JavaScript is disabled in your browser. Please enable JavaScript to view this website.
AB307821

Anti-Homeobox protein cut-like 1 antibody [EPR26508-67]

  • BOND RX™ Validated
  • 20ul selling size
  • RabMAb
  • Recombinant
  • What is this?

Be the first to review this product! Submit a review

|

(0 Publication)

Rabbit Recombinant Monoclonal Homeobox protein cut-like 1 antibody. Suitable for WB, ICC/IF, IP, IHC-P and reacts with Human, Mouse, Rat samples.

View Alternative Names

CUTL1, CUX1, Homeobox protein cut-like 1, CCAAT displacement protein, CDP/Cux p200, Homeobox protein cux-1, CDP

9 Images
Immunocytochemistry/ Immunofluorescence - Anti-Homeobox protein cut-like 1 antibody [EPR26508-67] (AB307821)
  • ICC/IF

Supplier Data

Immunocytochemistry/ Immunofluorescence - Anti-Homeobox protein cut-like 1 antibody [EPR26508-67] (AB307821)

Immunofluorescent analysis of 4% Paraformaldehyde-fixed, 0.1% Triton X-100 permeabilized HeLa (human cervical adenocarcinoma epithelial cell) cells labelling Homeobox protein cut-like 1 with ab307821 at 1/50 dilution (9.66 ug/ml) followed by ab150081 Goat Anti-Rabbit IgG H&L (Alexa Fluor® 488) preadsorbed antibody at 1/1000 dilution (2 ug/ml) (Green). Confocal image showing nuclear staining in HeLa cell line. Image was taken with a confocal microscope(Leica-Microsystems, TCS SP8). ab195889 Anti-alpha Tubulin mouse monoclonal antibody - Microtubule Marker (Alexa Fluor® 594) was used to counterstain tubulin at 1/200 dilution (2.5 ug/ml) (Red). The nuclear counterstain was DAPI (Blue). Secondary antibody only control : Secondary antibody is ab150081 Goat Anti-Rabbit IgG H&L (Alexa Fluor® 488) preadsorbed at 1/1000 dilution (2 ug/ml).

Immunoprecipitation - Anti-Homeobox protein cut-like 1 antibody [EPR26508-67] (AB307821)
  • IP

Supplier Data

Immunoprecipitation - Anti-Homeobox protein cut-like 1 antibody [EPR26508-67] (AB307821)

Homeobox protein cut-like 1 was immunoprecipitated from 0.35 mg HeLa (human cervix adenocarcinoma epithelial cell) whole cell lysate with ab307821 at 1/30 dilution (2ug in 0.35mg lysates). Western blot was performed on the immunoprecipitate using ab307821 at 1/1000 dilution. VeriBlot for IP secondary antibody(HRP)(ab131366) was used at 1/5000 dilution. Lane 1 : HeLa whole cell lysate 10 ug Lane 2 : ab307821 IP in HeLa whole cell lysate Lane 3 : Rabbit monoclonal IgG (ab172730) instead of ab307821 in hela whole cell lysate Blocking and dilution buffer and concentration : 5% NFDM/TBST. Exposure time : 24 seconds.

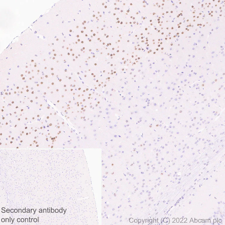
Immunohistochemistry (Formalin/PFA-fixed paraffin-embedded sections) - Anti-Homeobox protein cut-like 1 antibody [EPR26508-67] (AB307821)
  • IHC-P

Supplier Data

Immunohistochemistry (Formalin/PFA-fixed paraffin-embedded sections) - Anti-Homeobox protein cut-like 1 antibody [EPR26508-67] (AB307821)

Immunohistochemical analysis of paraffin-embedded rat cerebrum tissue labeling Homeobox protein cut-like 1 with ab307821 at 1/1000 dilution (0.483 ug/ml) followed by ready to use LeicaDS9800 (Bond® Polymer Refine Detection). Positive staining on rat cerebrum. The section was incubated with ab307821 for 30 mins at room temperature. The immunostaining was performed on a Leica Biosystems BOND® RX instrument. Counterstained with Hematoxylin. Secondary antibody only control : Secondary antibody is ready to use LeicaDS9800 (Bond® Polymer Refine Detection). Heat mediated antigen retrieval was performed with Tris-EDTA buffer (pH 9.0, Epitope Retrieval Solution2) for 20 mins.

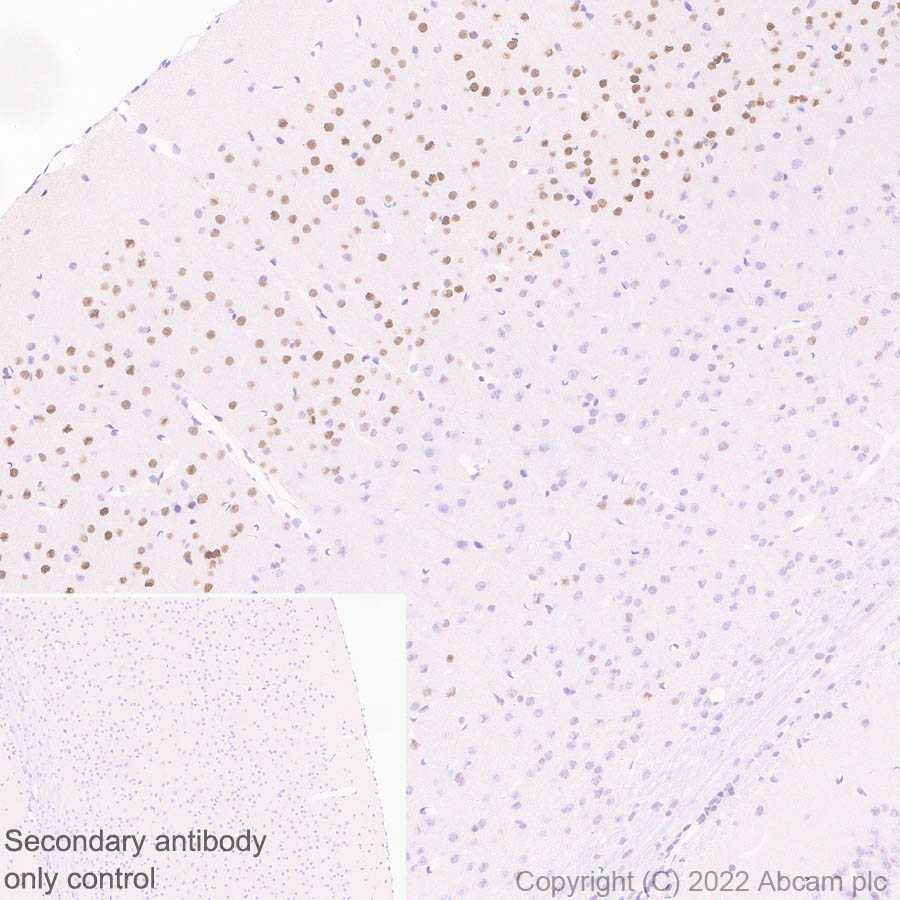
Immunohistochemistry (Formalin/PFA-fixed paraffin-embedded sections) - Anti-Homeobox protein cut-like 1 antibody [EPR26508-67] (AB307821)
  • IHC-P

Supplier Data

Immunohistochemistry (Formalin/PFA-fixed paraffin-embedded sections) - Anti-Homeobox protein cut-like 1 antibody [EPR26508-67] (AB307821)

Immunohistochemical analysis of paraffin-embedded mouse cerebrum tissue labeling Homeobox protein cut-like 1 with ab307821 at 1/1000 dilution (0.483 ug/ml) followed by ready to use LeicaDS9800 (Bond® Polymer Refine Detection). Positive staining on mouse cerebrum (PMID : 20534841). The section was incubated with ab307821 for 30 mins at room temperature. The immunostaining was performed on a Leica Biosystems BOND® RX instrument. Counterstained with Hematoxylin. Secondary antibody only control : Secondary antibody is ready to use LeicaDS9800 (Bond® Polymer Refine Detection). Heat mediated antigen retrieval was performed with Tris-EDTA buffer (pH 9.0, Epitope Retrieval Solution2) for 20 mins.

Immunoprecipitation - Anti-Homeobox protein cut-like 1 antibody [EPR26508-67] (AB307821)
  • IP

Supplier Data

Immunoprecipitation - Anti-Homeobox protein cut-like 1 antibody [EPR26508-67] (AB307821)

Homeobox protein cut-like 1 was immunoprecipitated from 0.35 mg Neuro-2a (mouse neuroblastoma neuroblast) whole cell lysate with ab307821 at 1/30 dilution (2ug in 0.35mg lysates). Western blot was performed on the immunoprecipitate using ab307821 at 1/1000 dilution. VeriBlot for IP secondary antibody(HRP)(ab131366) was used at 1/5000 dilution. Lane 1 : Neuro-2a whole cell lysate 10 ug Lane 2 : ab307821 IP in Neuro-2a whole cell lysate Lane 3 : Rabbit monoclonal IgG (ab172730) instead of ab307821 in Neuro-2a whole cell lysate Blocking and dilution buffer and concentration : 5% NFDM/TBST. Exposure time : 24 seconds.

Western blot - Anti-Homeobox protein cut-like 1 antibody [EPR26508-67] (AB307821)
  • WB

Supplier Data

Western blot - Anti-Homeobox protein cut-like 1 antibody [EPR26508-67] (AB307821)

Blocking and diluting buffer and concentration : 5% NFDM/TBST. The Lanes 1 and 3 were developed using a high sensitivity ECL substrate. The expression profile/ molecular weight observed is consistent with what has been described in the literature (PMID : 34997000). Lysates were freshly made and used immediately to minimize protein degradation. Exposure time : Lanes 1 and 3 : 180 seconds, lane 2 : 70 seconds.

All lanes:

Western blot - Anti-Homeobox protein cut-like 1 antibody [EPR26508-67] (ab307821) at 1/1000 dilution

Secondary

All lanes:

Western blot - Goat Anti-Rabbit IgG H&L (HRP) (<a href='/en-us/products/secondary-antibodies/goat-rabbit-igg-h-l-hrp-ab97051'>ab97051</a>) at 1/100000 dilution

Predicted band size: 77 kDa

Observed band size: 90-240 kDa

false

Western blot - Anti-Homeobox protein cut-like 1 antibody [EPR26508-67] (AB307821)
  • WB

Supplier Data

Western blot - Anti-Homeobox protein cut-like 1 antibody [EPR26508-67] (AB307821)

Blocking and diluting buffer and concentration : 5% NFDM/TBST.

This blot was developed using a high sensitivity ECL substrate. The high-sensitivity ECL substrate used allows for the detection of proteins in the mid-femtogram range.

In Western blot, anti-GAPDH antibody (ab181602) loading control staining at 1/200000 dilution.

The expression profile/ molecular weight observed is consistent with what has been described in the literature (PMID : 34997000).

All lanes:

Western blot - Anti-Homeobox protein cut-like 1 antibody [EPR26508-67] (ab307821) at 1/1000 dilution

Lane 1:

HeLa (human cervix adenocarcinoma epithelial cell) transfected with scrambled siRNA control whole cell lysate at 10 µg

Lane 2:

HeLa transfected with siRNA specifically targeting CUTL1 whole cell lysate at 10 µg

Secondary

All lanes:

Western blot - Goat Anti-Rabbit IgG H&L (HRP) (<a href='/en-us/products/secondary-antibodies/goat-rabbit-igg-h-l-hrp-ab97051'>ab97051</a>) at 1/100000 dilution

Predicted band size: 77 kDa

Observed band size: 90-240 kDa

true

Exposure time: 180s

Western blot - Anti-Homeobox protein cut-like 1 antibody [EPR26508-67] (AB307821)
  • WB

Lab

Western blot - Anti-Homeobox protein cut-like 1 antibody [EPR26508-67] (AB307821)

Blocking and diluting buffer and concentration : 5% NFDM/TBST.

In Western blot, Anti-GAPDH antibody [EPR16891] - Loading Control (ab181602) staining at 1/1000000 dilution.

Exposure time : Lane 1 : 10 seconds; Lane 2 : 20 seconds; Lane 3 : 7 seconds.

All lanes:

Western blot - Anti-Homeobox protein cut-like 1 antibody [EPR26508-67] (ab307821) at 1/1000 dilution

Lane 1:

SH-SY5Y (human neuroblastoma epithelial cell) whole cell lysate at 20 µg

Lane 2:

Neuro-2a (mouse neuroblastoma neuroblast) whole cell lysate at 20 µg

Lane 3:

Rat cerebellum tissue lysate at 20 µg

Secondary

All lanes:

Western blot - Goat Anti-Rabbit IgG H&L (HRP) (<a href='/en-us/products/secondary-antibodies/goat-rabbit-igg-h-l-hrp-ab97051'>ab97051</a>) at 1/20000 dilution

Observed band size: 90-240 kDa

false

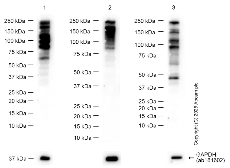
Western blot - Anti-Homeobox protein cut-like 1 antibody [EPR26508-67] (AB307821)
  • WB

Supplier Data

Western blot - Anti-Homeobox protein cut-like 1 antibody [EPR26508-67] (AB307821)

Blocking and diluting buffer and concentration : 5% NFDM/TBST.

This blot was developed using a high sensitivity ECL substrate. The high-sensitivity ECL substrate used allows for the detection of proteins in the mid-femtogram range.

In Western blot, anti-GAPDH antibody (ab181602) loading control staining at 1/200000 dilution.

The expression profile/ molecular weight observed is consistent with what has been described in the literature (PMID : 34997000).

All lanes:

Western blot - Anti-Homeobox protein cut-like 1 antibody [EPR26508-67] (ab307821) at 1/1000 dilution

Lane 1:

Mouse brain tissue lysate at 20 µg

Lane 2:

Rat brain tissue lysate at 20 µg

Secondary

All lanes:

Western blot - Goat Anti-Rabbit IgG H&L (HRP) (<a href='/en-us/products/secondary-antibodies/goat-rabbit-igg-h-l-hrp-ab97051'>ab97051</a>) at 1/100000 dilution

Predicted band size: 77 kDa

Observed band size: 90-240 kDa

true

Exposure time: 180s

  • Carrier free

    Anti-Homeobox protein cut-like 1 antibody [EPR26508-67] - BSA and Azide free

Key facts

Host species

Rabbit

Clonality

Monoclonal

Clone number

EPR26508-67

Isotype

IgG

Carrier free

No

Reacts with

Rat, Human, Mouse

Applications

IHC-P, ICC/IF, IP, WB

applications

Immunogen

The exact immunogen used to generate this antibody is proprietary information.

Reactivity data

{ "title": "Reactivity Data", "filters": { "stats": ["", "Species", "Dilution Info", "Notes"], "tabs": { "all-applications": {"fullname" : "All Applications", "shortname": "All Applications"}, "WB" : {"fullname" : "Western blot", "shortname":"WB"}, "ICCIF" : {"fullname" : "Immunocytochemistry/ Immunofluorescence", "shortname":"ICC/IF"}, "IP" : {"fullname" : "Immunoprecipitation", "shortname":"IP"}, "IHCP" : {"fullname" : "Immunohistochemistry (Formalin/PFA-fixed paraffin-embedded sections)", "shortname":"IHC-P"}, "FlowCytIntra" : {"fullname" : "Flow Cytometry (Intracellular)", "shortname":"Flow Cyt (Intra)"} }, "product-promise": { "all": "all", "testedAndGuaranteed": "tested", "guaranteed": "expected", "predicted": "predicted", "notRecommended": "not-recommended" } }, "values": { "Human": { "WB-species-checked": "testedAndGuaranteed", "WB-species-dilution-info": "1/1000", "WB-species-notes": "<p></p>", "ICCIF-species-checked": "testedAndGuaranteed", "ICCIF-species-dilution-info": "1/50", "ICCIF-species-notes": "<p></p>", "IP-species-checked": "testedAndGuaranteed", "IP-species-dilution-info": "1/30", "IP-species-notes": "<p></p>", "IHCP-species-checked": "notRecommended", "IHCP-species-dilution-info": "1/1000", "IHCP-species-notes": "<p></p> Perform heat-mediated antigen retrieval with Tris/EDTA buffer pH 9.0 before commencing with IHC staining protocol.", "FlowCytIntra-species-checked": "notRecommended", "FlowCytIntra-species-dilution-info": "", "FlowCytIntra-species-notes": "<p></p>" }, "Mouse": { "WB-species-checked": "testedAndGuaranteed", "WB-species-dilution-info": "1/1000", "WB-species-notes": "<p></p>", "ICCIF-species-checked": "notRecommended", "ICCIF-species-dilution-info": "1/50", "ICCIF-species-notes": "<p></p>", "IP-species-checked": "testedAndGuaranteed", "IP-species-dilution-info": "1/30", "IP-species-notes": "<p></p>", "IHCP-species-checked": "testedAndGuaranteed", "IHCP-species-dilution-info": "1/1000", "IHCP-species-notes": "<p></p> Perform heat-mediated antigen retrieval with Tris/EDTA buffer pH 9.0 before commencing with IHC staining protocol.", "FlowCytIntra-species-checked": "notRecommended", "FlowCytIntra-species-dilution-info": "", "FlowCytIntra-species-notes": "<p></p>" }, "Rat": { "WB-species-checked": "testedAndGuaranteed", "WB-species-dilution-info": "1/1000", "WB-species-notes": "<p></p>", "ICCIF-species-checked": "guaranteed", "ICCIF-species-dilution-info": "", "ICCIF-species-notes": "", "IP-species-checked": "guaranteed", "IP-species-dilution-info": "", "IP-species-notes": "", "IHCP-species-checked": "testedAndGuaranteed", "IHCP-species-dilution-info": "1/1000", "IHCP-species-notes": "<p></p> Perform heat-mediated antigen retrieval with Tris/EDTA buffer pH 9.0 before commencing with IHC staining protocol.", "FlowCytIntra-species-checked": "notRecommended", "FlowCytIntra-species-dilution-info": "", "FlowCytIntra-species-notes": "" } } }

Product details

Patented technology
Our RabMAb® technology is a patented hybridoma-based technology for making rabbit monoclonal antibodies. For details on our patents, please refer to RabMAb® patents.

What are the advantages of a recombinant monoclonal antibody?
This product is a recombinant monoclonal antibody, which offers several advantages including:

  • - High batch-to-batch consistency and reproducibility
  • - Improved sensitivity and specificity
  • - Long-term security of supply
  • - Animal-free batch production

For more information, read more on recombinant antibodies.

Properties and storage information

Form
Liquid
Purification technique
Affinity purification Protein A
Storage buffer
pH: 7.2 - 7.4 Preservative: 0.01% Sodium azide Constituents: PBS, 40% Glycerol (glycerin, glycerine), 0.05% BSA
Shipped at conditions
Blue Ice
Appropriate short-term storage duration
1-2 weeks
Appropriate short-term storage conditions
+4°C
Appropriate long-term storage conditions
-20°C
Aliquoting information
Upon delivery aliquot
Storage information
Avoid freeze / thaw cycle

Supplementary information

This supplementary information is collated from multiple sources and compiled automatically.

The Homeobox protein cut-like 1 often abbreviated as CUX1 functions as a transcription factor involved in the regulation of gene expression. It has an approximate mass of 110 kDa. CUX1 localizes mainly in the nucleus and is widely expressed in various tissues with higher levels observed in the thymus spleen and testis. This protein plays a significant role in cell cycle progression particularly during the S phase where it aids in DNA replication and repair.
Biological function summary

CUX1 regulates the transcription of genes involved in cell proliferation and differentiation. It forms part of a larger transcriptional complex often interacting with other transcription factors and co-regulators to exert its effects. CUX1 influences several developmental processes including hematopoiesis and neuronal differentiation highlighting its broad involvement in cellular function and development.

Pathways

CUX1 interacts within key signaling pathways such as the Wnt signaling and TGF-beta pathways. It plays a role in modulating the expression of genes controlled by these pathways impacting cell fate and proliferation. CUX1 often cooperates with other proteins such as SMADs in the TGF-beta pathway to execute complex regulatory functions. This partnership highlights the integrative role of CUX1 in cellular signaling networks that maintain homeostasis.

CUX1 has been linked to oncogenesis particularly in cancers such as breast cancer and leukemia. Alterations in CUX1 expression or function can lead to uncontrolled cell proliferation as seen in these cancers. Additionally CUX1 interacts with proteins like TP53 in cancer contexts modulating apoptosis and cellular stress responses. These interactions and effects demonstrate the pivotal involvement of CUX1 in the pathogenesis of certain diseases making it a potential target for therapeutic intervention.

Product protocols

For this product, it's our understanding that no specific protocols are required. You can visit:

Target data

Transcription factor involved in the control of neuronal differentiation in the brain. Regulates dendrite development and branching, and dendritic spine formation in cortical layers II-III. Also involved in the control of synaptogenesis. In addition, it has probably a broad role in mammalian development as a repressor of developmentally regulated gene expression. May act by preventing binding of positively-activing CCAAT factors to promoters. Component of nf-munr repressor; binds to the matrix attachment regions (MARs) (5' and 3') of the immunoglobulin heavy chain enhancer. Represses T-cell receptor (TCR) beta enhancer function by binding to MARbeta, an ATC-rich DNA sequence located upstream of the TCR beta enhancer. Binds to the TH enhancer; may require the basic helix-loop-helix protein TCF4 as a coactivator.. CDP/Cux p110. Plays a role in cell cycle progression, in particular at the G1/S transition. As cells progress into S phase, a fraction of CUX1 molecules is proteolytically processed into N-terminally truncated proteins of 110 kDa. While CUX1 only transiently binds to DNA and carries the CCAAT-displacement activity, CDP/Cux p110 makes a stable interaction with DNA and stimulates expression of genes such as POLA1.
See full target information CUX1

Product promise

We are committed to supporting your work with high-quality reagents, and we're here for you every step of the way. In the unlikely event that one of our products does not perform as expected, you're protected by our Product Promise.
For full details, please see our Terms & Conditions

Please note: All products are 'FOR RESEARCH USE ONLY. NOT FOR USE IN DIAGNOSTIC OR THERAPEUTIC PROCEDURES'.

For licensing inquiries, please contact partnerships@abcam.com