JavaScript is disabled in your browser. Please enable JavaScript to view this website.
AB177957

Anti-hnRNP M1-M4 antibody [EPR13509(B)]

5

(2 Reviews)

|

(7 Publications)

Rabbit Recombinant Monoclonal HNRPM antibody. Suitable for IHC-P, WB, ICC/IF, Flow Cyt (Intra) and reacts with Mouse, Rat, Human samples. Cited in 7 publications.

View Alternative Names

HNRPM, NAGR1, HNRNPM, Heterogeneous nuclear ribonucleoprotein M, hnRNP M

11 Images
Immunohistochemistry (Formalin/PFA-fixed paraffin-embedded sections) - Anti-hnRNP M1-M4 antibody [EPR13509(B)] (AB177957)
  • IHC-P

Unknown

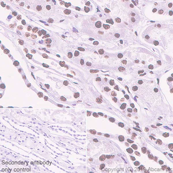
Immunohistochemistry (Formalin/PFA-fixed paraffin-embedded sections) - Anti-hnRNP M1-M4 antibody [EPR13509(B)] (AB177957)

Immunohistochemistry (Formalin/PFA-fixed paraffin-embedded sections) analysis of human kidney tissue sections labeling hnRNP M1-M4 with Purified ab177957 at 1 : 4000 dilution (0.24 µg/ml). Heat mediated antigen retrieval using Bond™ Epitope Retrieval Solution 2 (pH 9.0). Rabbit specific IHC polymer detection kit HRP/DAB (ab209101) was used for detection. Negative control : PBS instead of the primary antibody. Hematoxylin was used as a counterstain.

Immunohistochemistry (Formalin/PFA-fixed paraffin-embedded sections) - Anti-hnRNP M1-M4 antibody [EPR13509(B)] (AB177957)
  • IHC-P

Supplier Data

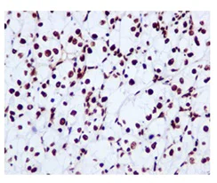
Immunohistochemistry (Formalin/PFA-fixed paraffin-embedded sections) - Anti-hnRNP M1-M4 antibody [EPR13509(B)] (AB177957)

Immunohistochemical analysis of Human kidney carcinoma tissue labeling hnRNP M1-M4 using ab177957 at 1/50 dilution.

Perform heat mediated antigen retrieval with citrate buffer pH 6 before commencing with IHC staining protocol.

Flow Cytometry (Intracellular) - Anti-hnRNP M1-M4 antibody [EPR13509(B)] (AB177957)
  • Flow Cyt (Intra)

Unknown

Flow Cytometry (Intracellular) - Anti-hnRNP M1-M4 antibody [EPR13509(B)] (AB177957)

Intracellular Flow Cytometry analysis of HeLa (Human cervix adenocarcinoma epithelial cell) cells labeling hnRNP M1-M4 with Purified ab177957 at 1/100 dilution (10 μg/ml) (Red). Cells were fixed with 4% Paraformaldehyde and permeabilised with 90% Methanol. A Goat anti rabbit IgG (Alexa Fluor® 488, ab150077) secondary antibody was used at 1/2000. Isotype control - Rabbit monoclonal IgG (Black). Unlabeled control - Cell without incubation with primary antibody and secondary antibody (Blue).

Immunocytochemistry/ Immunofluorescence - Anti-hnRNP M1-M4 antibody [EPR13509(B)] (AB177957)
  • ICC/IF

Supplier Data

Immunocytochemistry/ Immunofluorescence - Anti-hnRNP M1-M4 antibody [EPR13509(B)] (AB177957)

Immunofluorescence analysis of HeLa cells labeling hnRNP M1-M4 using ab177957 at 1/100 dilution.

Immunocytochemistry/ Immunofluorescence - Anti-hnRNP M1-M4 antibody [EPR13509(B)] (AB177957)
  • ICC/IF

Unknown

Immunocytochemistry/ Immunofluorescence - Anti-hnRNP M1-M4 antibody [EPR13509(B)] (AB177957)

Immunocytochemistry/ Immunofluorescence analysis of HeLa (Human cervix adenocarcinoma epithelial cell) cells labeling hnRNP M1-M4 with Purified ab177957 at 1 : 100 dilution (9.7 µg/ml). Cells were fixed in 4% Paraformaldehyde and permeabilized with 0.1% tritonX-100. Cells were counterstained with ab195889 Anti-alpha Tubulin antibody [DM1A] - Microtubule Marker (Alexa Fluor® 594) 1 : 200 (2.5 µg/ml). Goat anti rabbit IgG (Alexa Fluor® 488, ab150077) was used as the secondary antibody at 1 : 1000 (2 µg/ml) dilution. DAPI (blue) was used as nuclear counterstain. PBS instead of the primary antibody was used as the secondary antibody only control.

Immunohistochemistry (Formalin/PFA-fixed paraffin-embedded sections) - Anti-hnRNP M1-M4 antibody [EPR13509(B)] (AB177957)
  • IHC-P

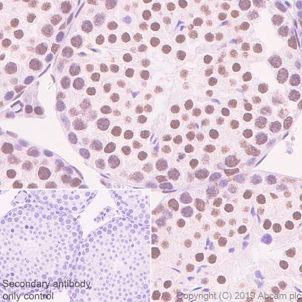
Unknown

Immunohistochemistry (Formalin/PFA-fixed paraffin-embedded sections) - Anti-hnRNP M1-M4 antibody [EPR13509(B)] (AB177957)

Immunohistochemistry (Formalin/PFA-fixed paraffin-embedded sections) analysis of mouse testis tissue sections labeling hnRNP M1-M4 with Purified ab177957 at 1 : 4000 dilution (0.24 µg/ml). Heat mediated antigen retrieval using Bond™ Epitope Retrieval Solution 2 (pH 9.0). Rabbit specific IHC polymer detection kit HRP/DAB (ab209101) was used for detection. Negative control : PBS instead of the primary antibody. Hematoxylin was used as a counterstain.

Immunohistochemistry (Formalin/PFA-fixed paraffin-embedded sections) - Anti-hnRNP M1-M4 antibody [EPR13509(B)] (AB177957)
  • IHC-P

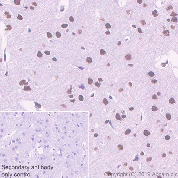
Unknown

Immunohistochemistry (Formalin/PFA-fixed paraffin-embedded sections) - Anti-hnRNP M1-M4 antibody [EPR13509(B)] (AB177957)

Immunohistochemistry (Formalin/PFA-fixed paraffin-embedded sections) analysis of rat cerebrum tissue sections labeling hnRNP M1-M4 with Purified ab177957 at 1 : 4000 dilution (0.24 µg/ml). Heat mediated antigen retrieval using Bond™ Epitope Retrieval Solution 2 (pH 9.0). Rabbit specific IHC polymer detection kit HRP/DAB (ab209101) was used for detection. Negative control : PBS instead of the primary antibody. Hematoxylin was used as a counterstain.

Western blot - Anti-hnRNP M1-M4 antibody [EPR13509(B)] (AB177957)
  • WB

Supplier Data

Western blot - Anti-hnRNP M1-M4 antibody [EPR13509(B)] (AB177957)

All lanes:

Western blot - Anti-hnRNP M1-M4 antibody [EPR13509(B)] (ab177957) at 1/1000 dilution

Lane 1:

HepG2 cell lysate at 10 µg

Lane 2:

HeLa cell lysate at 10 µg

Lane 3:

Jurkat cell lysate at 10 µg

Lane 4:

293T cell lysate at 10 µg

Predicted band size: 78 kDa

false

Western blot - Anti-hnRNP M1-M4 antibody [EPR13509(B)] (AB177957)
  • WB

Lab

Western blot - Anti-hnRNP M1-M4 antibody [EPR13509(B)] (AB177957)

Blocking and Diluting buffer 5% NFDM/TBST

All lanes:

Western blot - Anti-hnRNP M1-M4 antibody [EPR13509(B)] (ab177957) at 1/2000 dilution

Lane 1:

Mouse brain tissue lysate at 20 µg

Lane 2:

Mouse heart tissue lysate at 20 µg

Lane 3:

Rat brain tissue lysate at 20 µg

Lane 4:

Rat heart tissue lysate at 20 µg

Secondary

All lanes:

Western blot - Goat Anti-Rabbit IgG H&L (HRP) (<a href='/en-us/products/secondary-antibodies/goat-rabbit-igg-h-l-hrp-ab97051'>ab97051</a>) at 1/20000 dilution

Predicted band size: 78 kDa

Observed band size: 78 kDa

false

Exposure time: 3min

Western blot - Anti-hnRNP M1-M4 antibody [EPR13509(B)] (AB177957)
  • WB

Lab

Western blot - Anti-hnRNP M1-M4 antibody [EPR13509(B)] (AB177957)

All lanes:

Western blot - Anti-hnRNP M1-M4 antibody [EPR13509(B)] (ab177957) at 1/10000 dilution

Lane 1:

HeLa (Human cervix adenocarcinoma epithelial cell) whole cell lysates at 15 µg

Lane 2:

Mouse brain lysates at 15 µg

Lane 3:

Rat brain lysates at 15 µg

Secondary

All lanes:

Western blot - Goat Anti-Rabbit IgG H&L (HRP) (<a href='/en-us/products/secondary-antibodies/goat-rabbit-igg-h-l-hrp-ab97051'>ab97051</a>) at 1/20000 dilution

Predicted band size: 78 kDa

Observed band size: 78 kDa

false

Western blot - Anti-hnRNP M1-M4 antibody [EPR13509(B)] (AB177957)
  • WB

CiteAb

Western blot - Anti-hnRNP M1-M4 antibody [EPR13509(B)] (AB177957)

hnRNP M1-M4 western blot using anti-hnRNP M1-M4 antibody [EPR13509(B)] ab177957. Publication image and figure legend from Liu, W., Wang, K., et al., 2020, Int J Biol Sci, PubMed 31892848.

ab177957 was used in this publication in western blot. This may not be the same as the application(s) guaranteed by Abcam. For a full list of applications guaranteed by Abcam for ab177957 please see the product overview.

RBPs were highly expressed in the FAD NCC models in vitro. (A) The validation of GEO dataset GSE3548 data by real-time PCR. The expressions of HNRNPM, HNRNPC, LARP6, and TRMT1 were significantly up-regulated in FAF-group H9-NCCs compared to control-group H9-NCCs (i). The expressions of PPIL4 and RCAN2 were significantly up-regulated in the shRFC-group H9-NCCs compared to Scramble-group H9-NCCs. (B) Western blots showed evidence of up-regulation of LARP6, hnRNPC and TRMT1 proteins in the FAF-group H9-NCCs (i) and PPIL4 and RCAN2 proteins in the shRFC-group H9-NCCs. n≥3. * p<0.05, ** p<0.01. FAD, folic acid deficiency; RFC, reduced folate carrier; hnRNPM, heterogeneous nuclear ribonucleoprotein M; hnRNPC, heterogeneous nuclear ribonucleoprotein C; LARP6, La ribonucleoprotein domain family member 6; TRMT1, tRNA methyltransferase 1; PPIL4, peptidylprolyl isomerase like 4; RCAN2, regulator of calcineurin 2.

false

  • Carrier free

    Anti-hnRNP M1-M4 antibody [EPR13509(B)] - BSA and Azide free

Key facts

Host species

Rabbit

Clonality

Monoclonal

Clone number

EPR13509(B)

Isotype

IgG

Carrier free

No

Reacts with

Mouse, Rat, Human

Applications

IHC-P, ICC/IF, Flow Cyt (Intra), WB

applications

Immunogen

The exact immunogen used to generate this antibody is proprietary information.

Reactivity data

{ "title": "Reactivity Data", "filters": { "stats": ["", "Species", "Dilution Info", "Notes"], "tabs": { "all-applications": {"fullname" : "All Applications", "shortname": "All Applications"}, "IHCP" : {"fullname" : "Immunohistochemistry (Formalin/PFA-fixed paraffin-embedded sections)", "shortname":"IHC-P"}, "IP" : {"fullname" : "Immunoprecipitation", "shortname":"IP"}, "WB" : {"fullname" : "Western blot", "shortname":"WB"}, "ICCIF" : {"fullname" : "Immunocytochemistry/ Immunofluorescence", "shortname":"ICC/IF"}, "FlowCytIntra" : {"fullname" : "Flow Cytometry (Intracellular)", "shortname":"Flow Cyt (Intra)"} }, "product-promise": { "all": "all", "testedAndGuaranteed": "tested", "guaranteed": "expected", "predicted": "predicted", "notRecommended": "not-recommended" } }, "values": { "Human": { "IHCP-species-checked": "testedAndGuaranteed", "IHCP-species-dilution-info": "1/4000", "IHCP-species-notes": "<p></p>", "IP-species-checked": "notRecommended", "IP-species-dilution-info": "", "IP-species-notes": "<p></p>", "WB-species-checked": "testedAndGuaranteed", "WB-species-dilution-info": "1/1000 - 1/10000", "WB-species-notes": "<p></p>", "ICCIF-species-checked": "testedAndGuaranteed", "ICCIF-species-dilution-info": "1/100 - 1/250", "ICCIF-species-notes": "<p></p>", "FlowCytIntra-species-checked": "testedAndGuaranteed", "FlowCytIntra-species-dilution-info": "1/100", "FlowCytIntra-species-notes": "<p></p>" }, "Mouse": { "IHCP-species-checked": "testedAndGuaranteed", "IHCP-species-dilution-info": "1/4000", "IHCP-species-notes": "<p></p>", "IP-species-checked": "notRecommended", "IP-species-dilution-info": "", "IP-species-notes": "<p></p>", "WB-species-checked": "testedAndGuaranteed", "WB-species-dilution-info": "1/1000 - 1/10000", "WB-species-notes": "<p></p>", "ICCIF-species-checked": "guaranteed", "ICCIF-species-dilution-info": "", "ICCIF-species-notes": "", "FlowCytIntra-species-checked": "guaranteed", "FlowCytIntra-species-dilution-info": "", "FlowCytIntra-species-notes": "" }, "Rat": { "IHCP-species-checked": "testedAndGuaranteed", "IHCP-species-dilution-info": "1/4000", "IHCP-species-notes": "<p></p>", "IP-species-checked": "notRecommended", "IP-species-dilution-info": "", "IP-species-notes": "<p></p>", "WB-species-checked": "testedAndGuaranteed", "WB-species-dilution-info": "1/1000 - 1/10000", "WB-species-notes": "<p></p>", "ICCIF-species-checked": "guaranteed", "ICCIF-species-dilution-info": "", "ICCIF-species-notes": "", "FlowCytIntra-species-checked": "guaranteed", "FlowCytIntra-species-dilution-info": "", "FlowCytIntra-species-notes": "" } } }

Product details

Patented technology
Our RabMAb® technology is a patented hybridoma-based technology for making rabbit monoclonal antibodies. For details on our patents, please refer to RabMAb® patents.

What are the advantages of a recombinant monoclonal antibody?
This product is a recombinant monoclonal antibody, which offers several advantages including:

  • - High batch-to-batch consistency and reproducibility
  • - Improved sensitivity and specificity
  • - Long-term security of supply
  • - Animal-free batch production

For more information, read more on recombinant antibodies.

Properties and storage information

Form
Liquid
Purification technique
Affinity purification Protein A
Storage buffer
Preservative: 0.01% Sodium azide Constituents: PBS, 40% Glycerol (glycerin, glycerine), 0.05% BSA
Shipped at conditions
Blue Ice
Appropriate short-term storage duration
1-2 weeks
Appropriate short-term storage conditions
+4°C
Appropriate long-term storage conditions
-20°C
Aliquoting information
Upon delivery aliquot
Storage information
Avoid freeze / thaw cycle

Supplementary information

This supplementary information is collated from multiple sources and compiled automatically.

Heterogeneous nuclear ribonucleoproteins M1-M4 often referred to as hnRNP M or hnRNPM are components of a family of RNA-binding proteins. These proteins have a molecular mass of approximately 77 kDa. They localize primarily in the nucleus but can shuttle between the nucleus and cytoplasm. hnRNP M plays a critical role in mRNA processing including splicing and transport. These proteins are ubiquitously expressed in many tissues highlighting their significance in numerous cellular processes.
Biological function summary

HnRNP M1-M4 are integral to RNA metabolism and the post-transcriptional regulation of gene expression. They participate in the spliceosome complex and influence alternative splicing events by interacting with pre-mRNA. Their binding activity modulates exon inclusion or exclusion contributing to the diversity of the proteome. hnRNP M also interacts with other RNA-binding proteins facilitating various RNA processing events.

Pathways

The activities of hnRNP M1-M4 intersect significantly with the RNA splicing machinery and mRNA transport pathways. They are integral to the spliceosome pathway and are known to interact with other splicing factors such as serine/arginine-rich proteins. This interaction is central to the regulation of alternative splicing. hnRNP M also influences the mRNA surveillance pathway ensuring proper mRNA maturation before export to the cytoplasm.

HnRNP M1-M4 are associated with cancer and neurodegenerative diseases. Aberrations in hnRNP M expression or function can lead to altered splicing patterns fostering oncogenic processes. Furthermore changes in their activity have been observed in conditions like Alzheimer's disease where they may interact with tau protein and contribute to pathogenesis by affecting tau mRNA splicing. Understanding their role in these contexts provides insights into the mechanisms underpinning these diseases and informs potential therapeutic targets.

Product protocols

For this product, it's our understanding that no specific protocols are required. You can visit:

Target data

Pre-mRNA binding protein in vivo, binds avidly to poly(G) and poly(U) RNA homopolymers in vitro. Involved in splicing. Acts as a receptor for carcinoembryonic antigen in Kupffer cells, may initiate a series of signaling events leading to tyrosine phosphorylation of proteins and induction of IL-1 alpha, IL-6, IL-10 and tumor necrosis factor alpha cytokines.
See full target information HNRNPM

Publications (7)

Recent publications for all applications. Explore the full list and refine your search

Cancer cell international 24:222 PubMed38937761

2024

Inhibition of ABI2 ubiquitination-dependent degradation suppresses TNBC cell growth via down-regulating PI3K/Akt signaling pathway.

Applications

Unspecified application

Species

Unspecified reactive species

Linlin Lv,Shujing Li,Jie Kang,Yulin Li,Nannan Zhao,Dongman Ye,Fengying Qin,Jing Sun,Tao Yu,Huijian Wu

Microbiology spectrum :e0085523 PubMed37671887

2023

The bovine leukemia virus-derived long non-coding RNA AS1-S binds to bovine hnRNPM and alters the interaction between hnRNPM and host mRNAs.

Applications

Unspecified application

Species

Unspecified reactive species

Kiyohiko Andoh,Asami Nishimori,Yuichi Matsuura

eLife 12: PubMed37092726

2023

Human DUX4 and mouse Dux interact with STAT1 and broadly inhibit interferon-stimulated gene induction.

Applications

Unspecified application

Species

Unspecified reactive species

Amy E Spens,Nicholas A Sutliff,Sean R Bennett,Amy E Campbell,Stephen J Tapscott

Cancer biology & therapy 22:311-323 PubMed33879018

2021

LINC00668 cooperated with HuR dependent upregulation of PKN2 to facilitate gastric cancer metastasis.

Applications

Unspecified application

Species

Unspecified reactive species

Jutang Li,Wei Dong,Qixia Jiang,Fenglian Zhang,Hui Dong

Journal of cellular and molecular medicine 25:4501-4515 PubMed33837664

2021

CDR1as regulated by hnRNPM maintains stemness of periodontal ligament stem cells via miR-7/KLF4.

Applications

Unspecified application

Species

Unspecified reactive species

Xiuge Gu,Xiaoyu Li,Ye Jin,Zijie Zhang,Mengying Li,Dongxu Liu,Fulan Wei

International journal of biological sciences 16:85-98 PubMed31892848

2020

Up-regulation of RNA Binding Proteins Contributes to Folate Deficiency-Induced Neural Crest Cells Dysfunction.

Applications

Unspecified application

Species

Unspecified reactive species

Wenbo Liu,Kang Wang,Xiaoyan Lv,Qian Wang,Xiu Li,Zhigang Yang,Xia Liu,Li Yan,Xin Fu,Ran Xiao

Cell reports 29:1594-1609.e5 PubMed31693898

2019

The Splicing Factor hnRNP M Is a Critical Regulator of Innate Immune Gene Expression in Macrophages.

Applications

Unspecified application

Species

Unspecified reactive species

Kelsi O West,Haley M Scott,Sylvia Torres-Odio,A Phillip West,Kristin L Patrick,Robert O Watson
View all publications

Product promise

We are committed to supporting your work with high-quality reagents, and we're here for you every step of the way. In the unlikely event that one of our products does not perform as expected, you're protected by our Product Promise.
For full details, please see our Terms & Conditions

Please note: All products are 'FOR RESEARCH USE ONLY. NOT FOR USE IN DIAGNOSTIC OR THERAPEUTIC PROCEDURES'.

For licensing inquiries, please contact partnerships@abcam.com