JavaScript is disabled in your browser. Please enable JavaScript to view this website.
AB199724

Anti-HNRPAB antibody [EPR16944]

4

(1 Review)

|

(2 Publications)

Rabbit Recombinant Monoclonal HNRPAB antibody. Suitable for IP, WB, ICC/IF, Flow Cyt (Intra), IHC-P and reacts with Human, Mouse, Rat samples. Cited in 2 publications.

View Alternative Names

ABBP1, HNRPAB, HNRNPAB, Heterogeneous nuclear ribonucleoprotein A/B, hnRNP A/B, APOBEC1-binding protein 1, ABBP-1

10 Images
Immunocytochemistry/ Immunofluorescence - Anti-HNRPAB antibody [EPR16944] (AB199724)
  • ICC/IF

Supplier Data

Immunocytochemistry/ Immunofluorescence - Anti-HNRPAB antibody [EPR16944] (AB199724)

Immunofluorescent analysis of 4% paraformaldehyde-fixed, 0.1% Triton X-100 permeabilized Jurkat (Human T cell leukemia cells from peripheral blood) cells labeling HNRPAB with ab199724 at 1/500 dilution, followed by Goat anti-rabbit IgG (Alexa Fluor® 488) (ab150077) secondary antibody at 1/500 dilution (green). Nuclear staining on Jurkat cell line is observed. The nuclear counterstain is DAPI (blue). Tubulin is detected with ab7291 (anti-Tubulin mouse mAb) at 1/1000 dilution and ab150120 (AlexaFluor®594 Goat anti-Mouse secondary) at 1/500 dilution (red).
The negative controls are as follows : -
-ve control 1 : ab199724 at 1/500 dilution followed by ab150120 (AlexaFluor®594 Goat anti-Mouse secondary) at 1/500 dilution.
-ve control 2 : ab7291 (anti-Tubulin mouse mAb) at 1/1000 dilution followed by ab150077 (Alexa Fluor®488 Goat Anti-Rabbit IgG H&L) at 1/500 dilution.

Flow Cytometry (Intracellular) - Anti-HNRPAB antibody [EPR16944] (AB199724)
  • Flow Cyt (Intra)

Lab

Flow Cytometry (Intracellular) - Anti-HNRPAB antibody [EPR16944] (AB199724)

ab199724 staining HNRPAB in Jurkat (human acute T cell leukemia) cellsby intracellular flow cytometry. Cells were fixed with 4% paraformaldehyde and the sample was incubated with the primary antibody at a dilution of 1/2700. A goat anti rabbit IgG (Alexa Fluor® 488) at a dilution of 1/2000 was used as the secondary antibody.

Isoytype control : Rabbit monoclonal IgG (Black)

Unlabelled control : Cell without incubation with primary antibody and secondary antibody (Blue)

Immunohistochemistry (Formalin/PFA-fixed paraffin-embedded sections) - Anti-HNRPAB antibody [EPR16944] (AB199724)
  • IHC-P

Supplier Data

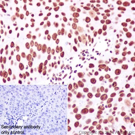
Immunohistochemistry (Formalin/PFA-fixed paraffin-embedded sections) - Anti-HNRPAB antibody [EPR16944] (AB199724)

Immunohistochemical analysis of paraffin-embedded Human cervix carcinoma tissue labeling HNRPAB with ab199724 at 1/1000 dilution, followed by Goat Anti-Rabbit IgG H&L (HRP) (ab97051) secondary antibody at 1/500 dilution. Nuclear staining on Human cervix carcinoma tissue is observed. Counter stained with Hematoxylin.

Secondary antibody only control : Used PBS instead of primary antibody, secondary antibody is Goat Anti-Rabbit IgG H&L (HRP) (ab97051).

Perform heat mediated antigen retrieval with Tris/EDTA buffer pH 9.0 before commencing with IHC staining protocol.

Immunoprecipitation - Anti-HNRPAB antibody [EPR16944] (AB199724)
  • IP

Supplier Data

Immunoprecipitation - Anti-HNRPAB antibody [EPR16944] (AB199724)

HNRPAB was immunoprecipitated from 1mg of K562 (Human chronic myelogenous leukemia cells from bone marrow) whole cell lysate with ab199724 at 1/30 dilution. Western blot was performed from the immunoprecipitate using ab199724 at 1/1000 dilution. Anti-Rabbit IgG (HRP), specific to the non-reduced form of IgG, was used as secondary antibody at 1/1500 dilution.

Lane 1 : K562 whole cell lysate 10 μg (Input). Lane 2 : ab199724 IP in K562 whole cell lysate. Lane 3 : Rabbit monoclonal IgG (ab172730) instead of ab199724 in K562 whole cell lysate.

Blocking and dilution buffer and concentration : 5% NFDM/TBST.

All lanes:

Immunoprecipitation - Anti-HNRPAB antibody [EPR16944] (ab199724)

Predicted band size: 36 kDa,50 kDa

Observed band size: 24 kDa

false

Exposure time: 3s

Immunohistochemistry (Formalin/PFA-fixed paraffin-embedded sections) - Anti-HNRPAB antibody [EPR16944] (AB199724)
  • IHC-P

Supplier Data

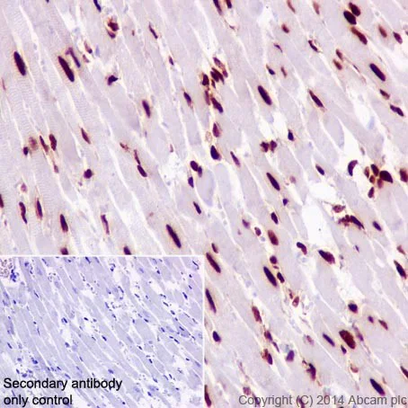
Immunohistochemistry (Formalin/PFA-fixed paraffin-embedded sections) - Anti-HNRPAB antibody [EPR16944] (AB199724)

Immunohistochemical analysis of paraffin-embedded rat cardiac muscle tissue labeling HNRPAB with ab199724 at 1/1000 dilution, followed by Goat Anti-Rabbit IgG H&L (HRP) (ab97051) secondary antibody at 1/500 dilution. Nuclear staining on rat cardiac muscle tissue is observed. Counter stained with Hematoxylin.

Secondary antibody only control : Used PBS instead of primary antibody, secondary antibody is Goat Anti-Rabbit IgG H&L (HRP) (ab97051).

Perform heat mediated antigen retrieval with Tris/EDTA buffer pH 9.0 before commencing with IHC staining protocol.

Immunohistochemistry (Formalin/PFA-fixed paraffin-embedded sections) - Anti-HNRPAB antibody [EPR16944] (AB199724)
  • IHC-P

Supplier Data

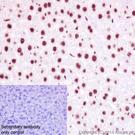
Immunohistochemistry (Formalin/PFA-fixed paraffin-embedded sections) - Anti-HNRPAB antibody [EPR16944] (AB199724)

Immunohistochemical analysis of paraffin-embedded mouse liver tissue labeling HNRPAB with ab199724 at 1/1000 dilution, followed by Goat Anti-Rabbit IgG H&L (HRP) (ab97051) secondary antibody at 1/500 dilution. Nuclear staining on mouse liver tissue is observed. Counter stained with Hematoxylin.

Secondary antibody only control : Used PBS instead of primary antibody, secondary antibody is Goat Anti-Rabbit IgG H&L (HRP) (ab97051).

Perform heat mediated antigen retrieval with Tris/EDTA buffer pH 9.0 before commencing with IHC staining protocol.

Western blot - Anti-HNRPAB antibody [EPR16944] (AB199724)
  • WB

Lab

Western blot - Anti-HNRPAB antibody [EPR16944] (AB199724)

Lanes 1-4 : Merged signal (red and green). Green - ab199724 observed at 48 kDa. Red - loading control ab8245 observed at 36 kDa.

ab199724 Anti-HNRPAB antibody [EPR16944] was shown to specifically react with HNRPAB in wild-type HEK293T cells. Loss of signal was observed when knockout cell line ab266459 (knockout cell lysate ab257467) was used. Wild-type and HNRPAB knockout samples were subjected to SDS-PAGE. ab199724 and Anti-GAPDH antibody [6C5] - Loading Control (ab8245) were incubated at room temperature for 2. 5 hours at 1 in 1000 dilution and 1 in 20000 dilution respectively. Blots were developed with Goat anti-Rabbit IgG H&L (IRDye® 800CW) preadsorbed (ab216773) and Goat anti-Mouse IgG H&L (IRDye® 680RD) preadsorbed (ab216776) secondary antibodies at 1 in 20000 dilution for 1 hour at room temperature before imaging.

All lanes:

Western blot - Anti-HNRPAB antibody [EPR16944] (ab199724) at 1/1000 dilution

Lane 1:

Wild-type HEK293T cell lysate at 20 µg

Lane 2:

HNRNPAB knockout HEK293T cell lysate at 20 µg

Lane 2:

Western blot - Human HNRNPAB knockout HEK-293T cell line (<a href='/en-us/products/cell-lines/human-hnrnpab-knockout-hek-293t-cell-line-ab266459'>ab266459</a>)

Lane 3:

K-562 cell lysate at 20 µg

Lane 4:

Jurkat cell lysate at 20 µg

Secondary

All lanes:

Western blot - Goat anti-Rabbit IgG H&L (IRDye® 800CW) preadsorbed (<a href='/en-us/products/secondary-antibodies/goat-rabbit-igg-h-l-irdye-800cw-preadsorbed-ab216773'>ab216773</a>) at 1/10000 dilution

Predicted band size: 36 kDa

Observed band size: 48 kDa

false

Western blot - Anti-HNRPAB antibody [EPR16944] (AB199724)
  • WB

Supplier Data

Western blot - Anti-HNRPAB antibody [EPR16944] (AB199724)

The expression profile observed is consistent with what has been described in the literature PMID : 22332140.

Blocking/Dilution buffer : 5% NFDM/TBST.

All lanes:

Western blot - Anti-HNRPAB antibody [EPR16944] (ab199724) at 1/5000 dilution

Lane 1:

K562 (Human chronic myelogenous leukemia cells from bone marrow) whole cell lysate at 20 µg

Lane 2:

Jurkat (Human T cell leukemia cells from peripheral blood) whole cell lysate at 20 µg

Lane 3:

HeLa (Human epithelial cells from cervix adenocarcinoma) whole cell lysate at 20 µg

Secondary

All lanes:

Goat Anti-Rabbit IgG, (H+L), Peroxidase conjugated at 1/1000 dilution

Predicted band size: 36 kDa

Observed band size: 42 kDa

false

Exposure time: 5s

Western blot - Anti-HNRPAB antibody [EPR16944] (AB199724)
  • WB

Supplier Data

Western blot - Anti-HNRPAB antibody [EPR16944] (AB199724)

The expression profile observed is consistent with what has been described in the literature PMID : 22332140.

Blocking/Dilution buffer : 5% NFDM/TBST.

All lanes:

Western blot - Anti-HNRPAB antibody [EPR16944] (ab199724) at 1/5000 dilution

All lanes:

Human fetal brain lysate at 20 µg

Secondary

All lanes:

Goat Anti-Rabbit IgG, (H+L), Peroxidase conjugated at 1/1000 dilution

Predicted band size: 36 kDa

Observed band size: 42 kDa

false

Exposure time: 10s

Western blot - Anti-HNRPAB antibody [EPR16944] (AB199724)
  • WB

Supplier Data

Western blot - Anti-HNRPAB antibody [EPR16944] (AB199724)

The expression profile observed is consistent with what has been described in the literature PMID : 22332140.

Blocking/Dilution buffer : 5% NFDM/TBST.

All lanes:

Western blot - Anti-HNRPAB antibody [EPR16944] (ab199724) at 1/1000 dilution

Lane 1:

Mouse brain lysates at 10 µg

Lane 2:

Rat brain lysates at 10 µg

Lane 3:

C6 (Rat glial tumor cells) whole cell lysate at 10 µg

Lane 4:

RAW 264.7 (Mouse macrophage cells transformed with Abelson murine leukemia virus) whole cell lysate at 10 µg

Lane 5:

PC-12 (Rat adrenal gland pheochromocytoma) whole cell lysate at 10 µg

Lane 6:

NIH/3T3 (Mouse embyro fibroblast cells) whole cell lysate at 10 µg

Secondary

All lanes:

Goat Anti-Rabbit IgG, (H+L), Peroxidase conjugated at 1/1000 dilution

Predicted band size: 36 kDa

Observed band size: 42 kDa

false

Exposure time: 10s

Key facts

Host species

Rabbit

Clonality

Monoclonal

Clone number

EPR16944

Isotype

IgG

Carrier free

No

Reacts with

Mouse, Rat, Human

Applications

IHC-P, ICC/IF, Flow Cyt (Intra), WB, IP

applications

Immunogen

The exact immunogen used to generate this antibody is proprietary information.

Reactivity data

{ "title": "Reactivity Data", "filters": { "stats": ["", "Species", "Dilution Info", "Notes"], "tabs": { "all-applications": {"fullname" : "All Applications", "shortname": "All Applications"}, "IP" : {"fullname" : "Immunoprecipitation", "shortname":"IP"}, "WB" : {"fullname" : "Western blot", "shortname":"WB"}, "ICCIF" : {"fullname" : "Immunocytochemistry/ Immunofluorescence", "shortname":"ICC/IF"}, "FlowCytIntra" : {"fullname" : "Flow Cytometry (Intracellular)", "shortname":"Flow Cyt (Intra)"}, "IHCP" : {"fullname" : "Immunohistochemistry (Formalin/PFA-fixed paraffin-embedded sections)", "shortname":"IHC-P"} }, "product-promise": { "all": "all", "testedAndGuaranteed": "tested", "guaranteed": "expected", "predicted": "predicted", "notRecommended": "not-recommended" } }, "values": { "Human": { "IP-species-checked": "testedAndGuaranteed", "IP-species-dilution-info": "1/30", "IP-species-notes": "<p></p>", "WB-species-checked": "testedAndGuaranteed", "WB-species-dilution-info": "1/1000", "WB-species-notes": "<p></p>", "ICCIF-species-checked": "testedAndGuaranteed", "ICCIF-species-dilution-info": "1/500", "ICCIF-species-notes": "<p></p>", "FlowCytIntra-species-checked": "testedAndGuaranteed", "FlowCytIntra-species-dilution-info": "1 µg/mL", "FlowCytIntra-species-notes": "<p></p>", "IHCP-species-checked": "testedAndGuaranteed", "IHCP-species-dilution-info": "1/1000", "IHCP-species-notes": "<p></p> Perform heat-mediated antigen retrieval with Tris/EDTA buffer pH 9.0 before commencing with IHC staining protocol." }, "Mouse": { "IP-species-checked": "guaranteed", "IP-species-dilution-info": "", "IP-species-notes": "", "WB-species-checked": "testedAndGuaranteed", "WB-species-dilution-info": "1/1000", "WB-species-notes": "<p></p>", "ICCIF-species-checked": "guaranteed", "ICCIF-species-dilution-info": "", "ICCIF-species-notes": "", "FlowCytIntra-species-checked": "guaranteed", "FlowCytIntra-species-dilution-info": "", "FlowCytIntra-species-notes": "", "IHCP-species-checked": "testedAndGuaranteed", "IHCP-species-dilution-info": "1/1000", "IHCP-species-notes": "<p></p> Perform heat-mediated antigen retrieval with Tris/EDTA buffer pH 9.0 before commencing with IHC staining protocol." }, "Rat": { "IP-species-checked": "guaranteed", "IP-species-dilution-info": "", "IP-species-notes": "", "WB-species-checked": "testedAndGuaranteed", "WB-species-dilution-info": "1/1000", "WB-species-notes": "<p></p>", "ICCIF-species-checked": "guaranteed", "ICCIF-species-dilution-info": "", "ICCIF-species-notes": "", "FlowCytIntra-species-checked": "guaranteed", "FlowCytIntra-species-dilution-info": "", "FlowCytIntra-species-notes": "", "IHCP-species-checked": "testedAndGuaranteed", "IHCP-species-dilution-info": "1/1000", "IHCP-species-notes": "<p></p> Perform heat-mediated antigen retrieval with Tris/EDTA buffer pH 9.0 before commencing with IHC staining protocol." } } }

Product details

Patented technology
Our RabMAb® technology is a patented hybridoma-based technology for making rabbit monoclonal antibodies. For details on our patents, please refer to RabMAb® patents.

What are the advantages of a recombinant monoclonal antibody?
This product is a recombinant monoclonal antibody, which offers several advantages including:

  • - High batch-to-batch consistency and reproducibility
  • - Improved sensitivity and specificity
  • - Long-term security of supply
  • - Animal-free batch production

For more information, read more on recombinant antibodies.

Properties and storage information

Form
Liquid
Purification technique
Affinity purification Protein A
Storage buffer
pH: 7.2 - 7.4 Preservative: 0.01% Sodium azide Constituents: PBS, 40% Glycerol (glycerin, glycerine), 0.05% BSA
Shipped at conditions
Blue Ice
Appropriate short-term storage duration
1-2 weeks
Appropriate short-term storage conditions
+4°C
Appropriate long-term storage conditions
-20°C
Aliquoting information
Upon delivery aliquot
Storage information
Avoid freeze / thaw cycle

Supplementary information

This supplementary information is collated from multiple sources and compiled automatically.

Heterogeneous nuclear ribonucleoprotein A/B often called HNRPAB functions as a part of the ribonucleoprotein complex. This protein interacts with pre-mRNA in the nucleus and influences its processing. HNRPAB has a molecular mass of about 37 kilodaltons. Scientists find it highly expressed in various tissues including the brain and testis indicating its significant role in these areas. The protein contains RNA-binding domains and plays a part in the regulation of alternative splicing.
Biological function summary

HNRPAB influences the splicing and transport of pre-mRNA impacting the maturation process of mRNA. It collaborates with other hnRNPs and splicing factors to modulate gene expression. The protein sometimes forms part of larger complexes that are essential for RNA processing. This complex helps to stabilize RNA molecules assisting in their proper transport and translation in the cytoplasm.

Pathways

HNRPAB is involved in the regulation of RNA metabolism and processing pathways. It forms a network with other proteins like hnRNP F and hnRNP H impacting gene expression by influencing mRNA stability and availability. In conjunction with these proteins HNRPAB plays a role in the signal transduction pathways affecting cellular responses and adaptations.

HNRPAB has connections to cancer and neurodegenerative disorders. Its dysregulation can lead to abnormal splicing patterns contributing to oncogenesis. In cancer associations with proteins like c-Myc indicate a role in tumorigenesis. In neurodegenerative diseases altered HNRPAB activity could impact neuronal survival contributing to the progression of disorders like Alzheimer’s disease. The protein’s interaction with tau suggests a potential link to tauopathies which are related to abnormal protein aggregations within neurons.

Product protocols

For this product, it's our understanding that no specific protocols are required. You can visit:

Target data

Binds single-stranded RNA. Has a high affinity for G-rich and U-rich regions of hnRNA. Also binds to APOB mRNA transcripts around the RNA editing site.
See full target information HNRNPAB

Publications (2)

Recent publications for all applications. Explore the full list and refine your search

Nutrients 14: PubMed35893911

2022

Effects of Milk-Derived Extracellular Vesicles on the Colonic Transcriptome and Proteome in Murine Model.

Applications

Unspecified application

Species

Unspecified reactive species

Chunmei Du,Yiguang Zhao,Kun Wang,Xuemei Nan,Ruipeng Chen,Benhai Xiong

Oncology letters 18:6459-6468 PubMed31819776

2019

High hnRNP AB expression is associated with poor prognosis in patients with colorectal cancer.

Applications

Unspecified application

Species

Unspecified reactive species

Jun-Min Zhou,Hang Jiang,Tao Yuan,Guang-Xun Zhou,Xiang-Bing Li,Kun-Ming Wen
View all publications

Product promise

We are committed to supporting your work with high-quality reagents, and we're here for you every step of the way. In the unlikely event that one of our products does not perform as expected, you're protected by our Product Promise.
For full details, please see our Terms & Conditions

Please note: All products are 'FOR RESEARCH USE ONLY. NOT FOR USE IN DIAGNOSTIC OR THERAPEUTIC PROCEDURES'.

For licensing inquiries, please contact partnerships@abcam.com