JavaScript is disabled in your browser. Please enable JavaScript to view this website.
AB61096

Anti-hnRNP D/AUF1 (phospho S83) antibody

0

(1 Review)

|

(1 Publication)

Rabbit Polyclonal hnRNP D/AUF1 phospho S83 antibody. Suitable for IHC-P and reacts with Human samples. Cited in 1 publication. Immunogen corresponding to Synthetic Peptide within Human HNRNPD phospho S83 aa 1-100.

View Alternative Names

AUF1, HNRPD, HNRNPD, Heterogeneous nuclear ribonucleoprotein D0, hnRNP D0, AU-rich element RNA-binding protein 1

1 Images
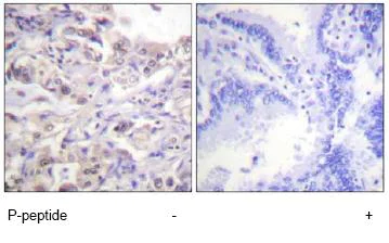
Immunohistochemistry (Formalin/PFA-fixed paraffin-embedded sections) - Anti-hnRNP D/AUF1 (phospho S83) antibody (AB61096)
  • IHC-P

Unknown

Immunohistochemistry (Formalin/PFA-fixed paraffin-embedded sections) - Anti-hnRNP D/AUF1 (phospho S83) antibody (AB61096)

1/50-1/100 ab61096 staining phosphorilated hnRNP D/AUF1 on human lung carcinoma tissue sections, in the absence or presence of the immunizing phosphopeptide.

Key facts

Host species

Rabbit

Clonality

Polyclonal

Isotype

IgG

Carrier free

No

Reacts with

Human

Applications

IHC-P

applications

Immunogen

Synthetic Peptide within Human HNRNPD phospho S83 aa 1-100. The exact immunogen used to generate this antibody is proprietary information.

Q14103

Reactivity data

{ "title": "Reactivity Data", "filters": { "stats": ["", "Species", "Dilution Info", "Notes"], "tabs": { "all-applications": {"fullname" : "All Applications", "shortname": "All Applications"}, "IHCP" : {"fullname" : "Immunohistochemistry (Formalin/PFA-fixed paraffin-embedded sections)", "shortname":"IHC-P"} }, "product-promise": { "all": "all", "testedAndGuaranteed": "tested", "guaranteed": "expected", "predicted": "predicted", "notRecommended": "not-recommended" } }, "values": { "Human": { "IHCP-species-checked": "testedAndGuaranteed", "IHCP-species-dilution-info": "1/50 - 1/100", "IHCP-species-notes": "<p></p>" } } }

Properties and storage information

Form
Liquid
Purification technique
Affinity purification Immunogen
Purification notes
Affinity-purified from rabbit antiserum by affinity-chromatography, usingepitope-specific phosphopeptide. The antibody against non-phosphopeptide was removed by chromatography using non-phosphopeptide corresponding to the phosphorylation site.
Storage buffer
pH: 7.4 Preservative: 0.02% Sodium azide Constituents: PBS, 50% Glycerol (glycerin, glycerine), 0.87% Sodium chloride
Shipped at conditions
Blue Ice
Appropriate short-term storage conditions
+4°C
Appropriate long-term storage conditions
-20°C
Storage information
Stable for 12 months at -20°C

Supplementary information

This supplementary information is collated from multiple sources and compiled automatically.

The hnRNP D/AUF1 protein also known as heterogeneous nuclear ribonucleoprotein D has a molecular mass of approximately 37-40 kDa. It plays a significant role in the cellular machinery by binding to RNA molecules mainly impacting mRNA stability and turnover. The protein is expressed ubiquitously in various tissues throughout the body indicating its importance in numerous cellular functions. It is one of the hnRNP family members involved in the post-transcriptional regulation of gene expression.
Biological function summary

HnRNP D/AUF1 regulates the degradation of mRNA by binding to AU-rich elements (AREs) found in the 3' untranslated region of many genes. It is an integral part of RNA-protein complexes that are important for controlling the half-life of mRNAs. Besides mRNA decay hnRNP D/AUF1 participates in other processes like mRNA splicing and transport. Its interactions within the ribonucleoprotein complexes highlight its versatile role in RNA metabolism.

Pathways

HnRNP D/AUF1 operates within important biological processes such as the mRNA decay pathway and the stress response pathway. It interacts closely with other proteins involved in mRNA decay such as tristetraprolin and members of the poly-A binding protein family. hnRNP D/AUF1 influences the decay rate of different transcripts contributing to cellular responses to environmental stimuli and maintaining homeostasis.

HnRNP D/AUF1 links to inflammatory conditions and some types of cancer. Altered expression levels of AUF1 have been associated with chronic inflammation where its role in mRNA stability impacts the expression of cytokines. In cancer dysregulation of AUF1 can lead to incorrect mRNA turnover of tumor suppressors or oncogenes linking it to proteins like p53 in the context of tumorigenesis. These associations make hnRNP D/AUF1 a potential target for therapeutic interventions in related diseases.

Product protocols

For this product, it's our understanding that no specific protocols are required. You can visit:

Target data

Binds with high affinity to RNA molecules that contain AU-rich elements (AREs) found within the 3'-UTR of many proto-oncogenes and cytokine mRNAs. Also binds to double- and single-stranded DNA sequences in a specific manner and functions a transcription factor. Each of the RNA-binding domains specifically can bind solely to a single-stranded non-monotonous 5'-UUAG-3' sequence and also weaker to the single-stranded 5'-TTAGGG-3' telomeric DNA repeat. Binds RNA oligonucleotides with 5'-UUAGGG-3' repeats more tightly than the telomeric single-stranded DNA 5'-TTAGGG-3' repeats. Binding of RRM1 to DNA inhibits the formation of DNA quadruplex structure which may play a role in telomere elongation. May be involved in translationally coupled mRNA turnover. Implicated with other RNA-binding proteins in the cytoplasmic deadenylation/translational and decay interplay of the FOS mRNA mediated by the major coding-region determinant of instability (mCRD) domain. May play a role in the regulation of the rhythmic expression of circadian clock core genes. Directly binds to the 3'UTR of CRY1 mRNA and induces CRY1 rhythmic translation. May also be involved in the regulation of PER2 translation.
See full target information HNRNPD phospho S83

Publications (1)

Recent publications for all applications. Explore the full list and refine your search

Nature communications 9:1106 PubMed29549256

2018

PLK1 has tumor-suppressive potential in APC-truncated colon cancer cells.

Applications

Unspecified application

Species

Unspecified reactive species

Monika Raab,Mourad Sanhaji,Yves Matthess,Albrecht Hörlin,Ioana Lorenz,Christina Dötsch,Nils Habbe,Oliver Waidmann,Elisabeth Kurunci-Csacsko,Ron Firestein,Sven Becker,Klaus Strebhardt
View all publications

Product promise

We are committed to supporting your work with high-quality reagents, and we're here for you every step of the way. In the unlikely event that one of our products does not perform as expected, you're protected by our Product Promise.
For full details, please see our Terms & Conditions

Please note: All products are 'FOR RESEARCH USE ONLY. NOT FOR USE IN DIAGNOSTIC OR THERAPEUTIC PROCEDURES'.

For licensing inquiries, please contact partnerships@abcam.com