JavaScript is disabled in your browser. Please enable JavaScript to view this website.
AB157498

Anti-HNRPH2/HNRNPH2 antibody

4

(1 Review)

|

(1 Publication)

Rabbit Polyclonal HNRPH2/HNRNPH2 antibody. Suitable for WB, IHC-P and reacts with Human samples. Cited in 1 publication. Immunogen corresponding to Recombinant Fragment Protein within Human HNRNPH2 aa 1-350.

View Alternative Names

FTP3, HNRPH2, HNRNPH2, Heterogeneous nuclear ribonucleoprotein H2, hnRNP H2, FTP-3, Heterogeneous nuclear ribonucleoprotein H', hnRNP H'

2 Images
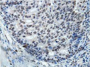
Immunohistochemistry (Formalin/PFA-fixed paraffin-embedded sections) - Anti-HNRPH2/HNRNPH2 antibody (AB157498)
  • IHC-P

Unknown

Immunohistochemistry (Formalin/PFA-fixed paraffin-embedded sections) - Anti-HNRPH2/HNRNPH2 antibody (AB157498)

Immunohistochemical analysis of formalin-fixed paraffin-embedded Human colon carcinoma tissue labeling HNRPH2/HNRNPH2 with ab157498 at 1/100 dilution.

Western blot - Anti-HNRPH2/HNRNPH2 antibody (AB157498)
  • WB

Unknown

Western blot - Anti-HNRPH2/HNRNPH2 antibody (AB157498)

All lanes:

Western blot - Anti-HNRPH2/HNRNPH2 antibody (ab157498) at 1/1000 dilution

Lane 1:

Jurkat lysate

Lane 2:

K562 lysate

Lane 3:

Human fetal liver lysate

Predicted band size: 49 kDa

false

Key facts

Host species

Rabbit

Clonality

Polyclonal

Isotype

IgG

Carrier free

No

Reacts with

Human

Applications

IHC-P, WB

applications

Immunogen

Recombinant Fragment Protein within Human HNRNPH2 aa 1-350. The exact immunogen used to generate this antibody is proprietary information.

P55795

Reactivity data

{ "title": "Reactivity Data", "filters": { "stats": ["", "Species", "Dilution Info", "Notes"], "tabs": { "all-applications": {"fullname" : "All Applications", "shortname": "All Applications"}, "WB" : {"fullname" : "Western blot", "shortname":"WB"}, "IHCP" : {"fullname" : "Immunohistochemistry (Formalin/PFA-fixed paraffin-embedded sections)", "shortname":"IHC-P"} }, "product-promise": { "all": "all", "testedAndGuaranteed": "tested", "guaranteed": "expected", "predicted": "predicted", "notRecommended": "not-recommended" } }, "values": { "Human": { "WB-species-checked": "testedAndGuaranteed", "WB-species-dilution-info": "1/1000 - 1/2000", "WB-species-notes": "<p></p>", "IHCP-species-checked": "testedAndGuaranteed", "IHCP-species-dilution-info": "1/100 - 1/500", "IHCP-species-notes": "<p></p>" }, "Mouse": { "WB-species-checked": "predicted", "WB-species-dilution-info": "", "WB-species-notes": "", "IHCP-species-checked": "predicted", "IHCP-species-dilution-info": "", "IHCP-species-notes": "" }, "Rat": { "WB-species-checked": "predicted", "WB-species-dilution-info": "", "WB-species-notes": "", "IHCP-species-checked": "predicted", "IHCP-species-dilution-info": "", "IHCP-species-notes": "" } } }

Properties and storage information

Form
Lyophilized
Reconstitution
Reconstitute in 200 µL of water
Purification technique
Affinity purification Immunogen
Storage buffer
pH: 7.2 Preservative: 0.02% Sodium azide Constituents: PBS, 1% BSA
Shipped at conditions
Blue Ice
Appropriate short-term storage conditions
+4°C
Appropriate long-term storage conditions
-20°C
Aliquoting information
Upon delivery aliquot
Storage information
Avoid freeze / thaw cycle

Supplementary information

This supplementary information is collated from multiple sources and compiled automatically.

HNRPH2 also known as hnRNP H2 is a member of the heterogeneous nuclear ribonucleoprotein (hnRNP) family. It assists in RNA binding and processing playing a role in pre-mRNA splicing and mRNA metabolism. HNRPH2 has a molecular mass of approximately 49 kDa. Researchers have identified its expression in various tissues with a notable presence in the nucleus where RNA processing occurs.
Biological function summary

HNRPH2 participates in critical cellular mechanisms involving RNA. It plays a role in hnRNP complexes which help in the nuclear-cytoplasmic transport of mRNAs. This protein aids in alternative splicing which allows cells to produce multiple protein variants from a single gene. By binding to specific sequences on RNA HNRPH2 influences the maturation and stability of RNA molecules ensuring accurate gene expression.

Pathways

HNRPH2 functions in the regulation of gene expression and RNA splicing pathways. It associates with the spliceosome which is essential in removing introns from pre-mRNA. This activity links it to processes like the alternative splicing pathway integral for creating protein diversity in cells. Interactions with other hnRNP proteins such as hnRNP A1 highlight its involvement in maintaining cellular RNA homeostasis.

Alterations in HNRPH2 are linked to neurological disorders and cancers. Mutations in the HNRPH2 gene have been associated with Bainbridge-Ropers syndrome a neurodevelopmental disorder suggesting the gene's role in neural development. Disruptions in its function may also relate to cancer where the abnormal splicing of mRNAs can promote tumorigenesis. HNRPH2's interaction with proteins such as TDP-43 implies its possible involvement in neurodegenerative diseases.

Product protocols

For this product, it's our understanding that no specific protocols are required. You can visit:

Target data

This protein is a component of the heterogeneous nuclear ribonucleoprotein (hnRNP) complexes which provide the substrate for the processing events that pre-mRNAs undergo before becoming functional, translatable mRNAs in the cytoplasm. Binds poly(RG).
See full target information HNRNPH2

Publications (1)

Recent publications for all applications. Explore the full list and refine your search

Cellular physiology and biochemistry : internation 34:1701-10 PubMed25401993

2014

Comparative proteomic profile of the human placenta in normal and fetal growth restriction subjects.

Applications

Unspecified application

Species

Unspecified reactive species

Zhijing Miao,Min Chen,Hong Wu,Hongjuan Ding,Zhonghua Shi
View all publications

Product promise

We are committed to supporting your work with high-quality reagents, and we're here for you every step of the way. In the unlikely event that one of our products does not perform as expected, you're protected by our Product Promise.
For full details, please see our Terms & Conditions

Please note: All products are 'FOR RESEARCH USE ONLY. NOT FOR USE IN DIAGNOSTIC OR THERAPEUTIC PROCEDURES'.

For licensing inquiries, please contact partnerships@abcam.com