JavaScript is disabled in your browser. Please enable JavaScript to view this website.
AB247433

Anti-HOXB4 antibody [EP1919Y] - BSA and Azide free

Be the first to review this product! Submit a review

|

(1 Publication)

Rabbit Recombinant Monoclonal HOXB4 antibody. Carrier free. Suitable for IHC-P, IP, WB, ICC/IF, Flow Cyt (Intra) and reacts with Human samples. Cited in 1 publication.

View Alternative Names

HOX2F, HOXB4, Homeobox protein Hox-B4, Homeobox protein Hox-2.6, Homeobox protein Hox-2F

4 Images
Flow Cytometry (Intracellular) - Anti-HOXB4 antibody [EP1919Y] - BSA and Azide free (AB247433)
  • Flow Cyt (Intra)

Unknown

Flow Cytometry (Intracellular) - Anti-HOXB4 antibody [EP1919Y] - BSA and Azide free (AB247433)

Intracellular Flow Cytometry analysis of K-562 (Human chronic myelogenous leukemia lymphoblast) cells labeling HOXB4 with purified ab76093 at 1/100 dilution (10 μg/ml) (Red). Cells were fixed with 4% Paraformaldehyde and permeabilised with 90% Methanol. A Goat anti rabbit IgG (Alexa Fluor® 488, ab150077) secondary antibody was used at 1/2000. Isotype control - Rabbit monoclonal IgG (Black). Unlabeled control - Cell without incubation with primary antibody and secondary antibody (Blue). This data was developed using the same antibody clone in a different buffer formulation containing PBS, BSA, glycerol, and sodium azide (ab76093)

Immunocytochemistry/ Immunofluorescence - Anti-HOXB4 antibody [EP1919Y] - BSA and Azide free (AB247433)
  • ICC/IF

Unknown

Immunocytochemistry/ Immunofluorescence - Anti-HOXB4 antibody [EP1919Y] - BSA and Azide free (AB247433)

Immunocytochemistry/ Immunofluorescence analysis of K-562 (Human chronic myelogenous leukemia lymphoblast) cells labeling HOXB4 with purified ab76093 at 1 : 100 dilution (10 µg/ml). Cells were fixed in 4% Paraformaldehyde and permeabilized with 0.1% tritonX-100. Cells were counterstained with ab195889 Anti-alpha Tubulin antibody [DM1A] - Microtubule Marker (Alexa Fluor® 594) 1 : 200 (2.5 µg/ml). Goat anti rabbit IgG (Alexa Fluor® 488, ab150077) was used as the secondary antibody at 1 : 1000 (2 µg/ml) dilution. DAPI (blue) was used as nuclear counterstain. PBS instead of the primary antibody was used as the secondary antibody only control.
This data was developed using the same antibody clone in a different buffer formulation containing PBS, BSA, glycerol, and sodium azide (ab76093)

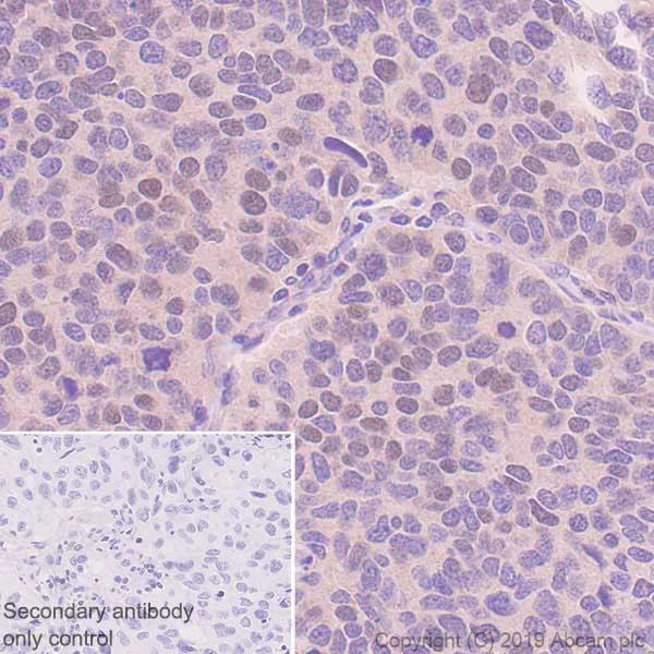
Immunohistochemistry (Formalin/PFA-fixed paraffin-embedded sections) - Anti-HOXB4 antibody [EP1919Y] - BSA and Azide free (AB247433)
  • IHC-P

Unknown

Immunohistochemistry (Formalin/PFA-fixed paraffin-embedded sections) - Anti-HOXB4 antibody [EP1919Y] - BSA and Azide free (AB247433)

Immunohistochemistry (Formalin/PFA-fixed paraffin-embedded sections) analysis of human lung carcinoma tissue sections labeling HOXB4 with purified ab76093 at 1 : 100 dilution (11.86 µg/ml). Heat mediated antigen retrieval was performed using ab93684 (Tris/EDTA buffer, pH 9.0). ImmunoHistoProbe one step HRP Polymer (ready to use) was used as the secondary antibody. Negative control : PBS instead of the primary antibody. Hematoxylin was used as a counterstain.
This data was developed using the same antibody clone in a different buffer formulation containing PBS, BSA, glycerol, and sodium azide (ab76093)

Immunoprecipitation - Anti-HOXB4 antibody [EP1919Y] - BSA and Azide free (AB247433)
  • IP

Unknown

Immunoprecipitation - Anti-HOXB4 antibody [EP1919Y] - BSA and Azide free (AB247433)

ab76093 (Purified) at 1 : 60 dilution (2 µg) immunoprecipitating HOXB4 in K-562 whole cell lysate.
Lane 1 (input) : K-562 (Human chronic myelogenous leukemia lymphoblast) whole cell lysate 10 µg
Lane 2 (+) : ab76093 & K-562 whole cell lysate
Lane 3 (-) : Rabbit monoclonal IgG (ab172730) instead of ab76093 in K-562 whole cell lysate
For western blotting, VeriBlot for IP Detection Reagent (HRP) (ab131366) was used at 1 : 1000 dilution.
Blocking and diluting buffer : 5% NFDM/TBST.
This data was developed using the same antibody clone in a different buffer formulation containing PBS, BSA, glycerol, and sodium azide (ab76093)

All lanes:

Immunoprecipitation - Anti-HOXB4 antibody [EP1919Y] (<a href='/en-us/products/primary-antibodies/hoxb4-antibody-ep1919y-ab76093'>ab76093</a>)

Predicted band size: 28 kDa

false

Key facts

Host species

Rabbit

Clonality

Monoclonal

Clone number

EP1919Y

Isotype

IgG

Carrier free

Yes

Reacts with

Human

Applications

IHC-P, Flow Cyt (Intra), WB, ICC/IF, IP

applications

Immunogen

The exact immunogen used to generate this antibody is proprietary information.

Reactivity data

{ "title": "Reactivity Data", "filters": { "stats": ["", "Species", "Dilution Info", "Notes"], "tabs": { "all-applications": {"fullname" : "All Applications", "shortname": "All Applications"}, "IHCP" : {"fullname" : "Immunohistochemistry (Formalin/PFA-fixed paraffin-embedded sections)", "shortname":"IHC-P"}, "IP" : {"fullname" : "Immunoprecipitation", "shortname":"IP"}, "WB" : {"fullname" : "Western blot", "shortname":"WB"}, "ICCIF" : {"fullname" : "Immunocytochemistry/ Immunofluorescence", "shortname":"ICC/IF"}, "FlowCytIntra" : {"fullname" : "Flow Cytometry (Intracellular)", "shortname":"Flow Cyt (Intra)"} }, "product-promise": { "all": "all", "testedAndGuaranteed": "tested", "guaranteed": "expected", "predicted": "predicted", "notRecommended": "not-recommended" } }, "values": { "Human": { "IHCP-species-checked": "testedAndGuaranteed", "IHCP-species-dilution-info": "", "IHCP-species-notes": "<p></p>", "IP-species-checked": "testedAndGuaranteed", "IP-species-dilution-info": "", "IP-species-notes": "<p></p>", "WB-species-checked": "guaranteed", "WB-species-dilution-info": "", "WB-species-notes": "<p></p>", "ICCIF-species-checked": "testedAndGuaranteed", "ICCIF-species-dilution-info": "1/100", "ICCIF-species-notes": "<p></p>", "FlowCytIntra-species-checked": "testedAndGuaranteed", "FlowCytIntra-species-dilution-info": "", "FlowCytIntra-species-notes": "<p></p>" } } }

Product details

ab247433 is the carrier-free version of ab76093.

Species reactivity
Mouse, Rat: We have preliminary internal testing data to indicate this antibody may not react with these species.
Please contact us for more information.

Patented technology
Our RabMAb® technology is a patented hybridoma-based technology for making rabbit monoclonal antibodies. For details on our patents, please refer to RabMAb® patents.

What are the advantages of a recombinant monoclonal antibody?
This product is a recombinant monoclonal antibody, which offers several advantages including:

  • - High batch-to-batch consistency and reproducibility
  • - Improved sensitivity and specificity
  • - Long-term security of supply
  • - Animal-free batch production

For more information, read more on recombinant antibodies.

Conjugation ready
Our carrier-free antibodies are typically supplied in a PBS-only formulation, purified and free of BSA, sodium azide and glycerol. This conjugation-ready format is designed for use with fluorochromes, metal isotopes, oligonucleotides, and enzymes, which makes them ideal for antibody labelling, functional and cell-based assays, flow-based assays (e.g. mass cytometry) and Multiplex Imaging applications.

Use our conjugation kits for antibody conjugates that are ready-to-use in as little as 20 minutes with 1 minute hands-on-time and 100% antibody recovery: available for fluorescent dyes, HRP, biotin and gold.

Compatibility
This product is compatible with the Maxpar® Antibody Labeling Kit from Fluidigm, without the need for antibody preparation. Maxpar® is a trademark of Fluidigm Canada Inc.

Properties and storage information

Form
Liquid
Purification technique
Affinity purification Protein A
Storage buffer
pH: 7.2 - 7.4 Constituents: PBS
Shipped at conditions
Blue Ice
Appropriate short-term storage conditions
+4°C
Appropriate long-term storage conditions
+4°C
Storage information
Do Not Freeze

Supplementary information

This supplementary information is collated from multiple sources and compiled automatically.

HOXB4 is a homeobox protein that functions as a transcription factor and is alternatively known as Homeobox protein Hox-B4. It plays a role in the regulation of gene expression influencing cell differentiation and development. The molecular weight of HOXB4 is approximately 28 kDa. This protein is mostly expressed in embryonic tissues and certain adult tissues including the bone marrow where it plays a part in hematopoiesis.
Biological function summary

HOXB4 is essential in maintaining stem cell populations and directing hematopoietic stem cell differentiation. It does not form part of any large complex but it interacts with DNA to control the expression of specific genes critical for cellular development. By regulating these genes HOXB4 influences the proper formation of body structures during embryogenesis.

Pathways

HOXB4 is involved in the hematopoietic cell lineage and the anterior-posterior patterning pathway. It works alongside other Hox family proteins to establish the identity of cells and tissues along the body axis. A vital interaction exists with HOXA9 within these pathways which embodies collaborative control over blood cell formation and differentiation.

Abnormalities in HOXB4 expression link to certain types of leukemia and other blood-related disorders. Overexpression can lead to increased proliferation of hematopoietic stem cells causing a potential risk in developing acute myeloid leukemia. Interaction with proteins like HOXA9 has been observed in these contexts indicating a complex network of genetic regulation disruption associated with the onset of myeloproliferative diseases.

Product protocols

For this product, it's our understanding that no specific protocols are required. You can visit:

Target data

Sequence-specific transcription factor which is part of a developmental regulatory system that provides cells with specific positional identities on the anterior-posterior axis.
See full target information HOXB4

Publications (1)

Recent publications for all applications. Explore the full list and refine your search

Nature genetics 57:1142-1154 PubMed40229600

2025

Longitudinal single-cell multiomic atlas of high-risk neuroblastoma reveals chemotherapy-induced tumor microenvironment rewiring.

Applications

Unspecified application

Species

Unspecified reactive species

Wenbao Yu,Rumeysa Biyik-Sit,Yasin Uzun,Chia-Hui Chen,Anusha Thadi,Jonathan H Sussman,Minxing Pang,Chi-Yun Wu,Liron D Grossmann,Peng Gao,David W Wu,Aliza Yousey,Mei Zhang,Christina S Turn,Zhan Zhang,Shovik Bandyopadhyay,Jeffrey Huang,Tasleema Patel,Changya Chen,Daniel Martinez,Lea F Surrey,Michael D Hogarty,Kathrin Bernt,Nancy R Zhang,John M Maris,Kai Tan
View all publications

Product promise

We are committed to supporting your work with high-quality reagents, and we're here for you every step of the way. In the unlikely event that one of our products does not perform as expected, you're protected by our Product Promise.
For full details, please see our Terms & Conditions

Please note: All products are 'FOR RESEARCH USE ONLY. NOT FOR USE IN DIAGNOSTIC OR THERAPEUTIC PROCEDURES'.

For licensing inquiries, please contact partnerships@abcam.com