JavaScript is disabled in your browser. Please enable JavaScript to view this website.
AB249067

Anti-HOOK1 antibody [EPR10102] - BSA and Azide free

Be the first to review this product! Submit a review

|

(1 Publication)

Rabbit Recombinant Monoclonal HOOK1 antibody. Carrier free. Suitable for IHC-P, WB, ICC/IF and reacts with Human samples. Cited in 1 publication.

View Alternative Names

Protein Hook homolog 1, h-hook1, hHK1, HOOK1

8 Images
Immunohistochemistry (Formalin/PFA-fixed paraffin-embedded sections) - Anti-HOOK1 antibody [EPR10102] - BSA and Azide free (AB249067)
  • IHC-P

Unknown

Immunohistochemistry (Formalin/PFA-fixed paraffin-embedded sections) - Anti-HOOK1 antibody [EPR10102] - BSA and Azide free (AB249067)

This data was developed using ab151756, the same antibody clone in a different buffer formulation.

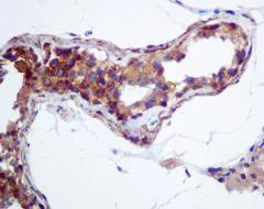
Immunohistochemical analysis of paraffin embedded Human testis tissue labeling HOOK1 with ab151756 at a 1/100 dilution.

Perform heat mediated antigen retrieval with citrate buffer pH 6 before commencing with IHC staining protocol.

Immunohistochemistry (Formalin/PFA-fixed paraffin-embedded sections) - Anti-HOOK1 antibody [EPR10102] - BSA and Azide free (AB249067)
  • IHC-P

Unknown

Immunohistochemistry (Formalin/PFA-fixed paraffin-embedded sections) - Anti-HOOK1 antibody [EPR10102] - BSA and Azide free (AB249067)

This data was developed using ab151756, the same antibody clone in a different buffer formulation.

Immunohistochemical analysis of paraffin embedded Human normal uterus tissue using ab151756 showing +ve staining.

Perform heat mediated antigen retrieval with citrate buffer pH 6 before commencing with IHC staining protocol.

Immunohistochemistry (Formalin/PFA-fixed paraffin-embedded sections) - Anti-HOOK1 antibody [EPR10102] - BSA and Azide free (AB249067)
  • IHC-P

Unknown

Immunohistochemistry (Formalin/PFA-fixed paraffin-embedded sections) - Anti-HOOK1 antibody [EPR10102] - BSA and Azide free (AB249067)

This data was developed using ab151756, the same antibody clone in a different buffer formulation.

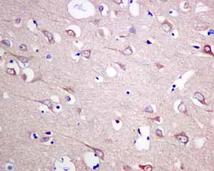
Immunohistochemical analysis of paraffin embedded Human normal brain tissue using ab151756 showing +ve staining.

Perform heat mediated antigen retrieval with citrate buffer pH 6 before commencing with IHC staining protocol.

Immunohistochemistry (Formalin/PFA-fixed paraffin-embedded sections) - Anti-HOOK1 antibody [EPR10102] - BSA and Azide free (AB249067)
  • IHC-P

Unknown

Immunohistochemistry (Formalin/PFA-fixed paraffin-embedded sections) - Anti-HOOK1 antibody [EPR10102] - BSA and Azide free (AB249067)

This data was developed using ab151756, the same antibody clone in a different buffer formulation.

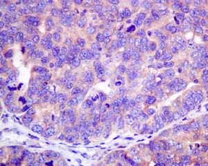
Immunohistochemical analysis of paraffin embedded Human thyroid gland carcinoma tissue using ab151756 showing +ve staining.

Perform heat mediated antigen retrieval with citrate buffer pH 6 before commencing with IHC staining protocol.

Immunohistochemistry (Formalin/PFA-fixed paraffin-embedded sections) - Anti-HOOK1 antibody [EPR10102] - BSA and Azide free (AB249067)
  • IHC-P

Unknown

Immunohistochemistry (Formalin/PFA-fixed paraffin-embedded sections) - Anti-HOOK1 antibody [EPR10102] - BSA and Azide free (AB249067)

This data was developed using ab151756, the same antibody clone in a different buffer formulation.

Immunohistochemical analysis of paraffin embedded Human ovarian carcinoma tissue using ab151756 showing +ve staining.

Perform heat mediated antigen retrieval with citrate buffer pH 6 before commencing with IHC staining protocol.

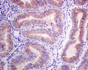
Immunohistochemistry (Formalin/PFA-fixed paraffin-embedded sections) - Anti-HOOK1 antibody [EPR10102] - BSA and Azide free (AB249067)
  • IHC-P

Unknown

Immunohistochemistry (Formalin/PFA-fixed paraffin-embedded sections) - Anti-HOOK1 antibody [EPR10102] - BSA and Azide free (AB249067)

This data was developed using ab151756, the same antibody clone in a different buffer formulation.

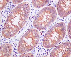
Immunohistochemical analysis of paraffin embedded Human normal colon tissue using ab151756 showing +ve staining.

Perform heat mediated antigen retrieval with citrate buffer pH 6 before commencing with IHC staining protocol.

Immunocytochemistry/ Immunofluorescence - Anti-HOOK1 antibody [EPR10102] - BSA and Azide free (AB249067)
  • ICC/IF

Unknown

Immunocytochemistry/ Immunofluorescence - Anti-HOOK1 antibody [EPR10102] - BSA and Azide free (AB249067)

This data was developed using ab151756, the same antibody clone in a different buffer formulation.Immunofluorescence analysis of Caco-2 cells labeling HOOK1 with ab151756 at a 1/100 dilution.

Western blot - Anti-HOOK1 antibody [EPR10102] - BSA and Azide free (AB249067)
  • WB

Unknown

Western blot - Anti-HOOK1 antibody [EPR10102] - BSA and Azide free (AB249067)

This data was developed using ab151756, the same antibody clone in a different buffer formulation.

All lanes:

Western blot - Anti-HOOK1 antibody [EPR10102] (<a href='/en-us/products/primary-antibodies/hook1-antibody-epr10102-ab151756'>ab151756</a>) at 1/1000 dilution

Lane 1:

293T cell lysate at 10 µg

Lane 2:

MCF-7 cell lysate at 10 µg

Lane 3:

Caco-2 cell lysate at 10 µg

Secondary

All lanes:

HRP labelled goat anti-rabbit at 1/2000 dilution

Predicted band size: 85 kDa

false

Key facts

Host species

Rabbit

Clonality

Monoclonal

Clone number

EPR10102

Isotype

IgG

Carrier free

Yes

Reacts with

Human

Applications

IHC-P, ICC/IF, WB

applications

Immunogen

The exact immunogen used to generate this antibody is proprietary information.

Reactivity data

{ "title": "Reactivity Data", "filters": { "stats": ["", "Species", "Dilution Info", "Notes"], "tabs": { "all-applications": {"fullname" : "All Applications", "shortname": "All Applications"}, "IHCP" : {"fullname" : "Immunohistochemistry (Formalin/PFA-fixed paraffin-embedded sections)", "shortname":"IHC-P"}, "IP" : {"fullname" : "Immunoprecipitation", "shortname":"IP"}, "FlowCyt" : {"fullname" : "Flow Cytometry", "shortname":"Flow Cyt"}, "WB" : {"fullname" : "Western blot", "shortname":"WB"}, "ICCIF" : {"fullname" : "Immunocytochemistry/ Immunofluorescence", "shortname":"ICC/IF"} }, "product-promise": { "all": "all", "testedAndGuaranteed": "tested", "guaranteed": "expected", "predicted": "predicted", "notRecommended": "not-recommended" } }, "values": { "Human": { "IHCP-species-checked": "testedAndGuaranteed", "IHCP-species-dilution-info": "", "IHCP-species-notes": "<p>Use of a HRP/AP polymerized secondary antibody is recommended.</p>", "IP-species-checked": "notRecommended", "IP-species-dilution-info": "", "IP-species-notes": "<p></p>", "FlowCyt-species-checked": "notRecommended", "FlowCyt-species-dilution-info": "", "FlowCyt-species-notes": "<p></p>", "WB-species-checked": "testedAndGuaranteed", "WB-species-dilution-info": "", "WB-species-notes": "<p></p>", "ICCIF-species-checked": "testedAndGuaranteed", "ICCIF-species-dilution-info": "", "ICCIF-species-notes": "<p></p>" } } }

Product details

ab249067 is the carrier-free version of ab151756.

Patented technology
Our RabMAb® technology is a patented hybridoma-based technology for making rabbit monoclonal antibodies. For details on our patents, please refer to RabMAb® patents.

What are the advantages of a recombinant monoclonal antibody?
This product is a recombinant monoclonal antibody, which offers several advantages including:

  • - High batch-to-batch consistency and reproducibility
  • - Improved sensitivity and specificity
  • - Long-term security of supply
  • - Animal-free batch production

For more information, read more on recombinant antibodies.

Conjugation ready
Our carrier-free antibodies are typically supplied in a PBS-only formulation, purified and free of BSA, sodium azide and glycerol. This conjugation-ready format is designed for use with fluorochromes, metal isotopes, oligonucleotides, and enzymes, which makes them ideal for antibody labelling, functional and cell-based assays, flow-based assays (e.g. mass cytometry) and Multiplex Imaging applications.

Use our conjugation kits for antibody conjugates that are ready-to-use in as little as 20 minutes with 1 minute hands-on-time and 100% antibody recovery: available for fluorescent dyes, HRP, biotin and gold.

Compatibility
This product is compatible with the Maxpar® Antibody Labeling Kit from Fluidigm, without the need for antibody preparation. Maxpar® is a trademark of Fluidigm Canada Inc.

Properties and storage information

Form
Liquid
Purification technique
Affinity purification Protein A
Storage buffer
pH: 7.2 - 7.4 Constituents: PBS
Shipped at conditions
Blue Ice
Appropriate short-term storage conditions
+4°C
Appropriate long-term storage conditions
+4°C
Storage information
Do Not Freeze

Supplementary information

This supplementary information is collated from multiple sources and compiled automatically.

The HOOK1 protein also known as Hklp2 plays important role in cellular processes related to intracellular trafficking. Mechanically HOOK1 functions as a microtubule-binding protein that facilitates the movement of cytoplasmic vesicles. It weighs approximately 88 kDa. It is expressed in various tissues with significant expression observed in the brain and testis. In these tissues HOOK1 assists in ensuring proper distribution and transport of cellular components.
Biological function summary

HOOK1 plays a significant role in cellular organization and is part of the microtubule-associated HOOK family. This family participates in maintaining correct positioning of organelles which is critical for cell division and differentiation. HOOK1 associates with dynein/dynactin motor complexes modulating cytoskeletal dynamics. Through this complex it influences processes such as mitosis and meiosis allowing cells to maintain spatial organization of important structures.

Pathways

HOOK1 is actively involved in intracellular transport pathways and contributes to endocytic and secretory pathways. These include endosome positioning and cargo trafficking within cells. HOOK1 interacts with other proteins such as dynactin in these pathways facilitating transport efficiency and specificity. It also relates closely to proteins involved in lysosome positioning and function within the same pathways ensuring cellular homeostasis is maintained.

Malfunction or dysregulation of HOOK1 has been implicated in male infertility and neurological disorders. Mutations affecting HOOK1 can disrupt spermiogenesis leading to issues such as oligozoospermia a condition characterized by low sperm count. Additionally improper functioning of HOOK1 may contribute to neurodegenerative conditions through dysregulated cellular transport mechanisms in neurons. In both contexts related proteins such as dynactin play cooperative roles and may also be implicated depending on HOOK1 activity.

Product protocols

For this product, it's our understanding that no specific protocols are required. You can visit:

Target data

Component of the FTS/Hook/FHIP complex (FHF complex) (PubMed : 18799622, PubMed : 32073997). The FHF complex may function to promote vesicle trafficking and/or fusion via the homotypic vesicular protein sorting complex (the HOPS complex) (PubMed : 18799622). FHF complex promotes the distribution of AP-4 complex to the perinuclear area of the cell (PubMed : 32073997). Required for spermatid differentiation. Probably involved in the positioning of the microtubules of the manchette and the flagellum in relation to the membrane skeleton (By similarity).
See full target information HOOK1

Publications (1)

Recent publications for all applications. Explore the full list and refine your search

Developmental cell 60:2744-2760.e9 PubMed40460835

2025

ATG9A and ARFIP2 cooperate to control PI4P levels for lysosomal repair.

Applications

Unspecified application

Species

Unspecified reactive species

Stefano De Tito,Eugenia Almacellas,Daniel Dai Yu,Emily Millard,Wenxin Zhang,Cecilia de Heus,Christophe Queval,Javier H Hervás,Enrica Pellegrino,Ioanna Panagi,Ditte Fogde,Teresa L M Thurston,Judith Klumperman,Maximiliano Gutierrez,Sharon A Tooze
View all publications

Product promise

We are committed to supporting your work with high-quality reagents, and we're here for you every step of the way. In the unlikely event that one of our products does not perform as expected, you're protected by our Product Promise.
For full details, please see our Terms & Conditions

Please note: All products are 'FOR RESEARCH USE ONLY. NOT FOR USE IN DIAGNOSTIC OR THERAPEUTIC PROCEDURES'.

For licensing inquiries, please contact partnerships@abcam.com