JavaScript is disabled in your browser. Please enable JavaScript to view this website.
AB264340

Anti-hnRNP L antibody

Be the first to review this product! Submit a review

|

(6 Publications)

Rabbit Polyclonal hnRNP L antibody. Suitable for IHC-P, IP, WB and reacts with Mouse, Human samples. Cited in 6 publications. Immunogen corresponding to Synthetic Peptide within Human HNRNPL aa 500 to C-terminus.

View Alternative Names

HNRPL, P/OKcl.14, HNRNPL, Heterogeneous nuclear ribonucleoprotein L, hnRNP L

5 Images
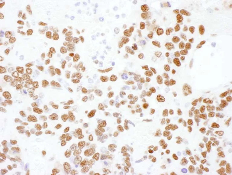
Immunohistochemistry (Formalin/PFA-fixed paraffin-embedded sections) - Anti-hnRNP L antibody (AB264340)
  • IHC-P

Unknown

Immunohistochemistry (Formalin/PFA-fixed paraffin-embedded sections) - Anti-hnRNP L antibody (AB264340)

Immunohistochemical analysis of formalin-fixed, paraffin-embedded human prostate carcinoma tissue labeling hnRNP L with ab264340 at 1/1000 dilution. Detection : DAB.

Epitope retrieval with citrate buffer pH 6.0 is recommended for FFPE tissue sections.

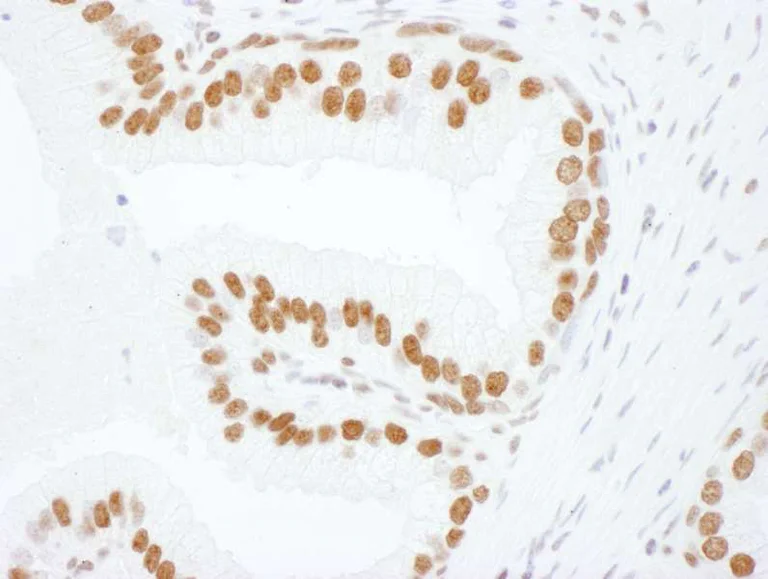
Immunohistochemistry (Formalin/PFA-fixed paraffin-embedded sections) - Anti-hnRNP L antibody (AB264340)
  • IHC-P

Unknown

Immunohistochemistry (Formalin/PFA-fixed paraffin-embedded sections) - Anti-hnRNP L antibody (AB264340)

Immunohistochemical analysis of formalin-fixed, paraffin-embedded mouse teratoma tissue labeling hnRNP L with ab264340 at 1/1000 dilution. Detection : DAB.

Epitope retrieval with citrate buffer pH 6.0 is recommended for FFPE tissue sections.

Immunoprecipitation - Anti-hnRNP L antibody (AB264340)
  • IP

Supplier Data

Immunoprecipitation - Anti-hnRNP L antibody (AB264340)

hnRNP L was immunoprecipitated from 1mg of HEK-293T (Human epithelial cell line from embryonic kidney transformed with large T antigen) whole cell lysate with ab264340 at 6 μg/mg lysate. Western blot was performed from the immunoprecipitate using ab264340 at 1 μg/ml.
Lane 1 : ab264340 IP in HEK-293T whole cell lysate.
Lane 2 : Control IgG.

Exposure time : 10 secs.

All lanes:

Immunoprecipitation - Anti-hnRNP L antibody (ab264340)

Predicted band size: 64 kDa

false

Western blot - Anti-hnRNP L antibody (AB264340)
  • WB

Supplier Data

Western blot - Anti-hnRNP L antibody (AB264340)

4-20% SDS-PAGE

All lanes:

Western blot - Anti-hnRNP L antibody (ab264340) at 0.4 µg/mL

Lane 1:

NIH/3T3 whole cell lysate at 50 µg

Lane 2:

NIH/3T3 whole cell lysate at 15 µg

Predicted band size: 64 kDa

false

Exposure time: 10s

Western blot - Anti-hnRNP L antibody (AB264340)
  • WB

Supplier Data

Western blot - Anti-hnRNP L antibody (AB264340)

4-20% SDS-PAGE

All lanes:

Western blot - Anti-hnRNP L antibody (ab264340) at 0.1 µg/mL

Lane 1:

HEK-293T whole cell lysate at 50 µg

Lane 2:

HEK-293T whole cell lysate at 15 µg

Lane 3:

HeLa whole cell lysate at 50 µg

Lane 4:

Jurkat whole cell lysate at 50 µg

Predicted band size: 64 kDa

false

Exposure time: 3min

Key facts

Host species

Rabbit

Clonality

Polyclonal

Isotype

IgG

Carrier free

No

Reacts with

Mouse, Human

Applications

IHC-P, IP, WB

applications

Immunogen

Synthetic Peptide within Human HNRNPL aa 500 to C-terminus. The exact immunogen used to generate this antibody is proprietary information.

P14866

Reactivity data

{ "title": "Reactivity Data", "filters": { "stats": ["", "Species", "Dilution Info", "Notes"], "tabs": { "all-applications": {"fullname" : "All Applications", "shortname": "All Applications"}, "IHCP" : {"fullname" : "Immunohistochemistry (Formalin/PFA-fixed paraffin-embedded sections)", "shortname":"IHC-P"}, "IP" : {"fullname" : "Immunoprecipitation", "shortname":"IP"}, "WB" : {"fullname" : "Western blot", "shortname":"WB"} }, "product-promise": { "all": "all", "testedAndGuaranteed": "tested", "guaranteed": "expected", "predicted": "predicted", "notRecommended": "not-recommended" } }, "values": { "Human": { "IHCP-species-checked": "testedAndGuaranteed", "IHCP-species-dilution-info": "1/500 - 1/2000", "IHCP-species-notes": "<p></p> Perform heat-mediated antigen retrieval with citrate buffer pH 6 before commencing with IHC staining protocol.", "IP-species-checked": "testedAndGuaranteed", "IP-species-dilution-info": "2-10 µg/mg of lysate", "IP-species-notes": "<p></p>", "WB-species-checked": "testedAndGuaranteed", "WB-species-dilution-info": "1/2000 - 1/10000", "WB-species-notes": "<p></p>" }, "Mouse": { "IHCP-species-checked": "testedAndGuaranteed", "IHCP-species-dilution-info": "1/500 - 1/2000", "IHCP-species-notes": "<p></p> Perform heat-mediated antigen retrieval with citrate buffer pH 6 before commencing with IHC staining protocol.", "IP-species-checked": "guaranteed", "IP-species-dilution-info": "", "IP-species-notes": "", "WB-species-checked": "testedAndGuaranteed", "WB-species-dilution-info": "1/2000 - 1/10000", "WB-species-notes": "<p></p>" } } }

Properties and storage information

Form
Liquid
Purification technique
Affinity purification Immunogen
Storage buffer
pH: 7 - 8 Preservative: 0.09% Sodium azide Constituents: Tris citrate/phosphate
Shipped at conditions
Blue Ice
Appropriate short-term storage duration
1-2 weeks
Appropriate short-term storage conditions
+4°C
Appropriate long-term storage conditions
-20°C
Aliquoting information
Upon delivery aliquot
Storage information
Avoid freeze / thaw cycle

Supplementary information

This supplementary information is collated from multiple sources and compiled automatically.

Heterogeneous nuclear ribonucleoprotein L commonly known as hnRNP L functions in the processing of pre-mRNA. It binds to RNA sequences influencing mRNA stability splicing and nuclear export. The protein weighs approximately 64 kDa and is typically expressed in a variety of human tissues including the brain and liver. hnRNP L contains RNA recognition motifs that allow dynamic interaction with RNA playing a central role in gene expression regulation.
Biological function summary

HnRNP L contributes to alternative splicing by modulating intron retention and exon skipping. It operates as a monomer but may interact with other hnRNP family members to form complexes. These complexes allow hnRNP L to exert its influence over mRNA metabolism in different cellular contexts ensuring the diverse expression of proteins necessary for various cellular functions.

Pathways

HnRNP L integrates into the mRNA splicing and transport pathways significantly affecting gene expression. It interacts with other splicing factors such as SR proteins helping to orchestrate the formation of spliceosomes. These interactions further connect hnRNP L to the pathway involving the regulation of alternative splicing choices affecting how cells respond to environmental and developmental cues.

HnRNP L shows implications in cancer and autoimmune diseases. Abnormal regulation or expression of hnRNP L has associations with tumor progression particularly influencing cancer-related genes through altered splicing patterns. Additionally hnRNP L interacts with autoimmune-related proteins such as SRSF1 which suggests its role in the pathogenesis of autoimmune conditions. Understanding these interactions provides valuable insights into potential therapeutic targets.

Product protocols

For this product, it's our understanding that no specific protocols are required. You can visit:

Target data

Splicing factor binding to exonic or intronic sites and acting as either an activator or repressor of exon inclusion. Exhibits a binding preference for CA-rich elements (PubMed : 11809897, PubMed : 22570490, PubMed : 24164894, PubMed : 25623890, PubMed : 26051023). Component of the heterogeneous nuclear ribonucleoprotein (hnRNP) complexes and associated with most nascent transcripts (PubMed : 2687284). Associates, together with APEX1, to the negative calcium responsive element (nCaRE) B2 of the APEX2 promoter (PubMed : 11809897). As part of a ribonucleoprotein complex composed at least of ZNF827, HNRNPK and the circular RNA circZNF827 that nucleates the complex on chromatin, may negatively regulate the transcription of genes involved in neuronal differentiation (PubMed : 33174841). Regulates alternative splicing of a core group of genes involved in neuronal differentiation, likely by mediating H3K36me3-coupled transcription elongation and co-transcriptional RNA processing via interaction with CHD8.
See full target information HNRNPL

Publications (6)

Recent publications for all applications. Explore the full list and refine your search

Translational oncology 43:101908 PubMed38368714

2024

HNRNPL facilitates ferroptosis in hepatocellular carcinoma cells by promoting S100A9 expression.

Applications

Unspecified application

Species

Unspecified reactive species

Lanfang Yang,Zhibo Zhang,Xiangqing Yao,Xukun Wu,Zhao Zhang

iScience 26:106543 PubMed37123244

2023

TIAR and FMRP shape pro-survival nascent proteome of leukemia cells in the bone marrow microenvironment.

Applications

Unspecified application

Species

Unspecified reactive species

Magdalena Wolczyk,Remigiusz Serwa,Agata Kominek,Agata Klejman,Jacek Milek,Marta Chwałek,Laura Turos-Korgul,Agata Charzyńska,Michal Dabrowski,Magdalena Dziembowska,Tomasz Skorski,Katarzyna Piwocka,Paulina Podszywalow-Bartnicka

Bioengineered 13:14426-14437 PubMed36694458

2023

Long non-coding RNA lincRNA-erythroid prosurvival attenuates inflammation by enhancing myosin heavy chain 6 stability through recruitment of heterogeneous nuclear ribonucleoprotein L in myocardial infarction.

Applications

Unspecified application

Species

Unspecified reactive species

Huizhen Zhang,Xuejun Kou,Dong Xiao,Zhangjian Yu

Cells 11: PubMed36359855

2022

Chemerin-Induced Down-Regulation of Placenta-Derived Exosomal miR-140-3p and miR-574-3p Promotes Umbilical Vein Endothelial Cells Proliferation, Migration, and Tube Formation in Gestational Diabetes Mellitus.

Applications

Unspecified application

Species

Unspecified reactive species

Lixia Zhang,Qi Wu,Shuqi Zhu,Yibo Tang,Yanmin Chen,Danqing Chen,Zhaoxia Liang

Molecules (Basel, Switzerland) 27: PubMed36014574

2022

MOBT Alleviates Pulmonary Fibrosis through an lncITPF-hnRNP-l-Complex-Mediated Signaling Pathway.

Applications

Unspecified application

Species

Unspecified reactive species

Pan Xu,Haitong Zhang,Huangting Li,Bo Liu,Rongrong Li,Jinjin Zhang,Xiaodong Song,Changjun Lv,Hongbo Li,Mingwei Chen

Environmental toxicology 37:1629-1641 PubMed35258167

2022

LINC01588 regulates WWP2-mediated cardiomyocyte injury by interacting with HNRNPL.

Applications

Unspecified application

Species

Unspecified reactive species

Yanbin Song,Xiaoyue Ren,Feng Gao,Fei Li,Jing Zhou,Junmin Chen,Yunqing Zhang
View all publications

Product promise

We are committed to supporting your work with high-quality reagents, and we're here for you every step of the way. In the unlikely event that one of our products does not perform as expected, you're protected by our Product Promise.
For full details, please see our Terms & Conditions

Please note: All products are 'FOR RESEARCH USE ONLY. NOT FOR USE IN DIAGNOSTIC OR THERAPEUTIC PROCEDURES'.

For licensing inquiries, please contact partnerships@abcam.com