JavaScript is disabled in your browser. Please enable JavaScript to view this website.
AB184946

Anti-hnRNP Q antibody [EPR15096] - C-terminal

5

(1 Review)

|

(7 Publications)

Rabbit Recombinant Monoclonal hnRNP Q antibody. C-terminal. Suitable for IHC-P, WB, ICC/IF and reacts with Human samples. Cited in 7 publications.

View Alternative Names

HNRPQ, NSAP1, SYNCRIP, Heterogeneous nuclear ribonucleoprotein Q, hnRNP Q, Glycine- and tyrosine-rich RNA-binding protein, NS1-associated protein 1, GRY-RBP

5 Images
Immunocytochemistry/ Immunofluorescence - Anti-hnRNP Q antibody [EPR15096] - C-terminal (AB184946)
  • ICC/IF

Supplier Data

Immunocytochemistry/ Immunofluorescence - Anti-hnRNP Q antibody [EPR15096] - C-terminal (AB184946)

Immunofluorescent analysis of HeLa cells (-20°C Acetone-fixed) labeling hnRNP Q with ab184946 at 1/250 dilution followed by Goat anti rabbit IgG (Alexa Fluor®488) secondary at 1/200 dilution and counter-stained with DAPI (blue).

Immunocytochemistry/ Immunofluorescence - Anti-hnRNP Q antibody [EPR15096] - C-terminal (AB184946)
  • ICC/IF

Supplier Data

Immunocytochemistry/ Immunofluorescence - Anti-hnRNP Q antibody [EPR15096] - C-terminal (AB184946)

Immunofluorescent analysis of HepG2 cells (4% paraformaldehyde-fixed) labeling hnRNP Q with ab184946 at 1/250 dilution followed by Goat anti rabbit IgG (Alexa Fluor®488) secondary at 1/200 dilution and counter-stained with DAPI (blue).

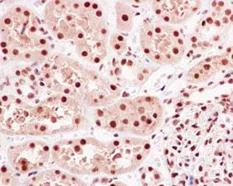
Immunohistochemistry (Formalin/PFA-fixed paraffin-embedded sections) - Anti-hnRNP Q antibody [EPR15096] - C-terminal (AB184946)
  • IHC-P

Supplier Data

Immunohistochemistry (Formalin/PFA-fixed paraffin-embedded sections) - Anti-hnRNP Q antibody [EPR15096] - C-terminal (AB184946)

Immunohistochemical analysis of paraffin-embedded Human kidney tissue labeling hnRNP Q with ab184946 at 1/100 dilution followed by pre-diluted HRP-conjugated secondary antibody and counter-stained with Hematoxylin.

Perform heat mediated antigen retrieval with citrate buffer pH 6 before commencing with IHC staining protocol.

Western blot - Anti-hnRNP Q antibody [EPR15096] - C-terminal (AB184946)
  • WB

Supplier Data

Western blot - Anti-hnRNP Q antibody [EPR15096] - C-terminal (AB184946)

All lanes:

Western blot - Anti-hnRNP Q antibody [EPR15096] - C-terminal (ab184946) at 1/50000 dilution

Lane 1:

HepG2 cell lysate at 20 µg

Lane 2:

HTC116 cell lysate at 20 µg

Lane 3:

HeLa cell lysate at 20 µg

Secondary

All lanes:

goat anti-rabbit IgG, (H+L), peroxidase conjugated at 1/1000 dilution

Predicted band size: 70 kDa

true

Western blot - Anti-hnRNP Q antibody [EPR15096] - C-terminal (AB184946)
  • WB

Supplier Data

Western blot - Anti-hnRNP Q antibody [EPR15096] - C-terminal (AB184946)

All lanes:

Western blot - Anti-hnRNP Q antibody [EPR15096] - C-terminal (ab184946) at 1/10000 dilution

All lanes:

Jurkat cell lysate at 10 µg

Secondary

All lanes:

goat anti-rabbit IgG, (H+L), peroxidase conjugated at 1/1000 dilution

Predicted band size: 70 kDa

true

  • Carrier free

    Anti-hnRNP Q antibody [EPR15096] - BSA and Azide free

Key facts

Host species

Rabbit

Clonality

Monoclonal

Clone number

EPR15096

Isotype

IgG

Carrier free

No

Reacts with

Human

Applications

IHC-P, WB, ICC/IF

applications

Immunogen

The exact immunogen used to generate this antibody is proprietary information.

Reactivity data

{ "title": "Reactivity Data", "filters": { "stats": ["", "Species", "Dilution Info", "Notes"], "tabs": { "all-applications": {"fullname" : "All Applications", "shortname": "All Applications"}, "IHCP" : {"fullname" : "Immunohistochemistry (Formalin/PFA-fixed paraffin-embedded sections)", "shortname":"IHC-P"}, "WB" : {"fullname" : "Western blot", "shortname":"WB"}, "ICCIF" : {"fullname" : "Immunocytochemistry/ Immunofluorescence", "shortname":"ICC/IF"} }, "product-promise": { "all": "all", "testedAndGuaranteed": "tested", "guaranteed": "expected", "predicted": "predicted", "notRecommended": "not-recommended" } }, "values": { "Human": { "IHCP-species-checked": "testedAndGuaranteed", "IHCP-species-dilution-info": "1/50 - 1/100", "IHCP-species-notes": "<p></p>", "WB-species-checked": "testedAndGuaranteed", "WB-species-dilution-info": "1/10000 - 1/50000", "WB-species-notes": "<p></p>", "ICCIF-species-checked": "testedAndGuaranteed", "ICCIF-species-dilution-info": "1/250", "ICCIF-species-notes": "<p></p>" }, "Mouse": { "IHCP-species-checked": "predicted", "IHCP-species-dilution-info": "", "IHCP-species-notes": "", "WB-species-checked": "predicted", "WB-species-dilution-info": "", "WB-species-notes": "", "ICCIF-species-checked": "predicted", "ICCIF-species-dilution-info": "", "ICCIF-species-notes": "" }, "Rat": { "IHCP-species-checked": "predicted", "IHCP-species-dilution-info": "", "IHCP-species-notes": "", "WB-species-checked": "predicted", "WB-species-dilution-info": "", "WB-species-notes": "", "ICCIF-species-checked": "predicted", "ICCIF-species-dilution-info": "", "ICCIF-species-notes": "" } } }

Product details

Patented technology
Our RabMAb® technology is a patented hybridoma-based technology for making rabbit monoclonal antibodies. For details on our patents, please refer to RabMAb® patents.

What are the advantages of a recombinant monoclonal antibody?
This product is a recombinant monoclonal antibody, which offers several advantages including:

  • - High batch-to-batch consistency and reproducibility
  • - Improved sensitivity and specificity
  • - Long-term security of supply
  • - Animal-free batch production

For more information, read more on recombinant antibodies.

Properties and storage information

Form
Liquid
Purification technique
Affinity purification Protein A
Storage buffer
pH: 7.2 Preservative: 0.01% Sodium azide Constituents: PBS, 40% Glycerol (glycerin, glycerine), 0.05% BSA
Shipped at conditions
Blue Ice
Appropriate short-term storage duration
1-2 weeks
Appropriate short-term storage conditions
+4°C
Appropriate long-term storage conditions
-20°C
Aliquoting information
Upon delivery aliquot
Storage information
Avoid freeze / thaw cycle

Supplementary information

This supplementary information is collated from multiple sources and compiled automatically.

The heterogeneous nuclear ribonucleoprotein Q (hnRNP Q) also known as SYNCRIP or NSAP1 plays an important mechanical role in RNA metabolism. This protein has a mass of approximately 65 kDa and is expressed in a wide range of tissues with significant presence in the cytoplasm and nucleoplasm. hnRNP Q binds to RNA and participates in processes like mRNA splicing transport stabilization and translation regulation. It interacts with distinct RNA sequences influencing gene expression patterns important for cellular function.
Biological function summary

HnRNP Q is involved in various cellular processes and contributes to the post-transcriptional regulation of mRNA. It often forms part of ribonucleoprotein complexes where it modifies RNA molecule processing and stability. This interaction ensures proper translation and adaptation to the cell's needs. hnRNP Q's action is essential for neuronal development and synaptic plasticity highlighting its functional importance in the nervous system.

Pathways

HnRNP Q engages in targeted pathways to influence cellular signaling and gene expression. It plays a role in the mTOR signaling pathway pivotal for cell growth and metabolic regulation. Through this pathway hnRNP Q associates with proteins like mTOR and RAPTOR which aid in nutrient sensitivity adaptation. Additionally it contributes to the mRNA surveillance pathways ensuring the maintenance of RNA quality control mechanisms in the cell.

HnRNP Q shows a significant relationship with neurodegenerative diseases and cancer. Alterations in its expression or function associate with disorders like Amyotrophic Lateral Sclerosis (ALS) and various carcinomas. For instance changes in hnRNP Q levels can influence the cellular management of stress responses and apoptosis often via interactions with proteins like TDP-43 and FUS which are implicated in ALS pathogenesis. Additionally upregulation of hnRNP Q in certain cancers has been linked to increased tumorigenic potential and altered cellular metabolism suggesting its potential as a therapeutic target.

Product protocols

For this product, it's our understanding that no specific protocols are required. You can visit:

Target data

Heterogenous nuclear ribonucleoprotein (hnRNP) implicated in mRNA processing mechanisms. Component of the CRD-mediated complex that promotes MYC mRNA stability. Isoform 1, isoform 2 and isoform 3 are associated in vitro with pre-mRNA, splicing intermediates and mature mRNA protein complexes. Isoform 1 binds to apoB mRNA AU-rich sequences. Isoform 1 is part of the APOB mRNA editosome complex and may modulate the postranscriptional C to U RNA-editing of the APOB mRNA through either by binding to A1CF (APOBEC1 complementation factor), to APOBEC1 or to RNA itself. May be involved in translationally coupled mRNA turnover. Implicated with other RNA-binding proteins in the cytoplasmic deadenylation/translational and decay interplay of the FOS mRNA mediated by the major coding-region determinant of instability (mCRD) domain. Interacts in vitro preferentially with poly(A) and poly(U) RNA sequences. Isoform 3 may be involved in cytoplasmic vesicle-based mRNA transport through interaction with synaptotagmins. Component of the GAIT (gamma interferon-activated inhibitor of translation) complex which mediates interferon-gamma-induced transcript-selective translation inhibition in inflammation processes. Upon interferon-gamma activation assembles into the GAIT complex which binds to stem loop-containing GAIT elements in the 3'-UTR of diverse inflammatory mRNAs (such as ceruplasmin) and suppresses their translation; seems not to be essential for GAIT complex function.
See full target information SYNCRIP

Publications (7)

Recent publications for all applications. Explore the full list and refine your search

Science advances 9:eade7500 PubMed37163588

2023

7SK methylation by METTL3 promotes transcriptional activity.

Applications

Unspecified application

Species

Unspecified reactive species

Marcelo Perez-Pepe,Anthony W Desotell,Hengyi Li,Wenxue Li,Bing Han,Qishan Lin,Daryl E Klein,Yansheng Liu,Hani Goodarzi,Claudio R Alarcón

Acta pharmaceutica Sinica. B 12:3281-3297 PubMed35967275

2022

SYNCRIP controls miR-137 and striatal learning in animal models of methamphetamine abstinence.

Applications

Unspecified application

Species

Unspecified reactive species

Baeksun Kim,Sung Hyun Tag,Eunjoo Nam,Suji Ham,Sujin Ahn,Juhwan Kim,Doo-Wan Cho,Sangjoon Lee,Young-Su Yang,Seung Eun Lee,Yong Sik Kim,Il-Joo Cho,Kwang Pyo Kim,Su-Cheol Han,Heh-In Im

Journal of cellular and molecular medicine 24:10898-10912 PubMed32770626

2020

A novel antisense lncRNA NT5E promotes progression by modulating the expression of SYNCRIP and predicts a poor prognosis in pancreatic cancer.

Applications

Unspecified application

Species

Unspecified reactive species

Pengbo Zhang,Meng Cao,Yi Zhang,Lei Xu,Fanchao Meng,Xinquan Wu,Tianfang Xia,Qun Chen,Guodong Shi,Pengfei Wu,Lei Chen,Zipeng Lu,Jie Yin,Baobao Cai,Shouji Cao,Yi Miao,Kuirong Jiang

EMBO molecular medicine 11:e10835 PubMed31709724

2019

Therapeutic targeting of circ-CUX1/EWSR1/MAZ axis inhibits glycolysis and neuroblastoma progression.

Applications

Unspecified application

Species

Unspecified reactive species

Huanhuan Li,Feng Yang,Anpei Hu,Xiaojing Wang,Erhu Fang,Yajun Chen,Dan Li,Huajie Song,Jianqun Wang,Yanhua Guo,Yang Liu,Hongjun Li,Kai Huang,Liduan Zheng,Qiangsong Tong

Nature communications 10:3979 PubMed31484926

2019

The transcribed pseudogene RPSAP52 enhances the oncofetal HMGA2-IGF2BP2-RAS axis through LIN28B-dependent and independent let-7 inhibition.

Applications

Unspecified application

Species

Unspecified reactive species

Cristina Oliveira-Mateos,Anaís Sánchez-Castillo,Marta Soler,Aida Obiols-Guardia,David Piñeyro,Raquel Boque-Sastre,Maria E Calleja-Cervantes,Manuel Castro de Moura,Anna Martínez-Cardús,Teresa Rubio,Joffrey Pelletier,Maria Martínez-Iniesta,David Herrero-Martín,Oscar M Tirado,Antonio Gentilella,Alberto Villanueva,Manel Esteller,Lourdes Farré,Sonia Guil

BMC biology 17:39 PubMed31088452

2019

Biological and RNA regulatory function of MOV10 in mammalian germ cells.

Applications

Unspecified application

Species

Unspecified reactive species

Kaiqiang Fu,Suwen Tian,Huanhuan Tan,Caifeng Wang,Hanben Wang,Min Wang,Yuanyuan Wang,Zhen Chen,Yanfeng Wang,Qiuling Yue,Qiushi Xu,Shuya Zhang,Haixin Li,Jie Xie,Mingyan Lin,Mengcheng Luo,Feng Chen,Lan Ye,Ke Zheng

Nature communications 9:3826 PubMed30237493

2018

LNMAT1 promotes lymphatic metastasis of bladder cancer via CCL2 dependent macrophage recruitment.

Applications

Unspecified application

Species

Unspecified reactive species

Changhao Chen,Wang He,Jian Huang,Bo Wang,Hui Li,Qingqing Cai,Feng Su,Junming Bi,Hongwei Liu,Bin Zhang,Ning Jiang,Guangzheng Zhong,Yue Zhao,Wen Dong,Tianxin Lin
View all publications

Product promise

We are committed to supporting your work with high-quality reagents, and we're here for you every step of the way. In the unlikely event that one of our products does not perform as expected, you're protected by our Product Promise.
For full details, please see our Terms & Conditions

Please note: All products are 'FOR RESEARCH USE ONLY. NOT FOR USE IN DIAGNOSTIC OR THERAPEUTIC PROCEDURES'.

For licensing inquiries, please contact partnerships@abcam.com