JavaScript is disabled in your browser. Please enable JavaScript to view this website.
AB269952

Anti-Homer1 antibody [EPR23178-35] - BSA and Azide free

Be the first to review this product! Submit a review

|

(0 Publication)

Rabbit Recombinant Monoclonal Homer1 antibody. Carrier free. Suitable for IP, WB, IHC-P and reacts with Mouse, Rat samples.

View Alternative Names

Vesl1, Homer1, Homer protein homolog 1, Homer-1, VASP/Ena-related gene up-regulated during seizure and LTP 1, Vesl-1

6 Images
Immunohistochemistry (Formalin/PFA-fixed paraffin-embedded sections) - Anti-Homer1 antibody [EPR23178-35] - BSA and Azide free (AB269952)
  • IHC-P

Supplier Data

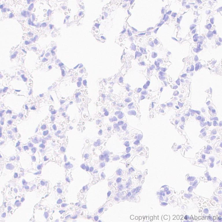
Immunohistochemistry (Formalin/PFA-fixed paraffin-embedded sections) - Anti-Homer1 antibody [EPR23178-35] - BSA and Azide free (AB269952)

This data was developed using the same antibody clone in a different buffer formulation containing PBS, BSA, glycerol, and sodium azide (ab245231).

Immunohistochemical analysis of paraffin-embedded rat lung with ab245231 at 1/4000 dilution, followed by a ready to use LeicaDS9800 (Bond™ Polymer Refine Detection)

Negative control : No staining on rat lung.

The section was incubated with ab245231 for 30 mins at room temperature.

The immunostaining was performed on a Leica Biosystems BOND RX instrument.

Counterstained with Hematoxylin.

Heat mediated antigen retrieval was performed with Tris-EDTA buffer (pH 9.0, Epitope Retrieval Solution2) for 20 mins.

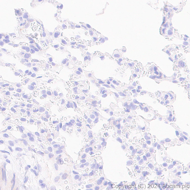
Immunohistochemistry (Formalin/PFA-fixed paraffin-embedded sections) - Anti-Homer1 antibody [EPR23178-35] - BSA and Azide free (AB269952)
  • IHC-P

Supplier Data

Immunohistochemistry (Formalin/PFA-fixed paraffin-embedded sections) - Anti-Homer1 antibody [EPR23178-35] - BSA and Azide free (AB269952)

This data was developed using the same antibody clone in a different buffer formulation containing PBS, BSA, glycerol, and sodium azide (ab245231).

Immunohistochemical analysis of paraffin-embedded mouse lung with ab245231 at 1/4000 dilution, followed by a ready to use LeicaDS9800 (Bond™ Polymer Refine Detection)

Negative control : No staining on mouse lung (PMID : 9808458).

The section was incubated with ab245231 for 30 mins at room temperature.

The immunostaining was performed on a Leica Biosystems BOND RX instrument.

Counterstained with Hematoxylin.

Heat mediated antigen retrieval was performed with Tris-EDTA buffer (pH 9.0, Epitope Retrieval Solution2) for 20 mins.

Immunohistochemistry (Formalin/PFA-fixed paraffin-embedded sections) - Anti-Homer1 antibody [EPR23178-35] - BSA and Azide free (AB269952)
  • IHC-P

Supplier Data

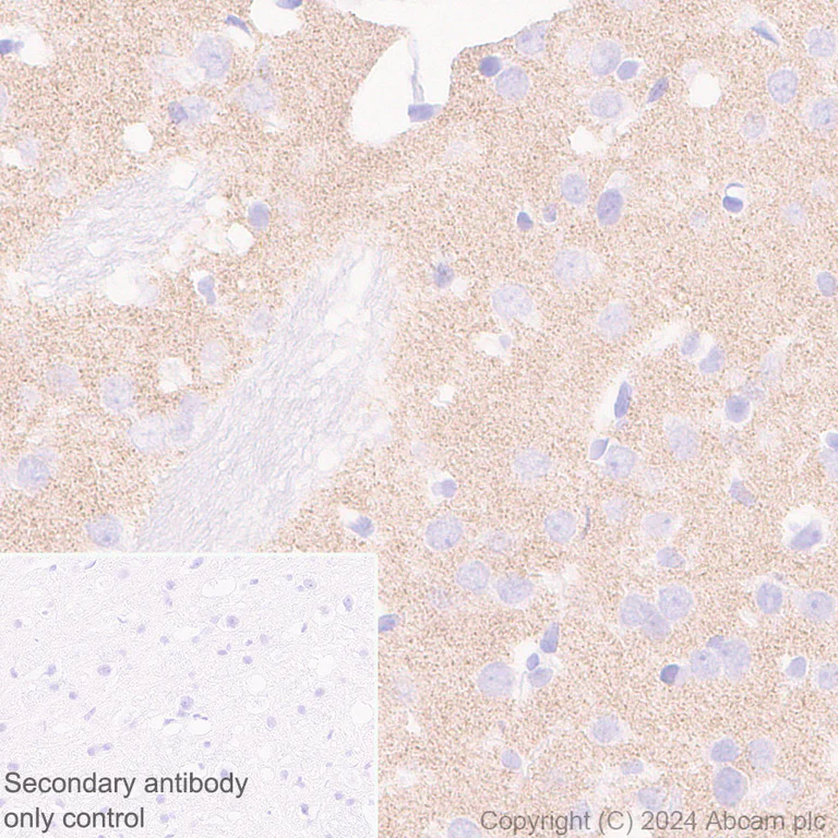
Immunohistochemistry (Formalin/PFA-fixed paraffin-embedded sections) - Anti-Homer1 antibody [EPR23178-35] - BSA and Azide free (AB269952)

This data was developed using the same antibody clone in a different buffer formulation containing PBS BSA glycerol and sodium azide (ab245231).

Immunohistochemical analysis of paraffin-embedded rat cerebrum labelling Homer1 with ab245231 at 1/4000 dilution followed by a ready to useLeicaDS9800 (Bond™ Polymer Refine Detection.

Positive staining on rat cerebrum.
The section was incubated with ab245231 for 30 mins at room temperature.
The immunostaining was performed on a Leica Biosystems BOND RX instrument.

Counterstained with Hematoxylin.

Immunohistochemistry (Formalin/PFA-fixed paraffin-embedded sections) - Anti-Homer1 antibody [EPR23178-35] - BSA and Azide free (AB269952)
  • IHC-P

Supplier Data

Immunohistochemistry (Formalin/PFA-fixed paraffin-embedded sections) - Anti-Homer1 antibody [EPR23178-35] - BSA and Azide free (AB269952)

This data was developed using the same antibody clone in a different buffer formulation containing PBS BSA glycerol and sodium azide (ab245231).

Immunohistochemical analysis of paraffin-embedded mouse cerebrum labelling Homer1 with ab245231 at 1/4000 dilution followed by a ready to useLeicaDS9800 (Bond™ Polymer Refine Detection.

Positive staining on mouse cerebrum (PMID : 9808458 ).
The section was incubated with ab245231 for 30 mins at room temperature.
The immunostaining was performed on a Leica Biosystems BOND RX instrument.

Counterstained with Hematoxylin.

Heat mediated antigen retrieval was performed with Tris-EDTA buffer (pH 9.0 Epitope Retrieval Solution2) for 20 mins.

Immunoprecipitation - Anti-Homer1 antibody [EPR23178-35] - BSA and Azide free (AB269952)
  • IP

Lab

Immunoprecipitation - Anti-Homer1 antibody [EPR23178-35] - BSA and Azide free (AB269952)

Homer1 was immunoprecipitated from 0.35 mg Mouse brain lysate with ab245231 at 1/30 dilution. Western blot was performed on the immunoprecipitate using ab245231 1/1000 dilution. VeriBlot for IP Detection Reagent (HRP)(ab131366) was used at 1/5000 dilution.

Lane 1 : Mouse brain lysate 10 μg

Lane 2 : ab245231 IP in Mouse brain lysate

Lane 3 : Rabbit monoclonal IgG (ab172730) instead of ab245231 in Mouse brain lysate.

Blocking and dilution buffer and concentration : 5% NFDM/TBST.

Exposure time : 15 seconds

This data was developed using the same antibody clone in a different buffer formulation containing PBS, BSA, glycerol, and sodium azide (ab245231).

All lanes:

Immunoprecipitation - Anti-Homer1 antibody [EPR23178-35] (<a href='/en-us/products/primary-antibodies/homer1-antibody-epr23178-35-ab245231'>ab245231</a>)

Predicted band size: 40 kDa

Observed band size: 41 kDa

false

Exposure time: 15s

Western blot - Anti-Homer1 antibody [EPR23178-35] - BSA and Azide free (AB269952)
  • WB

Lab

Western blot - Anti-Homer1 antibody [EPR23178-35] - BSA and Azide free (AB269952)

All lanes:

Western blot - Anti-Homer1 antibody [EPR23178-35] (<a href='/en-us/products/primary-antibodies/homer1-antibody-epr23178-35-ab245231'>ab245231</a>) at 1/1000 dilution

Lane 1:

Mouse brain tissue lysate at 20 µg

Lane 2:

Mouse hippocampus tissue lysate at 20 µg

Lane 3:

Mouse lung tissue lysate at 20 µg

Lane 4:

Rat brain tissue lysate at 20 µg

Lane 5:

Rat hippocampus tissue lysate at 20 µg

Secondary

All lanes:

Western blot - Goat Anti-Rabbit IgG H&L (HRP) (<a href='/en-us/products/secondary-antibodies/goat-rabbit-igg-h-l-hrp-ab97051'>ab97051</a>) at 1/100000 dilution

Predicted band size: 40 kDa

Observed band size: 41 kDa

false

Key facts

Host species

Rabbit

Clonality

Monoclonal

Clone number

EPR23178-35

Isotype

IgG

Carrier free

Yes

Reacts with

Mouse, Rat

Applications

IHC-P, IP, WB

applications

Immunogen

The exact immunogen used to generate this antibody is proprietary information.

Reactivity data

{ "title": "Reactivity Data", "filters": { "stats": ["", "Species", "Dilution Info", "Notes"], "tabs": { "all-applications": {"fullname" : "All Applications", "shortname": "All Applications"}, "IP" : {"fullname" : "Immunoprecipitation", "shortname":"IP"}, "WB" : {"fullname" : "Western blot", "shortname":"WB"}, "IHCP" : {"fullname" : "Immunohistochemistry (Formalin/PFA-fixed paraffin-embedded sections)", "shortname":"IHC-P"}, "ICCIF" : {"fullname" : "Immunocytochemistry/ Immunofluorescence", "shortname":"ICC/IF"}, "IHCFr" : {"fullname" : "Immunohistochemistry (Frozen sections)", "shortname":"IHC-Fr"} }, "product-promise": { "all": "all", "testedAndGuaranteed": "tested", "guaranteed": "expected", "predicted": "predicted", "notRecommended": "not-recommended" } }, "values": { "Human": { "IP-species-checked": "notRecommended", "IP-species-dilution-info": "", "IP-species-notes": "", "WB-species-checked": "notRecommended", "WB-species-dilution-info": "", "WB-species-notes": "<p></p>", "IHCP-species-checked": "notRecommended", "IHCP-species-dilution-info": "", "IHCP-species-notes": "<p></p>", "ICCIF-species-checked": "notRecommended", "ICCIF-species-dilution-info": "", "ICCIF-species-notes": "", "IHCFr-species-checked": "notRecommended", "IHCFr-species-dilution-info": "", "IHCFr-species-notes": "" }, "Mouse": { "IP-species-checked": "testedAndGuaranteed", "IP-species-dilution-info": "", "IP-species-notes": "<p></p>", "WB-species-checked": "testedAndGuaranteed", "WB-species-dilution-info": "", "WB-species-notes": "<p></p>", "IHCP-species-checked": "testedAndGuaranteed", "IHCP-species-dilution-info": "1/4000", "IHCP-species-notes": "<p></p>", "ICCIF-species-checked": "notRecommended", "ICCIF-species-dilution-info": "", "ICCIF-species-notes": "<p></p>", "IHCFr-species-checked": "notRecommended", "IHCFr-species-dilution-info": "", "IHCFr-species-notes": "<p></p>" }, "Rat": { "IP-species-checked": "notRecommended", "IP-species-dilution-info": "", "IP-species-notes": "<p></p>", "WB-species-checked": "testedAndGuaranteed", "WB-species-dilution-info": "", "WB-species-notes": "<p></p>", "IHCP-species-checked": "testedAndGuaranteed", "IHCP-species-dilution-info": "1/4000", "IHCP-species-notes": "<p></p>", "ICCIF-species-checked": "notRecommended", "ICCIF-species-dilution-info": "", "ICCIF-species-notes": "<p></p>", "IHCFr-species-checked": "notRecommended", "IHCFr-species-dilution-info": "", "IHCFr-species-notes": "<p></p>" } } }

Product details

ab269952 is the carrier-free version of ab245231.

Patented technology
Our RabMAb® technology is a patented hybridoma-based technology for making rabbit monoclonal antibodies. For details on our patents, please refer to RabMAb® patents.

What are the advantages of a recombinant monoclonal antibody?
This product is a recombinant monoclonal antibody, which offers several advantages including:

  • - High batch-to-batch consistency and reproducibility
  • - Improved sensitivity and specificity
  • - Long-term security of supply
  • - Animal-free batch production

For more information, read more on recombinant antibodies.

Conjugation ready
Our carrier-free antibodies are typically supplied in a PBS-only formulation, purified and free of BSA, sodium azide and glycerol. This conjugation-ready format is designed for use with fluorochromes, metal isotopes, oligonucleotides, and enzymes, which makes them ideal for antibody labelling, functional and cell-based assays, flow-based assays (e.g. mass cytometry) and Multiplex Imaging applications.

Use our conjugation kits for antibody conjugates that are ready-to-use in as little as 20 minutes with 1 minute hands-on-time and 100% antibody recovery: available for fluorescent dyes, HRP, biotin and gold.

Compatibility
This product is compatible with the Maxpar® Antibody Labeling Kit from Fluidigm, without the need for antibody preparation. Maxpar® is a trademark of Fluidigm Canada Inc.

Properties and storage information

Form
Liquid
Purification technique
Affinity purification Protein A
Storage buffer
pH: 7.2 - 7.4 Constituents: PBS
Shipped at conditions
Blue Ice
Appropriate short-term storage conditions
+4°C
Appropriate long-term storage conditions
+4°C
Storage information
Do Not Freeze

Supplementary information

This supplementary information is collated from multiple sources and compiled automatically.

Homer1 also known as HOMER is a scaffolding protein with a mass of approximately 45 kDa. It functions in organizing receptor signaling complexes notably interacting with metabotropic glutamate receptors (mGluRs) and certain transient receptor potential (TRP) channels. Homer1 exists mainly in the postsynaptic density of excitatory synapses in the brain indicating its strong expression in neuronal tissues. It has multiple isoforms with the isoform 1a often being highlighted in various research contexts.
Biological function summary

Homer1 plays an important role in synaptic plasticity and intracellular calcium signaling. As part of a complex Homer1 aids in linking mGluRs to other proteins stabilizing receptor signaling and contributing to the regulation of calcium homeostasis within the cell. This scaffolding action has implications for the modulation of signal transduction pathways that maintain neuronal communication and synaptic efficacy.

Pathways

Homer1 interacts significantly with the mGluR signaling pathway and the calcium signaling pathway. These interactions place Homer1 at a nexus of neuronal signal propagation. Related proteins in this context include the mGluR1 and mGluR5 which in sync with Homer1 form a network ensuring proper synaptic response to neurotransmitters. TRPC channels are also closely related as Homer1 helps modulate their activity through dynamic assembly with mGluR complexes.

Homer1 shows involvement in various neurological conditions such as schizophrenia and autism spectrum disorders. Abnormalities in Homer1 expression or function are linked to disrupted synaptic signaling which contributes to the pathophysiology of these disorders. Within these disease frameworks proteins like mGluR5 collaborate with Homer1 and serve as focal points in understanding the disrupted signaling mechanisms underlying these conditions.

Product protocols

For this product, it's our understanding that no specific protocols are required. You can visit:

Target data

Postsynaptic density scaffolding protein. Binds and cross-links cytoplasmic regions of GRM1, GRM5, ITPR1, DNM3, RYR1, RYR2, SHANK1 and SHANK3. By physically linking GRM1 and GRM5 with ER-associated ITPR1 receptors, it aids the coupling of surface receptors to intracellular calcium release. May also couple GRM1 to PI3 kinase through its interaction with AGAP2. Isoform 1 regulates the trafficking and surface expression of GRM5. Differentially regulates the functions of the calcium activated channel ryanodine receptors RYR1 and RYR2. Isoform 1 decreases the activity of RYR2, and increases the activity of RYR1, whereas isoform 5 counteracts the effects by competing for binding sites. Isoform 3 regulates the trafficking and surface expression of GRM5. Isoform 5 acts as a natural dominant negative, in dynamic competition with constitutively expressed isoform 1, isoform 2 and isoform 3 to regulate synaptic metabotropic glutamate function. Isoform 5, may be involved in the structural changes that occur at synapses during long-lasting neuronal plasticity and development (By similarity). Forms a high-order complex with SHANK1, which in turn is necessary for the structural and functional integrity of dendritic spines (By similarity). Negatively regulates T cell activation by inhibiting the calcineurin-NFAT pathway. Acts by competing with calcineurin/PPP3CA for NFAT protein binding, hence preventing NFAT activation by PPP3CA (By similarity).
See full target information Homer1

Product promise

We are committed to supporting your work with high-quality reagents, and we're here for you every step of the way. In the unlikely event that one of our products does not perform as expected, you're protected by our Product Promise.
For full details, please see our Terms & Conditions

Please note: All products are 'FOR RESEARCH USE ONLY. NOT FOR USE IN DIAGNOSTIC OR THERAPEUTIC PROCEDURES'.

For licensing inquiries, please contact partnerships@abcam.com