JavaScript is disabled in your browser. Please enable JavaScript to view this website.
AB109021

Anti-HPRT antibody [EPR5299]

3

(1 Review)

|

(18 Publications)

Rabbit Recombinant Monoclonal HPRT antibody. Suitable for IHC-P, IP, WB and reacts with Human, Rat, Mouse samples. Cited in 18 publications.

View Alternative Names

HPRT, HPRT1, Hypoxanthine-guanine phosphoribosyltransferase, HGPRT, HGPRTase

7 Images
Western blot - Anti-HPRT antibody [EPR5299] (AB109021)
  • WB

Unknown

Western blot - Anti-HPRT antibody [EPR5299] (AB109021)

Blocking and diluting buffer : 5% NFDM/TBST.

All lanes:

Western blot - Anti-HPRT antibody [EPR5299] (ab109021) at 0.02 µg/mL

Lane 1:

HeLa (Human cervix adenocarcinoma epithelial cell) whole cell lysates at 15 µg

Lane 2:

Mouse brain lysates at 15 µg

Lane 3:

Rat brain lysates at 15 µg

Secondary

All lanes:

Western blot - Goat Anti-Rabbit IgG H&L (HRP) (<a href='/en-us/products/secondary-antibodies/goat-rabbit-igg-h-l-hrp-ab97051'>ab97051</a>) at 0.02 µg/mL

Predicted band size: 25 kDa

false

Immunohistochemistry (Formalin/PFA-fixed paraffin-embedded sections) - Anti-HPRT antibody [EPR5299] (AB109021)
  • IHC-P

Unknown

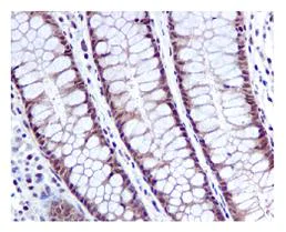
Immunohistochemistry (Formalin/PFA-fixed paraffin-embedded sections) - Anti-HPRT antibody [EPR5299] (AB109021)

Unpurified ab109021 at 1/50 dilution staining HPRT in Human colon by Immunohistochemistry, Paraffin-embedded tissue.

Perform heat mediated antigen retrieval before commencing with IHC staining protocol.

Immunohistochemistry (Formalin/PFA-fixed paraffin-embedded sections) - Anti-HPRT antibody [EPR5299] (AB109021)
  • IHC-P

Unknown

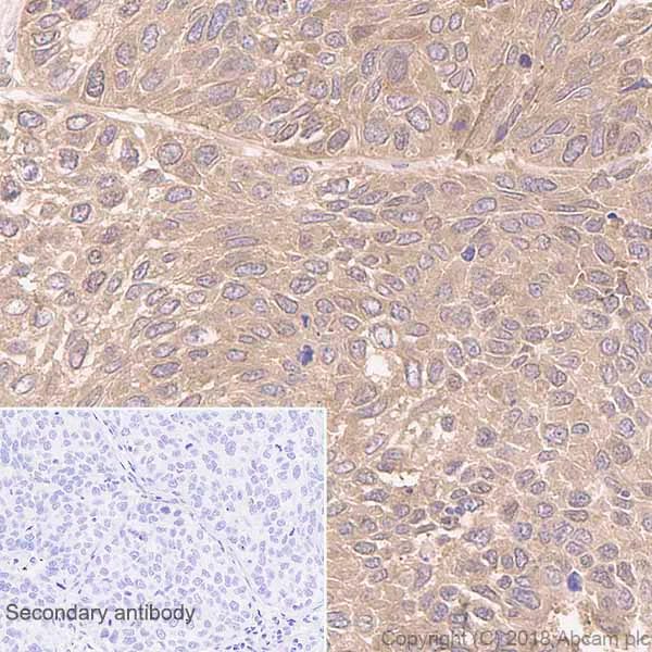
Immunohistochemistry (Formalin/PFA-fixed paraffin-embedded sections) - Anti-HPRT antibody [EPR5299] (AB109021)

Immunohistochemistry (Formalin/PFA-fixed paraffin-embedded sections) analysis of Human lung cancer tissue sections labeling HPRT with Purified ab109021 at 1 : 150 dilution (1.19 µg/ml). Heat mediated antigen retrieval was performed using ab93684 (Tris/EDTA buffer, pH 9.0)ImmunoHistoProbe one step HRP Polymer (ready to use)was used as the secondary antibody.Negative control : PBS instead of the primary antibody.Hematoxylinwas used as a counterstain

Immunoprecipitation - Anti-HPRT antibody [EPR5299] (AB109021)
  • IP

Unknown

Immunoprecipitation - Anti-HPRT antibody [EPR5299] (AB109021)

ab109021 (purified) at 1 : 30 dilution (2μg) immunoprecipitating HPRT in Rat brain lysate.
Lane 1 (input) : Rat brain lysate 10μg
Lane 2 (+) : ab109021 & Rat brain lysate
Lane 3 (-) : Rabbit monoclonal IgG (ab172730) instead of ab109021 in Rat brain lysate
For western blotting, VeriBlot for IP Detection Reagent (HRP) (ab131366) was used for detection at 1 : 1000 dilution.
Blocking and diluting buffer : 5% NFDM/TBST.

All lanes:

Immunoprecipitation - Anti-HPRT antibody [EPR5299] (ab109021)

Predicted band size: 25 kDa

false

Western blot - Anti-HPRT antibody [EPR5299] (AB109021)
  • WB

Unknown

Western blot - Anti-HPRT antibody [EPR5299] (AB109021)

All lanes:

Western blot - Anti-HPRT antibody [EPR5299] (ab109021) at 1/10000 dilution

Lane 1:

HeLa cell lysate at 10 µg

Lane 2:

HepG2 cell lysate at 10 µg

Lane 3:

A549 cell lysate at 10 µg

Lane 4:

MCF7 cell lysate at 10 µg

Predicted band size: 25 kDa

false

Western blot - Anti-HPRT antibody [EPR5299] (AB109021)
  • WB

Supplier Data

Western blot - Anti-HPRT antibody [EPR5299] (AB109021)

Lane 1 : Wild type HAP1 whole cell lysate (20 μg)
Lane 2 : HPRT1 knockout HAP1 whole cell lysate (20 μg)
Lane 3 : HeLa whole cell lysate (20 μg)
Lane 4 : A431 whole cell lysate (20 μg)

Lanes 1 - 4 : Merged signal (red and green). Green - ab109021 observed at 25 kDa. Red - loading control, ab8245, observed at 37 kDa.

Unpurified ab109021 was shown to specifically react with HPRT1 in wild-type HAP1 cells. No band was observed when HPRT1 knockout samples were examined. Wild-type and HPRT1 knockout samples were subjected to SDS-PAGE. ab109021 and ab8245 (Mouse anti GAPDH loading control) were both diluted at 1/10,000 and incubated overnight at 4°C. Blots were developed with Goat anti-Rabbit IgG H&L (IRDye® 800CW) preabsorbed ab216773 and Goat anti-Mouse IgG H&L (IRDye® 680RD) preabsorbed ab216776 secondary antibodies at 1/10,000 dilution for 1 hour at room temperature before imaging.

All lanes:

Western blot - Anti-HPRT antibody [EPR5299] (ab109021)

Predicted band size: 25 kDa

false

Western blot - Anti-HPRT antibody [EPR5299] (AB109021)
  • WB

CiteAb

Western blot - Anti-HPRT antibody [EPR5299] (AB109021)

HPRT western blot using anti-HPRT antibody [EPR5299] ab109021. Publication image and figure legend from Mardani, I., Tomas Dalen, K., et al., 2019, Sci Rep, PubMed 31061399.

ab109021 was used in this publication in western blot. This may not be the same as the application(s) guaranteed by Abcam. For a full list of applications guaranteed by Abcam for ab109021 please see the product overview.

Regulation of Plin2. (A) Immunoblot analysis of Plin2 using protein lysates from control (refed) and O/N fasted C57Bl/6N mice hearts (n = 3). Full-length blots are presented in Supplementary Fig. S7. (B) Quantification of immunoblot analysis on Plin2 (n = 3). (C) Triglyceride content in hearts of control (refed) and overnight fasted mice (n = 3). (D) Confocal microscopy images on C57Bl/6N cardiomyocytes, shown as z-stack 1, 2, 3 and a max stack picture containing 30 z-stacks compromised into one image. Plin2 is shown in green, ORO (LDs) in red and nuclei in blue and co-localization of LDs and Plin2 in yellow (x630 magnification, scale bar : 10 μm). Data are presented as mean ± SEM, *p < 0.05 vs. Plin2+/+, **p < 0.01 vs. Plin2+/+. TG, triglycerides; O/N, overnight.

false

Key facts

Host species

Rabbit

Clonality

Monoclonal

Clone number

EPR5299

Isotype

IgG

Carrier free

No

Reacts with

Mouse, Rat, Human

Applications

IP, WB, IHC-P

applications

Immunogen

The exact immunogen used to generate this antibody is proprietary information.

Reactivity data

{ "title": "Reactivity Data", "filters": { "stats": ["", "Species", "Dilution Info", "Notes"], "tabs": { "all-applications": {"fullname" : "All Applications", "shortname": "All Applications"}, "IHCP" : {"fullname" : "Immunohistochemistry (Formalin/PFA-fixed paraffin-embedded sections)", "shortname":"IHC-P"}, "ICCIF" : {"fullname" : "Immunocytochemistry/ Immunofluorescence", "shortname":"ICC/IF"}, "IP" : {"fullname" : "Immunoprecipitation", "shortname":"IP"}, "FlowCyt" : {"fullname" : "Flow Cytometry", "shortname":"Flow Cyt"}, "WB" : {"fullname" : "Western blot", "shortname":"WB"} }, "product-promise": { "all": "all", "testedAndGuaranteed": "tested", "guaranteed": "expected", "predicted": "predicted", "notRecommended": "not-recommended" } }, "values": { "Human": { "IHCP-species-checked": "testedAndGuaranteed", "IHCP-species-dilution-info": "1/150", "IHCP-species-notes": "<p>Heat up to 98°C, below boiling, and then let cool for 10-20 min.</p><p><strong>For unpurified use at 1/50 - 1/100</strong></p><p>The mouse and rat recommendation is based on the WB results. We do not guarantee IHC-P for mouse and rat.</p> Perform heat-mediated antigen retrieval before commencing with IHC staining protocol.", "ICCIF-species-checked": "notRecommended", "ICCIF-species-dilution-info": "", "ICCIF-species-notes": "<p></p>", "IP-species-checked": "guaranteed", "IP-species-dilution-info": "", "IP-species-notes": "", "FlowCyt-species-checked": "notRecommended", "FlowCyt-species-dilution-info": "", "FlowCyt-species-notes": "<p></p>", "WB-species-checked": "testedAndGuaranteed", "WB-species-dilution-info": "1/10000 - 1/50000", "WB-species-notes": "<p></p>" }, "Mouse": { "IHCP-species-checked": "guaranteed", "IHCP-species-dilution-info": "", "IHCP-species-notes": "", "ICCIF-species-checked": "notRecommended", "ICCIF-species-dilution-info": "", "ICCIF-species-notes": "<p></p>", "IP-species-checked": "guaranteed", "IP-species-dilution-info": "", "IP-species-notes": "", "FlowCyt-species-checked": "notRecommended", "FlowCyt-species-dilution-info": "", "FlowCyt-species-notes": "<p></p>", "WB-species-checked": "testedAndGuaranteed", "WB-species-dilution-info": "1/10000 - 1/50000", "WB-species-notes": "<p></p>" }, "Rat": { "IHCP-species-checked": "guaranteed", "IHCP-species-dilution-info": "", "IHCP-species-notes": "", "ICCIF-species-checked": "notRecommended", "ICCIF-species-dilution-info": "", "ICCIF-species-notes": "<p></p>", "IP-species-checked": "testedAndGuaranteed", "IP-species-dilution-info": "1/10 - 1/100", "IP-species-notes": "<p></p>", "FlowCyt-species-checked": "notRecommended", "FlowCyt-species-dilution-info": "", "FlowCyt-species-notes": "<p></p>", "WB-species-checked": "testedAndGuaranteed", "WB-species-dilution-info": "1/10000 - 1/50000", "WB-species-notes": "<p></p>" } } }

Product details

Patented technology
Our RabMAb® technology is a patented hybridoma-based technology for making rabbit monoclonal antibodies. For details on our patents, please refer to RabMAb® patents.

What are the advantages of a recombinant monoclonal antibody?
This product is a recombinant monoclonal antibody, which offers several advantages including:

  • - High batch-to-batch consistency and reproducibility
  • - Improved sensitivity and specificity
  • - Long-term security of supply
  • - Animal-free batch production

For more information, read more on recombinant antibodies.

Properties and storage information

Form
Liquid
Purification technique
Affinity purification Protein A
Storage buffer
pH: 7.2 - 7.4 Preservative: 0.01% Sodium azide Constituents: 59% PBS, 40% Glycerol (glycerin, glycerine), 0.05% BSA
Shipped at conditions
Blue Ice
Appropriate short-term storage duration
1-2 weeks
Appropriate short-term storage conditions
+4°C
Appropriate long-term storage conditions
-20°C
Aliquoting information
Upon delivery aliquot
Storage information
Avoid freeze / thaw cycle

Product protocols

For this product, it's our understanding that no specific protocols are required. You can visit:

Target data

Converts guanine to guanosine monophosphate, and hypoxanthine to inosine monophosphate. Transfers the 5-phosphoribosyl group from 5-phosphoribosylpyrophosphate onto the purine. Plays a central role in the generation of purine nucleotides through the purine salvage pathway.
See full target information HPRT1

Publications (18)

Recent publications for all applications. Explore the full list and refine your search

Biotechnology and bioengineering 119:3632-3646 PubMed36073082

2022

De novo assembly and annotation of the CHOZN® GS genome supports high-throughput genome-scale screening.

Applications

Unspecified application

Species

Unspecified reactive species

Corey Kretzmer,Rajagopalan Lakshmi Narasimhan,Rahul Deva Lal,Vincent Balassi,James Ravellette,Ajaya Kumar Kotekar Manjunath,Jesvin Joy Koshy,Marta Viano,Serena Torre,Valeria M Zanda,Mausam Kumravat,Keith Metelo Raul Saldanha,Harikrishnan Chandranpillai,Ifra Nihad,Fei Zhong,Yi Sun,Jason Gustin,Trissa Borgschulte,Jiajian Liu,David Razafsky

Journal of the Endocrine Society 6:bvac132 PubMed36249410

2022

Castration of Male Mice Induces Metabolic Remodeling of the Heart.

Applications

Unspecified application

Species

Unspecified reactive species

Elin Svedlund Eriksson,Inger Johansson,Anna K F Mårtensson,Marta Lantero Rodriguez,Maaike Schilperoort,Jan Kroon,Sander Kooijman,Elmir Omerovic,Linda Andersson,Malin C Levin,Patrick C N Rensen,Åsa Tivesten

Cell reports. Medicine 2:100444 PubMed34841291

2021

Supervised learning based on tumor imaging and biopsy transcriptomics predicts response of hepatocellular carcinoma to transarterial chemoembolization.

Applications

Unspecified application

Species

Unspecified reactive species

Tuyana Boldanova,Geoffrey Fucile,Jan Vosshenrich,Aleksei Suslov,Caner Ercan,Mairene Coto-Llerena,Luigi M Terracciano,Christoph J Zech,Daniel T Boll,Stefan Wieland,Markus H Heim

Antioxidants (Basel, Switzerland) 10: PubMed34203726

2021

Addition of Popular Exogenous Antioxidant Agent, PBN, to Culture Media May Be an Important Step to Optimization of Myogenic Stem/Progenitor Cell Preparation Protocol.

Applications

Unspecified application

Species

Unspecified reactive species

Magdalena Nowaczyk,Agnieszka Malcher,Agnieszka Zimna,Wojciech Łabędź,Łukasz Kubaszewski,Wojciech Barczak,Błażej Rubiś,Natalia Rozwadowska,Maciej Kurpisz

Molecular and cellular biochemistry 475:205-214 PubMed32780210

2020

Modification of cardiac thyroid hormone deiodinases expression in an ischemia/reperfusion rat model after T3 infusion.

Applications

Unspecified application

Species

Unspecified reactive species

Laura Sabatino,Claudia Kusmic,Giorgio Iervasi

Life science alliance 3: PubMed32345659

2020

Paneth cell α-defensin misfolding correlates with dysbiosis and ileitis in Crohn's disease model mice.

Applications

Unspecified application

Species

Unspecified reactive species

Yu Shimizu,Kiminori Nakamura,Aki Yoshii,Yuki Yokoi,Mani Kikuchi,Ryuga Shinozaki,Shunta Nakamura,Shuya Ohira,Rina Sugimoto,Tokiyoshi Ayabe

JCI insight 5: PubMed31996486

2020

Cigarette smoke exposure enhances transforming acidic coiled-coil-containing protein 2 turnover and thereby promotes emphysema.

Applications

Unspecified application

Species

Unspecified reactive species

Rama K Mallampalli,Xiuying Li,Jun-Ho Jang,Tomasz Kaminski,Aki Hoji,Tiffany Coon,Divay Chandra,Starr Welty,Yaqun Teng,John Sembrat,Mauricio Rojas,Yutong Zhao,Robert Lafyatis,Chunbin Zou,Frank Sciurba,Prithu Sundd,Li Lan,Toru Nyunoya

Scientific reports 9:6909 PubMed31061399

2019

Plin2-deficiency reduces lipophagy and results in increased lipid accumulation in the heart.

Applications

Unspecified application

Species

Unspecified reactive species

Ismena Mardani,Knut Tomas Dalen,Christina Drevinge,Azra Miljanovic,Marcus Ståhlman,Martina Klevstig,Margareta Scharin Täng,Per Fogelstrand,Max Levin,Matias Ekstrand,Syam Nair,Björn Redfors,Elmir Omerovic,Linda Andersson,Alan R Kimmel,Jan Borén,Malin C Levin

Proteomics 18:e1800203 PubMed30035358

2018

FGF2 Antiproliferative Stimulation Induces Proteomic Dynamic Changes and High Expression of FOSB and JUNB in K-Ras-Driven Mouse Tumor Cells.

Applications

Unspecified application

Species

Unspecified reactive species

Francisca Nathalia de Luna Vitorino,Fabio Montoni,Jaqueline Neves Moreno,Bruno Ferreira de Souza,Mariana de Camargo Lopes,Barbara Cordeiro,Cecilia Sella Fonseca,Joshua M Gilmore,Mihaela I Sardiu,Marcelo Silva Reis,Laurence A Florens,Michael P Washburn,Hugo Aguirre Armelin,Julia Pinheiro Chagas da Cunha

Aging cell 17:e12825 PubMed30094915

2018

A molecular signature for delayed graft function.

Applications

Unspecified application

Species

Unspecified reactive species

Dagmara McGuinness,Suhaib Mohammed,Laura Monaghan,Paul A Wilson,David B Kingsmore,Oliver Shapter,Karen S Stevenson,Shana M Coley,Luke Devey,Robert B Kirkpatrick,Paul G Shiels
View all publications

Product promise

We are committed to supporting your work with high-quality reagents, and we're here for you every step of the way. In the unlikely event that one of our products does not perform as expected, you're protected by our Product Promise.
For full details, please see our Terms & Conditions

Please note: All products are 'FOR RESEARCH USE ONLY. NOT FOR USE IN DIAGNOSTIC OR THERAPEUTIC PROCEDURES'.

For licensing inquiries, please contact partnerships@abcam.com