JavaScript is disabled in your browser. Please enable JavaScript to view this website.
AB100967

Anti-HPV11 E7 antibody [9H5]

Be the first to review this product! Submit a review

|

(2 Publications)

Mouse Monoclonal VE7 antibody. Suitable for IP, ELISA, WB, ICC/IF and reacts with Human papillomavirus samples. Cited in 2 publications. Immunogen corresponding to Recombinant Full Length Protein corresponding to human papillomavirus 11 E7.

View Alternative Names

Protein E7, E7

3 Images
Immunocytochemistry/ Immunofluorescence - Anti-HPV11 E7 antibody [9H5] (AB100967)
  • ICC/IF

Unknown

Immunocytochemistry/ Immunofluorescence - Anti-HPV11 E7 antibody [9H5] (AB100967)

Immunofluorescence (IF) analysis of HPV11 E7 protein in U2OS cells.
IF was carried out using U2OS cells transfected with plasmid expressing HPV11 E7 protein. All the nuclei were stained by DAPI. Green color represents nucleus localized HPV11 E7 detected by ab100967. IF analysis of E7 protein shows similar result also in HeLa cells.

Immunoprecipitation - Anti-HPV11 E7 antibody [9H5] (AB100967)
  • IP

Unknown

Immunoprecipitation - Anti-HPV11 E7 antibody [9H5] (AB100967)

Immunoprecipitation (IP) analysis of HPV11 E7 protein.
Lane 1 represents the marker.
Lane 2 shows detection of E7 protein by ab100967 in lysate of U20S cells.
In lane 3 the lower band is precipitated E7, upper bands are light and heavy chain of the antibody.
Lane 4 is precipitation without ab100967
Lane 5 shows IP experiment with plain U2OS cells.

All lanes:

Immunoprecipitation - Anti-HPV11 E7 antibody [9H5] (ab100967)

Predicted band size: 11 kDa

false

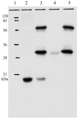
Western blot - Anti-HPV11 E7 antibody [9H5] (AB100967)
  • WB

Unknown

Western blot - Anti-HPV11 E7 antibody [9H5] (AB100967)

All lanes:

Western blot - Anti-HPV11 E7 antibody [9H5] (ab100967) at 1/1000 dilution

Lanes 1 and 4:

lysate of U20S cells transfected with plasmid expressing HPV11 E7 protein

Lane 2:

lysate of plain U20S cells

Lane 3:

lysate of HeLa cells

Lane 5:

marker

Predicted band size: 11 kDa

false

Key facts

Host species

Mouse

Clonality

Monoclonal

Clone number

9H5

Isotype

IgG2a

Carrier free

No

Reacts with

Human papillomavirus

Applications

ELISA, WB, IP, ICC/IF

applications

Immunogen

Recombinant Full Length Protein corresponding to human papillomavirus 11 E7.

P04020

Epitope

Mapped to amino acids 36-70

Specificity

Reacts in WB, IP, ELISA with HPV11 native E7 protein as well as recombinant E7 protein expressed in bacteria and Cos7 cells.

Reactivity data

{ "title": "Reactivity Data", "filters": { "stats": ["", "Species", "Dilution Info", "Notes"], "tabs": { "all-applications": {"fullname" : "All Applications", "shortname": "All Applications"}, "IP" : {"fullname" : "Immunoprecipitation", "shortname":"IP"}, "ELISA" : {"fullname" : "ELISA", "shortname":"ELISA"}, "WB" : {"fullname" : "Western blot", "shortname":"WB"}, "ICCIF" : {"fullname" : "Immunocytochemistry/ Immunofluorescence", "shortname":"ICC/IF"} }, "product-promise": { "all": "all", "testedAndGuaranteed": "tested", "guaranteed": "expected", "predicted": "predicted", "notRecommended": "not-recommended" } }, "values": { "Human papillomavirus": { "IP-species-checked": "testedAndGuaranteed", "IP-species-dilution-info": "1/500", "IP-species-notes": "<p></p>", "ELISA-species-checked": "guaranteed", "ELISA-species-dilution-info": "1/128000", "ELISA-species-notes": "<p></p>", "WB-species-checked": "testedAndGuaranteed", "WB-species-dilution-info": "1/1000", "WB-species-notes": "<p></p>", "ICCIF-species-checked": "testedAndGuaranteed", "ICCIF-species-dilution-info": "", "ICCIF-species-notes": "<p></p>" } } }

Properties and storage information

Form
Liquid
Purification technique
Affinity purification Protein A
Storage buffer
pH: 7.4 Preservative: 0.1% Sodium azide Constituents: PBS
Shipped at conditions
Blue Ice
Appropriate short-term storage conditions
+4°C
Appropriate long-term storage conditions
-20°C
Aliquoting information
Upon delivery aliquot
Storage information
Avoid freeze / thaw cycle

Product protocols

For this product, it's our understanding that no specific protocols are required. You can visit:

Target data

Plays a role in viral genome replication by driving entry of quiescent cells into the cell cycle. Stimulation of progression from G1 to S phase allows the virus to efficiently use the cellular DNA replicating machinery to achieve viral genome replication. E7 protein has both transforming and trans-activating activities. Induces the disassembly of the E2F1 transcription factor from RB1, with subsequent transcriptional activation of E2F1-regulated S-phase genes. Interferes with host histone deacetylation mediated by HDAC1 and HDAC2, leading to transcription activation. Also plays a role in the inhibition of both antiviral and antiproliferative functions of host interferon alpha. Interaction with host TMEM173/STING impairs the ability of TMEM173/STING to sense cytosolic DNA and promote the production of type I interferon (IFN-alpha and IFN-beta).
See full target information E7

Publications (2)

Recent publications for all applications. Explore the full list and refine your search

Cancers 16: PubMed38610950

2024

Modulation of sHLA-G, PD-1, and PD-L1 Expression in Cervical Lesions Following Imiquimod Treatment and Its Association with Treatment Success.

Applications

Unspecified application

Species

Unspecified reactive species

Andrej Cokan,Neila Caroline Henrique da Silva,Rajko Kavalar,Igor But,Maja Pakiž,Sheilla Andrade de Oliveira,Fabiana Oliveira Dos Santos Gomes,Rodrigo Soares da Silva,Christina Alves Peixoto,Norma Lucena-Silva

Biomedicines 10: PubMed36289871

2022

Obesity-Related Genes Expression in Testes and Sperm Parameters Respond to GLP-1 and Caloric Restriction.

Applications

Unspecified application

Species

Unspecified reactive species

Ana S Correia,Sara C Pereira,Tiago Morais,Ana D Martins,Mariana P Monteiro,Marco G Alves,Pedro F Oliveira
View all publications

Product promise

We are committed to supporting your work with high-quality reagents, and we're here for you every step of the way. In the unlikely event that one of our products does not perform as expected, you're protected by our Product Promise.
For full details, please see our Terms & Conditions

Please note: All products are 'FOR RESEARCH USE ONLY. NOT FOR USE IN DIAGNOSTIC OR THERAPEUTIC PROCEDURES'.

For licensing inquiries, please contact partnerships@abcam.com