JavaScript is disabled in your browser. Please enable JavaScript to view this website.
AB250027

Anti-hnRNP M1-M4 antibody [EPR13509(B)] - BSA and Azide free

Be the first to review this product! Submit a review

|

(0 Publication)

Rabbit Recombinant Monoclonal HNRPM antibody. Carrier free. Suitable for IHC-P, WB, ICC/IF, Flow Cyt (Intra) and reacts with Mouse, Human, Rat samples.

View Alternative Names

HNRPM, NAGR1, HNRNPM, Heterogeneous nuclear ribonucleoprotein M, hnRNP M

5 Images
Flow Cytometry (Intracellular) - Anti-hnRNP M1-M4 antibody [EPR13509(B)] - BSA and Azide free (AB250027)
  • Flow Cyt (Intra)

Unknown

Flow Cytometry (Intracellular) - Anti-hnRNP M1-M4 antibody [EPR13509(B)] - BSA and Azide free (AB250027)

Intracellular Flow Cytometry analysis of HeLa (Human cervix adenocarcinoma epithelial cell) cells labeling hnRNP M1-M4 with Purified ab177957 at 1/100 dilution (10 μg/ml) (Red). Cells were fixed with 4% Paraformaldehyde and permeabilised with 90% Methanol. A Goat anti rabbit IgG (Alexa Fluor® 488, ab150077) secondary antibody was used at 1/2000. Isotype control - Rabbit monoclonal IgG (Black). Unlabeled control - Cell without incubation with primary antibody and secondary antibody (Blue). This data was developed using the same antibody clone in a different buffer formulation containing PBS, BSA, glycerol, and sodium azide (ab177957)

Immunocytochemistry/ Immunofluorescence - Anti-hnRNP M1-M4 antibody [EPR13509(B)] - BSA and Azide free (AB250027)
  • ICC/IF

Unknown

Immunocytochemistry/ Immunofluorescence - Anti-hnRNP M1-M4 antibody [EPR13509(B)] - BSA and Azide free (AB250027)

Immunocytochemistry/ Immunofluorescence analysis of HeLa (Human cervix adenocarcinoma epithelial cell) cells labeling hnRNP M1-M4 with Purified ab177957 at 1 : 100 dilution (9.7 µg/ml). Cells were fixed in 4% Paraformaldehyde and permeabilized with 0.1% tritonX-100. Cells were counterstained with ab195889 Anti-alpha Tubulin antibody [DM1A] - Microtubule Marker (Alexa Fluor® 594) 1 : 200 (2.5 µg/ml). Goat anti rabbit IgG (Alexa Fluor® 488, ab150077) was used as the secondary antibody at 1 : 1000 (2 µg/ml) dilution. DAPI (blue) was used as nuclear counterstain. PBS instead of the primary antibody was used as the secondary antibody only control.
This data was developed using the same antibody clone in a different buffer formulation containing PBS, BSA, glycerol, and sodium azide (ab177957)

Immunohistochemistry (Formalin/PFA-fixed paraffin-embedded sections) - Anti-hnRNP M1-M4 antibody [EPR13509(B)] - BSA and Azide free (AB250027)
  • IHC-P

Unknown

Immunohistochemistry (Formalin/PFA-fixed paraffin-embedded sections) - Anti-hnRNP M1-M4 antibody [EPR13509(B)] - BSA and Azide free (AB250027)

Immunohistochemistry (Formalin/PFA-fixed paraffin-embedded sections) analysis of human kidney tissue sections labeling hnRNP M1-M4 with Purified ab177957 at 1 : 4000 dilution (0.24 µg/ml). Heat mediated antigen retrieval using Bond™ Epitope Retrieval Solution 2 (pH 9.0). Rabbit specific IHC polymer detection kit HRP/DAB (ab209101) was used for detection. Negative control : PBS instead of the primary antibody. Hematoxylin was used as a counterstain.
This data was developed using the same antibody clone in a different buffer formulation containing PBS, BSA, glycerol, and sodium azide (ab177957)

Immunohistochemistry (Formalin/PFA-fixed paraffin-embedded sections) - Anti-hnRNP M1-M4 antibody [EPR13509(B)] - BSA and Azide free (AB250027)
  • IHC-P

Unknown

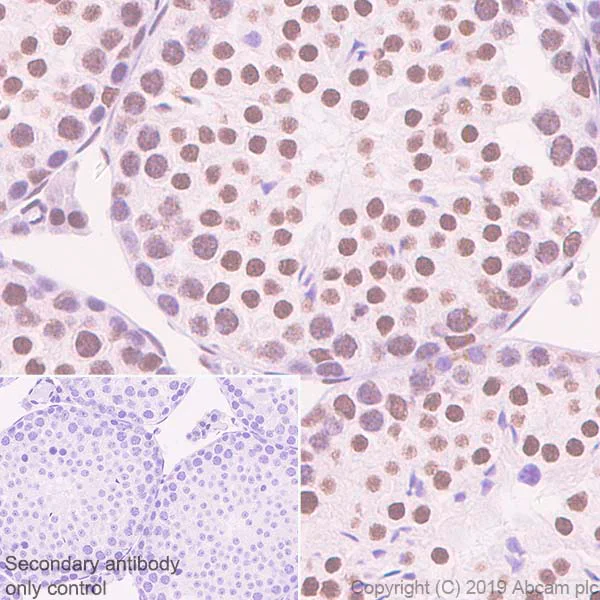
Immunohistochemistry (Formalin/PFA-fixed paraffin-embedded sections) - Anti-hnRNP M1-M4 antibody [EPR13509(B)] - BSA and Azide free (AB250027)

Immunohistochemistry (Formalin/PFA-fixed paraffin-embedded sections) analysis of mouse testis tissue sections labeling hnRNP M1-M4 with Purified ab177957 at 1 : 4000 dilution (0.24 µg/ml). Heat mediated antigen retrieval using Bond™ Epitope Retrieval Solution 2 (pH 9.0). Rabbit specific IHC polymer detection kit HRP/DAB (ab209101) was used for detection. Negative control : PBS instead of the primary antibody. Hematoxylin was used as a counterstain.
This data was developed using the same antibody clone in a different buffer formulation containing PBS, BSA, glycerol, and sodium azide (ab177957)

Immunohistochemistry (Formalin/PFA-fixed paraffin-embedded sections) - Anti-hnRNP M1-M4 antibody [EPR13509(B)] - BSA and Azide free (AB250027)
  • IHC-P

Unknown

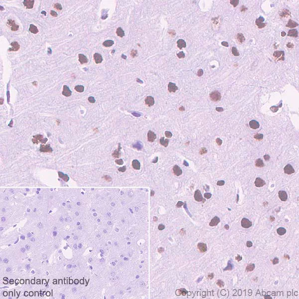
Immunohistochemistry (Formalin/PFA-fixed paraffin-embedded sections) - Anti-hnRNP M1-M4 antibody [EPR13509(B)] - BSA and Azide free (AB250027)

Immunohistochemistry (Formalin/PFA-fixed paraffin-embedded sections) analysis of rat cerebrum tissue sections labeling hnRNP M1-M4 with Purified ab177957 at 1 : 4000 dilution (0.24 µg/ml). Heat mediated antigen retrieval using Bond™ Epitope Retrieval Solution 2 (pH 9.0). Rabbit specific IHC polymer detection kit HRP/DAB (ab209101) was used for detection. Negative control : PBS instead of the primary antibody. Hematoxylin was used as a counterstain.
This data was developed using the same antibody clone in a different buffer formulation containing PBS, BSA, glycerol, and sodium azide (ab177957)

Key facts

Host species

Rabbit

Clonality

Monoclonal

Clone number

EPR13509(B)

Isotype

IgG

Carrier free

Yes

Reacts with

Mouse, Rat, Human

Applications

WB, ICC/IF, Flow Cyt (Intra), IHC-P

applications

Immunogen

The exact immunogen used to generate this antibody is proprietary information.

Reactivity data

{ "title": "Reactivity Data", "filters": { "stats": ["", "Species", "Dilution Info", "Notes"], "tabs": { "all-applications": {"fullname" : "All Applications", "shortname": "All Applications"}, "IHCP" : {"fullname" : "Immunohistochemistry (Formalin/PFA-fixed paraffin-embedded sections)", "shortname":"IHC-P"}, "IP" : {"fullname" : "Immunoprecipitation", "shortname":"IP"}, "WB" : {"fullname" : "Western blot", "shortname":"WB"}, "ICCIF" : {"fullname" : "Immunocytochemistry/ Immunofluorescence", "shortname":"ICC/IF"}, "FlowCytIntra" : {"fullname" : "Flow Cytometry (Intracellular)", "shortname":"Flow Cyt (Intra)"} }, "product-promise": { "all": "all", "testedAndGuaranteed": "tested", "guaranteed": "expected", "predicted": "predicted", "notRecommended": "not-recommended" } }, "values": { "Human": { "IHCP-species-checked": "guaranteed", "IHCP-species-dilution-info": "", "IHCP-species-notes": "", "IP-species-checked": "notRecommended", "IP-species-dilution-info": "", "IP-species-notes": "<p></p>", "WB-species-checked": "guaranteed", "WB-species-dilution-info": "", "WB-species-notes": "<p></p>", "ICCIF-species-checked": "testedAndGuaranteed", "ICCIF-species-dilution-info": "", "ICCIF-species-notes": "<p></p>", "FlowCytIntra-species-checked": "testedAndGuaranteed", "FlowCytIntra-species-dilution-info": "", "FlowCytIntra-species-notes": "<p></p>" }, "Mouse": { "IHCP-species-checked": "testedAndGuaranteed", "IHCP-species-dilution-info": "", "IHCP-species-notes": "<p></p>", "IP-species-checked": "notRecommended", "IP-species-dilution-info": "", "IP-species-notes": "<p></p>", "WB-species-checked": "guaranteed", "WB-species-dilution-info": "", "WB-species-notes": "<p></p>", "ICCIF-species-checked": "guaranteed", "ICCIF-species-dilution-info": "", "ICCIF-species-notes": "", "FlowCytIntra-species-checked": "guaranteed", "FlowCytIntra-species-dilution-info": "", "FlowCytIntra-species-notes": "" }, "Rat": { "IHCP-species-checked": "predicted", "IHCP-species-dilution-info": "", "IHCP-species-notes": "", "IP-species-checked": "notRecommended", "IP-species-dilution-info": "", "IP-species-notes": "<p></p>", "WB-species-checked": "guaranteed", "WB-species-dilution-info": "", "WB-species-notes": "<p></p>", "ICCIF-species-checked": "predicted", "ICCIF-species-dilution-info": "", "ICCIF-species-notes": "", "FlowCytIntra-species-checked": "predicted", "FlowCytIntra-species-dilution-info": "", "FlowCytIntra-species-notes": "" } } }

Product details

ab250027 is the carrier-free version of ab177957.

Conjugation ready
Our carrier-free antibodies are typically supplied in a PBS-only formulation, purified and free of BSA, sodium azide and glycerol. This conjugation-ready format is designed for use with fluorochromes, metal isotopes, oligonucleotides, and enzymes, which makes them ideal for antibody labelling, functional and cell-based assays, flow-based assays (e.g. mass cytometry) and Multiplex Imaging applications.

Use our conjugation kits for antibody conjugates that are ready-to-use in as little as 20 minutes with 1 minute hands-on-time and 100% antibody recovery: available for fluorescent dyes, HRP, biotin and gold.

Compatibility
This product is compatible with the Maxpar® Antibody Labeling Kit from Fluidigm, without the need for antibody preparation. Maxpar® is a trademark of Fluidigm Canada Inc.

Properties and storage information

Form
Liquid
Purification technique
Affinity purification Protein A
Storage buffer
pH: 7.2 - 7.4 Constituents: PBS
Shipped at conditions
Blue Ice
Appropriate short-term storage conditions
+4°C
Appropriate long-term storage conditions
+4°C
Storage information
Do Not Freeze

Supplementary information

This supplementary information is collated from multiple sources and compiled automatically.

Heterogeneous nuclear ribonucleoproteins M1-M4 often referred to as hnRNP M or hnRNPM are components of a family of RNA-binding proteins. These proteins have a molecular mass of approximately 77 kDa. They localize primarily in the nucleus but can shuttle between the nucleus and cytoplasm. hnRNP M plays a critical role in mRNA processing including splicing and transport. These proteins are ubiquitously expressed in many tissues highlighting their significance in numerous cellular processes.
Biological function summary

HnRNP M1-M4 are integral to RNA metabolism and the post-transcriptional regulation of gene expression. They participate in the spliceosome complex and influence alternative splicing events by interacting with pre-mRNA. Their binding activity modulates exon inclusion or exclusion contributing to the diversity of the proteome. hnRNP M also interacts with other RNA-binding proteins facilitating various RNA processing events.

Pathways

The activities of hnRNP M1-M4 intersect significantly with the RNA splicing machinery and mRNA transport pathways. They are integral to the spliceosome pathway and are known to interact with other splicing factors such as serine/arginine-rich proteins. This interaction is central to the regulation of alternative splicing. hnRNP M also influences the mRNA surveillance pathway ensuring proper mRNA maturation before export to the cytoplasm.

HnRNP M1-M4 are associated with cancer and neurodegenerative diseases. Aberrations in hnRNP M expression or function can lead to altered splicing patterns fostering oncogenic processes. Furthermore changes in their activity have been observed in conditions like Alzheimer's disease where they may interact with tau protein and contribute to pathogenesis by affecting tau mRNA splicing. Understanding their role in these contexts provides insights into the mechanisms underpinning these diseases and informs potential therapeutic targets.

Product protocols

For this product, it's our understanding that no specific protocols are required. You can visit:

Target data

Pre-mRNA binding protein in vivo, binds avidly to poly(G) and poly(U) RNA homopolymers in vitro. Involved in splicing. Acts as a receptor for carcinoembryonic antigen in Kupffer cells, may initiate a series of signaling events leading to tyrosine phosphorylation of proteins and induction of IL-1 alpha, IL-6, IL-10 and tumor necrosis factor alpha cytokines.
See full target information HNRNPM

Product promise

We are committed to supporting your work with high-quality reagents, and we're here for you every step of the way. In the unlikely event that one of our products does not perform as expected, you're protected by our Product Promise.
For full details, please see our Terms & Conditions

Please note: All products are 'FOR RESEARCH USE ONLY. NOT FOR USE IN DIAGNOSTIC OR THERAPEUTIC PROCEDURES'.

For licensing inquiries, please contact partnerships@abcam.com