JavaScript is disabled in your browser. Please enable JavaScript to view this website.
AB201682

Anti-HOXB13 antibody [EPR17371]

Be the first to review this product! Submit a review

|

(8 Publications)

Rabbit Recombinant Monoclonal HOXB13 antibody. Suitable for IP, WB, IHC-P and reacts with Human samples. Cited in 8 publications.

View Alternative Names

Homeobox protein Hox-B13, HOXB13

6 Images
Immunohistochemistry (Formalin/PFA-fixed paraffin-embedded sections) - Anti-HOXB13 antibody [EPR17371] (AB201682)
  • IHC-P

Supplier Data

Immunohistochemistry (Formalin/PFA-fixed paraffin-embedded sections) - Anti-HOXB13 antibody [EPR17371] (AB201682)

Immunohistochemical analysis of paraffin-embedded Human carcinoma of prostate tissue labeling HOXB13 with ab201682 at 1/3000 dilution, followed by Goat Anti-Rabbit IgG H&L (HRP) (ab97051) secondary antibody at 1/500 dilution. Nuclear staining on Human carcinoma of prostate tissue is observed. Counter stained with Hematoxylin.

Secondary antibody only control : Used PBS instead of primary antibody, secondary antibody is Goat Anti-Rabbit IgG H&L (HRP) (ab97051) at 1/500 dilution.

Perform heat mediated antigen retrieval with Tris/EDTA buffer pH 9.0 before commencing with IHC staining protocol.

Immunohistochemistry (Formalin/PFA-fixed paraffin-embedded sections) - Anti-HOXB13 antibody [EPR17371] (AB201682)
  • IHC-P

Supplier Data

Immunohistochemistry (Formalin/PFA-fixed paraffin-embedded sections) - Anti-HOXB13 antibody [EPR17371] (AB201682)

Immunohistochemical analysis of paraffin-embedded Human transitional cell carcinoma of bladder tissue labeling HOXB13 with ab201682 at 1/3000 dilution, followed by Goat Anti-Rabbit IgG H&L (HRP) (ab97051) secondary antibody at 1/500 dilution. Human transitional cell carcinoma of bladder represents a HOXB13 negative tissue. Counter stained with Hematoxylin.

Secondary antibody only control : Used PBS instead of primary antibody, secondary antibody is Goat Anti-Rabbit IgG H&L (HRP) (ab97051) at 1/500 dilution.

Perform heat mediated antigen retrieval with Tris/EDTA buffer pH 9.0 before commencing with IHC staining protocol.

Immunohistochemistry (Formalin/PFA-fixed paraffin-embedded sections) - Anti-HOXB13 antibody [EPR17371] (AB201682)
  • IHC-P

Supplier Data

Immunohistochemistry (Formalin/PFA-fixed paraffin-embedded sections) - Anti-HOXB13 antibody [EPR17371] (AB201682)

Immunohistochemical analysis of paraffin-embedded Human cerebral cortex tissue labeling HOXB13 with ab201682 at 1/3000 dilution, followed by Goat Anti-Rabbit IgG H&L (HRP) (ab97051) secondary antibody at 1/500 dilution. Human cerebral cortex represents a HOXB13 negative tissue. Counter stained with Hematoxylin.

Secondary antibody only control : Used PBS instead of primary antibody, secondary antibody is Goat Anti-Rabbit IgG H&L (HRP) (ab97051) at 1/500 dilution.

Perform heat mediated antigen retrieval with Tris/EDTA buffer pH 9.0 before commencing with IHC staining protocol.

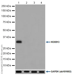
Western blot - Anti-HOXB13 antibody [EPR17371] (AB201682)
  • WB

Supplier Data

Western blot - Anti-HOXB13 antibody [EPR17371] (AB201682)

Blocking/Dilution buffer : 5% NFDM/TBST.

HOXB13 is predominantly expressed in the prostate.

All lanes:

Western blot - Anti-HOXB13 antibody [EPR17371] (ab201682) at 1/5000 dilution

Lane 1:

Human prostate cancer lysate at 10 µg

Lane 2:

Human fetal brain lysate at 10 µg

Lane 3:

Human fetal kidney lysate at 10 µg

Lane 4:

Human fetal spleen lysate at 10 µg

Secondary

All lanes:

Anti-Rabbit IgG (HRP), specific to the non-reduced form of IgG at 1/1000 dilution

Predicted band size: 30 kDa

Observed band size: 31 kDa

false

Exposure time: 1min

Western blot - Anti-HOXB13 antibody [EPR17371] (AB201682)
  • WB

Supplier Data

Western blot - Anti-HOXB13 antibody [EPR17371] (AB201682)

Blocking/Dilution buffer : 5% NFDM/TBST.

HOXB13 is predominantly expressed in the prostate.

All lanes:

Western blot - Anti-HOXB13 antibody [EPR17371] (ab201682) at 1/5000 dilution

Lane 1:

LNCaP (Human prostate cancer cell line) cell lysate at 10 µg

Lane 2:

PC-3 (Human prostate cancer cell line) cell lysate at 10 µg

Secondary

All lanes:

Goat Anti-Rabbit IgG, (H+L), Peroxidase conjugated at 1/1000 dilution

Predicted band size: 30 kDa

Observed band size: 31 kDa

false

Exposure time: 1min

Immunoprecipitation - Anti-HOXB13 antibody [EPR17371] (AB201682)
  • IP

Lab

Immunoprecipitation - Anti-HOXB13 antibody [EPR17371] (AB201682)

ab201682 (purified) at 1/20 dilution immunoprecipitating HOXB13 in LNCaP (Human prostate carcinoma epithelial cell) whole cell lysate 10 μg.
Lane 1 (input) : LNCaP (Human prostate carcinoma epithelial cell) whole cell lysate 10 μg
Lane 2 (+) : ab201682 & LnCaP whole cell lysate
Lane 3 (-) : Rabbit monoclonal IgG (ab172730) instead of ab201682 in LnCaP whole cell lysate

For western blotting, ab201682 at 1/500 dilution (0.15 μg/mL) and veriBlot for IP secondary antibody (HRP) (ab131366) at 1/1000 dilution was used.
Blocking and diluting buffer : 5% NFDM /TBST.

All lanes:

Immunoprecipitation - Anti-HOXB13 antibody [EPR17371] (ab201682)

Predicted band size: 30 kDa

false

  • Carrier free

    Anti-HOXB13 antibody [EPR17371] - BSA and Azide free

  • 565 Alexa Fluor® 555

    Alexa Fluor® 555 Anti-HOXB13 antibody [EPR17371]

  • 578 PE

    PE Anti-HOXB13 antibody [EPR17371]

  • 617 Alexa Fluor® 594

    Alexa Fluor® 594 Anti-HOXB13 antibody [EPR17371]

  • 665 Alexa Fluor® 647

    Alexa Fluor® 647 Anti-HOXB13 antibody [EPR17371]

  • 660 APC

    APC Anti-HOXB13 antibody [EPR17371]

  • 519 Alexa Fluor® 488

    Alexa Fluor® 488 Anti-HOXB13 antibody [EPR17371]

  • 775 Alexa Fluor® 750

    Alexa Fluor® 750 Anti-HOXB13 antibody [EPR17371]

Key facts

Host species

Rabbit

Clonality

Monoclonal

Clone number

EPR17371

Isotype

IgG

Carrier free

No

Reacts with

Human

Applications

WB, IHC-P, IP

applications

Immunogen

The exact immunogen used to generate this antibody is proprietary information.

Reactivity data

{ "title": "Reactivity Data", "filters": { "stats": ["", "Species", "Dilution Info", "Notes"], "tabs": { "all-applications": {"fullname" : "All Applications", "shortname": "All Applications"}, "IP" : {"fullname" : "Immunoprecipitation", "shortname":"IP"}, "WB" : {"fullname" : "Western blot", "shortname":"WB"}, "IHCP" : {"fullname" : "Immunohistochemistry (Formalin/PFA-fixed paraffin-embedded sections)", "shortname":"IHC-P"} }, "product-promise": { "all": "all", "testedAndGuaranteed": "tested", "guaranteed": "expected", "predicted": "predicted", "notRecommended": "not-recommended" } }, "values": { "Human": { "IP-species-checked": "testedAndGuaranteed", "IP-species-dilution-info": "1/20", "IP-species-notes": "<p></p> Perform heat-mediated antigen retrieval with Tris/EDTA buffer pH 9.0 before commencing with IHC staining protocol.", "WB-species-checked": "testedAndGuaranteed", "WB-species-dilution-info": "1/5000", "WB-species-notes": "<p></p>", "IHCP-species-checked": "testedAndGuaranteed", "IHCP-species-dilution-info": "1/3000", "IHCP-species-notes": "<p></p> Perform heat-mediated antigen retrieval with Tris/EDTA buffer pH 9.0 before commencing with IHC staining protocol." } } }

Product details

Patented technology
Our RabMAb® technology is a patented hybridoma-based technology for making rabbit monoclonal antibodies. For details on our patents, please refer to RabMAb® patents.

What are the advantages of a recombinant monoclonal antibody?
This product is a recombinant monoclonal antibody, which offers several advantages including:

  • - High batch-to-batch consistency and reproducibility
  • - Improved sensitivity and specificity
  • - Long-term security of supply
  • - Animal-free batch production

For more information, read more on recombinant antibodies.

Properties and storage information

Form
Liquid
Purification technique
Affinity purification Protein A
Storage buffer
pH: 7.2 - 7.4 Preservative: 0.01% Sodium azide Constituents: 59% PBS, 40% Glycerol (glycerin, glycerine), 0.05% BSA
Shipped at conditions
Blue Ice
Appropriate short-term storage duration
1-2 weeks
Appropriate short-term storage conditions
+4°C
Appropriate long-term storage conditions
-20°C
Aliquoting information
Upon delivery aliquot
Storage information
Avoid freeze / thaw cycle

Supplementary information

This supplementary information is collated from multiple sources and compiled automatically.

HOXB13 also known as Homeobox protein Hox-B13 is a transcription factor with an important role in gene regulation. It weighs around 30 kDa. HOXB13 is part of the homeobox gene family which means it contains a DNA-binding domain known as the homeodomain. HOXB13 primarily expresses in the prostate skin and parts of the intestine. In these tissues it regulates specific genes that drive cellular development and differentiation processes.
Biological function summary

HOXB13 guides tissue patterning and morphological development. It functions within a group of proteins forming transcriptional regulatory complexes. This protein influences cellular differentiation especially in the prostate and plays a part in epidermal development. HOXB13's regulatory functions extend to several genes that define cell fate and organogenesis contributing significantly to tissue-specific function.

Pathways

HOXB13 interacts heavily within the Wnt signaling pathway which is key for cell proliferation and differentiation. It also interfaces with the androgen receptor signaling pathway. HOXB13 modulates genes influenced by androgen signaling thereby impacting cell growth and differentiation in the prostate. Moreover its interaction with proteins such as β-catenin within the Wnt pathway highlights its involvement in cell development and communication.

HOXB13 has associations with prostate cancer and colorectal cancer. Mutations or dysregulation of HOXB13 can alter normal cellular behavior leading to malignancies in these tissues. In prostate cancer HOXB13 can interact with other proteins like the androgen receptor that drive tumor progression through aberrant signaling. In colorectal cancer HOXB13's role in gene regulation can lead to disrupted cellular homeostasis when mutated contributing to tumorigenesis.

Product protocols

For this product, it's our understanding that no specific protocols are required. You can visit:

Target data

Sequence-specific transcription factor which is part of a developmental regulatory system that provides cells with specific positional identities on the anterior-posterior axis. Binds preferentially to methylated DNA (PubMed : 28473536).
See full target information HOXB13

Publications (8)

Recent publications for all applications. Explore the full list and refine your search

Diagnostics (Basel, Switzerland) 13: PubMed37627895

2023

Differential Protein Expression Patterns of HOXA13 and HOXB13 Are Associated with Bladder Cancer Progression.

Applications

Unspecified application

Species

Unspecified reactive species

Fee-Wai Chin,Huzlinda Hussin,De-Ming Chau,Teng-Aik Ong,Rosna Yunus,Azad Hassan Abdul Razack,Khatijah Yusoff,Soon-Choy Chan,Abhi Veerakumarasivam

Romanian journal of morphology and embryology = Revue roumaine de morphologie et embryologie 62:41-52 PubMed34609407

2021

HOXB13 and TFF3 can contribute to the prognostic stratification of prostate adenocarcinoma.

Applications

Unspecified application

Species

Unspecified reactive species

Andrei Daniel Timofte,Simona Eliza Giuşcă,Ludmila Lozneanu,Mariana Bianca Manole,Iulian Prutianu,Bogdan Gafton,Andreea Rusu,Irina Draga Căruntu

Molecular medicine reports 24: PubMed34396425

2021

HOXB13 suppresses proliferation, migration and invasion, and promotes apoptosis of gastric cancer cells through transcriptional activation of VGLL4 to inhibit the involvement of TEAD4 in the Hippo signaling pathway.

Applications

Unspecified application

Species

Unspecified reactive species

Hui Geng,Guangli Liu,Jiandong Hu,Jianchao Li,Dong Wang,Shenshan Zou,Xintao Xu

Frontiers in cell and developmental biology 9:621187 PubMed34354990

2021

MiR-421 Binds to PINK1 and Enhances Neural Stem Cell Self-Renewal HDAC3-Dependent FOXO3 Activation.

Applications

Unspecified application

Species

Unspecified reactive species

Jiaoying Jia,Ming Wang,Min Liu,Zhigang Tan,Yan Cui,Mengqiang Yu

The Prostate 80:1263-1269 PubMed32761950

2020

A hemi-spleen injection model of liver metastasis for prostate cancer.

Applications

Unspecified application

Species

Unspecified reactive species

Brian W Simons,Susan Dalrymple,Marc Rosen,Lei Zheng,W Nathaniel Brennen

eLife 9: PubMed32553107

2020

MEIS-mediated suppression of human prostate cancer growth and metastasis through HOXB13-dependent regulation of proteoglycans.

Applications

Unspecified application

Species

Unspecified reactive species

Calvin VanOpstall,Srikanth Perike,Hannah Brechka,Marc Gillard,Sophia Lamperis,Baizhen Zhu,Ryan Brown,Raj Bhanvadia,Donald J Vander Griend

Nature communications 11:441 PubMed31974375

2020

Noncoding mutations target cis-regulatory elements of the FOXA1 plexus in prostate cancer.

Applications

Unspecified application

Species

Unspecified reactive species

Stanley Zhou,James R Hawley,Fraser Soares,Giacomo Grillo,Mona Teng,Seyed Ali Madani Tonekaboni,Junjie Tony Hua,Ken J Kron,Parisa Mazrooei,Musaddeque Ahmed,Christopher Arlidge,Hwa Young Yun,Julie Livingstone,Vincent Huang,Takafumi N Yamaguchi,Shadrielle M G Espiritu,Yanyun Zhu,Tesa M Severson,Alex Murison,Sarina Cameron,Wilbert Zwart,Theodorus van der Kwast,Trevor J Pugh,Michael Fraser,Paul C Boutros,Robert G Bristow,Housheng Hansen He,Mathieu Lupien

Cancer cell 36:674-689.e6 PubMed31735626

2019

Cistrome Partitioning Reveals Convergence of Somatic Mutations and Risk Variants on Master Transcription Regulators in Primary Prostate Tumors.

Applications

Unspecified application

Species

Unspecified reactive species

Parisa Mazrooei,Ken J Kron,Yanyun Zhu,Stanley Zhou,Giacomo Grillo,Tahmid Mehdi,Musaddeque Ahmed,Tesa M Severson,Paul Guilhamon,Nicholas Sinnott Armstrong,Vincent Huang,Takafumi N Yamaguchi,Michael Fraser,Theodorus van der Kwast,Paul C Boutros,Housheng Hansen He,Andries M Bergman,Robert G Bristow,Wilbert Zwart,Mathieu Lupien
View all publications

Product promise

We are committed to supporting your work with high-quality reagents, and we're here for you every step of the way. In the unlikely event that one of our products does not perform as expected, you're protected by our Product Promise.
For full details, please see our Terms & Conditions

Please note: All products are 'FOR RESEARCH USE ONLY. NOT FOR USE IN DIAGNOSTIC OR THERAPEUTIC PROCEDURES'.

For licensing inquiries, please contact partnerships@abcam.com