JavaScript is disabled in your browser. Please enable JavaScript to view this website.
AB248664

Anti-hnRNP K antibody [EPR944] (phospho S284) - BSA and Azide free

Be the first to review this product! Submit a review

|

(1 Publication)

Rabbit Recombinant Monoclonal hnRNP K phospho S284 antibody. Carrier free. Suitable for WB and reacts with Human samples. Cited in 1 publication.

View Alternative Names

HNRPK, HNRNPK, Heterogeneous nuclear ribonucleoprotein K, hnRNP K, Transformation up-regulated nuclear protein, TUNP

3 Images
Western blot - Anti-hnRNP K antibody [EPR944] (phospho S284) - BSA and Azide free (AB248664)
  • WB

Lab

Western blot - Anti-hnRNP K antibody [EPR944] (phospho S284) - BSA and Azide free (AB248664)

This data was developed using ab134060, the same antibody clone in a different buffer formulation.

Blocking/Diluting buffer and concentration 5% NFDM/TBST.

Two bands observed corresponding to isoforms.

Lanes 1 - 2:

Western blot - Anti-hnRNP K (phospho S284) antibody [EPR944] (<a href='/en-us/products/primary-antibodies/hnrnp-k-phospho-s284-antibody-epr944-ab134060'>ab134060</a>) at 1/1000 dilution

Lanes 1 - 2:

Western blot - Anti-hnRNP K antibody [EPR944] (phospho S284) - BSA and Azide free (ab248664) at 1/1000 dilution

Lane 1:

Jurkat (Human T cell leukemia cell line from peripheral blood) whole cell lysate at 20 µg

Lane 2:

Jurkat (Human T cell leukemia cell line from peripheral blood) lysate and the membrane was incubated with alkaline phosphatase at 20 µg

Secondary

All lanes:

Western blot - Goat Anti-Rabbit IgG H&L (HRP) (<a href='/en-us/products/secondary-antibodies/goat-rabbit-igg-h-l-hrp-ab97051'>ab97051</a>) at 1/20000 dilution

Observed band size: 55 kDa,60 kDa

true

Exposure time: 180s

Western blot - Anti-hnRNP K antibody [EPR944] (phospho S284) - BSA and Azide free (AB248664)
  • WB

Unknown

Western blot - Anti-hnRNP K antibody [EPR944] (phospho S284) - BSA and Azide free (AB248664)

This data was developed using ab134060, the same antibody clone in a different buffer formulation.

All lanes:

Western blot - Anti-hnRNP K (phospho S284) antibody [EPR944] (<a href='/en-us/products/primary-antibodies/hnrnp-k-phospho-s284-antibody-epr944-ab134060'>ab134060</a>) at 1/50000 dilution

Lane 1:

Jurkat cell lysate at 10 µg

Lane 2:

A549 cell lysate at 10 µg

Secondary

All lanes:

HRP labelled goat anti-rabbit at 1/2000 dilution

Predicted band size: 50 kDa

false

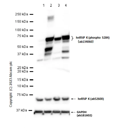
Western blot - Anti-hnRNP K antibody [EPR944] (phospho S284) - BSA and Azide free (AB248664)
  • WB

Lab

Western blot - Anti-hnRNP K antibody [EPR944] (phospho S284) - BSA and Azide free (AB248664)

Two bands observed corresponding to isoforms. Blocking and diluting buffer : 5% NFDM/TBST This data was developed using ab134060, the same antibody clone in a different buffer formulation.

Lanes 1 - 4:

Western blot - Anti-hnRNP K (phospho S284) antibody [EPR944] (<a href='/en-us/products/primary-antibodies/hnrnp-k-phospho-s284-antibody-epr944-ab134060'>ab134060</a>) at 1/1000 dilution

Lanes 1 - 4:

Western blot - Anti-hnRNP K antibody [EPR944] (phospho S284) - BSA and Azide free (ab248664) at 1/1000 dilution

Lane 1:

Untreated Jurkat (Human T cell leukemia cell line from peripheral blood) whole cell lysate at 20 µg

Lane 2:

Jurkat (Human T cell leukemia cell line from peripheral blood) treated with 100ng/ml Calyculin A for 30 min whole cell lysate at 20 µg

Lane 3:

Untreated HeLa (Human cervix adenocarcinoma epithelial cell)) whole cell lysate at 20 µg

Lane 4:

HeLa (Human cervix adenocarcinoma epithelial cell) treated with 100ng/ml Calyculin A for 17 hours whole cell lysate at 20 µg

Secondary

All lanes:

Goat Anti-Rabbit IgG, (H+L), Peroxidase conjugated at 1/20000 dilution

Observed band size: 55 kDa,60 kDa

false

Exposure time: 3s

  • Unconjugated

    Anti-hnRNP K (phospho S284) antibody [EPR944]

Key facts

Host species

Rabbit

Clonality

Monoclonal

Clone number

EPR944

Isotype

IgG

Carrier free

Yes

Reacts with

Human

Applications

WB

applications

Immunogen

The exact immunogen used to generate this antibody is proprietary information.

Reactivity data

{ "title": "Reactivity Data", "filters": { "stats": ["", "Species", "Dilution Info", "Notes"], "tabs": { "all-applications": {"fullname" : "All Applications", "shortname": "All Applications"}, "IHCP" : {"fullname" : "Immunohistochemistry (Formalin/PFA-fixed paraffin-embedded sections)", "shortname":"IHC-P"}, "ICCIF" : {"fullname" : "Immunocytochemistry/ Immunofluorescence", "shortname":"ICC/IF"}, "IP" : {"fullname" : "Immunoprecipitation", "shortname":"IP"}, "FlowCyt" : {"fullname" : "Flow Cytometry", "shortname":"Flow Cyt"}, "WB" : {"fullname" : "Western blot", "shortname":"WB"} }, "product-promise": { "all": "all", "testedAndGuaranteed": "tested", "guaranteed": "expected", "predicted": "predicted", "notRecommended": "not-recommended" } }, "values": { "Human": { "IHCP-species-checked": "notRecommended", "IHCP-species-dilution-info": "", "IHCP-species-notes": "<p></p>", "ICCIF-species-checked": "notRecommended", "ICCIF-species-dilution-info": "", "ICCIF-species-notes": "<p></p>", "IP-species-checked": "notRecommended", "IP-species-dilution-info": "", "IP-species-notes": "<p></p>", "FlowCyt-species-checked": "notRecommended", "FlowCyt-species-dilution-info": "", "FlowCyt-species-notes": "<p></p>", "WB-species-checked": "testedAndGuaranteed", "WB-species-dilution-info": "", "WB-species-notes": "<p></p>" }, "Mouse": { "IHCP-species-checked": "notRecommended", "IHCP-species-dilution-info": "", "IHCP-species-notes": "", "ICCIF-species-checked": "notRecommended", "ICCIF-species-dilution-info": "", "ICCIF-species-notes": "", "IP-species-checked": "notRecommended", "IP-species-dilution-info": "", "IP-species-notes": "", "FlowCyt-species-checked": "notRecommended", "FlowCyt-species-dilution-info": "", "FlowCyt-species-notes": "", "WB-species-checked": "predicted", "WB-species-dilution-info": "", "WB-species-notes": "" }, "Rat": { "IHCP-species-checked": "notRecommended", "IHCP-species-dilution-info": "", "IHCP-species-notes": "", "ICCIF-species-checked": "notRecommended", "ICCIF-species-dilution-info": "", "ICCIF-species-notes": "", "IP-species-checked": "notRecommended", "IP-species-dilution-info": "", "IP-species-notes": "", "FlowCyt-species-checked": "notRecommended", "FlowCyt-species-dilution-info": "", "FlowCyt-species-notes": "", "WB-species-checked": "predicted", "WB-species-dilution-info": "", "WB-species-notes": "" } } }

Product details

ab248664 is the carrier-free version of ab134060.

Patented technology
Our RabMAb® technology is a patented hybridoma-based technology for making rabbit monoclonal antibodies. For details on our patents, please refer to RabMAb® patents.

What are the advantages of a recombinant monoclonal antibody?
This product is a recombinant monoclonal antibody, which offers several advantages including:

  • - High batch-to-batch consistency and reproducibility
  • - Improved sensitivity and specificity
  • - Long-term security of supply
  • - Animal-free batch production

For more information, read more on recombinant antibodies.

Conjugation ready
Our carrier-free antibodies are typically supplied in a PBS-only formulation, purified and free of BSA, sodium azide and glycerol. This conjugation-ready format is designed for use with fluorochromes, metal isotopes, oligonucleotides, and enzymes, which makes them ideal for antibody labelling, functional and cell-based assays, flow-based assays (e.g. mass cytometry) and Multiplex Imaging applications.

Use our conjugation kits for antibody conjugates that are ready-to-use in as little as 20 minutes with 1 minute hands-on-time and 100% antibody recovery: available for fluorescent dyes, HRP, biotin and gold.

Compatibility
This product is compatible with the Maxpar® Antibody Labeling Kit from Fluidigm, without the need for antibody preparation. Maxpar® is a trademark of Fluidigm Canada Inc.

Properties and storage information

Form
Liquid
Purification technique
Affinity purification
Storage buffer
pH: 7.2 - 7.4 Constituents: PBS
Shipped at conditions
Blue Ice
Appropriate short-term storage conditions
+4°C
Appropriate long-term storage conditions
+4°C
Storage information
Do Not Freeze

Supplementary information

This supplementary information is collated from multiple sources and compiled automatically.

Heterogeneous nuclear ribonucleoprotein K (hnRNP K) is a multifunctional protein that plays a critical role in RNA metabolism including RNA splicing translation and transcription. Alternate names for hnRNP K include synkaryon-associated protein and hnRNP KurB. It has a molecular mass of approximately 51 kDa and is ubiquitously expressed in the nucleus and cytoplasm of eukaryotic cells. This protein features three KH (K homology) domains that enable it to interact with nucleic acids and other proteins.
Biological function summary

HnRNP K serves as a transcriptional regulator and participates in the assembly of ribonucleoprotein complexes. As part of the ribonucleoprotein complex it interacts with both RNA and DNA influencing various gene expression pathways. It also modulates the activity of several transcription factors including c-Myc and has been implicated in cell proliferation and differentiation. This protein's versatile functions make it an important component in various cellular processes.

Pathways

HnRNP K plays an important role in signal transduction and the p53 pathway. In the p53 pathway hnRNP K acts as a coactivator enhancing the transcriptional activity of the tumor suppressor p53 and influencing cell cycle regulation and apoptosis. Additionally hnRNP K interacts with several proteins including the c-Myc oncogene to regulate gene expression associated with growth and cell cycle progression.

HnRNP K has been linked to cancer and neurological disorders. Its interaction with c-Myc makes it relevant in various cancers where c-Myc is dysregulated contributing to unchecked cell proliferation. Furthermore alterations in hnRNP K expression or function have been associated with neurodegenerative disorders where it might interact with proteins like TDP-43 or FUS affecting neuronal function and survival.

Product protocols

For this product, it's our understanding that no specific protocols are required. You can visit:

Target data

One of the major pre-mRNA-binding proteins. Binds tenaciously to poly(C) sequences. Likely to play a role in the nuclear metabolism of hnRNAs, particularly for pre-mRNAs that contain cytidine-rich sequences. Can also bind poly(C) single-stranded DNA. Plays an important role in p53/TP53 response to DNA damage, acting at the level of both transcription activation and repression. When sumoylated, acts as a transcriptional coactivator of p53/TP53, playing a role in p21/CDKN1A and 14-3-3 sigma/SFN induction (By similarity). As far as transcription repression is concerned, acts by interacting with long intergenic RNA p21 (lincRNA-p21), a non-coding RNA induced by p53/TP53. This interaction is necessary for the induction of apoptosis, but not cell cycle arrest. As part of a ribonucleoprotein complex composed at least of ZNF827, HNRNPL and the circular RNA circZNF827 that nucleates the complex on chromatin, may negatively regulate the transcription of genes involved in neuronal differentiation (PubMed : 33174841).
See full target information HNRNPK phospho S284

Publications (1)

Recent publications for all applications. Explore the full list and refine your search

Theranostics 12:4513-4535 PubMed35832075

2022

Blockade of phosphotyrosine pathways suggesting SH2 superbinder as a novel therapy for pulmonary fibrosis.

Applications

Unspecified application

Species

Unspecified reactive species

Meng Wang,An-Dong Liu,Qian Niu,Xiao Feng,Yuan-Yi Zheng,Shuai-Jun Chen,Hui Xu,Qian Li,Guo-Qing Hou,Xiao-Yang Bi,Yu-Zhi Lu,Pei-Pei Cheng,Li-Mei Liang,Ye-Han Jiang,Li-Qin Zhao,Fei Liu,Lin-Jie Song,Li-Ling Zhou,Ling-Yan Xiao,Feng Chen,Shawn Shun-Cheng Li,Wan-Li Ma,Xuan Cao,Hong Ye
View all publications

Product promise

We are committed to supporting your work with high-quality reagents, and we're here for you every step of the way. In the unlikely event that one of our products does not perform as expected, you're protected by our Product Promise.
For full details, please see our Terms & Conditions

Please note: All products are 'FOR RESEARCH USE ONLY. NOT FOR USE IN DIAGNOSTIC OR THERAPEUTIC PROCEDURES'.

For licensing inquiries, please contact partnerships@abcam.com