JavaScript is disabled in your browser. Please enable JavaScript to view this website.
AB316288

Anti-Homer1 antibody [RM1121] - BSA and Azide free

Be the first to review this product! Submit a review

|

(0 Publication)

Rabbit Recombinant Multiclonal Homer1 antibody. Carrier free. Suitable for IHC-P, IHC-Fr, IP, WB and reacts with Human, Mouse, Rat samples.

View Alternative Names

SYN47, HOMER1, Homer protein homolog 1, Homer-1

16 Images
Immunohistochemistry (Formalin/PFA-fixed paraffin-embedded sections) - Anti-Homer1 antibody [RM1121] - BSA and Azide free (AB316288)
  • IHC-P

Supplier Data

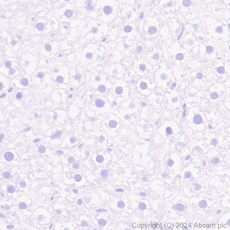
Immunohistochemistry (Formalin/PFA-fixed paraffin-embedded sections) - Anti-Homer1 antibody [RM1121] - BSA and Azide free (AB316288)

This data was developed using ab316287, the same antibody clone in a different buffer formulation.

Immunohistochemical analysis of paraffin-embedded Human liver tissue labeling Homer1 with ab316287 at 1/1000 (0.518 ug/ml) dilution, followed by a ready to use LeicaDS9800 (Bond™ Polymer Refine Detection).

Negative control : no staining on the human liver. The section was incubated with ab316287 for 30 mins at room temperature.
The immunostaining was performed on a Leica Biosystems BOND® RX instrument.

Counterstained with Hematoxylin.

Secondary antibody only control : Secondary antibody is a ready to use LeicaDS9800 (Bond™ Polymer Refine Detection).

Heat mediated antigen retrieval was performed with Citrate buffer (pH 6.0, Epitope Retrieval Solution 1) for 20 mins.

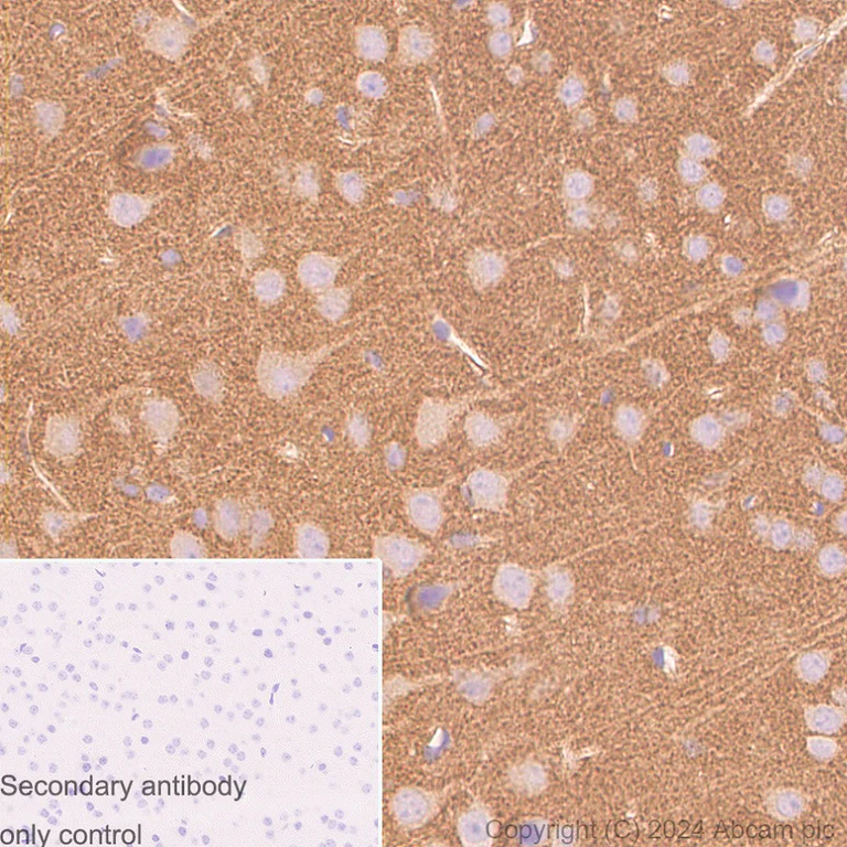
Immunohistochemistry (Formalin/PFA-fixed paraffin-embedded sections) - Anti-Homer1 antibody [RM1121] - BSA and Azide free (AB316288)
  • IHC-P

Supplier Data

Immunohistochemistry (Formalin/PFA-fixed paraffin-embedded sections) - Anti-Homer1 antibody [RM1121] - BSA and Azide free (AB316288)

This data was developed using ab316287, the same antibody clone in a different buffer formulation.

Immunohistochemical analysis of paraffin-embedded Human cerebrum tissue labeling Homer1 with ab316287 at 1/1000 (0.518 ug/ml) dilution, followed by a ready to use LeicaDS9800 (Bond™ Polymer Refine Detection).

Positive staining on the human cerebrum in ab316287 (Image A) and weak stainning on the human cerebrum in ab97593 (Image B).
The image A is applied with Anti-Homer1 antibody (ab316287) at 1/1000 dilution and the image B is applied with Anti-Homer1 antibody (ab97593) at 1/200 dilution.
The section was incubated with ab316287 or ab97593 for 30 mins at room temperature.
The immunostaining was performed on a Leica Biosystems BOND® RX instrument.

Counterstained with Hematoxylin.

Secondary antibody only control : Secondary antibody is a ready to use LeicaDS9800 (Bond™ Polymer Refine Detection).

Heat mediated antigen retrieval was performed with Citrate buffer (pH 6.0, Epitope Retrieval Solution 1) for 20 mins.

Immunoprecipitation - Anti-Homer1 antibody [RM1121] - BSA and Azide free (AB316288)
  • IP

Supplier Data

Immunoprecipitation - Anti-Homer1 antibody [RM1121] - BSA and Azide free (AB316288)

This data was developed using ab316287, the same antibody clone in a different buffer formulation.

Homer1 was immunoprecipitated from 0.35 mg Human brain tissue lysate with ab316287 at 1/30 dilution (2ug in 0.35mg lysates). Western blot was performed on the immunoprecipitate using ab316287 at 1/1000 dilution. VeriBlot for IP secondary antibody(HRP)(ab131366) was used at 1/5000 dilution.

Lane 1 : Human brain tissue lysate
Lane 2 : ab316287 IP in Human brain tissue lysate
Lane 3 : Rabbit monoclonal IgG (ab172730) instead of ab316287 in human brain tissue lysate

All lanes:

Immunoprecipitation - Anti-Homer1 antibody [RM1121] (<a href='/en-us/products/primary-antibodies/homer1-antibody-rm1121-ab316287'>ab316287</a>) at 1/30 dilution

All lanes:

Human brain tissue lysate with 5% NFDM/TBST

Secondary

All lanes:

Immunoprecipitation - VeriBlot for IP Detection Reagent (HRP) (<a href='/en-us/products/reagents/veriblot-for-ip-detection-reagent-hrp-ab131366'>ab131366</a>)

false

Exposure time: 15s

Immunohistochemistry (Frozen sections) - Anti-Homer1 antibody [RM1121] - BSA and Azide free (AB316288)
  • IHC-Fr

Supplier Data

Immunohistochemistry (Frozen sections) - Anti-Homer1 antibody [RM1121] - BSA and Azide free (AB316288)

This data was developed using ab316287, the same antibody clone in a different buffer formulation.

Immunohistochemical analysis of 4% PFA-fixed, 0.2% Triton X-100 permeabilized frozen Mouse liver (fresh frozen) tissue labeling Homer1 with ab316287 at 1/500 (1.036 ug/ml) dilution followed by ab150081 Goat Anti-Rabbit IgG H&L (Alexa Fluor® 488) preadsorbed at 1/1000 (2 ug/mL) dilution (Green).

Negative control : confocal image showing no staining on mouse liver (PMID : 10651798). The nuclear counterstain was DAPI (Blue). The section was incubated with ab316287 for 60 mins at room temperature. The section was then mounted using Fluoromount®.The immunostaining was performed on a Leica Biosystems BOND® RX instrument. Image was taken with a confocal microscope (Leica-Microsystems, TCS SP8).

Secondary antibody control : Secondary antibody is ab150081 Goat Anti-Rabbit IgG H&L (Alexa Fluor® 488) preadsorbedat 1/1000 (2 ug/mL) dilution.

Immunohistochemistry (Formalin/PFA-fixed paraffin-embedded sections) - Anti-Homer1 antibody [RM1121] - BSA and Azide free (AB316288)
  • IHC-P

Supplier Data

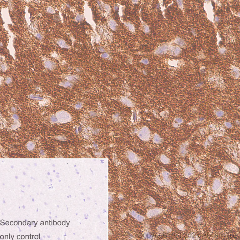
Immunohistochemistry (Formalin/PFA-fixed paraffin-embedded sections) - Anti-Homer1 antibody [RM1121] - BSA and Azide free (AB316288)

This data was developed using ab316287, the same antibody clone in a different buffer formulation.

Immunohistochemical analysis of paraffin-embedded Mouse cerebrum tissue labeling Homer1 with ab316287 at 1/1000 (0.518 ug/ml) dilution, followed by a ready to use LeicaDS9800 (Bond™ Polymer Refine Detection).

Positive staining on the mouse cerebrum. The section was incubated with ab316287 for 30 mins at room temperature.
The immunostaining was performed on a Leica Biosystems BOND® RX instrument.

Counterstained with Hematoxylin.

Secondary antibody only control : Secondary antibody is a ready to use LeicaDS9800 (Bond™ Polymer Refine Detection).

Heat mediated antigen retrieval was performed with Citrate buffer (pH 6.0, Epitope Retrieval Solution 1) for 20 mins.

Immunohistochemistry (Formalin/PFA-fixed paraffin-embedded sections) - Anti-Homer1 antibody [RM1121] - BSA and Azide free (AB316288)
  • IHC-P

Supplier Data

Immunohistochemistry (Formalin/PFA-fixed paraffin-embedded sections) - Anti-Homer1 antibody [RM1121] - BSA and Azide free (AB316288)

This data was developed using ab316287, the same antibody clone in a different buffer formulation.

Immunohistochemical analysis of paraffin-embedded Rat cerebrum tissue labeling Homer1 with ab316287 at 1/1000 (0.518 ug/ml) dilution, followed by a ready to use LeicaDS9800 (Bond™ Polymer Refine Detection).

Positive staining on the rat cerebrum. The section was incubated with ab316287 for 30 mins at room temperature.
The immunostaining was performed on a Leica Biosystems BOND® RX instrument.

Counterstained with Hematoxylin.

Secondary antibody only control : Secondary antibody is a ready to use LeicaDS9800 (Bond™ Polymer Refine Detection).

Heat mediated antigen retrieval was performed with Citrate buffer (pH 6.0, Epitope Retrieval Solution 1) for 20 mins.

Immunohistochemistry (Frozen sections) - Anti-Homer1 antibody [RM1121] - BSA and Azide free (AB316288)
  • IHC-Fr

Supplier Data

Immunohistochemistry (Frozen sections) - Anti-Homer1 antibody [RM1121] - BSA and Azide free (AB316288)

This data was developed using ab316287, the same antibody clone in a different buffer formulation.

Immunohistochemical analysis of 4% PFA-fixed, 0.2% Triton X-100 permeabilized frozen Mouse cerebrum (fresh frozen) tissue labeling Homer1 with ab316287 at 1/500 (1.036 ug/ml) dilution followed by ab150081 Goat Anti-Rabbit IgG H&L (Alexa Fluor® 488) preadsorbed at 1/1000 (2 ug/mL) dilution (Green).

Panel A : merged staining of anti-Homer1 (ab316287, green), anti-NeuN (ab190565, grey) and anti-GFAP (ab201732, red) on mouse cerebrum.
Panel B : anti-Homer1 stained on mouse cerebrum.
Panel C : anti-NeuN stained in neurons of mouse cerebrum.
Panel D : anti-GFAP stained in astrocytes of mouse cerebrum.
The nuclear counterstain was DAPI (Blue). The section was incubated with ab316287 for 60 mins at room temperature. The section was then mounted using Fluoromount®.The immunostaining was performed on a Leica Biosystems BOND® RX instrument. Image was taken with a confocal microscope (Leica-Microsystems, TCS SP8).

Secondary antibody control : Secondary antibody is ab150081 Goat Anti-Rabbit IgG H&L (Alexa Fluor® 488) preadsorbedat 1/1000 (2 ug/mL) dilution.

Immunohistochemistry (Frozen sections) - Anti-Homer1 antibody [RM1121] - BSA and Azide free (AB316288)
  • IHC-Fr

Supplier Data

Immunohistochemistry (Frozen sections) - Anti-Homer1 antibody [RM1121] - BSA and Azide free (AB316288)

This data was developed using ab316287, the same antibody clone in a different buffer formulation.

Immunohistochemical analysis of 4% PFA-fixed, 0.2% Triton X-100 permeabilized frozen Rat cerebrum (fresh frozen) tissue labeling Homer1 with ab316287 at 1/500 (1.036 ug/ml) dilution followed by ab150081 Goat Anti-Rabbit IgG H&L (Alexa Fluor® 488) preadsorbed at 1/1000 (2 ug/mL) dilution (Green).

Panel A : merged staining of anti-Homer1 (ab316287, green), anti-NeuN (ab190565, grey) and anti-GFAP (ab201732, red) on rat cerebrum.
Panel B : anti-Homer1 stained on rat cerebrum.
Panel C : anti-NeuN stained in neurons of rat cerebrum.
Panel D : anti-GFAP stained in astrocytes of rat cerebrum.
The nuclear counterstain was DAPI (Blue). The section was incubated with ab316287 for 60 mins at room temperature. The section was then mounted using Fluoromount®.The immunostaining was performed on a Leica Biosystems BOND® RX instrument. Image was taken with a confocal microscope (Leica-Microsystems, TCS SP8).

Secondary antibody control : Secondary antibody is ab150081 Goat Anti-Rabbit IgG H&L (Alexa Fluor® 488) preadsorbedat 1/1000 (2 ug/mL) dilution.

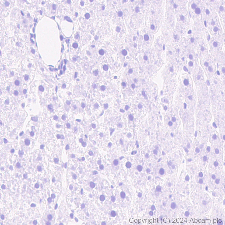
Immunohistochemistry (Formalin/PFA-fixed paraffin-embedded sections) - Anti-Homer1 antibody [RM1121] - BSA and Azide free (AB316288)
  • IHC-P

Supplier Data

Immunohistochemistry (Formalin/PFA-fixed paraffin-embedded sections) - Anti-Homer1 antibody [RM1121] - BSA and Azide free (AB316288)

This data was developed using ab316287, the same antibody clone in a different buffer formulation.

Immunohistochemical analysis of paraffin-embedded Mouse liver tissue labeling Homer1 with ab316287 at 1/1000 (0.518 ug/ml) dilution, followed by a ready to use LeicaDS9800 (Bond™ Polymer Refine Detection).

Negative control : no staining on the mouse liver (PMID : 10651798). The section was incubated with ab316287 for 30 mins at room temperature.
The immunostaining was performed on a Leica Biosystems BOND® RX instrument.

Counterstained with Hematoxylin.

Secondary antibody only control : Secondary antibody is a ready to use LeicaDS9800 (Bond™ Polymer Refine Detection).

Heat mediated antigen retrieval was performed with Citrate buffer (pH 6.0, Epitope Retrieval Solution 1) for 20 mins.

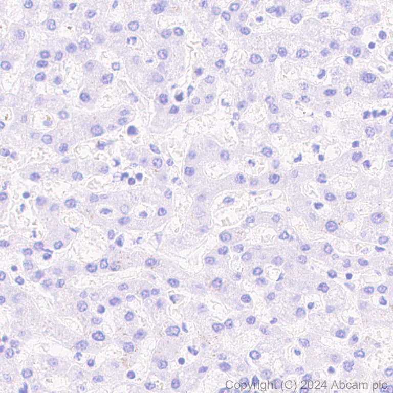
Immunohistochemistry (Formalin/PFA-fixed paraffin-embedded sections) - Anti-Homer1 antibody [RM1121] - BSA and Azide free (AB316288)
  • IHC-P

Supplier Data

Immunohistochemistry (Formalin/PFA-fixed paraffin-embedded sections) - Anti-Homer1 antibody [RM1121] - BSA and Azide free (AB316288)

This data was developed using ab316287, the same antibody clone in a different buffer formulation.

Immunohistochemical analysis of paraffin-embedded Rat liver tissue labeling Homer1 with ab316287 at 1/1000 (0.518 ug/ml) dilution, followed by a ready to use LeicaDS9800 (Bond™ Polymer Refine Detection).

Negative control : no staining on the rat liver. The section was incubated with ab316287 for 30 mins at room temperature.
The immunostaining was performed on a Leica Biosystems BOND® RX instrument.

Counterstained with Hematoxylin.

Secondary antibody only control : Secondary antibody is a ready to use LeicaDS9800 (Bond™ Polymer Refine Detection).

Heat mediated antigen retrieval was performed with Citrate buffer (pH 6.0, Epitope Retrieval Solution 1) for 20 mins.

Immunohistochemistry (Frozen sections) - Anti-Homer1 antibody [RM1121] - BSA and Azide free (AB316288)
  • IHC-Fr

Supplier Data

Immunohistochemistry (Frozen sections) - Anti-Homer1 antibody [RM1121] - BSA and Azide free (AB316288)

This data was developed using ab316287, the same antibody clone in a different buffer formulation.

Immunohistochemical analysis of 4% PFA-fixed, 0.2% Triton X-100 permeabilized frozen Rat liver (fresh frozen) tissue labeling Homer1 with ab316287 at 1/500 (1.036 ug/ml) dilution followed by ab150081 Goat Anti-Rabbit IgG H&L (Alexa Fluor® 488) preadsorbed at 1/1000 (2 ug/mL) dilution (Green).

Negative control : confocal image showing no staining on rat liver. The nuclear counterstain was DAPI (Blue). The section was incubated with ab316287 for 60 mins at room temperature. The section was then mounted using Fluoromount®.The immunostaining was performed on a Leica Biosystems BOND® RX instrument. Image was taken with a confocal microscope (Leica-Microsystems, TCS SP8).

Secondary antibody control : Secondary antibody is ab150081 Goat Anti-Rabbit IgG H&L (Alexa Fluor® 488) preadsorbedat 1/1000 (2 ug/mL) dilution.

Immunoprecipitation - Anti-Homer1 antibody [RM1121] - BSA and Azide free (AB316288)
  • IP

Supplier Data

Immunoprecipitation - Anti-Homer1 antibody [RM1121] - BSA and Azide free (AB316288)

This data was developed using ab316287, the same antibody clone in a different buffer formulation.

Homer1 was immunoprecipitated from 0.35 mg Rat brain tissue lysate with ab316287 at 1/30 dilution (2ug in 0.35mg lysates). Western blot was performed on the immunoprecipitate using ab316287 at 1/1000 dilution. VeriBlot for IP secondary antibody(HRP)(ab131366) was used at 1/5000 dilution.

Lane 1 : Rat brain tissue lysate
Lane 2 : ab316287 IP in Rat brain tissue lysate
Lane 3 : Rabbit monoclonal IgG (ab172730) instead of ab316287 in rat brain tissue lysate

All lanes:

Immunoprecipitation - Anti-Homer1 antibody [RM1121] (<a href='/en-us/products/primary-antibodies/homer1-antibody-rm1121-ab316287'>ab316287</a>) at 1/30 dilution

All lanes:

Rat brain tissue lysate with 5% NFDM/TBST

Secondary

All lanes:

Immunoprecipitation - VeriBlot for IP Detection Reagent (HRP) (<a href='/en-us/products/reagents/veriblot-for-ip-detection-reagent-hrp-ab131366'>ab131366</a>)

false

Exposure time: 6s

Immunoprecipitation - Anti-Homer1 antibody [RM1121] - BSA and Azide free (AB316288)
  • IP

Supplier Data

Immunoprecipitation - Anti-Homer1 antibody [RM1121] - BSA and Azide free (AB316288)

This data was developed using ab316287, the same antibody clone in a different buffer formulation.

Homer1 was immunoprecipitated from 0.35 mg Mouse brain tissue lysate with ab316287 at 1/30 dilution (2ug in 0.35mg lysates). Western blot was performed on the immunoprecipitate using ab316287 at 1/1000 dilution. VeriBlot for IP secondary antibody(HRP)(ab131366) was used at 1/5000 dilution.

Lane 1 : Mouse brain tissue lysate
Lane 2 : ab316287 IP in Mouse brain tissue lysate
Lane 3 : Rabbit monoclonal IgG (ab172730) instead of ab316287 in mouse brain tissue lysate

All lanes:

Immunoprecipitation - Anti-Homer1 antibody [RM1121] (<a href='/en-us/products/primary-antibodies/homer1-antibody-rm1121-ab316287'>ab316287</a>) at 1/30 dilution

All lanes:

Mouse brain tissue lysate with 5% NFDM/TBST

Secondary

All lanes:

Immunoprecipitation - VeriBlot for IP Detection Reagent (HRP) (<a href='/en-us/products/reagents/veriblot-for-ip-detection-reagent-hrp-ab131366'>ab131366</a>)

false

Exposure time: 8s

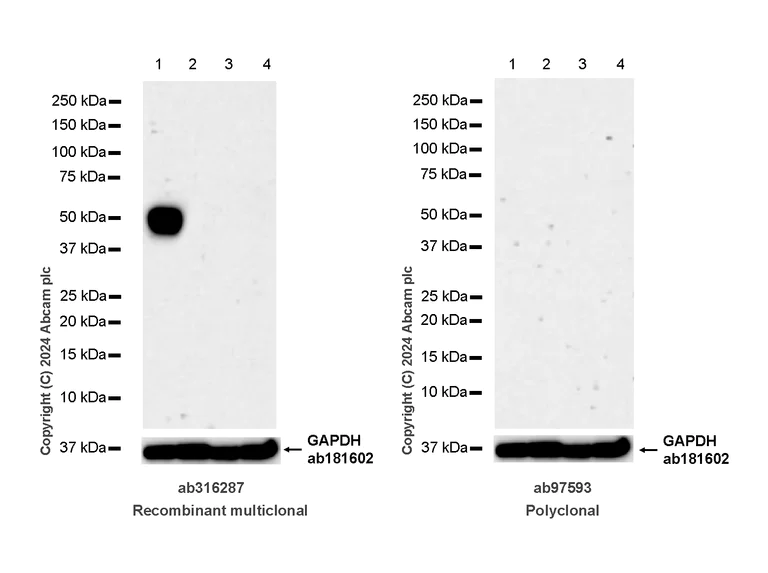
Western blot - Anti-Homer1 antibody [RM1121] - BSA and Azide free (AB316288)
  • WB

Supplier Data

Western blot - Anti-Homer1 antibody [RM1121] - BSA and Azide free (AB316288)

This data was developed using ab316287, the same antibody clone in a different buffer formulation.

Low expression : human heart, human liver and human spleen (PMID : 9808458).

Left Panel is applied with Anti-Homer1 antibody [RM1121] (ab316287) at 1/1000 dilution (0.518 ug/ml); Right panel is applied with Anti-Homer1 antibody (ab97593) at 1/2000 dilution (0.5 ug/ml).

In Western blot, Anti-GAPDH antibody [EPR16891] - Loading Control (ab181602) staining at 1/200000 dilution.

All lanes:

Western blot - Anti-Homer1 antibody [RM1121] (<a href='/en-us/products/primary-antibodies/homer1-antibody-rm1121-ab316287'>ab316287</a>) at 1/1000 dilution

Lane 1:

Human cerebellum tissue lysate at 20 µg with 5% NFDM/TBST

Lane 2:

Human heart tissue lysate at 20 µg with 5% NFDM/TBST

Lane 3:

Human liver tissue lysate at 20 µg with 5% NFDM/TBST

Lane 4:

Human spleen tissue lysate at 20 µg with 5% NFDM/TBST

Secondary

All lanes:

Western blot - Goat Anti-Rabbit IgG H&L (HRP) (<a href='/en-us/products/secondary-antibodies/goat-rabbit-igg-h-l-hrp-ab97051'>ab97051</a>) at 1/100000 dilution

Observed band size: 42 kDa,36 kDa

false

Exposure time: 180s

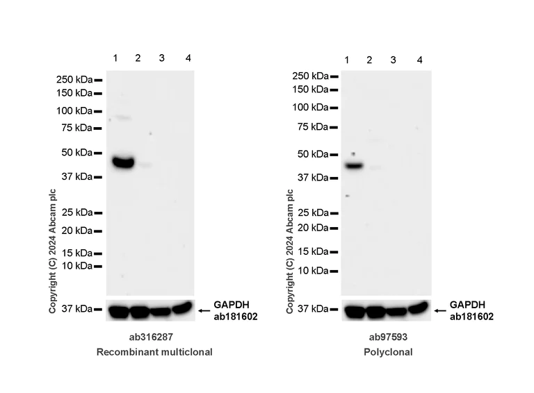
Western blot - Anti-Homer1 antibody [RM1121] - BSA and Azide free (AB316288)
  • WB

Supplier Data

Western blot - Anti-Homer1 antibody [RM1121] - BSA and Azide free (AB316288)

This data was developed using ab316287, the same antibody clone in a different buffer formulation.

Low expression : mouse heart, mouse kidney and mouse spleen.

Left Panel is applied with Anti-Homer1 antibody [RM1121] (ab316287) at 1/1000 dilution (0.518 ug/ml); Right panel is applied with Anti-Homer1 antibody (ab97593) at 1/2000 dilution (0.5 ug/ml).

In Western blot, Anti-GAPDH antibody [EPR16891] - Loading Control (ab181602) staining at 1/200000 dilution.

All lanes:

Western blot - Anti-Homer1 antibody [RM1121] (<a href='/en-us/products/primary-antibodies/homer1-antibody-rm1121-ab316287'>ab316287</a>) at 1/1000 dilution

Lane 1:

Mouse brain tissue lysate at 20 µg with 5% NFDM/TBST

Lane 2:

Mouse heart tissue lysate at 20 µg with 5% NFDM/TBST

Lane 3:

Mouse kidney tissue lysate at 20 µg with 5% NFDM/TBST

Lane 4:

Mouse spleen tissue lysate at 20 µg with 5% NFDM/TBST

Secondary

All lanes:

Western blot - Goat Anti-Rabbit IgG H&L (HRP) (<a href='/en-us/products/secondary-antibodies/goat-rabbit-igg-h-l-hrp-ab97051'>ab97051</a>) at 1/100000 dilution

Observed band size: 41 kDa,36 kDa

false

Exposure time: 180s

Western blot - Anti-Homer1 antibody [RM1121] - BSA and Azide free (AB316288)
  • WB

Supplier Data

Western blot - Anti-Homer1 antibody [RM1121] - BSA and Azide free (AB316288)

This data was developed using ab316287, the same antibody clone in a different buffer formulation.

Low expression : rat heart, rat kidney and rat spleen.

Left Panel is applied with Anti-Homer1 antibody [RM1121] (ab316287) at 1/1000 dilution (0.518 ug/ml); Right panel is applied with Anti-Homer1 antibody (ab97593) at 1/2000 dilution (0.5 ug/ml).

In Western blot, Anti-GAPDH antibody [EPR16891] - Loading Control (ab181602) staining at 1/200000 dilution.

All lanes:

Western blot - Anti-Homer1 antibody [RM1121] (<a href='/en-us/products/primary-antibodies/homer1-antibody-rm1121-ab316287'>ab316287</a>) at 1/1000 dilution

Lane 1:

Rat brain tissue lysate at 20 µg with 5% NFDM/TBST

Lane 2:

Rat heart tissue lysate at 20 µg with 5% NFDM/TBST

Lane 3:

Rat kidney tissue lysate at 20 µg with 5% NFDM/TBST

Lane 4:

Rat spleen tissue lysate at 20 µg with 5% NFDM/TBST

Secondary

All lanes:

Western blot - Goat Anti-Rabbit IgG H&L (HRP) (<a href='/en-us/products/secondary-antibodies/goat-rabbit-igg-h-l-hrp-ab97051'>ab97051</a>) at 1/100000 dilution

Observed band size: 41 kDa,36 kDa

false

Exposure time: 180s

Key facts

Host species

Rabbit

Clonality

Multiclonal

Clone number

RM1121

Isotype

IgG

Carrier free

Yes

Reacts with

Human, Mouse, Rat

Applications

IHC-P, IHC-Fr, IP, WB

applications

Immunogen

The exact immunogen used to generate this antibody is proprietary information.

Reactivity data

{ "title": "Reactivity Data", "filters": { "stats": ["", "Species", "Dilution Info", "Notes"], "tabs": { "all-applications": {"fullname" : "All Applications", "shortname": "All Applications"}, "FlowCytIntra" : {"fullname" : "Flow Cytometry (Intracellular)", "shortname":"Flow Cyt (Intra)"}, "ICCIF" : {"fullname" : "Immunocytochemistry/ Immunofluorescence", "shortname":"ICC/IF"}, "IHCP" : {"fullname" : "Immunohistochemistry (Formalin/PFA-fixed paraffin-embedded sections)", "shortname":"IHC-P"}, "IHCFr" : {"fullname" : "Immunohistochemistry (Frozen sections)", "shortname":"IHC-Fr"}, "IP" : {"fullname" : "Immunoprecipitation", "shortname":"IP"}, "WB" : {"fullname" : "Western blot", "shortname":"WB"} }, "product-promise": { "all": "all", "testedAndGuaranteed": "tested", "guaranteed": "expected", "predicted": "predicted", "notRecommended": "not-recommended" } }, "values": { "Human": { "FlowCytIntra-species-checked": "notRecommended", "FlowCytIntra-species-dilution-info": "", "FlowCytIntra-species-notes": "<p></p>", "ICCIF-species-checked": "notRecommended", "ICCIF-species-dilution-info": "", "ICCIF-species-notes": "<p></p>", "IHCP-species-checked": "testedAndGuaranteed", "IHCP-species-dilution-info": "", "IHCP-species-notes": "<p></p>", "IHCFr-species-checked": "guaranteed", "IHCFr-species-dilution-info": "", "IHCFr-species-notes": "", "IP-species-checked": "testedAndGuaranteed", "IP-species-dilution-info": "", "IP-species-notes": "<p></p>", "WB-species-checked": "testedAndGuaranteed", "WB-species-dilution-info": "", "WB-species-notes": "<p></p>" }, "Mouse": { "FlowCytIntra-species-checked": "notRecommended", "FlowCytIntra-species-dilution-info": "", "FlowCytIntra-species-notes": "", "ICCIF-species-checked": "notRecommended", "ICCIF-species-dilution-info": "", "ICCIF-species-notes": "", "IHCP-species-checked": "testedAndGuaranteed", "IHCP-species-dilution-info": "", "IHCP-species-notes": "<p></p>", "IHCFr-species-checked": "testedAndGuaranteed", "IHCFr-species-dilution-info": "", "IHCFr-species-notes": "<p></p>", "IP-species-checked": "testedAndGuaranteed", "IP-species-dilution-info": "", "IP-species-notes": "<p></p>", "WB-species-checked": "testedAndGuaranteed", "WB-species-dilution-info": "", "WB-species-notes": "<p></p>" }, "Rat": { "FlowCytIntra-species-checked": "notRecommended", "FlowCytIntra-species-dilution-info": "", "FlowCytIntra-species-notes": "", "ICCIF-species-checked": "notRecommended", "ICCIF-species-dilution-info": "", "ICCIF-species-notes": "", "IHCP-species-checked": "testedAndGuaranteed", "IHCP-species-dilution-info": "", "IHCP-species-notes": "<p></p>", "IHCFr-species-checked": "testedAndGuaranteed", "IHCFr-species-dilution-info": "", "IHCFr-species-notes": "<p></p>", "IP-species-checked": "testedAndGuaranteed", "IP-species-dilution-info": "", "IP-species-notes": "<p></p>", "WB-species-checked": "testedAndGuaranteed", "WB-species-dilution-info": "", "WB-species-notes": "<p></p>" } } }

Product details

ab316288 is the carrirer-free version of ab316287.

What are recombinant multiclonals?
Recombinant multiclonals are a mixture of recombinant antibodies co-expressed from a library of heavy and light chains. They offer several advantages including:

  • - The sensitivity of polyclonal antibodies by recognising multiple epitopes
  • - High batch-to-batch consistency and reproducibility
  • - Improved sensitivity and specificity
  • - Long-term security of supply
  • - Animal-free batch production

View our range of recombinant multiclonal antibodies.

Patented technology
Our RabMAb® technology is a patented hybridoma-based technology for making rabbit monoclonal antibodies. For details on our patents, please refer to RabMAb® patents.

Conjugation ready
Our carrier-free antibodies are typically supplied in a PBS-only formulation, purified and free of BSA, sodium azide and glycerol. This conjugation-ready format is designed for use with fluorochromes, metal isotopes, oligonucleotides, and enzymes, which makes them ideal for antibody labelling, functional and cell-based assays, flow-based assays (e.g. mass cytometry) and Multiplex Imaging applications.

Use our conjugation kits for antibody conjugates that are ready-to-use in as little as 20 minutes with 1 minute hands-on-time and 100% antibody recovery: available for fluorescent dyes, HRP, biotin and gold.

Compatibility
This product is compatible with the Maxpar® Antibody Labeling Kit from Fluidigm, without the need for antibody preparation. Maxpar® is a trademark of Fluidigm Canada Inc.

Properties and storage information

Form
Liquid
Purification technique
Affinity purification Protein A
Storage buffer
pH: 7.2 - 7.4 Constituents: PBS
Shipped at conditions
Blue Ice
Appropriate short-term storage conditions
+4°C
Appropriate long-term storage conditions
+4°C

Supplementary information

This supplementary information is collated from multiple sources and compiled automatically.

Homer1 also known as HOMER is a scaffolding protein with a mass of approximately 45 kDa. It functions in organizing receptor signaling complexes notably interacting with metabotropic glutamate receptors (mGluRs) and certain transient receptor potential (TRP) channels. Homer1 exists mainly in the postsynaptic density of excitatory synapses in the brain indicating its strong expression in neuronal tissues. It has multiple isoforms with the isoform 1a often being highlighted in various research contexts.
Biological function summary

Homer1 plays an important role in synaptic plasticity and intracellular calcium signaling. As part of a complex Homer1 aids in linking mGluRs to other proteins stabilizing receptor signaling and contributing to the regulation of calcium homeostasis within the cell. This scaffolding action has implications for the modulation of signal transduction pathways that maintain neuronal communication and synaptic efficacy.

Pathways

Homer1 interacts significantly with the mGluR signaling pathway and the calcium signaling pathway. These interactions place Homer1 at a nexus of neuronal signal propagation. Related proteins in this context include the mGluR1 and mGluR5 which in sync with Homer1 form a network ensuring proper synaptic response to neurotransmitters. TRPC channels are also closely related as Homer1 helps modulate their activity through dynamic assembly with mGluR complexes.

Homer1 shows involvement in various neurological conditions such as schizophrenia and autism spectrum disorders. Abnormalities in Homer1 expression or function are linked to disrupted synaptic signaling which contributes to the pathophysiology of these disorders. Within these disease frameworks proteins like mGluR5 collaborate with Homer1 and serve as focal points in understanding the disrupted signaling mechanisms underlying these conditions.

Product protocols

For this product, it's our understanding that no specific protocols are required. You can visit:

Target data

Postsynaptic density scaffolding protein. Binds and cross-links cytoplasmic regions of GRM1, GRM5, ITPR1, DNM3, RYR1, RYR2, SHANK1 and SHANK3. By physically linking GRM1 and GRM5 with ER-associated ITPR1 receptors, it aids the coupling of surface receptors to intracellular calcium release. May also couple GRM1 to PI3 kinase through its interaction with AGAP2. Isoform 1 regulates the trafficking and surface expression of GRM5. Isoform 3 acts as a natural dominant negative, in dynamic competition with constitutively expressed isoform 1 to regulate synaptic metabotropic glutamate function. Isoform 3, may be involved in the structural changes that occur at synapses during long-lasting neuronal plasticity and development. Forms a high-order complex with SHANK1, which in turn is necessary for the structural and functional integrity of dendritic spines (By similarity). Negatively regulates T cell activation by inhibiting the calcineurin-NFAT pathway. Acts by competing with calcineurin/PPP3CA for NFAT protein binding, hence preventing NFAT activation by PPP3CA (PubMed : 18218901).
See full target information HOMER1

Product promise

We are committed to supporting your work with high-quality reagents, and we're here for you every step of the way. In the unlikely event that one of our products does not perform as expected, you're protected by our Product Promise.
For full details, please see our Terms & Conditions

Please note: All products are 'FOR RESEARCH USE ONLY. NOT FOR USE IN DIAGNOSTIC OR THERAPEUTIC PROCEDURES'.

For licensing inquiries, please contact partnerships@abcam.com