JavaScript is disabled in your browser. Please enable JavaScript to view this website.
AB23644

Anti-hnRNP K antibody [F45 P9 C7]

5

(2 Reviews)

|

(16 Publications)

Mouse Monoclonal hnRNP K antibody. Suitable for Flow Cyt (Intra), WB, ICC/IF, IHC-P and reacts with Human, Mouse, Rat samples. Cited in 16 publications.

View Alternative Names

HNRPK, HNRNPK, Heterogeneous nuclear ribonucleoprotein K, hnRNP K, Transformation up-regulated nuclear protein, TUNP

7 Images
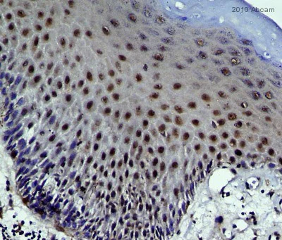
Immunohistochemistry (Formalin/PFA-fixed paraffin-embedded sections) - Anti-hnRNP K antibody [F45 P9 C7] (AB23644)
  • IHC-P

AbReview20480****

Immunohistochemistry (Formalin/PFA-fixed paraffin-embedded sections) - Anti-hnRNP K antibody [F45 P9 C7] (AB23644)

ab23644 staining hnRNP K in Human head and neck tissue sections by Immunohistochemistry (IHC-P - paraformaldehyde-fixed, paraffin-embedded sections). Tissue was fixed with formaldehyde and blocked with 1% BSA for 1 hour at 25°C; antigen retrieval was by heat mediation with Tris EDTA (pH9). Samples were incubated with primary antibody (1 µg/ml in TBST) for 16 hours at 4°C. An undiluted HRP-conjugated Rabbit anti-mouse polyclonal was used as the secondary antibody.

This image is courtesy of an Abreview submitted by Satyendra Tripathi

Immunohistochemistry (Formalin/PFA-fixed paraffin-embedded sections) - Anti-hnRNP K antibody [F45 P9 C7] (AB23644)
  • IHC-P

Lab

Immunohistochemistry (Formalin/PFA-fixed paraffin-embedded sections) - Anti-hnRNP K antibody [F45 P9 C7] (AB23644)

IHC image of hnRNP K staining in a section of formalin-fixed paraffin-embedded normal human colon* performed on a Leica BOND™ system using the standard protocol F. The section was pre-treated using heat mediated antigen retrieval with sodium citrate buffer (pH6, epitope retrieval solution 1) for 20mins. The section was then incubated with ab23644, 1ug/ml, for 15 mins at room temperature and detected using an HRP conjugated compact polymer system. DAB was used as the chromogen. The section was then counterstained with haematoxylin and mounted with DPX. The inset secondary-only control image is taken from an identical assay without primary antibody.

*Tissue obtained from the Human Research Tissue Bank, supported by the NIHR Cambridge Biomedical Research Centre

For other IHC staining systems (automated and non-automated) customers should optimize variable parameters such as antigen retrieval conditions, primary antibody concentration and antibody incubation times.

Flow Cytometry (Intracellular) - Anti-hnRNP K antibody [F45 P9 C7] (AB23644)
  • Flow Cyt (Intra)

Unknown

Flow Cytometry (Intracellular) - Anti-hnRNP K antibody [F45 P9 C7] (AB23644)

Overlay histogram showing HeLa cells stained with ab23644 (red line). The cells were fixed with 80% methanol (5 min) and then permeabilized with 0.1% PBS-Tween for 20 min. The cells were then incubated in 1x PBS / 10% normal goat serum / 0.3M glycine to block non-specific protein-protein interactions followed by the antibody (ab23644, 1μg/1x106 cells) for 30 min at 22°C. The secondary antibody used was DyLight® 488 goat anti-mouse IgG (H+L) (ab96879) at 1/500 dilution for 30 min at 22°C. Isotype control antibody (black line) was mouse IgG1 [ICIGG1] (ab91353, 2μg/1x106 cells) used under the same conditions. Acquisition of >5,000 events was performed. This antibody gave a positive signal in HeLa cells fixed with 4% paraformaldehyde (10 min)/permeabilized with 0.1% PBS-Tween for 20 min used under the same conditions.

Immunohistochemistry (Formalin/PFA-fixed paraffin-embedded sections) - Anti-hnRNP K antibody [F45 P9 C7] (AB23644)
  • IHC-P

Unknown

Immunohistochemistry (Formalin/PFA-fixed paraffin-embedded sections) - Anti-hnRNP K antibody [F45 P9 C7] (AB23644)

Formalin-fixed, paraffin embedded tissue sections from human normal colon or human colon carcinoma stained with ab23644 mouse monoclonal to hnRNP K. hnRNP K expression is increased in the tumour tissue.

Immunocytochemistry/ Immunofluorescence - Anti-hnRNP K antibody [F45 P9 C7] (AB23644)
  • ICC/IF

Lab

Immunocytochemistry/ Immunofluorescence - Anti-hnRNP K antibody [F45 P9 C7] (AB23644)

ab23644 staining hnRNP K in HeLa cells. The cells were fixed with 4% paraformaldehyde (10 min), permeabilized with 0.1% PBS-Triton X-100 for 5 minutes and then blocked with 1% BSA/10% normal goat serum/0.3M glycine in 0.1%PBS-Tween for 1h. The cells were then incubated overnight at 4°C with ab23644 at 1µg/ml and ab6046, Rabbit polyclonal to beta Tubulin - Loading Control. Cells were then incubated with ab150117, Goat polyclonal Secondary Antibody to Mouse IgG H&L (Alexa Fluor® 488) preadsorbed at 1/1000 dilution (shown in green) and ab150080, Goat polyclonal Secondary Antibody to Rabbit IgG - H&L (Alexa Fluor® 594) at 1/1000 dilution (shown in pseudocolour magenta). Nuclear DNA was labelled with DAPI (shown in blue). Also suitable in cells fixed with 100% methanol (5 min).Image was acquired with a high-content analyser (Operetta CLS, Perkin Elmer) and a maximum intensity projection of confocal sections is shown.

Western blot - Anti-hnRNP K antibody [F45 P9 C7] (AB23644)
  • WB

Unknown

Western blot - Anti-hnRNP K antibody [F45 P9 C7] (AB23644)

All lanes:

Western blot - Anti-hnRNP K antibody [F45 P9 C7] (ab23644) at 5 µg/mL

Lane 1:

NIH 3T3 (Mouse embryonic fibroblast cell line) Whole Cell Lysate at 20 µg

Lane 2:

MEF1 (Mouse embryonic fibroblast cell line) Whole Cell Lysate at 20 µg

Lane 3:

Testis (Mouse) Tissue Lysate at 20 µg

Lane 4:

Lung (Mouse) Tissue Lysate at 20 µg

Lane 5:

PC12 (Rat adrenal pheochromocytoma cell line) Whole Cell Lysate at 20 µg

Secondary

All lanes:

Western blot - Goat Anti-Mouse IgG H&L (HRP) preadsorbed (<a href='/en-us/products/secondary-antibodies/goat-mouse-igg-h-l-hrp-preadsorbed-ab97040'>ab97040</a>) at 1/5000 dilution

Predicted band size: 50 kDa

Observed band size: 21 kDa,24 kDa,54 kDa,56 kDa

true

Exposure time: 4min

Western blot - Anti-hnRNP K antibody [F45 P9 C7] (AB23644)
  • WB

Ap237728****

Western blot - Anti-hnRNP K antibody [F45 P9 C7] (AB23644)

Lane 1:

Marker

Lanes 2 - 5:

Western blot - Anti-hnRNP K antibody [F45 P9 C7] (ab23644) at 1 µg/mL

Lane 2:

HeLa (Human epithelial carcinoma cell line) Nuclear Lysate (ab27251) at 20 µg

Lane 3:

HeLa (Human epithelial carcinoma cell line) Whole Cell Lysate (ab27252) at 20 µg

Lane 4:

Western blot - Jurkat whole cell lysate (<a href='/en-us/products/cell-lysates/jurkat-whole-cell-lysate-ab7899'>ab7899</a>) at 20 µg

Lane 5:

Western blot - HEK-293 whole cell lysate (<a href='/en-us/products/cell-lysates/hek-293-whole-cell-lysate-ab7902'>ab7902</a>) at 20 µg

Secondary

All lanes:

Western blot - Rabbit Anti-Mouse IgG H&L (HRP) (<a href='/en-us/products/secondary-antibodies/rabbit-mouse-igg-h-l-hrp-ab6728'>ab6728</a>) at 1/10000 dilution

Predicted band size: 50 kDa

false

Key facts

Host species

Mouse

Clonality

Monoclonal

Clone number

F45 P9 C7

Isotype

IgG1

Light chain type

kappa

Carrier free

No

Reacts with

Mouse, Rat, Human

Applications

WB, Flow Cyt (Intra), IHC-P, ICC/IF

applications

Immunogen

The exact immunogen used to generate this antibody is proprietary information.

Reactivity data

{ "title": "Reactivity Data", "filters": { "stats": ["", "Species", "Dilution Info", "Notes"], "tabs": { "all-applications": {"fullname" : "All Applications", "shortname": "All Applications"}, "FlowCytIntra" : {"fullname" : "Flow Cytometry (Intracellular)", "shortname":"Flow Cyt (Intra)"}, "WB" : {"fullname" : "Western blot", "shortname":"WB"}, "ICCIF" : {"fullname" : "Immunocytochemistry/ Immunofluorescence", "shortname":"ICC/IF"}, "IHCP" : {"fullname" : "Immunohistochemistry (Formalin/PFA-fixed paraffin-embedded sections)", "shortname":"IHC-P"} }, "product-promise": { "all": "all", "testedAndGuaranteed": "tested", "guaranteed": "expected", "predicted": "predicted", "notRecommended": "not-recommended" } }, "values": { "Human": { "FlowCytIntra-species-checked": "testedAndGuaranteed", "FlowCytIntra-species-dilution-info": "1 µg for 10^6 Cells", "FlowCytIntra-species-notes": "<p><a href='/en-us/products/primary-antibodies/mouse-igg1-kappa-monoclonal-15-6e10a7-isotype-control-ab170190'>ab170190</a> - Mouse monoclonal IgG1, is suitable for use as an isotype control with this antibody.</p>", "WB-species-checked": "testedAndGuaranteed", "WB-species-dilution-info": "1 µg/mL", "WB-species-notes": "<p></p>", "ICCIF-species-checked": "testedAndGuaranteed", "ICCIF-species-dilution-info": "", "ICCIF-species-notes": "<p></p>", "IHCP-species-checked": "testedAndGuaranteed", "IHCP-species-dilution-info": "", "IHCP-species-notes": "<p></p> Perform heat-mediated antigen retrieval via the microwave method before commencing with IHC staining protocol." }, "Mouse": { "FlowCytIntra-species-checked": "guaranteed", "FlowCytIntra-species-dilution-info": "", "FlowCytIntra-species-notes": "", "WB-species-checked": "testedAndGuaranteed", "WB-species-dilution-info": "1 µg/mL", "WB-species-notes": "<p></p>", "ICCIF-species-checked": "guaranteed", "ICCIF-species-dilution-info": "", "ICCIF-species-notes": "", "IHCP-species-checked": "guaranteed", "IHCP-species-dilution-info": "", "IHCP-species-notes": "" }, "Rat": { "FlowCytIntra-species-checked": "guaranteed", "FlowCytIntra-species-dilution-info": "", "FlowCytIntra-species-notes": "", "WB-species-checked": "testedAndGuaranteed", "WB-species-dilution-info": "1 µg/mL", "WB-species-notes": "<p></p>", "ICCIF-species-checked": "guaranteed", "ICCIF-species-dilution-info": "", "ICCIF-species-notes": "", "IHCP-species-checked": "guaranteed", "IHCP-species-dilution-info": "", "IHCP-species-notes": "" }, "Chicken": { "FlowCytIntra-species-checked": "predicted", "FlowCytIntra-species-dilution-info": "", "FlowCytIntra-species-notes": "", "WB-species-checked": "predicted", "WB-species-dilution-info": "", "WB-species-notes": "", "ICCIF-species-checked": "predicted", "ICCIF-species-dilution-info": "", "ICCIF-species-notes": "", "IHCP-species-checked": "predicted", "IHCP-species-dilution-info": "", "IHCP-species-notes": "" }, "Rabbit": { "FlowCytIntra-species-checked": "predicted", "FlowCytIntra-species-dilution-info": "", "FlowCytIntra-species-notes": "", "WB-species-checked": "predicted", "WB-species-dilution-info": "", "WB-species-notes": "", "ICCIF-species-checked": "predicted", "ICCIF-species-dilution-info": "", "ICCIF-species-notes": "", "IHCP-species-checked": "predicted", "IHCP-species-dilution-info": "", "IHCP-species-notes": "" } } }

Product details

Want a custom formulation?
This antibody clone is manufactured by Abcam. If you require a custom buffer formulation or conjugation for your experiments, please contact orders@abcam.com

Properties and storage information

Form
Liquid
Purification technique
Affinity purification
Storage buffer
pH: 7.4 Preservative: 0.02% Sodium azide Constituents: PBS, 6.97% L-Arginine
Shipped at conditions
Blue Ice
Appropriate short-term storage duration
1-2 weeks
Appropriate short-term storage conditions
+4°C
Appropriate long-term storage conditions
-20°C
Aliquoting information
Upon delivery aliquot
Storage information
Avoid freeze / thaw cycle

Supplementary information

This supplementary information is collated from multiple sources and compiled automatically.

Heterogeneous nuclear ribonucleoprotein K (hnRNP K) is a multifunctional protein that plays a critical role in RNA metabolism including RNA splicing translation and transcription. Alternate names for hnRNP K include synkaryon-associated protein and hnRNP KurB. It has a molecular mass of approximately 51 kDa and is ubiquitously expressed in the nucleus and cytoplasm of eukaryotic cells. This protein features three KH (K homology) domains that enable it to interact with nucleic acids and other proteins.
Biological function summary

HnRNP K serves as a transcriptional regulator and participates in the assembly of ribonucleoprotein complexes. As part of the ribonucleoprotein complex it interacts with both RNA and DNA influencing various gene expression pathways. It also modulates the activity of several transcription factors including c-Myc and has been implicated in cell proliferation and differentiation. This protein's versatile functions make it an important component in various cellular processes.

Pathways

HnRNP K plays an important role in signal transduction and the p53 pathway. In the p53 pathway hnRNP K acts as a coactivator enhancing the transcriptional activity of the tumor suppressor p53 and influencing cell cycle regulation and apoptosis. Additionally hnRNP K interacts with several proteins including the c-Myc oncogene to regulate gene expression associated with growth and cell cycle progression.

HnRNP K has been linked to cancer and neurological disorders. Its interaction with c-Myc makes it relevant in various cancers where c-Myc is dysregulated contributing to unchecked cell proliferation. Furthermore alterations in hnRNP K expression or function have been associated with neurodegenerative disorders where it might interact with proteins like TDP-43 or FUS affecting neuronal function and survival.

Product protocols

For this product, it's our understanding that no specific protocols are required. You can visit:

Target data

One of the major pre-mRNA-binding proteins. Binds tenaciously to poly(C) sequences. Likely to play a role in the nuclear metabolism of hnRNAs, particularly for pre-mRNAs that contain cytidine-rich sequences. Can also bind poly(C) single-stranded DNA. Plays an important role in p53/TP53 response to DNA damage, acting at the level of both transcription activation and repression. When sumoylated, acts as a transcriptional coactivator of p53/TP53, playing a role in p21/CDKN1A and 14-3-3 sigma/SFN induction (By similarity). As far as transcription repression is concerned, acts by interacting with long intergenic RNA p21 (lincRNA-p21), a non-coding RNA induced by p53/TP53. This interaction is necessary for the induction of apoptosis, but not cell cycle arrest. As part of a ribonucleoprotein complex composed at least of ZNF827, HNRNPL and the circular RNA circZNF827 that nucleates the complex on chromatin, may negatively regulate the transcription of genes involved in neuronal differentiation (PubMed : 33174841).
See full target information HNRNPK

Publications (16)

Recent publications for all applications. Explore the full list and refine your search

Journal of cancer research and clinical oncology 149:6225-6237 PubMed36700980

2023

hnRNP K induces HPV16 oncogene expression and promotes cervical cancerization.

Applications

Unspecified application

Species

Unspecified reactive species

Yuanjing Lyu,Li Song,Rui Mao,Chunliang Liu,Meijuan Feng,Caihong Wu,Ruixin Pei,Ling Ding,Jintao Wang

ESC heart failure 9:2955-2966 PubMed35730141

2022

HOXA cluster antisense RNA 2 elevates KIAA1522 expression through microRNA-520d-3p and insulin like growth factor 2 mRNA binding protein 3 to promote the growth of vascular smooth muscle cells in thoracic aortic aneurysm.

Applications

Unspecified application

Species

Unspecified reactive species

Minghui Ou,Yaonan Chu,Qian Zhang,Huidong Zhao,Qiang Song

The Journal of biological chemistry 297:100997 PubMed34302808

2021

The lncRNA HMS recruits RNA-binding protein HuR to stabilize the 3'-UTR of HOXC10 mRNA.

Applications

Unspecified application

Species

Unspecified reactive species

Priyanka Priyanka,Madhur Sharma,Sanjeev Das,Sandeep Saxena

Acta neuropathologica 142:609-627 PubMed34274995

2021

HnRNP K mislocalisation is a novel protein pathology of frontotemporal lobar degeneration and ageing and leads to cryptic splicing.

Applications

Unspecified application

Species

Unspecified reactive species

Alexander Bampton,Ariana Gatt,Jack Humphrey,Sara Cappelli,Dipanjan Bhattacharya,Sandrine Foti,Anna-Leigh Brown,Yasmine Asi,Yi Hua Low,Marco Foiani,Towfique Raj,Emanuele Buratti,Pietro Fratta,Tammaryn Lashley

Nucleic acids research : PubMed33503245

2021

A novel all-in-one conditional knockout system uncovered an essential role of DDX1 in ribosomal RNA processing.

Applications

Unspecified application

Species

Unspecified reactive species

Teruhiko Suzuki,Eiji Katada,Yuki Mizuoka,Satoko Takagi,Yasuhiro Kazuki,Mitsuo Oshimura,Mayumi Shindo,Takahiko Hara

Human molecular genetics 27:3257-3271 PubMed29917075

2018

Proteomic analysis reveals co-ordinated alterations in protein synthesis and degradation pathways in LRRK2 knockout mice.

Applications

Unspecified application

Species

Unspecified reactive species

Laura Pellegrini,David N Hauser,Yan Li,Adamantios Mamais,Alexandra Beilina,Ravindran Kumaran,Andrea Wetzel,Jonathon Nixon-Abell,George Heaton,Iakov Rudenko,Mor Alkaslasi,Natalie Ivanina,Heather L Melrose,Mark R Cookson,Kirsten Harvey

Bioscience reports 38: PubMed29724888

2018

hnRNP K plays a protective role in TNF-α-induced apoptosis in podocytes.

Applications

WB

Species

Unspecified reactive species

Shili Zhao,Junxia Feng,Qi Wang,Lu Tian,Yunfang Zhang,Hongyan Li

Journal of cell science 131: PubMed29622601

2018

Dual role of the RNA helicase DDX5 in post-transcriptional regulation of myelin basic protein in oligodendrocytes.

Applications

Unspecified application

Species

Unspecified reactive species

Peter Hoch-Kraft,Robin White,Stefan Tenzer,Eva-Maria Krämer-Albers,Jacqueline Trotter,Constantin Gonsior

Journal of translational medicine 13:285 PubMed26318153

2015

Nuclear heterogeneous nuclear ribonucleoprotein D is associated with poor prognosis and interactome analysis reveals its novel binding partners in oral cancer.

Applications

Unspecified application

Species

Unspecified reactive species

Manish Kumar,Ajay Matta,Olena Masui,Gunjan Srivastava,Jatinder Kaur,Alok Thakar,Nootan Kumar Shukla,Ajoy RoyChoudhury,Meherchand Sharma,Paul G Walfish,K W Michael Siu,Shyam Singh Chauhan,Ranju Ralhan

Oncogenesis 4:e147 PubMed25893634

2015

Prediction of recurrence-free survival using a protein expression-based risk classifier for head and neck cancer.

Applications

IHC

Species

Unspecified reactive species

S S Chauhan,J Kaur,M Kumar,A Matta,G Srivastava,A Alyass,J Assi,I Leong,C MacMillan,I Witterick,T J Colgan,N K Shukla,A Thakar,M C Sharma,K W M Siu,P G Walfish,R Ralhan
View all publications

Product promise

We are committed to supporting your work with high-quality reagents, and we're here for you every step of the way. In the unlikely event that one of our products does not perform as expected, you're protected by our Product Promise.
For full details, please see our Terms & Conditions

Please note: All products are 'FOR RESEARCH USE ONLY. NOT FOR USE IN DIAGNOSTIC OR THERAPEUTIC PROCEDURES'.

For licensing inquiries, please contact partnerships@abcam.com