JavaScript is disabled in your browser. Please enable JavaScript to view this website.
AB223535

Anti-HP1 gamma/CBX3 antibody [EPR19802] - BSA and Azide free

Be the first to review this product! Submit a review

|

(2 Publications)

Rabbit Recombinant Monoclonal HP1 gamma/CBX3 antibody. Carrier free. Suitable for IP, WB, ICC/IF, Flow Cyt (Intra), IHC-P and reacts with Human, Rat, Mouse samples. Cited in 2 publications.

View Alternative Names

Chromobox protein homolog 3, HECH, Heterochromatin protein 1 homolog gamma, Modifier 2 protein, HP1 gamma, CBX3

10 Images
Immunocytochemistry/ Immunofluorescence - Anti-HP1 gamma/CBX3 antibody [EPR19802] - BSA and Azide free (AB223535)
  • ICC/IF

Supplier Data

Immunocytochemistry/ Immunofluorescence - Anti-HP1 gamma/CBX3 antibody [EPR19802] - BSA and Azide free (AB223535)

Immunofluorescent analysis of 4% paraformaldehyde-fixed, 0.1% Triton X-100 permeabilized HeLa (Human epithelial cell line from cervix adenocarcinoma) cells labeling HP1 gamma/CBX3 with ab217999 at 1/1000 dilution, followed by Goat anti-rabbit IgG (Alexa Fluor® 488) (ab150077) secondary antibody at 1/1000 dilution (green). Confocal image showing nuclear staining on HeLa cell line.

The nuclear counterstain is DAPI (blue). Tubulin is detected with ab195889 (Anti-alpha Tubulin antibody [DM1A] - Microtubule Marker (Alexa Fluor® 594)) at 1/200 dilution (red).

Secondary antibody only control : Used PBS instead of primary antibody, secondary antibody is Goat anti-rabbit IgG (Alexa Fluor® 488) (ab150077) at 1/1000 dilution.

This data was developed using the same antibody clone in a different buffer formulation containing PBS, BSA, glycerol, and sodium azide (ab217999).

Flow Cytometry (Intracellular) - Anti-HP1 gamma/CBX3 antibody [EPR19802] - BSA and Azide free (AB223535)
  • Flow Cyt (Intra)

Supplier Data

Flow Cytometry (Intracellular) - Anti-HP1 gamma/CBX3 antibody [EPR19802] - BSA and Azide free (AB223535)

Intracellular flow cytometric analysis of 4% paraformaldehyde-fixed HeLa (Human epithelial cell line from cervix adenocarcinoma) cells labeling HP1 gamma/CBX3 with ab217999 at 1/400 dilution (red) compared with a rabbit monoclonal IgG isotype control (ab172730; black) and an unlabeled control (cells without incubation with primary antibody and secondary antibody; blue). Goat anti rabbit IgG (Alexa Fluor® 488) at 1/2000 dilution was used as the secondary antibody.

This data was developed using the same antibody clone in a different buffer formulation containing PBS, BSA, glycerol, and sodium azide (ab217999).

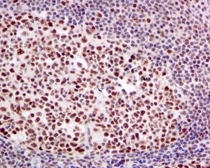
Immunohistochemistry (Formalin/PFA-fixed paraffin-embedded sections) - Anti-HP1 gamma/CBX3 antibody [EPR19802] - BSA and Azide free (AB223535)
  • IHC-P

Supplier Data

Immunohistochemistry (Formalin/PFA-fixed paraffin-embedded sections) - Anti-HP1 gamma/CBX3 antibody [EPR19802] - BSA and Azide free (AB223535)

Immunohistochemical analysis of paraffin-embedded human testis tissue labeling HP1 gamma/CBX3 with ab217999 at 1/2000 dilution, followed by Goat Anti-Rabbit IgG H&L (HRP) (ab97051) at 1/500 dilution. Nuclear staining on human testis is observed [PMID : 19786570]. Counter stained with Hematoxylin.

Secondary antibody only control : Used PBS instead of primary antibody, secondary antibody is Goat Anti-Rabbit IgG H&L (HRP) (ab97051) at 1/500 dilution.

This data was developed using the same antibody clone in a different buffer formulation containing PBS, BSA, glycerol, and sodium azide (ab217999).

Perform heat mediated antigen retrieval with Tris/EDTA buffer pH 9.0 before commencing with IHC staining protocol.

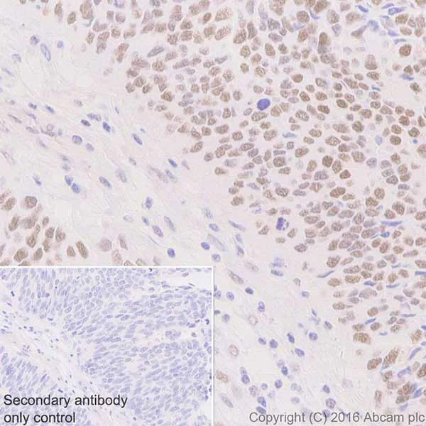
Immunohistochemistry (Formalin/PFA-fixed paraffin-embedded sections) - Anti-HP1 gamma/CBX3 antibody [EPR19802] - BSA and Azide free (AB223535)
  • IHC-P

Supplier Data

Immunohistochemistry (Formalin/PFA-fixed paraffin-embedded sections) - Anti-HP1 gamma/CBX3 antibody [EPR19802] - BSA and Azide free (AB223535)

Immunohistochemical analysis of paraffin-embedded human bladder cancer tissue labeling HP1 gamma/CBX3 with ab217999 at 1/2000 dilution, followed by Goat Anti-Rabbit IgG H&L (HRP) (ab97051) at 1/500 dilution. Nuclear staining on tumor cells of human bladder cancer is observed. Counter stained with Hematoxylin.

Secondary antibody only control : Used PBS instead of primary antibody, secondary antibody is Goat Anti-Rabbit IgG H&L (HRP) (ab97051) at 1/500 dilution.

This data was developed using the same antibody clone in a different buffer formulation containing PBS, BSA, glycerol, and sodium azide (ab217999).

Perform heat mediated antigen retrieval with Tris/EDTA buffer pH 9.0 before commencing with IHC staining protocol.

Immunoprecipitation - Anti-HP1 gamma/CBX3 antibody [EPR19802] - BSA and Azide free (AB223535)
  • IP

Supplier Data

Immunoprecipitation - Anti-HP1 gamma/CBX3 antibody [EPR19802] - BSA and Azide free (AB223535)

HP1 gamma/CBX3 was immunoprecipitated from 0.35 mg of HeLa (Human epithelial cell line from cervix adenocarcinoma) whole cell lysate with ab217999 at 1/30 dilution. Western blot was performed from the immunoprecipitate using ab217999 at 1/1000 dilution. VeriBlot for IP Detection Reagent (HRP) (ab131366), was used for detection at 1/10000 dilution.

Lane 1 : HeLa whole cell lysate, 10 μg (Input).

Lane 2 : ab217999 IP in HeLa whole cell lysate.

Lane 3 : Rabbit monoclonal IgG (ab172730) instead of ab217999 in HeLa whole cell lysate.

Blocking and dilution buffer and concentration : 5% NFDM/TBST.

Exposure time : 1 second.

This data was developed using the same antibody clone in a different buffer formulation containing PBS, BSA, glycerol, and sodium azide (ab217999).

All lanes:

Immunoprecipitation - Anti-HP1 gamma/CBX3 antibody [EPR19802] (<a href='/en-us/products/primary-antibodies/hp1-gamma-cbx3-antibody-epr19802-ab217999'>ab217999</a>)

Predicted band size: 20 kDa

Observed band size: 22 kDa

false

Immunohistochemistry (Formalin/PFA-fixed paraffin-embedded sections) - Anti-HP1 gamma/CBX3 antibody [EPR19802] - BSA and Azide free (AB223535)
  • IHC-P

Supplier Data

Immunohistochemistry (Formalin/PFA-fixed paraffin-embedded sections) - Anti-HP1 gamma/CBX3 antibody [EPR19802] - BSA and Azide free (AB223535)

Immunohistochemical analysis of paraffin-embedded rat kidney tissue labeling HP1 gamma/CBX3 with ab217999 at 1/2000 dilution, followed by Goat Anti-Rabbit IgG H&L (HRP) (ab97051) at 1/500 dilution. Nuclear staining on rat kidney is observed. Counter stained with Hematoxylin.

Secondary antibody only control : Used PBS instead of primary antibody, secondary antibody is Goat Anti-Rabbit IgG H&L (HRP) (ab97051) at 1/500 dilution.

This data was developed using the same antibody clone in a different buffer formulation containing PBS, BSA, glycerol, and sodium azide (ab217999).

Perform heat mediated antigen retrieval with Tris/EDTA buffer pH 9.0 before commencing with IHC staining protocol.

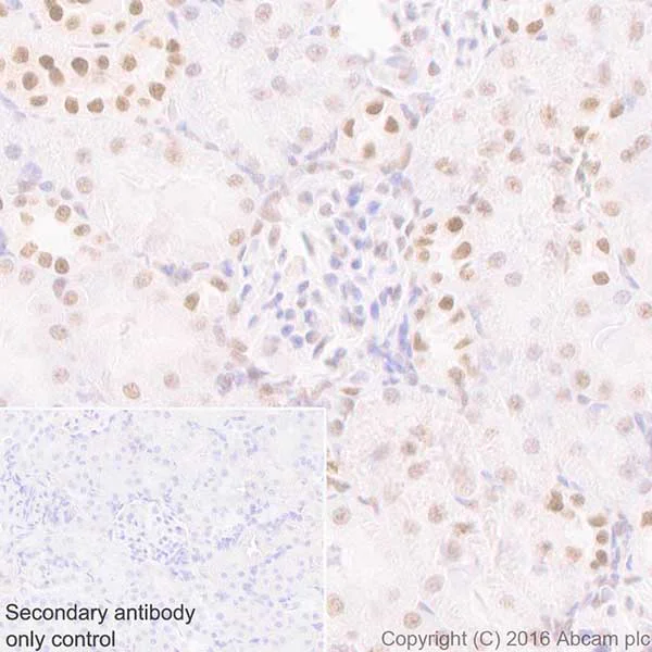
Immunohistochemistry (Formalin/PFA-fixed paraffin-embedded sections) - Anti-HP1 gamma/CBX3 antibody [EPR19802] - BSA and Azide free (AB223535)
  • IHC-P

Supplier Data

Immunohistochemistry (Formalin/PFA-fixed paraffin-embedded sections) - Anti-HP1 gamma/CBX3 antibody [EPR19802] - BSA and Azide free (AB223535)

Immunohistochemical analysis of paraffin-embedded mouse liver tissue labeling HP1 gamma/CBX3 with ab217999 at 1/2000 dilution, followed by Goat Anti-Rabbit IgG H&L (HRP) (ab97051) at 1/500 dilution. Nuclear staining on hepatocytes of mouse liver is observed. Counter stained with Hematoxylin.

Secondary antibody only control : Used PBS instead of primary antibody, secondary antibody is Goat Anti-Rabbit IgG H&L (HRP) (ab97051) at 1/500 dilution.

This data was developed using the same antibody clone in a different buffer formulation containing PBS, BSA, glycerol, and sodium azide (ab217999).

Perform heat mediated antigen retrieval with Tris/EDTA buffer pH 9.0 before commencing with IHC staining protocol.

Immunocytochemistry/ Immunofluorescence - Anti-HP1 gamma/CBX3 antibody [EPR19802] - BSA and Azide free (AB223535)
  • ICC/IF

Supplier Data

Immunocytochemistry/ Immunofluorescence - Anti-HP1 gamma/CBX3 antibody [EPR19802] - BSA and Azide free (AB223535)

Immunofluorescent analysis of 4% paraformaldehyde-fixed, 0.1% Triton X-100 permeabilized NIH/3T3 (Mouse embryonic fibroblast cell line) cells labeling HP1 gamma/CBX3 with ab217999 at 1/1000 dilution, followed by Goat anti-rabbit IgG (Alexa Fluor® 488) (ab150077) secondary antibody at 1/1000 dilution (green). Confocal image showing nuclear staining on NIH/3T3 cell line.

The nuclear counterstain is DAPI (blue). Tubulin is detected with ab195889 (Anti-alpha Tubulin antibody [DM1A] - Microtubule Marker (Alexa Fluor® 594)) at 1/200 dilution (red).

Secondary antibody only control : Used PBS instead of primary antibody, secondary antibody is Goat anti-rabbit IgG (Alexa Fluor® 488) (ab150077) at 1/1000 dilution.

This data was developed using the same antibody clone in a different buffer formulation containing PBS, BSA, glycerol, and sodium azide (ab217999).

Western blot - Anti-HP1 gamma/CBX3 antibody [EPR19802] - BSA and Azide free (AB223535)
  • WB

Lab

Western blot - Anti-HP1 gamma/CBX3 antibody [EPR19802] - BSA and Azide free (AB223535)

This data was developed using the same antibody clone in a different buffer formulation (ab217999).

Lanes 1- 2 : Merged signal (red and green). Green - ab217999 observed at 25 kDa. Red - Anti-alpha Tubulin antibody [DM1A] - Loading Control (ab7291) observed at 50 kDa.

ab217999 was shown to react with HP1 gamma/CBX3 in wild-type HeLa cells in western blot. Loss of signal was observed when knockout cell line ab261744 (knockout cell lysate ab257110) was used. Wild-type HeLa and CBX3 knockout HeLa cell lysates were subjected to SDS-PAGE. Membrane was blocked for 1 hour at room temperature in 0.1% TBST with 3% non-fat dried milk. ab217999 and Anti-alpha Tubulin antibody [DM1A] - Loading Control (ab7291) overnight at 4°C at a 1 in 2000 dilution and a 1 in 20000 dilution respectively. Blots were developed with Goat anti-Rabbit IgG H&L (IRDye®800CW) preadsorbed (ab216773) and Goat anti-Mouse IgG H&L (IRDye®680RD) preadsorbed (ab216776) secondary antibodies at 1 in 20000 dilution for 1 hour at room temperature before imaging.

All lanes:

Western blot - Anti-HP1 gamma/CBX3 antibody [EPR19802] (<a href='/en-us/products/primary-antibodies/hp1-gamma-cbx3-antibody-epr19802-ab217999'>ab217999</a>) at 1/2000 dilution

Lane 1:

Wild-type HeLa cell lysate at 20 µg

Lane 2:

CBX3 knockout HeLa cell lysate at 20 µg

Lane 2:

Western blot - Human CBX3 (HP1 gamma) knockout HeLa cell line (<a href='/en-us/products/cell-lines/human-cbx3-hp1-gamma-knockout-hela-cell-line-ab261744'>ab261744</a>)

Predicted band size: 20 kDa

Observed band size: 25 kDa

false

Western blot - Anti-HP1 gamma/CBX3 antibody [EPR19802] - BSA and Azide free (AB223535)
  • WB

Lab

Western blot - Anti-HP1 gamma/CBX3 antibody [EPR19802] - BSA and Azide free (AB223535)

This WB data was generated using the same anti-HP1 gamma/CBX3 antibody clone [EPR19802] in a different buffer format (cat# ab217999).

Lane 1 : Wild type HAP1 whole cell lysate (20 μg)
Lane 2 : CBX3 knockout HAP1 whole cell lysate (20 μg)
Lane 3 : HepG2 whole cell lysate (20 μg)

Lanes 1 - 3 : Merged signal (red and green). Green - ab217999 observed at 25 kDa. Red - loading control, ab9484, observed at 37 kDa.

ab217999 was shown to recognize CBX3 when CBX3 knockout samples were used, along with additional cross-reactive bands. Wild-type and CBX3 knockout samples were subjected to SDS-PAGE. ab217999 and ab9484 (Mouse anti GAPDH loading control) were incubated overnight at 4°C at 2000 dilution and 1/10000 dilution respectively. Blots were developed with Goat anti-Rabbit IgG H&L (IRDye® 800CW) preabsorbed ab216773 and Goat anti-Mouse IgG H&L (IRDye® 680RD) preabsorbed ab216776 secondary antibodies at 1/20000 dilution for 1 hour at room temperature before imaging.

All lanes:

Western blot - Anti-HP1 gamma/CBX3 antibody [EPR19802] (<a href='/en-us/products/primary-antibodies/hp1-gamma-cbx3-antibody-epr19802-ab217999'>ab217999</a>)

Predicted band size: 20 kDa

false

  • Unconjugated

    Anti-HP1 gamma/CBX3 antibody [EPR19802]

  • 775 Alexa Fluor® 750

    Alexa Fluor® 750 Anti-HP1 gamma/CBX3 antibody [EPR19802]

  • 578 PE

    PE Anti-HP1 gamma antibody [EPR19802]

  • 660 APC

    APC Anti-HP1 gamma antibody [EPR19802]

  • HRP

    HRP Anti-HP1 gamma antibody [EPR19802]

  • 519 Alexa Fluor® 488

    Alexa Fluor® 488 Anti-HP1 gamma antibody [EPR19802]

  • 665 Alexa Fluor® 647

    Alexa Fluor® 647 Anti-HP1 gamma antibody [EPR19802]

  • 617 Alexa Fluor® 594

    Alexa Fluor® 594 Anti-HP1 gamma antibody [EPR19802]

  • 565 Alexa Fluor® 555

    Alexa Fluor® 555 Anti-HP1 gamma antibody [EPR19802]

  • 603 Alexa Fluor® 568

    Alexa Fluor® 568 Anti-HP1 gamma/CBX3 antibody [EPR19802]

Key facts

Host species

Rabbit

Clonality

Monoclonal

Clone number

EPR19802

Isotype

IgG

Carrier free

Yes

Reacts with

Mouse, Rat, Human

Applications

IHC-P, Flow Cyt (Intra), ICC/IF, IP, WB

applications

Immunogen

The exact immunogen used to generate this antibody is proprietary information.

Reactivity data

{ "title": "Reactivity Data", "filters": { "stats": ["", "Species", "Dilution Info", "Notes"], "tabs": { "all-applications": {"fullname" : "All Applications", "shortname": "All Applications"}, "IP" : {"fullname" : "Immunoprecipitation", "shortname":"IP"}, "WB" : {"fullname" : "Western blot", "shortname":"WB"}, "ICCIF" : {"fullname" : "Immunocytochemistry/ Immunofluorescence", "shortname":"ICC/IF"}, "FlowCytIntra" : {"fullname" : "Flow Cytometry (Intracellular)", "shortname":"Flow Cyt (Intra)"}, "IHCP" : {"fullname" : "Immunohistochemistry (Formalin/PFA-fixed paraffin-embedded sections)", "shortname":"IHC-P"} }, "product-promise": { "all": "all", "testedAndGuaranteed": "tested", "guaranteed": "expected", "predicted": "predicted", "notRecommended": "not-recommended" } }, "values": { "Human": { "IP-species-checked": "testedAndGuaranteed", "IP-species-dilution-info": "", "IP-species-notes": "<p></p>", "WB-species-checked": "testedAndGuaranteed", "WB-species-dilution-info": "", "WB-species-notes": "<p></p>", "ICCIF-species-checked": "testedAndGuaranteed", "ICCIF-species-dilution-info": "", "ICCIF-species-notes": "<p></p>", "FlowCytIntra-species-checked": "testedAndGuaranteed", "FlowCytIntra-species-dilution-info": "", "FlowCytIntra-species-notes": "<p><a href='/en-us/products/primary-antibodies/rabbit-igg-monoclonal-epr25a-isotype-control-low-endotoxin-azide-free-ab199376'>ab199376</a> - Rabbit monoclonal IgG, is suitable for use as an isotype control with this antibody.</p>", "IHCP-species-checked": "testedAndGuaranteed", "IHCP-species-dilution-info": "", "IHCP-species-notes": "<p></p>" }, "Mouse": { "IP-species-checked": "guaranteed", "IP-species-dilution-info": "", "IP-species-notes": "", "WB-species-checked": "testedAndGuaranteed", "WB-species-dilution-info": "", "WB-species-notes": "<p></p>", "ICCIF-species-checked": "testedAndGuaranteed", "ICCIF-species-dilution-info": "", "ICCIF-species-notes": "<p></p>", "FlowCytIntra-species-checked": "guaranteed", "FlowCytIntra-species-dilution-info": "", "FlowCytIntra-species-notes": "", "IHCP-species-checked": "testedAndGuaranteed", "IHCP-species-dilution-info": "", "IHCP-species-notes": "<p></p>" }, "Rat": { "IP-species-checked": "guaranteed", "IP-species-dilution-info": "", "IP-species-notes": "", "WB-species-checked": "testedAndGuaranteed", "WB-species-dilution-info": "", "WB-species-notes": "<p></p>", "ICCIF-species-checked": "guaranteed", "ICCIF-species-dilution-info": "", "ICCIF-species-notes": "", "FlowCytIntra-species-checked": "guaranteed", "FlowCytIntra-species-dilution-info": "", "FlowCytIntra-species-notes": "", "IHCP-species-checked": "testedAndGuaranteed", "IHCP-species-dilution-info": "", "IHCP-species-notes": "<p></p>" } } }

Product details

ab223535 is the carrier-free version of ab217999.

Patented technology
Our RabMAb® technology is a patented hybridoma-based technology for making rabbit monoclonal antibodies. For details on our patents, please refer to RabMAb® patents.

What are the advantages of a recombinant monoclonal antibody?
This product is a recombinant monoclonal antibody, which offers several advantages including:

  • - High batch-to-batch consistency and reproducibility
  • - Improved sensitivity and specificity
  • - Long-term security of supply
  • - Animal-free batch production

For more information, read more on recombinant antibodies.

Conjugation ready
Our carrier-free antibodies are typically supplied in a PBS-only formulation, purified and free of BSA, sodium azide and glycerol. This conjugation-ready format is designed for use with fluorochromes, metal isotopes, oligonucleotides, and enzymes, which makes them ideal for antibody labelling, functional and cell-based assays, flow-based assays (e.g. mass cytometry) and Multiplex Imaging applications.

Use our conjugation kits for antibody conjugates that are ready-to-use in as little as 20 minutes with 1 minute hands-on-time and 100% antibody recovery: available for fluorescent dyes, HRP, biotin and gold.

Compatibility
This product is compatible with the Maxpar® Antibody Labeling Kit from Fluidigm, without the need for antibody preparation. Maxpar® is a trademark of Fluidigm Canada Inc.

Properties and storage information

Form
Liquid
Purification technique
Affinity purification Protein A
Storage buffer
pH: 7.2 - 7.4 Constituents: PBS
Shipped at conditions
Blue Ice
Appropriate short-term storage conditions
+4°C
Appropriate long-term storage conditions
+4°C
Storage information
Do Not Freeze

Supplementary information

This supplementary information is collated from multiple sources and compiled automatically.

The HP1 gamma protein also known as CBX3 is an essential component of the chromatin organization machinery. It has a molecular weight of approximately 22-25 kDa. HP1 gamma is expressed in a variety of tissues including brain liver and muscle indicating its broad functional involvement across different biological systems. It exhibits a high affinity for binding to histone H3 when it is methylated facilitating the formation of heterochromatin which is key to regulating gene expression and maintaining genome stability.
Biological function summary

HP1 gamma plays a significant role in gene silencing and chromatin structure maintenance. It forms part of a protein complex that includes chromatin remodeling enzymes and transcriptional repressors which help regulate access to genomic DNA. HP1 gamma's association with other chromatin-associated proteins helps modulate the transcriptional response to cellular stimuli ensuring appropriate gene expression patterns needed for normal cell function and development.

Pathways

HP1 gamma is involved in heterochromatin formation and maintenance pathways working alongside other proteins like SUV39H1 and HP1 alpha. Through these pathways HP1 gamma ensures the compact organization of repetitive DNA sequences and suppresses unnecessary transcription. It is also involved in the DNA damage response pathway playing a role in preserving genomic integrity by interacting with proteins such as BRCA1 and 53BP1 involved in DNA repair.

HP1 gamma's dysregulation has been associated with cancer and neurological disorders. Overexpression or mutations in this protein can lead to aberrant gene silencing contributing to oncogenesis where cancer-related genes become improperly regulated. Additionally alterations in HP1 gamma function are linked to neurodegenerative diseases potentially through its interaction with proteins like MECP2 whereby changes in the chromatin environment influence neuronal gene expression and function. Therefore understanding HP1 gamma's role provides insights into potential therapeutic targets for these conditions.

Product protocols

For this product, it's our understanding that no specific protocols are required. You can visit:

Target data

Seems to be involved in transcriptional silencing in heterochromatin-like complexes. Recognizes and binds histone H3 tails methylated at 'Lys-9', leading to epigenetic repression. May contribute to the association of the heterochromatin with the inner nuclear membrane through its interaction with lamin B receptor (LBR). Involved in the formation of functional kinetochore through interaction with MIS12 complex proteins. Contributes to the conversion of local chromatin to a heterochromatin-like repressive state through H3 'Lys-9' trimethylation, mediates the recruitment of the methyltransferases SUV39H1 and/or SUV39H2 by the PER complex to the E-box elements of the circadian target genes such as PER2 itself or PER1. Mediates the recruitment of NIPBL to sites of DNA damage at double-strand breaks (DSBs) (PubMed : 28167679).
See full target information CBX3

Publications (2)

Recent publications for all applications. Explore the full list and refine your search

Annals of translational medicine 11:185 PubMed36923082

2023

E2F1 inhibits cellular senescence and promotes oxaliplatin resistance in colorectal cancer.

Applications

Unspecified application

Species

Unspecified reactive species

Haiyang Gao,Fangyuan Zhou,Runze Li,Jiao Yuan,Lin Ye

Journal of translational medicine 19:463 PubMed34772407

2021

Dexmedetomidine inhibits mitochondria damage and apoptosis of enteric glial cells in experimental intestinal ischemia/reperfusion injury via SIRT3-dependent PINK1/HDAC3/p53 pathway.

Applications

Unspecified application

Species

Unspecified reactive species

Qin Zhang,Xiao-Ming Liu,Qian Hu,Zheng-Ren Liu,Zhi-Yi Liu,Huai-Gen Zhang,Yuan-Lu Huang,Qiu-Hong Chen,Wen-Xiang Wang,Xue-Kang Zhang
View all publications

Product promise

We are committed to supporting your work with high-quality reagents, and we're here for you every step of the way. In the unlikely event that one of our products does not perform as expected, you're protected by our Product Promise.
For full details, please see our Terms & Conditions

Please note: All products are 'FOR RESEARCH USE ONLY. NOT FOR USE IN DIAGNOSTIC OR THERAPEUTIC PROCEDURES'.

For licensing inquiries, please contact partnerships@abcam.com