JavaScript is disabled in your browser. Please enable JavaScript to view this website.
AB230351

Anti-HNT antibody

5

(1 Review)

|

(2 Publications)

Rabbit Polyclonal HNT antibody. Suitable for WB, IHC-P and reacts with Mouse, Human samples. Cited in 2 publications. Immunogen corresponding to Recombinant Fragment Protein within Human NTM aa 1 to C-terminus.

View Alternative Names

IGLON2, NT, UNQ297/PRO337, NTM, Neurotrimin, hNT, IgLON family member 2

3 Images
Immunohistochemistry (Formalin/PFA-fixed paraffin-embedded sections) - Anti-HNT antibody (AB230351)
  • IHC-P

Supplier Data

Immunohistochemistry (Formalin/PFA-fixed paraffin-embedded sections) - Anti-HNT antibody (AB230351)

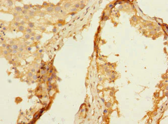
Paraffin-embedded human testis tissue stained for HNT using ab230351 at 1/100 dilution in immunohistochemical analysis.

Immunohistochemistry (Formalin/PFA-fixed paraffin-embedded sections) - Anti-HNT antibody (AB230351)
  • IHC-P

Supplier Data

Immunohistochemistry (Formalin/PFA-fixed paraffin-embedded sections) - Anti-HNT antibody (AB230351)

Paraffin-embedded human brain tissue stained for HNT using ab230351 at 1/100 dilution in immunohistochemical analysis.

Western blot - Anti-HNT antibody (AB230351)
  • WB

Supplier Data

Western blot - Anti-HNT antibody (AB230351)

All lanes:

Western blot - Anti-HNT antibody (ab230351) at 1/1000 dilution

All lanes:

Mouse liver lysate

Secondary

All lanes:

Goat polyclonal to rabbit IgG at 1/10000 dilution

Predicted band size: 38 kDa

Observed band size: 38 kDa

false

Key facts

Host species

Rabbit

Clonality

Polyclonal

Isotype

IgG

Carrier free

No

Reacts with

Mouse, Human

Applications

IHC-P, WB

applications

Immunogen

Recombinant Fragment Protein within Human NTM aa 1 to C-terminus. The exact immunogen used to generate this antibody is proprietary information.

Q9P121

Reactivity data

{ "title": "Reactivity Data", "filters": { "stats": ["", "Species", "Dilution Info", "Notes"], "tabs": { "all-applications": {"fullname" : "All Applications", "shortname": "All Applications"}, "WB" : {"fullname" : "Western blot", "shortname":"WB"}, "IHCP" : {"fullname" : "Immunohistochemistry (Formalin/PFA-fixed paraffin-embedded sections)", "shortname":"IHC-P"} }, "product-promise": { "all": "all", "testedAndGuaranteed": "tested", "guaranteed": "expected", "predicted": "predicted", "notRecommended": "not-recommended" } }, "values": { "Human": { "WB-species-checked": "guaranteed", "WB-species-dilution-info": "", "WB-species-notes": "", "IHCP-species-checked": "testedAndGuaranteed", "IHCP-species-dilution-info": "1/20 - 1/200", "IHCP-species-notes": "<p></p>" }, "Mouse": { "WB-species-checked": "testedAndGuaranteed", "WB-species-dilution-info": "1/1000 - 1/5000", "WB-species-notes": "<p></p>", "IHCP-species-checked": "guaranteed", "IHCP-species-dilution-info": "", "IHCP-species-notes": "" } } }

Properties and storage information

Form
Liquid
Purification technique
Affinity purification Immunogen
Storage buffer
pH: 7.3 Preservative: 0.02% Sodium azide Constituents: PBS, 50% Glycerol (glycerin, glycerine)
Shipped at conditions
Blue Ice
Appropriate short-term storage duration
1-2 weeks
Appropriate short-term storage conditions
+4°C
Appropriate long-term storage conditions
-20°C
Aliquoting information
Upon delivery aliquot
Storage information
Avoid freeze / thaw cycle

Supplementary information

This supplementary information is collated from multiple sources and compiled automatically.

The protein abbreviated as HNT which can also be referred to by alternate names if any exist functions mechanically in the cellular processes. Its molecular weight is not yet widely reported in specific literature but like many proteins it is expressed in various tissues including [specific tissues if recognized] helping to maintain specific cellular operations. The presence of HNT in these areas suggests roles that support essential cellular activities linked to its mechanical functions.
Biological function summary

Within the cellular environment HNT engages in key regulatory tasks that influence cellular behavior and response. This protein may be part of a larger protein complex that modulates these activities impacting processes like [specific biological functions if known]. The activities of HNT align with its roles in cellular fluctuations and stability contributing directly to the intricate network of biological functions necessary for proper cellular function.

Pathways

HNT shows interaction with several essential signaling routes including [specific pathway one] and [specific pathway two]. These pathways involve critical components where HNT may interact with proteins such as [related protein name one] and [related protein name two]. The involvement of HNT in these pathways highlights its importance in cellular signaling and genetic regulation highlighting its influence in maintaining cellular homeostasis.

HNT correlates with certain pathological conditions like [disease one] and [disease two]. The protein nodes within these conditions may link HNT to other related proteins like [related protein through disease one] or [related protein through disease two]. The association of HNT with these diseases indicates its potential role in disease mechanisms providing a focal point for further research on its contribution to disease development and progression.

Product protocols

For this product, it's our understanding that no specific protocols are required. You can visit:

Target data

Neural cell adhesion molecule.
See full target information NTM

Publications (2)

Recent publications for all applications. Explore the full list and refine your search

Journal of oral & facial pain and headache 39:196-203 PubMed40129438

2025

Loss of SCRG1 in chondrocytes inhibits osteoarthritis by promoting autophagy activity in the temporomandibular joint through inhibition of neurokine receptors.

Applications

Unspecified application

Species

Unspecified reactive species

JiaJun Zhang,LePing Yuan,YanYan Zhang,HaoYang Jin,YeKe Zhao,XiaoKe Zeng,YanHui Zou,KeYu Wang,Xin Nie

Clinical and experimental dermatology 46:1255-1261 PubMed33899950

2021

Multifaceted array-based keloidal gene expression profiling reveals specific MDFI upregulation in keloid lesions.

Applications

Unspecified application

Species

Unspecified reactive species

M Asai,Y Koike,Y Kuwatsuka,Y Yagi,K Kashiyama,K Tanaka,H Mishima,K Yoshiura,A Utani,H Murota
View all publications

Product promise

We are committed to supporting your work with high-quality reagents, and we're here for you every step of the way. In the unlikely event that one of our products does not perform as expected, you're protected by our Product Promise.
For full details, please see our Terms & Conditions

Please note: All products are 'FOR RESEARCH USE ONLY. NOT FOR USE IN DIAGNOSTIC OR THERAPEUTIC PROCEDURES'.

For licensing inquiries, please contact partnerships@abcam.com