JavaScript is disabled in your browser. Please enable JavaScript to view this website.
AB70492

Anti-hnRNP K antibody

Be the first to review this product! Submit a review

|

(16 Publications)

Rabbit Polyclonal hnRNP K antibody. Suitable for IP, WB, IHC-P, ICC/IF, ChIP/Chip and reacts with Human, Mouse samples. Cited in 16 publications. Immunogen corresponding to Synthetic Peptide within Human HNRNPK.

View Alternative Names

HNRPK, HNRNPK, Heterogeneous nuclear ribonucleoprotein K, hnRNP K, Transformation up-regulated nuclear protein, TUNP

4 Images
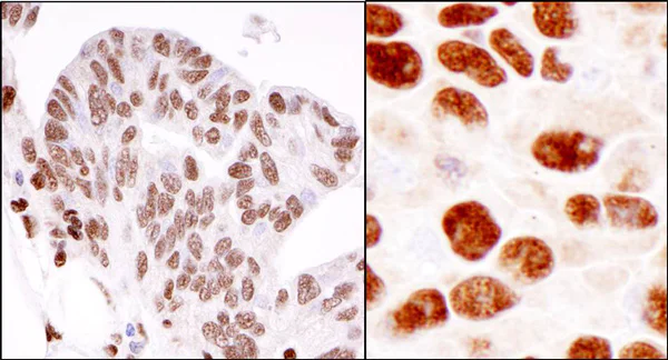
Immunohistochemistry (Formalin/PFA-fixed paraffin-embedded sections) - Anti-hnRNP K antibody (AB70492)
  • IHC-P

Lab

Immunohistochemistry (Formalin/PFA-fixed paraffin-embedded sections) - Anti-hnRNP K antibody (AB70492)

IHC image of hnRNP K staining in Human Colon Adenocarcinoma formalin fixed paraffin embedded tissue section, performed on a Leica Bond™ system using the standard protocol F. The section was pre-treated using heat mediated antigen retrieval with sodium citrate buffer (pH6, epitope retrieval solution 1) for 20 mins. The section was then incubated with ab70492, 0.5 μg/ml, for 15 mins at room temperature and detected using an HRP conjugated compact polymer system. DAB was used as the chromogen. The section was then counterstained with haematoxylin and mounted with DPX.

For other IHC staining systems (automated and non-automated) customers should optimize variable parameters such as antigen retrieval conditions, primary antibody concentration and antibody incubation times.

Western blot - Anti-hnRNP K antibody (AB70492)
  • WB

Unknown

Western blot - Anti-hnRNP K antibody (AB70492)

All lanes:

Western blot - Anti-hnRNP K antibody (ab70492) at 0.04 µg/mL

Lane 1:

HeLa whole cell lysate at 50 µg

Lane 2:

HeLa whole cell lysate at 15 µg

Lane 3:

HeLa whole cell lysate at 5 µg

Lane 4:

293T whole cell lysate at 50 µg

Lane 5:

NIH3T3 whole cell lysate at 50 µg

Predicted band size: 50 kDa

Observed band size: 51 kDa,55 kDa

false

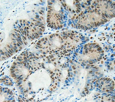
Immunohistochemistry (Formalin/PFA-fixed paraffin-embedded sections) - Anti-hnRNP K antibody (AB70492)
  • IHC-P

Supplier Data

Immunohistochemistry (Formalin/PFA-fixed paraffin-embedded sections) - Anti-hnRNP K antibody (AB70492)

Immunohistochemistry (Formalin/PFA-fixed paraffin-embedded sections) analysis of human ovarian carcinoma (left) and mouse squamous cell carcinoma (right) tissues labelling hnRNP K with ab70492 at 1/1000 (0.2µg/ml). Detection : DAB.

Immunoprecipitation - Anti-hnRNP K antibody (AB70492)
  • IP

Unknown

Immunoprecipitation - Anti-hnRNP K antibody (AB70492)

Detection of Human hnRNP K by Immunoprecipitation in Whole cell lysate from HeLa cells (1 mg/IP, 20% of IP loaded) using ab70492 at 3 µg/mg for IP and at 1.0 µg/ml for subsequent WB detection. Lane 2 represents IP IgG control.

All lanes:

Immunoprecipitation - Anti-hnRNP K antibody (ab70492)

Predicted band size: 50 kDa

false

Key facts

Host species

Rabbit

Clonality

Polyclonal

Isotype

IgG

Carrier free

No

Reacts with

Mouse, Human

Applications

ICC/IF, ChIP/Chip, IP, WB, IHC-P

applications

Immunogen

Synthetic Peptide within Human HNRNPK. The exact immunogen used to generate this antibody is proprietary information.

P61978

Specificity

This antibody does not appear to react with isoform b of human hnRNPK (NP_112552.1).

Reactivity data

{ "title": "Reactivity Data", "filters": { "stats": ["", "Species", "Dilution Info", "Notes"], "tabs": { "all-applications": {"fullname" : "All Applications", "shortname": "All Applications"}, "IP" : {"fullname" : "Immunoprecipitation", "shortname":"IP"}, "WB" : {"fullname" : "Western blot", "shortname":"WB"}, "IHCP" : {"fullname" : "Immunohistochemistry (Formalin/PFA-fixed paraffin-embedded sections)", "shortname":"IHC-P"}, "ICCIF" : {"fullname" : "Immunocytochemistry/ Immunofluorescence", "shortname":"ICC/IF"}, "ChIPChip" : {"fullname" : "ChIP on chip", "shortname":"ChIP/Chip"} }, "product-promise": { "all": "all", "testedAndGuaranteed": "tested", "guaranteed": "expected", "predicted": "predicted", "notRecommended": "not-recommended" } }, "values": { "Human": { "IP-species-checked": "testedAndGuaranteed", "IP-species-dilution-info": "1-4 µg/mg of lysate", "IP-species-notes": "<p></p>", "WB-species-checked": "testedAndGuaranteed", "WB-species-dilution-info": "1/2000 - 1/10000", "WB-species-notes": "<p></p>", "IHCP-species-checked": "testedAndGuaranteed", "IHCP-species-dilution-info": "", "IHCP-species-notes": "<p></p>", "ICCIF-species-checked": "guaranteed", "ICCIF-species-dilution-info": "", "ICCIF-species-notes": "<p></p>", "ChIPChip-species-checked": "guaranteed", "ChIPChip-species-dilution-info": "", "ChIPChip-species-notes": "<p></p>" }, "Mouse": { "IP-species-checked": "guaranteed", "IP-species-dilution-info": "", "IP-species-notes": "", "WB-species-checked": "guaranteed", "WB-species-dilution-info": "", "WB-species-notes": "", "IHCP-species-checked": "testedAndGuaranteed", "IHCP-species-dilution-info": "", "IHCP-species-notes": "<p></p>", "ICCIF-species-checked": "guaranteed", "ICCIF-species-dilution-info": "", "ICCIF-species-notes": "<p></p>", "ChIPChip-species-checked": "guaranteed", "ChIPChip-species-dilution-info": "", "ChIPChip-species-notes": "<p></p>" }, "Rat": { "IP-species-checked": "predicted", "IP-species-dilution-info": "", "IP-species-notes": "", "WB-species-checked": "predicted", "WB-species-dilution-info": "", "WB-species-notes": "", "IHCP-species-checked": "predicted", "IHCP-species-dilution-info": "", "IHCP-species-notes": "", "ICCIF-species-checked": "predicted", "ICCIF-species-dilution-info": "", "ICCIF-species-notes": "", "ChIPChip-species-checked": "predicted", "ChIPChip-species-dilution-info": "", "ChIPChip-species-notes": "" }, "Cow": { "IP-species-checked": "predicted", "IP-species-dilution-info": "", "IP-species-notes": "", "WB-species-checked": "predicted", "WB-species-dilution-info": "", "WB-species-notes": "", "IHCP-species-checked": "predicted", "IHCP-species-dilution-info": "", "IHCP-species-notes": "", "ICCIF-species-checked": "predicted", "ICCIF-species-dilution-info": "", "ICCIF-species-notes": "", "ChIPChip-species-checked": "predicted", "ChIPChip-species-dilution-info": "", "ChIPChip-species-notes": "" }, "Elephant": { "IP-species-checked": "predicted", "IP-species-dilution-info": "", "IP-species-notes": "", "WB-species-checked": "predicted", "WB-species-dilution-info": "", "WB-species-notes": "", "IHCP-species-checked": "predicted", "IHCP-species-dilution-info": "", "IHCP-species-notes": "", "ICCIF-species-checked": "predicted", "ICCIF-species-dilution-info": "", "ICCIF-species-notes": "", "ChIPChip-species-checked": "predicted", "ChIPChip-species-dilution-info": "", "ChIPChip-species-notes": "" }, "Gorilla": { "IP-species-checked": "predicted", "IP-species-dilution-info": "", "IP-species-notes": "", "WB-species-checked": "predicted", "WB-species-dilution-info": "", "WB-species-notes": "", "IHCP-species-checked": "predicted", "IHCP-species-dilution-info": "", "IHCP-species-notes": "", "ICCIF-species-checked": "predicted", "ICCIF-species-dilution-info": "", "ICCIF-species-notes": "", "ChIPChip-species-checked": "predicted", "ChIPChip-species-dilution-info": "", "ChIPChip-species-notes": "" }, "Guinea pig": { "IP-species-checked": "predicted", "IP-species-dilution-info": "", "IP-species-notes": "", "WB-species-checked": "predicted", "WB-species-dilution-info": "", "WB-species-notes": "", "IHCP-species-checked": "predicted", "IHCP-species-dilution-info": "", "IHCP-species-notes": "", "ICCIF-species-checked": "predicted", "ICCIF-species-dilution-info": "", "ICCIF-species-notes": "", "ChIPChip-species-checked": "predicted", "ChIPChip-species-dilution-info": "", "ChIPChip-species-notes": "" }, "Orangutan": { "IP-species-checked": "predicted", "IP-species-dilution-info": "", "IP-species-notes": "", "WB-species-checked": "predicted", "WB-species-dilution-info": "", "WB-species-notes": "", "IHCP-species-checked": "predicted", "IHCP-species-dilution-info": "", "IHCP-species-notes": "", "ICCIF-species-checked": "predicted", "ICCIF-species-dilution-info": "", "ICCIF-species-notes": "", "ChIPChip-species-checked": "predicted", "ChIPChip-species-dilution-info": "", "ChIPChip-species-notes": "" }, "Platypus": { "IP-species-checked": "predicted", "IP-species-dilution-info": "", "IP-species-notes": "", "WB-species-checked": "predicted", "WB-species-dilution-info": "", "WB-species-notes": "", "IHCP-species-checked": "predicted", "IHCP-species-dilution-info": "", "IHCP-species-notes": "", "ICCIF-species-checked": "predicted", "ICCIF-species-dilution-info": "", "ICCIF-species-notes": "", "ChIPChip-species-checked": "predicted", "ChIPChip-species-dilution-info": "", "ChIPChip-species-notes": "" }, "Rhesus monkey": { "IP-species-checked": "predicted", "IP-species-dilution-info": "", "IP-species-notes": "", "WB-species-checked": "predicted", "WB-species-dilution-info": "", "WB-species-notes": "", "IHCP-species-checked": "predicted", "IHCP-species-dilution-info": "", "IHCP-species-notes": "", "ICCIF-species-checked": "predicted", "ICCIF-species-dilution-info": "", "ICCIF-species-notes": "", "ChIPChip-species-checked": "predicted", "ChIPChip-species-dilution-info": "", "ChIPChip-species-notes": "" } } }

Properties and storage information

Form
Liquid
Purification technique
Affinity purification Immunogen
Storage buffer
pH: 6.8 - 7.4 Preservative: 0.09% Sodium azide Constituents: Tris buffered saline, 0.1% BSA
Shipped at conditions
Blue Ice
Appropriate short-term storage duration
1-2 weeks
Appropriate short-term storage conditions
+4°C
Appropriate long-term storage conditions
-20°C
Aliquoting information
Upon delivery aliquot
Storage information
Avoid freeze / thaw cycle

Supplementary information

This supplementary information is collated from multiple sources and compiled automatically.

Heterogeneous nuclear ribonucleoprotein K (hnRNP K) is a multifunctional protein that plays a critical role in RNA metabolism including RNA splicing translation and transcription. Alternate names for hnRNP K include synkaryon-associated protein and hnRNP KurB. It has a molecular mass of approximately 51 kDa and is ubiquitously expressed in the nucleus and cytoplasm of eukaryotic cells. This protein features three KH (K homology) domains that enable it to interact with nucleic acids and other proteins.
Biological function summary

HnRNP K serves as a transcriptional regulator and participates in the assembly of ribonucleoprotein complexes. As part of the ribonucleoprotein complex it interacts with both RNA and DNA influencing various gene expression pathways. It also modulates the activity of several transcription factors including c-Myc and has been implicated in cell proliferation and differentiation. This protein's versatile functions make it an important component in various cellular processes.

Pathways

HnRNP K plays an important role in signal transduction and the p53 pathway. In the p53 pathway hnRNP K acts as a coactivator enhancing the transcriptional activity of the tumor suppressor p53 and influencing cell cycle regulation and apoptosis. Additionally hnRNP K interacts with several proteins including the c-Myc oncogene to regulate gene expression associated with growth and cell cycle progression.

HnRNP K has been linked to cancer and neurological disorders. Its interaction with c-Myc makes it relevant in various cancers where c-Myc is dysregulated contributing to unchecked cell proliferation. Furthermore alterations in hnRNP K expression or function have been associated with neurodegenerative disorders where it might interact with proteins like TDP-43 or FUS affecting neuronal function and survival.

Product protocols

For this product, it's our understanding that no specific protocols are required. You can visit:

Target data

One of the major pre-mRNA-binding proteins. Binds tenaciously to poly(C) sequences. Likely to play a role in the nuclear metabolism of hnRNAs, particularly for pre-mRNAs that contain cytidine-rich sequences. Can also bind poly(C) single-stranded DNA. Plays an important role in p53/TP53 response to DNA damage, acting at the level of both transcription activation and repression. When sumoylated, acts as a transcriptional coactivator of p53/TP53, playing a role in p21/CDKN1A and 14-3-3 sigma/SFN induction (By similarity). As far as transcription repression is concerned, acts by interacting with long intergenic RNA p21 (lincRNA-p21), a non-coding RNA induced by p53/TP53. This interaction is necessary for the induction of apoptosis, but not cell cycle arrest. As part of a ribonucleoprotein complex composed at least of ZNF827, HNRNPL and the circular RNA circZNF827 that nucleates the complex on chromatin, may negatively regulate the transcription of genes involved in neuronal differentiation (PubMed : 33174841).
See full target information HNRNPK

Publications (16)

Recent publications for all applications. Explore the full list and refine your search

Nature communications 16:1986 PubMed40011431

2025

8q24 derived ZNF252P promotes tumorigenesis by driving phase separation to activate c-Myc mediated feedback loop.

Applications

Unspecified application

Species

Unspecified reactive species

Tianyu Qu,Chang Zhang,Xiyi Lu,Jiali Dai,Xuezhi He,Wei Li,Liang Han,Dandan Yin,Erbao Zhang

Discover. Oncology 14:157 PubMed37639158

2023

LncRNA GAS5-hnRNPK axis inhibited ovarian cancer progression via inhibition of AKT signaling in ovarian cancer cells.

Applications

Unspecified application

Species

Unspecified reactive species

Te Zhang,Yahui Leng,Mengjing Duan,Zihang Li,Yongqing Ma,Chengyang Huang,Qin Shi,Yi Wang,Chengcheng Wang,Dandan Liu,Xuan Zhao,Shuang Cheng,Ao Liu,Yang Zhou,Jiaqi Liu,Zhongqiu Pan,Huimei Zhang,Li Shen,Hongyan Zhao

Journal of cancer research and clinical oncology 149:6225-6237 PubMed36700980

2023

hnRNP K induces HPV16 oncogene expression and promotes cervical cancerization.

Applications

Unspecified application

Species

Unspecified reactive species

Yuanjing Lyu,Li Song,Rui Mao,Chunliang Liu,Meijuan Feng,Caihong Wu,Ruixin Pei,Ling Ding,Jintao Wang

The EMBO journal 41:e112338 PubMed36254605

2022

An arrayed genome-wide perturbation screen identifies the ribonucleoprotein Hnrnpk as rate-limiting for prion propagation.

Applications

Unspecified application

Species

Unspecified reactive species

Merve Avar,Daniel Heinzer,Alana M Thackray,Yingjun Liu,Marian Hruska-Plochan,Stefano Sellitto,Elke Schaper,Daniel P Pease,Jiang-An Yin,Asvin Kk Lakkaraju,Marc Emmenegger,Marco Losa,Andra Chincisan,Simone Hornemann,Magdalini Polymenidou,Raymond Bujdoso,Adriano Aguzzi

eLife 10: PubMed34263728

2021

Non-canonical H3K79me2-dependent pathways promote the survival of MLL-rearranged leukemia.

Applications

Unspecified application

Species

Unspecified reactive species

William F Richter,Rohan N Shah,Alexander J Ruthenburg

Aging 13:13300-13317 PubMed33891563

2021

SnoRD126 promotes the proliferation of hepatocellular carcinoma cells through transcriptional regulation of FGFR2 activation in combination with hnRNPK.

Applications

Unspecified application

Species

Unspecified reactive species

Weiqi Xu,Yu Wu,Xianlong Fang,Yuxin Zhang,Ning Cai,Jingyuan Wen,Jingyu Liao,Bixiang Zhang,Xiaoping Chen,Liang Chu

FASEB journal : official publication of the Federation of American Societies for Experimental Biology 35:e21507 PubMed33724572

2021

hnRNP K supports the maintenance of RORγ circadian rhythm through ERK signaling.

Applications

Unspecified application

Species

Unspecified reactive species

Paul Kwangho Kwon,Hyo-Min Kim,Byunghee Kang,Sung Wook Kim,Sung-Min Hwang,Sin-Hyeog Im,Tae-Young Roh,Kyong-Tai Kim

Molecular and cellular biology 40: PubMed31907279

2020

hnRNP K Supports High-Amplitude D Site-Binding Protein mRNA ( mRNA) Oscillation To Sustain Circadian Rhythms.

Applications

Unspecified application

Species

Unspecified reactive species

Paul Kwangho Kwon,Kyung-Ha Lee,Ji-Hyung Kim,Sookil Tae,Seokjin Ham,Young-Hun Jeong,Sung Wook Kim,Byunghee Kang,Hyo-Min Kim,Jung-Hyun Choi,Hee Yi,Hyun-Ok Ku,Tae-Young Roh,Chunghun Lim,Kyong-Tai Kim

Genetics in medicine : official journal of the American College of Medical Genetics 22:189-198 PubMed31395945

2019

A novel ZRS variant causes preaxial polydactyly type I by increased sonic hedgehog expression in the developing limb bud.

Applications

Unspecified application

Species

Unspecified reactive species

Caixia Xu,Xiaoming Yang,Hang Zhou,Yongyong Li,Chao Xing,Taifeng Zhou,Dongmei Zhong,Chengjie Lian,Mei Yan,Tao Chen,Zhiheng Liao,Bo Gao,Deying Su,Tingting Wang,Swarkar Sharma,Chandra Mohan,Nadav Ahituv,Sajid Malik,Quan-Zhen Li,Peiqiang Su

Stem cells (Dayton, Ohio) 37:1018-1029 PubMed31021473

2019

hnRNP-K Targets Open Chromatin in Mouse Embryonic Stem Cells in Concert with Multiple Regulators.

Applications

Unspecified application

Species

Unspecified reactive species

Evgeny I Bakhmet,Igor B Nazarov,Adel R Gazizova,Nadezhda E Vorobyeva,Andrey A Kuzmin,Mikhail N Gordeev,Sergey A Sinenko,Nikolai D Aksenov,Tatyana O Artamonova,Mikhail A Khodorkovskii,Natalia Alenina,Daria Onichtchouk,Guangming Wu,Hans R Schöler,Alexey N Tomilin
View all publications

Product promise

We are committed to supporting your work with high-quality reagents, and we're here for you every step of the way. In the unlikely event that one of our products does not perform as expected, you're protected by our Product Promise.
For full details, please see our Terms & Conditions

Please note: All products are 'FOR RESEARCH USE ONLY. NOT FOR USE IN DIAGNOSTIC OR THERAPEUTIC PROCEDURES'.

For licensing inquiries, please contact partnerships@abcam.com