JavaScript is disabled in your browser. Please enable JavaScript to view this website.
AB236055

Anti-HPRT antibody [EPR5299] - BSA and Azide free

Be the first to review this product! Submit a review

|

(1 Publication)

Rabbit Recombinant Monoclonal HPRT antibody. Carrier free. Suitable for IP, WB, IHC-P and reacts with Rat, Human, Mouse samples. Cited in 1 publication.

View Alternative Names

HPRT, HPRT1, Hypoxanthine-guanine phosphoribosyltransferase, HGPRT, HGPRTase

4 Images
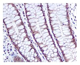
Immunohistochemistry (Formalin/PFA-fixed paraffin-embedded sections) - Anti-HPRT antibody [EPR5299] - BSA and Azide free (AB236055)
  • IHC-P

Unknown

Immunohistochemistry (Formalin/PFA-fixed paraffin-embedded sections) - Anti-HPRT antibody [EPR5299] - BSA and Azide free (AB236055)

Unpurified ab109021 at 1/50 dilution staining HPRT in Human colon by Immunohistochemistry, Paraffin-embedded tissue.

This data was developed using the same antibody clone in a different buffer formulation containing PBS, BSA, glycerol, and sodium azide (ab109021).

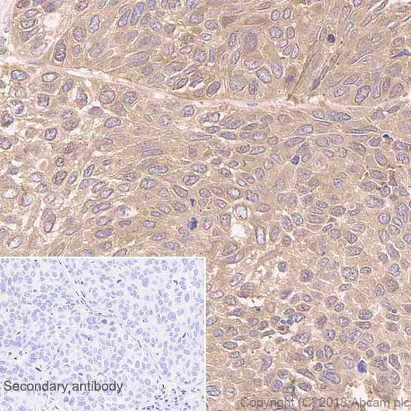
Immunohistochemistry (Formalin/PFA-fixed paraffin-embedded sections) - Anti-HPRT antibody [EPR5299] - BSA and Azide free (AB236055)
  • IHC-P

Unknown

Immunohistochemistry (Formalin/PFA-fixed paraffin-embedded sections) - Anti-HPRT antibody [EPR5299] - BSA and Azide free (AB236055)

Immunohistochemistry (Formalin/PFA-fixed paraffin-embedded sections) analysis of Human lung cancer tissue sections labeling HPRT with Purified ab109021 at 1 : 150 dilution (1.19 �g/ml). Heat mediated antigen retrieval was performed using ab93684 (Tris/EDTA buffer, pH 9.0)ImmunoHistoProbe one step HRP Polymer (ready to use)was used as the secondary antibody.Negative control : PBS instead of the primary antibody.Hematoxylinwas used as a counterstainThis data was developed using the same antibody clone in a different buffer formulation containing PBS, BSA, glycerol, and sodium azide (ab109021).

Immunoprecipitation - Anti-HPRT antibody [EPR5299] - BSA and Azide free (AB236055)
  • IP

Unknown

Immunoprecipitation - Anti-HPRT antibody [EPR5299] - BSA and Azide free (AB236055)

ab109021 (purified) at 1 : 30 dilution (2�g) immunoprecipitating HPRT in Rat brain lysate.
Lane 1 (input) : Rat brain lysate 10�g
Lane 2 (+) : ab109021 & Rat brain lysate
Lane 3 (-) : Rabbit monoclonal IgG (ab172730) instead of ab109021 in Rat brain lysate
For western blotting, VeriBlot for IP secondary antibody (HRP) (ab131366) was used as the secondary antibody at 1 : 1000 dilution.
Blocking and diluting buffer : 5% NFDM/TBST.This data was developed using the same antibody clone in a different buffer formulation containing PBS, BSA, glycerol, and sodium azide (ab109021).

All lanes:

Immunoprecipitation - Anti-HPRT antibody [EPR5299] (<a href='/en-us/products/primary-antibodies/hprt-antibody-epr5299-ab109021'>ab109021</a>)

Predicted band size: 25 kDa

false

Western blot - Anti-HPRT antibody [EPR5299] - BSA and Azide free (AB236055)
  • WB

Supplier Data

Western blot - Anti-HPRT antibody [EPR5299] - BSA and Azide free (AB236055)

Lane 1 : Wild type HAP1 whole cell lysate (20 μg)
Lane 2 : HPRT1 knockout HAP1 whole cell lysate (20 μg)
Lane 3 : HeLa whole cell lysate (20 μg)
Lane 4 : A431 whole cell lysate (20 μg)

Lanes 1 - 4 : Merged signal (red and green). Green - ab109021 observed at 25 kDa. Red - loading control, ab8245, observed at 37 kDa.

ab109021 was shown to specifically react with HPRT1 in wild-type HAP1 cells. No band was observed when HPRT1 knockout samples were examined. Wild-type and HPRT1 knockout samples were subjected to SDS-PAGE. ab109021 and ab8245 (Mouse anti GAPDH loading control) were both diluted at 1/10,000 and incubated overnight at 4°C. Blots were developed with Goat anti-Rabbit IgG H&L (IRDye® 800CW) preabsorbed ab216773 and Goat anti-Mouse IgG H&L (IRDye® 680RD) preabsorbed ab216776 secondary antibodies at 1/10,000 dilution for 1 hour at room temperature before imaging.

This data was developed using the same antibody clone in a different buffer formulation containing PBS, BSA, glycerol, and sodium azide (ab109021).

All lanes:

Western blot - Anti-HPRT antibody [EPR5299] (<a href='/en-us/products/primary-antibodies/hprt-antibody-epr5299-ab109021'>ab109021</a>)

Predicted band size: 25 kDa

false

Key facts

Host species

Rabbit

Clonality

Monoclonal

Clone number

EPR5299

Isotype

IgG

Carrier free

Yes

Reacts with

Mouse, Rat, Human

Applications

WB, IHC-P, IP

applications

Immunogen

The exact immunogen used to generate this antibody is proprietary information.

Reactivity data

{ "title": "Reactivity Data", "filters": { "stats": ["", "Species", "Dilution Info", "Notes"], "tabs": { "all-applications": {"fullname" : "All Applications", "shortname": "All Applications"}, "IP" : {"fullname" : "Immunoprecipitation", "shortname":"IP"}, "WB" : {"fullname" : "Western blot", "shortname":"WB"}, "IHCP" : {"fullname" : "Immunohistochemistry (Formalin/PFA-fixed paraffin-embedded sections)", "shortname":"IHC-P"} }, "product-promise": { "all": "all", "testedAndGuaranteed": "tested", "guaranteed": "expected", "predicted": "predicted", "notRecommended": "not-recommended" } }, "values": { "Human": { "IP-species-checked": "guaranteed", "IP-species-dilution-info": "", "IP-species-notes": "", "WB-species-checked": "testedAndGuaranteed", "WB-species-dilution-info": "", "WB-species-notes": "<p></p>", "IHCP-species-checked": "testedAndGuaranteed", "IHCP-species-dilution-info": "", "IHCP-species-notes": "<p>Heat up to 98 °C, below boiling, and then let cool for 10-20 min.</p>" }, "Mouse": { "IP-species-checked": "guaranteed", "IP-species-dilution-info": "", "IP-species-notes": "", "WB-species-checked": "testedAndGuaranteed", "WB-species-dilution-info": "", "WB-species-notes": "<p></p>", "IHCP-species-checked": "guaranteed", "IHCP-species-dilution-info": "", "IHCP-species-notes": "" }, "Rat": { "IP-species-checked": "testedAndGuaranteed", "IP-species-dilution-info": "", "IP-species-notes": "<p></p>", "WB-species-checked": "testedAndGuaranteed", "WB-species-dilution-info": "", "WB-species-notes": "<p></p>", "IHCP-species-checked": "guaranteed", "IHCP-species-dilution-info": "", "IHCP-species-notes": "" } } }

Product details

ab236055 is the carrier-free version of ab109021.

Patented technology
Our RabMAb® technology is a patented hybridoma-based technology for making rabbit monoclonal antibodies. For details on our patents, please refer to RabMAb® patents.

What are the advantages of a recombinant monoclonal antibody?
This product is a recombinant monoclonal antibody, which offers several advantages including:

  • - High batch-to-batch consistency and reproducibility
  • - Improved sensitivity and specificity
  • - Long-term security of supply
  • - Animal-free batch production

For more information, read more on recombinant antibodies.

Conjugation ready
Our carrier-free antibodies are typically supplied in a PBS-only formulation, purified and free of BSA, sodium azide and glycerol. This conjugation-ready format is designed for use with fluorochromes, metal isotopes, oligonucleotides, and enzymes, which makes them ideal for antibody labelling, functional and cell-based assays, flow-based assays (e.g. mass cytometry) and Multiplex Imaging applications.

Use our conjugation kits for antibody conjugates that are ready-to-use in as little as 20 minutes with 1 minute hands-on-time and 100% antibody recovery: available for fluorescent dyes, HRP, biotin and gold.

Compatibility
This product is compatible with the Maxpar® Antibody Labeling Kit from Fluidigm, without the need for antibody preparation. Maxpar® is a trademark of Fluidigm Canada Inc.

Properties and storage information

Form
Liquid
Purification technique
Affinity purification Protein A
Storage buffer
pH: 7.2 - 7.4 Constituents: PBS
Shipped at conditions
Blue Ice
Appropriate short-term storage conditions
+4°C
Appropriate long-term storage conditions
+4°C
Storage information
Do Not Freeze

Product protocols

For this product, it's our understanding that no specific protocols are required. You can visit:

Target data

Converts guanine to guanosine monophosphate, and hypoxanthine to inosine monophosphate. Transfers the 5-phosphoribosyl group from 5-phosphoribosylpyrophosphate onto the purine. Plays a central role in the generation of purine nucleotides through the purine salvage pathway.
See full target information HPRT1

Publications (1)

Recent publications for all applications. Explore the full list and refine your search

Developmental cell 53:9-26.e4 PubMed32197068

2020

Glycolysis-Independent Glucose Metabolism Distinguishes TE from ICM Fate during Mammalian Embryogenesis.

Applications

Unspecified application

Species

Unspecified reactive species

Fangtao Chi,Mark S Sharpley,Raghavendra Nagaraj,Shubhendu Sen Roy,Utpal Banerjee
View all publications

Product promise

We are committed to supporting your work with high-quality reagents, and we're here for you every step of the way. In the unlikely event that one of our products does not perform as expected, you're protected by our Product Promise.
For full details, please see our Terms & Conditions

Please note: All products are 'FOR RESEARCH USE ONLY. NOT FOR USE IN DIAGNOSTIC OR THERAPEUTIC PROCEDURES'.

For licensing inquiries, please contact partnerships@abcam.com