JavaScript is disabled in your browser. Please enable JavaScript to view this website.
AB289974

Anti-hnRNP H antibody [EPR25302-12]

  • BOND RX™ Validated
  • 20ul selling size
  • RabMAb
  • Recombinant
  • What is this?

Be the first to review this product! Submit a review

|

(1 Publication)

Rabbit Recombinant Monoclonal hnRNP H antibody. Suitable for IHC-P, ICC/IF, IP, WB, Flow Cyt (Intra) and reacts with Mouse, Rat, Human, Recombinant fragment samples. Cited in 1 publication.

View Alternative Names

HNRPH, HNRPH1, HNRNPH1, Heterogeneous nuclear ribonucleoprotein H, hnRNP H

14 Images
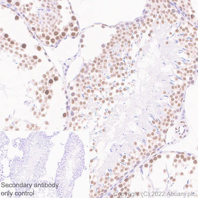
Immunohistochemistry (Formalin/PFA-fixed paraffin-embedded sections) - Anti-hnRNP H antibody [EPR25302-12] (AB289974)
  • IHC-P

Lab

Immunohistochemistry (Formalin/PFA-fixed paraffin-embedded sections) - Anti-hnRNP H antibody [EPR25302-12] (AB289974)

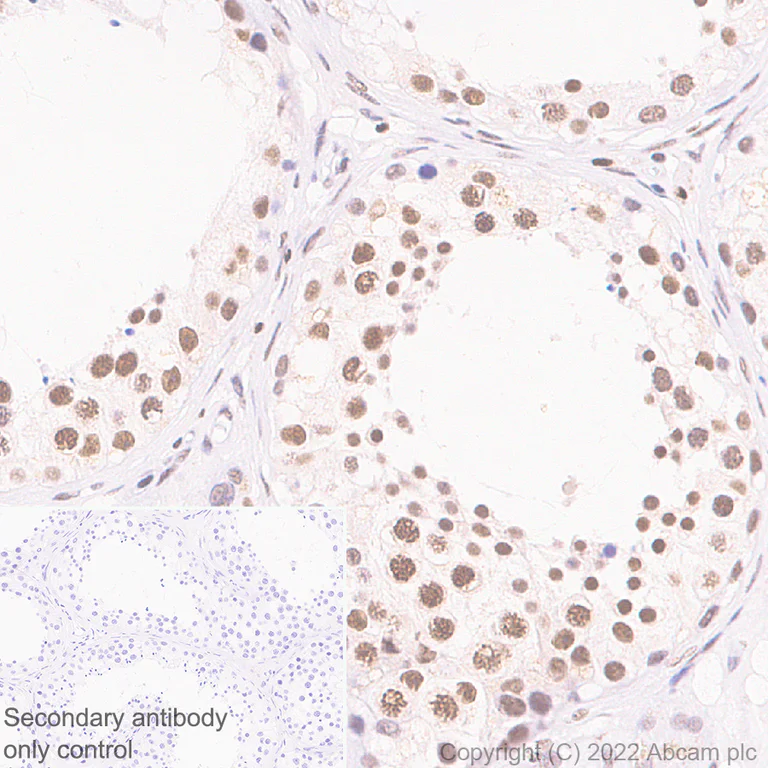
Immunohistochemical analysis of paraffin-embedded Human testis tissue labelling hnRNP H with ab289974 at 1/500 dilution followed by LeicaDS9800 (Bond™, Polymer Refine Detection). Positive staining on human testis. The section was incubated with ab289974 for 30 mins at room temperature. The immunostaining was performed on a Leica Biosystems BOND® RX instrument. Counterstained with Hematoxylin.

Secondary antibody only control : Secondary antibody is LeicaDS9800 (Bond™, Polymer Refine Detection).

Heat mediated antigen retrieval with Citrate buffer (pH 6.0, epitope retrieval solution 1) for 20 mins

Immunocytochemistry/ Immunofluorescence - Anti-hnRNP H antibody [EPR25302-12] (AB289974)
  • ICC/IF

Lab

Immunocytochemistry/ Immunofluorescence - Anti-hnRNP H antibody [EPR25302-12] (AB289974)

Immunofluorescent analysis of 4% Paraformaldehyde-fixed, 0.1% Triton X-100 permeabilized HeLa cells labeling hnRNP H with ab289974 at 1/100 dilution, followed by ab150081 Goat Anti-Rabbit IgG H&L (Alexa Fluor® 488) preadsorbed antibody at 1/1000 dilution (Green). Confocal image showing nuclear staining in HeLa cell line. ab195889 Anti-alpha Tubulin mouse monoclonal antibody - Microtubule Marker (Alexa Fluor® 594) was used to counterstain tubulin at 1/200 dilution (Red). The Nuclear counterstain was DAPI (Blue).

Secondary antibody only control : Secondary antibody is ab150081 Goat Anti-Rabbit IgG H&L (Alexa Fluor® 488) preadsorbed at 1/1000 dilution.

Immunohistochemistry (Formalin/PFA-fixed paraffin-embedded sections) - Anti-hnRNP H antibody [EPR25302-12] (AB289974)
  • IHC-P

Lab

Immunohistochemistry (Formalin/PFA-fixed paraffin-embedded sections) - Anti-hnRNP H antibody [EPR25302-12] (AB289974)

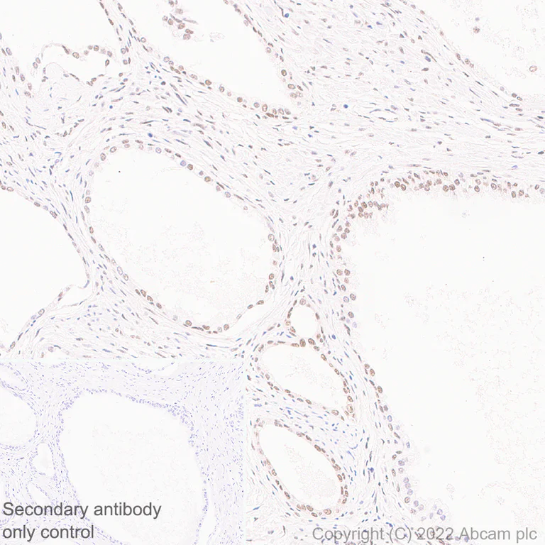
Immunohistochemical analysis of paraffin-embedded Human prostatic hype tissue labelling hnRNP H with ab289974 at 1/500 dilution followed by LeicaDS9800 (Bond™, Polymer Refine Detection). Positive staining on human prostatic hyperplasia. The section was incubated with ab289974 for 30 mins at room temperatureThe immunostaining was performed on a Leica Biosystems BOND® RX instrument. Counterstained with Hematoxylin.

Secondary antibody only control : Secondary antibody is LeicaDS9800 (Bond™, Polymer Refine Detection).

Heat mediated antigen retrieval with Citrate buffer (pH 6.0, epitope retrieval solution 1) for 20 mins

Flow Cytometry (Intracellular) - Anti-hnRNP H antibody [EPR25302-12] (AB289974)
  • Flow Cyt (Intra)

Lab

Flow Cytometry (Intracellular) - Anti-hnRNP H antibody [EPR25302-12] (AB289974)

Intracellular flow analysis of 4% paraformaldehyde fixed, 90% methanol permeabilized HeLa (Human cervix adenocarcinoma epithelial cell) cells labelling hnRNP H with ab289974 at 1/500 dilution (0.1μg) (Red) compared with a Rabbit monoclonal IgG (ab172730) (Black) isotype control and an unlabelled control (cells without incubation with primary antibody and secondary antibody) (Blue). A Goat Anti-Rabbit IgG (Alexa Fluor® 488, ab150081) at 1/2000 dilution was used as the secondary antibody.

Immunoprecipitation - Anti-hnRNP H antibody [EPR25302-12] (AB289974)
  • IP

Lab

Immunoprecipitation - Anti-hnRNP H antibody [EPR25302-12] (AB289974)

hnRNP H was immunoprecipitated from HeLa (human epithelial cell line from cervix adenocarcinoma), whole cell lysate with ab289974 at 1/30 dilution (2μg in 0.35mg lysates). Western blot was performed on the immunoprecipitate using ab289974 at 1/1000 dilution. VeriBlot for IP secondary antibody(HRP)(ab131366) was used at 1/5000 dilution.

Lane 1 : HeLa (human epithelial cell line from cervix adenocarcinoma) whole cell lysate 10 μg

Lane 2 : ab289974 IP in HeLa whole cell lysate

Lane 3 : Rabbit monoclonal IgG (ab172730) instead of ab289974 in HeLa whole cell lysate

Blocking and dilution buffer and concentration : 5% NFDM/TBST.

Exposure time : 3 seconds

All lanes:

Immunoprecipitation - Anti-hnRNP H antibody [EPR25302-12] (ab289974)

Predicted band size: 49 kDa

Observed band size: 50 kDa

false

Immunohistochemistry (Formalin/PFA-fixed paraffin-embedded sections) - Anti-hnRNP H antibody [EPR25302-12] (AB289974)
  • IHC-P

Lab

Immunohistochemistry (Formalin/PFA-fixed paraffin-embedded sections) - Anti-hnRNP H antibody [EPR25302-12] (AB289974)

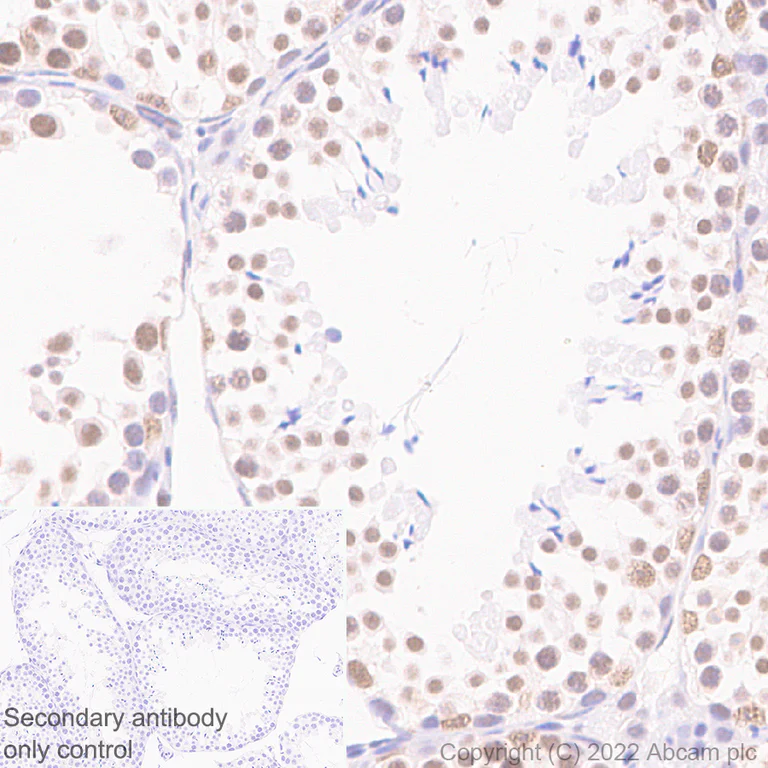
Immunohistochemical analysis of paraffin-embedded Rat testis tissue labelling hnRNP H with ab289974 at 1/500 dilution followed by LeicaDS9800 (Bond™, Polymer Refine Detection). Positive staining on rat testis. The section was incubated with ab289974 for 30 mins at room temperature. The immunostaining was performed on a Leica Biosystems BOND® RX instrument. Counterstained with Hematoxylin.

Secondary antibody only control : Secondary antibody is LeicaDS9800 (Bond™, Polymer Refine Detection).

Heat mediated antigen retrieval with Citrate buffer (pH 6.0, epitope retrieval solution 1) for 20 mins

Immunohistochemistry (Formalin/PFA-fixed paraffin-embedded sections) - Anti-hnRNP H antibody [EPR25302-12] (AB289974)
  • IHC-P

Lab

Immunohistochemistry (Formalin/PFA-fixed paraffin-embedded sections) - Anti-hnRNP H antibody [EPR25302-12] (AB289974)

Immunohistochemical analysis of paraffin-embedded Mouse testis tissue labelling hnRNP H with ab289974 at 1/500 dilution followed by LeicaDS9800 (Bond™, Polymer Refine Detection). Positive staining on mouse testis. The section was incubated with ab289974 for 30 mins at room temperature. The immunostaining was performed on a Leica Biosystems BOND® RX instrument. Counterstained with Hematoxylin.

Secondary antibody only control : Secondary antibody is LeicaDS9800 (Bond™, Polymer Refine Detection) .

Heat mediated antigen retrieval with Citrate buffer (pH 6.0, epitope retrieval solution 1) for 20 mins

Flow Cytometry (Intracellular) - Anti-hnRNP H antibody [EPR25302-12] (AB289974)
  • Flow Cyt (Intra)

Lab

Flow Cytometry (Intracellular) - Anti-hnRNP H antibody [EPR25302-12] (AB289974)

Intracellular flow cytometric analysis of 4% paraformaldehyde fixed, 90% methanol permeabilized C2C12 (Mouse myoblasts myoblast) cells labelling hnRNP H with ab289974 at 1/500 dilution (0.1μg) (Red) compared with a Rabbit monoclonal IgG (ab172730) (Black) isotype control and an unlabelled control (cells without incubation with primary antibody and secondary antibody) (Blue). A Goat Anti-Rabbit IgG (Alexa Fluor® 488, ab150081) at 1/2000 dilution was used as the secondary antibody.

Immunocytochemistry/ Immunofluorescence - Anti-hnRNP H antibody [EPR25302-12] (AB289974)
  • ICC/IF

Lab

Immunocytochemistry/ Immunofluorescence - Anti-hnRNP H antibody [EPR25302-12] (AB289974)

Immunofluorescent analysis of 4% Paraformaldehyde-fixed, 0.1% Triton X-100 permeabilized C2C12 cells llabeling hnRNP H with ab289974 at 1/100 dilution, followed by ab150081 Goat Anti-Rabbit IgG H&L (Alexa Fluor® 488) preadsorbed secondary antibody at 1/1000 dilution (Green). Confocal image showing nuclear staining in C2C12 cell line. ab195889 Anti-alpha Tubulin mouse monoclonal antibody - Microtubule Marker (Alexa Fluor® 594) was used to counterstain tubulin at 1/200 dilution (Red). The Nuclear counterstain was DAPI (Blue).

Secondary antibody only control : Secondary antibody is ab150081 Goat Anti-Rbit IgG H&L (Alexa Fluor® 488) preadsorbed at 1/1000 dilution.

Immunoprecipitation - Anti-hnRNP H antibody [EPR25302-12] (AB289974)
  • IP

Lab

Immunoprecipitation - Anti-hnRNP H antibody [EPR25302-12] (AB289974)

hnRNP H was immunoprecipitated from 0.35 mg C2C12 (Mouse myoblasts myoblast), whole cell lysate 10 µg with ab289974 at 1/30 dilution (2µg in 0.35mg lysates). Western blot was performed on the immunoprecipitate using ab289974 at 1/1000 dilution. VeriBlot for IP secondary antibody(HRP)(ab131366) was used at 1/5000 dilution. Lane 1 : C2C12 (Mouse myoblasts myoblast), whole cell lysate 10 µg

Lane 2 : ab289974 IP in C2C12 whole cell lysate

Lane 3 : Rabbit monoclonal IgG (ab172730) instead of ab289974 in C2C12 whole cell lysate

Blocking and dilution buffer and concentration : 5% NFDM/TBST.

Exposure time : 5.5 seconds

All lanes:

Immunoprecipitation - Anti-hnRNP H antibody [EPR25302-12] (ab289974)

Predicted band size: 49 kDa

Observed band size: 50 kDa

false

Western blot - Anti-hnRNP H antibody [EPR25302-12] (AB289974)
  • WB

Lab

Western blot - Anti-hnRNP H antibody [EPR25302-12] (AB289974)

Blocking and diluting buffer and concentration : 5% NFDM/TBST

The expression profile/ molecular weight observed is consistent with what has been described in the literature (PMID : 23667175, PMID : 21915099)

Exposure times : Lane 1 : 3 minutes Lane 2-6 : 15 seconds

All lanes:

Western blot - Anti-hnRNP H antibody [EPR25302-12] (ab289974) at 1/1000 dilution

Lane 1:

Human testis tissue lysate at 20 µg

Lane 2:

Mouse colon tissue lysate at 20 µg

Lane 3:

Mouse liver tissue lysate at 20 µg

Lane 4:

Mouse testis tissue lysate at 20 µg

Lane 5:

Rat liver tissue lysate at 20 µg

Lane 6:

Rat testis tissue lysate at 20 µg

Secondary

All lanes:

Goat Anti-Rabbit IgG, (H+L), Peroxidase conjugated (<a href='/en-us/products/secondary-antibodies/goat-rabbit-igg-h-l-hrp-ab97051'>ab97051</a>) at 1/100000 dilution

Predicted band size: 49 kDa

Observed band size: 50 kDa

false

Western blot - Anti-hnRNP H antibody [EPR25302-12] (AB289974)
  • WB

Lab

Western blot - Anti-hnRNP H antibody [EPR25302-12] (AB289974)

Blocking and diluting buffer and concentration : 5% NFDM/TBST

The expression profile/ molecular weight observed is consistent with what has been described in the literature (PMID : 23667175, PMID : 21915099)

Exposure times : Lane 1-3 : 3 seconds Lane 4-6 : 5 seconds

All lanes:

Western blot - Anti-hnRNP H antibody [EPR25302-12] (ab289974) at 1/1000 dilution

Lane 1:

HEK-293T (human embryonic kidney epithelial cell) whole cell lysate at 20 µg

Lane 2:

U-2OS(human bone osteosarcoma epithelial cell), whole cell lysate at 20 µg

Lane 3:

MOLT-4 (human lymphoblastic leukemia T lymphoblast), whole cell lysate at 20 µg

Lane 4:

C2C12 (Mouse myoblasts myoblast), whole cell lysate at 20 µg

Lane 5:

NIH/3T3 (mouse embryonic fibroblast), whole cell lysate at 20 µg

Lane 6:

C6 (rat glial tumor glial cell), whole cell lysate at 20 µg

Secondary

All lanes:

Goat Anti-Rabbit IgG, (H+L), Peroxidase conjugated (<a href='/en-us/products/secondary-antibodies/goat-rabbit-igg-h-l-hrp-ab97051'>ab97051</a>) at 1/100000 dilution

Predicted band size: 49 kDa

Observed band size: 50 kDa

false

Western blot - Anti-hnRNP H antibody [EPR25302-12] (AB289974)
  • WB

Lab

Western blot - Anti-hnRNP H antibody [EPR25302-12] (AB289974)

Blocking and diluting buffer and concentration : 5% NFDM/TBST

The expression profile/ molecular weight observed is consistent with what has been described in the literature (PMID : 23667175, PMID : 21915099)

Exposure time : 8 seconds

All lanes:

Western blot - Anti-hnRNP H antibody [EPR25302-12] (ab289974) at 1/1000 dilution

Lane 1:

HeLa (human cervix adenocarcinoma epithelial cell) transfected with scrambled siRNA control whole cell lysate at 20 µg

Lane 2:

HeLa transfected with siRNA specifically targeti hnRNP H whole cell lysate at 20 µg

Secondary

All lanes:

Western blot - Goat Anti-Rabbit IgG H&L (HRP) (<a href='/en-us/products/secondary-antibodies/goat-rabbit-igg-h-l-hrp-ab97051'>ab97051</a>) at 1/100000 dilution

Predicted band size: 49 kDa

Observed band size: 50 kDa

false

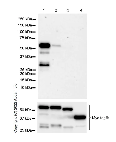
Western blot - Anti-hnRNP H antibody [EPR25302-12] (AB289974)
  • WB

Lab

Western blot - Anti-hnRNP H antibody [EPR25302-12] (AB289974)

Blocking and diluting buffer and concentration : 5% NFDM/TBST This antibody reacts with HNRPH1 and HNRPH2, but does not react with HNRNPF and HNRPH3. Exposure time : 114 seconds

All lanes:

Western blot - Anti-hnRNP H antibody [EPR25302-12] (ab289974) at 1/1000 dilution

Lane 1:

Myc-tagged human HNRPH1 (HNRNPH1) (NM_005520) recombinant protein (20 ng)

Lane 2:

Myc-tagged human HNRPH2 (HNRNPH2) (NM_019597) recombinant protein (20 ng)

Lane 3:

Myc-tagged human hnRNP F (HNRNPF) (NM_001098207) recombinant protein(20 ng)

Lane 4:

Myc-tagged human HNRPH3 (HNRNPH3) (NM_021644) recombinant protein (20 ng)

Secondary

All lanes:

Western blot - Goat Anti-Rabbit IgG H&L (HRP) (<a href='/en-us/products/secondary-antibodies/goat-rabbit-igg-h-l-hrp-ab97051'>ab97051</a>) at 1/100000 dilution

Predicted band size: 49 kDa

Observed band size: 50 kDa

false

  • Carrier free

    Anti-hnRNP H antibody [EPR25302-12] - BSA and Azide free

Key facts

Host species

Rabbit

Clonality

Monoclonal

Clone number

EPR25302-12

Isotype

IgG

Carrier free

No

Reacts with

Rat, Human, Mouse

Applications

IP, Flow Cyt (Intra), IHC-P, WB, ICC/IF

applications

Immunogen

The exact immunogen used to generate this antibody is proprietary information.

Reactivity data

{ "title": "Reactivity Data", "filters": { "stats": ["", "Species", "Dilution Info", "Notes"], "tabs": { "all-applications": {"fullname" : "All Applications", "shortname": "All Applications"}, "IHCP" : {"fullname" : "Immunohistochemistry (Formalin/PFA-fixed paraffin-embedded sections)", "shortname":"IHC-P"}, "ICCIF" : {"fullname" : "Immunocytochemistry/ Immunofluorescence", "shortname":"ICC/IF"}, "IP" : {"fullname" : "Immunoprecipitation", "shortname":"IP"}, "WB" : {"fullname" : "Western blot", "shortname":"WB"}, "FlowCytIntra" : {"fullname" : "Flow Cytometry (Intracellular)", "shortname":"Flow Cyt (Intra)"} }, "product-promise": { "all": "all", "testedAndGuaranteed": "tested", "guaranteed": "expected", "predicted": "predicted", "notRecommended": "not-recommended" } }, "values": { "Human": { "IHCP-species-checked": "testedAndGuaranteed", "IHCP-species-dilution-info": "1/500", "IHCP-species-notes": "<p></p>", "ICCIF-species-checked": "testedAndGuaranteed", "ICCIF-species-dilution-info": "1/100", "ICCIF-species-notes": "<p></p>", "IP-species-checked": "testedAndGuaranteed", "IP-species-dilution-info": "1/30", "IP-species-notes": "<p></p>", "WB-species-checked": "testedAndGuaranteed", "WB-species-dilution-info": "1/1000", "WB-species-notes": "<p></p>", "FlowCytIntra-species-checked": "testedAndGuaranteed", "FlowCytIntra-species-dilution-info": "1/500", "FlowCytIntra-species-notes": "<p></p>" }, "Mouse": { "IHCP-species-checked": "testedAndGuaranteed", "IHCP-species-dilution-info": "1/500", "IHCP-species-notes": "<p></p>", "ICCIF-species-checked": "testedAndGuaranteed", "ICCIF-species-dilution-info": "1/100", "ICCIF-species-notes": "<p></p>", "IP-species-checked": "testedAndGuaranteed", "IP-species-dilution-info": "1/30", "IP-species-notes": "<p></p>", "WB-species-checked": "testedAndGuaranteed", "WB-species-dilution-info": "1/1000", "WB-species-notes": "<p></p>", "FlowCytIntra-species-checked": "testedAndGuaranteed", "FlowCytIntra-species-dilution-info": "1/500", "FlowCytIntra-species-notes": "<p></p>" }, "Rat": { "IHCP-species-checked": "testedAndGuaranteed", "IHCP-species-dilution-info": "1/500", "IHCP-species-notes": "<p></p>", "ICCIF-species-checked": "guaranteed", "ICCIF-species-dilution-info": "", "ICCIF-species-notes": "", "IP-species-checked": "guaranteed", "IP-species-dilution-info": "", "IP-species-notes": "", "WB-species-checked": "testedAndGuaranteed", "WB-species-dilution-info": "1/1000", "WB-species-notes": "<p></p>", "FlowCytIntra-species-checked": "guaranteed", "FlowCytIntra-species-dilution-info": "", "FlowCytIntra-species-notes": "" }, "Recombinant fragment": { "IHCP-species-checked": "notRecommended", "IHCP-species-dilution-info": "", "IHCP-species-notes": "", "ICCIF-species-checked": "notRecommended", "ICCIF-species-dilution-info": "", "ICCIF-species-notes": "", "IP-species-checked": "notRecommended", "IP-species-dilution-info": "", "IP-species-notes": "", "WB-species-checked": "testedAndGuaranteed", "WB-species-dilution-info": "1/1000", "WB-species-notes": "<p></p>", "FlowCytIntra-species-checked": "notRecommended", "FlowCytIntra-species-dilution-info": "", "FlowCytIntra-species-notes": "" } } }

Product details

Patented technology
Our RabMAb® technology is a patented hybridoma-based technology for making rabbit monoclonal antibodies. For details on our patents, please refer to RabMAb® patents.

What are the advantages of a recombinant monoclonal antibody?
This product is a recombinant monoclonal antibody, which offers several advantages including:

  • - High batch-to-batch consistency and reproducibility
  • - Improved sensitivity and specificity
  • - Long-term security of supply
  • - Animal-free batch production

For more information, read more on recombinant antibodies.

Properties and storage information

Form
Liquid
Purification technique
Affinity purification Protein A
Storage buffer
pH: 7.2 - 7.4 Preservative: 0.01% Sodium azide Constituents: PBS, 40% Glycerol (glycerin, glycerine), 0.05% BSA
Shipped at conditions
Blue Ice
Appropriate short-term storage duration
1-2 weeks
Appropriate short-term storage conditions
+4°C
Appropriate long-term storage conditions
-20°C
Aliquoting information
Upon delivery aliquot
Storage information
Avoid freeze / thaw cycle

Supplementary information

This supplementary information is collated from multiple sources and compiled automatically.

The heterogeneous nuclear ribonucleoprotein H (hnRNP H) also sometimes referred to as hnRNP H1 is an RNA-binding protein with a molecular mass of approximately 49 kDa. It belongs to the hnRNP family of proteins which are involved in the processing and transport of pre-mRNA. This protein is expressed in the nucleus of eukaryotic cells and plays a role in RNA stability and metabolism.
Biological function summary

HnRNP H acts as a splicing regulator and is a member of the hnRNP complex. It binds to the RNA cis-elements influencing alternative splicing events. hnRNP H can interact with other RNA-binding proteins and regulatory elements to modulate the inclusion or exclusion of certain exons. This helps in generating different mRNA variants allowing the production of protein diversity from a single gene.

Pathways

HnRNP H participates in the alternative splicing and mRNA processing pathways. The proteins it interacts with such as serine/arginine-rich splicing factor 1 (SRSF1) help facilitate the splicing mechanisms. hnRNP H's ability to influence splicing makes it essential for cellular processes like development and differentiation by producing proteins with varied functionalities.

HnRNP H has connections with cancer and neurodegenerative diseases. Dysregulation of hnRNP H's splicing activity has been linked to cancers like glioblastoma where it impacts the expression of oncogenic proteins. Additionally hnRNP H's role in splicing has associations with conditions like amyotrophic lateral sclerosis (ALS) where proteins such as TAR DNA-binding protein 43 (TDP-43) might also be involved.

Product protocols

For this product, it's our understanding that no specific protocols are required. You can visit:

Target data

This protein is a component of the heterogeneous nuclear ribonucleoprotein (hnRNP) complexes which provide the substrate for the processing events that pre-mRNAs undergo before becoming functional, translatable mRNAs in the cytoplasm. Mediates pre-mRNA alternative splicing regulation. Inhibits, together with CUGBP1, insulin receptor (IR) pre-mRNA exon 11 inclusion in myoblast. Binds to the IR RNA. Binds poly(RG).
See full target information HNRNPH1

Publications (1)

Recent publications for all applications. Explore the full list and refine your search

Biomolecules 13: PubMed37759675

2023

Novel Anti-Melanoma Compounds Are Efficacious in A375 Cell Line Xenograft Melanoma Model in Nude Mice.

Applications

Unspecified application

Species

Unspecified reactive species

Sadeeshkumar Velayutham,Ryan Seerattan,Maab Sultan,Trisha Seal,Samaya Danthurthy,Baskaran Chinnappan,Jessica Landi,Kaitlyn Pearl,Aveta Singh,Keiran S M Smalley,Julia Zaias,Jun Yong Choi,Dmitriy Minond
View all publications

Product promise

We are committed to supporting your work with high-quality reagents, and we're here for you every step of the way. In the unlikely event that one of our products does not perform as expected, you're protected by our Product Promise.
For full details, please see our Terms & Conditions

Please note: All products are 'FOR RESEARCH USE ONLY. NOT FOR USE IN DIAGNOSTIC OR THERAPEUTIC PROCEDURES'.

For licensing inquiries, please contact partnerships@abcam.com