JavaScript is disabled in your browser. Please enable JavaScript to view this website.
AB134060

Anti-hnRNP K (phospho S284) antibody [EPR944]

Be the first to review this product! Submit a review

|

(2 Publications)

Rabbit Recombinant Monoclonal hnRNP K phospho S284 antibody. Suitable for WB and reacts with Human samples. Cited in 2 publications.

View Alternative Names

HNRPK, HNRNPK, Heterogeneous nuclear ribonucleoprotein K, hnRNP K, Transformation up-regulated nuclear protein, TUNP

3 Images
Western blot - Anti-hnRNP K (phospho S284) antibody [EPR944] (AB134060)
  • WB

Lab

Western blot - Anti-hnRNP K (phospho S284) antibody [EPR944] (AB134060)

Blocking/Diluting buffer and concentration 5% NFDM/TBST.

Two bands observed corresponding to isoforms.

Lanes 1 - 2:

Western blot - Anti-hnRNP K (phospho S284) antibody [EPR944] (ab134060) at 1/1000 dilution

Lanes 1 - 2:

Western blot - Anti-hnRNP K antibody [EPR944] (phospho S284) - BSA and Azide free (<a href='/en-us/products/primary-antibodies/hnrnp-k-antibody-epr944-phospho-s284-bsa-and-azide-free-ab248664'>ab248664</a>) at 1/1000 dilution

Lane 1:

Jurkat (Human T cell leukemia cell line from peripheral blood) whole cell lysate at 20 µg

Lane 2:

Jurkat (Human T cell leukemia cell line from peripheral blood) lysate and the membrane was incubated with alkaline phosphatase at 20 µg

Secondary

All lanes:

Western blot - Goat Anti-Rabbit IgG H&L (HRP) (<a href='/en-us/products/secondary-antibodies/goat-rabbit-igg-h-l-hrp-ab97051'>ab97051</a>) at 1/20000 dilution

Observed band size: 55 kDa,60 kDa

true

Exposure time: 180s

Western blot - Anti-hnRNP K (phospho S284) antibody [EPR944] (AB134060)
  • WB

Unknown

Western blot - Anti-hnRNP K (phospho S284) antibody [EPR944] (AB134060)

All lanes:

Western blot - Anti-hnRNP K (phospho S284) antibody [EPR944] (ab134060) at 1/50000 dilution

Lane 1:

Jurkat cell lysate at 10 µg

Lane 2:

A549 cell lysate at 10 µg

Secondary

All lanes:

HRP labelled goat anti-rabbit at 1/2000 dilution

Predicted band size: 50 kDa

false

Western blot - Anti-hnRNP K (phospho S284) antibody [EPR944] (AB134060)
  • WB

Lab

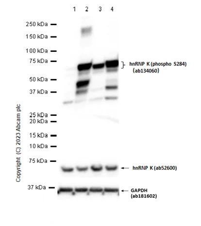
Western blot - Anti-hnRNP K (phospho S284) antibody [EPR944] (AB134060)

Two bands observed corresponding to isoforms. Blocking and diluting buffer : 5% NFDM/TBST

Lanes 1 - 4:

Western blot - Anti-hnRNP K (phospho S284) antibody [EPR944] (ab134060) at 1/1000 dilution

Lanes 1 - 4:

Western blot - Anti-hnRNP K antibody [EPR944] (phospho S284) - BSA and Azide free (<a href='/en-us/products/primary-antibodies/hnrnp-k-antibody-epr944-phospho-s284-bsa-and-azide-free-ab248664'>ab248664</a>) at 1/1000 dilution

Lane 1:

Untreated Jurkat (Human T cell leukemia cell line from peripheral blood) whole cell lysate at 20 µg

Lane 2:

Jurkat (Human T cell leukemia cell line from peripheral blood) treated with 100ng/ml Calyculin A for 30 min whole cell lysate at 20 µg

Lane 3:

Untreated HeLa (Human cervix adenocarcinoma epithelial cell)) whole cell lysate at 20 µg

Lane 4:

HeLa (Human cervix adenocarcinoma epithelial cell) treated with 100ng/ml Calyculin A for 17 hours whole cell lysate at 20 µg

Secondary

All lanes:

Goat Anti-Rabbit IgG, (H+L), Peroxidase conjugated at 1/20000 dilution

Observed band size: 55 kDa,60 kDa

false

Exposure time: 3s

  • Carrier free

    Anti-hnRNP K antibody [EPR944] (phospho S284) - BSA and Azide free

Key facts

Host species

Rabbit

Clonality

Monoclonal

Clone number

EPR944

Isotype

IgG

Carrier free

No

Reacts with

Human

Applications

WB

applications

Immunogen

The exact immunogen used to generate this antibody is proprietary information.

Reactivity data

{ "title": "Reactivity Data", "filters": { "stats": ["", "Species", "Dilution Info", "Notes"], "tabs": { "all-applications": {"fullname" : "All Applications", "shortname": "All Applications"}, "IHCP" : {"fullname" : "Immunohistochemistry (Formalin/PFA-fixed paraffin-embedded sections)", "shortname":"IHC-P"}, "ICCIF" : {"fullname" : "Immunocytochemistry/ Immunofluorescence", "shortname":"ICC/IF"}, "IP" : {"fullname" : "Immunoprecipitation", "shortname":"IP"}, "FlowCyt" : {"fullname" : "Flow Cytometry", "shortname":"Flow Cyt"}, "WB" : {"fullname" : "Western blot", "shortname":"WB"} }, "product-promise": { "all": "all", "testedAndGuaranteed": "tested", "guaranteed": "expected", "predicted": "predicted", "notRecommended": "not-recommended" } }, "values": { "Human": { "IHCP-species-checked": "notRecommended", "IHCP-species-dilution-info": "1/100 - 1/250", "IHCP-species-notes": "<p></p>", "ICCIF-species-checked": "notRecommended", "ICCIF-species-dilution-info": "", "ICCIF-species-notes": "<p></p>", "IP-species-checked": "notRecommended", "IP-species-dilution-info": "", "IP-species-notes": "<p></p>", "FlowCyt-species-checked": "notRecommended", "FlowCyt-species-dilution-info": "", "FlowCyt-species-notes": "<p></p>", "WB-species-checked": "testedAndGuaranteed", "WB-species-dilution-info": "1/50000 - 1/200000", "WB-species-notes": "<p></p>" }, "Mouse": { "IHCP-species-checked": "notRecommended", "IHCP-species-dilution-info": "", "IHCP-species-notes": "", "ICCIF-species-checked": "notRecommended", "ICCIF-species-dilution-info": "", "ICCIF-species-notes": "", "IP-species-checked": "notRecommended", "IP-species-dilution-info": "", "IP-species-notes": "", "FlowCyt-species-checked": "notRecommended", "FlowCyt-species-dilution-info": "", "FlowCyt-species-notes": "", "WB-species-checked": "predicted", "WB-species-dilution-info": "", "WB-species-notes": "" }, "Rat": { "IHCP-species-checked": "notRecommended", "IHCP-species-dilution-info": "", "IHCP-species-notes": "", "ICCIF-species-checked": "notRecommended", "ICCIF-species-dilution-info": "", "ICCIF-species-notes": "", "IP-species-checked": "notRecommended", "IP-species-dilution-info": "", "IP-species-notes": "", "FlowCyt-species-checked": "notRecommended", "FlowCyt-species-dilution-info": "", "FlowCyt-species-notes": "", "WB-species-checked": "predicted", "WB-species-dilution-info": "", "WB-species-notes": "" } } }

Product details

Patented technology
Our RabMAb® technology is a patented hybridoma-based technology for making rabbit monoclonal antibodies. For details on our patents, please refer to RabMAb® patents.

What are the advantages of a recombinant monoclonal antibody?
This product is a recombinant monoclonal antibody, which offers several advantages including:

  • - High batch-to-batch consistency and reproducibility
  • - Improved sensitivity and specificity
  • - Long-term security of supply
  • - Animal-free batch production

For more information, read more on recombinant antibodies.

Properties and storage information

Form
Liquid
Purity
Tissue culture supernatant
Storage buffer
pH: 7.2 - 7.4 Preservative: 0.05% Sodium azide Constituents: 50% Tissue culture supernatant, 40% Glycerol (glycerin, glycerine), 9.85% Tris glycine, 0.1% BSA
Shipped at conditions
Blue Ice
Appropriate short-term storage conditions
+4°C
Appropriate long-term storage conditions
-20°C
Storage information
Stable for 12 months at -20°C

Supplementary information

This supplementary information is collated from multiple sources and compiled automatically.

Heterogeneous nuclear ribonucleoprotein K (hnRNP K) is a multifunctional protein that plays a critical role in RNA metabolism including RNA splicing translation and transcription. Alternate names for hnRNP K include synkaryon-associated protein and hnRNP KurB. It has a molecular mass of approximately 51 kDa and is ubiquitously expressed in the nucleus and cytoplasm of eukaryotic cells. This protein features three KH (K homology) domains that enable it to interact with nucleic acids and other proteins.
Biological function summary

HnRNP K serves as a transcriptional regulator and participates in the assembly of ribonucleoprotein complexes. As part of the ribonucleoprotein complex it interacts with both RNA and DNA influencing various gene expression pathways. It also modulates the activity of several transcription factors including c-Myc and has been implicated in cell proliferation and differentiation. This protein's versatile functions make it an important component in various cellular processes.

Pathways

HnRNP K plays an important role in signal transduction and the p53 pathway. In the p53 pathway hnRNP K acts as a coactivator enhancing the transcriptional activity of the tumor suppressor p53 and influencing cell cycle regulation and apoptosis. Additionally hnRNP K interacts with several proteins including the c-Myc oncogene to regulate gene expression associated with growth and cell cycle progression.

HnRNP K has been linked to cancer and neurological disorders. Its interaction with c-Myc makes it relevant in various cancers where c-Myc is dysregulated contributing to unchecked cell proliferation. Furthermore alterations in hnRNP K expression or function have been associated with neurodegenerative disorders where it might interact with proteins like TDP-43 or FUS affecting neuronal function and survival.

Product protocols

For this product, it's our understanding that no specific protocols are required. You can visit:

Target data

One of the major pre-mRNA-binding proteins. Binds tenaciously to poly(C) sequences. Likely to play a role in the nuclear metabolism of hnRNAs, particularly for pre-mRNAs that contain cytidine-rich sequences. Can also bind poly(C) single-stranded DNA. Plays an important role in p53/TP53 response to DNA damage, acting at the level of both transcription activation and repression. When sumoylated, acts as a transcriptional coactivator of p53/TP53, playing a role in p21/CDKN1A and 14-3-3 sigma/SFN induction (By similarity). As far as transcription repression is concerned, acts by interacting with long intergenic RNA p21 (lincRNA-p21), a non-coding RNA induced by p53/TP53. This interaction is necessary for the induction of apoptosis, but not cell cycle arrest. As part of a ribonucleoprotein complex composed at least of ZNF827, HNRNPL and the circular RNA circZNF827 that nucleates the complex on chromatin, may negatively regulate the transcription of genes involved in neuronal differentiation (PubMed : 33174841).
See full target information HNRNPK phospho S284

Publications (2)

Recent publications for all applications. Explore the full list and refine your search

BMC genomics 24:146 PubMed36964488

2023

Study of FOXO1-interacting proteins using TurboID-based proximity labeling technology.

Applications

Unspecified application

Species

Unspecified reactive species

Yanting Su,Yuanyuan Guo,Jieyu Guo,Ting Zeng,Ting Wang,Wu Liu

Nucleic acids research 45:7494-7506 PubMed28575276

2017

Structural determinants of APOBEC3B non-catalytic domain for molecular assembly and catalytic regulation.

Applications

WB

Species

Human

Xiao Xiao,Hanjing Yang,Vagan Arutiunian,Yao Fang,Guillaume Besse,Cherie Morimoto,Brett Zirkle,Xiaojiang S Chen
View all publications

Product promise

We are committed to supporting your work with high-quality reagents, and we're here for you every step of the way. In the unlikely event that one of our products does not perform as expected, you're protected by our Product Promise.
For full details, please see our Terms & Conditions

Please note: All products are 'FOR RESEARCH USE ONLY. NOT FOR USE IN DIAGNOSTIC OR THERAPEUTIC PROCEDURES'.

For licensing inquiries, please contact partnerships@abcam.com