JavaScript is disabled in your browser. Please enable JavaScript to view this website.
AB250050

Anti-hnRNP G-T antibody [EPR12593-14] - BSA and Azide free

Be the first to review this product! Submit a review

|

(1 Publication)

Rabbit Recombinant Monoclonal hnRNP G-T antibody. Carrier free. Suitable for IHC-P, WB and reacts with Human samples. Cited in 1 publication.

View Alternative Names

HNRNPGT, RBMXL2, Testis-specific heterogeneous nuclear ribonucleoprotein G-T, hnRNP G-T

2 Images
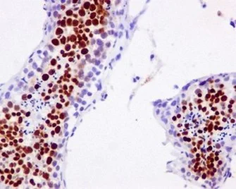
Immunohistochemistry (Formalin/PFA-fixed paraffin-embedded sections) - Anti-hnRNP G-T antibody [EPR12593-14] - BSA and Azide free (AB250050)
  • IHC-P

Supplier Data

Immunohistochemistry (Formalin/PFA-fixed paraffin-embedded sections) - Anti-hnRNP G-T antibody [EPR12593-14] - BSA and Azide free (AB250050)

This data was developed using ab178429, the same antibody clone in a different buffer formulation.

Immunohistochemical analysis of paraffin-embedded Human testis tissue labeling hnRNP G-T with ab178429 at 1/100 dilution.

Perform heat mediated antigen retrieval before commencing with IHC staining protocol.

Western blot - Anti-hnRNP G-T antibody [EPR12593-14] - BSA and Azide free (AB250050)
  • WB

Supplier Data

Western blot - Anti-hnRNP G-T antibody [EPR12593-14] - BSA and Azide free (AB250050)

This data was developed using ab178429, the same antibody clone in a different buffer formulation.

All lanes:

Western blot - Anti-hnRNP G-T antibody [EPR12593-14] (<a href='/en-us/products/primary-antibodies/hnrnp-g-t-antibody-epr12593-14-ab178429'>ab178429</a>) at 1/1000 dilution

Lane 1:

Human testis tissue lysate at 10 µg

Lane 2:

Human seminoma lysate at 10 µg

Secondary

All lanes:

Goat anti-rabbit HRP conjugated antibody

Predicted band size: 43 kDa

true

Key facts

Host species

Rabbit

Clonality

Monoclonal

Clone number

EPR12593-14

Isotype

IgG

Carrier free

Yes

Reacts with

Human

Applications

IHC-P, WB

applications

Immunogen

The exact immunogen used to generate this antibody is proprietary information.

Reactivity data

{ "title": "Reactivity Data", "filters": { "stats": ["", "Species", "Dilution Info", "Notes"], "tabs": { "all-applications": {"fullname" : "All Applications", "shortname": "All Applications"}, "IHCP" : {"fullname" : "Immunohistochemistry (Formalin/PFA-fixed paraffin-embedded sections)", "shortname":"IHC-P"}, "ICCIF" : {"fullname" : "Immunocytochemistry/ Immunofluorescence", "shortname":"ICC/IF"}, "IP" : {"fullname" : "Immunoprecipitation", "shortname":"IP"}, "WB" : {"fullname" : "Western blot", "shortname":"WB"} }, "product-promise": { "all": "all", "testedAndGuaranteed": "tested", "guaranteed": "expected", "predicted": "predicted", "notRecommended": "not-recommended" } }, "values": { "Human": { "IHCP-species-checked": "testedAndGuaranteed", "IHCP-species-dilution-info": "", "IHCP-species-notes": "<p></p>", "ICCIF-species-checked": "notRecommended", "ICCIF-species-dilution-info": "", "ICCIF-species-notes": "<p></p>", "IP-species-checked": "notRecommended", "IP-species-dilution-info": "", "IP-species-notes": "<p></p>", "WB-species-checked": "testedAndGuaranteed", "WB-species-dilution-info": "", "WB-species-notes": "<p></p>" }, "Mouse": { "IHCP-species-checked": "notRecommended", "IHCP-species-dilution-info": "", "IHCP-species-notes": "<p></p>", "ICCIF-species-checked": "notRecommended", "ICCIF-species-dilution-info": "", "ICCIF-species-notes": "<p></p>", "IP-species-checked": "notRecommended", "IP-species-dilution-info": "", "IP-species-notes": "<p></p>", "WB-species-checked": "notRecommended", "WB-species-dilution-info": "", "WB-species-notes": "<p></p>" }, "Rat": { "IHCP-species-checked": "notRecommended", "IHCP-species-dilution-info": "", "IHCP-species-notes": "<p></p>", "ICCIF-species-checked": "notRecommended", "ICCIF-species-dilution-info": "", "ICCIF-species-notes": "<p></p>", "IP-species-checked": "notRecommended", "IP-species-dilution-info": "", "IP-species-notes": "<p></p>", "WB-species-checked": "notRecommended", "WB-species-dilution-info": "", "WB-species-notes": "<p></p>" } } }

Product details

ab250050 is the carrier-free version of ab178429.

Patented technology
Our RabMAb® technology is a patented hybridoma-based technology for making rabbit monoclonal antibodies. For details on our patents, please refer to RabMAb® patents.

What are the advantages of a recombinant monoclonal antibody?
This product is a recombinant monoclonal antibody, which offers several advantages including:

  • - High batch-to-batch consistency and reproducibility
  • - Improved sensitivity and specificity
  • - Long-term security of supply
  • - Animal-free batch production

For more information, read more on recombinant antibodies.

Conjugation ready
Our carrier-free antibodies are typically supplied in a PBS-only formulation, purified and free of BSA, sodium azide and glycerol. This conjugation-ready format is designed for use with fluorochromes, metal isotopes, oligonucleotides, and enzymes, which makes them ideal for antibody labelling, functional and cell-based assays, flow-based assays (e.g. mass cytometry) and Multiplex Imaging applications.

Use our conjugation kits for antibody conjugates that are ready-to-use in as little as 20 minutes with 1 minute hands-on-time and 100% antibody recovery: available for fluorescent dyes, HRP, biotin and gold.

Compatibility
This product is compatible with the Maxpar® Antibody Labeling Kit from Fluidigm, without the need for antibody preparation. Maxpar® is a trademark of Fluidigm Canada Inc.

Properties and storage information

Form
Liquid
Purification technique
Affinity purification Protein A
Storage buffer
pH: 7.2 - 7.4 Constituents: PBS
Shipped at conditions
Blue Ice
Appropriate short-term storage conditions
+4°C
Appropriate long-term storage conditions
+4°C
Storage information
Do Not Freeze

Supplementary information

This supplementary information is collated from multiple sources and compiled automatically.

Heterogeneous nuclear ribonucleoprotein G-T (hnRNP G-T) also known as RBMX2 is a member of the hnRNP family. This protein has a molecular mass of approximately 41 kDa. Mechanically hnRNP G-T functions in RNA binding and splicing playing roles in the regulation of mRNA metabolism. Expression of hnRNP G-T is found in various human tissues with notable presence in the testis implicating potential roles in testicular functions and spermatogenesis.
Biological function summary

HnRNP G-T participates in post-transcriptional gene regulation. It forms complexes with RNA molecules affecting the outcome of splicing events. Such involvement influences the diversity and stability of mRNA which can impact protein translation. In addition to its RNA-binding capacity hnRNP G-T's function extends to modulating mRNA export from the nucleus to the cytoplasm affecting protein synthesis.

Pathways

HnRNP G-T integrates within the splicing machinery affecting the spliceosome pathway. It ensures accurate splicing decisions that are essential for producing functional proteins. hnRNP G-T shows interactions with other splicing-related proteins like SR proteins which enhance or repress splicing decisions based on cellular context. Its involvement also extends to the mRNA surveillance pathway maintaining RNA quality control processes that detect and degrade faulty mRNA transcripts.

Deficiencies or aberrations in hnRNP G-T activity have associations with male infertility and certain cancers such as testicular and prostate cancer. Its interaction with proteins like BRCA1 highlights its potential impacts on genomic stability and cell-cycle regulation pathways. Differences in hnRNP G-T function or expression contribute to improper splicing events leading to pathological conditions that disrupt normal cellular functions and enhance disease progression.

Product protocols

For this product, it's our understanding that no specific protocols are required. You can visit:

Publications (1)

Recent publications for all applications. Explore the full list and refine your search

Molecular medicine (Cambridge, Mass.) 31:65 PubMed39972431

2025

Mechanism of histone demethylase KDM5A in osteoporotic fracture healing through epigenetic regulation of the miR-495/SKP2/Runx2 axis.

Applications

Unspecified application

Species

Unspecified reactive species

Zhuoran Li,Junyan Zhang,Tingting Xu,Zhiying Hao,Yadong Li
View all publications

Product promise

We are committed to supporting your work with high-quality reagents, and we're here for you every step of the way. In the unlikely event that one of our products does not perform as expected, you're protected by our Product Promise.
For full details, please see our Terms & Conditions

Please note: All products are 'FOR RESEARCH USE ONLY. NOT FOR USE IN DIAGNOSTIC OR THERAPEUTIC PROCEDURES'.

For licensing inquiries, please contact partnerships@abcam.com