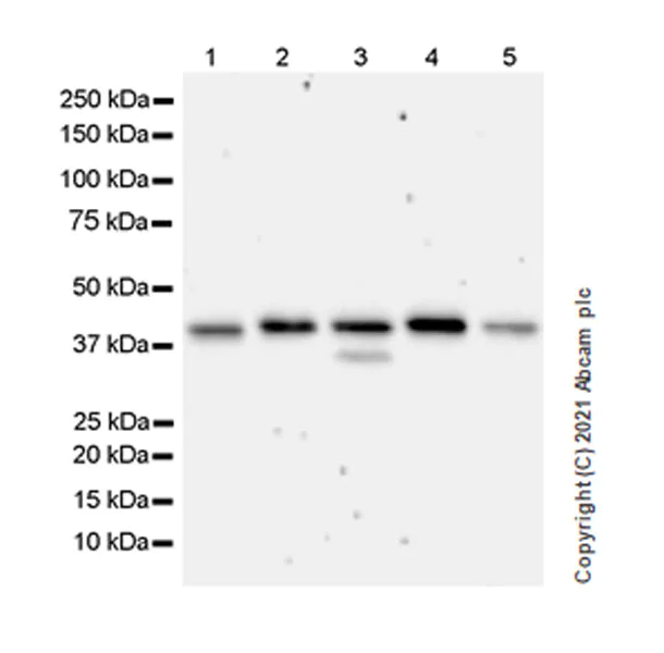
Western blot - Anti-hnRNP D/AUF1 antibody [EPR24001-12] (AB259895)
  • WB

Lab

Western blot - Anti-hnRNP D/AUF1 antibody [EPR24001-12] (AB259895)

Blocking and diluting buffer and concentration : 5% NFDM/TBST

Exposure time : 3 minutes

All lanes:

Western blot - Anti-hnRNP D/AUF1 antibody [EPR24001-12] (ab259895) at 1/1000 dilution

Lane 1:

HeLa (human cervix adenocarcinoma epithelial cell) whole cell lysate at 20 µg

Lane 2:

293T (human embryonic kidney epithelial cell) whole cell lysate at 20 µg

Lane 3:

Jurkat (human T cell leukemia cell line from peripheral blood) whole cell lysate at 20 µg

Lane 4:

K-562 (human chronic myelogenous leukemia lymphoblast) whole cell lysate at 20 µg

Lane 5:

U-2 OS (human bone osteosarcoma epithelial cell) whole cell lysate at 20 µg

Secondary

All lanes:

Western blot - Goat Anti-Rabbit IgG H&L (HRP) (<a href='/en-us/products/secondary-antibodies/goat-rabbit-igg-h-l-hrp-ab97051'>ab97051</a>) at 1/20000 dilution

Predicted band size: 38 kDa

Observed band size: 37 kDa,42 kDa

false

Western blot - Anti-hnRNP D/AUF1 antibody [EPR24001-12] (AB259895)
  • WB

Lab

Western blot - Anti-hnRNP D/AUF1 antibody [EPR24001-12] (AB259895)

False colour image of Western blot : Anti-hnRNP D/AUF1 antibody [EPR24001-12] staining at 1/1000 dilution, shown in green; loading control ab7291 (Mouse anti-Alpha Tubulin [DM1A]) staining at 1/20000 dilution, shown in red. In Western blot, ab259895 was shown to bind specifically to hnRNP D/AUF1. A band was observed at 40 kDa in wild-type U-2 OS cell lysates with no signal observed at this size in HNRNPD knockout cell line ab273860 (knockout cell lysate ab273814). To generate this image, wild-type and HNRNPD knockout U-2 OS cell lysates were analysed. First, samples were run on an SDS-PAGE gel then transferred onto a nitrocellulose membrane. Membranes were blocked in 3 % milk in TBS-0.1 % Tween® 20 (TBS-T) before incubation with primary antibodies overnight at 4 °C. Blots were washed four times in TBS-T, incubated with secondary antibodies for 1 h at room temperature, washed again four times then imaged. Secondary antibodies used were Goat anti-Rabbit IgG H&L (IRDye® 800CW) preabsorbed (ab216773) and Goat anti-Mouse IgG H&L (IRDye® 680RD) preabsorbed (ab216776) at 1/20000 dilution.

All lanes:

Western blot - Anti-hnRNP D/AUF1 antibody [EPR24001-12] (ab259895) at 1/1000 dilution

Lane 1:

Wild-type U-2 OS cell lysate at 20 µg

Lane 2:

HNRNPD knockout U-2 OS cell lysate at 20 µg

Lane 2:

Western blot - Human HNRNPD knockout U-2 OS cell line (<a href='/en-us/products/cell-lines/human-hnrnpd-knockout-u-2-os-cell-line-ab273860'>ab273860</a>)

Predicted band size: 38 kDa

Observed band size: 40 kDa

false

Western blot - Anti-hnRNP D/AUF1 antibody [EPR24001-12] (AB259895)
  • WB

Lab

Western blot - Anti-hnRNP D/AUF1 antibody [EPR24001-12] (AB259895)

Blocking and diluting buffer and concentration : 5% NFDM/TBST

Exposure time : 81 seconds

All lanes:

Western blot - Anti-hnRNP D/AUF1 antibody [EPR24001-12] (ab259895) at 1/1000 dilution

Lane 1:

NIH/3T3 (mouse embryonic fibroblast) whole cell lysate at 40 µg

Lane 2:

C6 (rat glial tumor glial cell) whole cell lysate at 40 µg

Secondary

All lanes:

Western blot - Goat Anti-Rabbit IgG H&L (HRP) (<a href='/en-us/products/secondary-antibodies/goat-rabbit-igg-h-l-hrp-ab97051'>ab97051</a>) at 1/20000 dilution

Predicted band size: 38 kDa

Observed band size: 42 kDa

false

  • Carrier free

    Anti-hnRNP D/AUF1 antibody [EPR24001-12] - BSA and Azide free

Key facts

Host species

Rabbit

Clonality

Monoclonal

Clone number

EPR24001-12

Isotype

IgG

Carrier free

No

Reacts with

Mouse, Rat, Human

Applications

IHC-P, ICC/IF, WB, Flow Cyt (Intra), IP

applications

Immunogen

The exact immunogen used to generate this antibody is proprietary information.

Reactivity data

{ "title": "Reactivity Data", "filters": { "stats": ["", "Species", "Dilution Info", "Notes"], "tabs": { "all-applications": {"fullname" : "All Applications", "shortname": "All Applications"}, "ICCIF" : {"fullname" : "Immunocytochemistry/ Immunofluorescence", "shortname":"ICC/IF"}, "IP" : {"fullname" : "Immunoprecipitation", "shortname":"IP"}, "FlowCytIntra" : {"fullname" : "Flow Cytometry (Intracellular)", "shortname":"Flow Cyt (Intra)"}, "WB" : {"fullname" : "Western blot", "shortname":"WB"}, "IHCP" : {"fullname" : "Immunohistochemistry (Formalin/PFA-fixed paraffin-embedded sections)", "shortname":"IHC-P"} }, "product-promise": { "all": "all", "testedAndGuaranteed": "tested", "guaranteed": "expected", "predicted": "predicted", "notRecommended": "not-recommended" } }, "values": { "Human": { "ICCIF-species-checked": "testedAndGuaranteed", "ICCIF-species-dilution-info": "1/50", "ICCIF-species-notes": "<p></p>", "IP-species-checked": "testedAndGuaranteed", "IP-species-dilution-info": "1/30", "IP-species-notes": "<p></p>", "FlowCytIntra-species-checked": "testedAndGuaranteed", "FlowCytIntra-species-dilution-info": "1/500", "FlowCytIntra-species-notes": "<p></p>", "WB-species-checked": "testedAndGuaranteed", "WB-species-dilution-info": "1/1000", "WB-species-notes": "<p></p>", "IHCP-species-checked": "testedAndGuaranteed", "IHCP-species-dilution-info": "1/100", "IHCP-species-notes": "<p></p>" }, "Mouse": { "ICCIF-species-checked": "testedAndGuaranteed", "ICCIF-species-dilution-info": "1/50", "ICCIF-species-notes": "<p></p>", "IP-species-checked": "testedAndGuaranteed", "IP-species-dilution-info": "1/30", "IP-species-notes": "<p></p>", "FlowCytIntra-species-checked": "testedAndGuaranteed", "FlowCytIntra-species-dilution-info": "1/500", "FlowCytIntra-species-notes": "<p></p>", "WB-species-checked": "testedAndGuaranteed", "WB-species-dilution-info": "1/1000", "WB-species-notes": "<p></p>", "IHCP-species-checked": "testedAndGuaranteed", "IHCP-species-dilution-info": "1/100", "IHCP-species-notes": "<p></p>" }, "Rat": { "ICCIF-species-checked": "guaranteed", "ICCIF-species-dilution-info": "", "ICCIF-species-notes": "", "IP-species-checked": "guaranteed", "IP-species-dilution-info": "", "IP-species-notes": "", "FlowCytIntra-species-checked": "guaranteed", "FlowCytIntra-species-dilution-info": "", "FlowCytIntra-species-notes": "", "WB-species-checked": "testedAndGuaranteed", "WB-species-dilution-info": "1/1000", "WB-species-notes": "<p></p>", "IHCP-species-checked": "notRecommended", "IHCP-species-dilution-info": "1/100", "IHCP-species-notes": "<p></p>" } } }

Product details

Patented technology
Our RabMAb® technology is a patented hybridoma-based technology for making rabbit monoclonal antibodies. For details on our patents, please refer to RabMAb® patents.

What are the advantages of a recombinant monoclonal antibody?
This product is a recombinant monoclonal antibody, which offers several advantages including:

  • - High batch-to-batch consistency and reproducibility
  • - Improved sensitivity and specificity
  • - Long-term security of supply
  • - Animal-free batch production

For more information, read more on recombinant antibodies.

Properties and storage information

Form
Liquid
Purification technique
Affinity purification Protein A
Storage buffer
pH: 7.2 - 7.4 Preservative: 0.01% Sodium azide Constituents: PBS, 40% Glycerol (glycerin, glycerine), 0.05% BSA
Shipped at conditions
Blue Ice
Appropriate short-term storage duration
1-2 weeks
Appropriate short-term storage conditions
+4°C
Appropriate long-term storage conditions
-20°C
Aliquoting information
Upon delivery aliquot
Storage information
Avoid freeze / thaw cycle

Supplementary information

This supplementary information is collated from multiple sources and compiled automatically.

The hnRNP D/AUF1 protein also known as heterogeneous nuclear ribonucleoprotein D has a molecular mass of approximately 37-40 kDa. It plays a significant role in the cellular machinery by binding to RNA molecules mainly impacting mRNA stability and turnover. The protein is expressed ubiquitously in various tissues throughout the body indicating its importance in numerous cellular functions. It is one of the hnRNP family members involved in the post-transcriptional regulation of gene expression.
Biological function summary

HnRNP D/AUF1 regulates the degradation of mRNA by binding to AU-rich elements (AREs) found in the 3' untranslated region of many genes. It is an integral part of RNA-protein complexes that are important for controlling the half-life of mRNAs. Besides mRNA decay hnRNP D/AUF1 participates in other processes like mRNA splicing and transport. Its interactions within the ribonucleoprotein complexes highlight its versatile role in RNA metabolism.

Pathways

HnRNP D/AUF1 operates within important biological processes such as the mRNA decay pathway and the stress response pathway. It interacts closely with other proteins involved in mRNA decay such as tristetraprolin and members of the poly-A binding protein family. hnRNP D/AUF1 influences the decay rate of different transcripts contributing to cellular responses to environmental stimuli and maintaining homeostasis.

HnRNP D/AUF1 links to inflammatory conditions and some types of cancer. Altered expression levels of AUF1 have been associated with chronic inflammation where its role in mRNA stability impacts the expression of cytokines. In cancer dysregulation of AUF1 can lead to incorrect mRNA turnover of tumor suppressors or oncogenes linking it to proteins like p53 in the context of tumorigenesis. These associations make hnRNP D/AUF1 a potential target for therapeutic interventions in related diseases.

Product protocols

For this product, it's our understanding that no specific protocols are required. You can visit:

Target data

Binds with high affinity to RNA molecules that contain AU-rich elements (AREs) found within the 3'-UTR of many proto-oncogenes and cytokine mRNAs. Also binds to double- and single-stranded DNA sequences in a specific manner and functions a transcription factor. Each of the RNA-binding domains specifically can bind solely to a single-stranded non-monotonous 5'-UUAG-3' sequence and also weaker to the single-stranded 5'-TTAGGG-3' telomeric DNA repeat. Binds RNA oligonucleotides with 5'-UUAGGG-3' repeats more tightly than the telomeric single-stranded DNA 5'-TTAGGG-3' repeats. Binding of RRM1 to DNA inhibits the formation of DNA quadruplex structure which may play a role in telomere elongation. May be involved in translationally coupled mRNA turnover. Implicated with other RNA-binding proteins in the cytoplasmic deadenylation/translational and decay interplay of the FOS mRNA mediated by the major coding-region determinant of instability (mCRD) domain. May play a role in the regulation of the rhythmic expression of circadian clock core genes. Directly binds to the 3'UTR of CRY1 mRNA and induces CRY1 rhythmic translation. May also be involved in the regulation of PER2 translation.
See full target information HNRNPD

Publications (7)

Recent publications for all applications. Explore the full list and refine your search

Acta pharmaceutica Sinica. B 15:4872-4885 PubMed41049747

2025

The toxic components, toxicological mechanism and effective antidote for poisoning.

Applications

Unspecified application

Species

Unspecified reactive species

Niping Li,Yaorong Yang,Shengyuan Zhang,Bin Jiang,Wei Zhang,Haibo Wang,Lixin Chen,Liwei Wang,Yiyi Li,Lei Shi,Wencai Ye,Lei Wang

Exploration (Beijing, China) 5:270015 PubMed40585763

2025

The RNA Binding Protein Bcas2 is Required for Antibody Class Switch in Activated-B Cells.

Applications

Unspecified application

Species

Unspecified reactive species

Yu Chen,Siyuan Sun,Chenxu Lu,Yixuan Li,Bing Fang,Xiangfeng Tang,Xuepeng Li,Weiru Yu,Yumei Lei,Longjie Sun,Ming Zhang,Jiazeng Sun,Ping Liu,Yongting Luo,Xingwang Zhao,Jing Zhan,Libing Liu,Rong Liu,Jiaqiang Huang,Ziwei Yi,Yifei Yu,Weihan Xiao,Zheng Ding,Lei Li,Dan Su,Fazheng Ren,Changchang Cao,Ran Wang,Wenbiao Shi,Juan Chen

Molecular cancer 24:82 PubMed40098195

2025

o8G-modified circPLCE1 inhibits lung cancer progression via chaperone-mediated autophagy.

Applications

Unspecified application

Species

Unspecified reactive species

Qingyun Zhao,Dunyu Cai,Haotian Xu,Yihong Gao,Ruirui Zhang,Xiaodong Zhou,Xingcai Chen,Sixian Chen,Jiaxi Wu,Wenyi Peng,Shengyi Yuan,Deqing Li,Gang Li,Aruo Nan

Translational cancer research 14:584-594 PubMed39974382

2025

LncRNA ZEB1-AS1 promotes the proliferation and migration of non-small cell lung cancer by activating epithelial-mesenchymal transition with STAT3.

Applications

Unspecified application

Species

Unspecified reactive species

Zhengjin Chen,Yangwei Yao,Jingpeng Gao

Frontiers in oncology 13:1164070 PubMed37538116

2023

PFDN2 promotes cell cycle progression via the hnRNPD-MYBL2 axis in gastric cancer.

Applications

Unspecified application

Species

Unspecified reactive species

Qiuming He,Zheyu Ding,Tingna Chen,Haitao Wu,Jialing Song,Zhenxian Xiang,Chaogang Yang,Shuyi Wang,Bin Xiong

Advanced science (Weinheim, Baden-Wurttemberg, Germany) 10:e2207257 PubMed37096846

2023

Targeting lncRNA DDIT4-AS1 Sensitizes Triple Negative Breast Cancer to Chemotherapy via Suppressing of Autophagy.

Applications

Unspecified application

Species

Unspecified reactive species

Ting Jiang,Jiaojiao Zhu,Shilong Jiang,Zonglin Chen,Ping Xu,Rong Gong,Changxin Zhong,Yueying Cheng,Xinyuan Sun,Wenjun Yi,Jinming Yang,Wenhu Zhou,Yan Cheng

iScience 25:103984 PubMed35281743

2022

Extracellular vesicles promotes liver metastasis of lung cancer by ALAHM increasing hepatocellular secretion of HGF.

Applications

Unspecified application

Species

Unspecified reactive species

Chunyang Jiang,Xu Li,Bingsheng Sun,Na Zhang,Jing Li,Shijing Yue,Xiaoli Hu
View all publications

Product promise

We are committed to supporting your work with high-quality reagents, and we're here for you every step of the way. In the unlikely event that one of our products does not perform as expected, you're protected by our Product Promise.
For full details, please see our Terms & Conditions

Please note: All products are 'FOR RESEARCH USE ONLY. NOT FOR USE IN DIAGNOSTIC OR THERAPEUTIC PROCEDURES'.

For licensing inquiries, please contact partnerships@abcam.com