JavaScript is disabled in your browser. Please enable JavaScript to view this website.
AB305290

Anti-HO-1 antibody [HO-1-2]

Be the first to review this product! Submit a review

|

(20 Publications)

Mouse Monoclonal Heme Oxygenase 1 antibody. Suitable for WB and reacts with Rat, Recombinant full length protein - Rat samples. Cited in 20 publications. Immunogen corresponding to Native Full Length Protein corresponding to Rat Hmox1.

View Alternative Names

HO, HO1, HMOX1, Heme oxygenase 1, HO-1

1 Images
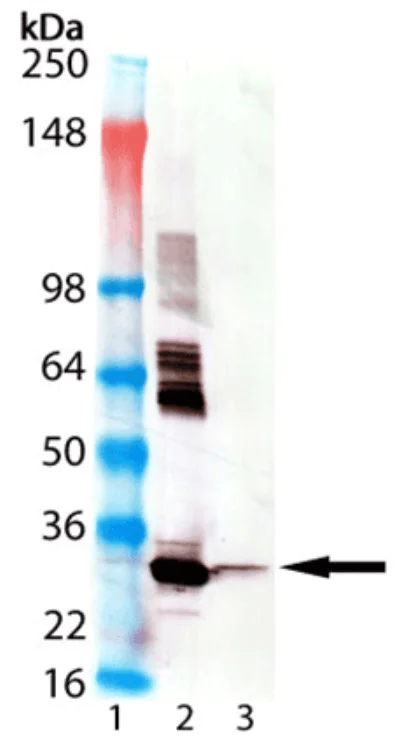
Western blot - Anti-HO-1 antibody [HO-1-2] (AB305290)
  • WB

Supplier Data

Western blot - Anti-HO-1 antibody [HO-1-2] (AB305290)

Lane 1 : MW Marker Lane 2 : HO-1 Recombinant rat protein Lane 3 : Rat liver microsomes

All lanes:

Western blot - Anti-HO-1 antibody [HO-1-2] (ab305290) at 1/1000 dilution

Observed band size: 32 kDa

false

Key facts

Host species

Mouse

Clonality

Monoclonal

Clone number

HO-1-2

Isotype

IgG2b

Carrier free

No

Reacts with

Rat

Applications

WB

applications

Immunogen

Native Full Length Protein corresponding to Rat Hmox1.

P06762

Reactivity data

{ "title": "Reactivity Data", "filters": { "stats": ["", "Species", "Dilution Info", "Notes"], "tabs": { "all-applications": {"fullname" : "All Applications", "shortname": "All Applications"}, "WB" : {"fullname" : "Western blot", "shortname":"WB"} }, "product-promise": { "all": "all", "testedAndGuaranteed": "tested", "guaranteed": "expected", "predicted": "predicted", "notRecommended": "not-recommended" } }, "values": { "Rat": { "WB-species-checked": "testedAndGuaranteed", "WB-species-dilution-info": "1/1000", "WB-species-notes": "<p></p>" }, "Recombinant full length protein - Rat": { "WB-species-checked": "testedAndGuaranteed", "WB-species-dilution-info": "1/1000", "WB-species-notes": "<p></p>" } } }

Properties and storage information

Form
Liquid
Purification technique
Affinity purification Protein G
Purification notes
Purified from hybridoma tissue culture supernatant.
Storage buffer
pH: 7.2 Preservative: 0.09% Sodium azide Constituents: PBS, 50% Glycerol (glycerin, glycerine)
Shipped at conditions
Blue Ice
Appropriate short-term storage duration
1-2 weeks
Appropriate short-term storage conditions
+4°C
Appropriate long-term storage conditions
-20°C
Aliquoting information
Upon delivery aliquot
Storage information
Avoid freeze / thaw cycle

Supplementary information

This supplementary information is collated from multiple sources and compiled automatically.

Heme Oxygenase 1 also known as HO-1 or HMOX1 is an enzyme that plays an important mechanistic role in heme catabolism. It catalyzes the degradation of heme into biliverdin carbon monoxide and free iron. This process involves the cleavage of the heme ring. HO-1 has a molecular weight of approximately 32 kDa. It is widely expressed in numerous tissues but is especially abundant in the liver and spleen. Its expression is induced by heme and other stress stimuli such as heavy metals cytokines and reactive oxygen species.
Biological function summary

Heme Oxygenase 1 serves important protective functions in the body. It is not part of a larger complex but its products such as carbon monoxide and biliverdin have their own biological activities. Carbon monoxide produced by HO-1 has antiflammatory properties and can modulate apoptotic pathways. Biliverdin is reduced to bilirubin which acts as an antioxidant. The enzyme therefore directly influences cellular stress responses and maintains cellular homeostasis through these processes.

Pathways

Heme Oxygenase 1 is integrally involved in oxidative stress response and heme metabolism. It participates in the cellular response to oxidative damage by reducing oxidative stress and promoting cytoprotection. Through its heme degradation activity it is connected with the synthesis of biologically active molecules like bilirubin and carbon monoxide. Heme Oxygenase 1 activity is related to other proteins in oxidative stress pathways such as Nuclear Factor Erythroid 2-Related Factor 2 (Nrf2) which regulates its expression and globins which are sources of heme for HO-1 activity.

Heme Oxygenase 1 has been linked to conditions like cardiovascular diseases and neurodegenerative disorders. Its expression can attenuate the severity of atherosclerosis where oxidative stress is an important factor. In neurodegenerative diseases HO-1’s antioxidant properties may provide neuroprotection by mitigating oxidative damage. The protein's interactions with inflammatory cytokines such as Interleukin-6 and tumor necrosis factor-alpha influence its activity in these disease contexts.

Product protocols

For this product, it's our understanding that no specific protocols are required. You can visit:

Target data

Heme oxygenase 1. Catalyzes the oxidative cleavage of heme at the alpha-methene bridge carbon, released as carbon monoxide (CO), to generate biliverdin IXalpha, while releasing the central heme iron chelate as ferrous iron (PubMed : 11121422, PubMed : 19556236, PubMed : 7703255). Affords protection against programmed cell death and this cytoprotective effect relies on its ability to catabolize free heme and prevent it from sensitizing cells to undergo apoptosis (PubMed : 20055707).. Heme oxygenase 1. (Microbial infection) During SARS-COV-2 infection, promotes SARS-CoV-2 ORF3A-mediated autophagy but is unlikely to be required for ORF3A-mediated induction of reticulophagy.. Heme oxygenase 1 soluble form. Catalyzes the oxidative cleavage of heme at the alpha-methene bridge carbon, released as carbon monoxide (CO), to generate biliverdin IXalpha, while releasing the central heme iron chelate as ferrous iron.
See full target information HMOX1

Publications (20)

Recent publications for all applications. Explore the full list and refine your search

Mediators of inflammation 2025:4932970 PubMed40918406

2025

Electroacupuncture Attenuates Hepatic Ischemia-Reperfusion Injury by Modulating the Esr1/TAK1-JNK/p38 Signaling Pathway in Rats.

Applications

Unspecified application

Species

Unspecified reactive species

Xiaofang Fan,Wei Guo,Xiaodan Yang,Hao Zhang,Bruno Fink,Lingyu Hu,Xiaoguang Wang

Journal of clinical biochemistry and nutrition 77:30-36 PubMed40777822

2025

Kurarinone activates the Nrf-2/HO-1 signaling pathway and alleviates high glucose-induced ferroptosis in HK2 cells.

Applications

Unspecified application

Species

Unspecified reactive species

Chunmei Ma

Frontiers in endocrinology 16:1610613 PubMed40510473

2025

Systems metabolic insights into kaempferol-mediated alleviation of alcoholic fatty liver disease.

Applications

Unspecified application

Species

Unspecified reactive species

Chenmeng Song,Lijia Li,Jia Li,Jengyuan Yao

Iranian journal of basic medical sciences 28:815-824 PubMed40343296

2025

Salidroside impedes Ang II-infused myocardial fibrosis by activating the SIRT1-Nrf2 pathway.

Applications

Unspecified application

Species

Unspecified reactive species

Xi Zhu,Zhen Hai,Zhongping Ning

American journal of translational research 17:878-887 PubMed40092133

2025

Esculin alleviates palmitic acid-induced intestinal barrier damage via Nrf2/HO-1 signaling.

Applications

Unspecified application

Species

Unspecified reactive species

Qinglan Song,Yongbo Wang,Yexin Tang,Lei Zhu,Deyun Lan

Drug design, development and therapy 18:6313-6329 PubMed39741916

2025

Tomatidine Alleviates Intervertebral Disc Degeneration by Activating the Nrf2/HO-1/GPX4 Signaling Pathway.

Applications

Unspecified application

Species

Unspecified reactive species

Ze Li,Pu Cheng,Huifeng Xi,Ting Jiang,Xiaohang Zheng,Jianxin Qiu,Yuhang Gong,Xinyu Wu,Shuang Mi,Yuzhen Hong,Zhenghua Hong,Weiwei Zhou

Molecular biomedicine 5:68 PubMed39666228

2024

Pentraxin-3 modulates hepatocyte ferroptosis and the innate immune response in LPS-induced liver injury.

Applications

Unspecified application

Species

Unspecified reactive species

Huitong Wang,Zhaojie Su,Yunyun Qian,Baojie Shi,Hao Li,Wenbin An,Yi Xiao,Cheng Qiu,Zhixiang Guo,Jianfa Zhong,Xia Wu,Jiajia Chen,Ying Wang,Wei Zeng,Linghui Zhan,Jie Wang

PloS one 19:e0313446 PubMed39527591

2024

RTA408 alleviates retinal ganglion cells damage in mouse glaucoma by inhibiting excessive autophagy.

Applications

Unspecified application

Species

Unspecified reactive species

Hongmei Qian,Wei Chen,Guomei Yuan,Man Luo,Li Zhang,Biao Wu,Hanshi Huang,Jiahao Xu,Qiong Wang,Mengyun Li

Frontiers in oncology 14:1483660 PubMed39507762

2024

Low miR-936-mediated upregulation of Pim-3 drives sorafenib resistance in liver cancer through ferroptosis inhibition by activating the ANKRD18A/Src/NRF2 pathway.

Applications

Unspecified application

Species

Unspecified reactive species

Xiao Li,Mengna Cui,Long Xu,Qie Guo

Scientific reports 14:23074 PubMed39367100

2024

Quercetin as a therapeutic agent activate the Nrf2/Keap1 pathway to alleviate lung ischemia-reperfusion injury.

Applications

Unspecified application

Species

Unspecified reactive species

Mohammad Yousefi Zardak,Fatemeh Keshavarz,Ali Mahyaei,Morteza Gholami,Fatemeh Sadat Moosavi,Elham Abbasloo,Farzaneh Abdollahi,Maryam Hossein Rezaei,Elham Madadizadeh,Nasrin Soltani,Fatemeh Bejeshk,Niyan Salehi,Fahimeh Rostamabadi,Fatemeh Bagheri,Mahla Jafaraghae,Mahdiyeh Ranjbar Zeydabadi,Meraj Baghgoli,Gholamreza Sepehri,Mohammad Abbas Bejeshk
View all publications

Product promise

We are committed to supporting your work with high-quality reagents, and we're here for you every step of the way. In the unlikely event that one of our products does not perform as expected, you're protected by our Product Promise.
For full details, please see our Terms & Conditions

Please note: All products are 'FOR RESEARCH USE ONLY. NOT FOR USE IN DIAGNOSTIC OR THERAPEUTIC PROCEDURES'.

For licensing inquiries, please contact partnerships@abcam.com