JavaScript is disabled in your browser. Please enable JavaScript to view this website.
AB325348

Anti-Hormone sensitive lipase/HSL antibody [EPR27268-59] - BSA and Azide free

Be the first to review this product! Submit a review

|

(0 Publication)

Rabbit Recombinant Monoclonal Hormone sensitive lipase/HSL antibody. Carrier free. Suitable for ICC/IF, IHC-P, WB and reacts with Human, Mouse samples.

View Alternative Names

Hormone-sensitive lipase, HSL, Monoacylglycerol lipase LIPE, Retinyl ester hydrolase, REH, LIPE

11 Images
Immunohistochemistry (Formalin/PFA-fixed paraffin-embedded sections) - Anti-Hormone sensitive lipase/HSL antibody [EPR27268-59] - BSA and Azide free (AB325348)
  • IHC-P

Lab

Immunohistochemistry (Formalin/PFA-fixed paraffin-embedded sections) - Anti-Hormone sensitive lipase/HSL antibody [EPR27268-59] - BSA and Azide free (AB325348)

This data was developed using ab325336, the same antibody clone in a different buffer formulation.

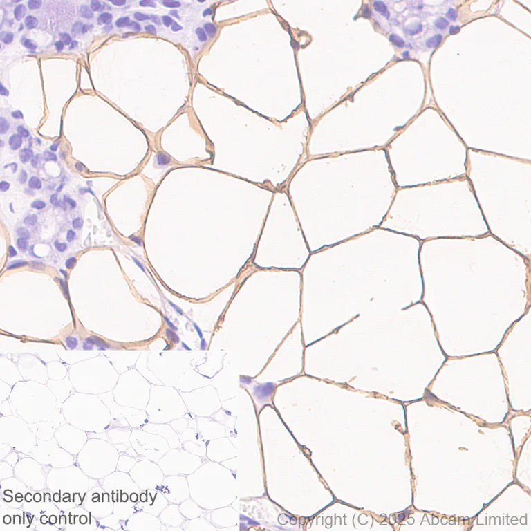
Immunohistochemical analysis of paraffin-embedded Human adipose tissue labeling Hormone sensitive lipase/HSL with ab325336 at 1/2000 (0.248 μg/ml) dilution, followed by a ready to use LeicaDS9800 (Bond™ Polymer Refine Detection).

Positive staining on human adipose tissue.

The primary antibody was incubated for 30 mins at room temperature.

The immunostaining was performed on a Leica Biosystems BOND® RX instrument

Counterstained with Hematoxylin.

Secondary antibody only control : Secondary antibody is a ready to use LeicaDS9800 (Bond™ Polymer Refine Detection).

Heat mediated antigen retrieval was performed with Tris-EDTA buffer (pH 9.0, Epitope Retrieval Solution2) for 20 mins

Immunocytochemistry/ Immunofluorescence - Anti-Hormone sensitive lipase/HSL antibody [EPR27268-59] - BSA and Azide free (AB325348)
  • ICC/IF

Lab

Immunocytochemistry/ Immunofluorescence - Anti-Hormone sensitive lipase/HSL antibody [EPR27268-59] - BSA and Azide free (AB325348)

This data was developed using ab325336, the same antibody clone in a different buffer formulation.

Immunofluorescent analysis of 4% Paraformaldehyde-fixed, 0.1% TritonX-100 permeabilized Raji (human Burkitt's lymphoma B lymphocyte);Huh7 (human hepatocellular carcinoma epithelial cell) cells labelling Hormone sensitive lipase/HSL with ab325336 at 1/1000 (0.496 μg/ml) dilution , followed by ab150080 Goat Anti-Rabbit IgG H&L (Alexa Fluor® 594) antibody at 1/500 dilution (Green).

Confocal image showing cytoplasmic staining in Raji cells (shown in green). The counterstain was observed in magenta. Nuclear DNA was labelled with DAPI (shown in blue).

Negative control : Huh7.

Image was taken with a confocal microscope (Leica-Microsystems, TCS SP8).

ab7291 Anti-alpha Tubulin mouse monoclonal antibody was used to counterstain tubulin at 1/1000 dilution (Magenta). The Nuclear counterstain was DAPI (Blue).

Secondary antibody only control : Secondary antibody is ab150080 Goat Anti-Rabbit IgG H&L (Alexa Fluor® 594) at 1/500 dilution.

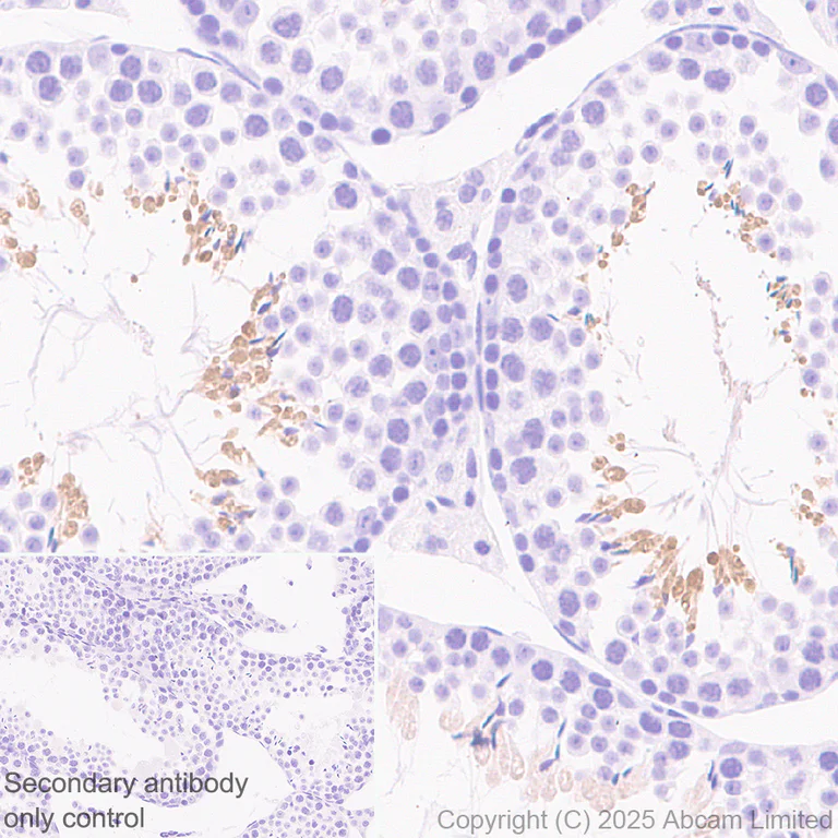
Immunohistochemistry (Formalin/PFA-fixed paraffin-embedded sections) - Anti-Hormone sensitive lipase/HSL antibody [EPR27268-59] - BSA and Azide free (AB325348)
  • IHC-P

Lab

Immunohistochemistry (Formalin/PFA-fixed paraffin-embedded sections) - Anti-Hormone sensitive lipase/HSL antibody [EPR27268-59] - BSA and Azide free (AB325348)

This data was developed using ab325336, the same antibody clone in a different buffer formulation.

Immunohistochemical analysis of paraffin-embedded Mouse testis tissue labeling Hormone sensitive lipase/HSL with ab325336 at 1/2000 (0.248 μg/ml) dilution, followed by a ready to use LeicaDS9800 (Bond™ Polymer Refine Detection).

Positive staining on spermatid of mouse testis.

The primary antibody was incubated for 30 mins at room temperature.

The immunostaining was performed on a Leica Biosystems BOND® RX instrument

Slides were incubated with 3% Hydrogen Peroxide for 10 mins at room temperature after secondary antibody incubation to reduce the background.

Counterstained with Hematoxylin.

Secondary antibody only control : Secondary antibody is a ready to use LeicaDS9800 (Bond™ Polymer Refine Detection).

Heat mediated antigen retrieval was performed with Citrate buffer (pH 6.0, Epitope Retrieval Solution 1) for 20 mins

Immunocytochemistry/ Immunofluorescence - Anti-Hormone sensitive lipase/HSL antibody [EPR27268-59] - BSA and Azide free (AB325348)
  • ICC/IF

Lab

Immunocytochemistry/ Immunofluorescence - Anti-Hormone sensitive lipase/HSL antibody [EPR27268-59] - BSA and Azide free (AB325348)

This data was developed using ab325336, the same antibody clone in a different buffer formulation.

Immunofluorescent analysis of 4% Paraformaldehyde-fixed, 0.1% TritonX-100 permeabilized undifferentiated 3T3-L1 (mouse embryonic fibroblast);differentiated 3T3-L1 cells labelling Hormone sensitive lipase/HSL with ab325336 at 1/1000 (0.496 μg/ml) dilution , followed by ab150080 Goat Anti-Rabbit IgG H&L (Alexa Fluor® 594) antibody at 1/500 dilution (Green).

Confocal image showing no staining in undifferentiated 3T3-L1 cells, showing cytoplasmic staining in differentiated 3T3-L1 cells(shown in magenta). The counterstain was observed in green. Nuclear DNA was labelled with DAPI (shown in blue). Image was taken with a confocal microscope (Leica-Microsystems, TCS SP8).

Lipid Droplets Green Fluorescence Assay Kit with BODIPY493/503 was used to counterstain tubulin at 1/200 dilution (Magenta). The Nuclear counterstain was DAPI (Blue).

Secondary antibody only control : Secondary antibody is ab150080 Goat Anti-Rabbit IgG H&L (Alexa Fluor® 594) at 1/500 dilution.

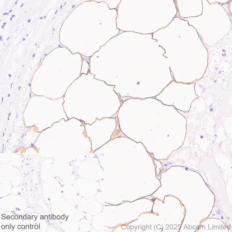
Immunohistochemistry (Formalin/PFA-fixed paraffin-embedded sections) - Anti-Hormone sensitive lipase/HSL antibody [EPR27268-59] - BSA and Azide free (AB325348)
  • IHC-P

Lab

Immunohistochemistry (Formalin/PFA-fixed paraffin-embedded sections) - Anti-Hormone sensitive lipase/HSL antibody [EPR27268-59] - BSA and Azide free (AB325348)

This data was developed using ab325336, the same antibody clone in a different buffer formulation.

Immunohistochemical analysis of paraffin-embedded Mouse adipose tissue labeling Hormone sensitive lipase/HSL with ab325336 at 1/2000 (0.248 μg/ml) dilution, followed by a ready to use LeicaDS9800 (Bond™ Polymer Refine Detection).

Positive staining on mouse adipose tissue.

The primary antibody was incubated for 30 mins at room temperature.

The immunostaining was performed on a Leica Biosystems BOND® RX instrument

Slides were incubated with 3% Hydrogen Peroxide for 10 mins at room temperature after secondary antibody incubation to reduce the background.

Counterstained with Hematoxylin.

Secondary antibody only control : Secondary antibody is a ready to use LeicaDS9800 (Bond™ Polymer Refine Detection).

Heat mediated antigen retrieval was performed with Citrate buffer (pH 6.0, Epitope Retrieval Solution 1) for 20 mins

Western blot - Anti-Hormone sensitive lipase/HSL antibody [EPR27268-59] - BSA and Azide free (AB325348)
  • WB

Lab

Western blot - Anti-Hormone sensitive lipase/HSL antibody [EPR27268-59] - BSA and Azide free (AB325348)

This data was developed using ab325336, the same antibody clone in a different buffer formulation.

Blocking and diluting buffer and concentration : 5% NFDM/TBST.

Negative control : lung, liver, spleen.

The expression profile/ molecular weight observed is consistent with what has been described in the literature (PMID : 8496671).

The identity of the bands higher than 100 kDa and lower than 75 kDa are unknown.

In Western blot, Anti-GAPDH antibody [EPR16891] - Loading Control (ab181602) (1 : 200000) (36KDa).

All lanes:

Western blot - Anti-Hormone sensitive lipase/HSL antibody [EPR27268-59] (<a href='/en-us/products/primary-antibodies/hormone-sensitive-lipase-hsl-antibody-epr27268-59-ab325336'>ab325336</a>) at 1/1000 dilution

Lane 1:

Human adrenal gland tissue lysate at 20 µg

Lane 2:

Human lung tissue lysate at 20 µg

Lane 3:

Human liver tissue lysate at 20 µg

Lane 4:

Human spleen tissue lysate at 20 µg

Secondary

All lanes:

Goat Anti-Rabbit IgG (HRP) with minimal cross-reactivity with human IgG at 1/2000 dilution

Observed band size: 84 kDa,36 kDa

false

Exposure time: 59s

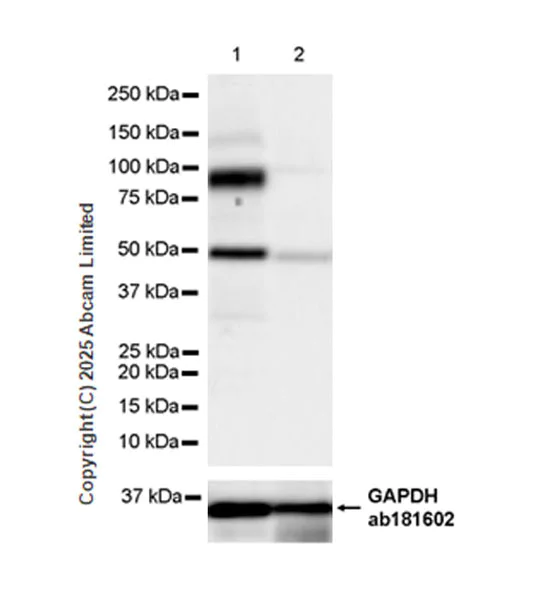
Western blot - Anti-Hormone sensitive lipase/HSL antibody [EPR27268-59] - BSA and Azide free (AB325348)
  • WB

Lab

Western blot - Anti-Hormone sensitive lipase/HSL antibody [EPR27268-59] - BSA and Azide free (AB325348)

This data was developed using ab325336, the same antibody clone in a different buffer formulation.

Blocking and diluting buffer and concentration : 5% NFDM/TBST.

Negative control : Huh7.

The identity of the bands higher than 100 kDa and lower than 75 kDa are unknown.

In Western blot, Anti-GAPDH antibody [EPR16891] - Loading Control (ab181602) (1 : 200000) (36KDa).

All lanes:

Western blot - Anti-Hormone sensitive lipase/HSL antibody [EPR27268-59] (<a href='/en-us/products/primary-antibodies/hormone-sensitive-lipase-hsl-antibody-epr27268-59-ab325336'>ab325336</a>) at 1/1000 dilution

Lane 1:

Raji (human burkitt's lymphoma b lymphocyte) whole cell lysate at 20 µg

Lane 2:

Huh7 (human hepatocellular carcinoma epithelial cell) whole cell lysate at 20 µg

Secondary

All lanes:

Western blot - Goat Anti-Rabbit IgG H&L (HRP) (<a href='/en-us/products/secondary-antibodies/goat-rabbit-igg-h-l-hrp-ab97051'>ab97051</a>) at 1/20000 dilution

Observed band size: 83 kDa,36 kDa

false

Exposure time: 59s

Immunohistochemistry (Formalin/PFA-fixed paraffin-embedded sections) - Anti-Hormone sensitive lipase/HSL antibody [EPR27268-59] - BSA and Azide free (AB325348)
  • IHC-P

Lab

Immunohistochemistry (Formalin/PFA-fixed paraffin-embedded sections) - Anti-Hormone sensitive lipase/HSL antibody [EPR27268-59] - BSA and Azide free (AB325348)

This data was developed using ab325336, the same antibody clone in a different buffer formulation.

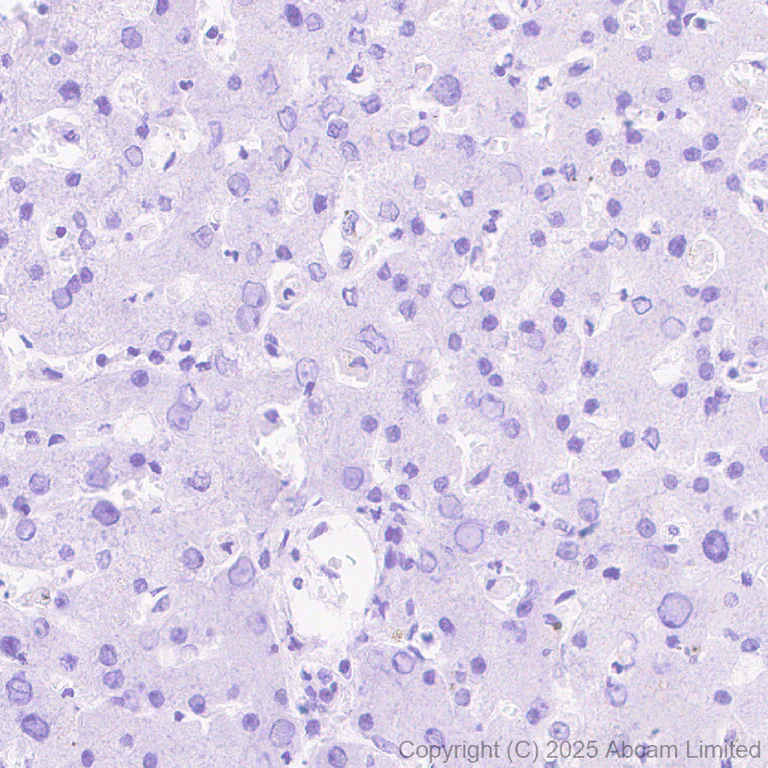
Immunohistochemical analysis of paraffin-embedded Human liver tissue labeling Hormone sensitive lipase/HSL with ab325336 at 1/2000 (0.248 μg/ml) dilution, followed by a ready to use LeicaDS9800 (Bond™ Polymer Refine Detection).

Negative control : No staining on human liver (PMID : 8496671).

The primary antibody was incubated for 30 mins at room temperature.

The immunostaining was performed on a Leica Biosystems BOND® RX instrument

Counterstained with Hematoxylin.

Secondary antibody only control : Secondary antibody is a ready to use LeicaDS9800 (Bond™ Polymer Refine Detection).

Heat mediated antigen retrieval was performed with Tris-EDTA buffer (pH 9.0, Epitope Retrieval Solution2) for 20 mins

Immunohistochemistry (Formalin/PFA-fixed paraffin-embedded sections) - Anti-Hormone sensitive lipase/HSL antibody [EPR27268-59] - BSA and Azide free (AB325348)
  • IHC-P

Lab

Immunohistochemistry (Formalin/PFA-fixed paraffin-embedded sections) - Anti-Hormone sensitive lipase/HSL antibody [EPR27268-59] - BSA and Azide free (AB325348)

This data was developed using ab325336, the same antibody clone in a different buffer formulation.

Immunohistochemical analysis of paraffin-embedded Mouse liver tissue labeling Hormone sensitive lipase/HSL with ab325336 at 1/2000 (0.248 μg/ml) dilution, followed by a ready to use LeicaDS9800 (Bond™ Polymer Refine Detection).

Negative control : No staining on mouse liver.

The primary antibody was incubated for 30 mins at room temperature.

The immunostaining was performed on a Leica Biosystems BOND® RX instrument

Slides were incubated with 3% Hydrogen Peroxide for 10 mins at room temperature after secondary antibody incubation to reduce the background.

Counterstained with Hematoxylin.

Secondary antibody only control : Secondary antibody is a ready to use LeicaDS9800 (Bond™ Polymer Refine Detection).

Heat mediated antigen retrieval was performed with Citrate buffer (pH 6.0, Epitope Retrieval Solution 1) for 20 mins

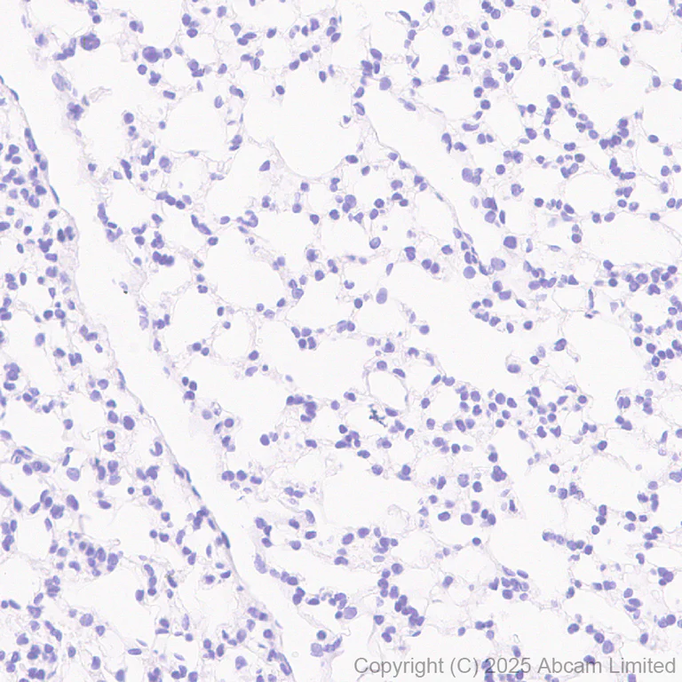
Immunohistochemistry (Formalin/PFA-fixed paraffin-embedded sections) - Anti-Hormone sensitive lipase/HSL antibody [EPR27268-59] - BSA and Azide free (AB325348)
  • IHC-P

Lab

Immunohistochemistry (Formalin/PFA-fixed paraffin-embedded sections) - Anti-Hormone sensitive lipase/HSL antibody [EPR27268-59] - BSA and Azide free (AB325348)

This data was developed using ab325336, the same antibody clone in a different buffer formulation.

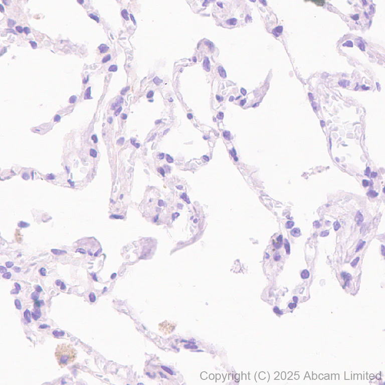
Immunohistochemical analysis of paraffin-embedded Mouse lung tissue labeling Hormone sensitive lipase/HSL with ab325336 at 1/2000 (0.248 μg/ml) dilution, followed by a ready to use LeicaDS9800 (Bond™ Polymer Refine Detection).

Negative control : No staining on mouse lung.

The primary antibody was incubated for 30 mins at room temperature.

The immunostaining was performed on a Leica Biosystems BOND® RX instrument

Slides were incubated with 3% Hydrogen Peroxide for 10 mins at room temperature after secondary antibody incubation to reduce the background.

Counterstained with Hematoxylin.

Secondary antibody only control : Secondary antibody is a ready to use LeicaDS9800 (Bond™ Polymer Refine Detection).

Heat mediated antigen retrieval was performed with Citrate buffer (pH 6.0, Epitope Retrieval Solution 1) for 20 mins

Immunohistochemistry (Formalin/PFA-fixed paraffin-embedded sections) - Anti-Hormone sensitive lipase/HSL antibody [EPR27268-59] - BSA and Azide free (AB325348)
  • IHC-P

Lab

Immunohistochemistry (Formalin/PFA-fixed paraffin-embedded sections) - Anti-Hormone sensitive lipase/HSL antibody [EPR27268-59] - BSA and Azide free (AB325348)

This data was developed using ab325336, the same antibody clone in a different buffer formulation.

Immunohistochemical analysis of paraffin-embedded Human lung tissue labeling Hormone sensitive lipase/HSL with ab325336 at 1/2000 (0.248 μg/ml) dilution, followed by a ready to use LeicaDS9800 (Bond™ Polymer Refine Detection).

Negative control : No staining on human lung (PMID : 8496671).

The primary antibody was incubated for 30 mins at room temperature.

The immunostaining was performed on a Leica Biosystems BOND® RX instrument

Counterstained with Hematoxylin.

Secondary antibody only control : Secondary antibody is a ready to use LeicaDS9800 (Bond™ Polymer Refine Detection).

Heat mediated antigen retrieval was performed with Tris-EDTA buffer (pH 9.0, Epitope Retrieval Solution2) for 20 mins

Key facts

Host species

Rabbit

Clonality

Monoclonal

Clone number

EPR27268-59

Isotype

IgG

Carrier free

Yes

Reacts with

Human, Mouse

Applications

WB, IHC-P, ICC/IF

applications

Immunogen

The exact immunogen used to generate this antibody is proprietary information.

Reactivity data

{ "title": "Reactivity Data", "filters": { "stats": ["", "Species", "Dilution Info", "Notes"], "tabs": { "all-applications": {"fullname" : "All Applications", "shortname": "All Applications"}, "ICCIF" : {"fullname" : "Immunocytochemistry/ Immunofluorescence", "shortname":"ICC/IF"}, "IHCP" : {"fullname" : "Immunohistochemistry (Formalin/PFA-fixed paraffin-embedded sections)", "shortname":"IHC-P"}, "WB" : {"fullname" : "Western blot", "shortname":"WB"} }, "product-promise": { "all": "all", "testedAndGuaranteed": "tested", "guaranteed": "expected", "predicted": "predicted", "notRecommended": "not-recommended" } }, "values": { "Human": { "ICCIF-species-checked": "testedAndGuaranteed", "ICCIF-species-dilution-info": "", "ICCIF-species-notes": "<p></p>", "IHCP-species-checked": "testedAndGuaranteed", "IHCP-species-dilution-info": "", "IHCP-species-notes": "<p></p> Perform heat-mediated antigen retrieval with Tris/EDTA buffer pH 9.0 before commencing with IHC staining protocol.", "WB-species-checked": "testedAndGuaranteed", "WB-species-dilution-info": "", "WB-species-notes": "<p></p>" }, "Mouse": { "ICCIF-species-checked": "testedAndGuaranteed", "ICCIF-species-dilution-info": "", "ICCIF-species-notes": "<p></p>", "IHCP-species-checked": "testedAndGuaranteed", "IHCP-species-dilution-info": "", "IHCP-species-notes": "<p></p> Perform heat-mediated antigen retrieval with Tris/EDTA buffer pH 9.0 before commencing with IHC staining protocol.", "WB-species-checked": "testedAndGuaranteed", "WB-species-dilution-info": "", "WB-species-notes": "<p></p>" } } }

Product details

ab325348 is the carrier-free version of ab325336

Patented technology
Our RabMAb® technology is a patented hybridoma-based technology for making rabbit monoclonal antibodies. For details on our patents, please refer to RabMAb® patents.

What are the advantages of a recombinant monoclonal antibody?
This product is a recombinant monoclonal antibody, which offers several advantages including:

  • - High batch-to-batch consistency and reproducibility
  • - Improved sensitivity and specificity
  • - Long-term security of supply
  • - Animal-free batch production

For more information, read more on recombinant antibodies.

Conjugation ready
Our carrier-free antibodies are typically supplied in a PBS-only formulation, purified and free of BSA, sodium azide and glycerol. This conjugation-ready format is designed for use with fluorochromes, metal isotopes, oligonucleotides, and enzymes, which makes them ideal for antibody labelling, functional and cell-based assays, flow-based assays (e.g. mass cytometry) and Multiplex Imaging applications.

Use our conjugation kits for antibody conjugates that are ready-to-use in as little as 20 minutes with 1 minute hands-on-time and 100% antibody recovery: available for fluorescent dyes, HRP, biotin and gold.

Compatibility
This product is compatible with the Maxpar® Antibody Labeling Kit from Fluidigm, without the need for antibody preparation. Maxpar® is a trademark of Fluidigm Canada Inc.

Properties and storage information

Form
Liquid
Purification technique
Affinity purification Protein A
Storage buffer
pH: 7.2 - 7.4 Constituents: PBS
Shipped at conditions
Blue Ice
Appropriate short-term storage conditions
+4°C
Appropriate long-term storage conditions
+4°C

Product protocols

For this product, it's our understanding that no specific protocols are required. You can visit:

Target data

Lipase with broad substrate specificity, catalyzing the hydrolysis of triacylglycerols (TAGs), diacylglycerols (DAGs), monoacylglycerols (MAGs), cholesteryl esters and retinyl esters (PubMed : 15716583, PubMed : 15955102, PubMed : 19800417, PubMed : 8812477). Shows a preferential hydrolysis of DAGs over TAGs and MAGs and preferentially hydrolyzes the fatty acid (FA) esters at the sn-3 position of the glycerol backbone in DAGs (PubMed : 19800417). Preferentially hydrolyzes FA esters at the sn-1 and sn-2 positions of the glycerol backbone in TAGs (By similarity). Catalyzes the hydrolysis of 2-arachidonoylglycerol, an endocannabinoid and of 2-acetyl monoalkylglycerol ether, the penultimate precursor of the pathway for de novo synthesis of platelet-activating factor (By similarity). In adipose tissue and heart, it primarily hydrolyzes stored triglycerides to free fatty acids, while in steroidogenic tissues, it principally converts cholesteryl esters to free cholesterol for steroid hormone production (By similarity).
See full target information LIPE

Product promise

We are committed to supporting your work with high-quality reagents, and we're here for you every step of the way. In the unlikely event that one of our products does not perform as expected, you're protected by our Product Promise.
For full details, please see our Terms & Conditions

Please note: All products are 'FOR RESEARCH USE ONLY. NOT FOR USE IN DIAGNOSTIC OR THERAPEUTIC PROCEDURES'.

For licensing inquiries, please contact partnerships@abcam.com