JavaScript is disabled in your browser. Please enable JavaScript to view this website.
AB198920

Anti-HRG antibody

Be the first to review this product! Submit a review

|

(1 Publication)

Rabbit Polyclonal HRG antibody. Suitable for IHC-P and reacts with Human samples. Cited in 1 publication. Immunogen corresponding to Synthetic Peptide within Human Histidine-rich glycoprotein.

View Alternative Names

Histidine-rich glycoprotein, Histidine-proline-rich glycoprotein, HPRG, HRG

2 Images
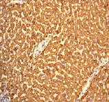
Immunohistochemistry (Formalin/PFA-fixed paraffin-embedded sections) - Anti-HRG antibody (AB198920)
  • IHC-P

Supplier Data

Immunohistochemistry (Formalin/PFA-fixed paraffin-embedded sections) - Anti-HRG antibody (AB198920)

Immunohistochemical analysis of paraffin-embedded Human breast cancer tissue labeling HRG using ab198920 at 1/50 dilution.

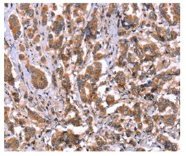
Immunohistochemistry (Formalin/PFA-fixed paraffin-embedded sections) - Anti-HRG antibody (AB198920)
  • IHC-P

Supplier Data

Immunohistochemistry (Formalin/PFA-fixed paraffin-embedded sections) - Anti-HRG antibody (AB198920)

Immunohistochemical analysis of paraffin-embedded Human ovarian cancer tissue labeling HRG using ab198920 at 1/50 dilution.

Key facts

Host species

Rabbit

Clonality

Polyclonal

Isotype

IgG

Carrier free

No

Reacts with

Human

Applications

IHC-P

applications

Immunogen

Synthetic Peptide within Human Histidine-rich glycoprotein. The exact immunogen used to generate this antibody is proprietary information.

P04196

Reactivity data

{ "title": "Reactivity Data", "filters": { "stats": ["", "Species", "Dilution Info", "Notes"], "tabs": { "all-applications": {"fullname" : "All Applications", "shortname": "All Applications"}, "IHCP" : {"fullname" : "Immunohistochemistry (Formalin/PFA-fixed paraffin-embedded sections)", "shortname":"IHC-P"} }, "product-promise": { "all": "all", "testedAndGuaranteed": "tested", "guaranteed": "expected", "predicted": "predicted", "notRecommended": "not-recommended" } }, "values": { "Human": { "IHCP-species-checked": "testedAndGuaranteed", "IHCP-species-dilution-info": "1/50 - 1/200", "IHCP-species-notes": "<p></p>" } } }

Properties and storage information

Form
Liquid
Purification technique
Affinity purification Immunogen
Storage buffer
pH: 7.4 Preservative: 0.05% Sodium azide Constituents: PBS, 50% Glycerol (glycerin, glycerine)
Shipped at conditions
Blue Ice
Appropriate short-term storage duration
1-2 weeks
Appropriate short-term storage conditions
+4°C
Appropriate long-term storage conditions
-20°C
Aliquoting information
Upon delivery aliquot
Storage information
Avoid freeze / thaw cycle

Product protocols

For this product, it's our understanding that no specific protocols are required. You can visit:

Target data

Plasma glycoprotein that binds a number of ligands such as heme, heparin, heparan sulfate, thrombospondin, plasminogen, and divalent metal ions. Binds heparin and heparin/glycosaminoglycans in a zinc-dependent manner. Binds heparan sulfate on the surface of liver, lung, kidney and heart endothelial cells. Binds to N-sulfated polysaccharide chains on the surface of liver endothelial cells. Inhibits rosette formation. Acts as an adapter protein and is implicated in regulating many processes such as immune complex and pathogen clearance, cell chemotaxis, cell adhesion, angiogenesis, coagulation and fibrinolysis. Mediates clearance of necrotic cells through enhancing the phagocytosis of necrotic cells in a heparan sulfate-dependent pathway. This process can be regulated by the presence of certain HRG ligands such as heparin and zinc ions. Binds to IgG subclasses of immunoglobins containing kappa and lambda light chains with different affinities regulating their clearance and inhibiting the formation of insoluble immune complexes. Tethers plasminogen to the cell surface. Binds T-cells and alters the cell morphology. Modulates angiogenesis by blocking the CD6-mediated antiangiongenic effect of thrombospondins, THBS1 and THBS2. Acts as a regulator of the vascular endothelial growth factor (VEGF) signaling pathway; inhibits endothelial cell motility by reducing VEGF-induced complex formation between PXN/paxillin and ILK/integrin-linked protein kinase and by promoting inhibition of VEGF-induced tyrosine phosphorylation of focal adhesion kinases and alpha-actinins in endothelial cells. Also plays a role in the regulation of tumor angiogenesis and tumor immune surveillance. Normalizes tumor vessels and promotes antitumor immunity by polarizing tumor-associated macrophages, leading to decreased tumor growth and metastasis.
See full target information Histidine-rich glycoprotein

Publications (1)

Recent publications for all applications. Explore the full list and refine your search

The British journal of dermatology 185:147-152 PubMed33393080

2021

CERKL is upregulated in cutaneous squamous cell carcinoma and maintains cellular sphingolipids and resistance to oxidative stress.

Applications

Unspecified application

Species

Unspecified reactive species

J M Meyer,E Lee,A Celli,K Park,R Cho,W Lambert,M Pitchford,M Gordon,K Tsai,J Cleaver,S T Arron,T M Mauro
View all publications

Product promise

We are committed to supporting your work with high-quality reagents, and we're here for you every step of the way. In the unlikely event that one of our products does not perform as expected, you're protected by our Product Promise.
For full details, please see our Terms & Conditions

Please note: All products are 'FOR RESEARCH USE ONLY. NOT FOR USE IN DIAGNOSTIC OR THERAPEUTIC PROCEDURES'.

For licensing inquiries, please contact partnerships@abcam.com