JavaScript is disabled in your browser. Please enable JavaScript to view this website.
AB90492

Anti-HO-2 antibody

Be the first to review this product! Submit a review

|

(12 Publications)

Rabbit Polyclonal HO-2 antibody. Suitable for WB, IHC-Fr and reacts with Rat, Mouse, Human samples. Cited in 12 publications. Immunogen corresponding to Native Full Length Protein corresponding to Rat Heme oxygenase 2.

View Alternative Names

Heme oxygenase 2, HO-2, Hmox2

3 Images
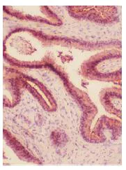
Immunohistochemistry (Frozen sections) - Anti-HO-2 antibody (AB90492)
  • IHC-Fr

Unknown

Immunohistochemistry (Frozen sections) - Anti-HO-2 antibody (AB90492)

ab90492, staining HO-2 in a frozen human prostate section by Immunohistochemistry.

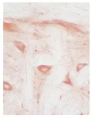
Immunohistochemistry (Frozen sections) - Anti-HO-2 antibody (AB90492)
  • IHC-Fr

Unknown

Immunohistochemistry (Frozen sections) - Anti-HO-2 antibody (AB90492)

ab90492, staining HO-2 in a frozen mouse spinal cord section (stressed) by Immunohistochemistry.

Western blot - Anti-HO-2 antibody (AB90492)
  • WB

Unknown

Western blot - Anti-HO-2 antibody (AB90492)

All lanes:

Western blot - Anti-HO-2 antibody (ab90492) at 1/1000 dilution

All lanes:

rat liver microsome extract

Predicted band size: 36 kDa

false

Key facts

Host species

Rabbit

Clonality

Polyclonal

Isotype

IgG

Carrier free

No

Reacts with

Mouse, Rat, Human

Applications

IHC-Fr, WB

applications

Immunogen

Native Full Length Protein corresponding to Rat Heme oxygenase 2.

P23711

Reactivity data

{ "title": "Reactivity Data", "filters": { "stats": ["", "Species", "Dilution Info", "Notes"], "tabs": { "all-applications": {"fullname" : "All Applications", "shortname": "All Applications"}, "WB" : {"fullname" : "Western blot", "shortname":"WB"}, "IHCFr" : {"fullname" : "Immunohistochemistry (Frozen sections)", "shortname":"IHC-Fr"} }, "product-promise": { "all": "all", "testedAndGuaranteed": "tested", "guaranteed": "expected", "predicted": "predicted", "notRecommended": "not-recommended" } }, "values": { "Human": { "WB-species-checked": "guaranteed", "WB-species-dilution-info": "", "WB-species-notes": "", "IHCFr-species-checked": "testedAndGuaranteed", "IHCFr-species-dilution-info": "", "IHCFr-species-notes": "<p></p>" }, "Mouse": { "WB-species-checked": "guaranteed", "WB-species-dilution-info": "", "WB-species-notes": "", "IHCFr-species-checked": "testedAndGuaranteed", "IHCFr-species-dilution-info": "", "IHCFr-species-notes": "<p></p>" }, "Rat": { "WB-species-checked": "testedAndGuaranteed", "WB-species-dilution-info": "1/1000", "WB-species-notes": "<p></p>", "IHCFr-species-checked": "guaranteed", "IHCFr-species-dilution-info": "", "IHCFr-species-notes": "" } } }

Properties and storage information

Form
Liquid
Purification technique
Affinity purification Protein A
Storage buffer
Preservative: 0.09% Sodium azide Constituents: PBS, 50% Glycerol (glycerin, glycerine)
Shipped at conditions
Blue Ice
Appropriate short-term storage conditions
+4°C
Appropriate long-term storage conditions
-20°C
Aliquoting information
Upon delivery aliquot
Storage information
Avoid freeze / thaw cycle

Supplementary information

This supplementary information is collated from multiple sources and compiled automatically.

Heme oxygenase-2 (HO-2) is an enzyme that degrades heme to biliverdin carbon monoxide and free iron. This protein has a molecular mass of about 36 kDa. HO-2 is constitutively expressed in high levels in the brain liver and testis. It functions through its enzymatic capabilities and along with heme oxygenase-1 (HO-1) it plays a critical role in heme catabolism. While HO-1 is inducible and responds to oxidative stress conditions HO-2 remains largely constant under normal physiological conditions.
Biological function summary

Heme oxygenase-2 contributes to cellular protective mechanisms. This protein generates carbon monoxide which serves as a signaling molecule in various cellular processes including the modulation of inflammation and apoptosis. It does not typically form complexes but interacts directly with heme substrates. HO-2 also helps in controlling iron levels in cells preventing the accumulation that can lead to oxidative damage.

Pathways

The enzymatic activity of heme oxygenase-2 integrates into the heme degradation pathway and influences the carbon monoxide signaling pathway. Another related protein in these processes is cytochrome P450 involved in oxidative metabolism which requires heme as a cofactor. This interconnection is essential allowing heme oxygenase enzymes to further impact the regulation of cellular oxidative stress responses.

Heme oxygenase-2 has connections to neurodegenerative diseases and certain types of hypertension. In the context of neurodegenerative diseases such as Alzheimer's dysregulation of heme metabolism and oxidative stress can play significant roles wherein HO-2's heme-degrading activity is important. Additionally in conditions like hypertension carbon monoxide produced by HO-2 can have vasoactive properties influencing blood pressure through its signaling role. Interaction with proteins like superoxide dismutase in mitigating oxidative stress reinforces HO-2's significance in these disorders.

Product protocols

For this product, it's our understanding that no specific protocols are required. You can visit:

Target data

Heme oxygenase 2. Catalyzes the oxidative cleavage of heme at the alpha-methene bridge carbon, released as carbon monoxide (CO), to generate biliverdin IXalpha, while releasing the central heme iron chelate as ferrous iron.. Heme oxygenase 2 soluble form. Catalyzes the oxidative cleavage of heme at the alpha-methene bridge carbon, released as carbon monoxide (CO), to generate biliverdin IXalpha, while releasing the central heme iron chelate as ferrous iron.
See full target information Heme oxygenase 2

Publications (12)

Recent publications for all applications. Explore the full list and refine your search

MedComm 3:e180 PubMed36254251

2022

Integrated analyses of brain and platelet omics reveal their common altered and driven molecules in Alzheimer's disease.

Applications

Unspecified application

Species

Unspecified reactive species

Haitao Yu,Mengzhu Li,Qihang Pan,Yanchao Liu,Yao Zhang,Ting He,Huisheng Yang,Yue Xiao,Ying Weng,Yang Gao,Dan Ke,Gaoshang Chai,Jian-Zhi Wang

Physiological reports 9:e14844 PubMed34042301

2021

Early life stress induces dysregulation of the heme pathway in adult mice.

Applications

Unspecified application

Species

Unspecified reactive species

Yasminye D Pettway,Thomas H Neder,Dao H Ho,Brandon M Fox,Mariah Burch,Jackson Colson,Xiaofen Liu,Cailin E Kellum,Kelly A Hyndman,Jennifer S Pollock

Clinical oral investigations 24:2375-2383 PubMed31650316

2019

Dose-dependent green tea effect on decrease of inflammation in human oral gingival epithelial keratinocytes: in vitro study.

Applications

Unspecified application

Species

Unspecified reactive species

Ana Hagiu,Thomas Attin,Patrick R Schmidlin,Liza L Ramenzoni

Oxidative medicine and cellular longevity 2019:6029876 PubMed31396303

2019

Hepatoprotective Effects of against Alcohol-Induced Acute Liver Injury in the C57BL/6 Mouse Related to Nrf-2 and NF-B Signaling.

Applications

Unspecified application

Species

Unspecified reactive species

Bo Meng,Yuanzhu Zhang,Zhuqian Wang,Qinran Ding,Jia Song,Di Wang

Frontiers in immunology 10:1039 PubMed31134090

2019

The Antidiabetic and Antinephritic Activities of (An Albino Mutant Strain) via Modulation of Oxidative Stress in the db/db Mice.

Applications

Unspecified application

Species

Unspecified reactive species

Di Wang,Xue Jiang,Shanshan Teng,Yaqin Zhang,Yang Liu,Xiao Li,Yu Li

Oxidative medicine and cellular longevity 2018:7453865 PubMed30186548

2018

The Antidiabetic and Antinephritic Activities of via Modulation of Nrf2-Mediated Oxidative Stress in the db/db Mouse.

Applications

Unspecified application

Species

Unspecified reactive species

Xue Jiang,Shanshan Teng,Xue Wang,Shan Li,Yaqin Zhang,Di Wang

Stem cells (Dayton, Ohio) 36:616-625 PubMed29226550

2017

Alpha-Klotho Enrichment in Induced Pluripotent Stem Cell Secretome Contributes to Antioxidative Protection in Acute Lung Injury.

Applications

Unspecified application

Species

Unspecified reactive species

Amiq Gazdhar,Priya Ravikumar,Johanne Pastor,Manfred Heller,Jianfeng Ye,Jianning Zhang,Orson W Moe,Thomas Geiser,Connie C W Hsia

Science signaling 9:ra80 PubMed27531649

2016

H2S production by reactive oxygen species in the carotid body triggers hypertension in a rodent model of sleep apnea.

Applications

WB

Species

Rat

Guoxiang Yuan,Ying-Jie Peng,Shakil A Khan,Jayasri Nanduri,Amritha Singh,Chirag Vasavda,Gregg L Semenza,Ganesh K Kumar,Solomon H Snyder,Nanduri R Prabhakar

Journal of applied physiology (Bethesda, Md. : 1985) 120:723-32 PubMed26718784

2016

αKlotho deficiency in acute kidney injury contributes to lung damage.

Applications

Unspecified application

Species

Unspecified reactive species

Priya Ravikumar,Liping Li,Jianfeng Ye,Mingjun Shi,Masatomo Taniguchi,Jianning Zhang,Makoto Kuro-o,Ming Chang Hu,Orson W Moe,Connie C W Hsia

Scientific reports 5:15575 PubMed26510767

2015

Heme Oxygenase-1 Suppresses Bovine Viral Diarrhoea Virus Replication in vitro.

Applications

WB

Species

Unspecified reactive species

Chong Zhang,Fengxing Pu,Angke Zhang,Lele Xu,Na Li,Yunhuan Yan,Jiming Gao,Hongliang Liu,Gaiping Zhang,Ian G Goodfellow,En-Min Zhou,Shuqi Xiao
View all publications

Product promise

We are committed to supporting your work with high-quality reagents, and we're here for you every step of the way. In the unlikely event that one of our products does not perform as expected, you're protected by our Product Promise.
For full details, please see our Terms & Conditions

Please note: All products are 'FOR RESEARCH USE ONLY. NOT FOR USE IN DIAGNOSTIC OR THERAPEUTIC PROCEDURES'.

For licensing inquiries, please contact partnerships@abcam.com