JavaScript is disabled in your browser. Please enable JavaScript to view this website.
AB227478

Anti-HP1 gamma/CBX3 antibody

Be the first to review this product! Submit a review

|

(1 Publication)

Rabbit Polyclonal HP1 gamma/CBX3 antibody. Suitable for IP, WB, IHC-P, ICC/IF and reacts with Human, Mouse samples. Cited in 1 publication. Immunogen corresponding to Recombinant Fragment Protein within Human CBX3.

View Alternative Names

Chromobox protein homolog 3, HECH, Heterochromatin protein 1 homolog gamma, Modifier 2 protein, HP1 gamma, CBX3

8 Images
Immunocytochemistry/ Immunofluorescence - Anti-HP1 gamma/CBX3 antibody (AB227478)
  • ICC/IF

Supplier Data

Immunocytochemistry/ Immunofluorescence - Anti-HP1 gamma/CBX3 antibody (AB227478)

Paraformaldehyde-fixed HeLa (human epithelial cell line from cervix adenocarcinoma) cells stained for HP1 gamma/CBX3 (green) using ab227478 at 1/500 dilution in ICC/IF.

Alpha-tubulin filaments were labeled with an anti-alpha tubulin antibody at 1/2000 dilution (red).

Immunohistochemistry (Formalin/PFA-fixed paraffin-embedded sections) - Anti-HP1 gamma/CBX3 antibody (AB227478)
  • IHC-P

Supplier Data

Immunohistochemistry (Formalin/PFA-fixed paraffin-embedded sections) - Anti-HP1 gamma/CBX3 antibody (AB227478)

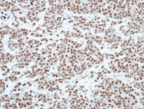
Paraffin-embedded TOV-21G (human) xenograft tissue stained for HP1 gamma/CBX3 using ab227478 at 1/250 dilution in immunohistochemical analysis.

Immunoprecipitation - Anti-HP1 gamma/CBX3 antibody (AB227478)
  • IP

Supplier Data

Immunoprecipitation - Anti-HP1 gamma/CBX3 antibody (AB227478)

HP1 gamma/CBX3 was immunoprecipitated from HeLa (human epithelial cell line from cervix adenocarcinoma) whole cell lysate with 2 μg ab227478. Western blot was performed from the immunoprecipitate using ab227478 at 1/1000 dilution. Anti-Rabbit IgG was used as a secondary reagent.

Lane 1 : HeLa whole cell lysate 40 μg.

Lane 2 : Control IP in HeLa whole cell lysate with 2 μg of preimmune rabbit IgG.

Lane 3 : ab227478 IP in HeLa whole cell lysate.

15% SDS-PAGE gel.

All lanes:

Immunoprecipitation - Anti-HP1 gamma/CBX3 antibody (ab227478)

Predicted band size: 20 kDa

false

Immunohistochemistry (Formalin/PFA-fixed paraffin-embedded sections) - Anti-HP1 gamma/CBX3 antibody (AB227478)
  • IHC-P

Supplier Data

Immunohistochemistry (Formalin/PFA-fixed paraffin-embedded sections) - Anti-HP1 gamma/CBX3 antibody (AB227478)

Paraffin-embedded mouse duodenum tissue stained for HP1 gamma/CBX3 using ab227478 at 1/500 dilution in immunohistochemical analysis.

Immunohistochemistry (Formalin/PFA-fixed paraffin-embedded sections) - Anti-HP1 gamma/CBX3 antibody (AB227478)
  • IHC-P

Supplier Data

Immunohistochemistry (Formalin/PFA-fixed paraffin-embedded sections) - Anti-HP1 gamma/CBX3 antibody (AB227478)

Paraffin-embedded mouse brain tissue stained for HP1 gamma/CBX3 using ab227478 at 1/500 dilution in immunohistochemical analysis.

Western blot - Anti-HP1 gamma/CBX3 antibody (AB227478)
  • WB

Lab

Western blot - Anti-HP1 gamma/CBX3 antibody (AB227478)

All lanes:

Western blot - Anti-HP1 gamma/CBX3 antibody (ab227478) at 1/20000 dilution

All lanes:

WT HeLa cell extract at 30 µg

Secondary

All lanes:

HRP-conjugated anti-rabbit IgG

Predicted band size: 20 kDa

false

Western blot - Anti-HP1 gamma/CBX3 antibody (AB227478)
  • WB

Supplier Data

Western blot - Anti-HP1 gamma/CBX3 antibody (AB227478)

12% SDS-PAGE gel.

All lanes:

Western blot - Anti-HP1 gamma/CBX3 antibody (ab227478) at 1/10000 dilution

All lanes:

HepG2 (human liver hepatocellular carcinoma cell line) whole cell lysate at 30 µg

Predicted band size: 20 kDa

false

Western blot - Anti-HP1 gamma/CBX3 antibody (AB227478)
  • WB

Supplier Data

Western blot - Anti-HP1 gamma/CBX3 antibody (AB227478)

15% SDS-PAGE gel.

All lanes:

Western blot - Anti-HP1 gamma/CBX3 antibody (ab227478) at 1/20000 dilution

Lane 1:

Wild-type HeLa (human epithelial cell line from cervix adenocarcinoma) cell extract at 30 µg

Lane 2:

HP1 gamma knockout HeLa (human epithelial cell line from cervix adenocarcinoma) cell extract at 30 µg

Secondary

All lanes:

HRP-conjugated anti-rabbit IgG

Predicted band size: 20 kDa

false

Key facts

Host species

Rabbit

Clonality

Polyclonal

Isotype

IgG

Carrier free

No

Reacts with

Mouse, Human

Applications

IP, IHC-P, ICC/IF, WB

applications

Immunogen

Recombinant Fragment Protein within Human CBX3. The exact immunogen used to generate this antibody is proprietary information.

Q13185

Reactivity data

{ "title": "Reactivity Data", "filters": { "stats": ["", "Species", "Dilution Info", "Notes"], "tabs": { "all-applications": {"fullname" : "All Applications", "shortname": "All Applications"}, "IP" : {"fullname" : "Immunoprecipitation", "shortname":"IP"}, "WB" : {"fullname" : "Western blot", "shortname":"WB"}, "IHCP" : {"fullname" : "Immunohistochemistry (Formalin/PFA-fixed paraffin-embedded sections)", "shortname":"IHC-P"}, "ICCIF" : {"fullname" : "Immunocytochemistry/ Immunofluorescence", "shortname":"ICC/IF"} }, "product-promise": { "all": "all", "testedAndGuaranteed": "tested", "guaranteed": "expected", "predicted": "predicted", "notRecommended": "not-recommended" } }, "values": { "Human": { "IP-species-checked": "testedAndGuaranteed", "IP-species-dilution-info": "1/100 - 1/500", "IP-species-notes": "<p></p>", "WB-species-checked": "testedAndGuaranteed", "WB-species-dilution-info": "1/5000 - 1/20000", "WB-species-notes": "<p></p>", "IHCP-species-checked": "testedAndGuaranteed", "IHCP-species-dilution-info": "1/100 - 1/1000", "IHCP-species-notes": "<p></p>", "ICCIF-species-checked": "testedAndGuaranteed", "ICCIF-species-dilution-info": "1/100 - 1/1000", "ICCIF-species-notes": "<p></p>" }, "Mouse": { "IP-species-checked": "guaranteed", "IP-species-dilution-info": "", "IP-species-notes": "", "WB-species-checked": "guaranteed", "WB-species-dilution-info": "", "WB-species-notes": "", "IHCP-species-checked": "testedAndGuaranteed", "IHCP-species-dilution-info": "1/100 - 1/1000", "IHCP-species-notes": "<p></p>", "ICCIF-species-checked": "guaranteed", "ICCIF-species-dilution-info": "", "ICCIF-species-notes": "" }, "Rat": { "IP-species-checked": "predicted", "IP-species-dilution-info": "", "IP-species-notes": "", "WB-species-checked": "predicted", "WB-species-dilution-info": "", "WB-species-notes": "", "IHCP-species-checked": "predicted", "IHCP-species-dilution-info": "", "IHCP-species-notes": "", "ICCIF-species-checked": "predicted", "ICCIF-species-dilution-info": "", "ICCIF-species-notes": "" }, "Chicken": { "IP-species-checked": "predicted", "IP-species-dilution-info": "", "IP-species-notes": "", "WB-species-checked": "predicted", "WB-species-dilution-info": "", "WB-species-notes": "", "IHCP-species-checked": "predicted", "IHCP-species-dilution-info": "", "IHCP-species-notes": "", "ICCIF-species-checked": "predicted", "ICCIF-species-dilution-info": "", "ICCIF-species-notes": "" }, "Cow": { "IP-species-checked": "predicted", "IP-species-dilution-info": "", "IP-species-notes": "", "WB-species-checked": "predicted", "WB-species-dilution-info": "", "WB-species-notes": "", "IHCP-species-checked": "predicted", "IHCP-species-dilution-info": "", "IHCP-species-notes": "", "ICCIF-species-checked": "predicted", "ICCIF-species-dilution-info": "", "ICCIF-species-notes": "" }, "Rhesus monkey": { "IP-species-checked": "predicted", "IP-species-dilution-info": "", "IP-species-notes": "", "WB-species-checked": "predicted", "WB-species-dilution-info": "", "WB-species-notes": "", "IHCP-species-checked": "predicted", "IHCP-species-dilution-info": "", "IHCP-species-notes": "", "ICCIF-species-checked": "predicted", "ICCIF-species-dilution-info": "", "ICCIF-species-notes": "" }, "Xenopus laevis": { "IP-species-checked": "predicted", "IP-species-dilution-info": "", "IP-species-notes": "", "WB-species-checked": "predicted", "WB-species-dilution-info": "", "WB-species-notes": "", "IHCP-species-checked": "predicted", "IHCP-species-dilution-info": "", "IHCP-species-notes": "", "ICCIF-species-checked": "predicted", "ICCIF-species-dilution-info": "", "ICCIF-species-notes": "" } } }

Properties and storage information

Form
Liquid
Purification technique
Affinity purification Immunogen
Storage buffer
pH: 7 Preservative: 0.01% Thimerosal (merthiolate) Constituents: PBS, 20% Glycerol (glycerin, glycerine), 1% BSA
Shipped at conditions
Blue Ice
Appropriate short-term storage duration
1-2 weeks
Appropriate short-term storage conditions
+4°C
Appropriate long-term storage conditions
-20°C
Aliquoting information
Upon delivery aliquot
Storage information
Avoid freeze / thaw cycle

Supplementary information

This supplementary information is collated from multiple sources and compiled automatically.

The HP1 gamma protein also known as CBX3 is an essential component of the chromatin organization machinery. It has a molecular weight of approximately 22-25 kDa. HP1 gamma is expressed in a variety of tissues including brain liver and muscle indicating its broad functional involvement across different biological systems. It exhibits a high affinity for binding to histone H3 when it is methylated facilitating the formation of heterochromatin which is key to regulating gene expression and maintaining genome stability.
Biological function summary

HP1 gamma plays a significant role in gene silencing and chromatin structure maintenance. It forms part of a protein complex that includes chromatin remodeling enzymes and transcriptional repressors which help regulate access to genomic DNA. HP1 gamma's association with other chromatin-associated proteins helps modulate the transcriptional response to cellular stimuli ensuring appropriate gene expression patterns needed for normal cell function and development.

Pathways

HP1 gamma is involved in heterochromatin formation and maintenance pathways working alongside other proteins like SUV39H1 and HP1 alpha. Through these pathways HP1 gamma ensures the compact organization of repetitive DNA sequences and suppresses unnecessary transcription. It is also involved in the DNA damage response pathway playing a role in preserving genomic integrity by interacting with proteins such as BRCA1 and 53BP1 involved in DNA repair.

HP1 gamma's dysregulation has been associated with cancer and neurological disorders. Overexpression or mutations in this protein can lead to aberrant gene silencing contributing to oncogenesis where cancer-related genes become improperly regulated. Additionally alterations in HP1 gamma function are linked to neurodegenerative diseases potentially through its interaction with proteins like MECP2 whereby changes in the chromatin environment influence neuronal gene expression and function. Therefore understanding HP1 gamma's role provides insights into potential therapeutic targets for these conditions.

Product protocols

For this product, it's our understanding that no specific protocols are required. You can visit:

Target data

Seems to be involved in transcriptional silencing in heterochromatin-like complexes. Recognizes and binds histone H3 tails methylated at 'Lys-9', leading to epigenetic repression. May contribute to the association of the heterochromatin with the inner nuclear membrane through its interaction with lamin B receptor (LBR). Involved in the formation of functional kinetochore through interaction with MIS12 complex proteins. Contributes to the conversion of local chromatin to a heterochromatin-like repressive state through H3 'Lys-9' trimethylation, mediates the recruitment of the methyltransferases SUV39H1 and/or SUV39H2 by the PER complex to the E-box elements of the circadian target genes such as PER2 itself or PER1. Mediates the recruitment of NIPBL to sites of DNA damage at double-strand breaks (DSBs) (PubMed : 28167679).
See full target information CBX3

Publications (1)

Recent publications for all applications. Explore the full list and refine your search

Frontiers in oncology 15:1633464 PubMed40837015

2025

Chorordin-like 1 inhibits pancreatic cancer cell migration and invasion: involvement of the BMP4/SMAD pathway.

Applications

Unspecified application

Species

Unspecified reactive species

Wei Li,Yalan Zhong,Yuqiao Song,Hongmei Wang,Zheng Jiang
View all publications

Product promise

We are committed to supporting your work with high-quality reagents, and we're here for you every step of the way. In the unlikely event that one of our products does not perform as expected, you're protected by our Product Promise.
For full details, please see our Terms & Conditions

Please note: All products are 'FOR RESEARCH USE ONLY. NOT FOR USE IN DIAGNOSTIC OR THERAPEUTIC PROCEDURES'.

For licensing inquiries, please contact partnerships@abcam.com