JavaScript is disabled in your browser. Please enable JavaScript to view this website.
AB264141

Anti-hnRNP U/p120 antibody

Be the first to review this product! Submit a review

|

(0 Publication)

Rabbit Polyclonal hnRNP U/p120 antibody. Suitable for IHC-P, WB and reacts with Mouse, Human samples. Immunogen corresponding to Synthetic Peptide within Human HNRNPU aa 450-500.

View Alternative Names

C1orf199, HNRPU, SAFA, U21.1, HNRNPU, Heterogeneous nuclear ribonucleoprotein U, hnRNP U, GRIP120, Nuclear p120 ribonucleoprotein, Scaffold-attachment factor A, p120, pp120, SAF-A

2 Images
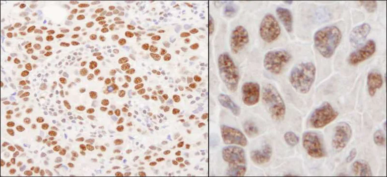
Immunohistochemistry (Formalin/PFA-fixed paraffin-embedded sections) - Anti-hnRNP U/p120 antibody (AB264141)
  • IHC-P

Unknown

Immunohistochemistry (Formalin/PFA-fixed paraffin-embedded sections) - Anti-hnRNP U/p120 antibody (AB264141)

Immunohistochemical analysis of formalin-fixed, paraffin-embedded human breast carcinoma (left panel) and mouse squamous cell carcinoma (right panel) labeling hnRNP U/p120 with ab264141 at 1/200 dilution. Detection : DAB.

Western blot - Anti-hnRNP U/p120 antibody (AB264141)
  • WB

Supplier Data

Western blot - Anti-hnRNP U/p120 antibody (AB264141)

4-8% SDS-PAGE

All lanes:

Western blot - Anti-hnRNP U/p120 antibody (ab264141) at 0.04 µg/mL

Lane 1:

HeLa whole cell lysate at 50 µg

Lane 2:

HeLa whole cell lysate at 15 µg

Lane 3:

HeLa whole cell lysate at 5 µg

Lane 4:

HEK-293T whole cell lysate at 50 µg

Lane 5:

NIH/3T3 whole cell lysate at 50 µg

Predicted band size: 91 kDa

false

Exposure time: 10s

Key facts

Host species

Rabbit

Clonality

Polyclonal

Isotype

IgG

Carrier free

No

Reacts with

Mouse, Human

Applications

IHC-P, WB

applications

Immunogen

Synthetic Peptide within Human HNRNPU aa 450-500. The exact immunogen used to generate this antibody is proprietary information.

Q00839

Reactivity data

{ "title": "Reactivity Data", "filters": { "stats": ["", "Species", "Dilution Info", "Notes"], "tabs": { "all-applications": {"fullname" : "All Applications", "shortname": "All Applications"}, "IHCP" : {"fullname" : "Immunohistochemistry (Formalin/PFA-fixed paraffin-embedded sections)", "shortname":"IHC-P"}, "WB" : {"fullname" : "Western blot", "shortname":"WB"} }, "product-promise": { "all": "all", "testedAndGuaranteed": "tested", "guaranteed": "expected", "predicted": "predicted", "notRecommended": "not-recommended" } }, "values": { "Human": { "IHCP-species-checked": "testedAndGuaranteed", "IHCP-species-dilution-info": "1/100 - 1/500", "IHCP-species-notes": "<p></p> Perform heat-mediated antigen retrieval with citrate buffer pH 6 before commencing with IHC staining protocol.", "WB-species-checked": "testedAndGuaranteed", "WB-species-dilution-info": "1/2000 - 1/10000", "WB-species-notes": "<p></p>" }, "Mouse": { "IHCP-species-checked": "testedAndGuaranteed", "IHCP-species-dilution-info": "1/100 - 1/500", "IHCP-species-notes": "<p></p> Perform heat-mediated antigen retrieval with citrate buffer pH 6 before commencing with IHC staining protocol.", "WB-species-checked": "testedAndGuaranteed", "WB-species-dilution-info": "1/2000 - 1/10000", "WB-species-notes": "<p></p>" } } }

Properties and storage information

Form
Liquid
Purification technique
Affinity purification Immunogen
Storage buffer
pH: 6.8 - 7.4 Preservative: 0.09% Sodium azide Constituents: Tris buffered saline, 0.1% BSA
Shipped at conditions
Blue Ice
Appropriate short-term storage duration
1-2 weeks
Appropriate short-term storage conditions
+4°C
Appropriate long-term storage conditions
-20°C
Aliquoting information
Upon delivery aliquot
Storage information
Avoid freeze / thaw cycle

Supplementary information

This supplementary information is collated from multiple sources and compiled automatically.

Heterogeneous nuclear ribonucleoprotein U (hnRNP U) also known as p120 is a multifunctional protein involved in various cellular processes. This protein has an approximate molecular mass of 120 kDa. It is expressed widely in different tissues predominantly within the nuclear compartment of cells. HnRNP U functions mainly in relation to RNA binding and regulation including alternative splicing RNA stability and RNA transport. Its ability to interact with both RNA and DNA attributes to a role in chromatin structure regulation and transcriptional control.
Biological function summary

HnRNP U plays a significant role in organizing chromatin architecture and facilitating transcription regulation. It often associates with other hnRNPs to form ribonucleoprotein complexes which are central in RNA metabolism. Importantly hnRNP U's capacity to interact with chromatin allows it to participate in chromatin remodeling which is necessary for processes such as embryonic development and cellular differentiation. It modifies the transcriptional landscape by influencing the accessibility of transcription factors to their DNA targets.

Pathways

HnRNP U integrates into pathways controlling gene expression and RNA processing. It is notably involved in pathways such as signal transduction and DNA damage response. This protein associates with the transcription machinery influencing the expression of genes responsive to cellular stress and proliferation signals. It interacts with proteins like p53 in the DNA damage response pathway which suggests a role in maintaining genomic stability by coordinating chromatin remodeling and transcription in response to stress.

HnRNP U connects with pathological conditions such as cancer and neurodegenerative diseases. Its altered expression or mutation can disrupt chromatin structure leading to abnormal gene expression patterns. In cancer hnRNP U correlates with aberrant signaling pathways and may interact with oncoproteins driving tumor progression. In neurodegenerative disorders its association with RNA-binding proteins like TDP-43 suggests a role in the misregulation of RNA processing events contributing to neuronal dysfunction. Understanding hnRNP U's diverse functions helps clarify its potential as a therapeutic target.

Product protocols

For this product, it's our understanding that no specific protocols are required. You can visit:

Target data

DNA- and RNA-binding protein involved in several cellular processes such as nuclear chromatin organization, telomere-length regulation, transcription, mRNA alternative splicing and stability, Xist-mediated transcriptional silencing and mitotic cell progression (PubMed : 10490622, PubMed : 18082603, PubMed : 19029303, PubMed : 22325991, PubMed : 25986610, PubMed : 28622508). Plays a role in the regulation of interphase large-scale gene-rich chromatin organization through chromatin-associated RNAs (caRNAs) in a transcription-dependent manner, and thereby maintains genomic stability (PubMed : 1324173, PubMed : 28622508, PubMed : 8174554). Required for the localization of the long non-coding Xist RNA on the inactive chromosome X (Xi) and the subsequent initiation and maintenance of X-linked transcriptional gene silencing during X-inactivation (By similarity). Plays a role as a RNA polymerase II (Pol II) holoenzyme transcription regulator (PubMed : 10490622, PubMed : 15711563, PubMed : 19617346, PubMed : 23811339, PubMed : 8174554, PubMed : 9353307). Promotes transcription initiation by direct association with the core-TFIIH basal transcription factor complex for the assembly of a functional pre-initiation complex with Pol II in a actin-dependent manner (PubMed : 10490622, PubMed : 15711563). Blocks Pol II transcription elongation activity by inhibiting the C-terminal domain (CTD) phosphorylation of Pol II and dissociates from Pol II pre-initiation complex prior to productive transcription elongation (PubMed : 10490622). Positively regulates CBX5-induced transcriptional gene silencing and retention of CBX5 in the nucleus (PubMed : 19617346). Negatively regulates glucocorticoid-mediated transcriptional activation (PubMed : 9353307). Key regulator of transcription initiation and elongation in embryonic stem cells upon leukemia inhibitory factor (LIF) signaling (By similarity). Involved in the long non-coding RNA H19-mediated Pol II transcriptional repression (PubMed : 23811339). Participates in the circadian regulation of the core clock component BMAL1 transcription (By similarity). Plays a role in the regulation of telomere length (PubMed : 18082603). Plays a role as a global pre-mRNA alternative splicing modulator by regulating U2 small nuclear ribonucleoprotein (snRNP) biogenesis (PubMed : 22325991). Plays a role in mRNA stability (PubMed : 17174306, PubMed : 17289661, PubMed : 19029303). Component of the CRD-mediated complex that promotes MYC mRNA stabilization (PubMed : 19029303). Enhances the expression of specific genes, such as tumor necrosis factor TNFA, by regulating mRNA stability, possibly through binding to the 3'-untranslated region (UTR) (PubMed : 17174306). Plays a role in mitotic cell cycle regulation (PubMed : 21242313, PubMed : 25986610). Involved in the formation of stable mitotic spindle microtubules (MTs) attachment to kinetochore, spindle organization and chromosome congression (PubMed : 21242313). Phosphorylation at Ser-59 by PLK1 is required for chromosome alignement and segregation and progression through mitosis (PubMed : 25986610). Contributes also to the targeting of AURKA to mitotic spindle MTs (PubMed : 21242313). Binds to double- and single-stranded DNA and RNA, poly(A), poly(C) and poly(G) oligoribonucleotides (PubMed : 1628625, PubMed : 8068679, PubMed : 8174554, PubMed : 9204873, PubMed : 9405365). Binds to chromatin-associated RNAs (caRNAs) (PubMed : 28622508). Associates with chromatin to scaffold/matrix attachment region (S/MAR) elements in a chromatin-associated RNAs (caRNAs)-dependent manner (PubMed : 10671544, PubMed : 11003645, PubMed : 11909954, PubMed : 1324173, PubMed : 28622508, PubMed : 7509195, PubMed : 9204873, PubMed : 9405365). Binds to the Xist RNA (PubMed : 26244333). Binds the long non-coding H19 RNA (PubMed : 23811339). Binds to SMN1/2 pre-mRNAs at G/U-rich regions (PubMed : 22325991). Binds to small nuclear RNAs (snRNAs) (PubMed : 22325991). Binds to the 3'-UTR of TNFA mRNA (PubMed : 17174306). Binds (via RNA-binding RGG-box region) to the long non-coding Xist RNA; this binding is direct and bridges the Xist RNA and the inactive chromosome X (Xi) (By similarity). Also negatively regulates embryonic stem cell differentiation upon LIF signaling (By similarity). Required for embryonic development (By similarity). Binds to brown fat long non-coding RNA 1 (Blnc1); facilitates the recruitment of Blnc1 by ZBTB7B required to drive brown and beige fat development and thermogenesis (By similarity).. (Microbial infection) Negatively regulates immunodeficiency virus type 1 (HIV-1) replication by preventing the accumulation of viral mRNA transcripts in the cytoplasm.
See full target information HNRNPU

Product promise

We are committed to supporting your work with high-quality reagents, and we're here for you every step of the way. In the unlikely event that one of our products does not perform as expected, you're protected by our Product Promise.
For full details, please see our Terms & Conditions

Please note: All products are 'FOR RESEARCH USE ONLY. NOT FOR USE IN DIAGNOSTIC OR THERAPEUTIC PROCEDURES'.

For licensing inquiries, please contact partnerships@abcam.com