JavaScript is disabled in your browser. Please enable JavaScript to view this website.
AB220996

Anti-hnRNP K antibody [EP943Y] - BSA and Azide free

Be the first to review this product! Submit a review

|

(1 Publication)

Rabbit Recombinant Monoclonal hnRNP K antibody. Carrier free. Suitable for IP, WB, ICC/IF, Flow Cyt (Intra), IHC-P and reacts with Human, Mouse, Rat samples. Cited in 1 publication.

View Alternative Names

HNRPK, HNRNPK, Heterogeneous nuclear ribonucleoprotein K, hnRNP K, Transformation up-regulated nuclear protein, TUNP

9 Images
Immunocytochemistry/ Immunofluorescence - Anti-hnRNP K antibody [EP943Y] - BSA and Azide free (AB220996)
  • ICC/IF

Unknown

Immunocytochemistry/ Immunofluorescence - Anti-hnRNP K antibody [EP943Y] - BSA and Azide free (AB220996)

Fluorescent immunostaining of HeLa cells using ab52600 at a dilution of 1/100-1/250.This data was developed using the same antibody clone in a different buffer formulation containing PBS, BSA, glycerol, and sodium azide (ab52600).

Immunocytochemistry/ Immunofluorescence - Anti-hnRNP K antibody [EP943Y] - BSA and Azide free (AB220996)
  • ICC/IF

Unknown

Immunocytochemistry/ Immunofluorescence - Anti-hnRNP K antibody [EP943Y] - BSA and Azide free (AB220996)

Immunocytochemistry/ Immunofluorescence analysis of MCF7 (Human breast adenocarcinoma epithelial cell) cells labeling hnRNP K with purified ab52600 at 1 : 50 dilution (1.9 µg/ml). Cells were fixed in 4% Paraformaldehyde and permeabilized with 0.1% tritonX-100. Cells were counterstained with None. Goat anti rabbit IgG (Alexa Fluor® 488, ab150077) was used as the secondary antibody at 1 : 1000 (2 µg/ml) dilution. DAPI nuclear counterstain. PBS instead of the primary antibody was used as the secondary antibody only control.

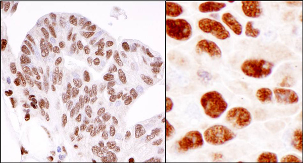
Immunohistochemistry (Formalin/PFA-fixed paraffin-embedded sections) - Anti-hnRNP K antibody [EP943Y] - BSA and Azide free (AB220996)
  • IHC-P

Unknown

Immunohistochemistry (Formalin/PFA-fixed paraffin-embedded sections) - Anti-hnRNP K antibody [EP943Y] - BSA and Azide free (AB220996)

Immunohistochemical staining of paraffin-embedded human breast carcinoma tissue using ab52600 at a dilution of 1/100-1/250.This data was developed using the same antibody clone in a different buffer formulation containing PBS, BSA, glycerol, and sodium azide (ab52600).

Flow Cytometry (Intracellular) - Anti-hnRNP K antibody [EP943Y] - BSA and Azide free (AB220996)
  • Flow Cyt (Intra)

Unknown

Flow Cytometry (Intracellular) - Anti-hnRNP K antibody [EP943Y] - BSA and Azide free (AB220996)

Intracellular Flow Cytometry analysis of HeLa (Human cervix adenocarcinoma epithelial cell) cells labeling hnRNP K with purified ab52600 at 1/20 dilution (10 μg/ml) (red). Cells were fixed with 4% Paraformaldehyde. A Goat anti rabbit IgG (Alexa Fluor® 488, ab150077) secondary antibody was used at 1/2000. Isotype control - Rabbit monoclonal IgG (Black). Unlabeled control - Cell without incubation with primary antibody and secondary antibody (Blue).

Immunohistochemistry (Formalin/PFA-fixed paraffin-embedded sections) - Anti-hnRNP K antibody [EP943Y] - BSA and Azide free (AB220996)
  • IHC-P

Unknown

Immunohistochemistry (Formalin/PFA-fixed paraffin-embedded sections) - Anti-hnRNP K antibody [EP943Y] - BSA and Azide free (AB220996)

Immunohistochemistry (Formalin/PFA-fixed paraffin-embedded sections) analysis of Human lung carcinoma tissue sections labeling hnRNP K with purified ab52600 at 1 : 2000 dilution (0.05 μg/ml). Heat mediated antigen retrieval was performed using ab93684 (Tris/EDTA buffer, pH 9.0). ImmunoHistoProbe one step HRP Polymer (ready to use) was used as the secondary antibody. Negative control : PBS instead of the primary antibody. Hematoxylin was used as a counterstain.

Immunoprecipitation - Anti-hnRNP K antibody [EP943Y] - BSA and Azide free (AB220996)
  • IP

Unknown

Immunoprecipitation - Anti-hnRNP K antibody [EP943Y] - BSA and Azide free (AB220996)

ab52600 at 1/100 immunoprecipitating hnRNP K in HeLa whole cell lysate.

For western blotting, a primary antibody was used at 1/1000 and a HRP-conjugated goat-anti-rabbit IgG was used as the secondary antibody (1/1000).

Blocking buffer and concentration : 5% NFDM/TBST.

Diluting buffer and concentration : 5% NFDM /TBST.

This data was developed using the same antibody clone in a different buffer formulation containing PBS, BSA, glycerol, and sodium azide (ab52600).

All lanes:

Immunoprecipitation - Anti-hnRNP K antibody [EP943Y] (<a href='/en-us/products/primary-antibodies/hnrnp-k-antibody-ep943y-ab52600'>ab52600</a>)

Predicted band size: 50 kDa

Observed band size: 60 kDa

false

Immunoprecipitation - Anti-hnRNP K antibody [EP943Y] - BSA and Azide free (AB220996)
  • IP

Unknown

Immunoprecipitation - Anti-hnRNP K antibody [EP943Y] - BSA and Azide free (AB220996)

ab52600 (purified) at 1 : 20 dilution (2μg) immunoprecipitating hnRNP K in Jurkat whole cell lysate.
Lane 1 (input) : Jurkat (Human T cell leukemia T lymphocyte) whole cell lysate 10μg
Lane 2 (+) : ab52600 & Jurkat whole cell lysate
Lane 3 (-) : Rabbit monoclonal IgG (ab172730) instead of ab52600 in Jurkat whole cell lysate
For western blotting, VeriBlot for IP Detection Reagent (HRP) (ab131366) was used for detection at 1 : 1000 dilution.
Blocking and diluting buffer : 5% NFDM/TBST.

All lanes:

Immunoprecipitation - Anti-hnRNP K antibody [EP943Y] (<a href='/en-us/products/primary-antibodies/hnrnp-k-antibody-ep943y-ab52600'>ab52600</a>)

Predicted band size: 50 kDa

false

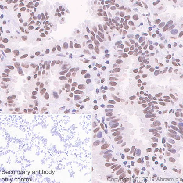
Immunohistochemistry (Formalin/PFA-fixed paraffin-embedded sections) - Anti-hnRNP K antibody [EP943Y] - BSA and Azide free (AB220996)
  • IHC-P

Unknown

Immunohistochemistry (Formalin/PFA-fixed paraffin-embedded sections) - Anti-hnRNP K antibody [EP943Y] - BSA and Azide free (AB220996)

Immunohistochemistry (Formalin/PFA-fixed paraffin-embedded sections) analysis of Mouse stomach tissue sections labeling hnRNP K with purified ab52600 at 1 : 2000 dilution (0.05 μg/ml). Heat mediated antigen retrieval was performed using ab93684 (Tris/EDTA buffer, pH 9.0). ImmunoHistoProbe one step HRP Polymer (ready to use) was used as the secondary antibody. Negative control : PBS instead of the primary antibody. Hematoxylin was used as a counterstain.

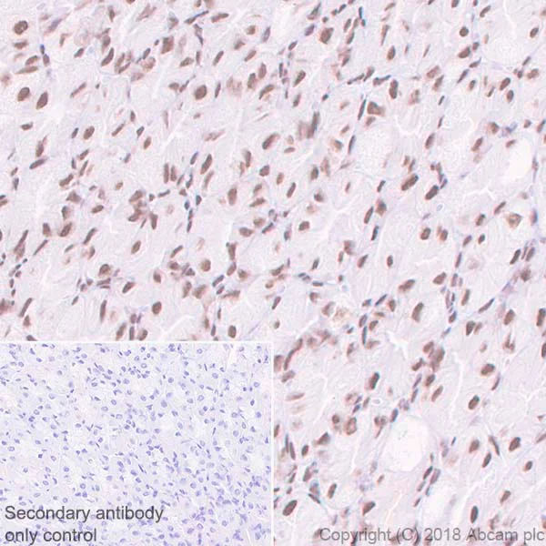
Immunohistochemistry (Formalin/PFA-fixed paraffin-embedded sections) - Anti-hnRNP K antibody [EP943Y] - BSA and Azide free (AB220996)
  • IHC-P

Unknown

Immunohistochemistry (Formalin/PFA-fixed paraffin-embedded sections) - Anti-hnRNP K antibody [EP943Y] - BSA and Azide free (AB220996)

Immunohistochemistry (Formalin/PFA-fixed paraffin-embedded sections) analysis of Rat stomach tissue sections labeling hnRNP K with purified ab52600 at 1 : 2000 dilution (0.05 μg/ml). Heat mediated antigen retrieval was performed using ab93684 (Tris/EDTA buffer, pH 9.0). ImmunoHistoProbe one step HRP Polymer (ready to use) was used as the secondary antibody. Negative control : PBS instead of the primary antibody. Hematoxylin was used as a counterstain.

Key facts

Host species

Rabbit

Clonality

Monoclonal

Clone number

EP943Y

Isotype

IgG

Carrier free

Yes

Reacts with

Mouse, Rat, Human

Applications

ICC/IF, IP, IHC-P, WB, Flow Cyt (Intra)

applications

Immunogen

The exact immunogen used to generate this antibody is proprietary information.

Specificity

This antibody detects both phosphorylated and unphosphorylated hnRNP K.

Reactivity data

{ "title": "Reactivity Data", "filters": { "stats": ["", "Species", "Dilution Info", "Notes"], "tabs": { "all-applications": {"fullname" : "All Applications", "shortname": "All Applications"}, "IP" : {"fullname" : "Immunoprecipitation", "shortname":"IP"}, "WB" : {"fullname" : "Western blot", "shortname":"WB"}, "ICCIF" : {"fullname" : "Immunocytochemistry/ Immunofluorescence", "shortname":"ICC/IF"}, "FlowCytIntra" : {"fullname" : "Flow Cytometry (Intracellular)", "shortname":"Flow Cyt (Intra)"}, "IHCP" : {"fullname" : "Immunohistochemistry (Formalin/PFA-fixed paraffin-embedded sections)", "shortname":"IHC-P"} }, "product-promise": { "all": "all", "testedAndGuaranteed": "tested", "guaranteed": "expected", "predicted": "predicted", "notRecommended": "not-recommended" } }, "values": { "Human": { "IP-species-checked": "testedAndGuaranteed", "IP-species-dilution-info": "", "IP-species-notes": "<p></p>", "WB-species-checked": "guaranteed", "WB-species-dilution-info": "", "WB-species-notes": "<p></p>", "ICCIF-species-checked": "testedAndGuaranteed", "ICCIF-species-dilution-info": "", "ICCIF-species-notes": "<p></p>", "FlowCytIntra-species-checked": "testedAndGuaranteed", "FlowCytIntra-species-dilution-info": "", "FlowCytIntra-species-notes": "<p></p>", "IHCP-species-checked": "guaranteed", "IHCP-species-dilution-info": "", "IHCP-species-notes": "" }, "Mouse": { "IP-species-checked": "guaranteed", "IP-species-dilution-info": "", "IP-species-notes": "", "WB-species-checked": "guaranteed", "WB-species-dilution-info": "", "WB-species-notes": "<p></p>", "ICCIF-species-checked": "guaranteed", "ICCIF-species-dilution-info": "", "ICCIF-species-notes": "", "FlowCytIntra-species-checked": "guaranteed", "FlowCytIntra-species-dilution-info": "", "FlowCytIntra-species-notes": "", "IHCP-species-checked": "testedAndGuaranteed", "IHCP-species-dilution-info": "", "IHCP-species-notes": "<p></p>" }, "Rat": { "IP-species-checked": "predicted", "IP-species-dilution-info": "", "IP-species-notes": "", "WB-species-checked": "guaranteed", "WB-species-dilution-info": "", "WB-species-notes": "<p></p>", "ICCIF-species-checked": "predicted", "ICCIF-species-dilution-info": "", "ICCIF-species-notes": "", "FlowCytIntra-species-checked": "predicted", "FlowCytIntra-species-dilution-info": "", "FlowCytIntra-species-notes": "", "IHCP-species-checked": "predicted", "IHCP-species-dilution-info": "", "IHCP-species-notes": "" } } }

Product details

ab220996 is the carrier-free version of ab52600.

Patented technology
Our RabMAb® technology is a patented hybridoma-based technology for making rabbit monoclonal antibodies. For details on our patents, please refer to RabMAb® patents.

What are the advantages of a recombinant monoclonal antibody?
This product is a recombinant monoclonal antibody, which offers several advantages including:

  • - High batch-to-batch consistency and reproducibility
  • - Improved sensitivity and specificity
  • - Long-term security of supply
  • - Animal-free batch production

For more information, read more on recombinant antibodies.

Conjugation ready
Our carrier-free antibodies are typically supplied in a PBS-only formulation, purified and free of BSA, sodium azide and glycerol. This conjugation-ready format is designed for use with fluorochromes, metal isotopes, oligonucleotides, and enzymes, which makes them ideal for antibody labelling, functional and cell-based assays, flow-based assays (e.g. mass cytometry) and Multiplex Imaging applications.

Use our conjugation kits for antibody conjugates that are ready-to-use in as little as 20 minutes with 1 minute hands-on-time and 100% antibody recovery: available for fluorescent dyes, HRP, biotin and gold.

Compatibility
This product is compatible with the Maxpar® Antibody Labeling Kit from Fluidigm, without the need for antibody preparation. Maxpar® is a trademark of Fluidigm Canada Inc.

Properties and storage information

Form
Liquid
Purification technique
Affinity purification Protein A
Storage buffer
pH: 7.2 - 7.4 Constituents: PBS
Shipped at conditions
Blue Ice
Appropriate short-term storage conditions
+4°C
Appropriate long-term storage conditions
+4°C
Storage information
Do Not Freeze

Supplementary information

This supplementary information is collated from multiple sources and compiled automatically.

Heterogeneous nuclear ribonucleoprotein K (hnRNP K) is a multifunctional protein that plays a critical role in RNA metabolism including RNA splicing translation and transcription. Alternate names for hnRNP K include synkaryon-associated protein and hnRNP KurB. It has a molecular mass of approximately 51 kDa and is ubiquitously expressed in the nucleus and cytoplasm of eukaryotic cells. This protein features three KH (K homology) domains that enable it to interact with nucleic acids and other proteins.
Biological function summary

HnRNP K serves as a transcriptional regulator and participates in the assembly of ribonucleoprotein complexes. As part of the ribonucleoprotein complex it interacts with both RNA and DNA influencing various gene expression pathways. It also modulates the activity of several transcription factors including c-Myc and has been implicated in cell proliferation and differentiation. This protein's versatile functions make it an important component in various cellular processes.

Pathways

HnRNP K plays an important role in signal transduction and the p53 pathway. In the p53 pathway hnRNP K acts as a coactivator enhancing the transcriptional activity of the tumor suppressor p53 and influencing cell cycle regulation and apoptosis. Additionally hnRNP K interacts with several proteins including the c-Myc oncogene to regulate gene expression associated with growth and cell cycle progression.

HnRNP K has been linked to cancer and neurological disorders. Its interaction with c-Myc makes it relevant in various cancers where c-Myc is dysregulated contributing to unchecked cell proliferation. Furthermore alterations in hnRNP K expression or function have been associated with neurodegenerative disorders where it might interact with proteins like TDP-43 or FUS affecting neuronal function and survival.

Product protocols

For this product, it's our understanding that no specific protocols are required. You can visit:

Target data

One of the major pre-mRNA-binding proteins. Binds tenaciously to poly(C) sequences. Likely to play a role in the nuclear metabolism of hnRNAs, particularly for pre-mRNAs that contain cytidine-rich sequences. Can also bind poly(C) single-stranded DNA. Plays an important role in p53/TP53 response to DNA damage, acting at the level of both transcription activation and repression. When sumoylated, acts as a transcriptional coactivator of p53/TP53, playing a role in p21/CDKN1A and 14-3-3 sigma/SFN induction (By similarity). As far as transcription repression is concerned, acts by interacting with long intergenic RNA p21 (lincRNA-p21), a non-coding RNA induced by p53/TP53. This interaction is necessary for the induction of apoptosis, but not cell cycle arrest. As part of a ribonucleoprotein complex composed at least of ZNF827, HNRNPL and the circular RNA circZNF827 that nucleates the complex on chromatin, may negatively regulate the transcription of genes involved in neuronal differentiation (PubMed : 33174841).
See full target information HNRNPK

Publications (1)

Recent publications for all applications. Explore the full list and refine your search

iScience 25:104289 PubMed35573189

2022

Multi-omics approach reveals posttranscriptionally regulated genes are essential for human pluripotent stem cells.

Applications

Unspecified application

Species

Unspecified reactive species

Mio Iwasaki,Yuka Kawahara,Chikako Okubo,Tatsuya Yamakawa,Michiko Nakamura,Tsuyoshi Tabata,Yohei Nishi,Megumi Narita,Akira Ohta,Hirohide Saito,Takuya Yamamoto,Masato Nakagawa,Shinya Yamanaka,Kazutoshi Takahashi
View all publications

Product promise

We are committed to supporting your work with high-quality reagents, and we're here for you every step of the way. In the unlikely event that one of our products does not perform as expected, you're protected by our Product Promise.
For full details, please see our Terms & Conditions

Please note: All products are 'FOR RESEARCH USE ONLY. NOT FOR USE IN DIAGNOSTIC OR THERAPEUTIC PROCEDURES'.

For licensing inquiries, please contact partnerships@abcam.com