JavaScript is disabled in your browser. Please enable JavaScript to view this website.
AB322344

Anti-Hormone sensitive lipase/HSL antibody [EPR27268-74]

  • 20ul selling size
  • BOND RX™ Validated
  • RabMAb
  • Recombinant
  • Advanced Validation
  • What is this?

Be the first to review this product! Submit a review

|

(0 Publication)

Rabbit Recombinant Monoclonal Hormone sensitive lipase/HSL antibody. Suitable for WB, IHC-P, mIHC and reacts with Human samples.

View Alternative Names

Hormone-sensitive lipase, HSL, Monoacylglycerol lipase LIPE, Retinyl ester hydrolase, REH, LIPE

6 Images
Immunohistochemistry (Formalin/PFA-fixed paraffin-embedded sections) - Anti-Hormone sensitive lipase/HSL antibody [EPR27268-74] (AB322344)
  • IHC-P

Supplier Data

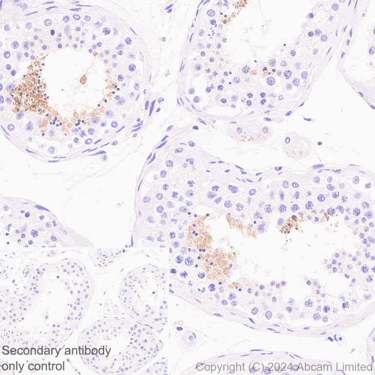
Immunohistochemistry (Formalin/PFA-fixed paraffin-embedded sections) - Anti-Hormone sensitive lipase/HSL antibody [EPR27268-74] (AB322344)

Immunohistochemical analysis of paraffin-embedded Human testis tissue labeling Hormone sensitive lipase/HSL with ab322344 at 1/2000 (0.263 ug/ml) dilution, followed by a ready to use LeicaDS9800 (Bond™ Polymer Refine Detection).

Positive staining on human testis (PMID : 8812477).
The section was incubated with ab322344 for 30 mins at room temperature.
The immunostaining was performed on a Leica Biosystems BOND® RX instrument

Counterstained with Hematoxylin.

Secondary antibody only control : Secondary antibody is a ready to use LeicaDS9800 (Bond™ Polymer Refine Detection).

Heat mediated antigen retrieval was performed with Tris-EDTA buffer (pH 9.0, Epitope Retrieval Solution2) for 20 mins

Immunohistochemistry (Formalin/PFA-fixed paraffin-embedded sections) - Anti-Hormone sensitive lipase/HSL antibody [EPR27268-74] (AB322344)
  • IHC-P

Supplier Data

Immunohistochemistry (Formalin/PFA-fixed paraffin-embedded sections) - Anti-Hormone sensitive lipase/HSL antibody [EPR27268-74] (AB322344)

Immunohistochemical analysis of paraffin-embedded Human adipose tissue tissue labeling Hormone sensitive lipase/HSL with ab322344 at 1/2000 (0.263 ug/ml) dilution, followed by a ready to use LeicaDS9800 (Bond™ Polymer Refine Detection).

Positive staining on human adipose tissue.
The section was incubated with ab322344 for 30 mins at room temperature.
The immunostaining was performed on a Leica Biosystems BOND® RX instrument

Counterstained with Hematoxylin.

Secondary antibody only control : Secondary antibody is a ready to use LeicaDS9800 (Bond™ Polymer Refine Detection).

Heat mediated antigen retrieval was performed with Tris-EDTA buffer (pH 9.0, Epitope Retrieval Solution2) for 20 mins

Immunohistochemistry (Formalin/PFA-fixed paraffin-embedded sections) - Anti-Hormone sensitive lipase/HSL antibody [EPR27268-74] (AB322344)
  • IHC-P

Supplier Data

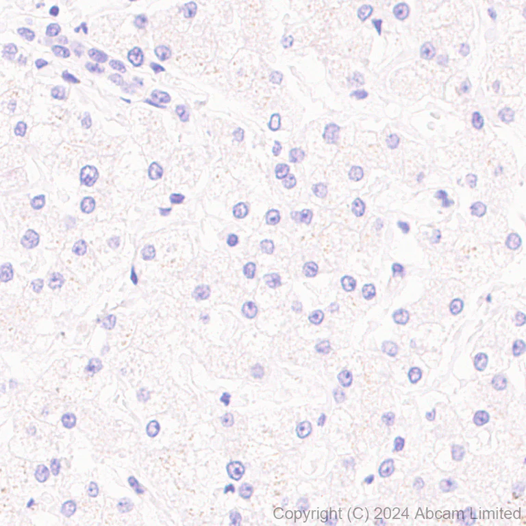
Immunohistochemistry (Formalin/PFA-fixed paraffin-embedded sections) - Anti-Hormone sensitive lipase/HSL antibody [EPR27268-74] (AB322344)

Immunohistochemical analysis of paraffin-embedded Human liver tissue labeling Hormone sensitive lipase/HSL with ab322344 at 1/2000 (0.263 ug/ml) dilution, followed by a ready to use LeicaDS9800 (Bond™ Polymer Refine Detection).

Negative control : No staining on human liver.
The section was incubated with ab322344 for 30 mins at room temperature.
The immunostaining was performed on a Leica Biosystems BOND® RX instrument

Counterstained with Hematoxylin.

Secondary antibody only control : Secondary antibody is a ready to use LeicaDS9800 (Bond™ Polymer Refine Detection).

Heat mediated antigen retrieval was performed with Tris-EDTA buffer (pH 9.0, Epitope Retrieval Solution2) for 20 mins

Multiplex immunohistochemistry - Anti-Hormone sensitive lipase/HSL antibody [EPR27268-74] (AB322344)
  • mIHC

Lab

Multiplex immunohistochemistry - Anti-Hormone sensitive lipase/HSL antibody [EPR27268-74] (AB322344)

Immunohistochemistry analysis of Formalin/PFA-fixed paraffin-embedded sections Human breast tissue labelling Fibrillin 1 with ab315384 at 1 : 100 dilution (B), Cytokeratin 19 with ab52625 at 1 : 6000 dilution (C) and Hormone sensitive lipase/HSL with ab322344 at 1 : 2000 dilution (D). Opal Polymer HRP Ms + Rb was used as a secondary antibody, and DAPI was used for a nuclear counter stain. Heat mediated antigen retrieval with Tris-EDTA buffer (pH 9.0, epitope retrieval solution2) for 20 mins.

Panel A : merged staining of anti-Fibrillin 1 (green; Opal™570), anti-Cytokeratin 19 (magenta; Opal™690) and anti-Hormone sensitive lipase/HSL (gray; Opal™570) on human breast.

Panel B : anti-Fibrillin 1 staining stromal connective tissue in human breast.

Panel C : ant-Cytokeratin 19 staining epithelium in human breast.

Panel D : ant-Hormone sensitive lipase/HSL staining adipocytes in human breast.

Nuclear DNA was labeled with DAPI (shown in blue).

The section was incubated in three rounds of staining : in the order of ab315384, ab52625 and ab322344 for 30 mins at room temperature. Each round was followed by a separate fluorescent tyramide signal amplification system.

The immunostaining was performed on a Leica Biosystems BOND® RX instrument with an Opal™ 4-color kit. Image acquisition was performed with Leica SP8 confocal microscope.

Western blot - Anti-Hormone sensitive lipase/HSL antibody [EPR27268-74] (AB322344)
  • WB

Supplier Data

Western blot - Anti-Hormone sensitive lipase/HSL antibody [EPR27268-74] (AB322344)

Blocking and diluting buffer and concentration : 5% NFDM/TBST.

Negative control : Huh7.

The identity of the bands lower than 75 kDa are unknown.

In Western blot, Anti-GAPDH antibody [EPR16891] - Loading Control (ab181602) staining at 1/200000 dilution.

Exposure time : Lane 1 : 180 seconds; Lanes 2-5 : 103 seconds.

All lanes:

Western blot - Anti-Hormone sensitive lipase/HSL antibody [EPR27268-74] (ab322344) at 1/1000 dilution

Lane 1:

Human testis tissue lysate at 20 µg

Lane 2:

Huh7 (human hepatocellular carcinoma epithelial cell) whole cell lysate at 20 µg

Lane 3:

HT-29 (human colorectal adenocarcinoma epithelial cell) whole cell lysate at 20 µg

Lane 4:

Raji (human burkitt's lymphoma b lymphocyte) whole cell lysate at 20 µg

Lane 5:

Jurkat (human t cell leukemia t lymphocyte from peripheral blood) whole cell lysate at 20 µg

Secondary

Lane 1:

Western blot - Goat Anti-Rabbit IgG H&L (HRP) (<a href='/en-us/products/secondary-antibodies/goat-rabbit-igg-h-l-hrp-ab97051'>ab97051</a>) at 1/2000 dilution

Lanes 2 - 5:

Goat Anti-Rabbit IgG (HRP) with minimal cross-reactivity with human IgG at 1/20000 dilution

Observed band size: 84 kDa,36 kDa

false

Western blot - Anti-Hormone sensitive lipase/HSL antibody [EPR27268-74] (AB322344)
  • WB

Supplier Data

Western blot - Anti-Hormone sensitive lipase/HSL antibody [EPR27268-74] (AB322344)

Blocking and diluting buffer and concentration : 5% NFDM/TBST.

Negative control : liver, lung, spleen.

The expression profile/ molecular weight observed is consistent with what has been described in the literature (PMID : 8496671).

The identity of the bands lower than 75 kDa are unknown.

In Western blot, Anti-GAPDH antibody [EPR16891] - Loading Control (ab181602) staining at 1/200000 dilution.

All lanes:

Western blot - Anti-Hormone sensitive lipase/HSL antibody [EPR27268-74] (ab322344) at 1/1000 dilution

Lane 1:

Human adrenal gland tissue lysate at 20 µg

Lane 2:

Human liver tissue lysate at 20 µg

Lane 3:

Human lung tissue lysate at 20 µg

Lane 4:

Human spleen tissue lysate at 20 µg

Secondary

All lanes:

Goat Anti-Rabbit IgG (HRP) with minimal cross-reactivity with human IgG at 1/2000 dilution

Observed band size: 84 kDa,36 kDa

false

Exposure time: 59s

  • Carrier free

    Anti-Hormone sensitive lipase/HSL antibody [EPR27268-74] - BSA and Azide free

Key facts

Host species

Rabbit

Clonality

Monoclonal

Clone number

EPR27268-74

Isotype

IgG

Carrier free

No

Reacts with

Human

Applications

mIHC, WB, IHC-P

applications

Immunogen

The exact immunogen used to generate this antibody is proprietary information.

Reactivity data

{ "title": "Reactivity Data", "filters": { "stats": ["", "Species", "Dilution Info", "Notes"], "tabs": { "all-applications": {"fullname" : "All Applications", "shortname": "All Applications"}, "WB" : {"fullname" : "Western blot", "shortname":"WB"}, "ICCIF" : {"fullname" : "Immunocytochemistry/ Immunofluorescence", "shortname":"ICC/IF"}, "IHCP" : {"fullname" : "Immunohistochemistry (Formalin/PFA-fixed paraffin-embedded sections)", "shortname":"IHC-P"}, "mIHC" : {"fullname" : "Multiplex immunohistochemistry", "shortname":"mIHC"} }, "product-promise": { "all": "all", "testedAndGuaranteed": "tested", "guaranteed": "expected", "predicted": "predicted", "notRecommended": "not-recommended" } }, "values": { "Human": { "WB-species-checked": "testedAndGuaranteed", "WB-species-dilution-info": "1/1000", "WB-species-notes": "<p></p>", "ICCIF-species-checked": "notRecommended", "ICCIF-species-dilution-info": "", "ICCIF-species-notes": "<p></p>", "IHCP-species-checked": "testedAndGuaranteed", "IHCP-species-dilution-info": "1/2000", "IHCP-species-notes": "<p></p> Perform heat-mediated antigen retrieval with Tris/EDTA buffer pH 9.0 before commencing with IHC staining protocol.", "mIHC-species-checked": "testedAndGuaranteed", "mIHC-species-dilution-info": "1/2000", "mIHC-species-notes": "<p></p>" } } }

Product details

Patented technology
Our RabMAb® technology is a patented hybridoma-based technology for making rabbit monoclonal antibodies. For details on our patents, please refer to RabMAb® patents.

What are the advantages of a recombinant monoclonal antibody?
This product is a recombinant monoclonal antibody, which offers several advantages including:

  • - High batch-to-batch consistency and reproducibility
  • - Improved sensitivity and specificity
  • - Long-term security of supply
  • - Animal-free batch production

For more information, read more on recombinant antibodies.

Properties and storage information

Form
Liquid
Purification technique
Affinity purification Protein A
Storage buffer
pH: 7.2 - 7.4 Preservative: 0.01% Sodium azide Constituents: PBS, 40% Glycerol (glycerin, glycerine), 0.05% BSA
Shipped at conditions
Blue Ice
Appropriate short-term storage duration
1-2 weeks
Appropriate short-term storage conditions
+4°C
Appropriate long-term storage conditions
-20°C
Aliquoting information
Upon delivery aliquot
Storage information
Avoid freeze / thaw cycle

Product protocols

For this product, it's our understanding that no specific protocols are required. You can visit:

Target data

Lipase with broad substrate specificity, catalyzing the hydrolysis of triacylglycerols (TAGs), diacylglycerols (DAGs), monoacylglycerols (MAGs), cholesteryl esters and retinyl esters (PubMed : 15716583, PubMed : 15955102, PubMed : 19800417, PubMed : 8812477). Shows a preferential hydrolysis of DAGs over TAGs and MAGs and preferentially hydrolyzes the fatty acid (FA) esters at the sn-3 position of the glycerol backbone in DAGs (PubMed : 19800417). Preferentially hydrolyzes FA esters at the sn-1 and sn-2 positions of the glycerol backbone in TAGs (By similarity). Catalyzes the hydrolysis of 2-arachidonoylglycerol, an endocannabinoid and of 2-acetyl monoalkylglycerol ether, the penultimate precursor of the pathway for de novo synthesis of platelet-activating factor (By similarity). In adipose tissue and heart, it primarily hydrolyzes stored triglycerides to free fatty acids, while in steroidogenic tissues, it principally converts cholesteryl esters to free cholesterol for steroid hormone production (By similarity).
See full target information LIPE

Product promise

We are committed to supporting your work with high-quality reagents, and we're here for you every step of the way. In the unlikely event that one of our products does not perform as expected, you're protected by our Product Promise.
For full details, please see our Terms & Conditions

Please note: All products are 'FOR RESEARCH USE ONLY. NOT FOR USE IN DIAGNOSTIC OR THERAPEUTIC PROCEDURES'.

For licensing inquiries, please contact partnerships@abcam.com